CONDENSAÇÃO PULMONAR
OBSTRUÇÃO BRONQUICA
SINDROMES
FACULDADE DE MEDICINA
PROF ELIZABETE NUNES
CONDENSAÇÃO PULMONAR
Congestão intersticial
Exsudação intraalveolar
Hepatização
Solidificação alveolos e
Tecido intraalveolar
1º
periodo
2º
periodo
1º PERIODO PNEUMONIA 2º PERIODO
 INSP: mobilidade <
 VV: aumentadas
 PERCU: macicez ou sub
 AUSC: fervores
crepitantes
 Imobilidade
 Aumentadas
 Macicez
 Fervores crepitantes e
Sopro tubárico
 Broncofonia
 Peterioloquia
Respiração bronquial Respiração alveolar
X
Broncofonia- A voz normal ouve-se intensamente com tonalidade mais aguda
Pectoriloquia- ouve-se nitidamente as palavras e sílabas
BRONCOPNEUMONIA
 Focos de pneumonia dispersos em pulmão são
 INSP: mobilidade menor
 TVV: aumentadas
 PERCUSS: submacicez ou macicez se focos
confluentes
 AUSC: Fervores crepitantes e crepitantes finos
10
FERVORES
CREPITANTES OU ALVEOLARES
 Humidos, surgem no
final da inspiração
 Soam como secos,
parecendo o apertar de
cabelos nos dedos
 Expressão de
despregamento do
alveolo preenchido
durante a inspiração
 Edema pulmonar
 Enfarte do Pulmão
 Alveolite
 Pneumonia
11
FERVORES
SUBCREPITANTES OU BOLHOSOS
 Pequenas, médias e
grandes bolhas
 Som gorgolejante pela
passagem de ar pelos
bronq cheios,
cavidades ou alveolos
preenchidos
 Audíveis nos 2 tempos
 Processos
patológicos
bronquicos e
broncoplumonares
hipersecretantes
 Bronquites
 Bronquiectasias
 Condensações na
fase de resolução
ETIOLOGIA
 A idade é o melhor preditor da etiologia
 Dois primeiros anos de vida, os VÍRUS são os
agentes mais freqüentes.
 Com o aumento da idade, as BACTÉRIAS tornam-se
mais prevalentes.
 Pneumonia de origem comunitária, em países em
desenvolvimento, evidenciaram a presença de
bactérias em torno de 50 a 60%.
PNEUMONIA EM CRIANÇAS
ETIOLOGIA
Crianças menores de cinco anos
Streptococcus pneumoniae
Haemophylus influenzae
Stafilococcus aureus
Crianças menores de dois meses
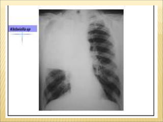
Bactérias gram-negativas (Klebsiela, E. coli)
Clamídia tracomatis
Crianças maiores de cinco anos
Streptococcus pneumoniae
Micoplama pneumoniae
VÍRUS
COMO RECONHECER?
 História clínica
 Exame físico
 Radiografia de tórax
 Quando persistirem dúvidas, podem ser realizados
exames laboratoriais que auxiliem no diagnóstico
diferencial.
SINTOMAS
 A pneumonia é tipicamente, um quadro de
apresentação aguda com sintomas de 2 a 6
dias.
 tosse produtiva ou eventualmente, seca: na
fase inicial a expectoração é em pequena
quantidade e pode ter aspecto mucóide,
evoluindo freqüentemente para o aspecto
 dor torácica pleurítica: é localizada e piora
com a tosse e inspiração profunda
 dispnéia: geralmente ausente nos quadros
leves. Quando presente, caracteriza sempre
um quadro grave;
SINTOMAS
 febre: está presente na quase totalidade dos
casos, a exceção de idosos debilitados e pacientes
imunodeprimidos.
 Astenia: sintoma muito frequente na
pneumonia, às vezes com prostração acentuada.
 Outros sintomas gerais como mialgia
generalizada, suores, calafrios, dor de garganta e
anorexia são observados com freqüência variável.
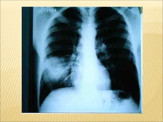
RADIOGRAFIA DE TÓRAX
 PA e perfil
 Permitir diagnóstico mais acurado de pneumonia
 Avaliar a extensão do processo pneumônico
 Mostrar presença de complicações (pneumatoceles,
derrame, abscesso)
 Orientar o diagnóstico diferencial
 Contribuir na decisão de internar ou não o paciente e
na escolha do antimicrobiano.
