HUSM
SERVIÇO DE DIAGNÓSTICO POR IMAGEM




   DOENÇA PULMONAR DIFUSA




           R2 RÉGIS SILVA
DPD


-Existem mais de 200 formas clínicas de DPD de causas conhecidas.


-Pode resultar de causa agudas ou crônicas.
   -   DPI
   -   Processos do espaço aéreo
   -   Doencas das vias aéreas
   -   Enfisema


-TCAR é o método de escolha para definir o padrão de acometimento
pulmonar.
DPD


Pode ser dividida em seis amplas categorias

1- Relacionadas a doença primária


2- Relacionadas a exposição ambiental


3- Induzidas por drogas


4- Associadas a patologias colagenovasculares


5- Relacionadas ao tabagismo


6- PII
DPD
                          1- Relacionadas a doença primária


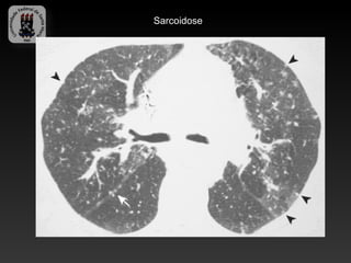
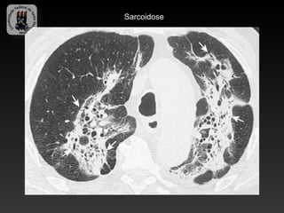
-SARCOIDOSE


-Doença idiopática caracterizada por granulomas não caseosos.
-Envolvimento pulmonar bilateral é o habitual e a linfadenopatia é a manifestação
intratorácica mais comum.
-Cerca de 10% tem radiografia de torax normal.
-Infecção sobreposta é responsável por uma significativa morbidade e mortalidade.
-Achados da TC:
    -   Linfadenopatia (75-80%), calcificações em casca de ovo
    -   Áreas de atenuação em vidro fosco
    -   Nódulos subpleurais e perivascular
    -   Espessamento irregular peribroncovascular e dos septos interlobulares
    -   Predomínio nas regiões médias e superiores
    -   Fibrose – complicação tardia
Sarcoidose
Sarcoidose
Sarcoidose
Sarcoidose
DPD
                   1- Relacionadas a doença primária
-PROTEINOSE ALVEOLAR PULMONAR


-Caracterizado por acúmulo de material fosfolipoproteico, derivado de
surfactante nos espaços alveolares.


-Pode ser adquirida, congênita ou secundária a outras condições


-Radiografia pode mostrar padrão em “borboleta”


-Achados da TC:
    -   Pavimentação mosaico.
Proteinose alveolar
Pneumonia lipoídica
DPD
                    1- Relacionadas a doença primária
-DOENÇA PULMONAR EOSINOFÍLICA


-Caracterizada pelo acúmulo de eosinófilos no interstício e nos espaços
aéreos.
-ABPA, granulomatose broncocêntrica, infecções parasitarias e fúngicas,
reações a drogas, pneumonia eosinofílica aguda e crônica, S.
hipereosinofílica, poliangeíte.


- Pneumonia eosinofílica aguda
    -   Doença febril, aguda e grave, com hipoxemia, febre e infiltrado
        difuso. Eosinofilia no LBA sem asma ou atopia.
    -   TC: densidades reticulares bilaterais difusas, opacidades em vidro
        fosco, espessamento peribroncovascular e septal e pequeno
        derrame pleural.
Pneumonia eosinofílica aguda
Doença pulmonar eosinofílica


-Eosinofilia pulmonar simples/ crônica
    -   Sintomas leves ou ausêntes, a forma crônica pode ter clínica mais
        exuberante.
    -   TC: áreas esparças de opacidade em vidro fosco e consolidação
        do espaço aéreo geralmente periférica e espalhada.
    -   Pode ter nodulos com sinal do halo.


