Mediastino

Monitoria de Diagnóstico por Imagem
        Pedro Rafael Magno
              2012/2
Mediastino
• Se situa entre as camadas da pleura parietal
  medial dos pulmões.
• Contém estruturas cardiovasculares centrais,
  traqueobrônquicas e o esôfago.
• Dividido em:
  – Superior
  – Inferior
     • Anterior
     • Médio
     • Posterior
Plano Tranverso do Tórax
Raio X
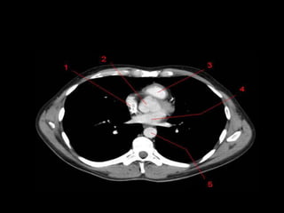
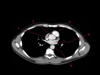
Mediastino
• 1: vasos braquiocefálicos
  direitos.
• 2: aorta ascendente e veia
  cava superior superpostas.
• 3: átrio direito.
• 4: veia cava inferior.
• 5: vasos braquiocefálicos
  esquerdos.
• 6: arco aórtico.
• 7: tronco pulmonar.
• 8: apêndice atrial
  esquerdo.
• 9: ventrículo esquerdo
Traquéia
Traquéia
Aorta
Perfil: VD E AE
RX Perfil
Mediastino Anterior
• Posterior ao esterno e anterior ao coração e aos
  grandes vasos.
• Contém
  – Timo
     • E>D
     • Margens pulmonares planas ou côncavas
     • Anterior a veia cava sup.
  – Veias Braquiocefálicas
  – Vasos Mamários internos
  – Linfonodos mamários internos e pré-vasculares
Veia Braquiocefálica
• E>D
• Passa sobre
  as faces
  anteriores
  das raízes dos
  três
  principais
  ramos do
  arco da aorta.
Mediastino Médio
• Pericárdio e seu conteúdo, arco aórtico e as
  grandes artérias proximais, as artérias e veias
  pulmonares centrais, traquéia, brônquios
  principais e linfonodos.
• Nervo frênico e vago não são visíveis a TC.
• Janela Aortopulmonar
  – Tecido adiposo, linfonodos, ligamento arterial e
    nervo laringeo recorrente.
Arco da Aorta
• Começa na metade
  direita do ângulo
  esternal, curva-se
  para cima e para
  trás;

• Superior ao tronco
  pulmonar;

• Desloca levemente a
  traquéia para a
  direita, passa à
  esquerda da
  traquéia e do
  esôfago;
Aorta
•   A aorta ascendente deve ter 3,3 cm ± 0,3 cm;
•   O arco aórtico 3 cm ± 0,3 cm;
•   A aorta descendente 2,7 cm ± 0,3 cm;
•   A aorta abdominal 2,4 cm ± 0,3 cm.
Tronco Pulmonar e Janela Aortopulmonar
 • Inferior ao
   arco aórtico e
   a Esquerda
   da traquéia
 • Medial:
   Traquéia, BPE
   esofago.
 • Lateral:
   Superficie
   Pleural do
   lobo superior
   esquerdo.
Hilo Pulmonar
• Artéria Pulmonar Direita passa anterior ao brônquio
  principal direito
• Artéria Pulmonar Esquerda passa superior ao brônquio
  principal esquerdo.
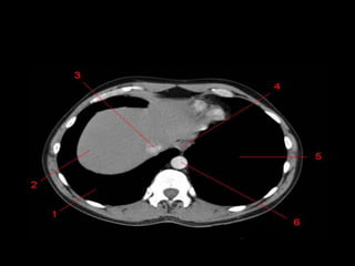
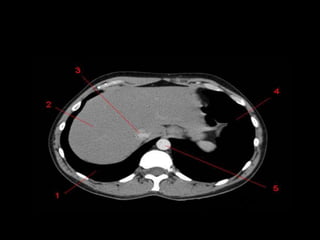
Mediastino Posterior
• Esôfago, aorta descendente, veias ázigo e
  hemiázigo, ducto torácico e nervos
  intercostais e autônomos.
Aorta Descendente
• Inicia em T4
  pelo lado
  esquerdo e
  durante o
  trajeto
  caminha
  para a
  parte
  posterior
  ao esôfago.
Esôfago
• Posterior ou póstero-lateral à traquéia
• Lobos direito e esquerdo do pulmão se tocam
  atrás do esôfago criando a Linha de Junção
  Posterior.
• Antero-medial à aorta descendente
Sistema Azigo
• Ázigo: D
• Hemiázigo: E
  – Se une em T9
• Póstero-lateral em relação a aorta
  descendente.
• A veia ázigo curva-se sobre a face superior da
  raiz do pulmão direito para se unir a VCS
TC mediastino superior
Monitoria mediastino
Monitoria mediastino
Monitoria mediastino
Monitoria mediastino
Monitoria mediastino
Monitoria mediastino
Monitoria mediastino
Monitoria mediastino
Monitoria mediastino
Monitoria mediastino
Monitoria mediastino
Monitoria mediastino
Monitoria mediastino
Monitoria mediastino
Monitoria mediastino
Monitoria mediastino
Monitoria mediastino
Monitoria mediastino
Monitoria mediastino

