Isadora Cristina Olesiak Cordenonsi
Prof. Carlos Jesus Pereira Haygert
Tumores supratentoriais
Radiologista elucidar hipóteses diagnósticas iniciais;
Localização dos tumores;
Faixa etária;
Tumores supratentoriais
Classificação(OMS);
Grau de malignidade (I a IV) correlaciona-se com
comportamento clínico;
Tumores
intracranianos
Astrocitoma
Ependimoma
Oligodendroglioma Gliomas
Tumores intracranianos
TC
RM
Espectroscopia de prótons por ressonância
magnética(EPRM);
Perfusão por RM;
Difusão por RM;
Tumores intracranianos
Espectroscopia:
N-acetil aspartato
Colina
Creatina
Mio-inositol
Glutamato
Lipídios
Lactato
Tumores intracranianos
Padrão-ouro: estudo histopatológico;
Astrocitoma pilocítico
Astrocitoma pilocítico
2 a 6% de todos os tumores encefálicos;
80% ocorre nas duas primeiras décadas de vida;
40% são supratentoriais;
Astrocitoma pilocítico
É o mais frequente glioma pediátrico no
compartimento supratentorial;
30%  estruturas do diencéfalo;
Relação com neurofibromatose do tipo 1;
Astrocitoma pilocítico
Sintomas:
Supra tentorial:
Cefaléia
Náuseas e vômitos
Alteração visual
Puberdade precoce e disfunção hipotalâmica
Astrocitoma pilocítico
Tipo histológico
Grau I: circunscritos , císticos, de crescimento lento;
Padrão bifásico, benignos mas podem ser
confundidos com malignos tanto
histopatologicamente quanto na neuroimagem;
Astrocitoma pilocítico
Astrocitoma pilocítico
Astrocitoma pilocítico
Astrocitoma pilocítico
TC:
Tumor circunscrito sólido cístico
Lesão infiltrativa intra ou extraorbitária
Componente sólido iso ou hipodenso e realce pelo
contraste;
Em até 20% pode ser totalmente sólido;
Astrocitoma pilocítico
TC:
Calcificações em até 20%;
Diencéfalo;
Astrocitoma pilocítico
RM
Iso ou hipointenso em T1 e hiper em T2;
Realce difuso pelo Gd;
Paredes do componente cístico: podem ter realce pelo
Gd;
Edema perilesional é incomum;
Astrocitoma pilocítico
Aumento do Co
Redução da NAA
Picos de lactato e mioinositol
Perfusão: baixo volume sanguíneo cerebral relativo;
Astrocitoma pilocítico
Morfologia
Localização
Idade
RM com contraste
Astrocitoma pilocítico
Astrocitoma pilomixoide
Astrocitoma pilomixoide
Semelhante ao pilocítico;
Comportamento mais agressivo;
Na infância pode ocorrer em qualquer estrutura do
SNC mas predomina no hipotálamo;
Precoce, crianças de 18 meses;
Astrocitoma pilomixoide
Pode acometer adultos mais frequentemente;
Sintomas: achados de aumento da pressão
intracraniana e compressão encefálica;
Retardo no desenvolvimento, vômitos, dificuldade de
alimentar-se ou aumento do perímetro cefálico;
Hipotalâmica;
Astrocitoma pilomixoide
Classificado com grau II da OMS;
Não possui fibras de Roshental, grânulos eosinofílicos
e padrão bifásico;
Pequenas células piloides em estroma mixoide;
Astrocitoma pilomixoide
TC
Lesão expansiva sólida na região hipotalâmica
quiasmática;
Isodensa ou hipodensa; realce difuso;
calcificação <10% dos casos;
Hemorragia é mais comum quando comparado ao
pilocítico;
Astrocitoma pilomixoide
RM
Isointenso ou hipointenso em T1 e hiper em T2 e
FLAIR, realce pelo gadolíneo;
Regiões com alto sinal em T1 (hemorragia);
Componente cístico 50%
Astrocitoma pilomixoide
RM
Disseminação leptomeníngea em até 15%;
Difusão: não tem restrição à difusão da água (DD:
PNET, germinoma, linfoma);
Astrocitoma pilomixoide
Principal DD: astrocitoma pilocítico
Quando pensar em pilomixoide?
- Quando ocorre com menos de 3 anos;
- Disseminação leptomeníngea;
- Maior componente sólido na região suprasselar;
Astrocitoma subependimário de
células gigantes
Astrocitoma subependimário de
células gigantes
Raro,
Circunscrito;
Benigno;
De crescimento lento;
Associação com esclerose tuberosa!