-Aspergilose broncopulmonar alérgica
    -   Asma, eosinofilia sanguinea, infiltrados pulmonares e alergia aos
        antígenos do Aspergillus.
    -   Chiado, dispnéia, tosse produtiva e plug de catarro.
    -   TC: Impactação mucoide no brônquio (opacidade linear ou
        ramificada), vias aéreas lesadas e bronquiectasias.
Aspergilose broncopulmonar alérgica
Doença pulmonar eosinofílica


-Síndrome de Churg-Strauss
   -   Etiologia de desconhecida
   -   Eosinofilia periférica, asma e vasculite sistêmica
   -   TC: nódulos parenquimatos multifocais, espessamento de paredes
       brônquicas e opacidade em vidro fosco.
Síndrome de Churg-Strauss
DPD
                    1- Relacionadas a doença primária
-LINFANGIOLEIMIOMATOSE
-Doença rara de etiologia incerta, caracterizada pela proliferação
desordenada de células musculares lisas.
-Afeta exclusivamente mulheres em idade reprodutiva.
-Achados:
-Finas apacidades reticulonodulares bilaterais (precoce)
-Hiperinsuflasão, faveolamento, reticulados grosseiros, derrames pleurais
quilosos e pneumotorax.
-TC: incontáveis cistos, com paredes finas e espalhados uniformemente.
-Parenquima pulmonar relativamente normal.
LInfangioleiomiomatose
LInfangioleiomiomatose
DPD
                       2- Relacionadas a exposição
          Pneumoconioses e pneumonite por hipersensibilidade


-SILICOSE E DOENÇA DO MINERADOR DE CARVÃO


-Doença fibrótica, causada por inalação de poeira que contem sílica.
-Silicose: crônica, aguda e acelerada.
-Sindrome de Caplan
-TC: nódulos de distribuição centrolobular, mais proeminentes nas
porções posteriores das regiões superiores.
-Calcificações de lifonodos hilares e mediastinais (casca de ovo)
-A progressão dos nódulos leva a fibrose maciça progressiva
(conglomerado de nódulos), cicatrizes parenquimatosas e enfisema
cicatricial.
Silicose
Silicose
DPD
                       2- Relacionadas a exposição
-ASBESTOSE


-Inalação de fibras de asbestos
-TC:
    -   Placas e calcificações pleurais
    -   Espessamento septal interlobular e intralobular,
    -   Opacidades em vidro fosco
    -   Bandas parenquimatosas
    -   Faveolamento
Asbestose
DPD
                        2- Relacionadas a exposição
-PNEUMONIA POR HIPERSENSIBILIDADE


-Ampla gama de antígenos que causam reação imunológica.
-Histopatologia da PH: granulomas mal definidos, bronquiolite e alveolite.
-Pulmão do fazendeiro
-Pulmão do criador de aves
-Pulmão do catador de cogumelos
-Bagaçose
-Pulmão do ar condicionado
-Pulmão do lavador de queijo
-Pulmão do trabalhador do malte
-Doença da casca do bordo …
Pneumonia por hipersensibilidade


-Achados da TC:


-Opacidades em vidro fosco
-Nódulos centro-lobulares predominantemente nos terços médios e
superiores.
-Atenuação em mosaico.
-Cistos pulmonares também podem estar presentes
-A forma crônica caracteriza pela fibrose.
Pneumonia por hipersensibilidade
Pneumonia por hipersensibilidade
DPD
                         3- Induzidas por drogas
-Grande número drogas, tanto citotóxicas, quanto não citotóxicas podem
apresentar efeitos adversos nos pulmões.
-O diagnóstico requer correlação cuidadosa de exposição a droga,
achados clínicos e de imagem.


-Formas:
   -   Lesão alveolar difusa
   -   Pneumonia em organização
   -   Pneumonia eosinofílica
   -   PINE
   -   Hemorragia pulmonar
-Bleomicina, amiodarona, metotrexate, sirolimus…
DPD
    3- Induzidas por drogas




Organizing pneumonia pattern resulting from treatment with bleomycin.
DPD
3- Induzidas por drogas




      Amiodarone lung toxicity
DPD
                 3- Induzidas por drogas




Nonspecific interstitial pneumonia (NSIP) pattern resulting from treatment with bleomycin.
DPD
         3- Induzidas por drogas




