Imunologia aplicado a doenças neurologicasDr Rafael HigashiMédico Neurologistawww.estimulacaoneurologica.com.br
“Por favor Doutor, me ajude, estou parando de andar!”
A importância da imunologia nas doenças neurológicasIncidênciaTratamento PrevençãoPerspectivas e estudos futuros
Conceito clássico“O cerébro é um orgão imunologicamente privilegiado como os olhos,  testículo e a placenta ”.
Conceito atualExistência de drenagem linfática no SNCPassagem regular de linfócitos T e B através da BHE para o SNCO espaço liquorico do SNC é imunológicamente ativoNova denominação: ImunoneurologiaJ neurol 2007
Doenças com envolvimento da mielina do SNCEsclerose MultiplaNeurite ópticaMilelite transversaEncefalomielite disseminada aguda (ADEM)
Constituida de camadas bimoleculares de lípides intercaladas com proteínas. Tem a mesma composição das membranas celulares, ou seja, 70% de lípides e 30% de proteínas, com alta concentração de colesterol e fosfolípedes na sua composiçãoA mielina do SNC é produzida por células chamadas oligondendrócitosA mielina do SNP é produzida pelas células de Schwann
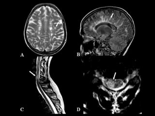
Esclerose Múltipla    A esclerose múltipla (EM) é uma doença desmielinizante inflamatória crônica, auto-imune, confinada ao sistema nervoso central (SNC). As proteínas da bainha de mielina constituem os alvos das agressões.
População de alto risco da EM
Tratamento da EM no surto:Metil-prednisolona ou plasmafére
G.M.S. iníciou quadro súbito incoordenação ao movimento do M.S.Dpacientes doença neuroimunológica\episódio 2.MPG
Tratamento da EM preventivo:
Desmielinização isolada do SNCNeurite óptica
Milelite transversa
Encefalomielite disseminada aguda Doenças com envolvimento da mielina do SNPSíndrome de Guillain BarréPolineuropatia Desmilenizante Inflamatória Crônica (CIDP)
Síndrome de Guillain BarréDescrita por Guillain, Barré e Strohl em 1916.Em 1985 a plasmaférese foi introduzida como tratamento.Em 1992 o de imunoglobulinas humanas endovenosas em altas doses (IgIV).0,16 e 2,0 casos por 100 000 habitantes/ano.
Síndrome de Guillain Barré Precedida por doença infecciosa  2/3 casos ( 2 e 28 dias do primeiro sintoma neurológico)Infecção do trato respiratório: 30 a 45% dos casos - Cytomegalovirus, vírus de Epstein-Barr e Mycoplasma pneumoniae e Haemophilus influenzae.
Paciente ao pedir para fechar os olhos e mostrar os dentesPaciente ao pedir para mostrar os dentesHD: Paralisia facial periférica bilateralEtiologia : Síndrome de Guillain Barre
pacientes doença neuroimunológica\MOV00006.MPG
Específico          Imunoglobulina humana endovenosa em altas doses (IgIV) ou          Plasmaférese Geral         Assistência ventilatória         Tratamento da dor Prevenção de Infecções          Manejo do comprometimento autonômico          Hipertensão arterial          Hipotensão Arritmias cardíacas          Prevenção de Trombose Venosa Profunda e Embolia Pulmonar          Cuidados de Enfermagem e de Fisioterapia          Cuidados e condições para a alta hospitalar Tratamento da SGB
Imunoglobulinas Anticorpos (Ac), ou imunoglobulinas (Ig), são glicoproteínas sintetizadas e excretadas por células plasmáticas derivadas dos linfócitos B, os plasmócitos, presentes no plasma, tecidos e secreções que atacam proteínas estranhas ao corpo, chamadas de antígenos, realizando assim a defesa do organismo (imunidade humoral). Depois que o sistema imunológico entra em contato com um antígeno (proveniente de bactérias, fungos, etc.), são produzidos anticorpos específicos contra ele.
Há cinco classes de imunoglobulina com função de anticorpo: IgA, IgD, IgE, IgG e IgM. Os diferentes tipos se diferenciam pela suas propriedades biológicas, localizações funcionais e habilidade para lidar com diferentes antígenos.
As principais ações dos anticorpos são a neutralização de toxinas, opsonização (recobrimento) de antígenos, destruição celular e fagocitose auxiliada pelo sistema complemento.Polineuropatia Inflamatória Desmielinizante Crônica (CIDP)Incidência de 1 caso ou menos a cada 200 000 habitantes/ano.Trata-se de polineuropatia com progressão de dois meses ou mais, que envolve os membros, proximal e distalmenteRecorrente e continuaAssociado a outras doenças (hepatite C, diabetes, doença inflamatória intestinal, linfomas, tireotoxicose e etc.)
