SÍNDROMES NEUROCUTÂNEAS
Acd: Isadora Cristina Olesiak Cordenonsi
Professor: Carlos Jesus Pereira Haygert
SÍNDROMES NEUROCUTÂNEAS
Genes diferentes mas em todas há ausência de
supressão tumoral;
Tumores no SNC e SNP
Lesões cutâneas
Manifestações
multissistêmicas
SÍNDROMES NEUROCUTÂNEAS
 NF1
 NF2
 Esclerose tuberosa
 Síndrome de Sturge-Weber
 Síndrome Phace
 Síndrome de Von-Hippel-Lindau
 Ataxia- telangiectasia
 Facomatoses melanocíticas
 Melanose neurocutânea
NEUROFIBROMATOSE DO TIPO 1
NEUROFIBROMATOSE DO TIPO 1
Mais comum;
Congênita, hereditária, autossômica dominante;
50% esporádicos;
1:3000 a 1:4000 nascidos vivos;
Crescimento ou surgimento de lesões durante a
puberdade ou gravidez são comuns;
NEUROFIBROMATOSE DO TIPO I
Mutação em NF1 (cromossomo 17) que codifica
neurofibrimina (supressora tumoral);
Controle inadequado da proliferação e diferenciação
celular;
NEUROFIBROMATOSE DO TIPO 1
 Variedade de expressão e o comportamento
é imprevisível;
NF1
NEUROFIBROMATOSE DO TIPO I
NEUROFIBROMATOSE DO TIPO 1
NEUROFIBROMATOSE DO TIPO I
 Puberdade precoce, dificuldade de aprendizado e
baixa estatura;
 Glioma de nervo óptico: da acuidade visual,
disfunção hipotalâmica, atrofia de nervo óptico,
papiledema;
 Mesmo gliomas grandes sintomáticos podem
regredir;
NEUROFIBROMATOSE DO TIPO I
 Infarto cerebral  hemiplegia ou déficit neurológico
focal;
NEUROFIBROMATOSE DO TIPO I
HISTOLOGIA
 Crianças com NF1 mais comum tu encefálico :
ASTROCITOMA pilocítico – consistência
heterogênea (sólido/cístico);
 NEUROFIBROMAS: tu benignos da bainha dos
nervos periféricos; circunscritos mas não
encapsulados;
 NFP: expansão de vários nervos em um plexo ou
acometimento de um tronco nervoso;
NF1
 Acompanhar neurofibromas plexiformes ou
subcutâneos  mudança clínica (aumento rápido,
de consistência mole para duro, alteração
neurológica...) pensar em malignização;
NF1
ACHADOS DE IMAGEM
NF1
Escoliose:
 Ocorre em cerca de 10% dos pacientes
 Distróficas: remodelamento das vértebras,
alargamento do canal vertebral e dos forames
espinhosos; início precoce e rapidamente
progressiva;
 ou não distróficas = escoliose idiopática
NF1
 Costelas em fita;
 Múltiplas pseudoartroses: comprometimento da
tíbia é o mais comum;
 Hipoplasia dos elementos vertebrais posteriores;
 Remodelamento dos corpos vertebrais (10%);
NF1
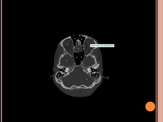
 Displasia de asa maior do esfenoide: típica mas
incomum; exoftamo pulsátil (herniação meníngea,
espaço liquórico ou lobo temporal); isolado ou
associado e neurofibroma plexiforme na
distribuição trigeminal;
NF1 - RM
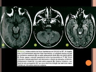
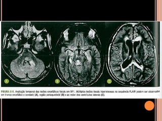
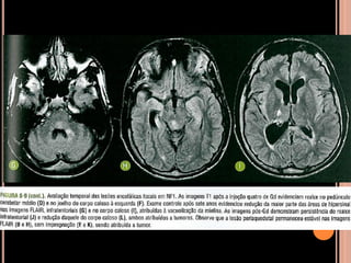
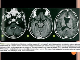
Gliomas de via óptica:
Espessamento da bainha/nervo de aspecto
tubular/fusiforme ou globular
Hipossinal em T1 e hipersinal em T2
Impregnação homogênea pelo Gd;
Ocasionalmente dilatação do espaço subaracnoideo
perineural;
NF1 - RM
Gliomas de via óptica:
Pode haver extensão ao quiasma óptico e aos corpos
geniculados laterais;
Gliomas do tronco encefálico:
Maioria benigno, podendo estabilizar-se ou regredir
Isossinal em T1 e hipersinal em T2;
NF1
Gliomas do teto mesencefálico:
 Pode determinar hidrocefalia pela obstrução de
aqueduto;
 Iso ou hipossinal em T1 e hipersinal em T2;
 Usualmente sem impregnação pelo Gd nos tu
pequenos;
NF1
 Gliomas cerebelares
São raros em associação com NF1;
NF1
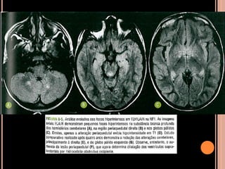
Área de vacuolização de mielina
 Origem é controversa;
 Achado típico em crianças com NF1;
 Focos hiperintensos em T2 e no FLAIR em núcleos
da base, cápsula interna, tronco encefálico e
cerebelo;
 Mais comum no globo pálido, geralmente bilateral;
NF1
Vacuolização de mielina
 Aparecimento geralmente aos 3 anos  aumenta
até os 12 anos  tendência a regredir;
 Raro observar após os 20 anos de idade;
NF1
 Alterações cerebrovasculares são incomuns;
 Estenose, aneurismas; malformações
arteriovenosas, hipoplasia das artérias carótidas
internas;
NF1
 Difusão importante para detectar isquemia
parenquimatosa aguda;
NF1
 Espessamento do corpo caloso (atividade anormal
da neurobrimina?)
NF1
 Neurofibromas:
tu benignos da bainha dos nervos periféricos que
podem se originar desde a raiz dorsal dos gânglios
nervosos até os ramos nervosos terminais de
qualquer nervo;
Cutâneo, subcutâneo, nodular profundo e
plexiforme(NFP);
NF1
NFP
 Crescimento longitudinal ao longo dos nervos
 Até em 50% dos pacientes com NF1
 10% sofrem transformação maligna;
NF1
 Meningoceles e cistos aracnoideos: nos forames
intervertebrais ou adjacentes às vértebras
remodeladas;
 Neurofibromas paraespinais: comprometem a raiz
nervosa;
NF1
 Neurofibromas iso ou hipossinal em T1 e hipersinal
em T2 e intensa impregnação pelo contraste;
“sinal do alvo” em T2;
 Tu intramedulares são incomuns: maioria é glioma;
RECOMENDAÇÕES
 Evitar RX e TC: reduzir o potencial deletério da
radiação ionizante em pacientes com predisposição
a desenvolver tumores;
 RM: escolha de exame inicial e diagnóstico:
encéfalo e órbitas; recomendável exame de coluna
vertebral e medula espinhal;
 Acompanhamento periódico com RM naqueles com
alterações em exames prévios;
QUESTÕES
( ) A síndrome neurocutânea mais comum é a NF1, com
incidência de 1:3000 a 1:4000;
( ) Para o Dx de NF1 são necessários 2 ou mais critérios
destes: três ou mais manchas café com leite, dois ou mais
nódulos de Lisch, efélides de qualquer tipo, displasia de
esfenoide ou afilamento de ossos longos do córtex, glioma
óptico, dois ou mais neurofibromas de qualquer tipo ou dois
ou mais neurofibromas plexiformes, ou parente de 1° grau
com a síndrome;
QUESTÕES
( V ) A síndrome neurocutânea mais comum é a NF1, com
incidência de 1:3000 a 1:4000;
( F ) Para o Dx de NF1 são necessários 2 ou mais critérios
destes: três(seis) ou mais manchas café com leite, 2 ou
mais nódulos de Lisch, efélides de qualquer tipo (axilares
ou inguinais), displasia de esfenoide ou afilamento de ossos
longos do córtex, glioma óptico, 2 ou ou mais neurofibromas
de qualquer tipo ou dois (um) ou mais neurofibroma
plexiforme, ou parente de 1° grau com a síndrome;
QUESTÕES
( ) o tumor encefálico mais comum em crianças com NF1 é o
astrocitoma pilocítico;
( ) Gliomas de via óptica fazem parte dos critérios diagnósticos
de NF1 e apresentam hiperssinal em T1 e hipossinal em T2,
além de impregnação homogênea pelo contraste;
QUESTÕES
( V ) o tumor encefálico mais comum em crianças com NF1 é o
astrocitoma pilocítico;
( F ) Gliomas de via óptica fazem parte dos critérios
diagnósticos de NF1 e apresentam hiperssinal (hipossinal)
em T1 e hipossinal(hiperssinal) em T2, além de
impregnação homogênea pelo contraste;
QUESTÕES
 ( ) Na NF1 pode ocorrer:
Neurofibromas
Glioma de nervo óptico
Gliomas de tronco encefálico
Gliomas de tecto mesencefálico
Gliomas cerebelares
Vacuolização de mielina (tende a regredir após os 12 anos de
idade)
Malformações cerebrovasculares
QUESTÕES
 ( V ) Na NF1 pode ocorrer:
Neurofibromas
Glioma de nervo óptico
Gliomas de tronco encefálico
Gliomas de tecto mesencefálico
Gliomas cerebelares
Vacuolização de mielina (tende a regredir após os
12 anos de idade)
Malformações cerebrovasculares
NEUROFIBROMATOSE DO TIPO 2
NF2
 Autossômica dominante;
 3% dos casos de NF;
 1:50.000 nascidos vivos;
 Mutação no gene NF2(codifica neurofibrimina 2
que é supressora tumoral) no cromossomo 22;
NF2
 Na ausência da síndrome neurocutânea aparecem na 5° década e como
lesões solitárias;
Scwannomas vestibulares
Ocorrem em 95% dos pacientes
adultos com NF2 com idade
média de 26 anos;
NF2
NF2
 Schwannomas vestibulares:
Originam-se no conduto auditivo interno; pode se
estender para a cisterna pontocerebelar;
o 5° par (trigêmio): 2° sítio mais acometido;
NF2
 Meningeomas podem ser múltiplos;
Assim como os schwannomas vestibulares, eles
tendem a ocorrer em uma idade mais precoce que
aqueles que são esporádicos;
NF2
 Meningoangiomatose: em associação com NF2 ou
esporádica. Associada à NF2 costumam ser
múltiplas e assintomáticas.