Organizing pneumonia pattern resulting from treatment with sirolimus.
DPD
              4- Associada a doenças colagenovasculares
-ARTRITE REUMATOIDE
-É a mais comum doença do tecido conjuntivo
-Mulheres são afetadas 2 a 3 vezes mais do que os homens
-O envolvimento pleural é a manifestação torácica mais comum ( derrame
e espessamento)
-O grau de DPI não necessariamente correlaciona com a severidade de
acometimento articular.
- A DPI associada a AR é histologicamente indistinguível da PIU e a
fibrose pulmonar tem progressão mais lenta.
-Achados TC: nódulos reumatóides, derrame pleural e bronqueolite(áreas
de aprisionamento aéreo), padrão reticular fino.
AR
AR
DPD
               4- Associada a doenças colagenovasculares
-LUPUS ERITEMATOSO SISTÊMICO


-Mais comumente afeta mulheres jovens
-Doença pleuro pulmonar ocorre em mais da metade dos pacientes
-Pleurite, pneumonite inflamatória(lúpica), fibrose pulmonar interticial,
hipertensão pulmonar, pericardite, disfunção diafragmática, hemorragia
alveolar difusa.
-Pneumonite lúpica é pontencialmente fatal (opacidades intersticiais, vidro
fosco, febre e hipoxemia)
-Hemorragia alveolar (opacidades em vidro fosco com espessamento
septal)
LES
Pneumonite lúpica
Hemorragia alveolar
DPD
                4- Associada a doenças colagenovasculares
-ESCLEROSE SISTÊMICA PROGRESSIVA


-A DPI é a complicação mais comum da ESP, ocorre em mais de 75% dos
casos
-Na maioria dos pacientes é subclínica
-Achados TC:
   -   Atenuação em vidro fosco
   -   Opacidades reticulares subpleurais
   -   Distribuição predominantemente periférica e basal
   -   Bronquiectasias
   -   Distorção arquitetural
   -   Derrame ou espessamento pleural
   -   Linfonodomegalias mediastianais
   -   Dilatação esofágica ocorre em 80% dos pacientes com DPI.
Esclerose sistêmica progressiva
DPD
              4- Associada a doenças colagenovasculares
-SÍNDROME DE SJOGREN
-Caracterizada: ceratoconjuntivite seca, xerostomia e desordens do tecido
conjuntivo.
-Manifestações pulmonare: fibrose intersticial, doenças de pequenas vias
aéreas, PIL, linfoma MALT.


-Achados TC (PIL):
   -   Atenuação em vidro fosco
   -   Lesões císticas
   -   Nódulos centrolobulares
   -   Espessamento intersticial
Síndrome de Sjogren
Síndrome de Sjogren - PIL
DPD
               4- Associada a doenças colagenovasculares


-ESPONDILITE ANQUILOSANTE


-Homens jovens de 20 – 40 anos são os mais comumente afetados
-Manifestações precoces são cicatrizes apicais bilaterais
-Bronquiectasias, enfisema parasseptal e traqueobroncomegalia já foram
documentadas
DPD
                 5- Doenças relacionadas ao tabagismo
-PNEUMONIA INTERSTICIAL DESCAMATIVA


-3% das DPI
-Afeta fumantes jovens de 30 – 40 anos
-2H:1M
-Histologicamente: grande número de macrófagos intra alveolares e
infiltrado inflamatório intersticial
-Radiografias habitualmente normais
-Achados TC
   -   Opacidades em vidro fosco bilaterais e difusas com predomínio
       inferior
   -   Faveolamento é raramente visto.
Pneumonia intersticial descamativa
Pneumonia intersticial descamativa
DPD
                 5- Doenças relacionadas ao tabagismo
-HISTIOCITOSE DE CELS DE LANGERHANS


-Patologia de adultos jovens fumantes de 30 – 40 anos.
-Caracterizada pelo acúmulo de cels de Langerhans na superfície epitelial
do trato respiratório.


-Achados TC:
   -   Micronodulos centrolobulares
   -   Cistos lisos que coalescem e formam espaços aéreos bizarros
   -   Predominam nas regiões superiores e geralmente os seios
       costofrênicos são poupados.
HCL
HCL
DPD
                 6- Pneumonias intersticiais idiopáticas


-Apresentam variados padrões de inflamação e fibrose.


-O diagnóstico e a classificação são problemáticas também para os
patologistas.


