Figado e Vias Biliares

Monitoria de Diagnóstico por Imagem
Acad. Pedro Rafael Del Santo Magno
              2012/2
Fígado
•   Segundo maior órgão do corpo humano.
•   1500g.
•   Metabólica. Reserva. Secretor.
•   Recebe todos as substancias vindo do trato
    gastrointestinal.
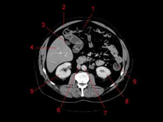
Superfícies e Recessos
• Superfície diafragmática e visceral.
• Recesso subfrênico
   – Dividido pelo ligamento falciforme.
   – Abcessos.
• Espaço sub-hepático
   – Recesso Hepatorrenal
• Ligamento coronário, redondo e venoso.
• Fossa para vesícula biliar e sulco da veia cava inf.
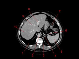
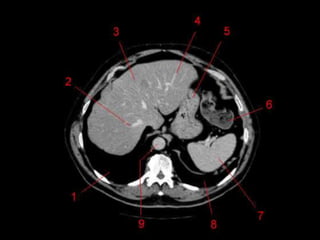
• Porta Hepática
Lobos Anatômicos
• Lobo Direito e Esquerdo
  – Dividido pelo ligamento falciforme.
• Lobo Quadrado e Lobo Caudado
  – Fissuras sagitais esquerdas e direitas e divididos
    pela porta hepática.
  – Lobo Caudado é superior ao lobo quadrado.
Subdivisão Funcional
Subdivisão Funcional
• Alem de anatômico, os lobos direito e
  esquerdos são divididos funcionalmente.
  – Cada um recebe sua tronco primário da artéria
    hepática, tem sua própria veia portal e drena para
    o seu próprio ducto hepático.
• Caudado também funciona separadamente.
  – “Terceiro fígado”
• Depois pode ser divido em 4 partes e 8
  segmentos ressecáveis cirurgicamente.
Subdivisão Funcional
• Os oito segmentos são divididos:
  – A primeira divisão é realizada dividindo através da
    Porta Hepática, em esquerdo (I a IV) e direito (V a VIII)
  – A divisão é feita baseada em um relógio
  – Caudado é o segmento I
  – No ‘lobo’ esquerdo, o IV separa-se do II e do III pela
    veia hepática esquerda, representado
    anatomicamente pelo ligamento falciforme.
  – II e III se dividem através de uma linha imaginária
    transversal na altura da porta hepática.
  – No ‘lobo’ direito, se divide os segmentos através de
    uma linha transversal e pela veia hepática direita.
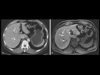
Subdivisão Funcional
• Fundamental importância para Ressecção.
• Maioria das lesões são do fígado direito.
Vasos Hepáticos
• Veia porta
  – Formada pela união da Veia Esplênica e Mesentérica
    Superior
• Artéria Hepática
  – Segmento da Tronco Celíaco
  – Dividida em Comum e Própria pelo surgimento da artéria
    gastroduodenal.
• Na maioria das pessoas, a artéria é anterior a veia
  (91%). Na maioria das pessoas, a artéria hepática
  direita passa atrás do ducto hepático comum. (64%)
Técnicas de Imagem
• US: Primeiro exame pedido ao: 1) dor no
  hipocondrio direito; 2) testes de função
  hepáticas anormais; 3) suspeita de
  malignidade.
• TC: Tres fases
  – Arterial (10 a 20 segundos)
  – Fase venosa portal ( 30 segundos )
  – Fase venosa hepática (60 segundos)
• TC Portografia: Metastases.
Vias Biliares
• Função de carrear a bile do fígado para o
  duodeno.
• Intra-hepáticas: 3mm
• Bile é produzido continuamente pelo fígado e
  armazenada na vesícula.
• Ductos hepáticos D e E > Ducto hepático
  comum. (3 – 6 mm)
• Ducto Hepático Comum + Ducto Cístico >
  Ducto Colédoco. ( 8mm)
Ducto Colédoco
• 5 – 15 cm
• Finaliza seu percurso no duodeno (lado medial
  da porção descendente), passando
  posteriormente à cabeça do pâncreas.
• Se liga ao ducto pancreático no meio do
  caminho formando a ampola
  hepatopancreatica (Vater), terminando na
  papila duodenal maior. (Esfincter de Oddi)
Vesicula Biliar
• Localizado na superficie visceral, entre o
  fígado direito e esquerdo.
• 50 ml de bile.
• Dividido em Fundo, Corpo, Colo e Infundíbulo.
• Peritônio recobre o fundo, e aproxima o corpo
  e o colo ao fígado
• CT: 4-5mm
  – Parede: 1 – 3,5 mm.
Técnicas de Imagem
• Rx:
  – 10 – 15% das colelitiases, estão calcificadas e
    identificáveis no RX
  – Pode ser visto também a vesícula em “porcelana.”
  – Gás pode ser visto dentro das pedra: Sinal de
    Mercedes-Benz
  – Colecistografia oral: Ingesta de composto iodado.
    Atualmente susbstituído pelo US
Técnicas de Imagem
• US
  – Método de escolha
• Colecintigrafia
  – Estudo dinâmico. Ver obstruções.
• Colangiografia
  – CPRE: Diagnóstica e Terapêutica.
• TC
  – Menos sensível que US para detectar dilatação.

