TOXOPLASMOSE CONGÊNITA Apresentadores Amanda Thomé Aredanna Furquim Semana Severino Sombra – Liga de Neonatologia
A toxoplasmose Toxoplasmose é uma infecção causada pelo parasita Toxoplasma gondii.  Na grande maioria dos casos, os indivíduos apresentam-se assintomáticos, isto é, seus sistemas imunológicos conseguem conter a infecção. Na maioria das vezes, seus sintomas lembram um quadro de mononucleose infecciosa. Nas infecções congênitas a doença pode apresentar-se de forma bem grave. A transmissão vertical ocorre se a mãe for infectada durante a gestação, isto é, apresentar sua prima infecção neste período.
A infecção O  Toxoplasma Goondi  pode ser encontrado em carne mal-cozida, ovos crus e leite não pasteurizado. Gatos que comem carne crua e roedores podem ser infectados, e o parasita permanece vivo nas fezes dos gatos por duas semanas. Desta forma, gestantes e mulheres que desejem engravidar não devem limpar ou trocar objetos com esses dejetos. Os ovos do parasita permanecem nas fezes dos gatos por 18 meses. Para evitar a infecção em gestantes deve: - cozinhar bem a carne; - usar luvas quando mexer no jardim; - lavar todas as frutas e vegetais; - lavar bem as mãos após manusear com carne crua, frutas e vegetais; - não mexer ou limpar as fezes dos gatos.
 
Como avaliar? Toda mulher que esteja planejando engravidar deverá ser submetida a testes sorológicos da toxoplasmose.  Caso o resultado do teste seja positivo, isto indicará que o médico não irá precisar elaborar medidas profiláticas. Um achado sorológico indicará que em algum momento da sua vida a mulher teve contato com o antígeno toxoplasmático, possuindo anticorpos contra o mesmo. Caso o exame sorológico mostre-se negativo, a preocupação aumenta: deve-se orientar a gestante para que evite o contato com gatos, bem como contato com carne de gato, alimentos potencialmente contaminados bem como água. Comidas cruas deverão ser evitadas
Como ocorre A toxoplasmose congênita ocorre apenas quando as mulheres apresentam a infecção ativa durante a gestação. Em geral, não há risco para o feto quando a infecção ocorre mais de 6 meses antes da gestação. Mulheres com algum grau de imunodeficiência podem desenvolver a doença mais de uma vez. O parasita da toxoplasmose é conhecido por atravessar a placenta. Em cerca de 40% dos casos nos quais a gestante tem toxoplasmose, o bebê é infectado .
E o período? Quando a mãe é infectada entre 10 e 24 semanas de gestação, o risco de seqüelas importantes para o recém-nascido é de 5-6 por cento. Quando a mãe é infectada em um período mais tardio da gestação, a chance de o bebê apresentar seqüelas é muito pequena.
Toxoplasmose congênita Aproximadamente 40% dessas mulheres, se não tratadas, transmitirão a infecção A incidência da infecção fetal é maior quando essa é adquirida no terceiro trimestre (59%), e a gravidade é maior quando a infecção materna é adquirida no primeiro trimestre, apesar do menor risco de transmissão (14%). O risco de infecção fetal e a gravidade são intermediários no segundo trimestre (29%) A incidência da toxoplasmose congênita é variável, ocorrendo em 1:1000 a 1:12.000 dos nascimentos  Beazley DM, Egerman RS. Toxoplasmosis. Semin Perinatol 1998; 22: 332-8 Guerina NG, Hsu Ho-Wen, Meissner C et al. Neonatal serologic screening and early  treatment for congenita Toxoplasma gondii infection.  N Engl J Med 1994; 330: 1858-63.
Toxoplasmose congênita No Brasil, entre 25 e 40% das gestantes são soronegativas para a toxoplasmose. O risco de infecção aguda durante a gestação é de aproximadamente 1% e a transmissão fetal ocorre em 30% dos casos, levando a infecção fetal de gravidade variável.  Spalding SM. Acompanhamento de gestantes com risco de transmissão de infecção congênita por Toxoplasma gondii Nicolle & Manceaux, 1909 na região do alto Uruguai, RS, Brasil: diagnósticos e aspectos epidemiológicos [dissertação]. Rio de Janeiro: Fundação Oswaldo Cruz; 2000.