-PID, DPI-BR, PIU, PINE, COP e PIL
DPD
                   6- Pneumonias intersticiais idiopáticas
-FIBROSE PULMONAR IDIOPÁTICA
-É a PII mais comum, com sobrevida desde o início da dispnéia de 3 a 6
anos.
-Mais frequente em pacientes com mais de 50 anos
-Achados TC:
    -   Atenuação reticular fina simétrica, com opacidades intralobulares
    -   Espessamento septal interlobular
    -   Bronquiectasia de tração
    -   Vidro fosco e faveolamento
-Diag. diferencial: asbestose, d. colagenovasculares, PH crônica e
sarcoidose.
FPI
DPD
                 6- Pneumonias intersticiais idiopáticas


-PNEUMONIA INTERSTICIAL NÃO ESPECÍFICA


-Apresenta prognóstico mais favorável do que PIU
-Apresentação de dispnéia subaguda ou crônica com idade média de 40 –
50 anos.
- Achados TC:
   -   Vidro fosco (pode se o único achado em 1/3 dos pacientes)
   -   Padrão finamente reticular nas regiões inferiores dos pulmões
   -   Faveolamento pode ser visto em pequena parte dos pacientes
   -   Bronquiectasias ocorre com a progressão da fibrose
PINE
DPD
                 6- Pneumonias intersticiais idiopáticas


-PNEUMONIA INTERSTICIAL AGUDA


-Dispnéia e hipoxemia, associado dano alveolar difuso.
-Achados TC:
   -   Densidades esparças bilaterais
   -   Progressão para padrão alveolar difuso.
PIA
DPD
                   6- Pneumonias intersticiais idiopáticas
-PNEUMONIA EM ORGANIZAÇÃO


-Proliferação de tecido de granulação dentro dos espaços aéreos
-Pode ser idiopática ou associada a d. do tec. conjuntivo, infecções,
broncoaspiração e drogas.
- Apresenta-se com instalação subaguda de sintomas semelhantes a
gripe.
-Achados TC:
    -   Áreas esparças uni ou bilaterais de consolidação
    -   Consolidação focal
    -   Nódulos pequenos de mal definidos
    -   Sinal do halo invertido
COP
COP
Referência
D. pulmonar difusa
D. pulmonar difusa
D. pulmonar difusa
D. pulmonar difusa
D. pulmonar difusa
D. pulmonar difusa