NF2
 Frequentemente possuem tu medulares de tipos
histológicos variados;
 Schwannomas periféricos que se originam das
raízes nervosas dorsais;
NF2
MISME
Multiple inheritd scwannomas, meningeomas,
ependymomas
NF2
NF2
Achados Clínicos
As primeiras manifestações clínicas geralmente
ocorrem em adultos;
Perda auditiva e tonturas
(lesão do 8° par craniano)
NF2
Achados histológicos
NF1 NF2
Nervo óptico (glioma)
(prolongamento do
encéfalo)
Nervos cranianos
verdadeiros (que possuem
bainha de mielina –
scwannoma)
Achados de imagem NF2
 Schwannomas vestibulares (realce homogêneo
pelo contraste, seria hipo em T1)
 Meningeomas (realce intenso pelo contraste)
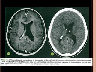
 Calcificação assimétrica de plexo corióide
NF2
CALCIFICAÇÕES NÃO NEOPLÁSICAS DO PLEXO
CORIÓIDE
VL, assimétrica ou unilateral;
Usualmente não apresenta crescimento em exames
seriados;
TC
NF2
MENINGEOMA
Lesão extra-axial com implantação dural;
Isossinal em T1 e T2 em relação à substância
cinzenta;
Impregnação intensa pelo Gd:
RM
CASO DE MENINGEOMA
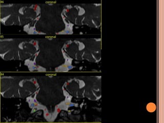
 Schwannomas volumosos se estendendo para a
cisterna pontocerebelar com intensa impregnação
pelo Gd; na sequência em T2 tem hipersinal
heterogêneo;
 Múltiplos nódulos, em T1 pós contraste importante
realce compatíveis com schwannomas;
NF2
SCWHANNOMAS
Pequenas lesões no CAI, bem mais caracterizada
nas aquisições volumétricas(3D CISS);
Aspecto de “sorvete de casquinha” quando lesões
maiores com extensão pontocerebelar;
Hipo em T1 e hiper heterogêneo em T2;
Impregnação pelo Gd homogênea se pequenos e
heterogênea se grandes;
RM
NF2
TUMORES SÓLIDOS INTRAMEDULARES
Isso ou discreto hiperssinal em T1;
Hiperssinal em T2;
Impregnação intensa pelo Gd;
RM
 Iso ou hipoatenuante em relação ao parênquima e realce pelo meio
de contraste, no ângulo pontocerebelar;
 Schwannomas vestibulares
 Schwannoma de nervo trigêmio
 Meningoangiomatose: impregnação nodular pelo
Gd
NF2
MENINGOANGIOMATOSE
Isossinal em T1, hiperssinal heterogêneo em T2 com
hipossinal central;
Calcificações: focos de hipossinal em T2
RM
NF2
 Recomendações
Na NF2 é importante estudo de crânio E coluna;
Sempre empregar sequências T1 pós contraste e
volumétricas (3D CISS) com cortes finos na fossa
posterior para avaliação de nervos cranianos;
;
QUESTÕES
( ) A NF2 corresponde a 3% dos casos de NF e
está associada a scwhannomas, meningeomas e
ependimomas;
( ) Os schwannomas vestibulares se originam no
meato acústico interno e causam como primeiros
sintomas perda auditiva e tonturas;
QUESTÕES
( V ) A NF2 corresponde a 3% dos casos de NF e
está associada a scwhannomas, meningeomas e
ependimomas;
( V ) Os schwannomas vestibulares se originam no
meato acústico interno e causam como primeiros
sintomas perda auditiva e tonturas;
NF2
São critérios diagnósticos de NF2:
( ) schwannoma vestibular bilateral;
( ) schwannoma vestibular unilateral e parente de
1° grau com NF2
( ) parente de 1° grau com NF2 e um dos
seguintes achados: neurofibroma/ schwannoma/
meningeoma/ glioma/ opacidade lenticular
subcapsular juvenil;
NF2
São critérios diagnósticos de NF2:
( V ) schwannoma vestibular bilateral;
( V ) schwannoma vestibular unilateral e parente de
1° grau com NF2
( F ) parente de 1° grau com NF2 e um(dois) dos
seguintes achados: neurofibroma/ schwannoma/
meningeoma/ glioma/ opacidade lenticular
subcapsular juvenil;
NF2
( ) a diferença entre os meningeomas e
schwannomas associados à NF2 com aqueles que
são esporádicos é que os esporádicos costumam a
aparecer em uma idade mais tardia;
( ) Meningoangiomatose associada à NF2 costuma
ser lesão única e sintomática; caracteriza-se na RM
em T2 com hiperssinal heterogêneo com hipossinal
central;
NF2
( V ) a diferença entre os meningeomas e
schwannomas associados à NF2 com aqueles que
são esporádicos é que os esporádicos costumam a
aparecer em uma idade mais tardia;
( F ) Meningoangiomatose associada à NF2 costuma
ser lesão única e sintomática(múltiplas e
assintomáticas); caracteriza-se na RM em T2 com
hiperssinal heterogêneo com hipossinal central;
NF2
( ) Schwannomas tem hiperssinal heterogêneo em
T2 e impregnação homogênea pelo contraste se
pequenos e heterogênea se grandes;
( ) Meningeomas caracterizam-se por lesão extra-
axial com implantação dural; Isossinal em T1 e T2
em relação à substância cinzenta; Impregnação
intensa pelo Gd:
NF2
( v ) Schwannomas tem hipersinal heterogêneo em
T2 e impregnação homogênea pelo contraste se
pequenos e heterogênea se grandes;
( v ) Meningeomas caracterizam-se por lesão extra-
axial com implantação dural; Isossinal em T1 e T2
em relação à substância cinzenta; Impregnação
intensa pelo Gd:
SÍNDROMES NEUROCUTÂNEAS
 Autossômica dominante
 50% esporádicos
 1:3000 a 1:4000
 Autossômica dominante
 1:50.000
 Perda auditiva e tonturas
 MISME
NF1 NF2
SÍNDROMES NEUROCUTÂNEAS
 Glioma de nervo óptico
 Displasia de esfenoide
 Astrocitoma pilocítico
 Gliomas de tronco encefálico
 Gliomas de tecto
mesencefálico
 Gliomas cerebelares
 Vacuolização de mielina
 Malformações
cerebrovasculares
 Neurofibromas
 Schwannomas vestibulares
 Schwannoma de nervo
trigêmio
 Meningeoma
 Ependimoma
 Meningoangiomatose
 Calficicação assimétrica de
plexo corioide
NF1 NF2
COMPLEXO ESCLEROSE
TUBEROSA (CET)
CET
 Questões
( ) CET é a segunda síndrome neurocutânea mais
comum;
( ) se caracteriza pela tríade angiofibromas faciais,
epilepsia e retardo mental, apesar da tríade só
estar presente em 1/3 dos casos;
CET
( ) No CET, o acometimento pulmonar se
caracteriza por histiocitose de células de
Langerhans;
( ) Não há acometimento renal nem cardíaco na
CET;
( ) No SNC podemos ter nódulos
subependimários, túberes corticais, ASCG, bandas
radiais;
CET
( ) nódulo adjacente ao forame de Monro, com
calcificação parcial, impregnação pelo contraste
deve ser acompanhado anualmente;
( ) os túberes são áreas de expansão e distorção
giral mais bem caracterizados no FLAIR;
CET
Incidência
Caracterização
2°
TSC1 TSC2
CET
 2° síndrome neurocutânea mais comum;
 Displasias e hamartomas que afetam múltiplos
órgãos;
 CET: envolvimento multissistêmico e expressão
variável da doença;
 1:6000 a 1:10.000 nascidos vivos;
CET
 Genes
TSC 1 : codifica proteína hamartina;
TSC 2 : codifica proteína tuberina;
Genes relacionados à diferenciação, migração e
proliferação celular;
Formação de tu: rins, cérebro, pulmão;
mutação
*ASCG
*Túberes
corticais
*Nódulos
subependimários
CET
 RINS: angiomiolipoma, cistos simples e carcinoma
de células renais;
 PULMÃO: linfangioliomiomatose (mulheres);
 CORAÇÃO: rabdomiomas – tu intracavitários –
maioria sem relevância clínica – tendência à
regressão até os 4 anos de idade;
CET
 ENCÉFALO
Túberes corticais;
Nódulos subependimários;
Astrocitoma subependimário de células
gigantes(ASCG);
Lesões de substância branca por distúrbios de
migração neuronal;
CET
 Outras manifestações raras:
Cistos gliais, aneurismas cerebrais, hidrocefalia,
cistos de aracnoide, disgenesia de corpo caloso,
esclerose mesial temporal;
CET
Achados clínicos
Retardo mental Crises epilépticas
Adenomas sebáceos-
angiofibromas faciais
CET
Achados clínicos
Tríade ocorre em cerca de 1/3 dos pacientes;
50% com inteligência normal;
25% sem epilepsia;
CET
 Passo inicial para o diagnóstico: detectar lesões
cutâneas!