Formas: ciclo evolutivo Taquizoíto (a forma invasiva encontrada na infecção aguda) Cisto (contém os bradizoítos; encontrados nos tecidos) Oocisto (contém os esporozoítos; encontrados no solo e fezes exclusivamente na família dos felinos)
Toxoplasmose congênita taquizoítos Cisto tecidual Oocisto imaturo Oocisto maduro
Toxoplasmose congênita
Transmissão Transplacentária
Clínica PREMATURIDADE ALTERAÇÂO LIQUOR – HIPERPROTEINORRAQUIA/ PLEIOCITOSE/ LINFOCITOSE CORIORRETINITE RETARDO MENTAL ÓRGÃOS ENDÓCRINOS –DM SÍNDROME NEFRÓTICA ALTERAÇÕES ÓSSEAS HEPATOMEGALIA PETÉQUIAS ASCITE DIFICULDADE RESPIRATÓRIA SURDEZ
ENCEFALITE
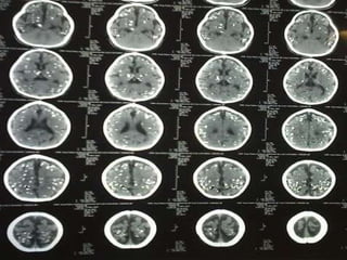
Múltiplas calcificações periventriculares associadas a hidrocefalia.  Há também calcificações na fossa posterior, situadas na substância branca cerebelar. 
 
Múltiplas calcificações periventriculares associadas a hidrocefalia. Há também calcificações na fossa posterior, situadas na substância branca cerebelar.   Caso clínico do Dr. Paulo R. Margotto / HFA/EMFA
Corioretinite
 
Corioretinite
Normal Corioretinite
Petéquias
Toxoplasmose congênita
DOENÇA NEONATAL  Sinais e sintomas presentes ao nascimento. Um ou mais. Sinais e sintomas de doença generalizada podem predominar e os sinais neurológicos estão sempre presentes. Raramente evoluem sem seqüelas.
FORMA SUB-CLÍNICA Normalmente o diagnóstico é feito baseado em primoinfecção materna. RN assintomáticos ou oligossintomáticos. O diagnóstico é baseado na história de primoinfecção materna ou persistência de títulos no lactente. A prematuridade  (em 50%) ou a  restrição do crescimento intra-uterino são considerados sinais clínicos.
DIAGNÓSTICO LABORATORIAL PESQUISA DE PARASITOS E SEUS COMPONENTES ISOLAMENTO DO TOXOPLASMA Inoculação em camundongos.    Isolamento em Cultura de Células Reação de Polimerase em Cadeia (PCR)
TESTES SOROLÓGICOS  TESTE DE IMUNOFLUORESCÊNCIA INDIRETA
 
USG e TC Crânio A incidência de anomalias ultra-sonografias varia de 18,1% a 36,4%, estando associada à idade gestacional da infecção fetal As alterações observadas com maior freqüência são dilatação ventricular e calcificações intracranianas  Berrebi A, Bessières MH, Cohen-Khalas Y, et al. Diagnostic anténatal de la toxoplasmose. A propos de 176 cas. J Gynecol Obstet Biol Reprod (Paris) 1993; 22:261-8  Hohlfield P, MacAleese J, Capella-Pavlovski M, et al. Fetal toxoplasmosis: ultrasonographic signs. Ultrasound Obstet Gynecol 1991; 1:241-4.
Couto JCF, Leite JM:  Ultrasonographic markers for fetal congenital toxoplasmosis; Rev. Bras. Ginecol. Obstet. vol.26 no.5 Rio de Janeiro June 2004    
Tratamento A toxoplasmose materna pode ser tratada com sucesso com determinados antibióticos. O diagnóstico precoce e o tratamento diminuem as chance de infecção fetal. Caso o bebê já tenha sido infectado, o tratamento com outras medicações podem tornar a doença menos severa. Entretanto, o tratamento pode não prevenir os efeitos no bebê. O tratamento durante o primeiro ano de vida pode ser muito útil. 75% dos bebês com toxoplasmose congênita geralmente não apresentam nenhuma alteração ao nascimento. Ainda assim, estudos a longo prazo mostram que mais de 90 por cento desenvolvem problemas de cegueira, surdez, e retardo de desenvolvimento. Estes sintomas podem surgir meses ou anos após o nascimento. Por esta razão, crianças com toxoplasmose congênita devem ser tratadas durante o primeiro ano de vida e periodicamente examinadas.
Tratamento A toxoplasmose congênita deve ser tratada com terapêutica específica em todos os recém-nascidos (RN) quer na forma sintomática ou subclínica, sendo neste último caso com a finalidade de prevenir as seqüelas tardias que possam ocorrer.
Os medicamentos As drogas utilizadas para o tratamento da toxoplasmose congênita no RN são: pirimetamina, sulfadiazina e ácido folínico.  O esquema recomendado para tratamento da toxoplasmose congênita no RN é indicado logo após o nascimento.