IMUNOPATOGÊNESE DO CIDPNEJM 2005
Biópsia do nervo suralMorfologia normal com focal infiltrado linfocítico (hematoxilina e eosina)
Biópsia do nervo sural na microscopia eletrônica mostra diminuição das células de Schwann
pacientes doença neuroimunológica\CIDP.MPG
TratamentoAs alternativas terapêuticas, cujas eficácias foram comprovadas através de estudos prospectivos, controlados e randomizados, incluem corticosteróides e imunoglobulina humana endovenosa em altas doses, eventualmente plasmaférese . Ciclofosfamida e ciclosporina poderiam ser eficazes. IgIV é superior a corticosteróides mas, levando em consideração o alto custo, esses são considerados de primeira escolha .
Miastenia GravesDoença auto-imune que tem como alvo os receptores nicotínicos de acetilcolina na membrana pós-sináptica da junção neuromuscularA prevalência é de 2,5 a 10/100.000 hab Tratamento a longo prazo são os imunossupressores e a timectomia
pacientes doença neuroimunológica\MOV00021.MPG
TratamentoNestas crises : plasmaférese ou a Imunoglobulina Humana IV  A longo prazo: são os imunossupressores e a timectomia
Hanseníase Número de casos: 4,68 doentes a cada 10.000 habitantesAinda constituí um problema se saúde publica no BrasilAlta infectividade e baixa patogenicidadeContágio através das vias aéreas superioresTratamento PQT: rifampicina + dapsona + clofaziminaNotificação compulsória
Suspeita de hanseníase   Lesão da pele com alteração da senssibilidade
Acometimento do nervo com espessamento
Baciloscopia positivaMinistério da Saúde 2002
infiltraçãoNóduloplacaMancha
  Neurites Os estados reacionais ou reações hansênicas são reações do sistema imunológico do doente ao Mycobacterium leprae. Apresentam-se através de episódios inflamatórios agudos e sub-agudos. Podem acometer tanto os casos Paucibacilares como os Multibacilares.Tratamento com prednisona
Deformidade no nervo ulnar (sequela)Neurite do nervo ulnar
Paciente da Santa Casa do Rio de Janeiro com neuropatia da HanseníaseMal perfurante plantar
Tratamento da infecçãoPAUCIBACILARMULTIBACILARDapsonaRifampicinaClofazimina
Alois Alzheimer (1864-1915)Clínica psiquiátrica em Munique
Auguste D., mulher de 51 anos de idade procurou auxílio psiquiátrico em Frankfurt. Examinada por Alzheimer
Em 1907, Alois Alzheimer publicou o seu famoso artigo sobre “uma rara doença do córtex cerebral” em sua paciente Frau August D., 51 anos, que havia sido sua paciente em 1901 quando ainda clinicava no Asilo Municipal de Frankfurt.“Placa senil” descoberto por Alzheimer
Alois Alzheimer e seus Médicos Estudantes
THE NEW ENGLAND JOURNAL OF MEDICINE 2001 –STANLEY B. PRUSINER
“  Em fato, as doenças neurodegenerativas (doença de Alzheimer, doenças do neurônio motor, doença de Parkinson e etc ) estão previstas em ultrapassar o câncer como segunda causa de morte mais freqüente  entre os idosos por volta de 2040 ”.Lilienfeld DE, Perl DP. Projected neurodegenerative disease mortality in USA ,1990-2040. Neuroepidemiology 1993;12:219-28
PREVALÊNCIA DE D. DE ALZHEIMER DE ACORDO COM A IDADE EM HOMENS E MULHERESNew England Journal of Medicinne – 2003 - Genomic Medicine
APOPTOSE CONTAGIOSA E DISFUNÇÃO DA CÉLULAThe New England Journal of Medicine - 2003 – Robert M. Friedlander,M.D.
FORMAÇÃO DA PLACA SENILThe New England Journal of Medicine, 1999 , Mechanisms of Disease - Joseph B. Martin, MD.
Fisiopatologia da Cascata Amilóide na D. de Alzheimer :New England Journal of Medicine – 2004 – Alzheimer Disease – Jeffrey L. Cummings , M D.
FATORES RELACIONADOS À D. DE ALZHEIMERNew England Journal of Medicine – 2005 –Thomas D. Bird, M.D.

Neuroimunologia

  • 1.
