NERVOS CRANIANOS
Pares Cranianos
I - Olfatório
II - Óptico
III - Oculomotor
IV- Troclear
V- Trigêmeo
VI - Abducente
VII - Facial
VIII - Vestíbulo coclear
IX - Glossofaríngeo
X - Vago
XI - Acessório
XII - Hipoglosso
III, IV e VI V motor
IX
XI e
XII
VII
III, IV e VI: movimentos oculares
V: mastigação
VII: expressão facial
IX: músculos da laringe e faringe
X: músculos da faringe
XI: músculos do pescoço
XII: movimentos da língua
Núcleos motores do parassimpático
NÚCLEOS MOTORES DO
TRONCO ENCEFÁLICO
Independentes
Não formam plexos
ORIGEM Núcleos motores e vegetativos
TÉRMINO Núcleos sensitivos e sensoriais
I- PAR
II-PAR
PROLONGAMENTOS
DO
CÉREBRO ANTERIOR
III-PAR
XII-PAR
ORIGEM VENTRAL NO
TRONCO ENCEFÁLICO
EXCETO IV - DORSAL
OLFATÓRIO
Receptores olfatórios
Nervos olfatórios
Bulbo olfatório
Trato olfatório
Estria olfatória lateral Estria olfatória medial
Substância perfurada anterior
Córtex olfatório primário
(úncus e giro
parahipocampal)
EXPLORAÇÃO
(aspiração => cada narina em separado)
• Teste
• Benzina
• Extrato de limão
• Hortelã
• Pó de café
• Cânfora
• Álcool
• Evitar
• Amoníaco
• Ácido clorídrico
• Ácido acético
Alterações
• HIPOSMIA=> redução do olfato
• ANOSMIA=> completa abolição
• CACOSMIA=> odor de panos queimados ou
excremento, presente nas crises epilépticas
uncinadas.
• Alterações
– Hiperosmia
• aumento da percepção olfatória
• histeria e viciados em cocaína
– Parosmia
• percepção anômala , esquizofrênicos
– Cacosmia
• percepção permanente de odores desagradáveis
– Alucinação olfativa
Nervo Olfatório - I
• Alterações
– Anosmia
• perda total do olfato
• geralmente bilateral
• rinites, resfriados
• traumas, tumores
Nervo Olfatório - I
NERVO ÓPTICO
II- Via Visual
Receptores Visuais Retina
Recepção
Percepção
área primária = recepção
área associação = percepção
Córtex occipital
NERVO ÓPTICO
(axônios das células da camada
ganglionar)
QUIASMA ÓPTICO
(união ao nervo óptico do lado
oposto)
Saída pelo canal
óptico
TRATO ÓPTICO
Corpo geniculado
lateral
RADIAÇÃO ÓPTICA
CÓRTEX VISUAL
(sulco calcarino)
ACUIDADE VISUAL
• Medida do poder de resolução do sistema visual
• identificação de detalhes
• individualização de objetos
• depende: espaçamento entre os fotorreceptores
na retina, separação de pontos na retina
(separação real dos pontos visualizados,
distância objeto - olho)
• ângulo de 1 minuto de arco orbitário
• Medida da acuidade visual =>
grosseiramente pede-se para ler tipos
pequenos de um jornal.
• AMBLIOPIA=> diminuição da acuidade
• AMAUROSE=> abolição da acuidade
Acuidade visual
• Mapa de Snellen,
• Colocado a 20 pés,
(cerca de 6 metros) do paciente,
• Cada olho é examinado separadamente,
• Resultados expressos em frações (Ex:
20/40 ou 20/100)
• Visão 20/40 paciente vê a 20 pés o que
um indivíduo normal vê a 40.
Acuidade visual
• No sistema americano, o padrão é 20 pés (6
metros).
• Visão 20/20, significa que quando o examinado
fica a 6 metros do quadro, é capaz de enxergar
o mesmo que um ser humano normal
enxergaria na mesma distância.
• É por isso que eles chamam de visão 20/20. Ou
seja, se você tem uma visão 20/20, sua visão é
normal.
• Se você possui uma visão 20/40, isso significa
que quando fica a 6 metros do quadro, é capaz
de enxergar o que um ser humano normal veria
se estivesse a 12 metros.
• Ou seja, se uma pessoa normal estiver a 12
metros de distância do quadro e você estiver a
apenas 6 metros, você e ela veriam os mesmos
detalhes.
• 20/100 significa que quando você está a 6
metros, consegue ver o que uma pessoa veria
se estivesse a 30 metros de distância.
Acuidade visual
• Boa ou normal: de 20/20 a 20/40 em pelo
menos um dos olhos - "olho de menor visão,“
• Moderada: de 20/50 a 20/70,
• Grave: de 20/80 a 20/200,
• Cegueira: menor que 20/200
• Visão para perto
cartão de Jaeger,
• Distância de 36cm do
olho
CAMPO VISUAL
• espaço dentro do qual um objeto pode ser
visto enquanto o olho é fixado em
determinado ponto, avaliado pelo método
de confrontação.
TESTE DE CONFRONTAÇÃO
CAMPO VISUAL
• Cada um dos olhos vê cerca de 150º de campo.
• Com os dois olhos abertos o campo visual é de
180º.
• A área de sobreposição de campo dos dois
olhos é de 120º que correspondem à zona mais
central. Isto implica que 30º do campo só é visto
por um olho individualmente.
•
CAMPO VISUAL - Anormalidades
• Escotomas,
• Hemianopsias,
• Defeitos da altitude e constrição ou
contração concêntrica dos campos
CAMPO VISUAL - Anormalidades
Escotoma (do grego “escuridão”)=> área
de visão comprometida no campo, com
visão circundante normal.
ESCOTOMA FISIOLÓGICO=> falha no
campo visual que corresponde à projeção
no espaço da papila óptica (cabeça do
nervo óptico que não contém cones ou
bastonetes).
• Escotomas: são manchas escuras e
cegas que se projetam em negro sobre os
objetos fixados. Podem ser paroxísticos
(enxaquecas, auras epilépticas) e
permanentes. Aparecem no edema de
papila.
• Como a luz não pode ser detectada em
zonas da retina que não tenham foto-
receptores, a zona correspondente ao
nervo óptico aparece como escotoma
absoluto (sensibilidade zero), chamada
escotoma fisiológico ou “ponto cego”
fisiológico. Esta zona aparece 10º a 15º
do ponto de fixação.
ESCOTOMA PATOLÓGICO
• Escotomas podem ser patológicos quando
decorrem de uma diversidade de condições que
acometem a retina (principalmente sua área
sensível, a mácula) ou o nervo óptico.
• Um escotoma pode envolver qualquer parte do
campo visual e ter diversas formas e tamanhos.
• Um escotoma no centro do campo visual,
mesmo que pequeno, pode provocar uma
grande perda de acuidade, enquanto que
escotomas nas áreas periféricas podem passar
despercebidos, devido à redução normal da
acuidade na periferia do campo visual.