Profilaxia Orientação: - Maior cuidado com as grávidas soronegativas. - Possuem maior contato com gatos. - Evitar ambientes com areia.
Prevenir sempre! A prevenção da toxoplasmose congênita é de fundamental importância para um melhor controle da infecção evitando as graves seqüelas que podem ocorrer no feto e no RN.
 
Referências bibliográficas Melo,LC. toxoplasmose congênita. Assistência ao Recém-Nascido de Risco, editado por Paulo R. Margotto, 2a Edição, 2004 Couto JCF, Leite JM: Ultrasonographic markers for fetal congenital toxoplasmosis; Rev. Bras. Ginecol. Obstet. vol.26 no.5 Rio de Janeiro June 2004    Berrebi A, Bessières MH, Cohen-Khalas Y, et al. Diagnostic anténatal de la toxoplasmose. A  propos de 176 cas. J Gynecol Obstet Biol Reprod (Paris) 1993; 22:261-8  Hohlfield P, MacAleese J, Capella-Pavlovski M, et al. Fetal toxoplasmosis: ultrasonographic signs. Ultrasound Obstet Gynecol 1991; 1:241-4 Spalding SM. Acompanhamento de gestantes com risco de transmissão de infecção congênita por Toxoplasma gondii Nicolle & Manceaux, 1909 na região do alto Uruguai, RS, Brasil: diagnósticos e aspectos epidemiológicos [dissertação]. Rio de Janeiro: Fundação Oswaldo Cruz; 2000 Vaz AJ, Guerra EM, Ferratto LCC, Toledo LAS, Azevedo Neto RS. Sorologia positiva para sífilis, toxoplasmose e doença de Chagas em gestantes de primeira consulta em centros de saúde da área metropolitana, Brasil. Rev Saúde Pública 1990; 24:373-9 Beazley DM, Egerman RS. Toxoplasmosis. Semin Perinatol 1998; 22: 332-8 Guerina NG, Hsu Ho-Wen, Meissner C et al. Neonatal serologic screening and early  treatment for congenita Toxoplasma gondii infection. N Engl J Med 1994; 330: 1858-63
Obrigada!

Toxoplasmose congênita

  • 1.
    TOXOPLASMOSE CONGÊNITA ApresentadoresAmanda Thomé Aredanna Furquim Semana Severino Sombra – Liga de Neonatologia
  • 2.
    A toxoplasmose Toxoplasmoseé uma infecção causada pelo parasita Toxoplasma gondii. Na grande maioria dos casos, os indivíduos apresentam-se assintomáticos, isto é, seus sistemas imunológicos conseguem conter a infecção. Na maioria das vezes, seus sintomas lembram um quadro de mononucleose infecciosa. Nas infecções congênitas a doença pode apresentar-se de forma bem grave. A transmissão vertical ocorre se a mãe for infectada durante a gestação, isto é, apresentar sua prima infecção neste período.
  • 3.
    A infecção O Toxoplasma Goondi pode ser encontrado em carne mal-cozida, ovos crus e leite não pasteurizado. Gatos que comem carne crua e roedores podem ser infectados, e o parasita permanece vivo nas fezes dos gatos por duas semanas. Desta forma, gestantes e mulheres que desejem engravidar não devem limpar ou trocar objetos com esses dejetos. Os ovos do parasita permanecem nas fezes dos gatos por 18 meses. Para evitar a infecção em gestantes deve: - cozinhar bem a carne; - usar luvas quando mexer no jardim; - lavar todas as frutas e vegetais; - lavar bem as mãos após manusear com carne crua, frutas e vegetais; - não mexer ou limpar as fezes dos gatos.
  • 4.
  • 5.
    Como avaliar? Todamulher que esteja planejando engravidar deverá ser submetida a testes sorológicos da toxoplasmose. Caso o resultado do teste seja positivo, isto indicará que o médico não irá precisar elaborar medidas profiláticas. Um achado sorológico indicará que em algum momento da sua vida a mulher teve contato com o antígeno toxoplasmático, possuindo anticorpos contra o mesmo. Caso o exame sorológico mostre-se negativo, a preocupação aumenta: deve-se orientar a gestante para que evite o contato com gatos, bem como contato com carne de gato, alimentos potencialmente contaminados bem como água. Comidas cruas deverão ser evitadas
  • 6.