 Mácula hipocrômica (mais comum) - infância;
 Angiofibroma facial (mais típico) – adolescência 
Pápulas avermelhadas na região malar;
Menos comum: fibromas periungueais;
CET
Intelecto normal/ sem
epilepsia
Importante retardo
mental e crises
epilépticas
CET
 Indivíduos com epilepsia <6m e de difícil controle
das crises: maior propensão de desenvolver
retardo mental mais grave;
 Controle sustentado da crise: costumam ter
inteligência normal;
 Distúrbios da atenção e do sono, hiperatividade,
autismo;
CET
Achados histológicos
Túberes: perda da diferenciação normal das 6 camadas
corticais;
Túber isolado típico: forma frusta da CET;
Nódulos subependimários: similares aos túberes porém
menores;
ASCG: tu praticamente exclusivo da CET: proliferação
anormal de astrócitos e células gigantes;
CET
Achados de imagem
CET
Achados de imagem – Ressonância magnética
CET
 Recomendações
RM: método de escolha;
anual em paciente com CET e nódulos
subependimários adjacentes ao forame de Monro,
parcialmente calcificados e com impregnação pelo
Gd (crescimento e obstrução)  favorece ASCG e
indica cirurgia precoce;
TC sem contraste: só para ver nódulos
subependimários calcificados;
CET
 Questões
( ) CET é a segunda síndrome neurocutânea mais
comum;
( ) se caracteriza pela tríade angiofibromas faciais,
epilepsia e retardo mental, apesar da tríade só
estar presente em 1/3 dos casos;
CET
 Questões
( V ) CET é a segunda síndrome neurocutânea
mais comum;
( V ) se caracteriza pela tríade angiofibromas
faciais, epilepsia e retardo mental, apesar da tríade
só estar presente em 1/3 dos casos;
CET
( ) Na CET, o acometimento pulmonar se
caracteriza por histiocitose de células de
Langerhans;
( ) Não há acometimento renal nem cardíaco na
CET;
( ) No SNC podemos ter nódulos
subependimários, túberes corticais, ASCG, bandas
radiais;
CET
( F ) Na CET, o acometimento pulmonar se
caracteriza por histiocitose de células de
Langerhans;
( F ) Não há acometimento renal nem cardíaco na
CET;
( V ) No SNC podemos ter nódulos
subependimários, túberes corticais, ASCG, bandas
radiais;
CET
( ) nódulo adjacente ao forame de Monro, com
calcificação parcial, impregnação pelo contraste
devem ser acompanhados anualmente;
( ) os túberes são áreas de expansão e distorção
giral mais bem caracterizadas no FLAIR;
CET
( V ) nódulo adjacente ao forame de Monro, com
calcificação parcial, impregnação pelo contraste
devem ser acompanhados anualmente;
( V ) os túberes são áreas de expansão e distorção
giral mais bem caracterizadas no FLAIR;
SÍNDROMES NEUROCUTÂNEAS
 Glioma de nervo óptico
 Displasia de esfenoide
 Gliomas, vacuolização de
mielina
 Perda auditiva e tonturas
 MISME
NF1 NF2
SÍNDROMES NEUROCUTÂNEAS
 Angiofibromas faciais
 Epilepsia
 Retardo mental
 Angiomiolipomas renais,
linfangioleiomiomatose,
rabdomiomas
 Nódulos subependimários
 ASCG
 Túberes corticais
CET
SÍNDROMES NEUROCUTÂNEAS
VASCULARES
SÍNDROMES NEUROCUTÂNEAS VASCULARES
 Síndromes neurocutâneas raras;
 Desenvolvimento anormal de vasos da pele e/ou
mucosas;
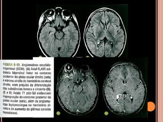
SÍNDROMES NEUROCUTÂNEAS VASCULARES
 Síndrome de Sturge-Weber
 Síndrome de PHACE
 Síndrome de VHL
SÍNDROME DE STURGE WEBER(SSW)
SSW
 Questões
( ) SSW também é chamada de angiomatose
encéfalo trigeminal;
( ) caracteriza-se por crises epilépticas, retardo
mental e nevo “cor de vinho do Porto” em território
do trigêmio; a presença deste último é
indispensável para o diagnóstico;
SSW
( ) nesta síndrome há uma drenagem venosa da
leptomeninge anormal levando à estase e
consequentemente isquemia crônica que pode se
apresentar como calcificações girais; além disso há
atrofia cortical devido à circulação deficiente;
( ) O plexo corioide não costuma ser afetado;
( ) pode ocorrer angioma de corioide, apresentando
impregnação pelo Gd;
SSW
( ) Ocorre impregnação leptomeníngea pelo Gd
serpintiginosa, sendo que 80% é bilateral;
SÍNDROME DE STURGE-WEBER
Derivadas da mesectoderme;
?
SÍNDROME DE STURGE-WEBER
 Angiomatose encéfalo trigeminal;
 Congênita rara; Considerada a princípio como
esporádica;
 Angiomatose venosa leptomeníngea, lesão
cutânea facial ispsilateral que coincide com o
território do trigêmio, envolvendo pelo menos sua
porção oftálmica; depósitos de cálcio cerebrais;
SÍNDROME DE STURGE-WEBER
 Lesões cutâneas: veias dilatadas ou
telangiectasias que contêm sangue desoxigenado
apresentando a cor de “vinho do Porto” do nevo
facial;
SÍNDROME DE STURGE-WEBER
 Manchas cutâneas isoladas  nevo comum;
 Condição para dx de SSW  lesão intracraniana
com ou sem nevo facial;
 Ocular: angioma da corioide, risco aumentado de
glaucoma;
SÍNDROME DE STURGE-WEBER
 Manifestações intracranianas: região de drenagem
venosa anormal e circulação colateral;
 Pode haver recrutamento de veias medulares para
drenagem do córtex (alteração angiomatosa de
plexo corioide aumenta dimensões e
vascularização);
 Circulação anormal  atrofia do parênquima
adjacente;
SÍNDROME DE STURGE-WEBER
 Isquemia cerebral crônica –atrofia cortical
lentamente progressiva com calcificações
distróficas girais;
SÍNDROME DE STURGE-WEBER
Crises epilépticas Retardo mental
Nevo facial de cor do
“vinho do Porto”
SÍNDROME DE STURGE-WEBER
 Nevo presente desde o nascimento e localiza-se
no dermátono do nervo trigêmio;
 Principalmente crises epilépticas: devido à
circulação anormal;
 Atraso no desenvolvimento...
SSW
Recomendações
 RM com contraste (T1 ou FLAIR pós gadolínio);
 TC: calcificações girais (mas dispensável); não
aparecem antes dois 2 anos; Se suspeita procurar
os achados mais consistentes;
SSW
 Questões
( ) SSW também é chamada de angiomatose
encéfalo trigeminal;
( ) caracteriza-se por crises epilépticas, retardo
mental e nevo “cor de vinho do Porto” em território
do trigêmio; a presença deste último é
indispensável para o diagnóstico;
SSW
 Questões
( V ) SSW também é chamada de angiomatose
encéfalo trigeminal;
( F ) caracteriza-se por crises epilépticas, retardo
mental e nevo “cor de vinho do Porto” em território
do trigêmio; a presença deste último é
indispensável para o diagnóstico;
SSW
( ) nesta síndrome há uma drenagem venosa da
leptomeninge anormal levando à estase e
consequentemente isquemia crônica que pode se
apresentar como calcificações girais; além disso há
atrofia cortical devido à circulação deficiente;
( ) O plexo corioide não costuma ser afetado;
( ) pode ocorrer angioma de corioide, apresentando
impregnação pelo Gd;
SSW
( V ) nesta síndrome há uma drenagem venosa da
leptomeninge anormal levando à estase e
consequentemente isquemia crônica que pode se
apresentar como calcificações girais; além disso há
atrofia cortical devido à circulação deficiente;
( F ) O plexo corioide não costuma ser afetado;
( V ) pode ocorrer angioma de corioide,
apresentando impregnação pelo Gd;
SSW
( ) Ocorre impregnação pelo Gd lemptomeníngea
serpintiginosa, sendo que 80% é bilateral;
SSW
( F ) Ocorre impregnação pelo Gd lemptomeníngea
serpintiginosa, sendo que 80% é bilateral;
SÍNDROME DE PHACE
PHACE
O que significa PHACE?
