TOMOGRAFIA DE ABDOME
Prof. Herculys Douglas
Teresina
2015
“Melhor saber e não precisar do que
precisar e não saber”
ABDOME OU ABDOMÊN?
ABDOME OU ABDOMÊN?
Você pode escrever das duas maneiras. Significa
barriga, mas aí vai uma explicação completa: parte do
corpo humano e dos mamíferos, situada entre o tórax
e a pelve, que contém uma cavidade separada da
cavidade torácica pelo diafragma e onde se aloja a
maior parte dos aparelhos digestivo e geniturinário.
ABDOME NA TOMOGRAFIA
COMPUTADORIZADA
• Por uma questão de radioproteção e financeira o
exame é dividido em, abdome superior e inferior
(pelve). Abdome total= abdome superior + pelve.
ABDOME NA TOMOGRAFIA
COMPUTADORIZADA
• A região abdominal agrupa uma diversidade de órgãos,
dentre eles o que participam do sistema digestório,
endócrino e genitourinário.
• Radioproteção à Exposição desnecessária de outros
órgãos.
• Urgência e emergência à Abdome agudo (dor súbita
da região abdominal).
QUADRANTES ABDOMINAIS
HD HE
EPI
GÁSTRIO
fLANCO
D
fLANCO
E
FID FIE
MESO
GÁSTRIO
HIPO
GÁSTRIO
Planejamento do exame de TC
v Entrevista
v Preparo do paciente
v Exame propriamente dito
v Processamento e
documentação de imagens
v Analise do exame
PREPARO DO PACIENTE
• ANAMNESE !!!!!!
-Indicação do exame.
-Antecedentes(doenças prévias, próteses,
cirurgias).
-Reações alérgicas.
-Medicações utilizadas.
-Jejum de 6 horas.
-Alimentação leve na véspera.
Varreduras de Abdome e Pelve
Aplicações:
u Detectar alterações dos órgãos abdominais e
pélvicos.
u Diagnosticar a presença de abscessos, ascites,
cistos, tumores.
u Avaliar danos nos ossos e tecidos moles
originados de traumas abdominais.
u Avaliar as alterações em artérias e veias
abdominais.
Varredura da região abdominal
• Jejum de no mínimo 4h;
• É comum o uso de meio contraste;
• Pode ser em 4 fases distintas:
-Sem contraste
-Fase arterial
-Fase venosa
-Fase de equilíbrio.
CONTRAINDICAÇÕES OU CONTRA-
INDICAÇÕES?
• Novo acordo ortográfico, 2009.
-Contraindicação: deixa de usar hífen em palavras
prefixadas.
-Apneia: não se usa mais acento nos ditongos abertos
éi e ói das palavras paroxítonas.
CONTRASTE ORAL - RETAL
• A administração de
contraste retal é feita
quando há suspeitas de
lesões no ânus e reto.
• Preparo: diluir 30 a 50
ml de contraste iodado
em 1litro de soro
fisiológico, sendo
injetado diretamente no
reto antes de começar o
exame.
• A administração de
contraste oral é feita
quando há suspeita de
lesões no aparelho
digestório.
• Preparo: diluir 30 a 40
ml de contraste iodado
em 1l a 1,5 l de água
para ser ingerido pelo
paciente 02 hrs antes
do exame.
PREPARO DO EXAME
• EXAME PROPRIAMENTE DITO:
– Tem início com o registro dos dados do paciente no
console do equipamento.
– O registro deve informar obrigatoriamente:
• Nome completo
• Idade (data de nascimento)
• Sexo
• Peso (alguns equipamentos)
• Exame que será realizado
• Nome do profissional (alguns equipamentos)
• Após o registro, o Técnico/Tecnólogo escolhe o
protocolo a ser realizado.
PREPARO DO EXAME
PREPARO DO EXAME
–Posiciona-se o paciente de acordo com o
protocolo escolhido.
–Os posicionamentos mais utilizados são:
• Decúbito Dorsal entrando primeiro com a cabeça
(Supine – Head First)
• Decúbito Ventral entrando primeiro com a cabeça
(Prone – Head First.)
• Decúbito Dorsal entrando primeiro com os pés
(Supine – Feet First)
• Decúbito Ventral entrando primeiro com os pés
(Prone – Feet First)
PREPARO DO EXAME
POSICIONAMENTO
• POSICIONAMENTO
• Rotina: decúbito dorsal, head first e MMSS abduzidos
acima da cabeça.
IMPORTANTE: APNEIA INSPIRATÓRIA É
PEDIDA AO PACIENTE DURANTE A AQUISIÇÃO
DAS IMAGENS.
POSICIONAMENTO
• POSICIONAMENTO
• Casos especiais: condições do cliente.
