DOENÇAS VASCULARES
   PULMONARES




 R1 LUCAS TEODORO
EDEMA PULMONAR

ACUMULO DE LÍQUIDO NO INTERSTÍCIO
 PULMONAR.
Aumento da pressão hidrostática ( I. C. esq. )
Acumulo de líquido intersticial por obstrução linfática.
Lesão do endotélio capilar , levando ao aumento da
 permeabilidade capilar .
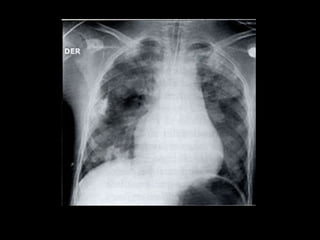
Achados radiográficos


Linhas A, B e C de kerley
Edema pulmonar perihilar ( asas de
 morcego ).
Opacidades em vidro fosco.
Ingurgitamento vascular
Derrames pleurais.
Edema intersticial pulmonar por I.C.
Edema pulmonar perihilar
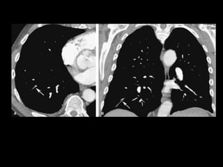
Edema intersticial pulmonar em TCAR.
Edema intersticial na região superior do
             pulmão Dir.
Correlação entre PCCP e achados
              radiográficos.
PCCP entre 8-12 mmHg, temos achados
 normais ao RX.
PCCP entre 12-18 mmHg, temos dilatação dos
 vasos em lobos superiores.
PCCP entre 19-25 mmHg, temos perda da
 definição vascular e linhas de kerley.
PCCP > 25 mmHg, temos opacidades bilaterais
 nas zonas periilares.
Edema com permeabilidade pulmonar
             aumentada.
Pode ocorrer por choque, traumatismo grave,
 queimaduras, septicemia, intoxicação por
 narcóticos, pancreatite.
Ocorre por lesão endotelial causada por radicais
 livre de oxigênio.
Pode levar a fibrose intersticial extensa.
Edema pulmonar por permeabilidade
          aumentada.
Diferençcas radiológicas entre edema hidrostático
        e por aumento da permeabilidade.

• HIDROSTÁTICO                   • PERMEABILIDADE
 Área cardíaca aumentada         Distribuição periférica
   Redistribuição do fluxo       Área cardíaca normal
   Pedículo vascular > 53 mm.    Pedículo normal
   Linhas de kerley
   Derrame pleural.
HEMORRAGIA PULMONAR

 Pode ocorrer por : traumatismos, diátese hemorrágica,
  aspergilose invasiva, pseudomonas, gripe, drogas,
  embolia, SDRA, doenças auto-imunes .
 As radiografias mostram opacidades bilaterais
  indistinguíveis do edema pulmonar.
 Resolução completa ocorre em 2 semanas.
 Prognóstico sombrio.
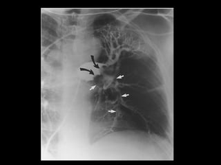
Hemorragia pulmonar na síndrome de
           Goodpasture.
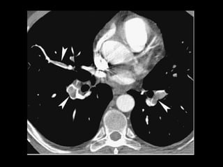
TC DE HEMORRAGIA PULMONAR.
EMBOLIA PULMONAR

 Causa a morte de 200.000 a 300.000 pessoas ano nos
  EUA.
 Tem relação com TVP, sendo que 79 % das TEPs se se
  originam de TVPs e 50 % das TVPs se associam com
  embolia pulmonar.
 Os fatores de risco compõe a tríade de Virchow ( estase
  sanguínea , lesão vascular e hipercoagulabilidade. )
 As repercussões da TEP surgem quando há
  comprometimento de mais de 30 % do leito arterial
  pulmonar.
Clínica do TEP

 Ocorre dispnéia, síncope, dor torácica e taquipnéia .
 Hiperfonese de B2, turgência de jugular e impulso do VD
  palpável.
 Deve-se pesquisar sintomas de TVP ( dor, edema e
  empastamento muscular )
DIAGNÓSTICO

 As radiografias de tórax na sua maioria são normais.
 Os achados radiográficos como ; derrame pleural,
  atelectasia e elevação da cúpula diafragmática são
  inespecíficos.
 O D-dímero tem alta especificidade e baixa sensibilidade.
 A USMI tem sensibilidade de 90% e especificidade de 95 %
 A venografia TC auxilia o diagnóstico em aparelhos com
  apenas um detector. Em aparelhos MDTC a venografia não
  deve ser utilizada, pela carga extra de radiação e por não
  acrescentar muito ao diagnóstico.
 Nas radiografias de tórax pode-se ver o sinal de
 westermark .
CORCOVA DE HAMPTOM
São opacidades com base pleural e vértice voltado para o
  hilo.