PHACE
( ) na presença de hemangioma facial grande
devemos solicitar RM de crânio;
( ) O complexo Dandy-Walker é o achado
infratentorial mais frequente nessa síndrome;
( ) hipoplasia de carótida não é um achado dessa
síndrome;
SÍNDROME PHACE
 Posterior fossa malformations
 Hemangiomas
 Arterial anomalies
 Coarctation of the aorta
 Eye anomalities
 S (sternum, supraumbilical raphe)
Pode coexistir defeitos no desenvolvimento ventral
(fendas no esterno e da rafe supraumbilical;
SÍNDROME DE PHACE
Achados clínicos
Hemangioma facial grande, em placa, por vezes
ulcerado; principalmente V1 do trigêmio; ao
nascimento
Cefaleia, crises epilépticas, alteração no
desenvolvimento, hemiparesia;
Coarctação de aorta;
SÍNDROME DE PHACE
SÍNDROME DE PHACE
Recomendações
 Todos os pacientes com hemangioma facial devem
ser submetidos ao estudo com RM;
 Casos menos graves provavelmente são muito
mais comuns do que se pensa;
 Suspeita de PHACE  fossa posterior, angio TC,
angio RM do arco aórtico, cervicais, intracranianas;
PHACE
O que significa PHACE?
PHACE
O que significa PHACE?
 Posterior fossa malformations
 Hemangiomas
 Arterial anomalies
 Coarctation of the aorta
 Eye anomalities
 S (sternum, supraumbilical raphe)
PHACE
( ) na presença de hemangioma facial grande
devemos solicitar RM de crânio;
( ) O complexo Dandy-Walker é o achado
infratentorial mais frequente nessa síndrome;
( ) hipoplasia de carótida não é um achado dessa
síndrome;
PHACE
( V ) na presença de hemangioma facial grande
devemos solicitar RM de crânio;
( V ) O complexo Dandy-Walker é o achado
infratentorial mais frequente nessa síndrome;
( F ) hipoplasia de carótida não é um achado
dessa síndrome;
DOENÇA DE VON-HIPPEL LINDAU
(VHL)
VHL
Questões
( ) Também chamada de hemangioblastomatose e
se caracteriza por múltiplos tumores benignos e
malignos;
( ) Os hemangioblastomas afetam cerebelo, retina
e medula espinhal;
( ) pode ocorrer tumores em rins, adrenais,
pâncreas e testículos;
VHL
DOENÇA DE VON-HIPPEL LINDAU
 Hemangioblastomatose
 Tumores benignos e malignos múltiplos;
DOENÇA DE VON-HIPPEL LINDAU
DOENÇA DE VON-HIPPEL LINDAU
 Hemangioblastomas de retina, cerebelo e medula
espinhal;
 Rins: carcinoma de células renais;
 Adrenais: feocromocitoma;
 Pâncreas: tumores de células de ilhota e
adenomas serosos;
 Testículos: cistoadenomas epididimários;
 Cistos renais e pancreáticos múltiplos;
DOENÇA DE VON-HIPPEL LINDAU
 1/3 dos hemangioblastomas cerebelares
relacionados à síndrome de VHL;
 2/3 dos hemangioblastomas medulares
relacionados à síndrome de VHL;
 Associados à síndrome  idade mais precoce e
pior prognóstico;
DOENÇA DE VON-HIPPEL LINDAU
Achados clínicos
 Não há lesões cutâneas;
 Primeiros sintomas visuais (ponto cego no campo
visual, descolamento de retina);
 Cefaleia, vertigem, ataxia, vômitos, nistagmo,
paralisia do nono par craniano;
 Dor focal na coluna;
VHL
Recomendações
 Suspeitar quando múltiplos cistos renais ou
tumores frequentes na síndrome de VHL;
 RM com contraste;
 * medula espinhal;
VHL
Questões
( ) Também chamada de hemangioblastomatose e
se caracteriza por múltiplos tumores benignos e
malignos;
( ) Os hemangioblastomas afetam cerebelo, retina
e medula espinhal;
( ) pode ocorrer tumores em rins, adrenais,
pâncreas e testículos;
VHL
Questões
( V ) Também chamada de hemangioblastomatose
e se caracteriza por múltiplos tumores benignos e
malignos;
( V ) Os hemangioblastomas afetam cerebelo,
retina e medula espinhal;
( V ) pode ocorrer tumores em rins, adrenais,
pâncreas e testículos;
ATAXIA TELANGIECTASIA
AT
Questões
( ) Telangiectasias mucocutâneas: 3 aos 6 anos de
idade; associadas à ataxia  patognomônicas de
AT;
( ) Possuem redução do CEA e aumento das
imunoglobulinas;
( ) a TC está contra-indicada nestes pacientes;
ATAXIA TELANGIECTASIA
 Ataxia cerebelar progressiva;
 Telangiectasias oculocutâneas;
 Instabilidade genômica;
 Imunodeficiência;
 Infecções sinusais e pulmonares recorrentes;
 Retardo no crescimento;
 Hipogonadismo;
 Suscetibilidade maior a neoplasias;
 1:40.000 a 1:100.000
ATAXIA TELANGIECTASIA
 Telangiectasias mucocutâneas: 3 aos 6 anos de
idade; associadas à ataxia  patognomônicas de
AT;
 Vasos telangiectásicos na leptomeninge,
vascularização anormal do córtex;
 Pré-diposição a formar gliomas e
meduloblastomas;
 Timo rudimentar ou ausente;
ATAXIA TELANGIECTASIA
 Aumento do CEA e redução de imunoglobulinas;
ATAXIA TELANGIECTASIA
Recomendações
 A TC não deve ser usada nestes pacientes!
 Extrema sensibilidade à radiação ionizante;
AT
Questões
( ) Telangiectasias mucocutâneas: 3 aos 6 anos de
idade; associadas à ataxia  patognomônicas de
AT;
( ) Possuem redução do CEA e aumento das
imunoglobulinas;
( ) a TC está contra-indicada nestes pacientes;
AT
Questões
( V ) Telangiectasias mucocutâneas: 3 aos 6 anos
de idade; associadas à ataxia  patognomônicas
de AT;
( F ) Possuem redução do CEA e aumento das
imunoglobulinas;
( V ) a TC está contra-indicada nestes pacientes;
FACOMATOSES MELANOCÍTICAS
FACOMATOSES MELANOCÍTICAS
( ) Na hipomelanose de Ito podemos ter Lesões
hipocrômicas ao longo das linhas de Blaschko
dilatação dos espaços vasculares de Virshow-
Robin;
( ) Na síndrome no nevo epidérmico podemos ter
nevo sebáceo de Jadassohn, retardo mental e
crises epilépticas associado a hemimegalencefalia
homolateral ao nevo epidérmico;
FACOMATOSES MELANOCÍTICAS
 Raras
 Desenvolvimento anormal dos melanócitos;
 Defeito na migração ou proliferação destes;
HIPOMELANOSE DE ITO
 Hipopigmentação cutânea com padrão de listras
associada a manifestações do SNC, anormalidades
musculoesqueléticas;
HIPOMELANOSE DE ITO
Achados clínicos
 Lesões hipocrômicas ao longo das linhas de
Blaschko;
 Retardo mental ou desordens de comportamento;
 Crises epilépticas no primeiro ano de vida;
HIPOMELANOSE DE ITO
 Micro ou macrocefalia, assimetria facial,
hipertelorismo, implantação baixa das orelhas,
surdez, ataxia, nistagmo, hipotonia, hipercinesia;
 Alterações na migração cortical, heterotopias,
indefinição da transição entre substância branca e
cinzenta, polimicrogiria, paquigiria, dilatação dos
espaços vasculares de Virshow-Robin;
 Hemigegaloencefalia;
SÍNDROME DO NEVO EPIDÉRMICO
 Nevo sebáceo de Jadassohn, retardo mental e
crises epilépticas;
 Placas delimitadas, elevadas, hipercrômicas de
aspecto aveludado;
 Hemimegalencefalia homolateral ao nevo
epidérmico;
 hemihipertrofia facial pode ocorrer;
SÍNDROME DO NEVO EPIDÉRMICO
FACOMATOSES MELANOCÍTICAS
( ) Na hipomelanose de Ito podemos ter Lesões
hipocrômicas ao longo das linhas de Blaschko
dilatação dos espaços vasculares de Virshow-
Robin;
( ) Na síndrome no nevo epidérmico podemos ter
nevo sebáceo de Jadassohn, retardo mental e
crises epilépticas associado a hemimegalencefalia
homolateral ao nevo epidérmico;
FACOMATOSES MELANOCÍTICAS
( V ) Na hipomelanose de Ito podemos ter Lesões
hipocrômicas ao longo das linhas de Blaschko
dilatação dos espaços vasculares de Virshow-
Robin;
( V ) Na síndrome no nevo epidérmico podemos
ter nevo sebáceo de Jadassohn, retardo mental e
crises epilépticas associado a hemimegalencefalia
homolateral ao nevo epidérmico;
MUITO OBRIGADA!