Astrocitoma subependimário de
células gigantes
Faixa etária;
Localização;
Hidrocefalia;
Sintomas;
Astrocitoma subependimário de
células gigantes
Achados histológicos:
Grau I;
Astrócitos ganglióides largos;
Pode apresentar características de astrocitoma de alto
grau;
Astrocitoma subependimário de
células gigantes
TC:
Próximo ao forame de Monro (mas existe localização
atípica);
Expansiva e >1,5cm;
Iso ou hipodensa; pode ser heterogênea e apresentar
calcificações;
Realce intenso pelo contraste;
Astrocitoma subependimário de
células gigantes
Suspeitar de tumor quando:
Em pacienetes com esclerose tuberosa, nódulo aumento
de tamanho e tem maior realce em exames seriados;
Astrocitoma subependimário de
células gigantes
RM:
Baixo sinal em T1;
Alto sinal em FLAIR e T2 (ou heterogêneo se
hemorragia ou calcificações);
Regra: realce intenso e difuso pelo Gd;
Astrocitoma subependimário de
células gigantes
RM:
Geralmente sem disseminação pelo LCR;
Aumento de Co/Cr
Redução de NAA/Cr
Picos de lactato;
Aumento da perfusão;
Astrocitoma subependimário de
células gigantes
Paciente com CET RM
Se suspeita: controle anual por RM:
Crescimento e/ou aumento do realce de lesão próxima
ao forame de Monro  neoplasia;
Xantoastrocitoma pleomórfico
Xantoastrocitoma pleomórfico
1% de todos os astrocitomas;
Encontrado nas 3 primeiras décadas de vida;
98% são supratentoriais;
Xantoastrocitoma pleomórfico
1° temporal;
2° parietal;
3° occipital;
4° frontal;
Localização periférica e ressecabilidade;
Xantoastrocitoma pleomórfico
Incomum: achados histológicos anaplásicos; maior
recorrência;
Epilepsia;
Cefaleia e déficit neurológico focal;
Xantoastrocitoma pleomórfico
Histologia: células lipídicas e pleomórficas; células
multinucleadas e abundante citoplasma espumoso;
Grau II (raro III);
Antigamente grau IV (mas comportamento biológico
é mais beningno);
Xantoastrocitoma pleomórfico
Histologia: células lipidizadas e pleomórficas
Expressando GFAP; células multinucleadas e
abundante citoplasma espumoso;
Grau II (raro III);
Antigamente grau IV (mas comportamento biológico
é mais beningno);
Xantoastrocitoma pleomórfico
TC
Clássica: lesão expansiva temporal periférica cística com
nódulo mural;
Componente sólido isso ou hipodendo geralemente
realça;
Pode ter só componente sólido;
Xantoastrocitoma pleomórfico
RM
Hipo em T1 e hiper em T2 e FLAIR (componente
sólido);
Pode ter edema vasogênico;
Realce leptomeníngeo e/ou dural;
Xantoastrocitoma pleomórfico
Recomendações
RM
TC
Suspeitar quando: paciente jovem com epilepsia com
tumor sólido-cístico supratentorial periférico e com
realce leptomeníngeo;
Astrocitoma difuso (GRAU II OMS)
Astrocitoma difuso (GRAU II OMS)
Bem diferenciado;
Grau II;
10 a 15% dos astrocitomas;
Entre 20 a 45 anos;
Crescimento lento;
Tendência para degeneração maligna;
Astrocitoma difuso (GRAU II OMS)
2/3 supratentoriais (frontal e temporal);
Convulsão e cefaléia;
Grau II, tendência à progressão para astrocitoma
anaplásico;
Astrocitoma difuso (GRAU II OMS)
TC:
lesão hipo ou isodensa;
Geralmente NÃO se impregna por contraste ( se sim,
pensar em degeneração maligna);
Astrocitoma difuso (GRAU II OMS)
RM:
Aspecto aparentemente circunscrito mas tumor se
infiltra;
Hipointenso em T1 e hiper em T2 e FLAIR;
Realce pelo Gd no tumor ou leptomeninge  pensar em
degeneração maligna;
Astrocitoma difuso (GRAU II OMS)
RM:
Aspecto aparentemente circunscrito mas tumor se
infiltra;
Hipointenso em T1 e hiper em T2 e FLAIR;
Realce pelo Gd no tumor ou leptomeninge  pensar em
degeneração maligna;