PADRÃO RADIOLÓGICO
• imagem de padrão alveolar do tipo consolidação com
broncograma aéreo, unilateral;
• imagens alveolares sem caracterização completa de consolidação;
• imagens intersticiais, reticulares ou reticulonodulares uni ou
bilaterais.
- RX SEMPRE ASSOCIADO COM QUADRO CLÍNICO.
- ajuda na definição da gravidade do quadro - envolvimento
multilobar e principalmente bilateral se associa à maior gravidade.
- presença de derrame pleural pode também significar maior
gravidade, principalmente quando de grande volume ou quando
associada a persistência de febre apesar do uso de antibióticos,
pensar na possibilidade de empiema pleural.
PADRÕES RADIOLÓGICOS PRINCIPAIS NAS
PNEUMONIAS
 Padrão intersticial: espessamento peribrônquico e infiltrado
intersticial difuso, hiperinsuflação, mais sugestivo de infecção viral
(ou asma).
 Padrão alveolar: condensações lobares ou segmentares,
especialmente quando associado a pneumatoceles, derrame ou
abscesso, sugere fortemente etiologia bacteriana.
 Controle radiológico do tratamento: nos casos complicados, com
evolução desfavorável, e nas pneumonias de repetição.
PNEUMONIA SEGMENTAR
PN. PNEUMOCÓCICA
PN. ESTAFILOCÓCICA
Pneumonia por anaeróbios
LABORATORIAL:
-Definitivo - identificação do ag. etiol. no sangue, líq. pleural,
aspirado pul., frag. do pulmão; e ainda - métodos
imunológicos ou de biologia molecular.
1- HEMOGRAMA
2- GASOMETRIA: se SO2<90%
3- EXPECTORAÇÃO
4- HEMOCULTURAS: + 11% PAC, + freq. Pn. Pneumocócica
sensibilidade: 8-20%
5- PESQUISA DE ANTÍGENOS: S. Pneumoniae- urina-
sens.86% -
espec.+94%
Legionella - sens. 50-60%
- espec. + de 95%
SINDROME OBSTRUCÇÃO BRONQUICA
DPOC
 Entidade caracterizada pela obstrução
crónica ao fluxo aéreo, de evolução lenta e
irreversível.
 Combina 2 entidades
 ENFISEMA e BRONQUITE CRÓNICA.
▪ DPOC - termo usado para descrever obstrução das vias
aéreas devido à bronquite crônica ou ao enfisema pulmonar
▪ Apesar de anátomo-patológicamente estas doenças serem
diferente, elas são estudadas, do ponto de vista terapêutico,
como uma única entidade.
▪ Habitualmente essas 2 doenças estão presentes no
mesmo doente, podendo predominar os sintomas de uma ou
outra.
▪ O grau de obstrução das vias aéreas e a quantidade de
tecido danificado determinam a severidade da doença.
DOENÇA PULMONAR OBSTRUTIVA CRÔNICA
(DPOC)
Patogênese da DPOC
AGENTE NOCIVO
(fumaça de cigarro, poluentes, agentes ocupacionais)
DPOC
Fatores genéticos
Infecções
respiratórias
Outros
INFLAMAÇÃO
Doença das pequenas
vias aéreas
Inflamação das vias aéreas
Remodelamento das vias
aéreas
Destruição do parênquima
Ruptura das ligações alveolares
Redução do recolhimento elástico
LIMITAÇÃO AO FLUXO AÉREO
BRONQUITE CRÔNICA
 Inflamação crônica dos brônquios e
bronquíolos.
 Vias aéreas inflamadas CIRCULA menos ar
para dentro e para fora dos pulmões.
 A irritação dos brônquios resulta em produção
crônica de catarro (muco).
 Caracterizada POR tosse na maioria dos dias
do mês, pelo menos três meses EM dois anos
sucessivos, na ausência de outra causa para a
tosse.
ENFISEMA PULMONAR
 As paredes dos alvéolos são finas e frágeis.
 No enfisema destroi progressivamente os
alvéolos, o que é irreversível.
 À medida que os alvéolos são destruídos, os
pulmões perdem a capacidade de difusão do
oxigênio para o sangue, causando falta de ar. O
pulmão perde elasticidade, o que resulta em
colapso dos brônquios.
DPOC
 Achados semiológicos:
 Tabagismo e Idade > 40 anos
 Tosse crónica geralmente produtiva
 Catarro matinal
 Dispneia de carácter progressivo c/ o esforço
 Hipocratismo digital.
DPOC
 Inspecção:
 Tórax em Barril e c/ pouca motilidade.