II - NERVO ÓPTICO
• Ao nível do quiasma as fibras
provenientes das metades nasais da
retina se cruzam,
• Cada trato óptico contém as fibras da
metade homônima das duas retinas.
• Hemianopsia homônima=>falha no campo
temporal de um lado e nasal contralateral,
• Hemianopsia heterônima=>quando o
defeito compromete ambos campos
temporais ou nasais.
Lesões quiasmáticas (tumores de hipófise)=>
hemianopsias bitemporais
(comprometimento das fibras nasais de cada
retina)
EXAME OFTALMOSCÓPICO
• Cor da papila=> rosa pálido
• Bordas do disco papilar=> nítidas
• Vasos (artérias e veias)=> emergem do
centro da papila e irrigam toda a retina
• Edema de papila
(papiledema)=>resultante do aumento da
pressão intracraniana, as bordas ficam
borradas, veias ingurgitadas.
Fundo de Olho Normal
Fundo de olho
Fundo de Olho Normal
1. Coloração – varia de cor entre o laranja e o
vermelho. Nos melanodermos é mais
escurecido.
2. Disco óptico ou papila óptica – representa o
inicio do nervo óptico, local por onde
passam as fibras retinianas que irão formar
o nervo. Em condições normais, no vivo, a
papila é escavada e tem diâmetro
aproximado de 1,5 mm e a forma
arredondada ou oval com a coloração
rósea, bordas nítidas.
Fundo de Olho Normal
3. Mácula – Localização temporal à papila,
é uma área avascular, depressão oval,
brilhante. É a área de maior
sensibilidade para acuidade visual. O
centro da mácula é chamado de fóvea. A
mácula é limitada, envolvida por
capilares da retina.
Edema de papila óptica
Edema de papila óptica
EDEMA DE PAPILA
Atrofia de papila óptica
Edema de papila bilateral
– I e II pares
– tumores face inferior do lobo frontal
– atrofia óptica no lado do tumor (compressão
direta)
– edema de papila do lado oposto (HIC)
– anosmia
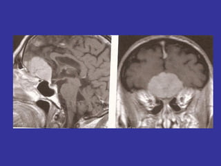
Síndrome de Foster Kennedy
NERVOS OCULOMOTORES
(III, IV, VI)
Motricidade ocular
• Fissura orbital superior (fenda esfenoidal)
• III => m. reto superior
m. reto inferior
m. reto medial
m. oblíquo inferior
m. elevador da pálpebra
• IV => m. oblíquo superior
• VI => m. reto lateral
INERVA
Motilidade
• Anormalidades
– III par (ruptura de aneurisma de artéria
comunicante posterior)
• ptose palpebral,
• midríase arreflexa
• estrabismo divergente
– VI par (HIC)
• estrabismo convergente
Nervos: Oculomotor, Troclear
e Abducente
Análise da Pupila
Tamanho – Forma – Simetria
Reflexos Pupilares
Avaliação da Pupila
• Função da pupila=> controlar a
quantidade de luz que entra no olho
assegurando visão ótima para as
condições de iluminação.
Avaliação da Pupila
 Tamanho
 Formato
 Simetria
Normal = 3 a 5 mm
Anisocoria
Midríase
A função da midríase é a de
aumentar a entrada de luz quando
há pouca luminosidade no
ambiente.
A dilatação é causada pelos
neurônios simpáticos da medula
torácica que através do trato teto-
espinhal obtém informações acerca
da redução de luminosidade.
MOTRICIDADE INTRÍNSECA
GLOBO OCULAR
M. Esfincter
da Pupila
M. Ciliar
MIOSE MIDRÍASE
5 mm3 mm
• A quantidade de luz que entra no olho é
regulada pelo diâmetro da pupila,
• A iluminação da retina provoca a constricção da
pupila pela contração do músculo esfincter
pupilar da íris,
• As fibras circulares (esfincter da íris), que
contraem a pupila são inervadas pelo
parassimpático anexado ao III par,
• As fibras radiadas com função dilatadora
dependem do simpático cervical.
normal miose midríase
Anisocoria=> midríase (lado
comprometido)
LESÃO EXTRA ENCEFÁLICA III PAR MOC
LESÕES COMPLETAS
PTOSE ( MEP )
ESTRABISMO
DIVERGENTE
MIDRÍASE
Mov. Vertical ausente
SEM DIPLOPIA POIS OLHO ESTÁ OCLUÍDO
Reflexo fotomotor
• Vias aferentes=> fibras de origem retiniana que
terminam na área pré-tectal,
• Desta região partem fibras que terminam nos
núcleos do III nervo homo e heterolateral que
comandam a contração do esfincter externo da
íris,
• As impressões luminosas percebidas por um
olho afetam não somente a pupila deste olho
(reflexo fotomotor direto) mas também a pupila
contralateral (reflexo consensual).
Reflexo fotomotor
• Luz incide sobre o olho,
• Da retina parte um estímulo pelo nervo óptico,
passa pelo quiasma e trato óptico em direção ao
corpo geniculado lateral pelo braço do colículo
superior à área pré-tectal;
• Via eferente=>se origina da conexão no núcleo
de Edinger-Westphal, que envia fibras pelo III
par, após sinapse no gânglio ciliar, provoca a
contração do músculo esfincter da íris causando
miose.
• Via aferente=> nervo óptico
• Via eferente=> parassimpático-nervo
oculomotor
• Estímulo luminoso em um olho
desencadeia pupiloconstricção ipsi e
contralateral (reflexo consensual).
• Resposta consensual=> via aferente cruza
parcialmente no quiasma óptico e há
interconexão dos centros reflexos D e E
no mesencéfalo.
Reflexo Fotomotor
VIA AFERENTE
N. ÓPTICO
VIA EFERENTE
III-PAR
PARASSIMPÁTICO
MESENCÉFALO – N. Edinger-Westphal – III - Miose
Luz
R. Fotomotor
R. Consensual
R. da Acomodação
Luz direta
II - III
Percepção da luz no
olho oposto
II - III
Convergência para
focalizar objeto próximo
Reflexo fotomotor direto
Reflexo fotomotor consensual
Função: regular a intensidade de luz
que entra pela pupila. O aumento de
luz causa miose não só no olho
estimulado como no não estimulado.
luz
REFLEXO CONSENSUAL
Acomodação Visual
Tálamo
MESENCÉFALO
Objetos próximos
Função: manter constantemente a
focalização do objeto sobre a
retina. A aproximação ou
afastamento dos objetos altera a
convexidade do cristalino, através
do controle do músculo ciliar.
Reflexo de acomodação
• O reflexo de acomodação e convergência
é obtido quando o paciente fixa o olhar em
um objeto próximo, apresentando
contração pupilar, convergência dos olhos
e acomodação.
