NERVOS CRANIANOS
Pares Cranianos 
I - Olfatório 
II - Óptico 
III - Oculomotor 
IV- Troclear 
V- Trigêmeo 
VI - Abducente 
VII - Facial 
VIII - Vestíbulo coclear 
IX - Glossofaríngeo 
X - Vago 
XI - Acessório 
XII - Hipoglosso
III, IV e VI 
V motor 
IX 
XI e 
XII 
VII 
III, IV e VI: movimentos oculares 
V: mastigação 
VII: expressão facial 
IX: músculos da laringe e faringe 
X: músculos da faringe 
XI: músculos do pescoço 
XII: movimentos da língua 
Núcleos motores do parassimpático 
NÚCLEOS MOTORES DO 
TRONCO ENCEFÁLICO
Independentes 
Não formam plexos 
ORIGEM 
Núcleos motores e vegetativos 
TÉRMINO 
Núcleos sensitivos e sensoriais
I- PAR 
II-PAR 
PROLONGAMENTOS 
DO 
CÉREBRO ANTERIOR 
III-PAR 
XII-PAR 
ORIGEM VENTRAL DO TRONCO ENCEFÁLICO 
EXCETO IV - DORSAL
OLFATÓRIO
EXPLORAÇÃO (aspiração => cada narina em separado) 
•Teste 
•Benzina 
•Extrato de limão 
•Hortelã 
•Pó de café 
•Cânfora 
•Álcool 
•Evitar 
•Amoníaco 
•Ácido clorídrico 
•Ácido acético
Alterações 
•HIPOSMIA=> redução do olfato 
•ANOSMIA=> completa abolição 
•PAROSMIA=> perversão do olfato 
•CACOSMIA=> odor de panos queimados ou excremento, presente nas crises epilépticas uncinadas.
•Alterações 
–Anosmia 
•perda total do olfato 
•geralmente bilateral 
•rinites, resfriados 
•traumas, tumores 
Nervo Olfatório - I
NERVO ÓPTICO
II- Via Visual 
Receptores Visuais Retina 
Recepção 
Percepção 
área primária = recepção 
área associação = percepção 
Córtex occipital
N. ÓPTICO 
Q.O. 
RADIAÇÃO ÓPTICA 
TRATO ÓPTICO 
LOBO OCCIPTAL 
Área primária 
Área secundária 
Área terciária
ACUIDADE VISUAL 
•Medida do poder de resolução do sistema visual 
•identificação de detalhes 
•individualização de objetos
•Medida da acuidade visual => grosseiramente pede-se para ler tipos pequenos de um jornal. 
•AMBLIOPIA=> diminuição da acuidade 
•AMAUROSE=> abolição da acuidade
Acuidade visual 
•Mapa de Snellen, 
•Colocado a 20 pés, 
(cerca de 6 metros) do paciente, 
•Cada olho é examinado separadamente, 
•Resultados expressos em frações (20/40 ou 20/100) 
•Visão 20/40 paciente vê a 20 pés o que um indivíduo normal vê a 40.
Acuidade visual 
• Se você possui visão 20/20, isso significa que quando fica a 6 metros do quadro, é capaz de enxergar o que um ser humano normal enxergaria. 
• No sistema americano, o padrão é 20 pés (6 metros). 
•É por isso que eles chamam de visão 20/20. Ou seja, se você tem uma visão 20/20, sua visão é normal, o que significa que a maioria da população pode enxergar o mesmo que você a 6 metros de distância.
•Se você possui uma visão 20/40, isso significa que quando fica a 6 metros do quadro, é capaz de enxergar o que um ser humano normal veria se estivesse a 12 metros. Ou seja, se uma pessoa normal estiver a 12 metros de distância do quadro e você estiver a apenas 6 metros, você e ela veriam os mesmos detalhes. 20/100 significa que quando você está a 6 metros, consegue ver o que uma pessoa veria se estivesse a 30 metros de distância.
Acuidade visual 
•Boa ou normal: de 20/20 a 20/40 em pelo menos um dos olhos - "olho de menor visão,“ 
•Moderada: de 20/50 a 20/70, 
•Grave: de 20/80 a 20/200, 
•Cegueira: menor que 20/200
• Visão para perto cartão de Jaeger, 
• Distância de 36cm do olho
CAMPO VISUAL 
•espaço dentro do qual um objeto pode ser visto enquanto o olho é fixado em determinado ponto, avaliado pelo método de confrontação.
TESTE DE CONFRONTAÇÃO
CAMPO VISUAL 
•Cada um dos olhos vê cerca de 150º de campo. 
• Com os dois olhos abertos o campo visual é de 180º. 
•A área de sobreposição de campo dos dois olhos é de 120º que correspondem à zona mais central. Isto implica que 30º do campo só é visto por um olho individualmente. 
• Essas áreas correspondem ao extremo direito e extremo esquerdo, vistos respectivamente pelo olho direito e olho esquerdo.
CAMPO VISUAL - Anormalidades 
•Escotomas, 
•Hemianopsias, 
•Defeitos da altitude e constrição ou contração concêntrica dos campos
CAMPO VISUAL - Anormalidades 
Escotoma (do grego “escuridão”)=> área de visão comprometida no campo, com visão circundante normal. 
ESCOTOMA FISIOLÓGICO=> falha no campo visual que corresponde à projeção no espaço da papila óptica (cabeça do n. óptico que não contém cones ou bastonetes).
•Como a luz não pode ser detectada em zonas da retina que não tenham foto- receptores, a zona correspondente ao nervo óptico aparece como escotoma absoluto (sensibilidade zero), chamada escotoma fisiológico ou “ponto cego” fisiológico. Esta zona aparece 10º a 15º do ponto de fixação.
II - NERVO ÓPTICO 
•Ao nível do quiasma as fibras provenientes das metades nasais da retina se cruzam, 
•Cada trato óptico contém as fibras da metade homônima das duas retinas.
•Hemianopsia homônima=>falha no campo temporal de um lado e nasal contralateral, 
•Hemianopsia heterônima=>quando o defeito compromete ambos campos temporais ou nasais.
Lesões quiasmáticas (tumores de hipófise)=> hemianopsias bitemporais 
(comprometimento das fibras nasais de cada retina)
EXAME OFTALMOSCÓPICO 
•Cor da papila=> rosa pálido 
•Bordas do disco papilar=> nítidas 
•Vasos (artérias e veias)=> emergem do centro da papila e irrigam toda a retina 
•Edema de papila (papiledema)=>resultante do aumento da pressão intracraniana, as bordas ficam borradas, veias ingurgitadas.
