Semiologia Neurológica Básica  Sinais e Sintomas Dr. Rafael Higashi – médico neurologista Hospital da Santa Casa do Rio de Janeiro (9  enfermaria) . Instituto de Neurologia Deolindo Couto da UFRJ. www.estimulacaoneurologica.com.br
Introdução : “  A medida em que se ascende na escala zoológica , com o maior desenvolvimento das funções de relação , o sistema nervoso vai se tornando mais complexo , até constituir o maravilhoso mecanismo que é observado no homen ”.( Dassen Fustinoni , 1953).
Métodos de exploração em Neurologia : Queixa atual e duração (E.L.A x A.V.C) História pregressa da moléstia atual  (ex. Esclerose Múltipla , Acidentes Vasculares Isquêmicos e Transitórios ). Antecedentes Pessoais e  Familiares (ex. Encefalopatia Infantil , Migranêa , Alzheimer e etc.) Exploração dos sintomas e sinais.
Sinais e sintomas  : Distúrbios da consciência Estado de vigília ( SRAA)  ▶ obnubilação ▶  sonolência  ▶ confusão mental ( delírio ?) ▶ esturpor ▶ coma ▶ morte cerebral.  Perda breve de consciência  :  Síncope  X  Convulsão Síncope : relacionado com a postura , dor aguda e ansiedade , palidez cutanêa (ex: neuropatia periférica , induzida por drogas , arritmias cardiacas , hipersensibilidade do seio carotídeo. Convulsão : pode estar relacionado com sintomas premonitórios , cianose , duração maior que 5 min , incontinência , período de confusão mental após crise ( ex: epilepsias)
 
Estado de coma (exemplos) : Distúrbios sem sinal focal , T.C. e líquor sem alterações: Intoxicação : alcoólica , drogas sedativas , opióides , etc . Distúrbio metabólico : anoxia , distúrbio hidroeletrolítico , hipoglicemia, uremia, coma hepático, acidose diabética e etc.  Infecção sistêmica: pneumonia, sepsemia.  Choque de qualquer etiologia. Encefalopatia hipertensiva, eclâmpsia Concussão cerebral , estado pós epilético.
 
 
Estado de coma (exemplos) : Distúrbios com irritação meningea  com ou sem febre , líquor alterado , normalmente sem sinal focal e TC e RNM normais : Hemorragia subaracnóide(rompimento  de aneurisma) Encefalíte víral  Meningite bacteriana aguda
 
Estado de coma (exemplos) : Distúrbios com sinais focais , com ou sem mudanças no líquor , TC e RNM com alterações: Hemorragia hemisférica ( ganglio basal , tálamo ) , infarto cerebral ( território da artéria cerebral média ) . Tumor cerebral com edema . Vasculite cerebrais e etc .
 
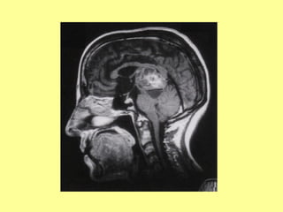
RNM de um paciente torporoso com hematoma subdural à esq.
Morte cerebral ( CFM  n⍜1480/9) Conseqüência de processo irreversível e de causa conhecida . Coma aperceptivo com ausência de atividade motora supra espinhal ( ex : pupilas fixas e arreativas , ausência do reflexo córneo palpebral , oculocefálicos , provas calóricas , reflexo de tosse e apnéia .  Intervalos mínimos entre as duas avaliações clínicas conforme definido( ex: acima de 2 anos: 6 horas , 1 ano a 2 anos incompletos : 12 horas , 2 meses a 1 ano incompleto : 24 horas , 7 dias a 2 meses incompletos : 48 horas .
 
 
Morte cerebral ( CFM  n⍜1480/9) Em pacientes com 2 anos ou mais - 1 exame complementar entre os abaixos citados  : Atividade circulatória cerebral : angiografia , cintilografia , doppler trascraniano, PIC, TC com xenônio, SPECT. Atividade elétrica cerebral : EEG. Atividade metabólica: PET, extração cerebral, de oxigênio.
Morte cerebral ( CFM  n⍜1480/9) Reflexos infraespinhal ( atividade reflexa medular )  não afasta  este diagnóstico, ex: reflexos osteotendinosos, cutâneos- abdominais, cutâneo plantar em extensão ou flexão, cremastérico superficial ou profundo, ereção peniana reflexa, arrepio, reflexos flexores de retirada dos membros inferiores e superiores, reflexo tônico cervical. Atenção especial á  toxicidade por drogas  e  hipotermia .
 
