UNIFENAS Profa Vera Ângelo
Objetivos OG: reconhecer as principais alterações patológicas, macro e microscópicas de afecções pulmonares. Reconhecer as principais alterações patológica, macro e microscópicas da  bronquite crônica . Reconhecer as principais alterações patológicas, macro e microscópicas do  enfisema pulmonar . Reconhecer as principais alterações patológica, macro e microscópicas das  pneumonias. Reconhecer as principais alterações patológica, macro e microscópicas da  tuberculose.
 
 
 
 
Traqueobronquite aguda
entidade clinica caracterizada pela presença de obstrução ou limitação crônica ao fluxo de ar. progressão lenta e irreversível. - DPOC inclui a asma, a  bronquite crônica e o enfisema pulmonar . DPOC- Doença pulmonar obstrutiva crônica
A bronquite crônica está presente quando uma pessoa tem tosse produtiva na maioria dos dias, por pelo menos três meses ao ano, em dois anos consecutivos. As alterações patológicas também atingem os brônquios de menor calibre e os bronquíolos. O espessamento da mucosa brônquica, a secreção excessiva do muco e o tônus aumentado da musculatura brônquica, inicialmente diminuem, a intensidade do fluxo expiratório máximo e, em seguida, a do fluxo inspiratório máximo.  DPOC – Bronquite crônica
 
A bronquite crônica pode levar a rigidez e ao espessamento da mucosa brônquica, por vasodilatação, congestão e edema. Presença de brônquios com a parede espessada e muco na sua luz. Observa-se: - glândulas aumentadas de tamanho, - Hiperplasia de  células caliciformes, - predomínio de linfócitos T CD8+,neutrófilos  e macrófagos. - hiperplasia de glândulas submucosas DPOC
 
 
Normal Após lesão
 
 
 
 
Infiltrado inflamatório crônico peribronquiolar                                                                                                                                                                        
O termo deriva do Grego onde bronkos significa brônquio e ektasis, dilatação. É uma dilatação irreversível de porções dos brônquios devida à lesão da parede brônquica .  Etiologia:  são inflamações mediadas por neutrófilos liberando elastases e monócitos liberando citocinas os quais são recrutados no pulmão. A inflamação das paredes dos brônquios levam a destruição dos componentes elásticos e musculares dos mesmos. Bronquiectasia
Na bronquiectasia, algumas áreas da parede brônquica são destruídas e apresentam inflamação crônica, os cílios são destruídos ou lesados e a produção de muco aumenta
 
 
O enfisema pulmonar está presente quando muitos alvéolos estão destruídos e os restantes ficam com o seu funcionamento alterado, decorrente de agressão crônica ao parênquima pulmonar.  Macroscopicamente:  observa-se pulmões aumentados de volume, inelásticos e com bolhas especialmente nas margens e nos ápices. Diminuição da elasticidade. . DPOC -  enfisema pulmonar
 
 
 
 
 