Fundo de Olho Normal
Fundo de olho
Fundo de Olho Normal 
1.Coloração – varia de cor entre o laranja e o vermelho. Nos melanodermos é mais escurecido. 
2.Disco óptico ou papila óptica – representa o inicio do nervo óptico, local por onde passam as fibras retinianas que irão formar o nervo. Em condições normais, no vivo, a papila é escavada e tem diâmetro aproximado de 1,5 mm e a forma arredondada ou oval com a coloração rósea, bordas nítidas.
Fundo de Olho Normal 
3.Mácula – Localização temporal à papila, é uma área avascular, depressão oval, brilhante. É a área de maior sensibilidade para acuidade visual. O centro da mácula é chamado de fóvea. A mácula é limitada, envolvida por capilares da retina.
Edema de papila óptica
Atrofia de papila óptica
–I e II pares 
–tumores face inferior do lobo frontal 
–atrofia óptica no lado do tumor (compressão direta) 
–edema de papila do lado oposto (HIC) 
–anosmia 
Síndrome de Foster Kennedy
NERVOS OCULOMOTORES (III, IV, VI)
Motricidade ocular 
•Fissura orbital superior (fenda esfenoidal) 
•III => m. reto superior 
m. reto inferior 
m. reto medial 
m. oblíquo inferior 
m. elevador da pálpebra 
•IV => m. oblíquo superior 
•VI => m. reto lateral 
INERVA
•TESTES 
–Mobilidade 
–Reflexo fotomotor direto 
–Reflexo fotomotor consensual 
–Reflexo de acomodação 
•Via aferente- II 
•Via eferente- III 
Nervos: Oculomotor, Troclear 
e Abducente
Motilidade
•Anormalidades 
–III par (ruptura de aneurisma de art. com. post.) 
•ptose palpebral, 
•midríase arreflexa 
•estrabismo divergente 
–VI par (HIC) 
•estrabismo convergente 
Nervos: Oculomotor, Troclear 
e Abducente
Análise da Pupila 
Tamanho – Forma – Simetria 
Reflexos Pupilares
Avaliação da Pupila 
•Função da pupila=> controlar a quantidade de luz que entra no olho assegurando visão ótima para as condições de iluminação.
Avaliação da Pupila 
Tamanho 
Formato 
Simetria 
Normal = 3 a 5 mm 
Anisocoria
normal 
miose 
midríase
Midríase 
A função da midríase é a de aumentar a entrada de luz quando há pouca luminosidade no ambiente. 
A dilatação é causada pelos neurônios simpáticos da medula torácica que através do trato teto- espinhal obtém informações acerca da redução de luminosidade.
Anisocoria=> midríase (lado comprometido)
MOTRICIDADE INTRÍNSECA 
GLOBO OCULAR 
M. Esfincter 
da Pupila 
M. Ciliar 
MIOSE 
MIDRÍASE 
5 mm 
3 mm
•A quantidade de luz que entra no olho é regulada pelo diâmetro da pupila, 
•A iluminação da retina provoca a constricção da pupila pela contração do músculo esfincter pupilar da íris, 
•As fibras circulares (esfincter da íris), que contraem a pupila são inervadas pelo parassimpático anexado ao III par, 
•As fibras radiadas com função dilatadora dependem do simpático cervical.
Reflexo fotomotor 
•Vias aferentes=> fibras de origem retiniana que terminam na área pré-tectal, 
•Desta região partem fibras que terminam nos núcleos do III nervo homo e heterolateral que comandam a contração do esfincter externo da íris, 
•As impressões luminosas percebidas por um olho afetam não somente a pupila deste olho (reflexo fotomotor direto) mas também a pupila contralateral (reflexo consensual).
Reflexo fotomotor 
•Luz incide sobre o olho, 
•Da retina parte um estímulo pelo nervo óptico, passa pelo quiasma e trato óptico em direção ao corpo geniculado lateral pelo braço do colículo superior à área pré-tectal; 
•Via eferente=>se origina da conexão no núcleo de Edinger-Westphal, que envia fibras pelo III par, após sinapse no gânglio ciliar, provoca a contração do músculo esfincter da íris causando miose.
•Via aferente=> nervo óptico 
•Via eferente=> parassimpático-nervo oculomotor 
•Estímulo luminoso em um olho desencadeia pupiloconstricção ipsi e contralateral (reflexo consensual). 
•Resposta consensual=> via aferente cruza parcialmente no quiasma óptico e há interconexão dos centros reflexos D e E no mesencéfalo.
Reflexo Fotomotor 
VIA AFERENTE 
N. ÓPTICO 
VIA EFERENTE 
III-PAR 
PARASSIMPÁTICO 
MESENCÉFALO – N. Edinger-Westphal – III - Miose 
Luz
R. Fotomotor 
R. Consensual 
R. da Acomodação 
Luz direta 
II - III 
Percepção da luz no olho oposto 
II - III 
Convergência para focalizar objeto próximo
Reflexo fotomotor direto 
Reflexo fotomotor consensual 
Função: regular a intensidade de luz que entra pela pupila. O aumento de luz causa miose não só no olho estimulado como no não estimulado. 
luz
REFLEXO CONSENSUAL
Acomodação Visual 
Tálamo 
MESENCÉFALO 
Objetos próximos 
Função: manter constantemente a focalização do objeto sobre a retina. A aproximação ou afastamento dos objetos altera a convexidade do cristalino, através do controle do músculo ciliar.
REFLEXO ACOMODAÇÃO
REFLEXO ACOMODAÇÃO
LESÃO EXTRA ENCEFÁLICA III PAR MOC 
LESÕES COMPLETAS 
PTOSE ( MEP ) 
ESTRABISMO 
DIVERGENTE 
MIDRÍASE 
Mov. Vertical ausente 
SEM DIPLOPIA POIS OLHO ESTÁ OCLUÍDO
Síndrome de Claude Bernard Horner 
Ptose 
Miose 
Bloqueio complicado do n. intercostal por pneumotórax 
Via oculossimpática
Claude Bernard- Horner=> semi-ptose, miose
Claude Bernard - Horner
Reflexo de acomodação 
•O reflexo de acomodação e convergência é obtido quando o paciente fixa o olhar em um objeto próximo, apresentando contração pupilar, convergência dos olhos e acomodação.
Argyll-Robertson 
•Sinal de Argyll-Robertson=> miose bilateral, abolição do reflexo fotomotor e consensual com conservação do reflexo de acomodação e convergência (tabes dorsalis).
