Aspectos Fundamentais
Dr Ozimo Gama
Gastroenterologia & Hepatologia Cirúrgica
Abscesso Hepático
Hipócrates (460 – 377 aC)
Corpus Hippocraticum
“ Quando se abre um
abscesso do fígado por
incisão ou cauterização e
o pus corre os doentes
sucumbem.”
Abscesso Hepático
Tipos de Abscessos
Chu K et al, 2002.
 PIOGÊNICOS : 80%
Amebianos
Fúngicos
20%
Abscesso Hepático
Incidência
DeRosier LC et al, 2008.
Autor N Período Idade 100.000 Óbito %
Oschner, 1938 47 1928 – 37 30 11 73
Pitt, 1975 80 1952 – 72 60 13 65
Branum, 1990 73 1970 – 86 53 15 19
Seeto, 1996 142 1979 – 94 51 22 11
Huang, 1996 153 1973 – 93 55 20 31
Alvarez, 2001 133 1985 – 97 58 - 14
Mohsen, 2002 65 1988 – 99 64 18.5 12
Wong, 2002 80 1991 - 01 63 - 6
Abscesso Hepático
Epidemiologia
Pitt H, 2007.
 Acima dos 60 anos
 2,5 Masculino : 1 Feminino
 60% : Únicos - Lobo Direito
 DMT2 / Tumores / Cirrose
 Vias Biliares
Abscesso Hepático
Bacteriologia
Chemaly RF et al, 2003.
Polimicrobiana : Gram (-)
Escherichia coli
Klebsiella sp (DM)
Bacteroides fragilis
Streptococus milleri
Abscesso Hepático
Diagnóstico
Coelho JC, 2005.
 Suspeita Clínica
 Exames Laboratoriais
 Radiologia
Abscesso Hepático
Quadro Clínico
Trivinõ T, 2008.
SINAIS / SINTOMAS %
Febre - Calafrios 85
Dor Abdominal 60
Icterícia 28
Hepatomegalia / Ascite 25
Alterações Pulmonares 20
Abscesso Hepático
Diagnóstico
Coelho JC, 2005.
BIOQUÍMICA %
VHS 95
Leucocitose > 14000 / mm³ 90
PFH Alteradas – FOSFATASE ALCALINA 90
Anemia 50
Hemoculturas (+) 50
Abscesso Hepático
Diagnóstico
Coelho JC, 2005.
EXAME SENSIBILIDADE %
Ecografia Abdominal 90
Tomografia Computadorizada 95
Abscesso Hepático
Diagnóstico Diferencial
Lodhi S,2004.
FATOR AMEBIANO PIOGÊNICO
Leucocitose 15000 Abaixo Acima
AA E. histolityca > 1:512 Negativo
Bacterioscopia - Secreção Negativa Positiva
Icterícia < 1/6 Casos 1/3 Casos
Pleuropulmonares + +++
Idade 40 anos ou menos 60 anos ou mais
AMP Saudável Debilitado
Abscesso Hepático
Tratamento (3D)
Benhamou JP, 2007.
 Diagnosis
 Drugs
Drainage
Abscesso Hepático
Antibioticoterapia
Wong WM, 2002.
 CCIH > 6 Semanas
2 Semanas IV / 4 Semanas VO
 Ceftriaxona + Metronidazol
 Piperacilina + Tazobactam
 Sulbactam + Ampicilina
Abscesso Hepático
Drenagem
McFadzean AJS, 1953.
Blumgart LH, 2007.
 Percutânea ( US / TC )
 Cirúrgica
 Percutânea ineficaz ou CI
 Patologia Cirúrgica Associada
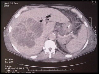
Abscesso Hepático
Drenagem Percutânea
Strauss E, 2001.
Abscesso Hepático
Drenagem Percutânea
HC - UFPR
Drenagem Percutânea
Abscesso Hepático
Drenagem Percutânea
CH Yu S et al, 2004.
 Prospectivo e Randomizado
 Catéter “ pigtail ” X Agulha fina
 64 pacientes – 5 anos
 Técnicas : EQUIVALENTES
 Menor Custo / Mais Conforto
Abscesso Hepático
Abscesso Hepático
Abscesso Hepático
VIDEOLAPAROSCOPIA
Abscesso Hepático
Abscesso Hepático
CIRURGIA CONVENCIONAL
Abscesso Hepático
Abscesso Hepático
HEPATECTOMIA ESQUERDA
Abscesso Hepático
Abscesso Hepático
SEGMENTECTOMIA
Abscesso Hepático
Abscesso Hepático
HEPATECTOMIA ESQUERDA
Serviço de Cirurgia
Geral - HTLF
 2009 – 2011 : 17 Casos
 Sexo Feminino > 40 anos
 Etiologia Biliar (70%)
 100% Tratamento Cirúrgico
 2,1 Procedimentos / paciente
 Internação Hospitalar : 38 dias
 Mortalidade : 11,7%
Abscesso Hepático
ABSCESSO PIOGÊNICO
Suspeita Clínica
3 D
(+) Patologia Cirúrgica
CIRURGIA
(-) Patologia Cirúrgica
< 5 cm
ATB
> 5 cm
DRENAGEM PERCUTÂNEA
Resposta (-) Resposta (+)
Aspectos Fundamentais
Dr Ozimo Gama
Gastroenterologia & Hepatologia Cirúrgica

Abscesso Hepático