Síndromes neurocutâneas pdf 1

  • 1.
    SÍNDROMES NEUROCUTÂNEAS Acd: IsadoraCristina Olesiak Cordenonsi Professor: Carlos Jesus Pereira Haygert
  • 2.
    SÍNDROMES NEUROCUTÂNEAS Genes diferentesmas em todas há ausência de supressão tumoral; Tumores no SNC e SNP Lesões cutâneas Manifestações multissistêmicas
  • 3.
    SÍNDROMES NEUROCUTÂNEAS  NF1 NF2  Esclerose tuberosa  Síndrome de Sturge-Weber  Síndrome Phace  Síndrome de Von-Hippel-Lindau  Ataxia- telangiectasia  Facomatoses melanocíticas  Melanose neurocutânea
  • 4.
  • 5.
    NEUROFIBROMATOSE DO TIPO1 Mais comum; Congênita, hereditária, autossômica dominante; 50% esporádicos; 1:3000 a 1:4000 nascidos vivos; Crescimento ou surgimento de lesões durante a puberdade ou gravidez são comuns;
  • 6.
    NEUROFIBROMATOSE DO TIPOI Mutação em NF1 (cromossomo 17) que codifica neurofibrimina (supressora tumoral); Controle inadequado da proliferação e diferenciação celular;
  • 7.
    NEUROFIBROMATOSE DO TIPO1  Variedade de expressão e o comportamento é imprevisível;
  • 8.
  • 9.
  • 11.
  • 12.
    NEUROFIBROMATOSE DO TIPOI  Puberdade precoce, dificuldade de aprendizado e baixa estatura;  Glioma de nervo óptico: da acuidade visual, disfunção hipotalâmica, atrofia de nervo óptico, papiledema;  Mesmo gliomas grandes sintomáticos podem regredir;
  • 13.
    NEUROFIBROMATOSE DO TIPOI  Infarto cerebral  hemiplegia ou déficit neurológico focal;
  • 14.
    NEUROFIBROMATOSE DO TIPOI HISTOLOGIA  Crianças com NF1 mais comum tu encefálico : ASTROCITOMA pilocítico – consistência heterogênea (sólido/cístico);  NEUROFIBROMAS: tu benignos da bainha dos nervos periféricos; circunscritos mas não encapsulados;  NFP: expansão de vários nervos em um plexo ou acometimento de um tronco nervoso;
  • 15.
    NF1  Acompanhar neurofibromasplexiformes ou subcutâneos  mudança clínica (aumento rápido, de consistência mole para duro, alteração neurológica...) pensar em malignização;
  • 16.
  • 18.
    NF1 Escoliose:  Ocorre emcerca de 10% dos pacientes  Distróficas: remodelamento das vértebras, alargamento do canal vertebral e dos forames espinhosos; início precoce e rapidamente progressiva;  ou não distróficas = escoliose idiopática
  • 19.
    NF1  Costelas emfita;  Múltiplas pseudoartroses: comprometimento da tíbia é o mais comum;  Hipoplasia dos elementos vertebrais posteriores;  Remodelamento dos corpos vertebrais (10%);
  • 24.
    NF1  Displasia deasa maior do esfenoide: típica mas incomum; exoftamo pulsátil (herniação meníngea, espaço liquórico ou lobo temporal); isolado ou associado e neurofibroma plexiforme na distribuição trigeminal;
  • 38.
    NF1 - RM Gliomasde via óptica: Espessamento da bainha/nervo de aspecto tubular/fusiforme ou globular Hipossinal em T1 e hipersinal em T2 Impregnação homogênea pelo Gd; Ocasionalmente dilatação do espaço subaracnoideo perineural;
  • 39.
    NF1 - RM Gliomasde via óptica: Pode haver extensão ao quiasma óptico e aos corpos geniculados laterais; Gliomas do tronco encefálico: Maioria benigno, podendo estabilizar-se ou regredir Isossinal em T1 e hipersinal em T2;
  • 40.
    NF1 Gliomas do tetomesencefálico:  Pode determinar hidrocefalia pela obstrução de aqueduto;  Iso ou hipossinal em T1 e hipersinal em T2;  Usualmente sem impregnação pelo Gd nos tu pequenos;
  • 41.
    NF1  Gliomas cerebelares Sãoraros em associação com NF1;
  • 42.
    NF1 Área de vacuolizaçãode mielina  Origem é controversa;  Achado típico em crianças com NF1;  Focos hiperintensos em T2 e no FLAIR em núcleos da base, cápsula interna, tronco encefálico e cerebelo;  Mais comum no globo pálido, geralmente bilateral;
  • 43.
    NF1 Vacuolização de mielina Aparecimento geralmente aos 3 anos  aumenta até os 12 anos  tendência a regredir;  Raro observar após os 20 anos de idade;
  • 45.
    NF1  Alterações cerebrovascularessão incomuns;  Estenose, aneurismas; malformações arteriovenosas, hipoplasia das artérias carótidas internas;
  • 46.
    NF1  Difusão importantepara detectar isquemia parenquimatosa aguda;
  • 47.
    NF1  Espessamento docorpo caloso (atividade anormal da neurobrimina?)
  • 48.
    NF1  Neurofibromas: tu benignosda bainha dos nervos periféricos que podem se originar desde a raiz dorsal dos gânglios nervosos até os ramos nervosos terminais de qualquer nervo; Cutâneo, subcutâneo, nodular profundo e plexiforme(NFP);
  • 49.
    NF1 NFP  Crescimento longitudinalao longo dos nervos  Até em 50% dos pacientes com NF1  10% sofrem transformação maligna;
  • 50.
    NF1  Meningoceles ecistos aracnoideos: nos forames intervertebrais ou adjacentes às vértebras remodeladas;  Neurofibromas paraespinais: comprometem a raiz nervosa;
  • 52.
    NF1  Neurofibromas isoou hipossinal em T1 e hipersinal em T2 e intensa impregnação pelo contraste; “sinal do alvo” em T2;  Tu intramedulares são incomuns: maioria é glioma;
  • 53.
    RECOMENDAÇÕES  Evitar RXe TC: reduzir o potencial deletério da radiação ionizante em pacientes com predisposição a desenvolver tumores;  RM: escolha de exame inicial e diagnóstico: encéfalo e órbitas; recomendável exame de coluna vertebral e medula espinhal;  Acompanhamento periódico com RM naqueles com alterações em exames prévios;
  • 54.
    QUESTÕES ( ) Asíndrome neurocutânea mais comum é a NF1, com incidência de 1:3000 a 1:4000; ( ) Para o Dx de NF1 são necessários 2 ou mais critérios destes: três ou mais manchas café com leite, dois ou mais nódulos de Lisch, efélides de qualquer tipo, displasia de esfenoide ou afilamento de ossos longos do córtex, glioma óptico, dois ou mais neurofibromas de qualquer tipo ou dois ou mais neurofibromas plexiformes, ou parente de 1° grau com a síndrome;
  • 55.
    QUESTÕES ( V )A síndrome neurocutânea mais comum é a NF1, com incidência de 1:3000 a 1:4000; ( F ) Para o Dx de NF1 são necessários 2 ou mais critérios destes: três(seis) ou mais manchas café com leite, 2 ou mais nódulos de Lisch, efélides de qualquer tipo (axilares ou inguinais), displasia de esfenoide ou afilamento de ossos longos do córtex, glioma óptico, 2 ou ou mais neurofibromas de qualquer tipo ou dois (um) ou mais neurofibroma plexiforme, ou parente de 1° grau com a síndrome;
  • 56.
    QUESTÕES ( ) otumor encefálico mais comum em crianças com NF1 é o astrocitoma pilocítico; ( ) Gliomas de via óptica fazem parte dos critérios diagnósticos de NF1 e apresentam hiperssinal em T1 e hipossinal em T2, além de impregnação homogênea pelo contraste;
  • 57.
    QUESTÕES ( V )o tumor encefálico mais comum em crianças com NF1 é o astrocitoma pilocítico; ( F ) Gliomas de via óptica fazem parte dos critérios diagnósticos de NF1 e apresentam hiperssinal (hipossinal) em T1 e hipossinal(hiperssinal) em T2, além de impregnação homogênea pelo contraste;
  • 58.
    QUESTÕES  ( )Na NF1 pode ocorrer: Neurofibromas Glioma de nervo óptico Gliomas de tronco encefálico Gliomas de tecto mesencefálico Gliomas cerebelares Vacuolização de mielina (tende a regredir após os 12 anos de idade) Malformações cerebrovasculares
  • 59.