•Anormalidades Pupilares 
–Sinal de Argyll-Robertson: miose bilateral com perda dos reflexos fotomotor e consensual + acomodação preservada (lesão mesencefálica) 
–Sinal de Claude-Bernarde-Horner: miose, enoftalmia , ptose palpebral e anidrose da 1/2 correspondente da face (lesão do gânglio simpático cervical). 
Nervos: Oculomotor, Troclear 
e Abducente
Nervo Abducente (VI par)
Paralisia 
VI 
Limitação da abdução 
Diplopia 
Estrabismo convergente 
Hipertensão IC 
Tumores
Nervo trigêmeo (V par)
V – NERVO TRIGÊMEO 
•Misto 
•Raiz sensitiva => gânglio de Gasser (trigeminal, semilunar) => cavo trigeminal - (parte petrosa do temporal) 
•3 ramos (n. oftálmico, maxilar, mandibular) 
•Sensibilidade da cabeça 
•Impulsos exteroceptivos e propioceptivos
V – NERVO TRIGÊMEO 
•Impulsos exteroceptivos (temperatura, dor, pressão, tato) 
Da pele da face e fronte 
Da conjuntiva ocular 
Mucosa da cavidade bucal, nariz e seios paranasais 
Dos dentes 
Dos 2/3 anteriores da língua 
Da maior parte da dura máter
V – NERVO TRIGÊMEO 
•Impulsos proprioceptivos originam-se em: 
Músculos mastigadores 
Articulação temporo-mandibular
V – NERVO TRIGÊMEO 
•Raiz motora => 
fibras que acompanham nervo mandibular, 
músculos mastigadores (temporal, masséter, pterigóideo lateral e medial, milo-hiódeio, ventre anterior do músculo digástrico),
Avaliação do V Par - Trigêmeo 
• Sensibilidade 
• Reflexos 
• Mastigação
Reflexo Córneo - Palpebral 
Aferência V par 
Centro Reflexógeno Ponte 
Eferência VII par
Reflexo córneo-palpebral 
Estimulação 
na córnea E 
A estimulação mecânica da córnea (trigêmeo) causa o fechamento bilateral dos olhos (facial) e o lacrimejamento. O fechamento palpebral ocorre por causa da estimulação bilateral do núcleo facial e a secreção lacrimal pela estimulação do núcleo lacrimal (cujo nervo eferente emerge com o VII par) 
Função: proteção contra corpos estranhos.
Reflexo Mandibular 
•MASSETÉRICO 
Aferência V 
Centro Reflexógeno Ponte 
Eferência V 
ELA = Abolido 
Lesões piramidais = VIVOS
Reflexo Mandibular 
•Fechamento da boca ao se percutir o mento com martelo, 
•Importante durante o ato da mastigação e para que a boca se mantenha fechada.
Reflexo mentoneano (miotático). 
Os fusos musculares são estirados (trigêmeo sensorial) e o masseter contrai reflexamente (trigêmeo motor). Observe que o corpo celular do neurônio aferente está dentro do próprio núcleo. 
Função: a gravidade estira o músculo mas graças a esse reflexo, mantemos a boca fechada.
Quadro Clínico – lesão V par 
 Anestesia homolateral, 
 Paralisia musculatura da mastigação homolateral, 
 Desvio da mandíbula para o lado da lesão devido à ação do músculo pterigoideo lateral, 
 Ausência dos reflexos córneo-palpebral e mandibular.
Lesões do Trigêmeo 
Trauma facial (fratura), TCE. 
Meningite, 
Herpes Zoster, 
Neurinoma acústico. 
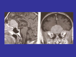
Tumores: tronco encefálico 
Periféricas 
Centrais
Herpes zoster 
Ramo oftálmico
Anatomy of Trigeminal Nerve
Vascular compression of V nerve
Vascular irritation of V Nerve
Mandibular Nerve Block
Percutaneous Radiofrequency Rhizotomy
Percutaneous Glycerol Rhizotomy
Microvascular Decompression of V nerve
Microvascular Decompression of V nerve
Microvascular Decompression of V Nerve
Balloon Compression of Trigeminal Ganglion
Nervo facial (VII par)
VII – NERVO FACIAL 
•N. Intermédio (de Wrisberg) inervação das glândulas lacrimal, submandibular, sublingual e gustação dos 2/3 anteriores da língua 
•N. Facial (propriamente dito) motricidade dos músculos da expressão facial, m. estilohioideo, ventre posterior do digástrico, platisma e músculo estapédico do ouvido médio
Lesões 
SUPRANUCLEAR 
NEURÔNIO MOTOR 
INFERIOR 
Paralisia facial central 
Paralisia facial periférica 
Nuclear 
Infranuclear
Lesão Periférica: Quadro Clínico 
ALTERAÇÕES HOMOLATERAIS 
 Apagamentos das pregas frontais, 
 Lagoftalmia, 
 Apagamento do sulco nasogeniano, 
 Desvio da comissura labial contra lateral à lesão.
Fibras homo e heterolaterais para metade superior da face
Lesão Central: Quadro Clínico 
• Desvio da comissura labial para o 
lado da lesão, 
• Distúrbio articulatório. 
PARALISIA CONTRA 
LATERAL À LESÃO 
Desvio da comissura 
labial para a lesão
•Alterações motoras 
–Paralisia Facial Periférica 
•Lesão infranuclear 
•Homolateral à lesão 
•Desaparecimento do enrugamento da testa 
•Não fechamento dos olhos (lagoftalmia) 
•Desvio da comissura labial para o lado são 
•Paralisia de Bell 
–Paralisia Facial Central 
•Lesão supranuclear 
•Acomete metade inferior da face contralateral 
•Desaparecimento do sulco naso-labial no lado paralisado 
•Desvio da rima labial para o lado são 
•AVC 
Nervo Facial -VII
VII PAR: Lesão 
CENTRAL 
AVC 
PERIFÉRICA 
VIRAL – Herpes 
S. de Guillain-Barrè
PARALISIA FACIAL CENTRAL 
PARALISIA FACIAL PERIFÉRICA
Lesões Unilaterais 
Lesão do núcleo do facial 
Síndrome de Millard Gublerd 
Síndrome da emergência do trigêmio
Hemiparesia contralateral 
Paralisia homolateral do VI 
VII 
Síndrome de Millard Gublerd 
Tumores
VESTÍBULO-COCLEAR (VIII)
Nervo vestíbulo-coclear (VIII par) 
•O uso do diapasão permite a comparação entre condução aérea (próximo ao conduto auditivo) e condução óssea (diapasão colocado sobre a mastóide ou sobre o vértice do crânio).