REFLEXO ACOMODAÇÃO
REFLEXO ACOMODAÇÃO
Midríase
homolateral à lesão
Ptose palpebral
Ausência de
movimentos verticais
e convergência
Oftalmoparesia
Síndrome de Claude
Bernard Horner
Ptose
Miose
Bloqueio complicado
do n. intercostal por
pneumotórax
Via oculossimpática
Claude Bernard- Horner=> semi-ptose, miose
Síndrome de Horner
Claude Bernard - Horner
Argyll-Robertson
• Sinal de Argyll-Robertson=> miose
bilateral, abolição do reflexo fotomotor e
consensual com conservação do reflexo
de acomodação e convergência (tabes
dorsalis).
• Anormalidades Pupilares
– Sinal de Argyll-Robertson: miose bilateral
com perda dos reflexos fotomotor e
consensual + acomodação preservada
(lesão mesencefálica)
– Sinal de Claude-Bernarde-Horner: miose,
enoftalmia , ptose palpebral e anidrose da
1/2 correspondente da face (lesão do
gânglio simpático cervical).
Nervos: Oculomotor, Troclear
e Abducente
Nervo Abducente (VI par)
Paralisia
VI
Limitação da abdução
Diplopia
Estrabismo convergente
Hipertensão IC
Tumores
Nervo trigêmeo (V par)
V – NERVO TRIGÊMEO
• Misto
• 3 ramos (n. oftálmico, maxilar,
mandibular)
• Raiz sensitiva => gânglio de Gasser
(trigeminal, semilunar) => cavo
trigeminal - (parte petrosa do temporal)
• Sensibilidade da cabeça=>impulsos
exteroceptivos e proprioceptivos
V – NERVO TRIGÊMEO
• Impulsos exteroceptivos (temperatura, dor,
pressão, tato)
 Da pele da face e fronte
 Da conjuntiva ocular
 Mucosa da cavidade bucal, nariz e seios
paranasais
 Dos dentes
 Dos 2/3 anteriores da língua
 Da maior parte da dura máter
V – NERVO TRIGÊMEO
• Impulsos proprioceptivos originam-se em:
Músculos mastigadores
Articulação temporo-mandibular
V – NERVO TRIGÊMEO
• Raiz motora =>
fibras que acompanham nervo
mandibular,
músculos mastigadores (temporal,
masséter, pterigóideo lateral e medial,
milo-hiódeio, ventre anterior do músculo
digástrico),
Avaliação do V Par -
Trigêmeo
• Sensibilidade
• Reflexos
• Mastigação
Reflexo Córneo - Palpebral
• Aferência  V par
• Centro Reflexógeno Ponte
• Eferência VII par
Reflexo córneo-palpebral
Estimulação
na córnea E
A estimulação mecânica da córnea (trigêmeo) causa o
fechamento bilateral dos olhos (facial) e o
lacrimejamento. O fechamento palpebral ocorre por
causa da estimulação bilateral do núcleo facial e a
secreção lacrimal pela estimulação do núcleo lacrimal
(cujo nervo eferente emerge com o VII par)
Função: proteção contra corpos estranhos.
Reflexo córneo palpebral
V
VII
Reflexo Mandibular
• MASSETÉRICO
• Aferência  V par
• Centro Reflexógeno Ponte
• Eferência V par
Lesões piramidais = VIVOS
Reflexo Mandibular
• Fechamento da boca ao se percutir o
mento com martelo,
• Importante durante o ato da mastigação e
para que a boca se mantenha fechada.
Reflexo mentoneano (miotático).
Os fusos musculares são estirados (trigêmeo sensorial) e o masseter contrai
reflexamente (trigêmeo motor). Observe que o corpo celular do neurônio aferente
está dentro do próprio núcleo.
Função: a gravidade estira o músculo mas graças a esse reflexo, mantemos a
boca fechada.
Reflexo mandibular V par
Quadro Clínico – lesão V par
 Anestesia homolateral,
 Paralisia musculatura da mastigação homolateral,
 Desvio da mandíbula para o lado da lesão devido à
ação do músculo pterigoideo lateral,
 Ausência dos reflexos córneo-palpebral e mandibular.
Lesões do Trigêmeo
.
Meningite, Herpes zoster
Tumores: tronco encefálico
Periféricas
Centrais
Herpes zoster
Ramo oftálmico
NEVRALGIA DO TRIGÊMEO
Anatomy of Trigeminal Nerve
Vascular compression of V nerve
Vascular irritation of V Nerve
Mandibular Nerve Block
Percutaneous Radiofrequency Rhizotomy
Percutaneous Glycerol Rhizotomy
Microvascular Decompression of V nerve
Microvascular Decompression of V nerve
Microvascular Decompression of V nerve
Microvascular Decompression of V Nerve
Balloon Compression of Trigeminal Ganglion
Nervo facial (VII par)
VII – NERVO FACIAL
• N. Intermédio (de Wrisberg) inervação das
glândulas lacrimal, submandibular, sublingual e
gustação dos 2/3 anteriores da língua
• N. Facial (propriamente dito) motricidade dos
músculos da expressão facial, m. estilohioideo,
ventre posterior do digástrico, platisma e
músculo estapédico do ouvido médio
Lesões
SUPRANUCLEAR
NEURÔNIO MOTOR
INFERIOR
Paralisia facial central
Paralisia facial
periférica
Nuclear
Infranuclear
Fibras homo e
heterolaterais
para metade
superior da face
• Alterações motoras
– Paralisia Facial Periférica
• Lesão infranuclear
• Homolateral à lesão
• Desaparecimento do enrugamento da testa
• Não fechamento dos olhos (lagoftalmia)
• Desvio da comissura labial para o lado são
• Paralisia de Bell
– Paralisia Facial Central
• Lesão supranuclear
• Acomete metade inferior da face contralateral
• Desaparecimento do sulco naso-labial no lado
paralisado
• Desvio da rima labial para o lado são
• AVC
Nervo Facial -VII
Lesão Periférica: Quadro Clínico
ALTERAÇÕES HOMOLATERAIS
 Apagamentos das pregas frontais,
 Lagoftalmia,
 Apagamento do sulco nasogeniano,
 Desvio da comissura labial contra lateral à lesão.
Lesão Central: Quadro
Clínico
• Desvio da comissura labial para o
lado da lesão,
• Distúrbio articulatório.
PARALISIA CONTRA
LATERAL À LESÃO
Desvio da comissura
labial para a lesão
Paralisia facial periférica direita
Paralisia Facial Periférica
VII PAR: Lesão
CENTRAL AVC
PERIFÉRICA
VIRAL – Herpes
PARALISIA FACIAL CENTRAL PARALISIA FACIAL PERIFÉRICA
Hemiparesia contralateral
Paralisia homolateral do VI
VII
Síndrome de Millard Gublerd
Tumores
VESTÍBULO-COCLEAR (VIII)
Nervo vestíbulo-coclear (VIII par)
• O uso do diapasão permite a comparação
entre condução aérea (próximo ao
conduto auditivo) e condução óssea
(diapasão colocado sobre a mastóide ou
sobre o vértice do crânio).