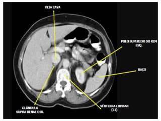
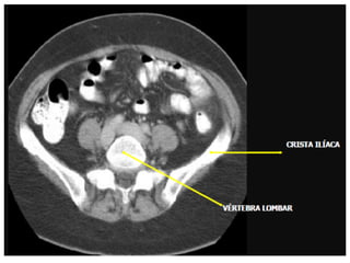
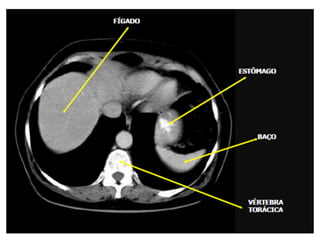
PONTOS DE REFERÊNCIA
TERMINOLOGIA
TOPOGRAMA
DECÚBITO DORSAL
BRAÇOS PARA CIMA
ABDOME TOTAL
ABDOME SUPERIOR
PELVE
TOPOGRAMA
PROGRAMAÇÃO
• Topograma.
• Início e fim dos cortes.
• Orientação: caudocranial
ou craniocaudal.
PROGRAMAÇÃO
TERMINOLOGIA
TERMINOLOGIA
TERMINOLOGIA
RECONSTRUÇÃO 3D
Varredura do abdome total
• Os limites são definidos pelo diafragma até
a sínfise púbica.
• Os pacientes devem ser posicionados em
decúbito dorsal, não havendo necessidade
de angulação do gantry.
VARREDURA/LIMITES
Protocolo para
Abdome total
u Topograma: frontal
u Espessura do corte: 10mm/ Multislices: até
< 01 mm
u Incremento: 10mm/ Multislices: 01 mm.
u KV: 120
u mAs :260
u FOV:220mm
u Pitch: 1,25
u Tempo de rotação do tubo: 1s
u Tempo de varredura:40s
uFiltro: standard
uObs: o melhor FOV sempre será o mais
ajustado à estrutura
OBSERVAÇÕES
• Janela de partes moles utilizada, em suspeita de
traumas acrescentar janela óssea.
• Em aparelhos multislices sempre a relação
corte/incremento tenderá a ser menor podendo
chegar a valores menores que 01 mm.
• O kv poderá variar conforme o biótipo do
paciente.
• O FOV adequado sempre será aquele melhor
ajustado à área de estudo
Varredura do Abdome superior
• Pode ser utilizar os mesmos parâmetros da
varredura do abdome total com um intervalo de
varredura menor.
• O volume é definido pelo diafragma até a
extremidade superior da crista ilíaca.
• O paciente deve ser posicionado em decúbito
dorsal.
Varredura do Abdome superior
Varredura da Pelve
• Os limites são definidos pela extremidade
superior da crista ilíaca até a extremidade
inferior do ísquio.
• Os pacientes devem ser posicionados em
decúbito dorsal sem angulação do gantry.
Varredura da Pelve
Protocolo para
pelve
u Topograma: frontal
u Espessura do corte: 10mm/ Multislices:
até < 01mm
u Incremento: 10mm/ Multslices: 01 mm
u KV: 120
u mAs :250
u FOV: 380mm
u Pitch: 1,25
u Tempo de rotação do tubo: 1s
u Tempo de varredura:40s
uObs: o melhor FOV sempre será o mais
ajustado à estrutura
OBSERVAÇÕES
• Janela de partes moles utilizada, em suspeita
de traumas acrescentar janela óssea.
• Em aparelhos multislices sempre a relação
corte/incremento tenderá a ser menor
podendo chegar a valores menores que 01
mm.
• O kv poderá variar conforme o biótipo do
paciente.
• O FOV adequado sempre será aquele melhor
ajustado à área de estudo
Imagem de corte axial com
janela para tecido ósseo
TOMOGRAFIA
COMPUTADORIZADA
Técnica de injeção
do meio de contraste
MEIOS DE CONTRASTE
§ RETAL
Iodado diluído de 2% a 5%( 30 a 50 ml/ 1l)
*Fístulas retais
Diverticulite ou colite
Coleção pélvica
Neoplasia coloretal
MEIOS DE CONTRASTE
§ RETAL
MEIOS DE CONTRASTE
§ VENOSO
-Iodado
-Preferência para não-iônico
-Cuidado com as contraindicações
Alergias
Metformina
Insuficiência renal (cretinina acima de 1,2mg/dl)
MEIOS DE CONTRASTE
§ VENOSO
MEIOS DE CONTRASTE
§ ORAL
-ÁGUA – 2 copos antes do exame- rotina
-IODADO DILUÍDO DE 2-5% (1 l de água para 30-
40 ml de contraste)
Fístulas, abcessos e coleções.
MEIOS DE CONTRASTE
§ ORAL
TC Helicoidal
INJETORA
Injeção Mecânica (Injetora)
• Injeção contínua
• Velocidade programada
• Adequada via de acesso
• Melhor contrastação dos vasos
• Estudo dinâmico
Técnica de Injeção
TC Helicoidal do Abdome
Fases de exame:
• Fase sem contraste EV
• Fase arterial: 20 – 40 seg.
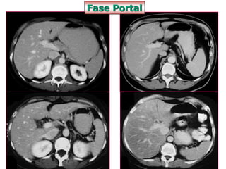
• Fase portal: 60 – 120 seg.
• Fase de equilíbrio: 120 – 360 seg.