    QUESTÕES  ( V) Na NF1 pode ocorrer: Neurofibromas Glioma de nervo óptico Gliomas de tronco encefálico Gliomas de tecto mesencefálico Gliomas cerebelares Vacuolização de mielina (tende a regredir após os 12 anos de idade) Malformações cerebrovasculares
  • 60.
  • 61.
    NF2  Autossômica dominante; 3% dos casos de NF;  1:50.000 nascidos vivos;  Mutação no gene NF2(codifica neurofibrimina 2 que é supressora tumoral) no cromossomo 22;
  • 62.
    NF2  Na ausênciada síndrome neurocutânea aparecem na 5° década e como lesões solitárias; Scwannomas vestibulares Ocorrem em 95% dos pacientes adultos com NF2 com idade média de 26 anos;
  • 63.
  • 64.
    NF2  Schwannomas vestibulares: Originam-seno conduto auditivo interno; pode se estender para a cisterna pontocerebelar; o 5° par (trigêmio): 2° sítio mais acometido;
  • 65.
    NF2  Meningeomas podemser múltiplos; Assim como os schwannomas vestibulares, eles tendem a ocorrer em uma idade mais precoce que aqueles que são esporádicos;
  • 66.
    NF2  Meningoangiomatose: emassociação com NF2 ou esporádica. Associada à NF2 costumam ser múltiplas e assintomáticas.
  • 67.
    NF2  Frequentemente possuemtu medulares de tipos histológicos variados;  Schwannomas periféricos que se originam das raízes nervosas dorsais;
  • 68.
  • 69.
  • 70.
    NF2 Achados Clínicos As primeirasmanifestações clínicas geralmente ocorrem em adultos; Perda auditiva e tonturas (lesão do 8° par craniano)
  • 71.
    NF2 Achados histológicos NF1 NF2 Nervoóptico (glioma) (prolongamento do encéfalo) Nervos cranianos verdadeiros (que possuem bainha de mielina – scwannoma)
  • 72.
  • 80.
     Schwannomas vestibulares(realce homogêneo pelo contraste, seria hipo em T1)  Meningeomas (realce intenso pelo contraste)  Calcificação assimétrica de plexo corióide
  • 81.
    NF2 CALCIFICAÇÕES NÃO NEOPLÁSICASDO PLEXO CORIÓIDE VL, assimétrica ou unilateral; Usualmente não apresenta crescimento em exames seriados; TC
  • 82.
    NF2 MENINGEOMA Lesão extra-axial comimplantação dural; Isossinal em T1 e T2 em relação à substância cinzenta; Impregnação intensa pelo Gd: RM
  • 83.
  • 86.
     Schwannomas volumososse estendendo para a cisterna pontocerebelar com intensa impregnação pelo Gd; na sequência em T2 tem hipersinal heterogêneo;  Múltiplos nódulos, em T1 pós contraste importante realce compatíveis com schwannomas;
  • 87.
    NF2 SCWHANNOMAS Pequenas lesões noCAI, bem mais caracterizada nas aquisições volumétricas(3D CISS); Aspecto de “sorvete de casquinha” quando lesões maiores com extensão pontocerebelar; Hipo em T1 e hiper heterogêneo em T2; Impregnação pelo Gd homogênea se pequenos e heterogênea se grandes; RM
  • 88.
    NF2 TUMORES SÓLIDOS INTRAMEDULARES Issoou discreto hiperssinal em T1; Hiperssinal em T2; Impregnação intensa pelo Gd; RM
  • 89.
     Iso ouhipoatenuante em relação ao parênquima e realce pelo meio de contraste, no ângulo pontocerebelar;
  • 93.
     Schwannomas vestibulares Schwannoma de nervo trigêmio  Meningoangiomatose: impregnação nodular pelo Gd
  • 94.
    NF2 MENINGOANGIOMATOSE Isossinal em T1,hiperssinal heterogêneo em T2 com hipossinal central; Calcificações: focos de hipossinal em T2 RM
  • 95.
    NF2  Recomendações Na NF2é importante estudo de crânio E coluna; Sempre empregar sequências T1 pós contraste e volumétricas (3D CISS) com cortes finos na fossa posterior para avaliação de nervos cranianos; ;
  • 96.
    QUESTÕES ( ) ANF2 corresponde a 3% dos casos de NF e está associada a scwhannomas, meningeomas e ependimomas; ( ) Os schwannomas vestibulares se originam no meato acústico interno e causam como primeiros sintomas perda auditiva e tonturas;
  • 97.
    QUESTÕES ( V )A NF2 corresponde a 3% dos casos de NF e está associada a scwhannomas, meningeomas e ependimomas; ( V ) Os schwannomas vestibulares se originam no meato acústico interno e causam como primeiros sintomas perda auditiva e tonturas;
  • 98.
    NF2 São critérios diagnósticosde NF2: ( ) schwannoma vestibular bilateral; ( ) schwannoma vestibular unilateral e parente de 1° grau com NF2 ( ) parente de 1° grau com NF2 e um dos seguintes achados: neurofibroma/ schwannoma/ meningeoma/ glioma/ opacidade lenticular subcapsular juvenil;
  • 99.
    NF2 São critérios diagnósticosde NF2: ( V ) schwannoma vestibular bilateral; ( V ) schwannoma vestibular unilateral e parente de 1° grau com NF2 ( F ) parente de 1° grau com NF2 e um(dois) dos seguintes achados: neurofibroma/ schwannoma/ meningeoma/ glioma/ opacidade lenticular subcapsular juvenil;
  • 100.
    NF2 ( ) adiferença entre os meningeomas e schwannomas associados à NF2 com aqueles que são esporádicos é que os esporádicos costumam a aparecer em uma idade mais tardia; ( ) Meningoangiomatose associada à NF2 costuma ser lesão única e sintomática; caracteriza-se na RM em T2 com hiperssinal heterogêneo com hipossinal central;
  • 101.
    NF2 ( V )a diferença entre os meningeomas e schwannomas associados à NF2 com aqueles que são esporádicos é que os esporádicos costumam a aparecer em uma idade mais tardia; ( F ) Meningoangiomatose associada à NF2 costuma ser lesão única e sintomática(múltiplas e assintomáticas); caracteriza-se na RM em T2 com hiperssinal heterogêneo com hipossinal central;
  • 102.
    NF2 ( ) Schwannomastem hiperssinal heterogêneo em T2 e impregnação homogênea pelo contraste se pequenos e heterogênea se grandes; ( ) Meningeomas caracterizam-se por lesão extra- axial com implantação dural; Isossinal em T1 e T2 em relação à substância cinzenta; Impregnação intensa pelo Gd:
  • 103.
    NF2 ( v )Schwannomas tem hipersinal heterogêneo em T2 e impregnação homogênea pelo contraste se pequenos e heterogênea se grandes; ( v ) Meningeomas caracterizam-se por lesão extra- axial com implantação dural; Isossinal em T1 e T2 em relação à substância cinzenta; Impregnação intensa pelo Gd:
  • 104.
    SÍNDROMES NEUROCUTÂNEAS  Autossômicadominante  50% esporádicos  1:3000 a 1:4000  Autossômica dominante  1:50.000  Perda auditiva e tonturas  MISME NF1 NF2
  • 105.
    SÍNDROMES NEUROCUTÂNEAS  Gliomade nervo óptico  Displasia de esfenoide  Astrocitoma pilocítico  Gliomas de tronco encefálico  Gliomas de tecto mesencefálico  Gliomas cerebelares  Vacuolização de mielina  Malformações cerebrovasculares  Neurofibromas  Schwannomas vestibulares  Schwannoma de nervo trigêmio  Meningeoma  Ependimoma  Meningoangiomatose  Calficicação assimétrica de plexo corioide NF1 NF2
  • 107.
  • 108.
    CET  Questões ( )CET é a segunda síndrome neurocutânea mais comum; ( ) se caracteriza pela tríade angiofibromas faciais, epilepsia e retardo mental, apesar da tríade só estar presente em 1/3 dos casos;
  • 109.
    CET ( ) NoCET, o acometimento pulmonar se caracteriza por histiocitose de células de Langerhans; ( ) Não há acometimento renal nem cardíaco na CET; ( ) No SNC podemos ter nódulos subependimários, túberes corticais, ASCG, bandas radiais;
  • 110.
    CET ( ) nóduloadjacente ao forame de Monro, com calcificação parcial, impregnação pelo contraste deve ser acompanhado anualmente; ( ) os túberes são áreas de expansão e distorção giral mais bem caracterizados no FLAIR;
  • 111.
  • 112.
  • 113.
    CET  2° síndromeneurocutânea mais comum;  Displasias e hamartomas que afetam múltiplos órgãos;  CET: envolvimento multissistêmico e expressão variável da doença;  1:6000 a 1:10.000 nascidos vivos;
  • 114.
    CET  Genes TSC 1: codifica proteína hamartina; TSC 2 : codifica proteína tuberina; Genes relacionados à diferenciação, migração e proliferação celular; Formação de tu: rins, cérebro, pulmão; mutação
  • 115.
  • 117.