Teste de Weber
Teste de Weber
• Diapasão em vibração é colocado na linha
média do vértice craniano,
• Pode ser colocado em qualquer ponto da
linha média (corpo do nariz, fronte ou
maxilar,
• Som ouvido igualmente em ambos os
ouvidos.
Teste de Rinne
Teste de Rinne
• Compara condução aérea (CA) com
óssea (CO),
• Colocar diapasão sobre a mastóide,
quando não for mais ouvido coloca-se o
diapasão junto ao ouvido,
• Teste positivo: CA é melhor que CO
Acuidade auditiva Teste de Rinne Teste de Weber
Perda auditiva
condutiva
Diminuída CO>CA (Rinne
negativo ou
normal)
Lateraliza-se para
o lado anormal
Perda auditiva
sensorineural
Diminuída CA>CO (Rinne
positivo ou
normal)
Lateraliza-se para
o lado normal
Nervo glossofaríngeo (IX par)
IX – N. GLOSSOFARÍNGEO
• Ramificacões na raiz da língua e
faringe:
Sensibilidade geral do 1/3 posterior da
língua
Faringe
Úvula
Tonsila
Tuba auditiva
Seio e corpo carotídeo
IX – N. GLOSSOFARÍNGEO
• Gânglio ótico (saem fibras nervosas do
nervo aurículo-temporal que inervam a
parótida)
F. Motora m. constrictor superior da faringe
m. estilo faringeo
* F. Sensorial sensibilidade gustativa 1/3
posterior da língua
F. Sensitiva sensibilidade geral post. do
véu do pálato e faringe
F. Parassimpática glândula parótida
IX
Normal Paralisia unilateral Paralisia
bilateral
X - VAGO
F. Motora músculos pálato mole, faringe,
laringe
Fibras Sensitivo Sensoriais s. geral cutânea retro
auricular , conduto auditivo ext. , mucosa , laringe ,
faringe.
s. gustativa epiglote
Fibras Vegetativa Parassimpática
Árvore traqueobronquica + miocárdio +
T. digestivo
X
N. Ambíguo
BULBO
IX – X - XI
T. C. N. Bilateral
Ramo Laringeo
• Pertence ao Nervo Vago
• Inervação dos músculos intrínsecos
da LARINGE
Fala Deglutição
 Dependem das mesmas estruturas e inervação
V: trigêmeo
VII: facial
IX: glossofaríngeo
X: vago
XII: hipoglosso
O início da deglutição (na
cavidade oral) está sob controle
voluntário, mas os fenômenos
motores da faringe e do esôfago
são involuntários ou reflexos.
Isto significa que, uma vez
transmitidos os sinais ao SNC,
as fases faríngea e esofágica
são deflagradas reflexamente.
Principais eventos que participam do
reflexo da deglutição
A) Fase oral ou voluntária: a língua separa parte do bolo alimentar (BA) e o comprime contra o
palato duro, para cima e para trás da boca, forçando o BA contra a farínge, onde estímulos tácteis
iniciam o reflexo da deglutição.
B) Fase faríngea: fechamento das cordas vocais, da epiglote, levantamento da farínge e abertura do
esfíncter esofágico superior (B e C). Logo após a passagem do BA, abrem-se as cordas vocais, a
epiglote relaxa e o EES se fecha.
C e D) Fase esofágica: podemos comsiderar a motilidade esofágica como sendo a continuação da
deglutição: uma onda peristáltica começa logo abaixo do EES que desloca-se até o esfíncter
esofágico inferior (EEI), relaxando-o e permitindo a entrada do BA no estômago (relaxamento
receptivo).
http://www.icb.ufmg.br/fib/gr
adua/digestivo/index.htm
extraído de: Vander, Sherman & Luciano, 2002 – WEBsite original: http://www.biocourse.com/mhhe/bcc/domains/quad/topic.xsp?id=000270
Deglutição
1ª fase
Voluntária
Involuntárias
Múculos da face: VII
Mastigação: V
Língua motricidade: XII
Sensibilidade 1/3 post.: IX
2/3 ant.: VII
Pálato: IX - X
Faringe: IX - X
ESÔFAGO
Contração da musculatura
extrínseca faríngea
Elevação
Da
Faringe
Epiglote fecha
Laringe
Esôfago
Alimento
Início do
ProcessoAutomático
m.estilofaringeo Elevação da faringe DEGLUTIÇÃO
Conexões com X
Vago
Deglutição
Vômito
Tosse
Reflexo Faríngeo
Vômito
Reflexo Palatino
(nauseoso)
Elevação do palato mole e retração
da úvula
Via aferente: IX
Via eferente: X
“Centro” da salivação
“Centro” da deglutição
“Centro” da mastigação
Tronco encefálico
“Centros” superiores
mastigação
estímulos
mastigatórios
estímulos
gustativos
N. V
N. V
N. V
N. VII, IX, X
glândulas
submandibulares
e sublinguais
glândulas
parótidas
N. VII N. IX
gânglio cervical superior
segmento superior torácico da medula espinhal
ramos parassimpáticos
ramos simpáticos
deglutição
estímulos para
deglutição
I-OLFATÓRIO
II-ÓPTICO
III-OCULOMOTOR
IV-TROCLEAR
V-TRIGÊMEO
VI-ABDUCENTE
VII-FACIAL
VIII-VESTÍBULO-
COCLEAR
IX-GLOSSOFARÍNGEO
X-VAGO
XI-ACESSÓRIO
XII-HIPOGLOSSOPedersen,et al., 2002.
Assim como a
Mastigação, a
Deglutição e a
Salivação
também são
determinadas e
organizadas pelo
SNC.
REGULAÇÃO DA MASTIGAÇÃO
Lesão Unilateral
IX - X
Desvio do Véu do Pálato
Estático = desvio para lesão
Dinâmico = desvio para são
Lesão Bilateral
IX - X
DISFAGIA (+ líquidos)
Regurgitação
Lesão X - XI
Laringeo
DISFONIA
• Testes
– Motor-mobilidade do palato
– Sensibilidade : (pp. vago) reflexo do vômito e
sensibilidade faringe.
• Anormalidades
– Lesão motora IX e X : desvio do palato e da
úvula- desvio p/ lado lesado
* paciente fala “A”: desvio para o lado são
Nervos Glossofaríngeo -IX e Vago -X
Nervo acessório (XI par)
XI – NERVO ACESSÓRIO
• Formado por uma raiz craniana (bulbar) e
raiz espinhal (filamentos radiculares –
emergem da face lateral dos 5 ou 6
primeiros segmentos cervicais da medula
que penetra no crânio pelo forame magno)
• Craniana+espinhal forame da jugular
( junto com vago e glossofaríngeo)
XI – NERVO ACESSÓRIO
• Fibras oriundas da raiz craniana que se
unem ao vago:
Fibras eferentes viscerais especiais –
inervam músculos da laringe
laríngeo- recorrente
Fibras eferentes viscerais gerais
inervam vísceras torácicas juntamente
com fibras vagais
Nervo hipoglosso (XII par)
Paralisia unilateral
Paralisia bilateral
Inervação da Língua
1. TRIGÊMEO  sensibilidade geral
(temp., dor, pressão e tato) – 2/3
anteriores
2. FACIAL sensibilidade gustativa 2/3
anteriores
3. GLOSSOFARÍNGEO  sensibilidade
geral e gustativa no 1/3 posterior
4. HIPOGLOSSO  motricidade

Nervos cranianos

  • 1.