 Respiração rápida e superficial
 TE aumentado e uso dos Músculos acessórios da
respiração.
 Palpação:
 Reduzida elasticidade torácica e do FTV
 Difícil percepção do choque de ponta
 Percussão: - Hipersonoridade
 Auscultação: Redução do mv e Sibilos
expiratórios com ↑ do TE
READAPTAÇÕES
DIAGNÓSTICO
EXAMES RADIOLÓGICOS
DIAGNÓSTICO
EXAMES RADIOLÓGICOS
DIAGNÓSTICO
TOMOGRAFIA
DPOC NÃO É ASMA BRÔMQUICA
 Asma Brônquica
 Entidade caracterizada por obstrução episódica
e reverssível do fluxo aéreo.
 Início na Infância + Família asmática.
 Eczema e/ou Rinite e outras alergias.
 Sintomas episódicos - DISPNEIA, TOSSE,
PIEIRA e OPRESSÃO Torácica.
 Pode haver inalante desencadeante da crise.
DPOC NÃO É ASMA BRÔNQUICA
DEFINIÇÃO
 Inflamação crónica das vias aéreas com
 HRB- a uma variedade de estímulos,
estreitamento das v.a.
 Parcial reversibilidade, da obstrucção das
v.a.
NATIONAL INSTITUT OF HEALTH/OMS
10/20/2020
57
10/20/2020
58
FACTORES DESENCADEANTES10/20/2020
60
10/20/2020
61
SINTOMAS ASMA
 Tosse
 Pieira
 Dispneia
 Aperto no peito ou desconforto toráxico
 Predomínio noturno ou nas primeiras horas
da manhã
10/20/2020
62
 Semiologia da crise de Asma:
 Inspecção
 Polipneia, TE aumentado e Tórax em posição
inspiratória.
 Palpação
 Aumento das VTV
 Percussão
 Hipersonoridade
 Auscultação – Sibilos insp ou expirat, ↑ TE.
M.v diminuido
SINDROME DE ATELECTASIA
❖ Obstrução Brônquica
❖ Condiciona retracção e colapso do
parênquima periférico ao brônquio
obstruido.
ATELECTASIA
 Causas:
 Tumor endobrônquico
 Adenopatias compressivas
 Aspiração de Corpo estranho
 Estenose brônquica
 Rolhões brônquicos
ATELECTASIA
 Inspecção:
 Hipomotilidade, retracção e redução dos
espaços intercostais local. Desvio da Traqueia e
do Choque de Ponta para o lado lesado.
 Palpação:
  da Expansividade e  das VTV
 Percussão: Macicez ou Sub-macicez
 Auscultação:  ou Abolição do mv
#Síndromes de condensação e obstrutivos.pdf

#Síndromes de condensação e obstrutivos.pdf

  • 1.
  • 2.
  • 6.
    Congestão intersticial Exsudação intraalveolar Hepatização Solidificaçãoalveolos e Tecido intraalveolar 1º periodo 2º periodo
  • 8.
    1º PERIODO PNEUMONIA2º PERIODO  INSP: mobilidade <  VV: aumentadas  PERCU: macicez ou sub  AUSC: fervores crepitantes  Imobilidade  Aumentadas  Macicez  Fervores crepitantes e Sopro tubárico  Broncofonia  Peterioloquia Respiração bronquial Respiração alveolar X Broncofonia- A voz normal ouve-se intensamente com tonalidade mais aguda Pectoriloquia- ouve-se nitidamente as palavras e sílabas
  • 9.
    BRONCOPNEUMONIA  Focos depneumonia dispersos em pulmão são  INSP: mobilidade menor  TVV: aumentadas  PERCUSS: submacicez ou macicez se focos confluentes  AUSC: Fervores crepitantes e crepitantes finos
  • 10.
    10 FERVORES CREPITANTES OU ALVEOLARES Humidos, surgem no final da inspiração  Soam como secos, parecendo o apertar de cabelos nos dedos  Expressão de despregamento do alveolo preenchido durante a inspiração  Edema pulmonar  Enfarte do Pulmão  Alveolite  Pneumonia
  • 11.
    11 FERVORES SUBCREPITANTES OU BOLHOSOS Pequenas, médias e grandes bolhas  Som gorgolejante pela passagem de ar pelos bronq cheios, cavidades ou alveolos preenchidos  Audíveis nos 2 tempos  Processos patológicos bronquicos e broncoplumonares hipersecretantes  Bronquites  Bronquiectasias  Condensações na fase de resolução
  • 13.