    Como ocorre Atoxoplasmose congênita ocorre apenas quando as mulheres apresentam a infecção ativa durante a gestação. Em geral, não há risco para o feto quando a infecção ocorre mais de 6 meses antes da gestação. Mulheres com algum grau de imunodeficiência podem desenvolver a doença mais de uma vez. O parasita da toxoplasmose é conhecido por atravessar a placenta. Em cerca de 40% dos casos nos quais a gestante tem toxoplasmose, o bebê é infectado .
  • 7.
    E o período?Quando a mãe é infectada entre 10 e 24 semanas de gestação, o risco de seqüelas importantes para o recém-nascido é de 5-6 por cento. Quando a mãe é infectada em um período mais tardio da gestação, a chance de o bebê apresentar seqüelas é muito pequena.
  • 8.
    Toxoplasmose congênita Aproximadamente40% dessas mulheres, se não tratadas, transmitirão a infecção A incidência da infecção fetal é maior quando essa é adquirida no terceiro trimestre (59%), e a gravidade é maior quando a infecção materna é adquirida no primeiro trimestre, apesar do menor risco de transmissão (14%). O risco de infecção fetal e a gravidade são intermediários no segundo trimestre (29%) A incidência da toxoplasmose congênita é variável, ocorrendo em 1:1000 a 1:12.000 dos nascimentos Beazley DM, Egerman RS. Toxoplasmosis. Semin Perinatol 1998; 22: 332-8 Guerina NG, Hsu Ho-Wen, Meissner C et al. Neonatal serologic screening and early treatment for congenita Toxoplasma gondii infection. N Engl J Med 1994; 330: 1858-63.
  • 9.
    Toxoplasmose congênita NoBrasil, entre 25 e 40% das gestantes são soronegativas para a toxoplasmose. O risco de infecção aguda durante a gestação é de aproximadamente 1% e a transmissão fetal ocorre em 30% dos casos, levando a infecção fetal de gravidade variável. Spalding SM. Acompanhamento de gestantes com risco de transmissão de infecção congênita por Toxoplasma gondii Nicolle & Manceaux, 1909 na região do alto Uruguai, RS, Brasil: diagnósticos e aspectos epidemiológicos [dissertação]. Rio de Janeiro: Fundação Oswaldo Cruz; 2000.
  • 10.
    Formas: ciclo evolutivoTaquizoíto (a forma invasiva encontrada na infecção aguda) Cisto (contém os bradizoítos; encontrados nos tecidos) Oocisto (contém os esporozoítos; encontrados no solo e fezes exclusivamente na família dos felinos)
  • 11.
    Toxoplasmose congênita taquizoítosCisto tecidual Oocisto imaturo Oocisto maduro
  • 12.
  • 13.
  • 14.
    Clínica PREMATURIDADE ALTERAÇÂOLIQUOR – HIPERPROTEINORRAQUIA/ PLEIOCITOSE/ LINFOCITOSE CORIORRETINITE RETARDO MENTAL ÓRGÃOS ENDÓCRINOS –DM SÍNDROME NEFRÓTICA ALTERAÇÕES ÓSSEAS HEPATOMEGALIA PETÉQUIAS ASCITE DIFICULDADE RESPIRATÓRIA SURDEZ
  • 15.
  • 16.
    Múltiplas calcificações periventricularesassociadas a hidrocefalia. Há também calcificações na fossa posterior, situadas na substância branca cerebelar. 
  • 17.
  • 18.
    Múltiplas calcificações periventricularesassociadas a hidrocefalia. Há também calcificações na fossa posterior, situadas na substância branca cerebelar.  Caso clínico do Dr. Paulo R. Margotto / HFA/EMFA
  • 19.
  • 20.
  • 21.
  • 22.
  • 23.
  • 24.
  • 25.
    DOENÇA NEONATAL Sinais e sintomas presentes ao nascimento. Um ou mais. Sinais e sintomas de doença generalizada podem predominar e os sinais neurológicos estão sempre presentes. Raramente evoluem sem seqüelas.
  • 26.
    FORMA SUB-CLÍNICA Normalmenteo diagnóstico é feito baseado em primoinfecção materna. RN assintomáticos ou oligossintomáticos. O diagnóstico é baseado na história de primoinfecção materna ou persistência de títulos no lactente. A prematuridade (em 50%) ou a restrição do crescimento intra-uterino são considerados sinais clínicos.
  • 27.
    DIAGNÓSTICO LABORATORIAL PESQUISADE PARASITOS E SEUS COMPONENTES ISOLAMENTO DO TOXOPLASMA Inoculação em camundongos. Isolamento em Cultura de Células Reação de Polimerase em Cadeia (PCR)
  • 28.