  • 2.
    Pares Cranianos I -Olfatório II - Óptico III - Oculomotor IV- Troclear V- Trigêmeo VI - Abducente VII - Facial VIII - Vestíbulo coclear IX - Glossofaríngeo X - Vago XI - Acessório XII - Hipoglosso
  • 4.
    III, IV eVI V motor IX XI e XII VII III, IV e VI: movimentos oculares V: mastigação VII: expressão facial IX: músculos da laringe e faringe X: músculos da faringe XI: músculos do pescoço XII: movimentos da língua Núcleos motores do parassimpático NÚCLEOS MOTORES DO TRONCO ENCEFÁLICO
  • 6.
    Independentes Não formam plexos ORIGEMNúcleos motores e vegetativos TÉRMINO Núcleos sensitivos e sensoriais
  • 7.
    I- PAR II-PAR PROLONGAMENTOS DO CÉREBRO ANTERIOR III-PAR XII-PAR ORIGEMVENTRAL NO TRONCO ENCEFÁLICO EXCETO IV - DORSAL
  • 8.
  • 11.
    Receptores olfatórios Nervos olfatórios Bulboolfatório Trato olfatório Estria olfatória lateral Estria olfatória medial Substância perfurada anterior Córtex olfatório primário (úncus e giro parahipocampal)
  • 12.
    EXPLORAÇÃO (aspiração => cadanarina em separado) • Teste • Benzina • Extrato de limão • Hortelã • Pó de café • Cânfora • Álcool • Evitar • Amoníaco • Ácido clorídrico • Ácido acético
  • 14.
    Alterações • HIPOSMIA=> reduçãodo olfato • ANOSMIA=> completa abolição • CACOSMIA=> odor de panos queimados ou excremento, presente nas crises epilépticas uncinadas.
  • 15.
    • Alterações – Hiperosmia •aumento da percepção olfatória • histeria e viciados em cocaína – Parosmia • percepção anômala , esquizofrênicos – Cacosmia • percepção permanente de odores desagradáveis – Alucinação olfativa Nervo Olfatório - I
  • 16.
    • Alterações – Anosmia •perda total do olfato • geralmente bilateral • rinites, resfriados • traumas, tumores Nervo Olfatório - I
  • 18.
  • 19.
    II- Via Visual ReceptoresVisuais Retina Recepção Percepção área primária = recepção área associação = percepção Córtex occipital
  • 20.
    NERVO ÓPTICO (axônios dascélulas da camada ganglionar) QUIASMA ÓPTICO (união ao nervo óptico do lado oposto) Saída pelo canal óptico TRATO ÓPTICO Corpo geniculado lateral RADIAÇÃO ÓPTICA CÓRTEX VISUAL (sulco calcarino)
  • 22.
    ACUIDADE VISUAL • Medidado poder de resolução do sistema visual • identificação de detalhes • individualização de objetos • depende: espaçamento entre os fotorreceptores na retina, separação de pontos na retina (separação real dos pontos visualizados, distância objeto - olho) • ângulo de 1 minuto de arco orbitário
  • 23.
    • Medida daacuidade visual => grosseiramente pede-se para ler tipos pequenos de um jornal. • AMBLIOPIA=> diminuição da acuidade • AMAUROSE=> abolição da acuidade
  • 26.
    Acuidade visual • Mapade Snellen, • Colocado a 20 pés, (cerca de 6 metros) do paciente, • Cada olho é examinado separadamente, • Resultados expressos em frações (Ex: 20/40 ou 20/100) • Visão 20/40 paciente vê a 20 pés o que um indivíduo normal vê a 40.
  • 27.
    Acuidade visual • Nosistema americano, o padrão é 20 pés (6 metros). • Visão 20/20, significa que quando o examinado fica a 6 metros do quadro, é capaz de enxergar o mesmo que um ser humano normal enxergaria na mesma distância. • É por isso que eles chamam de visão 20/20. Ou seja, se você tem uma visão 20/20, sua visão é normal.
  • 28.
    • Se vocêpossui uma visão 20/40, isso significa que quando fica a 6 metros do quadro, é capaz de enxergar o que um ser humano normal veria se estivesse a 12 metros. • Ou seja, se uma pessoa normal estiver a 12 metros de distância do quadro e você estiver a apenas 6 metros, você e ela veriam os mesmos detalhes. • 20/100 significa que quando você está a 6 metros, consegue ver o que uma pessoa veria se estivesse a 30 metros de distância.
  • 29.
    Acuidade visual • Boaou normal: de 20/20 a 20/40 em pelo menos um dos olhos - "olho de menor visão,“ • Moderada: de 20/50 a 20/70, • Grave: de 20/80 a 20/200, • Cegueira: menor que 20/200
  • 30.
    • Visão paraperto cartão de Jaeger, • Distância de 36cm do olho
  • 32.
    CAMPO VISUAL • espaçodentro do qual um objeto pode ser visto enquanto o olho é fixado em determinado ponto, avaliado pelo método de confrontação.
  • 33.
  • 37.
    CAMPO VISUAL • Cadaum dos olhos vê cerca de 150º de campo. • Com os dois olhos abertos o campo visual é de 180º. • A área de sobreposição de campo dos dois olhos é de 120º que correspondem à zona mais central. Isto implica que 30º do campo só é visto por um olho individualmente. •
  • 40.
    CAMPO VISUAL -Anormalidades • Escotomas, • Hemianopsias, • Defeitos da altitude e constrição ou contração concêntrica dos campos
  • 41.
    CAMPO VISUAL -Anormalidades Escotoma (do grego “escuridão”)=> área de visão comprometida no campo, com visão circundante normal. ESCOTOMA FISIOLÓGICO=> falha no campo visual que corresponde à projeção no espaço da papila óptica (cabeça do nervo óptico que não contém cones ou bastonetes).
  • 42.
    • Escotomas: sãomanchas escuras e cegas que se projetam em negro sobre os objetos fixados. Podem ser paroxísticos (enxaquecas, auras epilépticas) e permanentes. Aparecem no edema de papila.
  • 43.
    • Como aluz não pode ser detectada em zonas da retina que não tenham foto- receptores, a zona correspondente ao nervo óptico aparece como escotoma absoluto (sensibilidade zero), chamada escotoma fisiológico ou “ponto cego” fisiológico. Esta zona aparece 10º a 15º do ponto de fixação.
  • 44.
