INTRODUÇÃO A DOR Dr. Rafael Higashi - médico neurologista - [email_address]   www.estimulacaoneurologica.com.br   “ Todo mundo é capaz de suportar uma dor,  com exceção de quem a sente."  William Shakespeare
“ Dor é uma expressão sensorial ou emocional desagradável que é associada ou descrita em termos de lesão tecidual ” “ Comitê de taxonomia da Associação Internacional para Estudo da Dor”
Componente típico do nervo cutâneo
Vias aferentes primárias
Sensibilização do receptor nociceptivo
Mecanismo segmentar de sensibilização e de supressão de dor
Sistema de transmissão de mensagem nociceptiva
Tratos de projeção rostral da sensibilidade dolorosa
Sistema supressor de dor
Interação entre as unidades nociceptivas e supressoras de dor
Características semiológicas da dor Localização  Irradiação Caráter ou qualidade  Intensidade  Duração  Evolução  Relação com as funções orgânicas Fatores desencadeantes ou agravantes  Fatores atenuantes  Manifestações concomitantes
 
Tipos de dor  ( Harrison`s 15th edition) Dor somática ( pele, articulações e músculos ). Dor visceral. Dor neuropática(injúria do nervo, trato medular e ou tálamo).
Dor somática Estímulo nociceptivo usualmente evidente. Usualmente bem localizado Similar a outras dores somáticas identificadas anteriormente pelo paciente Alivia com antiinflamatórios ou analgésicos narcóticos.  Ex: Síndrome Dolorosa Miofascial, Tendinites, Bursites, Traumas, Osteoartrose e etc.
Dor visceral Mais comumente ativado pela inflamação Pobre de localização e usualmente referida Associado com desconforto difuso, ex: náuseas , inchaços . Aliviado com analgésicos narcóticos  Ex:  infarto agudo do miocárdio, infarto mesentérico, úlcera gastroduodenal, apendicite aguda e etc.
Dor neuropática   Estímulo óbvio nociceptivo ausente  Associação evidente de lesão nervosa, ex: alteração da sensibilidade, fraqueza. Dor atípica, diferente da dor somática, comumente como facada ou qualidade elétrica.  Resposta somente parcial com analgésicos narcóticos, pode responder com antidepressivos e anticonvulsivantes. Causalgia e Distrofia Simpático Reflexo. EX: polineuropatias dolorosas, neuralgia herpética, neuralgia do trigêmio e etc.
Doenças do nervo periférico :   Plexopatia braquial (a)Atrofia global do braço esquerdo  em uma plexopatia braquial pós traumática associado com (b) síndrome de Horner
Amiotrofia neurálgica   Aspecto em asa da escápula direita devido à amiotrofia neurálgica do plexo braquial causando fraqueza do serrátil anterior(inervado pelo nervo torácico longo)
Polineuropatias dolorosas Distribuição em bota e luva simétrico. Causas: metábolicas, nutricionais, tóxicas, drogas, isquêmicas, hereditária, infecciosa e outras. Relacionado inicialmente com as fibras finas e padrão axonal na ENMG.
Deformidade na articulação do calcanhar (Charcot) em um paciente com polineuropatia simétrica distal sensitiva devido à Diabetes Melitus.
Polineuropatia Etílico-carencial
Síndrome de Guillain-Barré
Deficiência de vitamina B12
Mononeuropatia Múltipla da Hanseníase
Mononeuropatias :  Neuropatia do nervo mediano Área da pele inervada pelo nervo mediano
Perda da eminência tenar em mão esquerda devido a fraqueza e amiotrofia do músculo abdutor curto do polegar como resultado da neuropatia mediana a nível do punho esquerdo devido à compressão à nível do túnel do carpo(síndrome do túnel do carpo).
(a) Atrofia da eminência tenar com (b) incapacidade de oposição do polegar
Neuropatia do nervo ulnar
Neuropatia do nervo radial Cicatriz de lesão em braço indicando lesão do nervo radial  Mão e dedos caídos devido a fraqueza do m. extensores do punho e articulação metacarpofalangiana devido a lesão do nervo radial no braço.
Neuropatia do nervo cutâneo lateral da coxa Plexo lombosacral  Área cutânea inervada pelo nervo cutâneo lateral da coxa
Neuropatia do nervo ciático Diagrama do nervo glúteo,ciático,tibial e peroneal comum. Área da cutâneo inervado pelo nervo ciático (peroneal comum e tibial).
Neuropatia do nervo tibial Metarsalgia compressiva no local de Morton’s . Área cutânea inervada pelo nervo tibial
Neuropatia do nervo peroneal Área cutânea inervada pelo nervo peroneal comum  Área cutânea inervada pelo nervo peroneal profundo
Lesão do nervo fibular comum por PAF   A criança de 8 anos chorava à noite por dor tipo lancinante na face lateral da perna e dorso do pé .
Paciente com herpes zoster na região enervada pelo nervo trigêmio (primeiro ramo, zoster oftalmológico). Acentuado edema palpebral, olho contralateral também foi afetado secundariamente.
Radiculopatias Ilustração mostrando prolapso de disco lombar a nível de L4-L5 deslizamento anterior ( raízes de L5, S1, S2) e lateral (raiz de L5 e S1) respectivamente
Distribuição do dermátomo
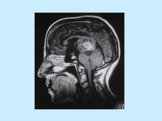
Dor neuropática central Incidência de 8% nos AVC. Ocorre mais freqüente nos infartos talâmicos .
Ocorre dor neuropática central em 75% dos pacientes com Seringomielia.
Ocorre dor neuropática central em 28% dos pacientes com Esclerose Múltipla
Dor no membro fantasma : é percebida em regiões amputadas do corpo. A maioria dos pacientes que sofrem de amputação relatam a sensação de que o membro amputado ainda esta presente no corpo embora encurtado e adotando atitudes bizarras.Essa imagem progressivamente aproxima-se do corpo e desaparece comumente após 1 ano.
Dor visceral A projeção da dor cardíaca ( angina do peito e infarto do miocárdio) é um exemplo de dor referida. O território aonde a dor se irradia corresponde aos metâmeros C8 e T1.
Mecanismo de dor referida
 