Teste de Weber
Teste de Weber 
•Diapasão em vibração é colocado na linha média do vértice craniano, 
•Pode ser colocado em qualquer ponto da linha média (corpo do nariz, fronte ou maxilar, 
•Som ouvido igualmente em ambos os ouvidos.
Teste de Rinne
Teste de Rinne 
•Compara condução aérea (CA) com óssea (CO), 
•Colocar diapasão sobre a mastóide, quando não for mais ouvido coloca-se o diapasão junto ao ouvido, 
•Teste positivo: CA é melhor que CO
Nervo glossofaríngeo (IX par)
IX – N. GLOSSOFARÍNGEO 
•Ramificacões na raiz da língua e faringe: 
Sensibilidade geral do 1/3 posterior da língua 
Faringe 
Úvula 
Tonsila 
Tuba auditiva 
Seio e corpo carotídeo
IX – N. GLOSSOFARÍNGEO 
•Gânglio ótico (saem fibras nervosas do nervo aurículo-temporal que inervam a parótida)
F. Motora m. constrictor superior da faringe 
m. estilo faringeo 
* F. Sensorial sensibilidade gustativa 1/3 posterior da língua 
F. Sensitiva sensibilidade geral post. do véu do pálato e faringe 
F. Parassimpática glândula parótida 
IX
Normal 
Paralisia unilateral 
Paralisia bilateral
X - VAGO
F. Motora músculos pálato mole, faringe, laringe 
Fibras Sensitivo Sensoriais s. geral cutânea retro 
auricular , conduto auditivo ext. , mucosa , laringe , 
faringe. 
s. gustativa epiglote 
Fibras Vegetativa Parassimpática 
Árvore traqueobronquica + miocárdio + T. digestivo 
X 
N. Ambíguo 
BULBO 
IX – X - XI 
T. C. N. Bilateral
Ramo Laringeo 
• Pertence ao Nervo Vago 
• Inervação dos músculos intrínsecos 
da LARINGE
Fala Deglutição 
Dependem das mesmas estruturas e inervação
V: trigêmeo 
VII: facial 
IX: glossofaríngeo 
X: vago 
XII: hipoglosso 
O início da deglutição (na cavidade oral) está sob controle voluntário, mas os fenômenos motores da faringe e do esôfago são involuntários ou reflexos. 
Isto significa que, uma vez transmitidos os sinais ao SNC, as fases faríngea e esofágica são deflagradas reflexamente.
Principais eventos que participam do reflexo da deglutição 
A) Fase oral ou voluntária: a língua separa parte do bolo alimentar (BA) e o comprime contra o palato duro, para cima e para trás da boca, forçando o BA contra a farínge, onde estímulos tácteis iniciam o reflexo da deglutição. 
B) Fase faríngea: fechamento das cordas vocais, da epiglote, levantamento da farínge e abertura do esfíncter esofágico superior (B e C). Logo após a passagem do BA, abrem-se as cordas vocais, a epiglote relaxa e o EES se fecha. 
C e D) Fase esofágica: podemos comsiderar a motilidade esofágica como sendo a continuação da deglutição: uma onda peristáltica começa logo abaixo do EES que desloca-se até o esfíncter esofágico inferior (EEI), relaxando-o e permitindo a entrada do BA no estômago (relaxamento receptivo). 
http://www.icb.ufmg.br/fib/gradua/digestivo/index.htm 
extraído de: Vander, Sherman & Luciano, 2002 – WEBsite original: http://www.biocourse.com/mhhe/bcc/domains/quad/topic.xsp?id=000270
Deglutição 
1ª fase 
Voluntária 
Involuntárias 
Múculos da face: VII 
Mastigação: V 
Língua motricidade: XII 
Sensibilidade 1/3 post.: IX 
2/3 ant.: VII 
Pálato: IX - X 
Faringe: IX - X 
ESÔFAGO
Contração da musculatura 
extrínseca faríngea 
Elevação 
Da 
Faringe 
Epiglote fecha 
Laringe 
Esôfago 
Alimento 
Início do ProcessoAutomático
m.estilofaringeo 
Elevação da faringe 
DEGLUTIÇÃO 
Conexões com X 
Vago 
Deglutição 
Vômito 
Tosse
Reflexo Faríngeo 
Vômito 
Reflexo Palatino 
(nauseoso) 
Elevação do palato mole e retração da úvula 
Via aferente: IX 
Via eferente: X
“Centro” da salivação 
“Centro” da deglutição 
“Centro” da mastigação 
Tronco encefálico 
“Centros” superiores 
mastigação 
estímulos mastigatórios 
estímulos gustativos 
N. V 
N. V 
N. V 
N. VII, IX, X 
glândulas submandibulares e sublinguais 
glândulas parótidas 
N. VII 
N. IX 
gânglio cervical superior 
segmento superior torácico da medula espinhal 
ramos parassimpáticos 
ramos simpáticos 
deglutição 
estímulos para deglutição 
I-OLFATÓRIO 
II-ÓPTICO 
III-OCULOMOTOR 
IV-TROCLEAR 
V-TRIGÊMEO 
VI-ABDUCENTE 
VII-FACIAL 
VIII-VESTÍBULO- 
COCLEAR 
IX-GLOSSOFARÍNGEO 
X-VAGO 
XI-ACESSÓRIO 
XII-HIPOGLOSSO 
Pedersen,et al., 2002. 
Assim como a Mastigação, a Deglutição e a Salivação também são determinadas e organizadas pelo SNC. 
REGULAÇÃO DA MASTIGAÇÃO
Lesão Unilateral 
IX - X 
Desvio do Véu do Pálato 
Estático = desvio para lesão 
Dinâmico = desvio para são 
Lesão Bilateral 
IX - X 
DISFAGIA (+ líquidos) 
Regurgitação 
Lesão X - XI 
Laringeo 
DISFONIA
•Testes 
–Motor-mobilidade do palato 
–Sensibilidade : (pp. vago) reflexo do vômito e sensibilidade faringe. 
•Anormalidades 
–Lesão motora IX e X : desvio do palato e da úvula- desvio p/ lado lesado 
* paciente fala “A”: desvio para o lado são 
Nervos Glossofaríngeo -IX e Vago -X
Nervo acessório (XI par)
XI – NERVO ACESSÓRIO 
•Formado por uma raiz craniana (bulbar) e raiz espinhal (filamentos radiculares – emergem da face lateral dos 5 ou 6 primeiros segmentos cervicais da medula que penetra no crânio pelo forame magno) 
•Craniana+espinhal forame da jugular ( junto com vago e glossofaríngeo)
XI – NERVO ACESSÓRIO 
•Fibras oriundas da raiz craniana que se unem ao vago: 
Fibras eferentes viscerais especiais – inervam músculos da laringe laríngeo- recorrente 
Fibras eferentes viscerais gerais inervam vísceras torácicas juntamente com fibras vagais
Nervo hipoglosso (XII par)
Paralisia unilateral 
Paralisia bilateral
Inervação da Língua 
1.TRIGÊMEO  sensibilidade geral (temp., dor, pressão e tato) – 2/3 anteriores 
2.FACIAL sensibilidade gustativa 2/3 anteriores 
3.GLOSSOFARÍNGEO  sensibilidade geral e gustativa no 1/3 posterior 
4.HIPOGLOSSO  motricidade

Pares cranianos

  • 1.