Fase sem contraste EV
Fase Arterial
Fase Portal
Fase de Equilíbrio
Fase córtico-medular
Fase nefrográfica
TC Helicoidal - Rins
Fase excretora
PRINCIPAIS PROTOCOLOS
• 1. Sem contraste EV
• 2. Hipovascular (S/C+portal+equilíbrio)
• 3. Hipervascular
(S/C+arterial+portal+equilíbrio)
• 4. Hematúria/Vias urinárias/Uro-CT
(S/C+arterial+portal+tardio 7’ 1/1mm)
2)Hipovascular
(S/C+portal+equilíbrio)
• - Check-up ou rotina
• -Dor abdominal a esclarecer
• -Abdome agudo
• -Ver fase sem contraste se há necessidade de
VO ou VR
• - Estadiamento tumoral
• -Complicações pós-cirúrgicas
3)Hipervascular
(S/C+arterial+portal+equilíbrio)
• Avaliação de nódulos hepáticos
• Controle Oncológico de tumor hipervascular
Renal, HCC, Carcinoide/Neuroendócrino, GIST,
Mama, Melanoma, Tireóide, Feocromocitoma
• Avaliação vascular
4. Hematúria/Vias urinárias/Uro-CT
(S/C+arterial+portal+tardio 7’ 1/1mm)
• Hematúria à esclarecer
• Estadiamento ou controle de neoplasias do
trato urinário
• Cistos renais
• Dilatação do sistema coletor
• Pielonefrite
FASE SEM CONTRASTE
• Importante para avaliação das demais fases
• Pacientes alérgicos
• Protocolo de urolitíase
Fase arterial
§ Hipervascular
§ Cortes de 1mm
§ Débito de 2ml/s injetora
§ Dose 2ml/kg
§ Delay 20-40 segundos
§ Avaliar lesões hipervasculares tumorais
§ Avaliação vascular
§ Avaliação de fugas de produto de contraste/
sangramento
FASE PORTAL
• Contraste dentro das estruturas venosas,
aspecto homogêneo
• Cortes de 1mm
• Débito de 2ml/s bomba injetora
• Delay 70-80 segundos
• Permite a avaliação da maior parte das
patologias
FASE EQUILÍBRIO
• Contraste sai dos vasos para o parênquima
tissular
• Cortes de 1mm
• Débito de 2ml/s bomba injetora
• Delay 3-7 minutos
• Permite a avaliação de vários tumores
• Avaliação do sistema coletor do aparelho
urinário.
Fase de equilíbrio
UROGRAFIA X URO-TC
UROGRAFIA X TC ABDOME
ENTERO-TC X TC ABDOME
ESCALA HU
HIPERDENSO E HIPODENSO
ISODENSO
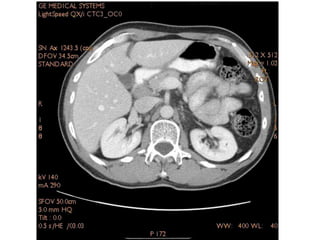
ASCITE
ASCITE
DIVERTÍCULOS
DIVERTÍCULOS
DIVERTÍCULOS
BEZOAR
BEZOAR
BEZOAR
BEZOAR
LITÍASE CORALIFORME
TC APARELHO URINÁRIO
HIDRONEFROSE
PTOSE RENAL
PTOSE PALPEBRAL
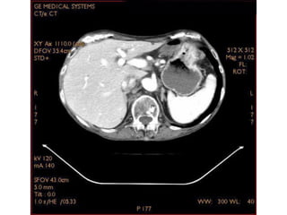
CISTO RENAL
CISTO RENAL
AGENESIA
DELAY CONTRASTE
ESTENOSE
Cístico (Simples)
Policístico
ABCESSO HEPÁTICO
ABCESSO HEPÁTICO-PÓS CONTRASTE
ÚLCERA GÁSTRICA
UM DOS MOTIVOS...
ANEURISMAS
PLANEJAMENTOS DE RXT
PLANEJAMENTOS DE RXT
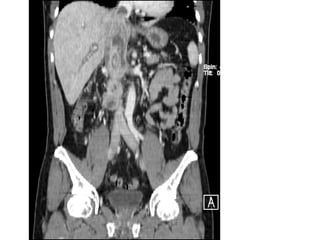
TOMOGRAFIA COMPUTADORIZADA
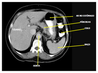
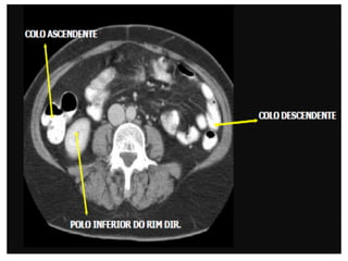
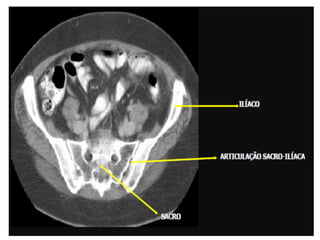
Tomografia do Abdome
Tomografia do Abdome
Tomografia do Abdome
Tomografia do Abdome
Tomografia do Abdome

Tomografia do Abdome