VIAS AÉREAS – parte 2
Professor: Carlos Jesus Pereira Haygert
Monitora: Isadora Cristina Olesiak Cordenonsi
Universidade Federal de Santa Maria
Diagnóstico por imagem
 Brônquios segmentares 
 Bronquíolos terminais (acompanhados pelas artérias
pulmonares)
 Bronquíolos respiratórios  cada um dando origem a ductos
alveolares  sacos alveolares (revestidos por alvéolos)
Vias aéreas
Traquéia
Brônquios
Bronquíolos
Alvéolos
 Bronquíolos terminais (sem cartilagem);
 Bronquíolos respiratórios (sem cartilagem e
com alvéolos);
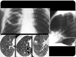
Bronquiectasias / bronquioloectasias
Bronquiectasias / bronquioloectasias
Bronquiectasias / bronquioloectasias
 Sinal do anel do sinete: artéria pulmonar
adjacente ao brônquio dilatado;
 Sinal do trilho do trem;
Interstício
 Figura do “ComputedTomography of the lung...”(Baert 2007)
Lóbulo pulmonar secundário
Menor porção do pulmão, ainda circundada por um septo de
tecido conjuntivo;
Composto por 3 a 5 bronquíolos terminais (3 a 12*)
Identificado naTCAR tanto em estados normais quanto
patológicos;
Revestidos por septos interlobulares que contém as tributárias das
veias periféricas e dos vasos linfáticos;
 Ácinos pulmonares: porção do pulmão distal a um
bronquíolo terminal e consiste dos bronquíolos respiratórios,
dos ductos alveolares, dos sacos alveolares e dos alvéolos;
Lóbulo pulmonar secundário
Padrão
alveolar
 Broncograma aéreo no padrão
acinar
Padrão Alveolar
 O padrão alveolar ou do espaço aéreo é caracterizado por
opacidade homogênea.
 Ocorre pela ocupação do espaço aéreo por outras
substâncias que não o ar: exsudato nas pneumopatias,
transudato nos edemas pulmonares, sangue, células
neoplásicas e materiais estranhos no caso de aspiração (ex.
aspiração de óleo mineral)
Padrão alveolar
Adenocarcinoma de pulmão
apresentando-se como padrão
acinar;
Atelectasia do Lobo Sup. D. (compare com slide
anterior que era consolidação de LSD!)
Conceitos
 Atelectasia: ausência do ar alveolar;
 Consolidação: substituição do ar alveolar (não há redução de
volume);
 Quando ocorre essa consolidação os brônquios em seu
interior podem tornar-se visíveis – broncograma aéreo.
Compare...
Consolidação Vidro-fosco
SIDA: padrão de vidro-fosco – P. jiroveci
Vidro fosco
 Opacidade observada naTC, pode ser decorrente tanto de
alteração do espaço aéreo quanto do interstício.
 Alvéolos ou interstício ocupados parcialmente por processo
patológico (líquido, células, exudato); Resoluação daTCAR
não é suficiente para definir a imagem;
Padrão intersticial
Padrão Intersticial
 O interstício pulmonar é todo o tecido conjuntivo de
sustentação que mantém a arquitetura alveolar. Os vasos,
brônquios e linfáticos situam-se no interstício.
 Infiltrações intersticiais parenquimatosas podem aparecer na
forma de padrão
reticular
micronodular
reticulonodular.
Padrão intersticial - micronodular
 1. Sarcoidose
 2. Silicose
Pequeno nódulo no pulmão direito
Nódulos
 O nódulo pulmonar é uma lesão arredondada ou ovalada, de
limites parcialmente precisos, com menos de 3 cm de
diâmetro.
Nódulo pulmonar solitário – Não se avalia
por TCAR!!!! (TCAR é para doenças difusas)
Carcinoma de tireóide com metástases pulmonares;
Granuloma deTB
Massas
 São lesões com as mesmas características atribuídas aos
nódulos, porém com mais de 3cm de diâmetro.