Cefaléias : Cefaléias primárias  (Sociedade Internacional de Cefaléia 1988 ):   Migrânea ou enxaqueca Cefaléia do tipo tensional  Cefaléia em salvas e hemicrania paroxística Crônica. Cefaléia não associada à lesão estrutural intracraniana ( ex: idiopática em facadas , por compreensão externa, estímulo à frio, tosse, exercício, à atividade sexual.
Migranêa oftalmoplégica  :
Figura de homem em crise de cefaléia em Salvas .
Sinais de alarme na avaliação das cefaléias  Início após os 50 anos  Cefaléia de início súbito Características progressivas Cefaléia de início recente em pacientes com neoplasia ou HIV Cefaléia com doença sistêmica( febre, rigidez de nuca, rash ) Com sinais neurológicos focais Associado a edema de papila
Cefaléias secundárias  : Cefaléia associado a trauma craniano Cefaléia associado a distúrbios vasculares Cefaléia associado a distúrbio intracraniano não vascular( ex: neoplasia intracraniana, cefaléia pós-punção lombar, infecção intracraniana, hidrocefalia  Cefaléia associada ao uso de substância( ex: nitrato, álcool(ressaca), glutamato monossódico  Cefaléia associado a distúrbio metabólico
 
Figura de trigger na Neuralgia do Trigêmio
 
Definir os principais componentes da Síndrome  Dolorosa Miofascial Tender spots  Trigger points  Taut bands  D)  Muscle spasm
 
Fibromialgia
 
Distúrbio Somatoforme Pacientes com múltiplas reclamações , a qual não podem ser explicadas por conhecimento médico , efeito do álcool , drogas ou medicamentos. Prevalência de 5% na prática médica.  Critério diagnóstico :  1) 4 sintomas dolorosos;  2) 2 sintomas gastrintestinais;  3) 1 sintoma sexual;  4) 1 sintoma pseudoneurológico
Obrigado ! Dr. Rafael Higashi Médico neurologista Instituto de Neurologia Deolindo Couto da UFRJ. Hospital da Santa Casa do RJ 9 o  enfermaria de Clínica Médica. [email_address]