D. pulmonar difusa

  • 1.
    HUSM SERVIÇO DE DIAGNÓSTICOPOR IMAGEM DOENÇA PULMONAR DIFUSA R2 RÉGIS SILVA
  • 2.
    DPD -Existem mais de200 formas clínicas de DPD de causas conhecidas. -Pode resultar de causa agudas ou crônicas. - DPI - Processos do espaço aéreo - Doencas das vias aéreas - Enfisema -TCAR é o método de escolha para definir o padrão de acometimento pulmonar.
  • 3.
    DPD Pode ser divididaem seis amplas categorias 1- Relacionadas a doença primária 2- Relacionadas a exposição ambiental 3- Induzidas por drogas 4- Associadas a patologias colagenovasculares 5- Relacionadas ao tabagismo 6- PII
  • 4.
    DPD 1- Relacionadas a doença primária -SARCOIDOSE -Doença idiopática caracterizada por granulomas não caseosos. -Envolvimento pulmonar bilateral é o habitual e a linfadenopatia é a manifestação intratorácica mais comum. -Cerca de 10% tem radiografia de torax normal. -Infecção sobreposta é responsável por uma significativa morbidade e mortalidade. -Achados da TC: - Linfadenopatia (75-80%), calcificações em casca de ovo - Áreas de atenuação em vidro fosco - Nódulos subpleurais e perivascular - Espessamento irregular peribroncovascular e dos septos interlobulares - Predomínio nas regiões médias e superiores - Fibrose – complicação tardia
  • 5.
  • 6.
  • 7.
  • 8.
  • 9.
    DPD 1- Relacionadas a doença primária -PROTEINOSE ALVEOLAR PULMONAR -Caracterizado por acúmulo de material fosfolipoproteico, derivado de surfactante nos espaços alveolares. -Pode ser adquirida, congênita ou secundária a outras condições -Radiografia pode mostrar padrão em “borboleta” -Achados da TC: - Pavimentação mosaico.
  • 10.
  • 11.
  • 12.
    DPD 1- Relacionadas a doença primária -DOENÇA PULMONAR EOSINOFÍLICA -Caracterizada pelo acúmulo de eosinófilos no interstício e nos espaços aéreos. -ABPA, granulomatose broncocêntrica, infecções parasitarias e fúngicas, reações a drogas, pneumonia eosinofílica aguda e crônica, S. hipereosinofílica, poliangeíte. - Pneumonia eosinofílica aguda - Doença febril, aguda e grave, com hipoxemia, febre e infiltrado difuso. Eosinofilia no LBA sem asma ou atopia. - TC: densidades reticulares bilaterais difusas, opacidades em vidro fosco, espessamento peribroncovascular e septal e pequeno derrame pleural.
  • 13.
  • 14.
    Doença pulmonar eosinofílica -Eosinofiliapulmonar simples/ crônica - Sintomas leves ou ausêntes, a forma crônica pode ter clínica mais exuberante. - TC: áreas esparças de opacidade em vidro fosco e consolidação do espaço aéreo geralmente periférica e espalhada. - Pode ter nodulos com sinal do halo. -Aspergilose broncopulmonar alérgica - Asma, eosinofilia sanguinea, infiltrados pulmonares e alergia aos antígenos do Aspergillus. - Chiado, dispnéia, tosse produtiva e plug de catarro. - TC: Impactação mucoide no brônquio (opacidade linear ou ramificada), vias aéreas lesadas e bronquiectasias.
  • 15.
  • 16.
    Doença pulmonar eosinofílica -Síndromede Churg-Strauss - Etiologia de desconhecida - Eosinofilia periférica, asma e vasculite sistêmica - TC: nódulos parenquimatos multifocais, espessamento de paredes brônquicas e opacidade em vidro fosco.
  • 17.
  • 18.
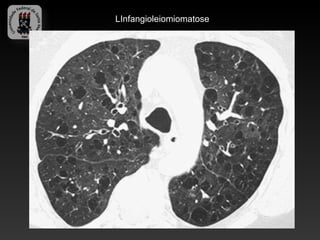
    DPD 1- Relacionadas a doença primária -LINFANGIOLEIMIOMATOSE -Doença rara de etiologia incerta, caracterizada pela proliferação desordenada de células musculares lisas. -Afeta exclusivamente mulheres em idade reprodutiva. -Achados: -Finas apacidades reticulonodulares bilaterais (precoce) -Hiperinsuflasão, faveolamento, reticulados grosseiros, derrames pleurais quilosos e pneumotorax. -TC: incontáveis cistos, com paredes finas e espalhados uniformemente. -Parenquima pulmonar relativamente normal.
  • 19.
  • 20.
  • 21.