  • 2.
    Pares Cranianos I- Olfatório II - Óptico III - Oculomotor IV- Troclear V- Trigêmeo VI - Abducente VII - Facial VIII - Vestíbulo coclear IX - Glossofaríngeo X - Vago XI - Acessório XII - Hipoglosso
  • 4.
    III, IV eVI V motor IX XI e XII VII III, IV e VI: movimentos oculares V: mastigação VII: expressão facial IX: músculos da laringe e faringe X: músculos da faringe XI: músculos do pescoço XII: movimentos da língua Núcleos motores do parassimpático NÚCLEOS MOTORES DO TRONCO ENCEFÁLICO
  • 5.
    Independentes Não formamplexos ORIGEM Núcleos motores e vegetativos TÉRMINO Núcleos sensitivos e sensoriais
  • 6.
    I- PAR II-PAR PROLONGAMENTOS DO CÉREBRO ANTERIOR III-PAR XII-PAR ORIGEM VENTRAL DO TRONCO ENCEFÁLICO EXCETO IV - DORSAL
  • 7.
  • 10.
    EXPLORAÇÃO (aspiração =>cada narina em separado) •Teste •Benzina •Extrato de limão •Hortelã •Pó de café •Cânfora •Álcool •Evitar •Amoníaco •Ácido clorídrico •Ácido acético
  • 11.
    Alterações •HIPOSMIA=> reduçãodo olfato •ANOSMIA=> completa abolição •PAROSMIA=> perversão do olfato •CACOSMIA=> odor de panos queimados ou excremento, presente nas crises epilépticas uncinadas.
  • 12.
    •Alterações –Anosmia •perdatotal do olfato •geralmente bilateral •rinites, resfriados •traumas, tumores Nervo Olfatório - I
  • 14.
  • 15.
    II- Via Visual Receptores Visuais Retina Recepção Percepção área primária = recepção área associação = percepção Córtex occipital
  • 16.
    N. ÓPTICO Q.O. RADIAÇÃO ÓPTICA TRATO ÓPTICO LOBO OCCIPTAL Área primária Área secundária Área terciária
  • 19.
    ACUIDADE VISUAL •Medidado poder de resolução do sistema visual •identificação de detalhes •individualização de objetos
  • 20.
    •Medida da acuidadevisual => grosseiramente pede-se para ler tipos pequenos de um jornal. •AMBLIOPIA=> diminuição da acuidade •AMAUROSE=> abolição da acuidade
  • 23.
    Acuidade visual •Mapade Snellen, •Colocado a 20 pés, (cerca de 6 metros) do paciente, •Cada olho é examinado separadamente, •Resultados expressos em frações (20/40 ou 20/100) •Visão 20/40 paciente vê a 20 pés o que um indivíduo normal vê a 40.
  • 24.
    Acuidade visual •Se você possui visão 20/20, isso significa que quando fica a 6 metros do quadro, é capaz de enxergar o que um ser humano normal enxergaria. • No sistema americano, o padrão é 20 pés (6 metros). •É por isso que eles chamam de visão 20/20. Ou seja, se você tem uma visão 20/20, sua visão é normal, o que significa que a maioria da população pode enxergar o mesmo que você a 6 metros de distância.
  • 25.
    •Se você possuiuma visão 20/40, isso significa que quando fica a 6 metros do quadro, é capaz de enxergar o que um ser humano normal veria se estivesse a 12 metros. Ou seja, se uma pessoa normal estiver a 12 metros de distância do quadro e você estiver a apenas 6 metros, você e ela veriam os mesmos detalhes. 20/100 significa que quando você está a 6 metros, consegue ver o que uma pessoa veria se estivesse a 30 metros de distância.
  • 26.
    Acuidade visual •Boaou normal: de 20/20 a 20/40 em pelo menos um dos olhos - "olho de menor visão,“ •Moderada: de 20/50 a 20/70, •Grave: de 20/80 a 20/200, •Cegueira: menor que 20/200
  • 27.
    • Visão paraperto cartão de Jaeger, • Distância de 36cm do olho
  • 29.
    CAMPO VISUAL •espaçodentro do qual um objeto pode ser visto enquanto o olho é fixado em determinado ponto, avaliado pelo método de confrontação.
  • 30.
  • 33.
    CAMPO VISUAL •Cadaum dos olhos vê cerca de 150º de campo. • Com os dois olhos abertos o campo visual é de 180º. •A área de sobreposição de campo dos dois olhos é de 120º que correspondem à zona mais central. Isto implica que 30º do campo só é visto por um olho individualmente. • Essas áreas correspondem ao extremo direito e extremo esquerdo, vistos respectivamente pelo olho direito e olho esquerdo.
  • 35.
    CAMPO VISUAL -Anormalidades •Escotomas, •Hemianopsias, •Defeitos da altitude e constrição ou contração concêntrica dos campos
  • 36.
    CAMPO VISUAL -Anormalidades Escotoma (do grego “escuridão”)=> área de visão comprometida no campo, com visão circundante normal. ESCOTOMA FISIOLÓGICO=> falha no campo visual que corresponde à projeção no espaço da papila óptica (cabeça do n. óptico que não contém cones ou bastonetes).
  • 37.
    •Como a luznão pode ser detectada em zonas da retina que não tenham foto- receptores, a zona correspondente ao nervo óptico aparece como escotoma absoluto (sensibilidade zero), chamada escotoma fisiológico ou “ponto cego” fisiológico. Esta zona aparece 10º a 15º do ponto de fixação.
  • 39.
    II - NERVOÓPTICO •Ao nível do quiasma as fibras provenientes das metades nasais da retina se cruzam, •Cada trato óptico contém as fibras da metade homônima das duas retinas.
  • 41.
    •Hemianopsia homônima=>falha nocampo temporal de um lado e nasal contralateral, •Hemianopsia heterônima=>quando o defeito compromete ambos campos temporais ou nasais.
  • 42.