    ESCOTOMA PATOLÓGICO • Escotomaspodem ser patológicos quando decorrem de uma diversidade de condições que acometem a retina (principalmente sua área sensível, a mácula) ou o nervo óptico. • Um escotoma pode envolver qualquer parte do campo visual e ter diversas formas e tamanhos. • Um escotoma no centro do campo visual, mesmo que pequeno, pode provocar uma grande perda de acuidade, enquanto que escotomas nas áreas periféricas podem passar despercebidos, devido à redução normal da acuidade na periferia do campo visual.
  • 47.
    II - NERVOÓPTICO • Ao nível do quiasma as fibras provenientes das metades nasais da retina se cruzam, • Cada trato óptico contém as fibras da metade homônima das duas retinas.
  • 50.
    • Hemianopsia homônima=>falhano campo temporal de um lado e nasal contralateral, • Hemianopsia heterônima=>quando o defeito compromete ambos campos temporais ou nasais.
  • 51.
    Lesões quiasmáticas (tumoresde hipófise)=> hemianopsias bitemporais (comprometimento das fibras nasais de cada retina)
  • 53.
    EXAME OFTALMOSCÓPICO • Corda papila=> rosa pálido • Bordas do disco papilar=> nítidas • Vasos (artérias e veias)=> emergem do centro da papila e irrigam toda a retina • Edema de papila (papiledema)=>resultante do aumento da pressão intracraniana, as bordas ficam borradas, veias ingurgitadas.
  • 54.
  • 55.
  • 56.
    Fundo de OlhoNormal 1. Coloração – varia de cor entre o laranja e o vermelho. Nos melanodermos é mais escurecido. 2. Disco óptico ou papila óptica – representa o inicio do nervo óptico, local por onde passam as fibras retinianas que irão formar o nervo. Em condições normais, no vivo, a papila é escavada e tem diâmetro aproximado de 1,5 mm e a forma arredondada ou oval com a coloração rósea, bordas nítidas.
  • 57.
    Fundo de OlhoNormal 3. Mácula – Localização temporal à papila, é uma área avascular, depressão oval, brilhante. É a área de maior sensibilidade para acuidade visual. O centro da mácula é chamado de fóvea. A mácula é limitada, envolvida por capilares da retina.
  • 59.
  • 60.
  • 61.
  • 62.
  • 65.
    Edema de papilabilateral
  • 66.
    – I eII pares – tumores face inferior do lobo frontal – atrofia óptica no lado do tumor (compressão direta) – edema de papila do lado oposto (HIC) – anosmia Síndrome de Foster Kennedy
  • 67.
  • 68.
    Motricidade ocular • Fissuraorbital superior (fenda esfenoidal) • III => m. reto superior m. reto inferior m. reto medial m. oblíquo inferior m. elevador da pálpebra • IV => m. oblíquo superior • VI => m. reto lateral INERVA
  • 73.
  • 75.
    • Anormalidades – IIIpar (ruptura de aneurisma de artéria comunicante posterior) • ptose palpebral, • midríase arreflexa • estrabismo divergente – VI par (HIC) • estrabismo convergente Nervos: Oculomotor, Troclear e Abducente
  • 83.
    Análise da Pupila Tamanho– Forma – Simetria Reflexos Pupilares
  • 85.
    Avaliação da Pupila •Função da pupila=> controlar a quantidade de luz que entra no olho assegurando visão ótima para as condições de iluminação.
  • 86.
    Avaliação da Pupila Tamanho  Formato  Simetria Normal = 3 a 5 mm Anisocoria
  • 87.
    Midríase A função damidríase é a de aumentar a entrada de luz quando há pouca luminosidade no ambiente. A dilatação é causada pelos neurônios simpáticos da medula torácica que através do trato teto- espinhal obtém informações acerca da redução de luminosidade.
  • 88.
    MOTRICIDADE INTRÍNSECA GLOBO OCULAR M.Esfincter da Pupila M. Ciliar MIOSE MIDRÍASE 5 mm3 mm
  • 89.
    • A quantidadede luz que entra no olho é regulada pelo diâmetro da pupila, • A iluminação da retina provoca a constricção da pupila pela contração do músculo esfincter pupilar da íris, • As fibras circulares (esfincter da íris), que contraem a pupila são inervadas pelo parassimpático anexado ao III par, • As fibras radiadas com função dilatadora dependem do simpático cervical.
  • 90.
  • 92.
  • 93.
    LESÃO EXTRA ENCEFÁLICAIII PAR MOC LESÕES COMPLETAS PTOSE ( MEP ) ESTRABISMO DIVERGENTE MIDRÍASE Mov. Vertical ausente SEM DIPLOPIA POIS OLHO ESTÁ OCLUÍDO
  • 95.
    Reflexo fotomotor • Viasaferentes=> fibras de origem retiniana que terminam na área pré-tectal, • Desta região partem fibras que terminam nos núcleos do III nervo homo e heterolateral que comandam a contração do esfincter externo da íris, • As impressões luminosas percebidas por um olho afetam não somente a pupila deste olho (reflexo fotomotor direto) mas também a pupila contralateral (reflexo consensual).
  • 96.
    Reflexo fotomotor • Luzincide sobre o olho, • Da retina parte um estímulo pelo nervo óptico, passa pelo quiasma e trato óptico em direção ao corpo geniculado lateral pelo braço do colículo superior à área pré-tectal; • Via eferente=>se origina da conexão no núcleo de Edinger-Westphal, que envia fibras pelo III par, após sinapse no gânglio ciliar, provoca a contração do músculo esfincter da íris causando miose.
  • 97.
    • Via aferente=>nervo óptico • Via eferente=> parassimpático-nervo oculomotor • Estímulo luminoso em um olho desencadeia pupiloconstricção ipsi e contralateral (reflexo consensual). • Resposta consensual=> via aferente cruza parcialmente no quiasma óptico e há interconexão dos centros reflexos D e E no mesencéfalo.
  • 98.
    Reflexo Fotomotor VIA AFERENTE N.ÓPTICO VIA EFERENTE III-PAR PARASSIMPÁTICO MESENCÉFALO – N. Edinger-Westphal – III - Miose Luz
  • 99.
    R. Fotomotor R. Consensual R.da Acomodação Luz direta II - III Percepção da luz no olho oposto II - III Convergência para focalizar objeto próximo
  • 102.
    Reflexo fotomotor direto Reflexofotomotor consensual Função: regular a intensidade de luz que entra pela pupila. O aumento de luz causa miose não só no olho estimulado como no não estimulado. luz
  • 103.
  • 104.
    Acomodação Visual Tálamo MESENCÉFALO Objetos próximos Função:manter constantemente a focalização do objeto sobre a retina. A aproximação ou afastamento dos objetos altera a convexidade do cristalino, através do controle do músculo ciliar.
  • 105.
    Reflexo de acomodação •O reflexo de acomodação e convergência é obtido quando o paciente fixa o olhar em um objeto próximo, apresentando contração pupilar, convergência dos olhos e acomodação.
