VIAS AÉREAS – parte 1
Professor: Carlos Jesus Pereira Haygert
Monitora: Isadora Cristina Olesiak Cordenonsi
Universidade Federal de Santa Maria
Diagnóstico por imagem
Referências bibliográficas –
Importante!
 Wiliam E. Brant, ClydeA. Helms; Fundamentals of Diagnostic
Radiology; vol2, chapter 12;
 LANGE; Radiologia básica; 2° edição, capítulo 4;
 Stern; Chest Radiology; chapter 1, 2 e 13;
 http://www.slideshare.net/TARIK022/radiologa-torcica-
3286791
 Moore
Métodos: identificação básica
Identificação
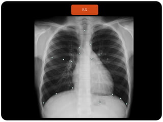
 RX
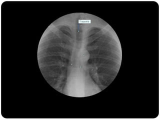
 Scout deTC
 TC janela de parênquima
 TC janela de mediastino com contraste
 TC janela de mediastino sem contraste
 RM
RX
Scout daTC
TC com janela para parênquima
TC com janela para mediastino com contraste
TC com janela para mediastino sem contraste
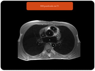
RM ponderada emT1
Treine...
Treine:
Vias aéreas
Fossas nasais
Faringe
Laringe
Traquéia
Brônquios
Bronquíolos
Alvéolos
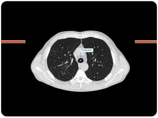
TRAQUÉIA
Vias aéreas
Traquéia
Brônquios
Bronquíolos
Alvéolos
Vias aéreas
Traquéia
Brônquios
Bronquíolos
Alvéolos
Vias aéreas
Traquéia
Brônquios
Bronquíolos
Alvéolos
Vias aéreas
Vias aéreas
Vias aéreas
Traquéia
Brônquios
Bronquíolos
Alvéolos
 Anéis cartilaginosos em forma de C;
 Membrana traqueal posterior: músculo e tecido
conjuntivo;
 Identações na parede lateral esquerda da
traquéia distal  arco aórtico;
Vias aéreas
Traquéia
Brônquios
Bronquíolos
Alvéolos
 12cm;
 Transparência cilíndrica da cartilagem cricóide
até os brônquios principais;
 Normal ligeiro desvio da traquéia para a direita;
Vias aéreas
Traquéia
Brônquios
Bronquíolos
Alvéolos
 Linha paratraqueal direita (interface do LSD
com parede lateral direita da traquéia): não
deve ultrapassar 4mm ;
 Parede paratraqueal esquerda circundada por
tecido adiposo e vasos mediastinais 
normalmente não é vista na radiografia;
Repare como a traquéia apresenta-se em um
exame em expiração...
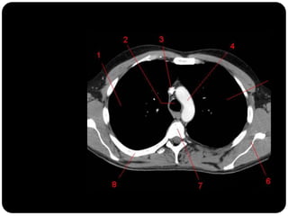
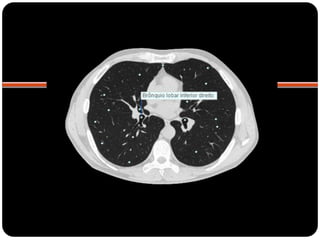
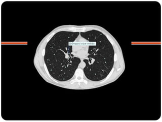
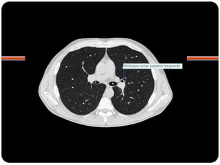
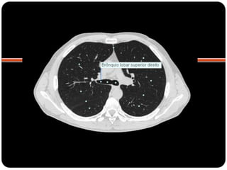
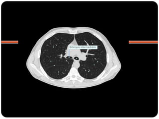
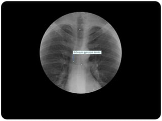
BRÔNQUIOS
PRINCIPAIS
LOBARES
SEGMENTARES
Vias aéreas
Traquéia
Brônquios –
PRINCIPAIS
LOBARES
Bronquíolos
Alvéolos
 Brônquios principais originam-se da traquéia
na carina;
 Brônquio direito: ângulo mais obtuso com o
eixo longo da traquéia;
 Direito(2,2cm) mais curto que o
esquerdo(5cm);
Vias aéreas
Traquéia
Brônquios –
PRINCIPAIS
LOBARES
Bronquíolos
Alvéolos
BPD: BLSD
BI - BLM
BI – BLID
BPE: BLSE
BLIE
BRÔNQUIOS
FISSURAS
Pulmões – lobos - fissuras
 Direito: 3 lobos (fissura oblíqua = maior e a horizontal =
menor)
 Esquerdo : 2 lobos (fissura oblíqua)
Vias aéreas
Traquéia
Brônquios
Bronquíolos
Alvéolos
 Fissuras interlobares: invaginações da pleura;
Cisura maior esquerda mais
verticalizada
Pleuras – derrame pleural intrafissural
Pleura visceral
Fissuras
 Completas ou incompletas
 Em boa parte dos indivíduos elas são Incompletas.
Fissuras
 Por que devo saber que as fissuras podem ser incompletas?
 R: fluxo colateral pelos canais de Lambert e poros de Kohns
pode permitir que o lobo permaneça aerado apesar da
completa obstrução de seu brônquio;
Fissuras
Canais de Lambert: vias aéreas acessórias entre bronquíolos
respiratórios ou espaços aéreos ventilados por outras vias
aéreas;
Poros de Kohn: poros cilíndricos que comunicam alvéolos
adjcentes;
Atelectasia
 Diminuição de volume do segmento, deslocamento de uma ou mais
fissuras interlobares em direção à parte atelectasiada, desvio do mediastino
para o lado envolvido, deslocamento hilar, estreitamento dos espaços
intercostais e hiperinsuflação dos outros lobos / segmentos não atelectasiados
de forma compensatória.