    Lesões quiasmáticas (tumoresde hipófise)=> hemianopsias bitemporais (comprometimento das fibras nasais de cada retina)
  • 44.
    EXAME OFTALMOSCÓPICO •Corda papila=> rosa pálido •Bordas do disco papilar=> nítidas •Vasos (artérias e veias)=> emergem do centro da papila e irrigam toda a retina •Edema de papila (papiledema)=>resultante do aumento da pressão intracraniana, as bordas ficam borradas, veias ingurgitadas.
  • 45.
  • 46.
  • 47.
    Fundo de OlhoNormal 1.Coloração – varia de cor entre o laranja e o vermelho. Nos melanodermos é mais escurecido. 2.Disco óptico ou papila óptica – representa o inicio do nervo óptico, local por onde passam as fibras retinianas que irão formar o nervo. Em condições normais, no vivo, a papila é escavada e tem diâmetro aproximado de 1,5 mm e a forma arredondada ou oval com a coloração rósea, bordas nítidas.
  • 48.
    Fundo de OlhoNormal 3.Mácula – Localização temporal à papila, é uma área avascular, depressão oval, brilhante. É a área de maior sensibilidade para acuidade visual. O centro da mácula é chamado de fóvea. A mácula é limitada, envolvida por capilares da retina.
  • 50.
  • 51.
  • 54.
    –I e IIpares –tumores face inferior do lobo frontal –atrofia óptica no lado do tumor (compressão direta) –edema de papila do lado oposto (HIC) –anosmia Síndrome de Foster Kennedy
  • 55.
  • 56.
    Motricidade ocular •Fissuraorbital superior (fenda esfenoidal) •III => m. reto superior m. reto inferior m. reto medial m. oblíquo inferior m. elevador da pálpebra •IV => m. oblíquo superior •VI => m. reto lateral INERVA
  • 63.
    •TESTES –Mobilidade –Reflexofotomotor direto –Reflexo fotomotor consensual –Reflexo de acomodação •Via aferente- II •Via eferente- III Nervos: Oculomotor, Troclear e Abducente
  • 64.
  • 65.
    •Anormalidades –III par(ruptura de aneurisma de art. com. post.) •ptose palpebral, •midríase arreflexa •estrabismo divergente –VI par (HIC) •estrabismo convergente Nervos: Oculomotor, Troclear e Abducente
  • 69.
    Análise da Pupila Tamanho – Forma – Simetria Reflexos Pupilares
  • 70.
    Avaliação da Pupila •Função da pupila=> controlar a quantidade de luz que entra no olho assegurando visão ótima para as condições de iluminação.
  • 71.
    Avaliação da Pupila Tamanho Formato Simetria Normal = 3 a 5 mm Anisocoria
  • 72.
  • 73.
    Midríase A funçãoda midríase é a de aumentar a entrada de luz quando há pouca luminosidade no ambiente. A dilatação é causada pelos neurônios simpáticos da medula torácica que através do trato teto- espinhal obtém informações acerca da redução de luminosidade.
  • 74.
  • 75.
    MOTRICIDADE INTRÍNSECA GLOBOOCULAR M. Esfincter da Pupila M. Ciliar MIOSE MIDRÍASE 5 mm 3 mm
  • 76.
    •A quantidade deluz que entra no olho é regulada pelo diâmetro da pupila, •A iluminação da retina provoca a constricção da pupila pela contração do músculo esfincter pupilar da íris, •As fibras circulares (esfincter da íris), que contraem a pupila são inervadas pelo parassimpático anexado ao III par, •As fibras radiadas com função dilatadora dependem do simpático cervical.
  • 79.
    Reflexo fotomotor •Viasaferentes=> fibras de origem retiniana que terminam na área pré-tectal, •Desta região partem fibras que terminam nos núcleos do III nervo homo e heterolateral que comandam a contração do esfincter externo da íris, •As impressões luminosas percebidas por um olho afetam não somente a pupila deste olho (reflexo fotomotor direto) mas também a pupila contralateral (reflexo consensual).
  • 80.
    Reflexo fotomotor •Luzincide sobre o olho, •Da retina parte um estímulo pelo nervo óptico, passa pelo quiasma e trato óptico em direção ao corpo geniculado lateral pelo braço do colículo superior à área pré-tectal; •Via eferente=>se origina da conexão no núcleo de Edinger-Westphal, que envia fibras pelo III par, após sinapse no gânglio ciliar, provoca a contração do músculo esfincter da íris causando miose.
  • 81.
    •Via aferente=> nervoóptico •Via eferente=> parassimpático-nervo oculomotor •Estímulo luminoso em um olho desencadeia pupiloconstricção ipsi e contralateral (reflexo consensual). •Resposta consensual=> via aferente cruza parcialmente no quiasma óptico e há interconexão dos centros reflexos D e E no mesencéfalo.
  • 82.
    Reflexo Fotomotor VIAAFERENTE N. ÓPTICO VIA EFERENTE III-PAR PARASSIMPÁTICO MESENCÉFALO – N. Edinger-Westphal – III - Miose Luz
  • 83.
    R. Fotomotor R.Consensual R. da Acomodação Luz direta II - III Percepção da luz no olho oposto II - III Convergência para focalizar objeto próximo
  • 86.
    Reflexo fotomotor direto Reflexo fotomotor consensual Função: regular a intensidade de luz que entra pela pupila. O aumento de luz causa miose não só no olho estimulado como no não estimulado. luz
  • 87.
  • 88.
    Acomodação Visual Tálamo MESENCÉFALO Objetos próximos Função: manter constantemente a focalização do objeto sobre a retina. A aproximação ou afastamento dos objetos altera a convexidade do cristalino, através do controle do músculo ciliar.
  • 89.
  • 90.
  • 93.
    LESÃO EXTRA ENCEFÁLICAIII PAR MOC LESÕES COMPLETAS PTOSE ( MEP ) ESTRABISMO DIVERGENTE MIDRÍASE Mov. Vertical ausente SEM DIPLOPIA POIS OLHO ESTÁ OCLUÍDO
  • 94.
    Síndrome de ClaudeBernard Horner Ptose Miose Bloqueio complicado do n. intercostal por pneumotórax Via oculossimpática
  • 96.
    Claude Bernard- Horner=>semi-ptose, miose
  • 97.
  • 98.
    Reflexo de acomodação •O reflexo de acomodação e convergência é obtido quando o paciente fixa o olhar em um objeto próximo, apresentando contração pupilar, convergência dos olhos e acomodação.
  • 99.
