HUSM
SERVIÇO DE DIAGNÓSTICO POR IMAGEM




   DOENÇAS HEPÁTICAS DIFUSAS




          R2 RÉGIS SILVA
FIGADO

-Peso: 1,4 – 1,7 Kg


-Medida transversal 20 - 26 cm


-Medida vertical 15 - 21 cm


-20 – 25 % do suprimento artéria hepática


-75 – 80% do suprimento veia porta
SEGMENTAÇAO DE COUINAUD
-
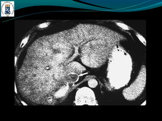
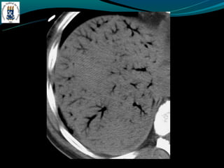
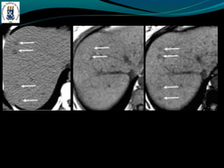
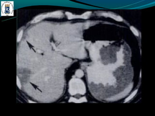
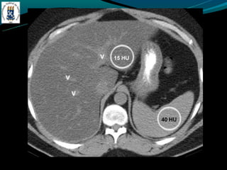
DOENÇA DO FÍGADO GORDUROSO
-E uma resposta uma lesão e a toxina
-Acúmulo de colesterol e triglicerídios
-Alcoolismo, obesidade, desnutrição, hiperalimentação,
costicóide, DM, pancreatite …
-Exames de imagem é o melhor método
-Avaliação:
   -   TC: densidade menor do que do baço
   -   RM: identificar esteatose focal
-Esteatose focal
   -   Distribuição segmentar, sub capsular, VB, lig falciforme
   -   Margem nítida e em linha reta
   -   Não desloca vasos
chc
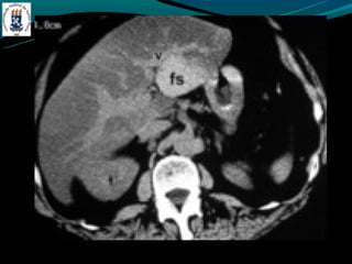
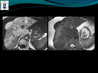
HEMOCROMATOSE
-Primária(hereditária)
   -   Aumento da reabsorção gastrointestinal
   -   4ª e 5ª década de vida
   -   DM, IC, artralgia…
-Secundária(aumento do aporte)
   -   Anemia crônica com múltiplas transfusões
   -   Ingestão excessiva, porfiria,
-TC: fígado com densidade > 70 HU – sobrecarga de ferro
-Ouro coloidal, doença de Wilson, d. armaz. de glicogênio
-RM: Redução da intensidade do sinal em T1 e T2. hiperintenso
no baço.
-Hemossiderose, d. de Wilson…
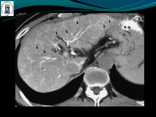
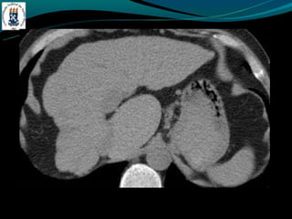
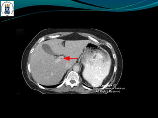
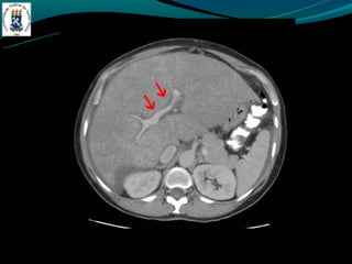
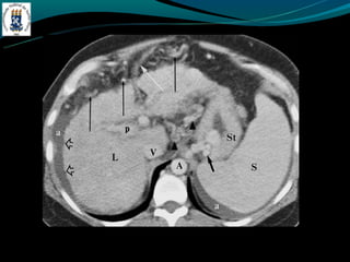
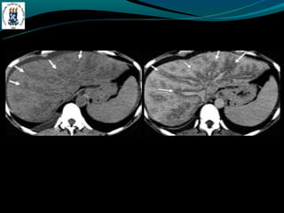
TROMBOSE DA VEIA PORTA
-Complicação de cirrose
-Invasão ou compressão tumoral
-Hipercoagulabilidade
-Inflamação
-Incidência de 5% na hipertensão portal e próximo de 30% no
CHC
-TC: Esplenomegalia, formação de colaterais, ascite, e pode ter
alta atenuação na fase arterial.
-RM: trombo agudo hiper em T1 e T2, crônico hipo em T1 e
hiper em T2.
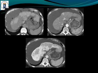
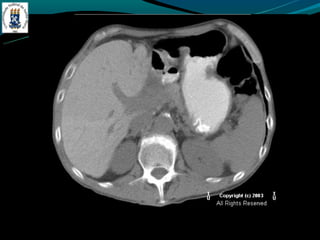
BUDD-CHIARI
-Hipercoagulabilidade
-Compressão – tumor
-Membrana da VCI


-Dor abdominal, hepatomegalia e ascite.