Introdução a dor

  • 1.
    INTRODUÇÃO A DORDr. Rafael Higashi - médico neurologista - [email_address] www.estimulacaoneurologica.com.br “ Todo mundo é capaz de suportar uma dor, com exceção de quem a sente." William Shakespeare
  • 2.
    “ Dor éuma expressão sensorial ou emocional desagradável que é associada ou descrita em termos de lesão tecidual ” “ Comitê de taxonomia da Associação Internacional para Estudo da Dor”
  • 3.
    Componente típico donervo cutâneo
  • 4.
  • 5.
  • 6.
    Mecanismo segmentar desensibilização e de supressão de dor
  • 7.
    Sistema de transmissãode mensagem nociceptiva
  • 8.
    Tratos de projeçãorostral da sensibilidade dolorosa
  • 9.
  • 10.
    Interação entre asunidades nociceptivas e supressoras de dor
  • 11.
    Características semiológicas dador Localização Irradiação Caráter ou qualidade Intensidade Duração Evolução Relação com as funções orgânicas Fatores desencadeantes ou agravantes Fatores atenuantes Manifestações concomitantes
  • 12.
  • 13.
    Tipos de dor ( Harrison`s 15th edition) Dor somática ( pele, articulações e músculos ). Dor visceral. Dor neuropática(injúria do nervo, trato medular e ou tálamo).
  • 14.
    Dor somática Estímulonociceptivo usualmente evidente. Usualmente bem localizado Similar a outras dores somáticas identificadas anteriormente pelo paciente Alivia com antiinflamatórios ou analgésicos narcóticos. Ex: Síndrome Dolorosa Miofascial, Tendinites, Bursites, Traumas, Osteoartrose e etc.
  • 15.
    Dor visceral Maiscomumente ativado pela inflamação Pobre de localização e usualmente referida Associado com desconforto difuso, ex: náuseas , inchaços . Aliviado com analgésicos narcóticos Ex: infarto agudo do miocárdio, infarto mesentérico, úlcera gastroduodenal, apendicite aguda e etc.
  • 16.
    Dor neuropática Estímulo óbvio nociceptivo ausente Associação evidente de lesão nervosa, ex: alteração da sensibilidade, fraqueza. Dor atípica, diferente da dor somática, comumente como facada ou qualidade elétrica. Resposta somente parcial com analgésicos narcóticos, pode responder com antidepressivos e anticonvulsivantes. Causalgia e Distrofia Simpático Reflexo. EX: polineuropatias dolorosas, neuralgia herpética, neuralgia do trigêmio e etc.
  • 17.
    Doenças do nervoperiférico : Plexopatia braquial (a)Atrofia global do braço esquerdo em uma plexopatia braquial pós traumática associado com (b) síndrome de Horner
  • 18.
    Amiotrofia neurálgica Aspecto em asa da escápula direita devido à amiotrofia neurálgica do plexo braquial causando fraqueza do serrátil anterior(inervado pelo nervo torácico longo)
  • 19.
    Polineuropatias dolorosas Distribuiçãoem bota e luva simétrico. Causas: metábolicas, nutricionais, tóxicas, drogas, isquêmicas, hereditária, infecciosa e outras. Relacionado inicialmente com as fibras finas e padrão axonal na ENMG.
  • 20.
    Deformidade na articulaçãodo calcanhar (Charcot) em um paciente com polineuropatia simétrica distal sensitiva devido à Diabetes Melitus.
  • 21.
  • 22.
  • 23.
  • 24.
  • 25.
    Mononeuropatias : Neuropatia do nervo mediano Área da pele inervada pelo nervo mediano
  • 26.
    Perda da eminênciatenar em mão esquerda devido a fraqueza e amiotrofia do músculo abdutor curto do polegar como resultado da neuropatia mediana a nível do punho esquerdo devido à compressão à nível do túnel do carpo(síndrome do túnel do carpo).
  • 27.
    (a) Atrofia daeminência tenar com (b) incapacidade de oposição do polegar
  • 28.
  • 29.
    Neuropatia do nervoradial Cicatriz de lesão em braço indicando lesão do nervo radial Mão e dedos caídos devido a fraqueza do m. extensores do punho e articulação metacarpofalangiana devido a lesão do nervo radial no braço.
  • 30.