Cefaléias: Cefaléias primárias  (Sociedade Internacional de Cefaléia 1988 ):   Migrânea ou enxaqueca Cefaléia do tipo tensional  Cefaléia em salvas e hemicrania paroxística Crônica. Cefaléia não associada à lesão estrutural intracraniana ( ex: idiopática em facadas , por compreensão externa, estímulo à frio, tosse, exercício, à atividade sexual.
 
Migranêa oftalmoplégica :
Figura de homem em crise de cefaléia em Salvas.
Sinais de alarme na avaliação das cefaléias : Início após os 50 anos  Cefaléia de início súbito Características progressivas Cefaléia de início recente em pacientes com neoplasia ou HIV Cefaléia com doença sistêmica( febre, rigidez de nuca, rash ) Com sinais neurológicos focais Associado a edema de papila
Cefaléias secundárias : Cefaléia associado a trauma craniano Cefaléia associado a distúrbios vasculares Cefaléia associado a distúrbio intracraniano não vascular( ex: neoplasia intracraniana, cefaléia pós-punção lombar, infecção intracraniana, hidrocefalia  Cefaléia associada ao uso de substância( ex: nitrato, álcool(ressaca), glutamato monossódico  Cefaléia associado a distúrbio metabólico
 
Cefaléia cervicogênica
Nevralgias cranianas, dor de tronco nervoso e deaferentação: Neurite óptica Síndrome de Tolosa-Hunt  Nevralgia do Trigêmio Nevralgia do glossofaríngeo Nevralgia pós-herpética crônica
Figura de trigger na Neuralgia do Trigêmio
Dor  Síndrome dolorosa miofascial  Fibromialgia Dor neuropáticas  (periféricas x centrais) Bursites ( subacromial, transtrocanteriana, tuberosidade isquiática, pata anserina), tendinites e epicondilites. Dor psicogênica ( distúrbios somatoformes)
Definir os principais componentes da Síndrome  Dolorosa Miofascial Tender spots  Trigger points  Taut bands  D)  Muscle spasm
 
 
 
 
Fibromialgia
 
Síndromes Dolorosas Neuropáticas Dor por desaferentação , distribui-se em áreas onde ocorre comprometimento sensitivo e geralmente surge tardiamente em relação ao fenômeno causal. Descrita como queimor, choque , formigamento desagradável ou adormecimento constante, exacerba-se com estresses, ruídos e mudanças na temperatura ambiental.  Podem ser classificadas como neuropatias periféricas(mononeuropatias, polineuropatias), dor central(medular ou encefálica), causalgia ou distrofia simpaticorreflexa, dor no membro fantasma ou dor no coto de amputação.
Síndromes Dolorosas Neuropáticas Mononeuropatias: componente álgico distribuido no território do nervo acometido aonde evidencia anormalidades de sensibilidade( hiperpatia) e aumento da sensibilidade à movimentação.Ex: traumatismo de causa externa ou compressões internas, herpes zoster, diabetes mellitus, invasão tumoral , neuropatias profissionais e etc.
Síndromes Dolorosas Neuropáticas Polineuropatias: dor referida nas extremidades e apresenta distribuição em bota ou  luva. Ex: Síndrome Guillain-Barré, neuropatia diabética, neuropatia alcoólica,  neuropatia por uso de izoniazida, beri-beri e etc.  Lesões radiculares: seguem  o dermátomo em faixas horizontais no tronco e axiais nos membros.  Dor central : lesão mielopática(ex: trauma) ou encefálica(AVC).
 
Síndromes Dolorosas Neuropáticas Dor no membro fantasma: é percebida em regiões amputadas do corpo. A maioria dos pacientes que sofrem de amputação relatam a sensação de que o membro amputado ainda esta presente no corpo embora encurtado e adotando atitudes bizarras.Essa imagem progressivamente aproxima-se do corpo e desaparece comumente após 1 ano.
Distúrbio Somatoforme Pacientes com múltiplas reclamações , a qual não podem ser explicadas por conhecimento médico , efeito do álcool , drogas ou medicamentos. Prevalência de 5% na prática médica.  Critério diagnóstico :  1) 4 sintomas dolorosos;  2) 2 sintomas gastrintestinais;  3) 1 sintoma sexual;  4) 1 sintoma pseudoneurológico
Distúrbios visuais Ambliopia: redução da acuidade visual Amaurose: perda total da visão Hemianopsia: perda da visão na metade do campo Visual, ex: heterônima (lesão do quiasma óptico) X homônima (retroquiasmáticas) Diplopia: visão dupla(paresia ou paralisia dos músculos extra- oculares)
 