- TC: hepatomegalia heterogênea, não visualização das veias
hepática, ascite, realce hepático central, lobo caudado preservado
ou aumentado.
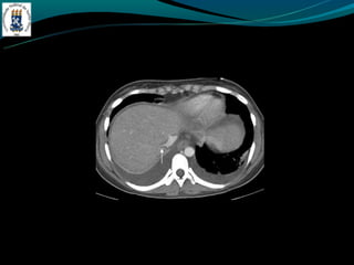
INFARTO HEPÁTICO

-Raro


-Choque agudo, trauma hipercoagulabilidade


-Elevação da enzimas hepáticas e plaqueta baixa


-Achados: área periférica em forma de cunha, não apresenta
efeito de massa, nem realce pelo contraste.
DOENÇA HEPATICA VENO-OCLUSIVA

-Relacionada principalmente a transplante e neoplasias no
público pediátrico.
-Lesão hepática sinusoidal
                             Clínica
-Ganho de peso não imputáveis à sobrecarga de fluido,
hepatomegalia dolorosa, icterícia e ascite
-Nos primeiros 20 dias pós transplante
                         Achados da TC
-Ascite, hepatomegalia, espessamento da VB e estreitamento das
veias hepaticas
GÁS NO SISTEMA PORTA

-Mais frequentemente associado:
-Isquemia intestinal nos adultos
-Enterocolite necrosante nos RN


-Outras causas: colonoscopia recente, sonda de gastrostomia, DII,
diveticulite, abscesso abdominal…
HEPATITE AGUDA
- Comumente não produz anormalidades específicas nos exames
de imagem.
- Achados: hepatomegalia, atenuação heterogênea e perfusão
irregular.
HEPATITE CRONICA
-Inflamação e fibrose portais e perilobulares
-Em geral o fígado não está aumentado, no inicio as alterações
são mínimas.

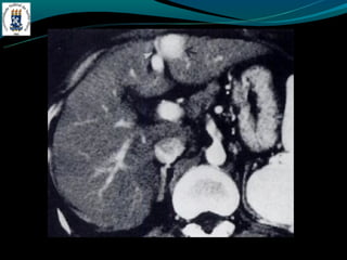
                             CIRROSE

-Destruição difusa do parenquima, fibrose com alteração da
arquitetura hepática e inúmeros nódulos regenerativos.
-Causas:
   -   Toxinas , Infecção, Obstrução biliar, Hereditária ou
       criptogênica.
CIRROSE



-Achados:
   -   Superfície lisa ou micronodular, Atrofia hepática, Adenopatia
       porta hepatis, hipertrofia do lobo caudado, nódulos de
       regeneração
   -   Sinais indiretos – hipertensão portal
CIRROSE
                           NÓDULOS
- Nódulos regenerativos: 3-10mm, a maioria são isodensos, sinal
variável em T1, T2 hipo ou isointenso.
CIRROSE
- Fibrose hepática confluente
- Áreas de fibrose semelhantes a massa, forma de cunha,
hipodensas, perda de volume da porção afetada do fígado
- São hiperintensas em T2 e hipo em T1.
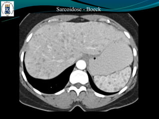
Sarcoidose - Boeck
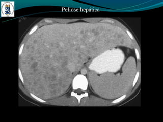
Peliose hepática
Aula figado
Aula figado

