HUSM
SERVIÇO DE DIAGNÓSTICO POR IMAGEM




                            RadioGraphics 2012


           R3 RÉGIS SILVA
Objetivos


-Discutir o papel TC de tórax no diagnóstico e segmento da granulomatose de
Wegener com envolvimento torácico.


-Descrever os achados na TC de tórax da granulomatose de Wegener.


-Diferenciar granulomatose de Wegener de outras condições comuns que podem
ter achados radiológicos similares.
Granulomatose de Wegener



-Definição: é uma vaculite granulomatosa necrotizante de vasos pequeno e médio
calibre, rara que classicamente de manifesta com a tríade clínica de envolvimento
de vias aéreas superiores e inferiores e gromerulonefrite.


                                Epidemiologia

-Pode ocorrer em qualquer faixa etária, mas a idade média é de 50 anos.
-Em 90% dos casos são pessoas brancas.
Clínica

-O trato respitatório superior é envolvido em quase todos os pacientes, pulmão em
90% das vezes e rim em 80%.


-Vias aéreas superiores: otite, sinusite, úlcera de mucosa nasal, deformidade óssea,
estenose subglótica.


-Trato respiratório inferior: tosse, dor torácica e hemoptise.


-Gromerulonefrite.


-Elevação dos níveis séricos de cANCA em 90% dos pacientes com doença ativa.
Histologia




                                                                                           Photomicrograph (original magnification, ×40; hematoxylin-eosin stain) obtained in
                                                                                           a patient with Wegener granulomatosis shows capillaritis with neutro- phils and
                                                                                           nuclear dust in the alveolar wall and blood in the alveolar airspaces . A small vein
                                                                                           also has neutrophils in its wall (arrows).


LungwithhemorrhageduetoWegener granulomatosis. Photograph obtained at autopsy
shows a solid, red lung that is three times its nor- mal weight. The rounded edges along
the fissure (arrows) indicate swelling.
Histologia




Photomicrograph (original magnification, ×40; elastic stain) shows a ruptured elastic        Photomicrograph (original magnification, ×40; hematoxylin-eosin stain) obtained in a
artery with multinucleated histiocytes (arrows) at the point of rup- ture and blood in the   patient with Wegener granulomatosis shows a palisading gran- uloma (arrows).
lung.
Histologia




Photograph of a lobectomy specimen obtained in a patient with Wegener
granulomato- sis shows a cavitary lung nodule (arrows).
Manifestações radiológicas comuns

-Nódulos e massas pulmonares:


-São as manifestações torácicas mais comuns, ocorrem em até 70% dos pacientes.


-Crescimento e redução da lesão


-Podem ser únicas ou multiplas, quando múltiplas tem geralmente distribuição
aleatória.


-Escavação ocorre em 50% das vezes.


-Sinal do halo ou halo invertido
Paciente de 35 anos, com tosse seca e wegener; nodulos não cavitados nas
bases pulmonares                                                            Pacente de 45 anos, wegener e piora da respiração
paciente de 40 anos de idade, que apresentou falta de ar e hemoptise leve,
biopsia granulomarose de Wegener