Enfisema caraterizado por cavitação única próxima a superfície pleural com limites nítidos, arredondada e regular e de paredes finamente delicadas.
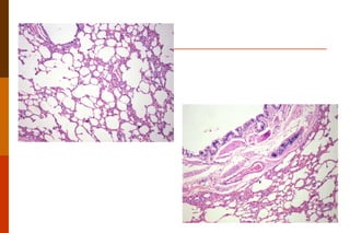
Microscopicamente : destruição dos septos alveolares, resultando em dilatação dos alvéolos e ductos alveolares, além da perda do componente elástico. DPOC -  enfisema pulmonar  Alveolos normais enfisema
Enfisema e  parênquima pulmonar normal.
O  E nfisema  pulmonar pode ser classificado em: -   centroloabular:  é o mais comum e se associa ao tabagismo. Ocorre destruição de bronquíolos terminais próximo do término da árvore brônquiolar. Mais comum no ápice dos pulmões. -  p anacinar:   ó acino é afetado de forma uniforme, com destruição dos setos alveolares a partir do centro para a periferia do ácino .  Ocorre na deficiência de  α  antripsina.   -  paraseptal -   Irregular:   o ácino está envolvido de forma irregular e é quase sempre associado a cicatrização Enfisema localizado (Rubin 2007)
Pneumonia: Mecanismos de defesa pulmonar: O pulmão normal é isento de bactérias e possui um grande número de mecanismos de defesa, os quais eliminam qualquer bactéria inaladas, esses mecanismos  de defesa incluem: 1 – A função da filtração da nasofaringe; 2 – A ação mucociliar das vias respiratórias inferiores; 3 – A fagocitose e a eliminação dos microorganismos pelos macrófogos alveolares.
Pneumonia: Mecanismos de defesa pulmonar: Muito fatores podem interferir nos mecanismos de defesa: 1.  P erda ou suspensão do reflexo de tosse (ex: coma, anestesia, distúrbios neuromusculares).  2.     Lesões do aparelho mucociliar. O tabagismo, a inalação de gases tóxicos e viroses podem causar essas lesões.  3.    Interferência na função fagocítica ou bacteriana dos macrófagos alveolares. EX: álcool, fumo, anoxia e intoxicação pelo oxigênio.  4.    Congestão e edema pulmonares .
Pneumonia:  É uma infecção do parênquima pulmonar, que pode ser causada por vários microrganismos diferentes, incluindo vírus, bactérias, parasitas ou fungos. Patogenia: o desenvolvimento deste quadro infeccioso passa pela falência dos complexos mecanismos de defesa pulmonar.  Classificações: podem ser classificada sob diferentes aspectos, sendo os mais importantes o etiológico e o anatômico (lobar, lobular ou broncopneumonia e intersticial)
 
Pneumonia:  Macroscopia Na pneumonia  lobar  o lobo atingido consolida-se de forma homogênea, enquanto as vias aéreas permanecem permeáveis. Na  broncopneumonia  são observados focos múltiplos de infecção, às vezes bilaterais.  Na  pneumonia intersticial  o acometimento pode ser zonal ou difuso, ás vezes de difícil identificação macroscópica.
Pneumonia:
Pneumonia:  Microscopia: nas formas lobares ou lobulares o ar dos alvéolos é substituído por exsudato inflamatório.  Se não tratada a pneumonia pode evoluir em 4 fases:  inicial ou de congestão  (multiplicação de micro organismos, edema e congestão), hepatização vermelha  (alvéolos ficam cheios de exsudato inflamatório de PMN e hemácias),  hepatização cinzenta  (aumento de leucócitos e da fagocitose pelos macrófagos, fibrina e  diminuição das bactérias)  resolução  (lise de fibrina e diminuição do exsudato).
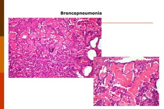
Broncopneumonia:  As consolidações  focais assumem um aspecto de nódulos cinzas, em meio a um parênquima pulmonar congesto e hiperemiado. Observa-se um parênquima de coloração vinhosa e consistência friável que indica a intensa reação inflamatória que acompanha esta condição. Compare com os segmentos de pulmão normal.
 
 
Broncopneumonia
 
 
Pneumonias virais - Maior prevalência em menores de 3 anos de idade e rara em adultos sadios. - Geralmente com acometimento intersticial. -Manifestações clínicas: simulam viroses, tosse seca, febre alta calafrios,rinite,sinais cutâneos e mialgia.
Pneumonia intersticial :  Etiologia:  vírus .
Pneumonias virais Aspectos macroscópicos: Pouco característico,podendo haver apenas congestão. Aspectos microscópicos: Inflamação intersticial com septos alvelores alargados por edema e infiltrado de mononucleares. Alvéolos com pequena quantidade de líquido. Pode haver: necrose do epitélio alveolar e bronquiolar,células gigantes e inclusões característica.
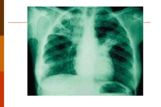
Tuberculose doença causada pelo  Mycobacterium tuberculosis,  cuja manifestação clínica depende da resposta imunitária do organismo hospedeiro. Pode se primária, secundária ou miliar. A tuberculose primária é a que ocorre em indivíduos que têm o primeiro contato com o  M. tuberculosis , e determina diversas reações: exsudativa  (nódulo exsudativo),  produtiva   (granuloma duro),  produtivo caseoso  (granuloma com necrose caseosa) e  cicatrizada  (nódulo de Ghon).
Tuberculose Ao conjunto do nódulo de Ghon, linfangite e linfadenite dá-se o nome de complexo primário ou de Ghon.  A tuberculose secundária pode manifestar-se sob três formas macroscópicas: apical,  ácino-nodosa miliar.
 