    CET  RINS: angiomiolipoma,cistos simples e carcinoma de células renais;  PULMÃO: linfangioliomiomatose (mulheres);  CORAÇÃO: rabdomiomas – tu intracavitários – maioria sem relevância clínica – tendência à regressão até os 4 anos de idade;
  • 118.
    CET  ENCÉFALO Túberes corticais; Nódulossubependimários; Astrocitoma subependimário de células gigantes(ASCG); Lesões de substância branca por distúrbios de migração neuronal;
  • 119.
    CET  Outras manifestaçõesraras: Cistos gliais, aneurismas cerebrais, hidrocefalia, cistos de aracnoide, disgenesia de corpo caloso, esclerose mesial temporal;
  • 120.
    CET Achados clínicos Retardo mentalCrises epilépticas Adenomas sebáceos- angiofibromas faciais
  • 121.
    CET Achados clínicos Tríade ocorreem cerca de 1/3 dos pacientes; 50% com inteligência normal; 25% sem epilepsia;
  • 122.
    CET  Passo inicialpara o diagnóstico: detectar lesões cutâneas!  Mácula hipocrômica (mais comum) - infância;  Angiofibroma facial (mais típico) – adolescência  Pápulas avermelhadas na região malar; Menos comum: fibromas periungueais;
  • 123.
    CET Intelecto normal/ sem epilepsia Importanteretardo mental e crises epilépticas
  • 124.
    CET  Indivíduos comepilepsia <6m e de difícil controle das crises: maior propensão de desenvolver retardo mental mais grave;  Controle sustentado da crise: costumam ter inteligência normal;  Distúrbios da atenção e do sono, hiperatividade, autismo;
  • 125.
    CET Achados histológicos Túberes: perdada diferenciação normal das 6 camadas corticais; Túber isolado típico: forma frusta da CET; Nódulos subependimários: similares aos túberes porém menores; ASCG: tu praticamente exclusivo da CET: proliferação anormal de astrócitos e células gigantes;
  • 133.
  • 134.
    CET Achados de imagem– Ressonância magnética
  • 135.
    CET  Recomendações RM: métodode escolha; anual em paciente com CET e nódulos subependimários adjacentes ao forame de Monro, parcialmente calcificados e com impregnação pelo Gd (crescimento e obstrução)  favorece ASCG e indica cirurgia precoce; TC sem contraste: só para ver nódulos subependimários calcificados;
  • 136.
    CET  Questões ( )CET é a segunda síndrome neurocutânea mais comum; ( ) se caracteriza pela tríade angiofibromas faciais, epilepsia e retardo mental, apesar da tríade só estar presente em 1/3 dos casos;
  • 137.
    CET  Questões ( V) CET é a segunda síndrome neurocutânea mais comum; ( V ) se caracteriza pela tríade angiofibromas faciais, epilepsia e retardo mental, apesar da tríade só estar presente em 1/3 dos casos;
  • 138.
    CET ( ) NaCET, o acometimento pulmonar se caracteriza por histiocitose de células de Langerhans; ( ) Não há acometimento renal nem cardíaco na CET; ( ) No SNC podemos ter nódulos subependimários, túberes corticais, ASCG, bandas radiais;
  • 139.
    CET ( F )Na CET, o acometimento pulmonar se caracteriza por histiocitose de células de Langerhans; ( F ) Não há acometimento renal nem cardíaco na CET; ( V ) No SNC podemos ter nódulos subependimários, túberes corticais, ASCG, bandas radiais;
  • 140.
    CET ( ) nóduloadjacente ao forame de Monro, com calcificação parcial, impregnação pelo contraste devem ser acompanhados anualmente; ( ) os túberes são áreas de expansão e distorção giral mais bem caracterizadas no FLAIR;
  • 141.
    CET ( V )nódulo adjacente ao forame de Monro, com calcificação parcial, impregnação pelo contraste devem ser acompanhados anualmente; ( V ) os túberes são áreas de expansão e distorção giral mais bem caracterizadas no FLAIR;
  • 142.
    SÍNDROMES NEUROCUTÂNEAS  Gliomade nervo óptico  Displasia de esfenoide  Gliomas, vacuolização de mielina  Perda auditiva e tonturas  MISME NF1 NF2
  • 143.
    SÍNDROMES NEUROCUTÂNEAS  Angiofibromasfaciais  Epilepsia  Retardo mental  Angiomiolipomas renais, linfangioleiomiomatose, rabdomiomas  Nódulos subependimários  ASCG  Túberes corticais CET
  • 144.
  • 145.
    SÍNDROMES NEUROCUTÂNEAS VASCULARES Síndromes neurocutâneas raras;  Desenvolvimento anormal de vasos da pele e/ou mucosas;
  • 146.
    SÍNDROMES NEUROCUTÂNEAS VASCULARES Síndrome de Sturge-Weber  Síndrome de PHACE  Síndrome de VHL
  • 147.
  • 148.
    SSW  Questões ( )SSW também é chamada de angiomatose encéfalo trigeminal; ( ) caracteriza-se por crises epilépticas, retardo mental e nevo “cor de vinho do Porto” em território do trigêmio; a presença deste último é indispensável para o diagnóstico;
  • 149.
    SSW ( ) nestasíndrome há uma drenagem venosa da leptomeninge anormal levando à estase e consequentemente isquemia crônica que pode se apresentar como calcificações girais; além disso há atrofia cortical devido à circulação deficiente; ( ) O plexo corioide não costuma ser afetado; ( ) pode ocorrer angioma de corioide, apresentando impregnação pelo Gd;
  • 150.
    SSW ( ) Ocorreimpregnação leptomeníngea pelo Gd serpintiginosa, sendo que 80% é bilateral;
  • 151.
  • 152.
  • 153.
    SÍNDROME DE STURGE-WEBER Angiomatose encéfalo trigeminal;  Congênita rara; Considerada a princípio como esporádica;  Angiomatose venosa leptomeníngea, lesão cutânea facial ispsilateral que coincide com o território do trigêmio, envolvendo pelo menos sua porção oftálmica; depósitos de cálcio cerebrais;
  • 154.
    SÍNDROME DE STURGE-WEBER Lesões cutâneas: veias dilatadas ou telangiectasias que contêm sangue desoxigenado apresentando a cor de “vinho do Porto” do nevo facial;
  • 155.
    SÍNDROME DE STURGE-WEBER Manchas cutâneas isoladas  nevo comum;  Condição para dx de SSW  lesão intracraniana com ou sem nevo facial;  Ocular: angioma da corioide, risco aumentado de glaucoma;
  • 156.
    SÍNDROME DE STURGE-WEBER Manifestações intracranianas: região de drenagem venosa anormal e circulação colateral;  Pode haver recrutamento de veias medulares para drenagem do córtex (alteração angiomatosa de plexo corioide aumenta dimensões e vascularização);  Circulação anormal  atrofia do parênquima adjacente;
  • 157.
    SÍNDROME DE STURGE-WEBER Isquemia cerebral crônica –atrofia cortical lentamente progressiva com calcificações distróficas girais;
  • 158.
    SÍNDROME DE STURGE-WEBER Crisesepilépticas Retardo mental Nevo facial de cor do “vinho do Porto”
  • 159.
    SÍNDROME DE STURGE-WEBER Nevo presente desde o nascimento e localiza-se no dermátono do nervo trigêmio;  Principalmente crises epilépticas: devido à circulação anormal;  Atraso no desenvolvimento...
  • 166.
    SSW Recomendações  RM comcontraste (T1 ou FLAIR pós gadolínio);  TC: calcificações girais (mas dispensável); não aparecem antes dois 2 anos; Se suspeita procurar os achados mais consistentes;
  • 167.
    SSW  Questões ( )SSW também é chamada de angiomatose encéfalo trigeminal; ( ) caracteriza-se por crises epilépticas, retardo mental e nevo “cor de vinho do Porto” em território do trigêmio; a presença deste último é indispensável para o diagnóstico;
  • 168.
    SSW  Questões ( V) SSW também é chamada de angiomatose encéfalo trigeminal; ( F ) caracteriza-se por crises epilépticas, retardo mental e nevo “cor de vinho do Porto” em território do trigêmio; a presença deste último é indispensável para o diagnóstico;
  • 169.
    SSW ( ) nestasíndrome há uma drenagem venosa da leptomeninge anormal levando à estase e consequentemente isquemia crônica que pode se apresentar como calcificações girais; além disso há atrofia cortical devido à circulação deficiente; ( ) O plexo corioide não costuma ser afetado; ( ) pode ocorrer angioma de corioide, apresentando impregnação pelo Gd;
  • 170.
    SSW ( V )nesta síndrome há uma drenagem venosa da leptomeninge anormal levando à estase e consequentemente isquemia crônica que pode se apresentar como calcificações girais; além disso há atrofia cortical devido à circulação deficiente; ( F ) O plexo corioide não costuma ser afetado; ( V ) pode ocorrer angioma de corioide, apresentando impregnação pelo Gd;
  • 171.
    SSW ( ) Ocorreimpregnação pelo Gd lemptomeníngea serpintiginosa, sendo que 80% é bilateral;
  • 172.
