UNIFENAS Profa Vera Ângelo 2008
Objetivos OG: reconhecer as principais alterações patológicas, macro e microscópicas de afecções pulmonares relacionadas com alterações vasculares e circulatórias dos pulmões. Reconhecer as principais alterações patológicas, macro e microscópicas da  embolia pulmonar . Reconhecer as principais alterações patológicas, macro e microscópicas do  infarto pulmonar . Reconhecer as principais alterações patológicas, macro e microscópicas do  edema pulmonar . Reconhecer as principais alterações patológicas, macro e microscópicas da  hipertensão pulmonar
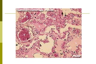
Hiperemia pulmonar Definição: Hiperemia e congestão são caracterizados pelo aumento de volume sangüíneo em um tecido ou área afetada. É dividida em : hiperemia ativa (é causada por uma dilatação arterial ou arteriolar que provoca um aumento do fluxo sangüíneo nos leitos capilares, com abertura da capilares inativos) hiperemia passiva ou congestão. (decorre de diminuição da drenagem venosa).
Hiperemia pulmonar Consequência da hiperemia ativa  : aumento da vermelhidão na região afetada. Causa da dilatação arteriolar e arterial . Consequência da hiperemia passiva  : coloração azul-avermelhada intensificada nas regiões afetadas, conforme sangue venoso se acumula. Tal coloração aumenta quando há um aumento da concentração de hemoglobina não-oxigenada no sangue.
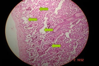
Hiperemia  passiva pulmonar
Hiperemia  passiva pulmonar
Congestão pulmonar passiva aguda caracterizada por pulmões pesados e úmidos, firmes e avermelhados. Este estado pode decorrer de distúrbios hemodinâmicos atribuíveis ao aumento de pressão hidrostática
                       
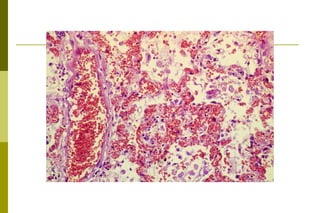
Causas: traumas (mecânicos ou físicos),  aumento da pressão intravascular,  doenças na parede vascular (aneurismas, e invasão neoplásica) e diáteses hemorrágicas, devido a alterações no mecanismo de coagulação . Hemorragia pulmonar
Hemorragia pulmonar onde observa-se superfície pulmonar vinhosa principalmente na porção inferior da fotografia onde o aspecto é vinhoso-escuro e borrachoso, caracterítico de uma importante quantidade de sangue localizado no espaço intra-alveolar de origem parenquimatosa .
 
Hemoptise: cararterizada pela presença de sangue coagulado na luz traqueal luz, provavelmente proveniente do parênquima pulmonar. As causas mais comuns de hemoptise são a bronquite e o carcinoma broncogênico .
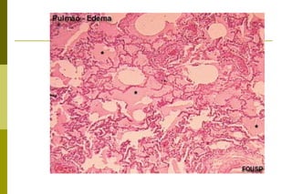
Edema pulmonar Definição: presença de líquidos no interior dos alvéolos pulmonares. O edema pulmonar ocorre em decorrência do desequilíbrio de fluidos através da barreira alvéolo-capilar. Patogenicamente pode ser classificado em: cardiogênico ou hidrostático,  por aumento da permeabilidade da barreira alvéolo-capilar, diminuição da pressão intersticial dos pulmões e  neurogênico.
Fases na formação do edema pulmonar.  Primeira fase:  é constituída pelo edema intersticial, que se caracteriza pela ingurgitação do tecido intersticial perivascular e peribrônquica.  Podem-se ver os linfáticos alargados e o fluxo nos linfonodos aumenta.  Pode ocorrer um certo alargamento do interstício da parede alveolar.
Fases na formação do edema pulmonar.   Segunda fase: é o edema alveolar. Nesta fase o líquido desloca-se para o interior dos alvéolos. Não se compreende completamente como se faz a transição do edema intersticial para o edema alveolar, mas é provável que os linfáticos fiquem sobrecarregados e a pressão no espaço intersticial cresça tanto que o líquido extravase para dentro dos alvéolos.  É nesta fase que o edema produzirá os comprometimentos mais importantes na fisiologia respiratória
Edema pulmonar Macroscopia Pulmões aumentados de peso, de cor avermelhada, firmes e deixando fluir quantidade variável de líquido.
 