Astrocitoma difuso (GRAU II OMS)
RM:
Discreta redução do NAA;
Aumento do Co;
Aumento da relação Mi/Cr;
Valores do coeficiente de difusão aparente aumentados;
Baixa perfusão;
Astrocitoma difuso (GRAU II OMS)
Recomendações:
RM associada às técnicas (ERM, difusão, perfusão)
método de escolha para detecção, controle evolutivo,
e controle pós-operatório;
Astrocitoma anaplásico
Astrocitoma anaplásico
Tumor com anaplasia focal ou difusa de origem
astrocítica classificado como grau III pela OMS;
33% dos astrocitomas;
Clínica variada;
Pacientes acompanhados com grau II que apresentam
deterioração clínica  III
Astrocitoma anaplásico
Origem;
Tendência a progressão para astrocitoma grau IV
(glioblastoma  proliferação vascular e necrose);
Astrocitoma anaplásico
Imagem:
Lesão infiltrativa com limites indefinidos;
É esperado infiltração do tumor na substância branca
adjacente;
Heterogeneidade de sinal é maior que no grau II, mas
predomina hipo em T1 e Hiper em T2 e FLAIR;
Astrocitoma anaplásico
Imagem:
Após Gd: regiões de quebra da BHE;
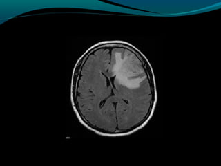
Glioblastoma
Glioblastoma
Maligno;
Origem astrocítica;
Grau IV;
60% dos astrocitomas;
Glioblastoma
15% das neoplasias intracranianas;
Mais frequente em adultos;
Sobrevida de 9 a 12 meses;
Glioblastoma
90% primários;
10% secundários;
Podem ocorrer isoladamente ou associados a outras
síndromes tumorais;
Glioblastoma
Sintomas variados;
Histopatológico: grau IV, diferenciação astrocítica,
atipia, proliferação vascular e necrose;
Glioblastoma
TC:
Geralmente supratentorial;
Infiltra substância branca;
Processo expansivo iso ou hipodenso de limites mal
definidos e necrose central;
Pode apresentar hemorragias;
Calcificações são raras;
Glioblastoma
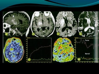
RM:
Sinal heterogêneo em T1, T2 e FLAIR; (necrose, cistos,
hemorragia, neovascularização); mas predomina
hipointensidade em T1 e hiper em T2 e FLAIR;
Realce difuso e heterogêneo pelo Gd;
Glioblastoma
RM:
Redução do NAA
Aumento do Co
Redução da razão Mi/Cr
Picos de lipídeos e lactato
Centro necrótico não restringe à difusão;
Glioblastoma
RM:
Na perfusão: aumento do CRBv máximo;
OBS: capacidade invasiva impede ressecabilidade total;
Questões
1. É o glioma pediátrico mais comum do compartimento
supratentorial. É raro em adultos. Em 30% dos casos
acomete estruturas do diencéfalo e pode ter relação com
NF1. É grau I. Lesão sólido cística com intenso realce pelo
Gd.
A: astrocitoma difuso
B. glioblastoma
C.astrocitoma pilocítico
D. astrocitoma pilomixoide
1. É o glioma pediátrico mais comum do compartimento
supratentorial. É raro em adultos. Em 30% dos casos
acomete estruturas do diencéfalo e pode ter relação com
NF1. É grau I. Lesão sólido cística com intenso realce pelo
Gd.
A: astrocitoma difuso
B. glioblastoma
C.astrocitoma pilocítico
D. astrocitoma pilomixoide
2. Semelhante ao pilocítico, mas o comportamento é mais
agressivo, ocorre em idade mais precoce. Também está
relacionada a NF1.
A: astrocitoma difuso
B. glioblastoma
C.astrocitoma pilocítico
D. astrocitoma pilomixoide
2. Semelhante ao pilocítico, mas o comportamento é mais
agressivo, ocorre em idade mais precoce. Também está
relacionada a NF1.
A: astrocitoma difuso
B. glioblastoma
C.astrocitoma pilocítico
D. astrocitoma pilomixoide
3. Suspeitar em pacientes com esclerose tuberosa que
apresentam nódulo geralmente maior que 1,5cm próximo
ao forame de Monro, que tendem a apresentar
cresciemtno e maior realce em exames seriados. Pode
causar hidrocefalia.