Figado

  • 1.
    Figado e ViasBiliares Monitoria de Diagnóstico por Imagem Acad. Pedro Rafael Del Santo Magno 2012/2
  • 2.
    Fígado • Segundo maior órgão do corpo humano. • 1500g. • Metabólica. Reserva. Secretor. • Recebe todos as substancias vindo do trato gastrointestinal.
  • 3.
    Superfícies e Recessos •Superfície diafragmática e visceral. • Recesso subfrênico – Dividido pelo ligamento falciforme. – Abcessos. • Espaço sub-hepático – Recesso Hepatorrenal • Ligamento coronário, redondo e venoso. • Fossa para vesícula biliar e sulco da veia cava inf. • Porta Hepática
  • 5.
    Lobos Anatômicos • LoboDireito e Esquerdo – Dividido pelo ligamento falciforme. • Lobo Quadrado e Lobo Caudado – Fissuras sagitais esquerdas e direitas e divididos pela porta hepática. – Lobo Caudado é superior ao lobo quadrado.
  • 7.
  • 8.
    Subdivisão Funcional • Alemde anatômico, os lobos direito e esquerdos são divididos funcionalmente. – Cada um recebe sua tronco primário da artéria hepática, tem sua própria veia portal e drena para o seu próprio ducto hepático. • Caudado também funciona separadamente. – “Terceiro fígado” • Depois pode ser divido em 4 partes e 8 segmentos ressecáveis cirurgicamente.
  • 12.
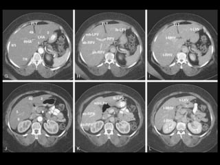
    Subdivisão Funcional • Osoito segmentos são divididos: – A primeira divisão é realizada dividindo através da Porta Hepática, em esquerdo (I a IV) e direito (V a VIII) – A divisão é feita baseada em um relógio – Caudado é o segmento I – No ‘lobo’ esquerdo, o IV separa-se do II e do III pela veia hepática esquerda, representado anatomicamente pelo ligamento falciforme. – II e III se dividem através de uma linha imaginária transversal na altura da porta hepática. – No ‘lobo’ direito, se divide os segmentos através de uma linha transversal e pela veia hepática direita.
  • 13.
    Subdivisão Funcional • Fundamentalimportância para Ressecção. • Maioria das lesões são do fígado direito.
  • 17.
    Vasos Hepáticos • Veiaporta – Formada pela união da Veia Esplênica e Mesentérica Superior • Artéria Hepática – Segmento da Tronco Celíaco – Dividida em Comum e Própria pelo surgimento da artéria gastroduodenal. • Na maioria das pessoas, a artéria é anterior a veia (91%). Na maioria das pessoas, a artéria hepática direita passa atrás do ducto hepático comum. (64%)
  • 18.
    Técnicas de Imagem •US: Primeiro exame pedido ao: 1) dor no hipocondrio direito; 2) testes de função hepáticas anormais; 3) suspeita de malignidade. • TC: Tres fases – Arterial (10 a 20 segundos) – Fase venosa portal ( 30 segundos ) – Fase venosa hepática (60 segundos) • TC Portografia: Metastases.
  • 35.
    Vias Biliares • Funçãode carrear a bile do fígado para o duodeno. • Intra-hepáticas: 3mm • Bile é produzido continuamente pelo fígado e armazenada na vesícula. • Ductos hepáticos D e E > Ducto hepático comum. (3 – 6 mm) • Ducto Hepático Comum + Ducto Cístico > Ducto Colédoco. ( 8mm)
  • 37.
    Ducto Colédoco • 5– 15 cm • Finaliza seu percurso no duodeno (lado medial da porção descendente), passando posteriormente à cabeça do pâncreas. • Se liga ao ducto pancreático no meio do caminho formando a ampola hepatopancreatica (Vater), terminando na papila duodenal maior. (Esfincter de Oddi)
  • 39.
    Vesicula Biliar • Localizadona superficie visceral, entre o fígado direito e esquerdo. • 50 ml de bile. • Dividido em Fundo, Corpo, Colo e Infundíbulo. • Peritônio recobre o fundo, e aproxima o corpo e o colo ao fígado • CT: 4-5mm – Parede: 1 – 3,5 mm.
  • 40.
    Técnicas de Imagem •Rx: – 10 – 15% das colelitiases, estão calcificadas e identificáveis no RX – Pode ser visto também a vesícula em “porcelana.” – Gás pode ser visto dentro das pedra: Sinal de Mercedes-Benz – Colecistografia oral: Ingesta de composto iodado. Atualmente susbstituído pelo US
  • 44.
    Técnicas de Imagem •US – Método de escolha • Colecintigrafia – Estudo dinâmico. Ver obstruções. • Colangiografia – CPRE: Diagnóstica e Terapêutica. • TC – Menos sensível que US para detectar dilatação.