  • 106.
  • 107.
  • 110.
    Midríase homolateral à lesão Ptosepalpebral Ausência de movimentos verticais e convergência
  • 111.
  • 112.
    Síndrome de Claude BernardHorner Ptose Miose Bloqueio complicado do n. intercostal por pneumotórax Via oculossimpática
  • 114.
    Claude Bernard- Horner=>semi-ptose, miose
  • 115.
  • 116.
  • 117.
    Argyll-Robertson • Sinal deArgyll-Robertson=> miose bilateral, abolição do reflexo fotomotor e consensual com conservação do reflexo de acomodação e convergência (tabes dorsalis).
  • 118.
    • Anormalidades Pupilares –Sinal de Argyll-Robertson: miose bilateral com perda dos reflexos fotomotor e consensual + acomodação preservada (lesão mesencefálica) – Sinal de Claude-Bernarde-Horner: miose, enoftalmia , ptose palpebral e anidrose da 1/2 correspondente da face (lesão do gânglio simpático cervical). Nervos: Oculomotor, Troclear e Abducente
  • 120.
  • 121.
  • 123.
  • 124.
    V – NERVOTRIGÊMEO • Misto • 3 ramos (n. oftálmico, maxilar, mandibular) • Raiz sensitiva => gânglio de Gasser (trigeminal, semilunar) => cavo trigeminal - (parte petrosa do temporal) • Sensibilidade da cabeça=>impulsos exteroceptivos e proprioceptivos
  • 125.
    V – NERVOTRIGÊMEO • Impulsos exteroceptivos (temperatura, dor, pressão, tato)  Da pele da face e fronte  Da conjuntiva ocular  Mucosa da cavidade bucal, nariz e seios paranasais  Dos dentes  Dos 2/3 anteriores da língua  Da maior parte da dura máter
  • 126.
    V – NERVOTRIGÊMEO • Impulsos proprioceptivos originam-se em: Músculos mastigadores Articulação temporo-mandibular
  • 127.
    V – NERVOTRIGÊMEO • Raiz motora => fibras que acompanham nervo mandibular, músculos mastigadores (temporal, masséter, pterigóideo lateral e medial, milo-hiódeio, ventre anterior do músculo digástrico),
  • 130.
    Avaliação do VPar - Trigêmeo • Sensibilidade • Reflexos • Mastigação
  • 133.
    Reflexo Córneo -Palpebral • Aferência  V par • Centro Reflexógeno Ponte • Eferência VII par
  • 136.
    Reflexo córneo-palpebral Estimulação na córneaE A estimulação mecânica da córnea (trigêmeo) causa o fechamento bilateral dos olhos (facial) e o lacrimejamento. O fechamento palpebral ocorre por causa da estimulação bilateral do núcleo facial e a secreção lacrimal pela estimulação do núcleo lacrimal (cujo nervo eferente emerge com o VII par) Função: proteção contra corpos estranhos.
  • 137.
  • 138.
    Reflexo Mandibular • MASSETÉRICO •Aferência  V par • Centro Reflexógeno Ponte • Eferência V par Lesões piramidais = VIVOS
  • 139.
    Reflexo Mandibular • Fechamentoda boca ao se percutir o mento com martelo, • Importante durante o ato da mastigação e para que a boca se mantenha fechada.
  • 140.
    Reflexo mentoneano (miotático). Osfusos musculares são estirados (trigêmeo sensorial) e o masseter contrai reflexamente (trigêmeo motor). Observe que o corpo celular do neurônio aferente está dentro do próprio núcleo. Função: a gravidade estira o músculo mas graças a esse reflexo, mantemos a boca fechada.
  • 141.
  • 142.
    Quadro Clínico –lesão V par  Anestesia homolateral,  Paralisia musculatura da mastigação homolateral,  Desvio da mandíbula para o lado da lesão devido à ação do músculo pterigoideo lateral,  Ausência dos reflexos córneo-palpebral e mandibular.
  • 145.
    Lesões do Trigêmeo . Meningite,Herpes zoster Tumores: tronco encefálico Periféricas Centrais
  • 146.
  • 148.
  • 150.
  • 151.
  • 152.
  • 153.
  • 154.
  • 155.
  • 156.
  • 157.
  • 158.
  • 159.
  • 160.
    Balloon Compression ofTrigeminal Ganglion
  • 161.
  • 162.
    VII – NERVOFACIAL • N. Intermédio (de Wrisberg) inervação das glândulas lacrimal, submandibular, sublingual e gustação dos 2/3 anteriores da língua • N. Facial (propriamente dito) motricidade dos músculos da expressão facial, m. estilohioideo, ventre posterior do digástrico, platisma e músculo estapédico do ouvido médio
  • 167.
    Lesões SUPRANUCLEAR NEURÔNIO MOTOR INFERIOR Paralisia facialcentral Paralisia facial periférica Nuclear Infranuclear
  • 168.
    Fibras homo e heterolaterais parametade superior da face
  • 169.
    • Alterações motoras –Paralisia Facial Periférica • Lesão infranuclear • Homolateral à lesão • Desaparecimento do enrugamento da testa • Não fechamento dos olhos (lagoftalmia) • Desvio da comissura labial para o lado são • Paralisia de Bell – Paralisia Facial Central • Lesão supranuclear • Acomete metade inferior da face contralateral • Desaparecimento do sulco naso-labial no lado paralisado • Desvio da rima labial para o lado são • AVC Nervo Facial -VII
  • 170.
    Lesão Periférica: QuadroClínico ALTERAÇÕES HOMOLATERAIS  Apagamentos das pregas frontais,  Lagoftalmia,  Apagamento do sulco nasogeniano,  Desvio da comissura labial contra lateral à lesão.
  • 171.
    Lesão Central: Quadro Clínico •Desvio da comissura labial para o lado da lesão, • Distúrbio articulatório. PARALISIA CONTRA LATERAL À LESÃO Desvio da comissura labial para a lesão
  • 172.
    Paralisia facial periféricadireita Paralisia Facial Periférica
  • 173.
    VII PAR: Lesão CENTRALAVC PERIFÉRICA VIRAL – Herpes
  • 174.
    PARALISIA FACIAL CENTRALPARALISIA FACIAL PERIFÉRICA
  • 175.
    Hemiparesia contralateral Paralisia homolateraldo VI VII Síndrome de Millard Gublerd Tumores
  • 176.
  • 178.
    Nervo vestíbulo-coclear (VIIIpar) • O uso do diapasão permite a comparação entre condução aérea (próximo ao conduto auditivo) e condução óssea (diapasão colocado sobre a mastóide ou sobre o vértice do crânio).
  • 181.
  • 182.
    Teste de Weber •Diapasão em vibração é colocado na linha média do vértice craniano, • Pode ser colocado em qualquer ponto da linha média (corpo do nariz, fronte ou maxilar, • Som ouvido igualmente em ambos os ouvidos.