    Neuropatia do nervocutâneo lateral da coxa Plexo lombosacral Área cutânea inervada pelo nervo cutâneo lateral da coxa
  • 31.
    Neuropatia do nervociático Diagrama do nervo glúteo,ciático,tibial e peroneal comum. Área da cutâneo inervado pelo nervo ciático (peroneal comum e tibial).
  • 32.
    Neuropatia do nervotibial Metarsalgia compressiva no local de Morton’s . Área cutânea inervada pelo nervo tibial
  • 33.
    Neuropatia do nervoperoneal Área cutânea inervada pelo nervo peroneal comum Área cutânea inervada pelo nervo peroneal profundo
  • 34.
    Lesão do nervofibular comum por PAF A criança de 8 anos chorava à noite por dor tipo lancinante na face lateral da perna e dorso do pé .
  • 35.
    Paciente com herpeszoster na região enervada pelo nervo trigêmio (primeiro ramo, zoster oftalmológico). Acentuado edema palpebral, olho contralateral também foi afetado secundariamente.
  • 36.
    Radiculopatias Ilustração mostrandoprolapso de disco lombar a nível de L4-L5 deslizamento anterior ( raízes de L5, S1, S2) e lateral (raiz de L5 e S1) respectivamente
  • 37.
  • 38.
    Dor neuropática centralIncidência de 8% nos AVC. Ocorre mais freqüente nos infartos talâmicos .
  • 39.
    Ocorre dor neuropáticacentral em 75% dos pacientes com Seringomielia.
  • 40.
    Ocorre dor neuropáticacentral em 28% dos pacientes com Esclerose Múltipla
  • 41.
    Dor no membrofantasma : é percebida em regiões amputadas do corpo. A maioria dos pacientes que sofrem de amputação relatam a sensação de que o membro amputado ainda esta presente no corpo embora encurtado e adotando atitudes bizarras.Essa imagem progressivamente aproxima-se do corpo e desaparece comumente após 1 ano.
  • 42.
    Dor visceral Aprojeção da dor cardíaca ( angina do peito e infarto do miocárdio) é um exemplo de dor referida. O território aonde a dor se irradia corresponde aos metâmeros C8 e T1.
  • 43.
  • 44.
  • 45.
    Cefaléias : Cefaléiasprimárias (Sociedade Internacional de Cefaléia 1988 ): Migrânea ou enxaqueca Cefaléia do tipo tensional Cefaléia em salvas e hemicrania paroxística Crônica. Cefaléia não associada à lesão estrutural intracraniana ( ex: idiopática em facadas , por compreensão externa, estímulo à frio, tosse, exercício, à atividade sexual.
  • 46.
  • 47.
    Figura de homemem crise de cefaléia em Salvas .
  • 48.
    Sinais de alarmena avaliação das cefaléias Início após os 50 anos Cefaléia de início súbito Características progressivas Cefaléia de início recente em pacientes com neoplasia ou HIV Cefaléia com doença sistêmica( febre, rigidez de nuca, rash ) Com sinais neurológicos focais Associado a edema de papila
  • 49.
    Cefaléias secundárias : Cefaléia associado a trauma craniano Cefaléia associado a distúrbios vasculares Cefaléia associado a distúrbio intracraniano não vascular( ex: neoplasia intracraniana, cefaléia pós-punção lombar, infecção intracraniana, hidrocefalia Cefaléia associada ao uso de substância( ex: nitrato, álcool(ressaca), glutamato monossódico Cefaléia associado a distúrbio metabólico
  • 50.
  • 51.
    Figura de triggerna Neuralgia do Trigêmio
  • 52.
  • 53.
    Definir os principaiscomponentes da Síndrome Dolorosa Miofascial Tender spots Trigger points Taut bands D) Muscle spasm
  • 54.
  • 55.
  • 56.
  • 57.
    Distúrbio Somatoforme Pacientescom múltiplas reclamações , a qual não podem ser explicadas por conhecimento médico , efeito do álcool , drogas ou medicamentos. Prevalência de 5% na prática médica. Critério diagnóstico : 1) 4 sintomas dolorosos; 2) 2 sintomas gastrintestinais; 3) 1 sintoma sexual; 4) 1 sintoma pseudoneurológico
  • 58.
    Obrigado ! Dr.Rafael Higashi Médico neurologista Instituto de Neurologia Deolindo Couto da UFRJ. Hospital da Santa Casa do RJ 9 o enfermaria de Clínica Médica. [email_address]