    Argyll-Robertson •Sinal deArgyll-Robertson=> miose bilateral, abolição do reflexo fotomotor e consensual com conservação do reflexo de acomodação e convergência (tabes dorsalis).
  • 100.
    •Anormalidades Pupilares –Sinalde Argyll-Robertson: miose bilateral com perda dos reflexos fotomotor e consensual + acomodação preservada (lesão mesencefálica) –Sinal de Claude-Bernarde-Horner: miose, enoftalmia , ptose palpebral e anidrose da 1/2 correspondente da face (lesão do gânglio simpático cervical). Nervos: Oculomotor, Troclear e Abducente
  • 101.
  • 102.
    Paralisia VI Limitaçãoda abdução Diplopia Estrabismo convergente Hipertensão IC Tumores
  • 103.
  • 104.
    V – NERVOTRIGÊMEO •Misto •Raiz sensitiva => gânglio de Gasser (trigeminal, semilunar) => cavo trigeminal - (parte petrosa do temporal) •3 ramos (n. oftálmico, maxilar, mandibular) •Sensibilidade da cabeça •Impulsos exteroceptivos e propioceptivos
  • 105.
    V – NERVOTRIGÊMEO •Impulsos exteroceptivos (temperatura, dor, pressão, tato) Da pele da face e fronte Da conjuntiva ocular Mucosa da cavidade bucal, nariz e seios paranasais Dos dentes Dos 2/3 anteriores da língua Da maior parte da dura máter
  • 106.
    V – NERVOTRIGÊMEO •Impulsos proprioceptivos originam-se em: Músculos mastigadores Articulação temporo-mandibular
  • 107.
    V – NERVOTRIGÊMEO •Raiz motora => fibras que acompanham nervo mandibular, músculos mastigadores (temporal, masséter, pterigóideo lateral e medial, milo-hiódeio, ventre anterior do músculo digástrico),
  • 109.
    Avaliação do VPar - Trigêmeo • Sensibilidade • Reflexos • Mastigação
  • 112.
    Reflexo Córneo -Palpebral Aferência V par Centro Reflexógeno Ponte Eferência VII par
  • 114.
    Reflexo córneo-palpebral Estimulação na córnea E A estimulação mecânica da córnea (trigêmeo) causa o fechamento bilateral dos olhos (facial) e o lacrimejamento. O fechamento palpebral ocorre por causa da estimulação bilateral do núcleo facial e a secreção lacrimal pela estimulação do núcleo lacrimal (cujo nervo eferente emerge com o VII par) Função: proteção contra corpos estranhos.
  • 115.
    Reflexo Mandibular •MASSETÉRICO Aferência V Centro Reflexógeno Ponte Eferência V ELA = Abolido Lesões piramidais = VIVOS
  • 116.
    Reflexo Mandibular •Fechamentoda boca ao se percutir o mento com martelo, •Importante durante o ato da mastigação e para que a boca se mantenha fechada.
  • 117.
    Reflexo mentoneano (miotático). Os fusos musculares são estirados (trigêmeo sensorial) e o masseter contrai reflexamente (trigêmeo motor). Observe que o corpo celular do neurônio aferente está dentro do próprio núcleo. Função: a gravidade estira o músculo mas graças a esse reflexo, mantemos a boca fechada.
  • 118.
    Quadro Clínico –lesão V par  Anestesia homolateral,  Paralisia musculatura da mastigação homolateral,  Desvio da mandíbula para o lado da lesão devido à ação do músculo pterigoideo lateral,  Ausência dos reflexos córneo-palpebral e mandibular.
  • 120.
    Lesões do Trigêmeo Trauma facial (fratura), TCE. Meningite, Herpes Zoster, Neurinoma acústico. Tumores: tronco encefálico Periféricas Centrais
  • 121.
  • 124.
  • 125.
  • 126.
  • 127.
  • 128.
  • 129.
  • 130.
  • 131.
  • 132.
  • 133.
    Balloon Compression ofTrigeminal Ganglion
  • 134.
  • 135.
    VII – NERVOFACIAL •N. Intermédio (de Wrisberg) inervação das glândulas lacrimal, submandibular, sublingual e gustação dos 2/3 anteriores da língua •N. Facial (propriamente dito) motricidade dos músculos da expressão facial, m. estilohioideo, ventre posterior do digástrico, platisma e músculo estapédico do ouvido médio
  • 140.
    Lesões SUPRANUCLEAR NEURÔNIOMOTOR INFERIOR Paralisia facial central Paralisia facial periférica Nuclear Infranuclear
  • 141.
    Lesão Periférica: QuadroClínico ALTERAÇÕES HOMOLATERAIS  Apagamentos das pregas frontais,  Lagoftalmia,  Apagamento do sulco nasogeniano,  Desvio da comissura labial contra lateral à lesão.
  • 142.
    Fibras homo eheterolaterais para metade superior da face
  • 143.
    Lesão Central: QuadroClínico • Desvio da comissura labial para o lado da lesão, • Distúrbio articulatório. PARALISIA CONTRA LATERAL À LESÃO Desvio da comissura labial para a lesão
  • 144.
    •Alterações motoras –ParalisiaFacial Periférica •Lesão infranuclear •Homolateral à lesão •Desaparecimento do enrugamento da testa •Não fechamento dos olhos (lagoftalmia) •Desvio da comissura labial para o lado são •Paralisia de Bell –Paralisia Facial Central •Lesão supranuclear •Acomete metade inferior da face contralateral •Desaparecimento do sulco naso-labial no lado paralisado •Desvio da rima labial para o lado são •AVC Nervo Facial -VII
  • 145.
    VII PAR: Lesão CENTRAL AVC PERIFÉRICA VIRAL – Herpes S. de Guillain-Barrè
  • 146.
    PARALISIA FACIAL CENTRAL PARALISIA FACIAL PERIFÉRICA
  • 147.
    Lesões Unilaterais Lesãodo núcleo do facial Síndrome de Millard Gublerd Síndrome da emergência do trigêmio
  • 148.
    Hemiparesia contralateral Paralisiahomolateral do VI VII Síndrome de Millard Gublerd Tumores
  • 149.
  • 152.
    Nervo vestíbulo-coclear (VIIIpar) •O uso do diapasão permite a comparação entre condução aérea (próximo ao conduto auditivo) e condução óssea (diapasão colocado sobre a mastóide ou sobre o vértice do crânio).
  • 154.
  • 155.
    Teste de Weber •Diapasão em vibração é colocado na linha média do vértice craniano, •Pode ser colocado em qualquer ponto da linha média (corpo do nariz, fronte ou maxilar, •Som ouvido igualmente em ambos os ouvidos.
  • 156.