 
 
                                                                                                                           
                                                                      
                                                       
                                                                 
                                                       
                                                       
                                                       
Anatomia Patológica
PIV de sete meses, sexo feminino, previamente hígida, consultou com o pediatra devido a quadro de IVAS. Foram prescritos sintomáticos, porém não houve melhora clínica. Três dias após a criança foi atendida no HPS devido a quadro de queda do estado geral, febre alta, dispnéia e cianose. Houve piora clínica progressiva e a criança foi encaminhada para a UTI. Apesar de todas as medidas clínicas instituídas houve evolução para o óbito. . Faça a correlação anátomo-clínica
 
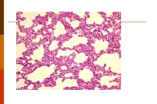
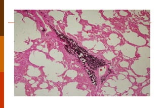
Lamina  7 – Antracose. HE  identificar o órgão  (pulmão) observar alvéolos e septos interalveolares. observar pigmento escuro no interior de macrófagos Lamina 81 – Pneumonia lobar. HE  - identificar o órgão  (pulmão) observar a presença de exsudato inflamatório do tipo polimorfonuclear nas paredes inter alveolares e  no interior de alvéolos.  Áreas de congestão e com fibrina.
Lamina 76 – Necrose caseosa. HE  -   identificar o órgão (lifonodo)  -   observar lesão  necrótica com aspecto de massa homogênea, acidófila, contendo células com núcleos picnóticos e fragmentos celulares e nucleares (cariorrexe).  Presença de células gigantes, multinucleadas  Peça 1 – Antracose. (Macroscopia)  -    identificar o órgão  (pulmão) -    observar a elasticidade e o aspecto “esponjoso”.  Visualizar brônquios cortados transversalmente. observar pigmento escuro no parênquima