    Imunologia aplicado adoenças neurologicasDr Rafael HigashiMédico Neurologistawww.estimulacaoneurologica.com.br
  • 2.
    “Por favor Doutor,me ajude, estou parando de andar!”
  • 3.
    A importância daimunologia nas doenças neurológicasIncidênciaTratamento PrevençãoPerspectivas e estudos futuros
  • 4.
    Conceito clássico“O cerébroé um orgão imunologicamente privilegiado como os olhos, testículo e a placenta ”.
  • 5.
    Conceito atualExistência dedrenagem linfática no SNCPassagem regular de linfócitos T e B através da BHE para o SNCO espaço liquorico do SNC é imunológicamente ativoNova denominação: ImunoneurologiaJ neurol 2007
  • 6.
    Doenças com envolvimentoda mielina do SNCEsclerose MultiplaNeurite ópticaMilelite transversaEncefalomielite disseminada aguda (ADEM)
  • 7.
    Constituida de camadasbimoleculares de lípides intercaladas com proteínas. Tem a mesma composição das membranas celulares, ou seja, 70% de lípides e 30% de proteínas, com alta concentração de colesterol e fosfolípedes na sua composiçãoA mielina do SNC é produzida por células chamadas oligondendrócitosA mielina do SNP é produzida pelas células de Schwann
  • 8.
    Esclerose Múltipla  A esclerose múltipla (EM) é uma doença desmielinizante inflamatória crônica, auto-imune, confinada ao sistema nervoso central (SNC). As proteínas da bainha de mielina constituem os alvos das agressões.
  • 9.
  • 11.
    Tratamento da EMno surto:Metil-prednisolona ou plasmafére
  • 12.
    G.M.S. iníciou quadrosúbito incoordenação ao movimento do M.S.Dpacientes doença neuroimunológica\episódio 2.MPG
  • 13.
    Tratamento da EMpreventivo:
  • 14.
  • 15.
  • 16.
    Encefalomielite disseminada agudaDoenças com envolvimento da mielina do SNPSíndrome de Guillain BarréPolineuropatia Desmilenizante Inflamatória Crônica (CIDP)
  • 17.
    Síndrome de GuillainBarréDescrita por Guillain, Barré e Strohl em 1916.Em 1985 a plasmaférese foi introduzida como tratamento.Em 1992 o de imunoglobulinas humanas endovenosas em altas doses (IgIV).0,16 e 2,0 casos por 100 000 habitantes/ano.
  • 18.
    Síndrome de GuillainBarré Precedida por doença infecciosa 2/3 casos ( 2 e 28 dias do primeiro sintoma neurológico)Infecção do trato respiratório: 30 a 45% dos casos - Cytomegalovirus, vírus de Epstein-Barr e Mycoplasma pneumoniae e Haemophilus influenzae.
  • 19.
    Paciente ao pedirpara fechar os olhos e mostrar os dentesPaciente ao pedir para mostrar os dentesHD: Paralisia facial periférica bilateralEtiologia : Síndrome de Guillain Barre
  • 20.
  • 21.
    Específico Imunoglobulina humana endovenosa em altas doses (IgIV) ou Plasmaférese Geral Assistência ventilatória Tratamento da dor Prevenção de Infecções Manejo do comprometimento autonômico Hipertensão arterial Hipotensão Arritmias cardíacas Prevenção de Trombose Venosa Profunda e Embolia Pulmonar Cuidados de Enfermagem e de Fisioterapia Cuidados e condições para a alta hospitalar Tratamento da SGB
  • 22.
    Imunoglobulinas Anticorpos (Ac), ou imunoglobulinas (Ig),são glicoproteínas sintetizadas e excretadas por células plasmáticas derivadas dos linfócitos B, os plasmócitos, presentes no plasma, tecidos e secreções que atacam proteínas estranhas ao corpo, chamadas de antígenos, realizando assim a defesa do organismo (imunidade humoral). Depois que o sistema imunológico entra em contato com um antígeno (proveniente de bactérias, fungos, etc.), são produzidos anticorpos específicos contra ele.
  • 23.
    Há cinco classesde imunoglobulina com função de anticorpo: IgA, IgD, IgE, IgG e IgM. Os diferentes tipos se diferenciam pela suas propriedades biológicas, localizações funcionais e habilidade para lidar com diferentes antígenos.
  • 24.
    As principais açõesdos anticorpos são a neutralização de toxinas, opsonização (recobrimento) de antígenos, destruição celular e fagocitose auxiliada pelo sistema complemento.Polineuropatia Inflamatória Desmielinizante Crônica (CIDP)Incidência de 1 caso ou menos a cada 200 000 habitantes/ano.Trata-se de polineuropatia com progressão de dois meses ou mais, que envolve os membros, proximal e distalmenteRecorrente e continuaAssociado a outras doenças (hepatite C, diabetes, doença inflamatória intestinal, linfomas, tireotoxicose e etc.)