  • 157.
    Teste de Rinne •Compara condução aérea (CA) com óssea (CO), •Colocar diapasão sobre a mastóide, quando não for mais ouvido coloca-se o diapasão junto ao ouvido, •Teste positivo: CA é melhor que CO
  • 158.
  • 159.
    IX – N.GLOSSOFARÍNGEO •Ramificacões na raiz da língua e faringe: Sensibilidade geral do 1/3 posterior da língua Faringe Úvula Tonsila Tuba auditiva Seio e corpo carotídeo
  • 160.
    IX – N.GLOSSOFARÍNGEO •Gânglio ótico (saem fibras nervosas do nervo aurículo-temporal que inervam a parótida)
  • 161.
    F. Motora m.constrictor superior da faringe m. estilo faringeo * F. Sensorial sensibilidade gustativa 1/3 posterior da língua F. Sensitiva sensibilidade geral post. do véu do pálato e faringe F. Parassimpática glândula parótida IX
  • 165.
    Normal Paralisia unilateral Paralisia bilateral
  • 168.
  • 169.
    F. Motora músculospálato mole, faringe, laringe Fibras Sensitivo Sensoriais s. geral cutânea retro auricular , conduto auditivo ext. , mucosa , laringe , faringe. s. gustativa epiglote Fibras Vegetativa Parassimpática Árvore traqueobronquica + miocárdio + T. digestivo X N. Ambíguo BULBO IX – X - XI T. C. N. Bilateral
  • 170.
    Ramo Laringeo •Pertence ao Nervo Vago • Inervação dos músculos intrínsecos da LARINGE
  • 171.
    Fala Deglutição Dependemdas mesmas estruturas e inervação
  • 172.
    V: trigêmeo VII:facial IX: glossofaríngeo X: vago XII: hipoglosso O início da deglutição (na cavidade oral) está sob controle voluntário, mas os fenômenos motores da faringe e do esôfago são involuntários ou reflexos. Isto significa que, uma vez transmitidos os sinais ao SNC, as fases faríngea e esofágica são deflagradas reflexamente.
  • 177.
    Principais eventos queparticipam do reflexo da deglutição A) Fase oral ou voluntária: a língua separa parte do bolo alimentar (BA) e o comprime contra o palato duro, para cima e para trás da boca, forçando o BA contra a farínge, onde estímulos tácteis iniciam o reflexo da deglutição. B) Fase faríngea: fechamento das cordas vocais, da epiglote, levantamento da farínge e abertura do esfíncter esofágico superior (B e C). Logo após a passagem do BA, abrem-se as cordas vocais, a epiglote relaxa e o EES se fecha. C e D) Fase esofágica: podemos comsiderar a motilidade esofágica como sendo a continuação da deglutição: uma onda peristáltica começa logo abaixo do EES que desloca-se até o esfíncter esofágico inferior (EEI), relaxando-o e permitindo a entrada do BA no estômago (relaxamento receptivo). http://www.icb.ufmg.br/fib/gradua/digestivo/index.htm extraído de: Vander, Sherman & Luciano, 2002 – WEBsite original: http://www.biocourse.com/mhhe/bcc/domains/quad/topic.xsp?id=000270
  • 178.
    Deglutição 1ª fase Voluntária Involuntárias Múculos da face: VII Mastigação: V Língua motricidade: XII Sensibilidade 1/3 post.: IX 2/3 ant.: VII Pálato: IX - X Faringe: IX - X ESÔFAGO
  • 179.
    Contração da musculatura extrínseca faríngea Elevação Da Faringe Epiglote fecha Laringe Esôfago Alimento Início do ProcessoAutomático
  • 180.
    m.estilofaringeo Elevação dafaringe DEGLUTIÇÃO Conexões com X Vago Deglutição Vômito Tosse
  • 181.
    Reflexo Faríngeo Vômito Reflexo Palatino (nauseoso) Elevação do palato mole e retração da úvula Via aferente: IX Via eferente: X
  • 182.
    “Centro” da salivação “Centro” da deglutição “Centro” da mastigação Tronco encefálico “Centros” superiores mastigação estímulos mastigatórios estímulos gustativos N. V N. V N. V N. VII, IX, X glândulas submandibulares e sublinguais glândulas parótidas N. VII N. IX gânglio cervical superior segmento superior torácico da medula espinhal ramos parassimpáticos ramos simpáticos deglutição estímulos para deglutição I-OLFATÓRIO II-ÓPTICO III-OCULOMOTOR IV-TROCLEAR V-TRIGÊMEO VI-ABDUCENTE VII-FACIAL VIII-VESTÍBULO- COCLEAR IX-GLOSSOFARÍNGEO X-VAGO XI-ACESSÓRIO XII-HIPOGLOSSO Pedersen,et al., 2002. Assim como a Mastigação, a Deglutição e a Salivação também são determinadas e organizadas pelo SNC. REGULAÇÃO DA MASTIGAÇÃO
  • 183.
    Lesão Unilateral IX- X Desvio do Véu do Pálato Estático = desvio para lesão Dinâmico = desvio para são Lesão Bilateral IX - X DISFAGIA (+ líquidos) Regurgitação Lesão X - XI Laringeo DISFONIA
  • 185.
    •Testes –Motor-mobilidade dopalato –Sensibilidade : (pp. vago) reflexo do vômito e sensibilidade faringe. •Anormalidades –Lesão motora IX e X : desvio do palato e da úvula- desvio p/ lado lesado * paciente fala “A”: desvio para o lado são Nervos Glossofaríngeo -IX e Vago -X
  • 186.
  • 187.
    XI – NERVOACESSÓRIO •Formado por uma raiz craniana (bulbar) e raiz espinhal (filamentos radiculares – emergem da face lateral dos 5 ou 6 primeiros segmentos cervicais da medula que penetra no crânio pelo forame magno) •Craniana+espinhal forame da jugular ( junto com vago e glossofaríngeo)
  • 189.
    XI – NERVOACESSÓRIO •Fibras oriundas da raiz craniana que se unem ao vago: Fibras eferentes viscerais especiais – inervam músculos da laringe laríngeo- recorrente Fibras eferentes viscerais gerais inervam vísceras torácicas juntamente com fibras vagais
  • 196.
  • 201.
  • 205.
    Inervação da Língua 1.TRIGÊMEO  sensibilidade geral (temp., dor, pressão e tato) – 2/3 anteriores 2.FACIAL sensibilidade gustativa 2/3 anteriores 3.GLOSSOFARÍNGEO  sensibilidade geral e gustativa no 1/3 posterior 4.HIPOGLOSSO  motricidade