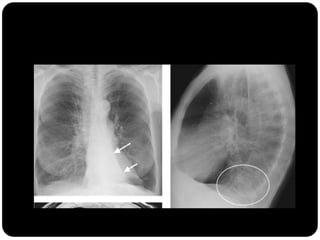
Ex: Colapso do
LSD
Observar
deslocamento de
fissura!
Atelectasia do lobo
superior direito
Atelectasia do Lobo Sup. D.
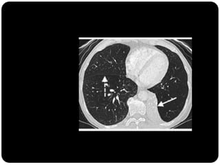
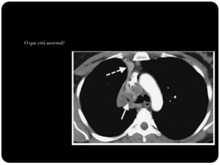
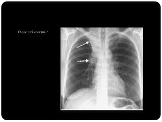
O que está anormal?
O que está anormal?
O que está anormal?
Atelectasia LSD
Sinal do S de Golden
Causado por
carcinoma
broncogênico
Note deslocamento
da fissura menor,
elevação da cúpula
diafragmática
direita...
Atelectasia do Lobo Médio
Impacto mínimo
sobre volume total
do hemisfério
direito (é o menor
dos lobos) LS e LI
inferior compensam
a perda de volume;
Atelectasia lobo
inferior direito
Observar:
Sinal de Luftsichel
Elevação
hemidiafrgma
esquerdo
Sinal da silhueta
(língula atelectasiada
também)
Atelectasia do lobo
inferior esquerdo
Atelectasias de lobos
inferiores deslocam
o hilo posterior e
medialmente;
Ateloectasia do lobo
inferior esquerdo
Atelectasia do LIE
 Atelectasia LIE:
 Opacidade triangular na área retrocardíaca
em incidência frontal;
 Fissura oblíqua deslocada mais
posteriormente e rodada em orientação
mais sagital do que a orientação coronal
normal;
 Atelectasia LIE:
 Ligamento pulmonar inferior: folha de
tecido conjuntivo/ pleura visceral e parietal
fundidas  ligação do LI ao mediastino;
Se estende do hilo até o diafragma;
TC: pequeno bico de pleura mediastinal
dirigido lateralmente;
responsável pela configuração triangular e
colabamento medial do LIE;
Atelectasia total
unilateral, sinal da
silhueta;
total unilateral
Atelectasia
 Obstrução de brônquio por carcinoma
broncogênico sempre deve ser considerada
em adulto com atelectasia lobar;
 Nas crianças: mais comum aspiração por
CE;
 ObstruçãoVA menores: tampões de muco
(comum em pacientes entubados ou doença
crônica dasVA);
Tumor causando atelectasia
Tumor
endobrônquico Fora do brônquio
Câncer de pequenas
cels não diferenciado
Câncer de cels
escamosas
LN aumentados
causando
compressão
extrínseca
Atelectasias laminares
Atelectasias laminares
Atelectasias laminares
Atelectasias laminares
Sinal da silhueta
Lobo médio: borra o contorno direito do coração.
Língula: borra o contorno esquerdo do coração.
Segmentos basais: borram o contorno do diafragma*** (olhar
imagens anteriores para ver quais).
1. Qual lobo está afetado? Por quê?
É atelectasia?
1. Qual lobo está afetado? Por quê?
Lobo
médio(segmento
medial e lateral;
Borra contorno
cardíaco direito
E não é atelectasia!
A fissura horizontal
não está deslocada.
Qual lobo está afetado? Por quê?
Qual lobo está afetado? Por quê?
Língula pois borra
contorno cardíaco
esquerdo
Em que lobo está essa lesão?
Resposta: LID
Importância do
perfil;
Importância da
ausência do sinal da
silhueta;
Lembre-se!
 Hemidiafragma direito geralmente 1 a
1,5cm mais alto que o esquerdo;
 Processos espinhosos das vértebras torácicas
devem estar sobrepostos no centro da
coluna de ar da traquéia;
 Borda cardíaca direita geralmente repousa
logo à direita da coluna torácica;
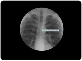
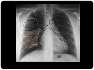
Brônquios segmentares
Esquerdo


Pulmão direito
Superior: direito
inferior: esquerdo
Vias aéreas
Traquéia
Brônquios
Bronquíolos
Alvéolos
 Pulmão direito:
 LSD: anterior, apical e posterior;
 LM: medial e lateral;
 LID: superior, basal medial, basal lateral,
basal anterior, basal posterior;
 Pulmão esquerdo:
 LSE: apicoposterior, anterior,
superior(língula), inferior(língula);
 LIE: segmento superior, basal antero-
medial, basal lateral e basal posterior;
E agora?
 Se borrar arco aórtico qual o segmento
afetado?
E agora?
 Se borrar arco aórtico qual o segmento
afetado?
 Apico posterior (LSE)
E agora?
 Se borrar aorta ascendente qual o segmento
afetado?
E agora?
 Se borrar aorta ascendente qual o segmento
afetado?
 Anterior (LSD) ou segmento medial (LM)
O que foi visto até agora?
 Anatomia dos brônquios lobares e segmentares;
 Fissuras maior e menor (completas e incompletas);
 Divisão em lobos e segmentos;
 Apresentação das atelectasias- correlação com anatomia;
 Sinal do S de Golden;
 Sinal de Luftsichel
 Sinal da Silhueta....
Bronquíolos
Continua na próxima...
Referências bibliográficas
 Wiliam E. Brant, Clyde A. Helms; Fundamentals of
Diagnostic Radiology; vol2, chapter 12;
 LANGE; Radiologia básica; 2° edição, capítulo 4;
 Stern; Chest Radiology

Vias aéreas parte 1.