                                                                             A tomografia computadorizada de um paciente com granulomatose de
                                                                             Wegener conhecido demonstra um nódulo pulmonar na periferia do lobo
                                                                             inferior direito, com halo em vidro fosco
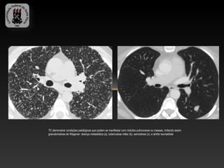
TC demonstrar condições patológicas que podem se manifestar com nódulos pulmonares ou massas, imitando assim
granulomatose de Wegener: doença metastática (a), tuberculose miliar (b), sarcoidose (c), e artrite reumatóide
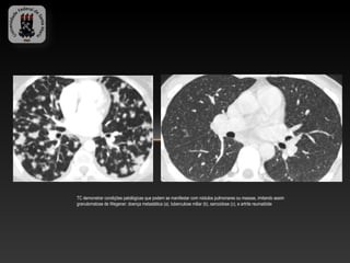
TC demonstrar condições patológicas que podem se manifestar com nódulos pulmonares ou massas, imitando assim
granulomatose de Wegener: doença metastática (a), tuberculose miliar (b), sarcoidose (c), e artrite reumatóide
A tomografia computadorizada através dos ápices obtidos em um homem de 50 anos com diagnóstico recente de granulomatose de Wegener mostra uma massa
escavada (seta) no segmento apical do lóbulo superior direito. Note também a opacidade em vidro fosco (seta) no lobo superior esquerdo. (b) Seguimento
tomografia computadorizada através dos ápices obtidos 6 meses após o início da terapia imunossupressora demonstra resolução da massa escavada (seta) e
vidro fosco (seta), com cicatrizes residual.
Paciente de 53 anos de idade, em que múltiplos cursos de terapia com antibióticos para suspeita de pneumonia - sem resposta. Achados em biópsia percutânea
guiada por tomografia computadorizada da lesão do lobo superior (granulomatose de Wegener). (b) Seguimento com tomografia computadorizada 9 meses após o
início da terapia imunossupressora demonstra a resolução completa das lesões em a esquerda (seta) e direito (seta) com cicatrizes residuais.
A tomografia computadorizada de um paciente de 55 anos com granulomatose de Wegener
conhecida, mostra um grande nódulo pulmonar que não se correlacionam com a atividade
clínica da doença. Biópsia pulmonar foi realizada, e a análise patológica demonstrou
adenocarcinoma de pulmão.
Opacidade em vidro fosco e consolidação

-Ocorre em até 50% dos pacientes com granulomatose de Wegener e pode estar
relacionado a hemorragia pulmonar ou infecção.


-Mais comuns nas regiões parahilares e peribroncovascular.


-Podem aumenta e diminuir.


-As áreas de hemorragia podem confluir e formar consolidaçõe que geralmente
resolvem com o tratamento.
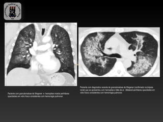
Paciente com diagnóstico recente de granulomatose de Wegener (confirmado na biópsia
                                                                       renal) que se apresentou com hemoptise e falta de ar . Biilateral perihilares opacidades em
Paciente com granulomatose de Wegener e hemoptise mostra perihilares   vidro fosco consistentes com hemorragia pulmonar.
opacidades em vidro fosco consistentes com hemorragia pulmonar.
Granulomatose de Wegener. TC demonstra opacidades peribroncovasculares bilaterais e periférica que representam exacerbação aguda da doença.
Paciente com granulomatose de Wegener, supendeu terapia imunossupressora e apresentou-se com falta de ar acentuada, não houve
achados clínicos ou laboratoriais de infecção. TC mostra consolidação com broncograma aéreo que simulam pneumonia.
TC demonstrar condições patológicas que podem se manifestar como opacidades do espaço aéreo e, assim, imitar granulomatose de Wegener:
pneumonia bacteriana (a), pneumonia por aspiração (b), pneumonia em organização (c) e adenocarcinoma de pulmão primário(d).
TC demonstrar condições patológicas que podem se manifestar como opacidades do espaço aéreo e, assim, imitar granulomatose de Wegener:
pneumonia bacteriana (a), pneumonia por aspiração (b), pneumonia em organização (c) e adenocarcinoma de pulmão primário(d).
Envolvimento de vias aéreas

-É a segunda área do tórax mais afetada.


-O envolvimento da traquéia geralmente ocorre num contexto de doença
multissistêmica.


-Dispnéia, rouquidão e estridor.


-Pode ser segmentar, unifocal ou multifocal, sendo a traquéia subglótica a mais
comumente afetada.


-Usualmente espessamento cirunferencial – liso ou nodular e o envolvimento da parte
membranosa é regra.