    DPD 2- Relacionadas a exposição Pneumoconioses e pneumonite por hipersensibilidade -SILICOSE E DOENÇA DO MINERADOR DE CARVÃO -Doença fibrótica, causada por inalação de poeira que contem sílica. -Silicose: crônica, aguda e acelerada. -Sindrome de Caplan -TC: nódulos de distribuição centrolobular, mais proeminentes nas porções posteriores das regiões superiores. -Calcificações de lifonodos hilares e mediastinais (casca de ovo) -A progressão dos nódulos leva a fibrose maciça progressiva (conglomerado de nódulos), cicatrizes parenquimatosas e enfisema cicatricial.
  • 22.
  • 23.
  • 24.
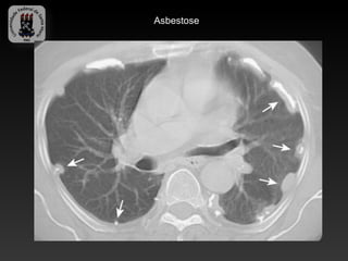
    DPD 2- Relacionadas a exposição -ASBESTOSE -Inalação de fibras de asbestos -TC: - Placas e calcificações pleurais - Espessamento septal interlobular e intralobular, - Opacidades em vidro fosco - Bandas parenquimatosas - Faveolamento
  • 25.
  • 26.
    DPD 2- Relacionadas a exposição -PNEUMONIA POR HIPERSENSIBILIDADE -Ampla gama de antígenos que causam reação imunológica. -Histopatologia da PH: granulomas mal definidos, bronquiolite e alveolite. -Pulmão do fazendeiro -Pulmão do criador de aves -Pulmão do catador de cogumelos -Bagaçose -Pulmão do ar condicionado -Pulmão do lavador de queijo -Pulmão do trabalhador do malte -Doença da casca do bordo …
  • 27.
    Pneumonia por hipersensibilidade -Achadosda TC: -Opacidades em vidro fosco -Nódulos centro-lobulares predominantemente nos terços médios e superiores. -Atenuação em mosaico. -Cistos pulmonares também podem estar presentes -A forma crônica caracteriza pela fibrose.
  • 28.
  • 29.
  • 30.
    DPD 3- Induzidas por drogas -Grande número drogas, tanto citotóxicas, quanto não citotóxicas podem apresentar efeitos adversos nos pulmões. -O diagnóstico requer correlação cuidadosa de exposição a droga, achados clínicos e de imagem. -Formas: - Lesão alveolar difusa - Pneumonia em organização - Pneumonia eosinofílica - PINE - Hemorragia pulmonar -Bleomicina, amiodarona, metotrexate, sirolimus…
  • 31.
    DPD 3- Induzidas por drogas Organizing pneumonia pattern resulting from treatment with bleomycin.
  • 32.
    DPD 3- Induzidas pordrogas Amiodarone lung toxicity
  • 33.
    DPD 3- Induzidas por drogas Nonspecific interstitial pneumonia (NSIP) pattern resulting from treatment with bleomycin.
  • 34.
    DPD 3- Induzidas por drogas Organizing pneumonia pattern resulting from treatment with sirolimus.
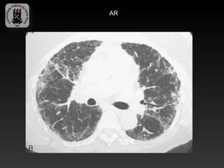
  • 35.
    DPD 4- Associada a doenças colagenovasculares -ARTRITE REUMATOIDE -É a mais comum doença do tecido conjuntivo -Mulheres são afetadas 2 a 3 vezes mais do que os homens -O envolvimento pleural é a manifestação torácica mais comum ( derrame e espessamento) -O grau de DPI não necessariamente correlaciona com a severidade de acometimento articular. - A DPI associada a AR é histologicamente indistinguível da PIU e a fibrose pulmonar tem progressão mais lenta. -Achados TC: nódulos reumatóides, derrame pleural e bronqueolite(áreas de aprisionamento aéreo), padrão reticular fino.
  • 36.
  • 37.
  • 38.
    DPD 4- Associada a doenças colagenovasculares -LUPUS ERITEMATOSO SISTÊMICO -Mais comumente afeta mulheres jovens -Doença pleuro pulmonar ocorre em mais da metade dos pacientes -Pleurite, pneumonite inflamatória(lúpica), fibrose pulmonar interticial, hipertensão pulmonar, pericardite, disfunção diafragmática, hemorragia alveolar difusa. -Pneumonite lúpica é pontencialmente fatal (opacidades intersticiais, vidro fosco, febre e hipoxemia) -Hemorragia alveolar (opacidades em vidro fosco com espessamento septal)
  • 39.
  • 40.
  • 41.