  • 25.
  • 26.
    Biópsia do nervosuralMorfologia normal com focal infiltrado linfocítico (hematoxilina e eosina)
  • 27.
    Biópsia do nervosural na microscopia eletrônica mostra diminuição das células de Schwann
  • 29.
  • 30.
    TratamentoAs alternativas terapêuticas,cujas eficácias foram comprovadas através de estudos prospectivos, controlados e randomizados, incluem corticosteróides e imunoglobulina humana endovenosa em altas doses, eventualmente plasmaférese . Ciclofosfamida e ciclosporina poderiam ser eficazes. IgIV é superior a corticosteróides mas, levando em consideração o alto custo, esses são considerados de primeira escolha .
  • 31.
    Miastenia GravesDoença auto-imuneque tem como alvo os receptores nicotínicos de acetilcolina na membrana pós-sináptica da junção neuromuscularA prevalência é de 2,5 a 10/100.000 hab Tratamento a longo prazo são os imunossupressores e a timectomia
  • 34.
  • 35.
    TratamentoNestas crises :plasmaférese ou a Imunoglobulina Humana IV  A longo prazo: são os imunossupressores e a timectomia
  • 36.
    Hanseníase Número decasos: 4,68 doentes a cada 10.000 habitantesAinda constituí um problema se saúde publica no BrasilAlta infectividade e baixa patogenicidadeContágio através das vias aéreas superioresTratamento PQT: rifampicina + dapsona + clofaziminaNotificação compulsória
  • 37.
    Suspeita de hanseníase Lesão da pele com alteração da senssibilidade
  • 38.
    Acometimento do nervocom espessamento
  • 39.
  • 40.
  • 41.
    NeuritesOs estados reacionais ou reações hansênicas são reações do sistema imunológico do doente ao Mycobacterium leprae. Apresentam-se através de episódios inflamatórios agudos e sub-agudos. Podem acometer tanto os casos Paucibacilares como os Multibacilares.Tratamento com prednisona
  • 42.
    Deformidade no nervoulnar (sequela)Neurite do nervo ulnar
  • 43.
    Paciente da SantaCasa do Rio de Janeiro com neuropatia da HanseníaseMal perfurante plantar
  • 44.
  • 45.
    Alois Alzheimer (1864-1915)Clínicapsiquiátrica em Munique
  • 46.
    Auguste D., mulherde 51 anos de idade procurou auxílio psiquiátrico em Frankfurt. Examinada por Alzheimer
  • 48.
    Em 1907, AloisAlzheimer publicou o seu famoso artigo sobre “uma rara doença do córtex cerebral” em sua paciente Frau August D., 51 anos, que havia sido sua paciente em 1901 quando ainda clinicava no Asilo Municipal de Frankfurt.“Placa senil” descoberto por Alzheimer
  • 49.
    Alois Alzheimer eseus Médicos Estudantes
  • 50.
    THE NEW ENGLANDJOURNAL OF MEDICINE 2001 –STANLEY B. PRUSINER
  • 51.
    “ Emfato, as doenças neurodegenerativas (doença de Alzheimer, doenças do neurônio motor, doença de Parkinson e etc ) estão previstas em ultrapassar o câncer como segunda causa de morte mais freqüente entre os idosos por volta de 2040 ”.Lilienfeld DE, Perl DP. Projected neurodegenerative disease mortality in USA ,1990-2040. Neuroepidemiology 1993;12:219-28
  • 52.
    PREVALÊNCIA DE D.DE ALZHEIMER DE ACORDO COM A IDADE EM HOMENS E MULHERESNew England Journal of Medicinne – 2003 - Genomic Medicine
  • 53.
    APOPTOSE CONTAGIOSA EDISFUNÇÃO DA CÉLULAThe New England Journal of Medicine - 2003 – Robert M. Friedlander,M.D.
  • 54.
    FORMAÇÃO DA PLACASENILThe New England Journal of Medicine, 1999 , Mechanisms of Disease - Joseph B. Martin, MD.
  • 55.
    Fisiopatologia da CascataAmilóide na D. de Alzheimer :New England Journal of Medicine – 2004 – Alzheimer Disease – Jeffrey L. Cummings , M D.
  • 56.
    FATORES RELACIONADOS ÀD. DE ALZHEIMERNew England Journal of Medicine – 2005 –Thomas D. Bird, M.D.