-Bronquiectasias.
(19) Coronal reformatted chest CT image of a patient with tracheal and pulmonary involvement by known Wegener granulomatosis
demonstrates subglottic tracheal narrowing (arrow). (20) Photograph of the gross pathologic specimen obtained in a patient with known
Wegener granulomatosis shows involvement of the proximal trachea and subglottic larynx with necrosis and deformation (arrows).
(a) Wegener granulomatosis. Chest CT scan at the level of the aortic arch shows circumferential tracheal thickening (arrow).There is involvement of the posterior
membranous trachea, which helps differentiate Wegener granulomatosis from relapsing polychondritis or tracheobronchopathia osteochondroplastica. A small amount of
oral contrast material (arrowhead) is seen in the esophagus. (b) Wegener granulomatosis with tracheobronchial involvement in a different patient.Three-dimensional
reformatted image from virtual bronchoscopy shows significant narrowing of the distal trachea, carina, and bronchi (arrows).
TC demonstra condições patológicas que podem se manifestar com espessamento das vias aéreas: a policondrite (a), traqueobroncopatia
osteocondroplástica (b) e amiloidose (c).
Envolvimento pleural




Chest CT scan of a patient with known Wegener granulomatosis shows a
nonspe- cific small left pleural effusion and a pulmonary nodule in the left
lower lobe.
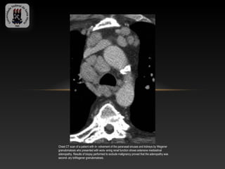
Chest CT scan of a patient with in- volvement of the paranasal sinuses and kidneys by Wegener
granulomatosis who presented with wors- ening renal function shows extensive mediastinal
adenopathy. Results of biopsy performed to exclude malignancy proved that the adenopathy was
second- ary toWegener granulomatosis.
Envolvimento de grandes artérias




Axial TC ao nível do arco aórtico (a) artéria pulmonar direita (b) e sagital reformatada CT imagem (c) obtido em um paciente de 45 anos de idade, com
conhecida granulomatose de Wegener mostram extensa peri aortite-(setas).
(a) parassagital reformatado peito CT imagem obtida em um paciente de 56 anos de idade, com granulomatose de Wegener apresenta alterações inflamatórias
    em torno do tronco da artéria pulmonar (seta). (b) Fotomicrografia (ampliação original, × 63; hematoxilina-eosina) mostra inflamação granulomatosa na
    artéria pulmonar principal, com linfócitos, histiócitos, multinucleadas e histiócitos (círculo) que separam as fibras largas de elástico (setas).
Conclusões

-Granulomatose de Wegener é uma vasculite necrotizante rara, com diagnostico
baseado principalmente em achados clínico laboratorial.


-O envolvimento torácico muitas vezes predomina e os achados são
frequentemente identificados na tc e o radiologista pode ser o primeiro médico a
sugerir o diagnóstico.


-Os achados são diversos.


-TC é o método de escolha tanto para diagnóstico, como para acompanhamento
Wegener