 
Edema pulmonar Microscopia: Primeira fase: os septos alveolares encontram-se alargados, devido a edema intersticial. Podem ser vistos macrófagos com pigmento hemossiderínico (marrom). Segunda fase: posteriormente, além do edema intersticial, observa-se líquido nos alvéolos e presença de macrófagos com pigmento hemossiderínico.
 
 
 
Embolia pulmonar   É o evento caracterizado pela impactação de partículas sólidas, líquidas ou gasosas no leito vascular pulmonar.A obstrução arterial é quase sempre de origem embólica.    Os êmbolos em geral são decorrentes de trombos originários de veias profundas de membros inferiores, após imobilização prolongada ao leito, vegetação de válvulas cardíacas, politraumatismos, barotrauma, dentre outros. As principais repercussões são: morte súbita, hipertensão pulmonar  infarto pulmonar.
Tipos de êmbolos:   Êmbolos sólidos: são os mais freqüentes. A grande maioria provêm de trombos  de membros inferiores (95% dos caso).  Êmbolos líquidos: São menos freqüentes. Classicamente têm-se a embolia amniótica.  Êmbolos gordurosos: Esmagamento ósseo e/ou de tecido adiposo ("Crush Syndrome");  Injeção de grandes volumes de substâncias oleosas via endovenosa;  Êmbolos gasosos.   
 
 
Causas Que Predispõem à Formação de êmbolos: Essas condições incluem: •  Cirurgia • Repouso prolongado ao leito ou inatividade (como permanecer sentado em viagens prolongadas de carro ou de avião) • Acidente vascular cerebral • Infarto do miocárdio • Obesidade • Fratura do quadril ou da perna • Aumento da tendência à coagulação do sangue (como ocorre em certos cânceres ou com o uso de contraceptivos orais ou na deficiência hereditária de um inibidor da coagulação sangüínea)
 
Embolia pulmonar por Tumor de Wilms. HE, 80x
 
 
Infarto Pulmonar Alteração vascular, em geral secundária a embolia pulmonar. O fato do pulmão apresentar dupla circulação (brônquica e arterial) confere proteção ao território envolvido pelo episódios embólicos.  Por isto, a oclusão de um pequeno ramo da artéria pulmonar, em geral, não tem maiores conseqüências ao parênquima pulmonar. .
Infarto Pulmonar Macroscopia:   em geral, localizam-se nos lobos inferiores, têm forma de cunha, com a base voltada para a pleura.  Têm cor avermelhada e limites bem delimitados.  Com o passar do tempo a lesão muda para acastanhada. Inicia-se o processo de  reparação fibrosa e o infarto é substituído por cicatriz fibrótica cinza
Infarto Pulmonar Macroscopia: Observa-se necrose do parênquima pulmonar, com hemorragia alveolar e congestão capilar na periferia. Com o passar do tempo, observam-se macrófagos, com pigmento hemossiderínico.
 
 
 
 
Hemorragia e necrose do tecido pulmonar. HE, 32x
 
 
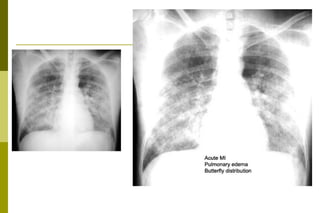
Caso clínico :  EAP 68 anos, sabidamente hipertenso, com várias internações devido a crise hipertensiva. Iniciou com dispnéia subita e intensa, com eliminação de secreção “rósea”. Foi atendido no Pronto Socorro. PA: 200\120 mmHg. Ausculta pulmonar: diminuição do múrmurio e crepitações difusas. Apesar das medidas terapêuticas instituídas evolui para o óbito. Faça a correlação anátomo-clínica
 
Macroscopia Microscopia Anatomia Patológica Doença Fisopatologia
Lâmina 33 – Embolia Gordurosa Pulmonar. HE  -     identificar o órgão  (pulmão) -   o bservar alvéolos e septos. Presença de êmbolos gordurosos no interior de vasos Lâmina 57 – Infarto Pulmonar. HE     identificar o órgão  (pulmão) -     observar alvéolos e septos. -     observar na área do infarto estruturas “fantasmas” de alvéolos,  vasos e brônquios.  Hemorragia e congestão  na periferia do infarto.
Lâmina 48 – Hemorragia Pulmonar  (HE)  -     identificar o órgão  (pulmão) -   observar alvéolos e septos. observar hemácias no espaço extravascular.  Presença de macrófagos com pigmento hemossiderínico. Peça 1 – Infarto hemorrágico  (Macroscopia) identificar segmento do pulmão -    congestão pulmonar com aspecto de “hepatização” -    observar presença de área enegrecida, periférica, de limites bem delimitados.