    SSW ( F )Ocorre impregnação pelo Gd lemptomeníngea serpintiginosa, sendo que 80% é bilateral;
  • 173.
  • 174.
  • 175.
    PHACE ( ) napresença de hemangioma facial grande devemos solicitar RM de crânio; ( ) O complexo Dandy-Walker é o achado infratentorial mais frequente nessa síndrome; ( ) hipoplasia de carótida não é um achado dessa síndrome;
  • 177.
    SÍNDROME PHACE  Posteriorfossa malformations  Hemangiomas  Arterial anomalies  Coarctation of the aorta  Eye anomalities  S (sternum, supraumbilical raphe) Pode coexistir defeitos no desenvolvimento ventral (fendas no esterno e da rafe supraumbilical;
  • 178.
    SÍNDROME DE PHACE Achadosclínicos Hemangioma facial grande, em placa, por vezes ulcerado; principalmente V1 do trigêmio; ao nascimento Cefaleia, crises epilépticas, alteração no desenvolvimento, hemiparesia; Coarctação de aorta;
  • 180.
  • 183.
    SÍNDROME DE PHACE Recomendações Todos os pacientes com hemangioma facial devem ser submetidos ao estudo com RM;  Casos menos graves provavelmente são muito mais comuns do que se pensa;  Suspeita de PHACE  fossa posterior, angio TC, angio RM do arco aórtico, cervicais, intracranianas;
  • 184.
  • 185.
    PHACE O que significaPHACE?  Posterior fossa malformations  Hemangiomas  Arterial anomalies  Coarctation of the aorta  Eye anomalities  S (sternum, supraumbilical raphe)
  • 186.
    PHACE ( ) napresença de hemangioma facial grande devemos solicitar RM de crânio; ( ) O complexo Dandy-Walker é o achado infratentorial mais frequente nessa síndrome; ( ) hipoplasia de carótida não é um achado dessa síndrome;
  • 187.
    PHACE ( V )na presença de hemangioma facial grande devemos solicitar RM de crânio; ( V ) O complexo Dandy-Walker é o achado infratentorial mais frequente nessa síndrome; ( F ) hipoplasia de carótida não é um achado dessa síndrome;
  • 188.
  • 189.
    VHL Questões ( ) Tambémchamada de hemangioblastomatose e se caracteriza por múltiplos tumores benignos e malignos; ( ) Os hemangioblastomas afetam cerebelo, retina e medula espinhal; ( ) pode ocorrer tumores em rins, adrenais, pâncreas e testículos;
  • 190.
  • 192.
    DOENÇA DE VON-HIPPELLINDAU  Hemangioblastomatose  Tumores benignos e malignos múltiplos;
  • 193.
  • 194.
    DOENÇA DE VON-HIPPELLINDAU  Hemangioblastomas de retina, cerebelo e medula espinhal;  Rins: carcinoma de células renais;  Adrenais: feocromocitoma;  Pâncreas: tumores de células de ilhota e adenomas serosos;  Testículos: cistoadenomas epididimários;  Cistos renais e pancreáticos múltiplos;
  • 195.
    DOENÇA DE VON-HIPPELLINDAU  1/3 dos hemangioblastomas cerebelares relacionados à síndrome de VHL;  2/3 dos hemangioblastomas medulares relacionados à síndrome de VHL;  Associados à síndrome  idade mais precoce e pior prognóstico;
  • 196.
    DOENÇA DE VON-HIPPELLINDAU Achados clínicos  Não há lesões cutâneas;  Primeiros sintomas visuais (ponto cego no campo visual, descolamento de retina);  Cefaleia, vertigem, ataxia, vômitos, nistagmo, paralisia do nono par craniano;  Dor focal na coluna;
  • 200.
    VHL Recomendações  Suspeitar quandomúltiplos cistos renais ou tumores frequentes na síndrome de VHL;  RM com contraste;  * medula espinhal;
  • 201.
    VHL Questões ( ) Tambémchamada de hemangioblastomatose e se caracteriza por múltiplos tumores benignos e malignos; ( ) Os hemangioblastomas afetam cerebelo, retina e medula espinhal; ( ) pode ocorrer tumores em rins, adrenais, pâncreas e testículos;
  • 202.
    VHL Questões ( V )Também chamada de hemangioblastomatose e se caracteriza por múltiplos tumores benignos e malignos; ( V ) Os hemangioblastomas afetam cerebelo, retina e medula espinhal; ( V ) pode ocorrer tumores em rins, adrenais, pâncreas e testículos;
  • 203.
  • 204.
    AT Questões ( ) Telangiectasiasmucocutâneas: 3 aos 6 anos de idade; associadas à ataxia  patognomônicas de AT; ( ) Possuem redução do CEA e aumento das imunoglobulinas; ( ) a TC está contra-indicada nestes pacientes;
  • 205.
    ATAXIA TELANGIECTASIA  Ataxiacerebelar progressiva;  Telangiectasias oculocutâneas;  Instabilidade genômica;  Imunodeficiência;  Infecções sinusais e pulmonares recorrentes;  Retardo no crescimento;  Hipogonadismo;  Suscetibilidade maior a neoplasias;  1:40.000 a 1:100.000
  • 206.
    ATAXIA TELANGIECTASIA  Telangiectasiasmucocutâneas: 3 aos 6 anos de idade; associadas à ataxia  patognomônicas de AT;  Vasos telangiectásicos na leptomeninge, vascularização anormal do córtex;  Pré-diposição a formar gliomas e meduloblastomas;  Timo rudimentar ou ausente;
  • 207.
    ATAXIA TELANGIECTASIA  Aumentodo CEA e redução de imunoglobulinas;
  • 211.
    ATAXIA TELANGIECTASIA Recomendações  ATC não deve ser usada nestes pacientes!  Extrema sensibilidade à radiação ionizante;
  • 212.
    AT Questões ( ) Telangiectasiasmucocutâneas: 3 aos 6 anos de idade; associadas à ataxia  patognomônicas de AT; ( ) Possuem redução do CEA e aumento das imunoglobulinas; ( ) a TC está contra-indicada nestes pacientes;
  • 213.
    AT Questões ( V )Telangiectasias mucocutâneas: 3 aos 6 anos de idade; associadas à ataxia  patognomônicas de AT; ( F ) Possuem redução do CEA e aumento das imunoglobulinas; ( V ) a TC está contra-indicada nestes pacientes;
  • 214.
  • 215.
    FACOMATOSES MELANOCÍTICAS ( )Na hipomelanose de Ito podemos ter Lesões hipocrômicas ao longo das linhas de Blaschko dilatação dos espaços vasculares de Virshow- Robin; ( ) Na síndrome no nevo epidérmico podemos ter nevo sebáceo de Jadassohn, retardo mental e crises epilépticas associado a hemimegalencefalia homolateral ao nevo epidérmico;
  • 216.
    FACOMATOSES MELANOCÍTICAS  Raras Desenvolvimento anormal dos melanócitos;  Defeito na migração ou proliferação destes;
  • 217.
    HIPOMELANOSE DE ITO Hipopigmentação cutânea com padrão de listras associada a manifestações do SNC, anormalidades musculoesqueléticas;
  • 218.
    HIPOMELANOSE DE ITO Achadosclínicos  Lesões hipocrômicas ao longo das linhas de Blaschko;  Retardo mental ou desordens de comportamento;  Crises epilépticas no primeiro ano de vida;
  • 219.
    HIPOMELANOSE DE ITO Micro ou macrocefalia, assimetria facial, hipertelorismo, implantação baixa das orelhas, surdez, ataxia, nistagmo, hipotonia, hipercinesia;  Alterações na migração cortical, heterotopias, indefinição da transição entre substância branca e cinzenta, polimicrogiria, paquigiria, dilatação dos espaços vasculares de Virshow-Robin;  Hemigegaloencefalia;
  • 222.
    SÍNDROME DO NEVOEPIDÉRMICO  Nevo sebáceo de Jadassohn, retardo mental e crises epilépticas;  Placas delimitadas, elevadas, hipercrômicas de aspecto aveludado;  Hemimegalencefalia homolateral ao nevo epidérmico;  hemihipertrofia facial pode ocorrer;
  • 223.
    SÍNDROME DO NEVOEPIDÉRMICO
  • 226.
    FACOMATOSES MELANOCÍTICAS ( )Na hipomelanose de Ito podemos ter Lesões hipocrômicas ao longo das linhas de Blaschko dilatação dos espaços vasculares de Virshow- Robin; ( ) Na síndrome no nevo epidérmico podemos ter nevo sebáceo de Jadassohn, retardo mental e crises epilépticas associado a hemimegalencefalia homolateral ao nevo epidérmico;
  • 227.
    FACOMATOSES MELANOCÍTICAS ( V) Na hipomelanose de Ito podemos ter Lesões hipocrômicas ao longo das linhas de Blaschko dilatação dos espaços vasculares de Virshow- Robin; ( V ) Na síndrome no nevo epidérmico podemos ter nevo sebáceo de Jadassohn, retardo mental e crises epilépticas associado a hemimegalencefalia homolateral ao nevo epidérmico;
  • 228.