A: astrocitoma difuso
B. glioblastoma
C. xantoastrocitoma pleomórfico
D. astrocitoma subependimário de células gigantes
3. Suspeitar em pacientes com esclerose tuberosa que
apresentam nódulo geralmente maior que 1,5cm próximo
ao forame de Monro, que tendem a apresentar
cresciemtno e maior realce em exames seriados. Pode
causar hidrocefalia.
A: astrocitoma difuso
B. glioblastoma
C. xantoastrocitoma pleomórfico
D. astrocitoma subependimário de células gigantes
4. Corresponde a 1% dos astrocitomas, é comum a
localização periférica em lobo temporal, apresentando-se
como lesão sólido cística; pode apresentar realce
leptomeníngeo.
A: astrocitoma difuso
B. glioblastoma
C. xantoastrocitoma pleomórfico
D. astrocitoma subependimário de células gigantes
4. Corresponde a 1% dos astrocitomas, é comum a
localização periférica em lobo temporal, apresentando-se
como lesão sólido cística; pode apresentar realce
leptomeníngeo.
A: astrocitoma difuso
B. glioblastoma
C. xantoastrocitoma pleomórfico
D. astrocitoma subependimário de células gigantes
5. Tumor grau II, bem diferenciado, acomete a faixa etária
de 20 a 45 anos, predomina em lobo temporal e frontal.
Apesar do crescimento lento tem tendência para
degeneração maligna (pensar nesta quando houver
impregnação pelo contraste).
A: astrocitoma difuso
B. glioblastoma
C.astrocitoma pilocítico
D. astrocitoma pilomixoide
2. Tumor grau II, bem diferenciado, acomete a faixa etária
de 20 a 45 anos, predomina em lobo temporal e frontal.
Apesar do crescimento lento tem tendência para
degeneração maligna (pensar nesta quando houver
impregnação pelo contraste).
A: astrocitoma difuso
B. glioblastoma
C.astrocitoma pilocítico
D. astrocitoma pilomixoide
6. predomínio entre 40 e 55 anos de idade, é considerado
grau III, não há proliferação vascular nem necrose. A
maioria são secundários. Apresenta sinal mais
heterogêneo que o grau II e apresenta áreas de realce pelo
contraste.
A: astrocitoma difuso
B. glioblastoma
C.astrocitoma anaplásico
D. astrocitoma grau IV
6. predomínio entre 40 e 55 anos de idade, é considerado
grau III, não há proliferação vascular nem necrose. A
maioria são secundários. Apresenta sinal mais
heterogêneo que o grau II e apresenta áreas de realce pelo
contraste.
A: astrocitoma difuso
B. glioblastoma
C.astrocitoma anaplásico
D. astrocitoma grau IV
1.Tumor encefálico primário mais comum do SNC,
corresponde a 60% dos astrocitomas e é maligno. O pico
de incidência é entre 45 e 70 anos e a sobrevida é de cerca
de 12 meses. Apresenta realce heterogêneo pelo contraste,
podendo ser anelar devido a necrose central. O sinal é
heterogêneo nas sequências mas em T1 predomina a
hipointensidade e em T2 e FLAIR a hiperintensidade. Pode
ocorrer hemorragias.
A: astrocitoma difuso
B. glioblastoma
C.astrocitoma pilocítico
D. astrocitoma pilomixoide
7.Tumor encefálico primário mais comum do SNC,
corresponde a 60% dos astrocitomas e é maligno. O pico
de incidência é entre 45 e 70 anos e a sobrevida é de cerca
de 12 meses. Apresenta realce heterogêneo pelo contraste,
podendo ser anelar devido a necrose central. O sinal é
heterogêneo nas sequências mas em T1 predomina a
hipointensidade e em T2 e FLAIR a hiperintensidade. Pode
ocorrer hemorragias.
A: astrocitoma difuso
B. glioblastoma
C.astrocitoma pilocítico
D. astrocitoma pilomixoide
Oligodendroglioma
Ependimoma
Subependimoma
Papiloma de plexo corióide
Carcinoma de plexo corioide
Gangliocitoma
Ganglioglioma
Astrocitoma e ganglioglioma
desmoplásco juvenil
Tumor neuroepitelial
disembrioblástico (DNET)
Neurocitoma
Tumores neuroectodérmicos
primitivos (PNET)
Linfomas do sistema nervoso
central
Tumores metastáticos
Tumores supratentoriais .
Tumores supratentoriais .
Tumores supratentoriais .
Tumores supratentoriais .

Tumores supratentoriais .