Síndromes Respiratórias PL-01

  • 1.
  • 2.
    Objetivos OG: reconheceras principais alterações patológicas, macro e microscópicas de afecções pulmonares. Reconhecer as principais alterações patológica, macro e microscópicas da bronquite crônica . Reconhecer as principais alterações patológicas, macro e microscópicas do enfisema pulmonar . Reconhecer as principais alterações patológica, macro e microscópicas das pneumonias. Reconhecer as principais alterações patológica, macro e microscópicas da tuberculose.
  • 3.
  • 4.
  • 5.
  • 6.
  • 7.
  • 8.
    entidade clinica caracterizadapela presença de obstrução ou limitação crônica ao fluxo de ar. progressão lenta e irreversível. - DPOC inclui a asma, a bronquite crônica e o enfisema pulmonar . DPOC- Doença pulmonar obstrutiva crônica
  • 9.
    A bronquite crônicaestá presente quando uma pessoa tem tosse produtiva na maioria dos dias, por pelo menos três meses ao ano, em dois anos consecutivos. As alterações patológicas também atingem os brônquios de menor calibre e os bronquíolos. O espessamento da mucosa brônquica, a secreção excessiva do muco e o tônus aumentado da musculatura brônquica, inicialmente diminuem, a intensidade do fluxo expiratório máximo e, em seguida, a do fluxo inspiratório máximo. DPOC – Bronquite crônica
  • 10.
  • 11.
    A bronquite crônicapode levar a rigidez e ao espessamento da mucosa brônquica, por vasodilatação, congestão e edema. Presença de brônquios com a parede espessada e muco na sua luz. Observa-se: - glândulas aumentadas de tamanho, - Hiperplasia de células caliciformes, - predomínio de linfócitos T CD8+,neutrófilos e macrófagos. - hiperplasia de glândulas submucosas DPOC
  • 12.
  • 13.
  • 14.
  • 15.
  • 16.
  • 17.
  • 18.
  • 19.
    Infiltrado inflamatório crônicoperibronquiolar                                                                                                                                                                        
  • 20.
    O termo derivado Grego onde bronkos significa brônquio e ektasis, dilatação. É uma dilatação irreversível de porções dos brônquios devida à lesão da parede brônquica . Etiologia: são inflamações mediadas por neutrófilos liberando elastases e monócitos liberando citocinas os quais são recrutados no pulmão. A inflamação das paredes dos brônquios levam a destruição dos componentes elásticos e musculares dos mesmos. Bronquiectasia
  • 21.
    Na bronquiectasia, algumasáreas da parede brônquica são destruídas e apresentam inflamação crônica, os cílios são destruídos ou lesados e a produção de muco aumenta
  • 22.
  • 23.
  • 24.
    O enfisema pulmonarestá presente quando muitos alvéolos estão destruídos e os restantes ficam com o seu funcionamento alterado, decorrente de agressão crônica ao parênquima pulmonar. Macroscopicamente: observa-se pulmões aumentados de volume, inelásticos e com bolhas especialmente nas margens e nos ápices. Diminuição da elasticidade. . DPOC - enfisema pulmonar
  • 25.
  • 26.
  • 27.
  • 28.
  • 29.
  • 30.
    Enfisema caraterizado porcavitação única próxima a superfície pleural com limites nítidos, arredondada e regular e de paredes finamente delicadas.
  • 31.
    Microscopicamente : destruiçãodos septos alveolares, resultando em dilatação dos alvéolos e ductos alveolares, além da perda do componente elástico. DPOC - enfisema pulmonar Alveolos normais enfisema
  • 32.
    Enfisema e parênquima pulmonar normal.
  • 33.
    O Enfisema pulmonar pode ser classificado em: -  centroloabular: é o mais comum e se associa ao tabagismo. Ocorre destruição de bronquíolos terminais próximo do término da árvore brônquiolar. Mais comum no ápice dos pulmões. -  p anacinar: ó acino é afetado de forma uniforme, com destruição dos setos alveolares a partir do centro para a periferia do ácino . Ocorre na deficiência de α antripsina. -  paraseptal -   Irregular: o ácino está envolvido de forma irregular e é quase sempre associado a cicatrização Enfisema localizado (Rubin 2007)
  • 34.
    Pneumonia: Mecanismos dedefesa pulmonar: O pulmão normal é isento de bactérias e possui um grande número de mecanismos de defesa, os quais eliminam qualquer bactéria inaladas, esses mecanismos de defesa incluem: 1 – A função da filtração da nasofaringe; 2 – A ação mucociliar das vias respiratórias inferiores; 3 – A fagocitose e a eliminação dos microorganismos pelos macrófogos alveolares.
  • 35.
    Pneumonia: Mecanismos dedefesa pulmonar: Muito fatores podem interferir nos mecanismos de defesa: 1.  P erda ou suspensão do reflexo de tosse (ex: coma, anestesia, distúrbios neuromusculares). 2.    Lesões do aparelho mucociliar. O tabagismo, a inalação de gases tóxicos e viroses podem causar essas lesões. 3.   Interferência na função fagocítica ou bacteriana dos macrófagos alveolares. EX: álcool, fumo, anoxia e intoxicação pelo oxigênio. 4.   Congestão e edema pulmonares .
  • 36.
    Pneumonia: Éuma infecção do parênquima pulmonar, que pode ser causada por vários microrganismos diferentes, incluindo vírus, bactérias, parasitas ou fungos. Patogenia: o desenvolvimento deste quadro infeccioso passa pela falência dos complexos mecanismos de defesa pulmonar. Classificações: podem ser classificada sob diferentes aspectos, sendo os mais importantes o etiológico e o anatômico (lobar, lobular ou broncopneumonia e intersticial)
  • 37.
  • 38.
    Pneumonia: MacroscopiaNa pneumonia lobar o lobo atingido consolida-se de forma homogênea, enquanto as vias aéreas permanecem permeáveis. Na broncopneumonia são observados focos múltiplos de infecção, às vezes bilaterais. Na pneumonia intersticial o acometimento pode ser zonal ou difuso, ás vezes de difícil identificação macroscópica.
  • 39.
  • 40.
    Pneumonia: Microscopia:nas formas lobares ou lobulares o ar dos alvéolos é substituído por exsudato inflamatório. Se não tratada a pneumonia pode evoluir em 4 fases: inicial ou de congestão (multiplicação de micro organismos, edema e congestão), hepatização vermelha (alvéolos ficam cheios de exsudato inflamatório de PMN e hemácias), hepatização cinzenta (aumento de leucócitos e da fagocitose pelos macrófagos, fibrina e diminuição das bactérias) resolução (lise de fibrina e diminuição do exsudato).
  • 41.
    Broncopneumonia: Asconsolidações focais assumem um aspecto de nódulos cinzas, em meio a um parênquima pulmonar congesto e hiperemiado. Observa-se um parênquima de coloração vinhosa e consistência friável que indica a intensa reação inflamatória que acompanha esta condição. Compare com os segmentos de pulmão normal.
  • 42.
  • 43.
  • 44.
  • 45.
  • 46.
  • 47.
    Pneumonias virais -Maior prevalência em menores de 3 anos de idade e rara em adultos sadios. - Geralmente com acometimento intersticial. -Manifestações clínicas: simulam viroses, tosse seca, febre alta calafrios,rinite,sinais cutâneos e mialgia.
  • 48.
    Pneumonia intersticial : Etiologia: vírus .
  • 49.
    Pneumonias virais Aspectosmacroscópicos: Pouco característico,podendo haver apenas congestão. Aspectos microscópicos: Inflamação intersticial com septos alvelores alargados por edema e infiltrado de mononucleares. Alvéolos com pequena quantidade de líquido. Pode haver: necrose do epitélio alveolar e bronquiolar,células gigantes e inclusões característica.
  • 50.
    Tuberculose doença causadapelo Mycobacterium tuberculosis, cuja manifestação clínica depende da resposta imunitária do organismo hospedeiro. Pode se primária, secundária ou miliar. A tuberculose primária é a que ocorre em indivíduos que têm o primeiro contato com o M. tuberculosis , e determina diversas reações: exsudativa (nódulo exsudativo), produtiva (granuloma duro), produtivo caseoso (granuloma com necrose caseosa) e cicatrizada (nódulo de Ghon).
  • 51.
    Tuberculose Ao conjuntodo nódulo de Ghon, linfangite e linfadenite dá-se o nome de complexo primário ou de Ghon. A tuberculose secundária pode manifestar-se sob três formas macroscópicas: apical, ácino-nodosa miliar.
  • 52.
  • 53.
  • 54.
  • 55.
                                                                                                                              