Distúrbios das funções cerebrais superiores Dísturbios da comunicação: disfonia, disartria, dislalia, disritmolalia, dilexia, disgrafia e afasias  Distúrbios do estado mental Dísturbios das gnosias Distúrbios das praxias(construtiva, ideomotora, ideátoria, vestir, marcha, bucolinguofacial
Distúrbios da comunicação Disfonia: alteração do timbre da voz( lesão do nervo acessório ). Disartria: alteração da articulação falada por neuropatias centrais e por ex: paralisia pseudobulbar, parksonismo, síndrome cerebelar e neuropatias periférico lesão de nervos cranianos VII, IX, X e XII. Dislalia: pertubação da palavra falada sem causas localizadas no sistema nervoso(fisiol. até 4 anos), ex: sapato por papato. Disritmolalia: pertubação do ritmo da fala( taquilalia e gagueira )
Distúrbios da comunicação Dislexia: dificuldade da leitura Disgrafia: grafia basicamente irregular  Afasia: perda ou limitação adquirida para compreender ou expressar a linguagem: a)Afasia motora ou verbal ( opérculo frontal )  b)Afasia receptiva ou sensorial (parafasia, peseveração e jargonofasia) c)Afasia global d)Afasia de condução(parafasia) e)Afasia amnéstica (cortéx e parietal inferior)  f)Afasia transcortical
Distúrbios das gnosias Agnosia: Distúrbio do reconhecimento de funções específicas do córtex cerebral : Ex: Agnosia auditiva, cegueira cortical, estereoagnosia, somatoagnosia, prosopoagnosia, autoprosopoagnosia. Lesões em córtex de  lobos parietais, temporais e occiptal. Decorrem normalmente de AVC, TCE e neoplasia.
Distúrbios das praxias Apraxias: dificuldade ou incapacidade da atividade gestual consciênte e intencional subentendida a exclusão de paralisias, ataxias e hipercinesias. Apraxia construtiva: perda de gestos normalmente organizados,ex: desenhar, copiar modelos ou modelar Apraxia ideomotora: dificuldade de execução de gestos simples por ex: segurar a sua orelha. Apraxia ideatória: reduzem  a seqüência lógica e harmoniosa de atividades simples como ascender um cigarro e coloca-ló na boca. Apraxia de vestir: topografia retrorrolândica direita
Distúrbios das praxias Apraxia da marcha: dificuldade da marcha principalmente no ínicio. Apraxia bucolinguofacial: o paciente não consegue mostrar a língua e os dentes,lesões frontais e do lobo direito. Admite-se que as apraxias sejam decorrentes de lesões no lobo frontal, e parietal do lobo dominante,más outras áreas também podem estar relacionadas como corpo caloso e lobos temporais.
Exame do estado mental : Orientação Memória Linguagem
 
Distúrbios do Sono  Sono-vigília =>alternam-se a cada 24h 1/3(sono) e 2/3(vigília) Núcleo supra-quiasmático do hipotálamo que estabelece o ritmo circadiano(ciclo da luz-escuridão)=>ativa no tronco cerebral o SRAA  SRAA estabelece conexões sistema límbico e córtex cerebral  perturbações desse sistema leva aos distúrbios do sono
Distúrbios do sono Padrão de horas do sono =>7 a 9 horas Extremos =>4 a 11 horas Necessidades do sono diminuem com a idade Homens dormem menos que as mulheres
Estágios do sono Sono NREM : 1,2,3 e 4 (de acordo com bases do EEG) Sono REM: corticalmente ativo (sonhos) movimentos oculares rápidos atonia muscular =>Alternam-se a cada 70-110minutos
Classificação dos distúrbios do sono  Dissônias =>insônia, hipersônia e síndrome da apnéia Parassômias=>sonambulismo(NREM), terror noturno(NREM) e o distúrbio do comportamento do sono REM Distúrbios secundários=>associados a desordens clínicas e psiquiátricas(ex:DPOC, demências, transtorno da ansiedade generalizada, depressão e fibromialgia)
Tontura e vertigem Tontura : sensação de instabilidade do equilíbrio e insegurança durante a marcha. Ex: desordens psiquiátricas, desconhecida, vestibulopatia aguda, síncope, epilepsia, pós traumática, doença cérebro-vasculares, vertigem posicional benigna e etc.  Vertigem:ilusão de movimento, sensação rotatória.  Podem estar associados ou não.Mecanismos fisiopatológicos : 1)lesões ou disfunções das vias labirínticas ou VIII par (periférica) acompanhado por náuseas, vômitos, tinitus e perda auditiva; 2)lesões no SNC (centrais) acompanhada por disartria, diplopia, parestesia, cefaléia, fraqueza e ataxia de membro ; 3)Fisiológica como a cinetose e alteração no sistema vestibular-proprioceptivo-visual nas altas altitudes.
Referências bibliográficas : Semiologia Médica : Celmo Celeno Porto; terceira edição.  Propedêutica Neurológica Básica: Wilson Luiz Sanvito; editora Ateneu 2002. Principles of Internal Medicine: Harrison`s; XV edição. Atlas Mosby em Cores e Texto de Neurologia: Parkin; I edição 1998.  Cefaléias Primárias- Como diagnosticar e tratar – abordagem prática e objetiva: Abouch Valenty Krymchantowski, editorial 2002. Classificação e Critérios Diagnósticos das Cefaléias, Nevralgias Cranianas e Dor facial : Sociedade Internacional de Cefaléia (1997).