Monitoria mediastino

  • 1.
    Mediastino Monitoria de Diagnósticopor Imagem Pedro Rafael Magno 2012/2
  • 2.
    Mediastino • Se situaentre as camadas da pleura parietal medial dos pulmões. • Contém estruturas cardiovasculares centrais, traqueobrônquicas e o esôfago. • Dividido em: – Superior – Inferior • Anterior • Médio • Posterior
  • 4.
  • 6.
  • 7.
    Mediastino • 1: vasosbraquiocefálicos direitos. • 2: aorta ascendente e veia cava superior superpostas. • 3: átrio direito. • 4: veia cava inferior. • 5: vasos braquiocefálicos esquerdos. • 6: arco aórtico. • 7: tronco pulmonar. • 8: apêndice atrial esquerdo. • 9: ventrículo esquerdo
  • 8.
  • 9.
  • 10.
  • 11.
  • 12.
  • 13.
    Mediastino Anterior • Posteriorao esterno e anterior ao coração e aos grandes vasos. • Contém – Timo • E>D • Margens pulmonares planas ou côncavas • Anterior a veia cava sup. – Veias Braquiocefálicas – Vasos Mamários internos – Linfonodos mamários internos e pré-vasculares
  • 14.
    Veia Braquiocefálica • E>D •Passa sobre as faces anteriores das raízes dos três principais ramos do arco da aorta.
  • 15.
    Mediastino Médio • Pericárdioe seu conteúdo, arco aórtico e as grandes artérias proximais, as artérias e veias pulmonares centrais, traquéia, brônquios principais e linfonodos. • Nervo frênico e vago não são visíveis a TC. • Janela Aortopulmonar – Tecido adiposo, linfonodos, ligamento arterial e nervo laringeo recorrente.
  • 16.
    Arco da Aorta •Começa na metade direita do ângulo esternal, curva-se para cima e para trás; • Superior ao tronco pulmonar; • Desloca levemente a traquéia para a direita, passa à esquerda da traquéia e do esôfago;
  • 17.
    Aorta • A aorta ascendente deve ter 3,3 cm ± 0,3 cm; • O arco aórtico 3 cm ± 0,3 cm; • A aorta descendente 2,7 cm ± 0,3 cm; • A aorta abdominal 2,4 cm ± 0,3 cm.
  • 18.
    Tronco Pulmonar eJanela Aortopulmonar • Inferior ao arco aórtico e a Esquerda da traquéia • Medial: Traquéia, BPE esofago. • Lateral: Superficie Pleural do lobo superior esquerdo.
  • 19.
    Hilo Pulmonar • ArtériaPulmonar Direita passa anterior ao brônquio principal direito • Artéria Pulmonar Esquerda passa superior ao brônquio principal esquerdo.
  • 20.
    Mediastino Posterior • Esôfago,aorta descendente, veias ázigo e hemiázigo, ducto torácico e nervos intercostais e autônomos.
  • 21.
    Aorta Descendente • Iniciaem T4 pelo lado esquerdo e durante o trajeto caminha para a parte posterior ao esôfago.
  • 22.
    Esôfago • Posterior oupóstero-lateral à traquéia • Lobos direito e esquerdo do pulmão se tocam atrás do esôfago criando a Linha de Junção Posterior. • Antero-medial à aorta descendente
  • 23.
    Sistema Azigo • Ázigo:D • Hemiázigo: E – Se une em T9 • Póstero-lateral em relação a aorta descendente. • A veia ázigo curva-se sobre a face superior da raiz do pulmão direito para se unir a VCS
  • 24.