  • 56.
  • 57.
  • 58.
  • 59.
  • 60.
  • 61.
  • 62.
  • 63.
    PIV de setemeses, sexo feminino, previamente hígida, consultou com o pediatra devido a quadro de IVAS. Foram prescritos sintomáticos, porém não houve melhora clínica. Três dias após a criança foi atendida no HPS devido a quadro de queda do estado geral, febre alta, dispnéia e cianose. Houve piora clínica progressiva e a criança foi encaminhada para a UTI. Apesar de todas as medidas clínicas instituídas houve evolução para o óbito. . Faça a correlação anátomo-clínica
  • 64.
  • 65.
    Lamina 7– Antracose. HE  identificar o órgão (pulmão) observar alvéolos e septos interalveolares. observar pigmento escuro no interior de macrófagos Lamina 81 – Pneumonia lobar. HE  - identificar o órgão (pulmão) observar a presença de exsudato inflamatório do tipo polimorfonuclear nas paredes inter alveolares e no interior de alvéolos. Áreas de congestão e com fibrina.
  • 66.
    Lamina 76 –Necrose caseosa. HE  -   identificar o órgão (lifonodo) -   observar lesão necrótica com aspecto de massa homogênea, acidófila, contendo células com núcleos picnóticos e fragmentos celulares e nucleares (cariorrexe). Presença de células gigantes, multinucleadas Peça 1 – Antracose. (Macroscopia)  -  identificar o órgão (pulmão) -  observar a elasticidade e o aspecto “esponjoso”. Visualizar brônquios cortados transversalmente. observar pigmento escuro no parênquima