    TESTES SOROLÓGICOS TESTE DE IMUNOFLUORESCÊNCIA INDIRETA
  • 29.
  • 30.
    USG e TCCrânio A incidência de anomalias ultra-sonografias varia de 18,1% a 36,4%, estando associada à idade gestacional da infecção fetal As alterações observadas com maior freqüência são dilatação ventricular e calcificações intracranianas Berrebi A, Bessières MH, Cohen-Khalas Y, et al. Diagnostic anténatal de la toxoplasmose. A propos de 176 cas. J Gynecol Obstet Biol Reprod (Paris) 1993; 22:261-8 Hohlfield P, MacAleese J, Capella-Pavlovski M, et al. Fetal toxoplasmosis: ultrasonographic signs. Ultrasound Obstet Gynecol 1991; 1:241-4.
  • 31.
    Couto JCF, LeiteJM: Ultrasonographic markers for fetal congenital toxoplasmosis; Rev. Bras. Ginecol. Obstet. vol.26 no.5 Rio de Janeiro June 2004  
  • 32.
    Tratamento A toxoplasmosematerna pode ser tratada com sucesso com determinados antibióticos. O diagnóstico precoce e o tratamento diminuem as chance de infecção fetal. Caso o bebê já tenha sido infectado, o tratamento com outras medicações podem tornar a doença menos severa. Entretanto, o tratamento pode não prevenir os efeitos no bebê. O tratamento durante o primeiro ano de vida pode ser muito útil. 75% dos bebês com toxoplasmose congênita geralmente não apresentam nenhuma alteração ao nascimento. Ainda assim, estudos a longo prazo mostram que mais de 90 por cento desenvolvem problemas de cegueira, surdez, e retardo de desenvolvimento. Estes sintomas podem surgir meses ou anos após o nascimento. Por esta razão, crianças com toxoplasmose congênita devem ser tratadas durante o primeiro ano de vida e periodicamente examinadas.
  • 33.
    Tratamento A toxoplasmosecongênita deve ser tratada com terapêutica específica em todos os recém-nascidos (RN) quer na forma sintomática ou subclínica, sendo neste último caso com a finalidade de prevenir as seqüelas tardias que possam ocorrer.
  • 34.
    Os medicamentos Asdrogas utilizadas para o tratamento da toxoplasmose congênita no RN são: pirimetamina, sulfadiazina e ácido folínico. O esquema recomendado para tratamento da toxoplasmose congênita no RN é indicado logo após o nascimento.
  • 35.
    Profilaxia Orientação: -Maior cuidado com as grávidas soronegativas. - Possuem maior contato com gatos. - Evitar ambientes com areia.
  • 36.
    Prevenir sempre! Aprevenção da toxoplasmose congênita é de fundamental importância para um melhor controle da infecção evitando as graves seqüelas que podem ocorrer no feto e no RN.
  • 37.
  • 38.
    Referências bibliográficas Melo,LC.toxoplasmose congênita. Assistência ao Recém-Nascido de Risco, editado por Paulo R. Margotto, 2a Edição, 2004 Couto JCF, Leite JM: Ultrasonographic markers for fetal congenital toxoplasmosis; Rev. Bras. Ginecol. Obstet. vol.26 no.5 Rio de Janeiro June 2004   Berrebi A, Bessières MH, Cohen-Khalas Y, et al. Diagnostic anténatal de la toxoplasmose. A propos de 176 cas. J Gynecol Obstet Biol Reprod (Paris) 1993; 22:261-8 Hohlfield P, MacAleese J, Capella-Pavlovski M, et al. Fetal toxoplasmosis: ultrasonographic signs. Ultrasound Obstet Gynecol 1991; 1:241-4 Spalding SM. Acompanhamento de gestantes com risco de transmissão de infecção congênita por Toxoplasma gondii Nicolle & Manceaux, 1909 na região do alto Uruguai, RS, Brasil: diagnósticos e aspectos epidemiológicos [dissertação]. Rio de Janeiro: Fundação Oswaldo Cruz; 2000 Vaz AJ, Guerra EM, Ferratto LCC, Toledo LAS, Azevedo Neto RS. Sorologia positiva para sífilis, toxoplasmose e doença de Chagas em gestantes de primeira consulta em centros de saúde da área metropolitana, Brasil. Rev Saúde Pública 1990; 24:373-9 Beazley DM, Egerman RS. Toxoplasmosis. Semin Perinatol 1998; 22: 332-8 Guerina NG, Hsu Ho-Wen, Meissner C et al. Neonatal serologic screening and early treatment for congenita Toxoplasma gondii infection. N Engl J Med 1994; 330: 1858-63
  • 39.