Grande massa no lobo superior direito
Bolhas de enfisema avançado
Cistos/cavidades/bolhas
 Aumento da transparência pulmonar de modo focal e bem
delimitado;
 Cisto : parede com espessura menor que 1mm
 Cavidade: parede com espessura maior que 1mm
(geralmente decorre de eliminação de partes necróticas pela
via aérea)
 Bolhas: parede com espessura menor que 1mm, mas
contornos irregulares;
Enfisema Pulmonar
 O enfisema caracteriza-se por destruição dos espaços aéreos
envolvidos na troca gasosa, comprometendo bronquíolos
respiratórios, ductos alveolares e alvéolos.
 O tabagismo é o principal fator de risco.
Alguns sinais e padrões
radiológicos de TÓRAX
Padrão de árvore em brotamento:Acúmulo de
secreções em pequenas vias aéreas ocorrendo
principalmente em infecções
Padrão de faveolamento
O que foi visto até agora?
 Diferença de brônquios/ bronquíolos terminais e respiratórios;
 Anatomia do lóbulo pulmonar secundário;
 Padrão alveolar;
 Padrão intersticial : micronodular, reticular, reticulonodular;
(micronodular : distribuição)
 Consolidação x vidro fosco
 Consolidação x atelectasia
 Broncograma aéreo  consolidação
 Nódulo pulmonar solitário (calcificação,
Crescimento em dois anos, semissólidos)
 Nódulos múltiplos
O que foi visto até agora?
 Cistos (LAM, Histiocistose de Langerhans, PIL)
 Bolhas
 Cavidades (diss. hemat. de infecção, neoplasia,TB, gran.
Wegerner)
 Enfisema (centrolobular)
 Padrões e sinais torácicos
Sinal deWestermark
Sinal da corcova de Hampton
Sinal de árvore em brotamento
Perfusão em mosaico ( X vidro fosco)
Faveolamento - fibrose
Referências bibliográficas
 Wiliam E. Brant, Clyde A. Helms; Fundamentals of
Diagnostic Radiology; vol2, chapter 12;
 LANGE; Radiologia básica; 2° edição, capítulo 4;
 Stern; Chest Radiology

Vias aéreas parte 2

  • 1.
    VIAS AÉREAS –parte 2 Professor: Carlos Jesus Pereira Haygert Monitora: Isadora Cristina Olesiak Cordenonsi Universidade Federal de Santa Maria Diagnóstico por imagem
  • 2.
     Brônquios segmentares  Bronquíolos terminais (acompanhados pelas artérias pulmonares)  Bronquíolos respiratórios  cada um dando origem a ductos alveolares  sacos alveolares (revestidos por alvéolos)
  • 3.
    Vias aéreas Traquéia Brônquios Bronquíolos Alvéolos  Bronquíolosterminais (sem cartilagem);  Bronquíolos respiratórios (sem cartilagem e com alvéolos);
  • 4.
  • 5.
  • 7.
    Bronquiectasias / bronquioloectasias Sinal do anel do sinete: artéria pulmonar adjacente ao brônquio dilatado;  Sinal do trilho do trem;
  • 8.
  • 11.
     Figura do“ComputedTomography of the lung...”(Baert 2007)
  • 14.
    Lóbulo pulmonar secundário Menorporção do pulmão, ainda circundada por um septo de tecido conjuntivo; Composto por 3 a 5 bronquíolos terminais (3 a 12*) Identificado naTCAR tanto em estados normais quanto patológicos; Revestidos por septos interlobulares que contém as tributárias das veias periféricas e dos vasos linfáticos;
  • 15.
     Ácinos pulmonares:porção do pulmão distal a um bronquíolo terminal e consiste dos bronquíolos respiratórios, dos ductos alveolares, dos sacos alveolares e dos alvéolos;
  • 18.
  • 23.
  • 24.
    Padrão Alveolar  Opadrão alveolar ou do espaço aéreo é caracterizado por opacidade homogênea.  Ocorre pela ocupação do espaço aéreo por outras substâncias que não o ar: exsudato nas pneumopatias, transudato nos edemas pulmonares, sangue, células neoplásicas e materiais estranhos no caso de aspiração (ex. aspiração de óleo mineral)
  • 25.
  • 27.
  • 29.
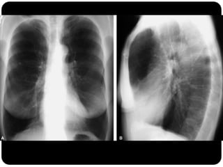
    Atelectasia do LoboSup. D. (compare com slide anterior que era consolidação de LSD!)