Síndromes Respiratórias PL 02 - 2010

  • 1.
    UNIFENAS Profa VeraÂngelo 2008
  • 2.
    Objetivos OG: reconheceras principais alterações patológicas, macro e microscópicas de afecções pulmonares relacionadas com alterações vasculares e circulatórias dos pulmões. Reconhecer as principais alterações patológicas, macro e microscópicas da embolia pulmonar . Reconhecer as principais alterações patológicas, macro e microscópicas do infarto pulmonar . Reconhecer as principais alterações patológicas, macro e microscópicas do edema pulmonar . Reconhecer as principais alterações patológicas, macro e microscópicas da hipertensão pulmonar
  • 3.
    Hiperemia pulmonar Definição:Hiperemia e congestão são caracterizados pelo aumento de volume sangüíneo em um tecido ou área afetada. É dividida em : hiperemia ativa (é causada por uma dilatação arterial ou arteriolar que provoca um aumento do fluxo sangüíneo nos leitos capilares, com abertura da capilares inativos) hiperemia passiva ou congestão. (decorre de diminuição da drenagem venosa).
  • 4.
    Hiperemia pulmonar Consequênciada hiperemia ativa : aumento da vermelhidão na região afetada. Causa da dilatação arteriolar e arterial . Consequência da hiperemia passiva : coloração azul-avermelhada intensificada nas regiões afetadas, conforme sangue venoso se acumula. Tal coloração aumenta quando há um aumento da concentração de hemoglobina não-oxigenada no sangue.
  • 5.
  • 6.
  • 7.
    Congestão pulmonar passivaaguda caracterizada por pulmões pesados e úmidos, firmes e avermelhados. Este estado pode decorrer de distúrbios hemodinâmicos atribuíveis ao aumento de pressão hidrostática
  • 8.
  • 9.
    Causas: traumas (mecânicosou físicos), aumento da pressão intravascular, doenças na parede vascular (aneurismas, e invasão neoplásica) e diáteses hemorrágicas, devido a alterações no mecanismo de coagulação . Hemorragia pulmonar
  • 10.
    Hemorragia pulmonar ondeobserva-se superfície pulmonar vinhosa principalmente na porção inferior da fotografia onde o aspecto é vinhoso-escuro e borrachoso, caracterítico de uma importante quantidade de sangue localizado no espaço intra-alveolar de origem parenquimatosa .
  • 11.
  • 12.
    Hemoptise: cararterizada pelapresença de sangue coagulado na luz traqueal luz, provavelmente proveniente do parênquima pulmonar. As causas mais comuns de hemoptise são a bronquite e o carcinoma broncogênico .
  • 13.
    Edema pulmonar Definição:presença de líquidos no interior dos alvéolos pulmonares. O edema pulmonar ocorre em decorrência do desequilíbrio de fluidos através da barreira alvéolo-capilar. Patogenicamente pode ser classificado em: cardiogênico ou hidrostático, por aumento da permeabilidade da barreira alvéolo-capilar, diminuição da pressão intersticial dos pulmões e neurogênico.
  • 14.
    Fases na formaçãodo edema pulmonar. Primeira fase: é constituída pelo edema intersticial, que se caracteriza pela ingurgitação do tecido intersticial perivascular e peribrônquica. Podem-se ver os linfáticos alargados e o fluxo nos linfonodos aumenta. Pode ocorrer um certo alargamento do interstício da parede alveolar.
  • 15.
    Fases na formaçãodo edema pulmonar. Segunda fase: é o edema alveolar. Nesta fase o líquido desloca-se para o interior dos alvéolos. Não se compreende completamente como se faz a transição do edema intersticial para o edema alveolar, mas é provável que os linfáticos fiquem sobrecarregados e a pressão no espaço intersticial cresça tanto que o líquido extravase para dentro dos alvéolos. É nesta fase que o edema produzirá os comprometimentos mais importantes na fisiologia respiratória
  • 16.
    Edema pulmonar MacroscopiaPulmões aumentados de peso, de cor avermelhada, firmes e deixando fluir quantidade variável de líquido.
  • 17.
  • 18.
  • 19.
    Edema pulmonar Microscopia:Primeira fase: os septos alveolares encontram-se alargados, devido a edema intersticial. Podem ser vistos macrófagos com pigmento hemossiderínico (marrom). Segunda fase: posteriormente, além do edema intersticial, observa-se líquido nos alvéolos e presença de macrófagos com pigmento hemossiderínico.