    ETIOLOGIA  A idadeé o melhor preditor da etiologia  Dois primeiros anos de vida, os VÍRUS são os agentes mais freqüentes.  Com o aumento da idade, as BACTÉRIAS tornam-se mais prevalentes.  Pneumonia de origem comunitária, em países em desenvolvimento, evidenciaram a presença de bactérias em torno de 50 a 60%.
  • 14.
    PNEUMONIA EM CRIANÇAS ETIOLOGIA Criançasmenores de cinco anos Streptococcus pneumoniae Haemophylus influenzae Stafilococcus aureus Crianças menores de dois meses Bactérias gram-negativas (Klebsiela, E. coli) Clamídia tracomatis Crianças maiores de cinco anos Streptococcus pneumoniae Micoplama pneumoniae VÍRUS
  • 16.
    COMO RECONHECER?  Históriaclínica  Exame físico  Radiografia de tórax  Quando persistirem dúvidas, podem ser realizados exames laboratoriais que auxiliem no diagnóstico diferencial.
  • 17.
    SINTOMAS  A pneumoniaé tipicamente, um quadro de apresentação aguda com sintomas de 2 a 6 dias.  tosse produtiva ou eventualmente, seca: na fase inicial a expectoração é em pequena quantidade e pode ter aspecto mucóide, evoluindo freqüentemente para o aspecto  dor torácica pleurítica: é localizada e piora com a tosse e inspiração profunda  dispnéia: geralmente ausente nos quadros leves. Quando presente, caracteriza sempre um quadro grave;
  • 18.
    SINTOMAS  febre: estápresente na quase totalidade dos casos, a exceção de idosos debilitados e pacientes imunodeprimidos.  Astenia: sintoma muito frequente na pneumonia, às vezes com prostração acentuada.  Outros sintomas gerais como mialgia generalizada, suores, calafrios, dor de garganta e anorexia são observados com freqüência variável.
  • 19.
    RADIOGRAFIA DE TÓRAX PA e perfil  Permitir diagnóstico mais acurado de pneumonia  Avaliar a extensão do processo pneumônico  Mostrar presença de complicações (pneumatoceles, derrame, abscesso)  Orientar o diagnóstico diferencial  Contribuir na decisão de internar ou não o paciente e na escolha do antimicrobiano.
  • 20.
    PADRÃO RADIOLÓGICO • imagemde padrão alveolar do tipo consolidação com broncograma aéreo, unilateral; • imagens alveolares sem caracterização completa de consolidação; • imagens intersticiais, reticulares ou reticulonodulares uni ou bilaterais. - RX SEMPRE ASSOCIADO COM QUADRO CLÍNICO. - ajuda na definição da gravidade do quadro - envolvimento multilobar e principalmente bilateral se associa à maior gravidade. - presença de derrame pleural pode também significar maior gravidade, principalmente quando de grande volume ou quando associada a persistência de febre apesar do uso de antibióticos, pensar na possibilidade de empiema pleural.
  • 21.
    PADRÕES RADIOLÓGICOS PRINCIPAISNAS PNEUMONIAS  Padrão intersticial: espessamento peribrônquico e infiltrado intersticial difuso, hiperinsuflação, mais sugestivo de infecção viral (ou asma).  Padrão alveolar: condensações lobares ou segmentares, especialmente quando associado a pneumatoceles, derrame ou abscesso, sugere fortemente etiologia bacteriana.  Controle radiológico do tratamento: nos casos complicados, com evolução desfavorável, e nas pneumonias de repetição.
  • 24.
  • 25.
  • 26.
  • 27.
  • 31.
    LABORATORIAL: -Definitivo - identificaçãodo ag. etiol. no sangue, líq. pleural, aspirado pul., frag. do pulmão; e ainda - métodos imunológicos ou de biologia molecular. 1- HEMOGRAMA 2- GASOMETRIA: se SO2<90% 3- EXPECTORAÇÃO 4- HEMOCULTURAS: + 11% PAC, + freq. Pn. Pneumocócica sensibilidade: 8-20% 5- PESQUISA DE ANTÍGENOS: S. Pneumoniae- urina- sens.86% - espec.+94% Legionella - sens. 50-60% - espec. + de 95%
  • 35.
  • 36.
    DPOC  Entidade caracterizadapela obstrução crónica ao fluxo aéreo, de evolução lenta e irreversível.  Combina 2 entidades  ENFISEMA e BRONQUITE CRÓNICA.
  • 37.