    DPD 4- Associada a doenças colagenovasculares -ESCLEROSE SISTÊMICA PROGRESSIVA -A DPI é a complicação mais comum da ESP, ocorre em mais de 75% dos casos -Na maioria dos pacientes é subclínica -Achados TC: - Atenuação em vidro fosco - Opacidades reticulares subpleurais - Distribuição predominantemente periférica e basal - Bronquiectasias - Distorção arquitetural - Derrame ou espessamento pleural - Linfonodomegalias mediastianais - Dilatação esofágica ocorre em 80% dos pacientes com DPI.
  • 42.
  • 43.
    DPD 4- Associada a doenças colagenovasculares -SÍNDROME DE SJOGREN -Caracterizada: ceratoconjuntivite seca, xerostomia e desordens do tecido conjuntivo. -Manifestações pulmonare: fibrose intersticial, doenças de pequenas vias aéreas, PIL, linfoma MALT. -Achados TC (PIL): - Atenuação em vidro fosco - Lesões císticas - Nódulos centrolobulares - Espessamento intersticial
  • 44.
  • 45.
  • 46.
    DPD 4- Associada a doenças colagenovasculares -ESPONDILITE ANQUILOSANTE -Homens jovens de 20 – 40 anos são os mais comumente afetados -Manifestações precoces são cicatrizes apicais bilaterais -Bronquiectasias, enfisema parasseptal e traqueobroncomegalia já foram documentadas
  • 47.
    DPD 5- Doenças relacionadas ao tabagismo -PNEUMONIA INTERSTICIAL DESCAMATIVA -3% das DPI -Afeta fumantes jovens de 30 – 40 anos -2H:1M -Histologicamente: grande número de macrófagos intra alveolares e infiltrado inflamatório intersticial -Radiografias habitualmente normais -Achados TC - Opacidades em vidro fosco bilaterais e difusas com predomínio inferior - Faveolamento é raramente visto.
  • 48.
  • 49.
  • 50.
    DPD 5- Doenças relacionadas ao tabagismo -HISTIOCITOSE DE CELS DE LANGERHANS -Patologia de adultos jovens fumantes de 30 – 40 anos. -Caracterizada pelo acúmulo de cels de Langerhans na superfície epitelial do trato respiratório. -Achados TC: - Micronodulos centrolobulares - Cistos lisos que coalescem e formam espaços aéreos bizarros - Predominam nas regiões superiores e geralmente os seios costofrênicos são poupados.
  • 51.
  • 52.
  • 53.
    DPD 6- Pneumonias intersticiais idiopáticas -Apresentam variados padrões de inflamação e fibrose. -O diagnóstico e a classificação são problemáticas também para os patologistas. -PID, DPI-BR, PIU, PINE, COP e PIL
  • 54.
    DPD 6- Pneumonias intersticiais idiopáticas -FIBROSE PULMONAR IDIOPÁTICA -É a PII mais comum, com sobrevida desde o início da dispnéia de 3 a 6 anos. -Mais frequente em pacientes com mais de 50 anos -Achados TC: - Atenuação reticular fina simétrica, com opacidades intralobulares - Espessamento septal interlobular - Bronquiectasia de tração - Vidro fosco e faveolamento -Diag. diferencial: asbestose, d. colagenovasculares, PH crônica e sarcoidose.
  • 55.
  • 56.
    DPD 6- Pneumonias intersticiais idiopáticas -PNEUMONIA INTERSTICIAL NÃO ESPECÍFICA -Apresenta prognóstico mais favorável do que PIU -Apresentação de dispnéia subaguda ou crônica com idade média de 40 – 50 anos. - Achados TC: - Vidro fosco (pode se o único achado em 1/3 dos pacientes) - Padrão finamente reticular nas regiões inferiores dos pulmões - Faveolamento pode ser visto em pequena parte dos pacientes - Bronquiectasias ocorre com a progressão da fibrose
  • 57.
  • 58.
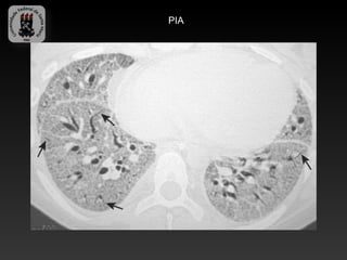
    DPD 6- Pneumonias intersticiais idiopáticas -PNEUMONIA INTERSTICIAL AGUDA -Dispnéia e hipoxemia, associado dano alveolar difuso. -Achados TC: - Densidades esparças bilaterais - Progressão para padrão alveolar difuso.
  • 59.
  • 60.
    DPD 6- Pneumonias intersticiais idiopáticas -PNEUMONIA EM ORGANIZAÇÃO -Proliferação de tecido de granulação dentro dos espaços aéreos -Pode ser idiopática ou associada a d. do tec. conjuntivo, infecções, broncoaspiração e drogas. - Apresenta-se com instalação subaguda de sintomas semelhantes a gripe. -Achados TC: - Áreas esparças uni ou bilaterais de consolidação - Consolidação focal - Nódulos pequenos de mal definidos - Sinal do halo invertido
  • 61.
  • 62.
  • 63.