Sinais e sintomas em neurologia

  • 1.
    Semiologia Neurológica Básica Sinais e Sintomas Dr. Rafael Higashi – médico neurologista Hospital da Santa Casa do Rio de Janeiro (9 enfermaria) . Instituto de Neurologia Deolindo Couto da UFRJ. www.estimulacaoneurologica.com.br
  • 2.
    Introdução : “ A medida em que se ascende na escala zoológica , com o maior desenvolvimento das funções de relação , o sistema nervoso vai se tornando mais complexo , até constituir o maravilhoso mecanismo que é observado no homen ”.( Dassen Fustinoni , 1953).
  • 3.
    Métodos de exploraçãoem Neurologia : Queixa atual e duração (E.L.A x A.V.C) História pregressa da moléstia atual (ex. Esclerose Múltipla , Acidentes Vasculares Isquêmicos e Transitórios ). Antecedentes Pessoais e Familiares (ex. Encefalopatia Infantil , Migranêa , Alzheimer e etc.) Exploração dos sintomas e sinais.
  • 4.
    Sinais e sintomas : Distúrbios da consciência Estado de vigília ( SRAA) ▶ obnubilação ▶ sonolência ▶ confusão mental ( delírio ?) ▶ esturpor ▶ coma ▶ morte cerebral. Perda breve de consciência : Síncope X Convulsão Síncope : relacionado com a postura , dor aguda e ansiedade , palidez cutanêa (ex: neuropatia periférica , induzida por drogas , arritmias cardiacas , hipersensibilidade do seio carotídeo. Convulsão : pode estar relacionado com sintomas premonitórios , cianose , duração maior que 5 min , incontinência , período de confusão mental após crise ( ex: epilepsias)
  • 5.
  • 6.
    Estado de coma(exemplos) : Distúrbios sem sinal focal , T.C. e líquor sem alterações: Intoxicação : alcoólica , drogas sedativas , opióides , etc . Distúrbio metabólico : anoxia , distúrbio hidroeletrolítico , hipoglicemia, uremia, coma hepático, acidose diabética e etc. Infecção sistêmica: pneumonia, sepsemia. Choque de qualquer etiologia. Encefalopatia hipertensiva, eclâmpsia Concussão cerebral , estado pós epilético.
  • 7.
  • 8.
  • 9.
    Estado de coma(exemplos) : Distúrbios com irritação meningea com ou sem febre , líquor alterado , normalmente sem sinal focal e TC e RNM normais : Hemorragia subaracnóide(rompimento de aneurisma) Encefalíte víral Meningite bacteriana aguda
  • 10.
  • 11.
    Estado de coma(exemplos) : Distúrbios com sinais focais , com ou sem mudanças no líquor , TC e RNM com alterações: Hemorragia hemisférica ( ganglio basal , tálamo ) , infarto cerebral ( território da artéria cerebral média ) . Tumor cerebral com edema . Vasculite cerebrais e etc .
  • 12.
  • 13.
    RNM de umpaciente torporoso com hematoma subdural à esq.
  • 14.
    Morte cerebral (CFM n⍜1480/9) Conseqüência de processo irreversível e de causa conhecida . Coma aperceptivo com ausência de atividade motora supra espinhal ( ex : pupilas fixas e arreativas , ausência do reflexo córneo palpebral , oculocefálicos , provas calóricas , reflexo de tosse e apnéia . Intervalos mínimos entre as duas avaliações clínicas conforme definido( ex: acima de 2 anos: 6 horas , 1 ano a 2 anos incompletos : 12 horas , 2 meses a 1 ano incompleto : 24 horas , 7 dias a 2 meses incompletos : 48 horas .
  • 15.
  • 16.
  • 17.
    Morte cerebral (CFM n⍜1480/9) Em pacientes com 2 anos ou mais - 1 exame complementar entre os abaixos citados : Atividade circulatória cerebral : angiografia , cintilografia , doppler trascraniano, PIC, TC com xenônio, SPECT. Atividade elétrica cerebral : EEG. Atividade metabólica: PET, extração cerebral, de oxigênio.
  • 18.