Aula figado

  • 1.
    HUSM SERVIÇO DE DIAGNÓSTICOPOR IMAGEM DOENÇAS HEPÁTICAS DIFUSAS R2 RÉGIS SILVA
  • 2.
    FIGADO -Peso: 1,4 –1,7 Kg -Medida transversal 20 - 26 cm -Medida vertical 15 - 21 cm -20 – 25 % do suprimento artéria hepática -75 – 80% do suprimento veia porta
  • 3.
  • 7.
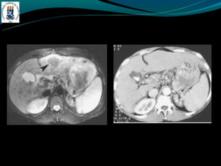
    DOENÇA DO FÍGADOGORDUROSO -E uma resposta uma lesão e a toxina -Acúmulo de colesterol e triglicerídios -Alcoolismo, obesidade, desnutrição, hiperalimentação, costicóide, DM, pancreatite … -Exames de imagem é o melhor método -Avaliação: - TC: densidade menor do que do baço - RM: identificar esteatose focal -Esteatose focal - Distribuição segmentar, sub capsular, VB, lig falciforme - Margem nítida e em linha reta - Não desloca vasos
  • 16.
  • 17.
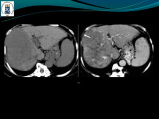
    HEMOCROMATOSE -Primária(hereditária) - Aumento da reabsorção gastrointestinal - 4ª e 5ª década de vida - DM, IC, artralgia… -Secundária(aumento do aporte) - Anemia crônica com múltiplas transfusões - Ingestão excessiva, porfiria, -TC: fígado com densidade > 70 HU – sobrecarga de ferro -Ouro coloidal, doença de Wilson, d. armaz. de glicogênio -RM: Redução da intensidade do sinal em T1 e T2. hiperintenso no baço. -Hemossiderose, d. de Wilson…
  • 21.
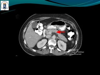
    TROMBOSE DA VEIAPORTA -Complicação de cirrose -Invasão ou compressão tumoral -Hipercoagulabilidade -Inflamação -Incidência de 5% na hipertensão portal e próximo de 30% no CHC -TC: Esplenomegalia, formação de colaterais, ascite, e pode ter alta atenuação na fase arterial. -RM: trombo agudo hiper em T1 e T2, crônico hipo em T1 e hiper em T2.
  • 26.
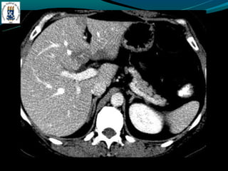
    BUDD-CHIARI -Hipercoagulabilidade -Compressão – tumor -Membranada VCI -Dor abdominal, hepatomegalia e ascite. - TC: hepatomegalia heterogênea, não visualização das veias hepática, ascite, realce hepático central, lobo caudado preservado ou aumentado.
  • 31.
    INFARTO HEPÁTICO -Raro -Choque agudo,trauma hipercoagulabilidade -Elevação da enzimas hepáticas e plaqueta baixa -Achados: área periférica em forma de cunha, não apresenta efeito de massa, nem realce pelo contraste.
  • 34.
    DOENÇA HEPATICA VENO-OCLUSIVA -Relacionadaprincipalmente a transplante e neoplasias no público pediátrico. -Lesão hepática sinusoidal Clínica -Ganho de peso não imputáveis à sobrecarga de fluido, hepatomegalia dolorosa, icterícia e ascite -Nos primeiros 20 dias pós transplante Achados da TC -Ascite, hepatomegalia, espessamento da VB e estreitamento das veias hepaticas
  • 38.
    GÁS NO SISTEMAPORTA -Mais frequentemente associado: -Isquemia intestinal nos adultos -Enterocolite necrosante nos RN -Outras causas: colonoscopia recente, sonda de gastrostomia, DII, diveticulite, abscesso abdominal…
  • 40.
    HEPATITE AGUDA - Comumentenão produz anormalidades específicas nos exames de imagem. - Achados: hepatomegalia, atenuação heterogênea e perfusão irregular.
  • 41.
    HEPATITE CRONICA -Inflamação efibrose portais e perilobulares -Em geral o fígado não está aumentado, no inicio as alterações são mínimas. CIRROSE -Destruição difusa do parenquima, fibrose com alteração da arquitetura hepática e inúmeros nódulos regenerativos. -Causas: - Toxinas , Infecção, Obstrução biliar, Hereditária ou criptogênica.
  • 42.
    CIRROSE -Achados: - Superfície lisa ou micronodular, Atrofia hepática, Adenopatia porta hepatis, hipertrofia do lobo caudado, nódulos de regeneração - Sinais indiretos – hipertensão portal
  • 48.
    CIRROSE NÓDULOS - Nódulos regenerativos: 3-10mm, a maioria são isodensos, sinal variável em T1, T2 hipo ou isointenso.
  • 55.
    CIRROSE - Fibrose hepáticaconfluente - Áreas de fibrose semelhantes a massa, forma de cunha, hipodensas, perda de volume da porção afetada do fígado - São hiperintensas em T2 e hipo em T1.
  • 57.
  • 58.