Wegener

  • 1.
    HUSM SERVIÇO DE DIAGNÓSTICOPOR IMAGEM RadioGraphics 2012 R3 RÉGIS SILVA
  • 2.
    Objetivos -Discutir o papelTC de tórax no diagnóstico e segmento da granulomatose de Wegener com envolvimento torácico. -Descrever os achados na TC de tórax da granulomatose de Wegener. -Diferenciar granulomatose de Wegener de outras condições comuns que podem ter achados radiológicos similares.
  • 3.
    Granulomatose de Wegener -Definição:é uma vaculite granulomatosa necrotizante de vasos pequeno e médio calibre, rara que classicamente de manifesta com a tríade clínica de envolvimento de vias aéreas superiores e inferiores e gromerulonefrite. Epidemiologia -Pode ocorrer em qualquer faixa etária, mas a idade média é de 50 anos. -Em 90% dos casos são pessoas brancas.
  • 4.
    Clínica -O trato respitatóriosuperior é envolvido em quase todos os pacientes, pulmão em 90% das vezes e rim em 80%. -Vias aéreas superiores: otite, sinusite, úlcera de mucosa nasal, deformidade óssea, estenose subglótica. -Trato respiratório inferior: tosse, dor torácica e hemoptise. -Gromerulonefrite. -Elevação dos níveis séricos de cANCA em 90% dos pacientes com doença ativa.
  • 6.
    Histologia Photomicrograph (original magnification, ×40; hematoxylin-eosin stain) obtained in a patient with Wegener granulomatosis shows capillaritis with neutro- phils and nuclear dust in the alveolar wall and blood in the alveolar airspaces . A small vein also has neutrophils in its wall (arrows). LungwithhemorrhageduetoWegener granulomatosis. Photograph obtained at autopsy shows a solid, red lung that is three times its nor- mal weight. The rounded edges along the fissure (arrows) indicate swelling.
  • 7.
    Histologia Photomicrograph (original magnification,×40; elastic stain) shows a ruptured elastic Photomicrograph (original magnification, ×40; hematoxylin-eosin stain) obtained in a artery with multinucleated histiocytes (arrows) at the point of rup- ture and blood in the patient with Wegener granulomatosis shows a palisading gran- uloma (arrows). lung.
  • 8.
    Histologia Photograph of alobectomy specimen obtained in a patient with Wegener granulomato- sis shows a cavitary lung nodule (arrows).
  • 9.
    Manifestações radiológicas comuns -Nódulose massas pulmonares: -São as manifestações torácicas mais comuns, ocorrem em até 70% dos pacientes. -Crescimento e redução da lesão -Podem ser únicas ou multiplas, quando múltiplas tem geralmente distribuição aleatória. -Escavação ocorre em 50% das vezes. -Sinal do halo ou halo invertido
  • 10.
    Paciente de 35anos, com tosse seca e wegener; nodulos não cavitados nas bases pulmonares Pacente de 45 anos, wegener e piora da respiração
  • 11.
    paciente de 40anos de idade, que apresentou falta de ar e hemoptise leve, biopsia granulomarose de Wegener A tomografia computadorizada de um paciente com granulomatose de Wegener conhecido demonstra um nódulo pulmonar na periferia do lobo inferior direito, com halo em vidro fosco
  • 12.
    TC demonstrar condiçõespatológicas que podem se manifestar com nódulos pulmonares ou massas, imitando assim granulomatose de Wegener: doença metastática (a), tuberculose miliar (b), sarcoidose (c), e artrite reumatóide
  • 13.
    TC demonstrar condiçõespatológicas que podem se manifestar com nódulos pulmonares ou massas, imitando assim granulomatose de Wegener: doença metastática (a), tuberculose miliar (b), sarcoidose (c), e artrite reumatóide
  • 14.
    A tomografia computadorizadaatravés dos ápices obtidos em um homem de 50 anos com diagnóstico recente de granulomatose de Wegener mostra uma massa escavada (seta) no segmento apical do lóbulo superior direito. Note também a opacidade em vidro fosco (seta) no lobo superior esquerdo. (b) Seguimento tomografia computadorizada através dos ápices obtidos 6 meses após o início da terapia imunossupressora demonstra resolução da massa escavada (seta) e vidro fosco (seta), com cicatrizes residual.
  • 15.
    Paciente de 53anos de idade, em que múltiplos cursos de terapia com antibióticos para suspeita de pneumonia - sem resposta. Achados em biópsia percutânea guiada por tomografia computadorizada da lesão do lobo superior (granulomatose de Wegener). (b) Seguimento com tomografia computadorizada 9 meses após o início da terapia imunossupressora demonstra a resolução completa das lesões em a esquerda (seta) e direito (seta) com cicatrizes residuais.
  • 16.
    A tomografia computadorizadade um paciente de 55 anos com granulomatose de Wegener conhecida, mostra um grande nódulo pulmonar que não se correlacionam com a atividade clínica da doença. Biópsia pulmonar foi realizada, e a análise patológica demonstrou adenocarcinoma de pulmão.
  • 18.