  • 30.
    Conceitos  Atelectasia: ausênciado ar alveolar;  Consolidação: substituição do ar alveolar (não há redução de volume);
  • 31.
     Quando ocorreessa consolidação os brônquios em seu interior podem tornar-se visíveis – broncograma aéreo.
  • 32.
  • 33.
    SIDA: padrão devidro-fosco – P. jiroveci
  • 34.
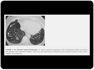
    Vidro fosco  Opacidadeobservada naTC, pode ser decorrente tanto de alteração do espaço aéreo quanto do interstício.  Alvéolos ou interstício ocupados parcialmente por processo patológico (líquido, células, exudato); Resoluação daTCAR não é suficiente para definir a imagem;
  • 35.
  • 36.
    Padrão Intersticial  Ointerstício pulmonar é todo o tecido conjuntivo de sustentação que mantém a arquitetura alveolar. Os vasos, brônquios e linfáticos situam-se no interstício.
  • 37.
     Infiltrações intersticiaisparenquimatosas podem aparecer na forma de padrão reticular micronodular reticulonodular.
  • 39.
    Padrão intersticial -micronodular  1. Sarcoidose  2. Silicose
  • 40.
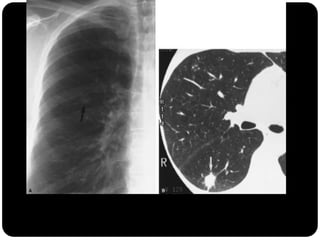
    Pequeno nódulo nopulmão direito
  • 41.
    Nódulos  O nódulopulmonar é uma lesão arredondada ou ovalada, de limites parcialmente precisos, com menos de 3 cm de diâmetro.
  • 42.
    Nódulo pulmonar solitário– Não se avalia por TCAR!!!! (TCAR é para doenças difusas)
  • 44.
    Carcinoma de tireóidecom metástases pulmonares;
  • 46.
  • 47.
    Massas  São lesõescom as mesmas características atribuídas aos nódulos, porém com mais de 3cm de diâmetro.
  • 48.
    Grande massa nolobo superior direito
  • 49.
  • 50.
    Cistos/cavidades/bolhas  Aumento datransparência pulmonar de modo focal e bem delimitado;  Cisto : parede com espessura menor que 1mm  Cavidade: parede com espessura maior que 1mm (geralmente decorre de eliminação de partes necróticas pela via aérea)  Bolhas: parede com espessura menor que 1mm, mas contornos irregulares;
  • 51.
    Enfisema Pulmonar  Oenfisema caracteriza-se por destruição dos espaços aéreos envolvidos na troca gasosa, comprometendo bronquíolos respiratórios, ductos alveolares e alvéolos.  O tabagismo é o principal fator de risco.
  • 54.
    Alguns sinais epadrões radiológicos de TÓRAX
  • 57.
    Padrão de árvoreem brotamento:Acúmulo de secreções em pequenas vias aéreas ocorrendo principalmente em infecções
  • 59.
  • 61.
    O que foivisto até agora?  Diferença de brônquios/ bronquíolos terminais e respiratórios;  Anatomia do lóbulo pulmonar secundário;  Padrão alveolar;  Padrão intersticial : micronodular, reticular, reticulonodular; (micronodular : distribuição)  Consolidação x vidro fosco  Consolidação x atelectasia  Broncograma aéreo  consolidação  Nódulo pulmonar solitário (calcificação, Crescimento em dois anos, semissólidos)  Nódulos múltiplos
  • 62.
    O que foivisto até agora?  Cistos (LAM, Histiocistose de Langerhans, PIL)  Bolhas  Cavidades (diss. hemat. de infecção, neoplasia,TB, gran. Wegerner)  Enfisema (centrolobular)  Padrões e sinais torácicos Sinal deWestermark Sinal da corcova de Hampton Sinal de árvore em brotamento Perfusão em mosaico ( X vidro fosco) Faveolamento - fibrose
  • 63.
    Referências bibliográficas  WiliamE. Brant, Clyde A. Helms; Fundamentals of Diagnostic Radiology; vol2, chapter 12;  LANGE; Radiologia básica; 2° edição, capítulo 4;  Stern; Chest Radiology