Ocorrem de 12 a 36 horas após o início dos sintomas e
  indicam infarto pulmonar.
 As cintilografias com exame normal excluem o
  diagnóstico. As com exame alterado só o confirmarão
  com uma alta probabilidade clínica.
 A angio TC é o exame de escolha para o diagnóstico de
  TEP. Apresenta como vantagens : velocidade de
  realização, exclusão de outros diagnósticos e detecção
  de TVP quando associado a venografia TC. Sua grande
  desvantagem é a exposição a maior carga de radiação.
Fluxogramas para diagnóstico
 Se baseiam nos escores de probabilidade pré teste de
 TEP
Doenças vasculares pulmonares
Doenças vasculares pulmonares

Doenças vasculares pulmonares

  • 1.
    DOENÇAS VASCULARES PULMONARES R1 LUCAS TEODORO
  • 2.
    EDEMA PULMONAR ACUMULO DELÍQUIDO NO INTERSTÍCIO PULMONAR. Aumento da pressão hidrostática ( I. C. esq. ) Acumulo de líquido intersticial por obstrução linfática. Lesão do endotélio capilar , levando ao aumento da permeabilidade capilar .
  • 3.
    Achados radiográficos Linhas A,B e C de kerley Edema pulmonar perihilar ( asas de morcego ). Opacidades em vidro fosco. Ingurgitamento vascular Derrames pleurais.
  • 4.
  • 5.
  • 6.
  • 7.
    Edema intersticial naregião superior do pulmão Dir.
  • 8.
    Correlação entre PCCPe achados radiográficos. PCCP entre 8-12 mmHg, temos achados normais ao RX. PCCP entre 12-18 mmHg, temos dilatação dos vasos em lobos superiores. PCCP entre 19-25 mmHg, temos perda da definição vascular e linhas de kerley. PCCP > 25 mmHg, temos opacidades bilaterais nas zonas periilares.
  • 9.
    Edema com permeabilidadepulmonar aumentada. Pode ocorrer por choque, traumatismo grave, queimaduras, septicemia, intoxicação por narcóticos, pancreatite. Ocorre por lesão endotelial causada por radicais livre de oxigênio. Pode levar a fibrose intersticial extensa.
  • 10.
    Edema pulmonar porpermeabilidade aumentada.
  • 12.
    Diferençcas radiológicas entreedema hidrostático e por aumento da permeabilidade. • HIDROSTÁTICO • PERMEABILIDADE  Área cardíaca aumentada  Distribuição periférica  Redistribuição do fluxo  Área cardíaca normal  Pedículo vascular > 53 mm.  Pedículo normal  Linhas de kerley  Derrame pleural.
  • 13.
    HEMORRAGIA PULMONAR  Podeocorrer por : traumatismos, diátese hemorrágica, aspergilose invasiva, pseudomonas, gripe, drogas, embolia, SDRA, doenças auto-imunes .  As radiografias mostram opacidades bilaterais indistinguíveis do edema pulmonar.  Resolução completa ocorre em 2 semanas.  Prognóstico sombrio.
  • 14.
    Hemorragia pulmonar nasíndrome de Goodpasture.
  • 15.
  • 16.
    EMBOLIA PULMONAR  Causaa morte de 200.000 a 300.000 pessoas ano nos EUA.  Tem relação com TVP, sendo que 79 % das TEPs se se originam de TVPs e 50 % das TVPs se associam com embolia pulmonar.  Os fatores de risco compõe a tríade de Virchow ( estase sanguínea , lesão vascular e hipercoagulabilidade. )  As repercussões da TEP surgem quando há comprometimento de mais de 30 % do leito arterial pulmonar.
  • 17.
    Clínica do TEP Ocorre dispnéia, síncope, dor torácica e taquipnéia .  Hiperfonese de B2, turgência de jugular e impulso do VD palpável.  Deve-se pesquisar sintomas de TVP ( dor, edema e empastamento muscular )
  • 23.
    DIAGNÓSTICO  As radiografiasde tórax na sua maioria são normais.  Os achados radiográficos como ; derrame pleural, atelectasia e elevação da cúpula diafragmática são inespecíficos.  O D-dímero tem alta especificidade e baixa sensibilidade.  A USMI tem sensibilidade de 90% e especificidade de 95 %  A venografia TC auxilia o diagnóstico em aparelhos com apenas um detector. Em aparelhos MDTC a venografia não deve ser utilizada, pela carga extra de radiação e por não acrescentar muito ao diagnóstico.
  • 24.
     Nas radiografiasde tórax pode-se ver o sinal de westermark .
  • 25.
    CORCOVA DE HAMPTOM Sãoopacidades com base pleural e vértice voltado para o hilo. Ocorrem de 12 a 36 horas após o início dos sintomas e indicam infarto pulmonar.
  • 26.
     As cintilografiascom exame normal excluem o diagnóstico. As com exame alterado só o confirmarão com uma alta probabilidade clínica.  A angio TC é o exame de escolha para o diagnóstico de TEP. Apresenta como vantagens : velocidade de realização, exclusão de outros diagnósticos e detecção de TVP quando associado a venografia TC. Sua grande desvantagem é a exposição a maior carga de radiação.
  • 27.
    Fluxogramas para diagnóstico Se baseiam nos escores de probabilidade pré teste de TEP