    Opacidade em vidrofosco e consolidação -Ocorre em até 50% dos pacientes com granulomatose de Wegener e pode estar relacionado a hemorragia pulmonar ou infecção. -Mais comuns nas regiões parahilares e peribroncovascular. -Podem aumenta e diminuir. -As áreas de hemorragia podem confluir e formar consolidaçõe que geralmente resolvem com o tratamento.
  • 19.
    Paciente com diagnósticorecente de granulomatose de Wegener (confirmado na biópsia renal) que se apresentou com hemoptise e falta de ar . Biilateral perihilares opacidades em Paciente com granulomatose de Wegener e hemoptise mostra perihilares vidro fosco consistentes com hemorragia pulmonar. opacidades em vidro fosco consistentes com hemorragia pulmonar.
  • 20.
    Granulomatose de Wegener.TC demonstra opacidades peribroncovasculares bilaterais e periférica que representam exacerbação aguda da doença.
  • 21.
    Paciente com granulomatosede Wegener, supendeu terapia imunossupressora e apresentou-se com falta de ar acentuada, não houve achados clínicos ou laboratoriais de infecção. TC mostra consolidação com broncograma aéreo que simulam pneumonia.
  • 22.
    TC demonstrar condiçõespatológicas que podem se manifestar como opacidades do espaço aéreo e, assim, imitar granulomatose de Wegener: pneumonia bacteriana (a), pneumonia por aspiração (b), pneumonia em organização (c) e adenocarcinoma de pulmão primário(d).
  • 23.
    TC demonstrar condiçõespatológicas que podem se manifestar como opacidades do espaço aéreo e, assim, imitar granulomatose de Wegener: pneumonia bacteriana (a), pneumonia por aspiração (b), pneumonia em organização (c) e adenocarcinoma de pulmão primário(d).
  • 25.
    Envolvimento de viasaéreas -É a segunda área do tórax mais afetada. -O envolvimento da traquéia geralmente ocorre num contexto de doença multissistêmica. -Dispnéia, rouquidão e estridor. -Pode ser segmentar, unifocal ou multifocal, sendo a traquéia subglótica a mais comumente afetada. -Usualmente espessamento cirunferencial – liso ou nodular e o envolvimento da parte membranosa é regra. -Bronquiectasias.
  • 26.
    (19) Coronal reformattedchest CT image of a patient with tracheal and pulmonary involvement by known Wegener granulomatosis demonstrates subglottic tracheal narrowing (arrow). (20) Photograph of the gross pathologic specimen obtained in a patient with known Wegener granulomatosis shows involvement of the proximal trachea and subglottic larynx with necrosis and deformation (arrows).
  • 27.
    (a) Wegener granulomatosis.Chest CT scan at the level of the aortic arch shows circumferential tracheal thickening (arrow).There is involvement of the posterior membranous trachea, which helps differentiate Wegener granulomatosis from relapsing polychondritis or tracheobronchopathia osteochondroplastica. A small amount of oral contrast material (arrowhead) is seen in the esophagus. (b) Wegener granulomatosis with tracheobronchial involvement in a different patient.Three-dimensional reformatted image from virtual bronchoscopy shows significant narrowing of the distal trachea, carina, and bronchi (arrows).
  • 28.
    TC demonstra condiçõespatológicas que podem se manifestar com espessamento das vias aéreas: a policondrite (a), traqueobroncopatia osteocondroplástica (b) e amiloidose (c).
  • 29.
    Envolvimento pleural Chest CTscan of a patient with known Wegener granulomatosis shows a nonspe- cific small left pleural effusion and a pulmonary nodule in the left lower lobe.
  • 30.
    Chest CT scanof a patient with in- volvement of the paranasal sinuses and kidneys by Wegener granulomatosis who presented with wors- ening renal function shows extensive mediastinal adenopathy. Results of biopsy performed to exclude malignancy proved that the adenopathy was second- ary toWegener granulomatosis.
  • 31.
    Envolvimento de grandesartérias Axial TC ao nível do arco aórtico (a) artéria pulmonar direita (b) e sagital reformatada CT imagem (c) obtido em um paciente de 45 anos de idade, com conhecida granulomatose de Wegener mostram extensa peri aortite-(setas).
  • 32.
    (a) parassagital reformatadopeito CT imagem obtida em um paciente de 56 anos de idade, com granulomatose de Wegener apresenta alterações inflamatórias em torno do tronco da artéria pulmonar (seta). (b) Fotomicrografia (ampliação original, × 63; hematoxilina-eosina) mostra inflamação granulomatosa na artéria pulmonar principal, com linfócitos, histiócitos, multinucleadas e histiócitos (círculo) que separam as fibras largas de elástico (setas).
  • 33.
    Conclusões -Granulomatose de Wegeneré uma vasculite necrotizante rara, com diagnostico baseado principalmente em achados clínico laboratorial. -O envolvimento torácico muitas vezes predomina e os achados são frequentemente identificados na tc e o radiologista pode ser o primeiro médico a sugerir o diagnóstico. -Os achados são diversos. -TC é o método de escolha tanto para diagnóstico, como para acompanhamento