  • 20.
  • 21.
  • 22.
  • 23.
    Embolia pulmonar  É o evento caracterizado pela impactação de partículas sólidas, líquidas ou gasosas no leito vascular pulmonar.A obstrução arterial é quase sempre de origem embólica.   Os êmbolos em geral são decorrentes de trombos originários de veias profundas de membros inferiores, após imobilização prolongada ao leito, vegetação de válvulas cardíacas, politraumatismos, barotrauma, dentre outros. As principais repercussões são: morte súbita, hipertensão pulmonar infarto pulmonar.
  • 24.
    Tipos de êmbolos: Êmbolos sólidos: são os mais freqüentes. A grande maioria provêm de trombos de membros inferiores (95% dos caso). Êmbolos líquidos: São menos freqüentes. Classicamente têm-se a embolia amniótica. Êmbolos gordurosos: Esmagamento ósseo e/ou de tecido adiposo ("Crush Syndrome"); Injeção de grandes volumes de substâncias oleosas via endovenosa; Êmbolos gasosos.  
  • 25.
  • 26.
  • 27.
    Causas Que Predispõemà Formação de êmbolos: Essas condições incluem: • Cirurgia • Repouso prolongado ao leito ou inatividade (como permanecer sentado em viagens prolongadas de carro ou de avião) • Acidente vascular cerebral • Infarto do miocárdio • Obesidade • Fratura do quadril ou da perna • Aumento da tendência à coagulação do sangue (como ocorre em certos cânceres ou com o uso de contraceptivos orais ou na deficiência hereditária de um inibidor da coagulação sangüínea)
  • 28.
  • 29.
    Embolia pulmonar porTumor de Wilms. HE, 80x
  • 30.
  • 31.
  • 32.
    Infarto Pulmonar Alteraçãovascular, em geral secundária a embolia pulmonar. O fato do pulmão apresentar dupla circulação (brônquica e arterial) confere proteção ao território envolvido pelo episódios embólicos. Por isto, a oclusão de um pequeno ramo da artéria pulmonar, em geral, não tem maiores conseqüências ao parênquima pulmonar. .
  • 33.
    Infarto Pulmonar Macroscopia: em geral, localizam-se nos lobos inferiores, têm forma de cunha, com a base voltada para a pleura. Têm cor avermelhada e limites bem delimitados. Com o passar do tempo a lesão muda para acastanhada. Inicia-se o processo de reparação fibrosa e o infarto é substituído por cicatriz fibrótica cinza
  • 34.
    Infarto Pulmonar Macroscopia:Observa-se necrose do parênquima pulmonar, com hemorragia alveolar e congestão capilar na periferia. Com o passar do tempo, observam-se macrófagos, com pigmento hemossiderínico.
  • 35.
  • 36.
  • 37.
  • 38.
  • 39.
    Hemorragia e necrosedo tecido pulmonar. HE, 32x
  • 40.
  • 41.
  • 42.
    Caso clínico : EAP 68 anos, sabidamente hipertenso, com várias internações devido a crise hipertensiva. Iniciou com dispnéia subita e intensa, com eliminação de secreção “rósea”. Foi atendido no Pronto Socorro. PA: 200\120 mmHg. Ausculta pulmonar: diminuição do múrmurio e crepitações difusas. Apesar das medidas terapêuticas instituídas evolui para o óbito. Faça a correlação anátomo-clínica
  • 43.
  • 44.
    Macroscopia Microscopia AnatomiaPatológica Doença Fisopatologia
  • 45.
    Lâmina 33 –Embolia Gordurosa Pulmonar. HE  -    identificar o órgão (pulmão) -   o bservar alvéolos e septos. Presença de êmbolos gordurosos no interior de vasos Lâmina 57 – Infarto Pulmonar. HE   identificar o órgão (pulmão) -     observar alvéolos e septos. -     observar na área do infarto estruturas “fantasmas” de alvéolos, vasos e brônquios. Hemorragia e congestão na periferia do infarto.
  • 46.
    Lâmina 48 –Hemorragia Pulmonar (HE)  -    identificar o órgão (pulmão) -   observar alvéolos e septos. observar hemácias no espaço extravascular. Presença de macrófagos com pigmento hemossiderínico. Peça 1 – Infarto hemorrágico (Macroscopia) identificar segmento do pulmão -    congestão pulmonar com aspecto de “hepatização” -    observar presença de área enegrecida, periférica, de limites bem delimitados.