    ▪ DPOC -termo usado para descrever obstrução das vias aéreas devido à bronquite crônica ou ao enfisema pulmonar ▪ Apesar de anátomo-patológicamente estas doenças serem diferente, elas são estudadas, do ponto de vista terapêutico, como uma única entidade. ▪ Habitualmente essas 2 doenças estão presentes no mesmo doente, podendo predominar os sintomas de uma ou outra. ▪ O grau de obstrução das vias aéreas e a quantidade de tecido danificado determinam a severidade da doença. DOENÇA PULMONAR OBSTRUTIVA CRÔNICA (DPOC)
  • 38.
    Patogênese da DPOC AGENTENOCIVO (fumaça de cigarro, poluentes, agentes ocupacionais) DPOC Fatores genéticos Infecções respiratórias Outros
  • 39.
    INFLAMAÇÃO Doença das pequenas viasaéreas Inflamação das vias aéreas Remodelamento das vias aéreas Destruição do parênquima Ruptura das ligações alveolares Redução do recolhimento elástico LIMITAÇÃO AO FLUXO AÉREO
  • 40.
    BRONQUITE CRÔNICA  Inflamaçãocrônica dos brônquios e bronquíolos.  Vias aéreas inflamadas CIRCULA menos ar para dentro e para fora dos pulmões.  A irritação dos brônquios resulta em produção crônica de catarro (muco).  Caracterizada POR tosse na maioria dos dias do mês, pelo menos três meses EM dois anos sucessivos, na ausência de outra causa para a tosse.
  • 43.
    ENFISEMA PULMONAR  Asparedes dos alvéolos são finas e frágeis.  No enfisema destroi progressivamente os alvéolos, o que é irreversível.  À medida que os alvéolos são destruídos, os pulmões perdem a capacidade de difusão do oxigênio para o sangue, causando falta de ar. O pulmão perde elasticidade, o que resulta em colapso dos brônquios.
  • 46.
    DPOC  Achados semiológicos: Tabagismo e Idade > 40 anos  Tosse crónica geralmente produtiva  Catarro matinal  Dispneia de carácter progressivo c/ o esforço  Hipocratismo digital.
  • 47.
    DPOC  Inspecção:  Tóraxem Barril e c/ pouca motilidade.  Respiração rápida e superficial  TE aumentado e uso dos Músculos acessórios da respiração.  Palpação:  Reduzida elasticidade torácica e do FTV  Difícil percepção do choque de ponta  Percussão: - Hipersonoridade  Auscultação: Redução do mv e Sibilos expiratórios com ↑ do TE
  • 48.
  • 49.
  • 50.
  • 52.
  • 54.
    DPOC NÃO ÉASMA BRÔMQUICA  Asma Brônquica  Entidade caracterizada por obstrução episódica e reverssível do fluxo aéreo.  Início na Infância + Família asmática.  Eczema e/ou Rinite e outras alergias.  Sintomas episódicos - DISPNEIA, TOSSE, PIEIRA e OPRESSÃO Torácica.  Pode haver inalante desencadeante da crise.
  • 56.
    DPOC NÃO ÉASMA BRÔNQUICA
  • 57.
    DEFINIÇÃO  Inflamação crónicadas vias aéreas com  HRB- a uma variedade de estímulos, estreitamento das v.a.  Parcial reversibilidade, da obstrucção das v.a. NATIONAL INSTITUT OF HEALTH/OMS 10/20/2020 57
  • 58.
  • 60.
  • 61.
  • 62.
    SINTOMAS ASMA  Tosse Pieira  Dispneia  Aperto no peito ou desconforto toráxico  Predomínio noturno ou nas primeiras horas da manhã 10/20/2020 62
  • 63.
     Semiologia dacrise de Asma:  Inspecção  Polipneia, TE aumentado e Tórax em posição inspiratória.  Palpação  Aumento das VTV  Percussão  Hipersonoridade  Auscultação – Sibilos insp ou expirat, ↑ TE. M.v diminuido
  • 64.
    SINDROME DE ATELECTASIA ❖Obstrução Brônquica ❖ Condiciona retracção e colapso do parênquima periférico ao brônquio obstruido.
  • 65.
    ATELECTASIA  Causas:  Tumorendobrônquico  Adenopatias compressivas  Aspiração de Corpo estranho  Estenose brônquica  Rolhões brônquicos
  • 66.
    ATELECTASIA  Inspecção:  Hipomotilidade,retracção e redução dos espaços intercostais local. Desvio da Traqueia e do Choque de Ponta para o lado lesado.  Palpação:   da Expansividade e  das VTV  Percussão: Macicez ou Sub-macicez  Auscultação:  ou Abolição do mv