  • 183.
  • 184.
    Teste de Rinne •Compara condução aérea (CA) com óssea (CO), • Colocar diapasão sobre a mastóide, quando não for mais ouvido coloca-se o diapasão junto ao ouvido, • Teste positivo: CA é melhor que CO
  • 185.
    Acuidade auditiva Testede Rinne Teste de Weber Perda auditiva condutiva Diminuída CO>CA (Rinne negativo ou normal) Lateraliza-se para o lado anormal Perda auditiva sensorineural Diminuída CA>CO (Rinne positivo ou normal) Lateraliza-se para o lado normal
  • 187.
  • 188.
    IX – N.GLOSSOFARÍNGEO • Ramificacões na raiz da língua e faringe: Sensibilidade geral do 1/3 posterior da língua Faringe Úvula Tonsila Tuba auditiva Seio e corpo carotídeo
  • 189.
    IX – N.GLOSSOFARÍNGEO • Gânglio ótico (saem fibras nervosas do nervo aurículo-temporal que inervam a parótida)
  • 190.
    F. Motora m.constrictor superior da faringe m. estilo faringeo * F. Sensorial sensibilidade gustativa 1/3 posterior da língua F. Sensitiva sensibilidade geral post. do véu do pálato e faringe F. Parassimpática glândula parótida IX
  • 194.
    Normal Paralisia unilateralParalisia bilateral
  • 198.
  • 199.
    F. Motora músculospálato mole, faringe, laringe Fibras Sensitivo Sensoriais s. geral cutânea retro auricular , conduto auditivo ext. , mucosa , laringe , faringe. s. gustativa epiglote Fibras Vegetativa Parassimpática Árvore traqueobronquica + miocárdio + T. digestivo X N. Ambíguo BULBO IX – X - XI T. C. N. Bilateral
  • 200.
    Ramo Laringeo • Pertenceao Nervo Vago • Inervação dos músculos intrínsecos da LARINGE
  • 201.
    Fala Deglutição  Dependemdas mesmas estruturas e inervação
  • 202.
    V: trigêmeo VII: facial IX:glossofaríngeo X: vago XII: hipoglosso O início da deglutição (na cavidade oral) está sob controle voluntário, mas os fenômenos motores da faringe e do esôfago são involuntários ou reflexos. Isto significa que, uma vez transmitidos os sinais ao SNC, as fases faríngea e esofágica são deflagradas reflexamente.
  • 207.
    Principais eventos queparticipam do reflexo da deglutição A) Fase oral ou voluntária: a língua separa parte do bolo alimentar (BA) e o comprime contra o palato duro, para cima e para trás da boca, forçando o BA contra a farínge, onde estímulos tácteis iniciam o reflexo da deglutição. B) Fase faríngea: fechamento das cordas vocais, da epiglote, levantamento da farínge e abertura do esfíncter esofágico superior (B e C). Logo após a passagem do BA, abrem-se as cordas vocais, a epiglote relaxa e o EES se fecha. C e D) Fase esofágica: podemos comsiderar a motilidade esofágica como sendo a continuação da deglutição: uma onda peristáltica começa logo abaixo do EES que desloca-se até o esfíncter esofágico inferior (EEI), relaxando-o e permitindo a entrada do BA no estômago (relaxamento receptivo). http://www.icb.ufmg.br/fib/gr adua/digestivo/index.htm extraído de: Vander, Sherman & Luciano, 2002 – WEBsite original: http://www.biocourse.com/mhhe/bcc/domains/quad/topic.xsp?id=000270
  • 208.
    Deglutição 1ª fase Voluntária Involuntárias Múculos daface: VII Mastigação: V Língua motricidade: XII Sensibilidade 1/3 post.: IX 2/3 ant.: VII Pálato: IX - X Faringe: IX - X ESÔFAGO
  • 209.
    Contração da musculatura extrínsecafaríngea Elevação Da Faringe Epiglote fecha Laringe Esôfago Alimento Início do ProcessoAutomático
  • 210.
    m.estilofaringeo Elevação dafaringe DEGLUTIÇÃO Conexões com X Vago Deglutição Vômito Tosse
  • 211.
    Reflexo Faríngeo Vômito Reflexo Palatino (nauseoso) Elevaçãodo palato mole e retração da úvula Via aferente: IX Via eferente: X
  • 212.
    “Centro” da salivação “Centro”da deglutição “Centro” da mastigação Tronco encefálico “Centros” superiores mastigação estímulos mastigatórios estímulos gustativos N. V N. V N. V N. VII, IX, X glândulas submandibulares e sublinguais glândulas parótidas N. VII N. IX gânglio cervical superior segmento superior torácico da medula espinhal ramos parassimpáticos ramos simpáticos deglutição estímulos para deglutição I-OLFATÓRIO II-ÓPTICO III-OCULOMOTOR IV-TROCLEAR V-TRIGÊMEO VI-ABDUCENTE VII-FACIAL VIII-VESTÍBULO- COCLEAR IX-GLOSSOFARÍNGEO X-VAGO XI-ACESSÓRIO XII-HIPOGLOSSOPedersen,et al., 2002. Assim como a Mastigação, a Deglutição e a Salivação também são determinadas e organizadas pelo SNC. REGULAÇÃO DA MASTIGAÇÃO
  • 213.
    Lesão Unilateral IX -X Desvio do Véu do Pálato Estático = desvio para lesão Dinâmico = desvio para são Lesão Bilateral IX - X DISFAGIA (+ líquidos) Regurgitação Lesão X - XI Laringeo DISFONIA
  • 215.
    • Testes – Motor-mobilidadedo palato – Sensibilidade : (pp. vago) reflexo do vômito e sensibilidade faringe. • Anormalidades – Lesão motora IX e X : desvio do palato e da úvula- desvio p/ lado lesado * paciente fala “A”: desvio para o lado são Nervos Glossofaríngeo -IX e Vago -X
  • 216.
  • 217.
    XI – NERVOACESSÓRIO • Formado por uma raiz craniana (bulbar) e raiz espinhal (filamentos radiculares – emergem da face lateral dos 5 ou 6 primeiros segmentos cervicais da medula que penetra no crânio pelo forame magno) • Craniana+espinhal forame da jugular ( junto com vago e glossofaríngeo)
  • 219.
    XI – NERVOACESSÓRIO • Fibras oriundas da raiz craniana que se unem ao vago: Fibras eferentes viscerais especiais – inervam músculos da laringe laríngeo- recorrente Fibras eferentes viscerais gerais inervam vísceras torácicas juntamente com fibras vagais
  • 228.
  • 233.
  • 240.
    Inervação da Língua 1.TRIGÊMEO  sensibilidade geral (temp., dor, pressão e tato) – 2/3 anteriores 2. FACIAL sensibilidade gustativa 2/3 anteriores 3. GLOSSOFARÍNGEO  sensibilidade geral e gustativa no 1/3 posterior 4. HIPOGLOSSO  motricidade