    Morte cerebral (CFM n⍜1480/9) Reflexos infraespinhal ( atividade reflexa medular ) não afasta este diagnóstico, ex: reflexos osteotendinosos, cutâneos- abdominais, cutâneo plantar em extensão ou flexão, cremastérico superficial ou profundo, ereção peniana reflexa, arrepio, reflexos flexores de retirada dos membros inferiores e superiores, reflexo tônico cervical. Atenção especial á toxicidade por drogas e hipotermia .
  • 19.
  • 20.
    Cefaléias: Cefaléias primárias (Sociedade Internacional de Cefaléia 1988 ): Migrânea ou enxaqueca Cefaléia do tipo tensional Cefaléia em salvas e hemicrania paroxística Crônica. Cefaléia não associada à lesão estrutural intracraniana ( ex: idiopática em facadas , por compreensão externa, estímulo à frio, tosse, exercício, à atividade sexual.
  • 21.
  • 22.
  • 23.
    Figura de homemem crise de cefaléia em Salvas.
  • 24.
    Sinais de alarmena avaliação das cefaléias : Início após os 50 anos Cefaléia de início súbito Características progressivas Cefaléia de início recente em pacientes com neoplasia ou HIV Cefaléia com doença sistêmica( febre, rigidez de nuca, rash ) Com sinais neurológicos focais Associado a edema de papila
  • 25.
    Cefaléias secundárias :Cefaléia associado a trauma craniano Cefaléia associado a distúrbios vasculares Cefaléia associado a distúrbio intracraniano não vascular( ex: neoplasia intracraniana, cefaléia pós-punção lombar, infecção intracraniana, hidrocefalia Cefaléia associada ao uso de substância( ex: nitrato, álcool(ressaca), glutamato monossódico Cefaléia associado a distúrbio metabólico
  • 26.
  • 27.
  • 28.
    Nevralgias cranianas, dorde tronco nervoso e deaferentação: Neurite óptica Síndrome de Tolosa-Hunt Nevralgia do Trigêmio Nevralgia do glossofaríngeo Nevralgia pós-herpética crônica
  • 29.
    Figura de triggerna Neuralgia do Trigêmio
  • 30.
    Dor Síndromedolorosa miofascial Fibromialgia Dor neuropáticas (periféricas x centrais) Bursites ( subacromial, transtrocanteriana, tuberosidade isquiática, pata anserina), tendinites e epicondilites. Dor psicogênica ( distúrbios somatoformes)
  • 31.
    Definir os principaiscomponentes da Síndrome Dolorosa Miofascial Tender spots Trigger points Taut bands D) Muscle spasm
  • 32.
  • 33.
  • 34.
  • 35.
  • 36.
  • 37.
  • 38.
    Síndromes Dolorosas NeuropáticasDor por desaferentação , distribui-se em áreas onde ocorre comprometimento sensitivo e geralmente surge tardiamente em relação ao fenômeno causal. Descrita como queimor, choque , formigamento desagradável ou adormecimento constante, exacerba-se com estresses, ruídos e mudanças na temperatura ambiental. Podem ser classificadas como neuropatias periféricas(mononeuropatias, polineuropatias), dor central(medular ou encefálica), causalgia ou distrofia simpaticorreflexa, dor no membro fantasma ou dor no coto de amputação.
  • 39.
    Síndromes Dolorosas NeuropáticasMononeuropatias: componente álgico distribuido no território do nervo acometido aonde evidencia anormalidades de sensibilidade( hiperpatia) e aumento da sensibilidade à movimentação.Ex: traumatismo de causa externa ou compressões internas, herpes zoster, diabetes mellitus, invasão tumoral , neuropatias profissionais e etc.
  • 40.
    Síndromes Dolorosas NeuropáticasPolineuropatias: dor referida nas extremidades e apresenta distribuição em bota ou luva. Ex: Síndrome Guillain-Barré, neuropatia diabética, neuropatia alcoólica, neuropatia por uso de izoniazida, beri-beri e etc. Lesões radiculares: seguem o dermátomo em faixas horizontais no tronco e axiais nos membros. Dor central : lesão mielopática(ex: trauma) ou encefálica(AVC).
  • 41.
  • 42.
    Síndromes Dolorosas NeuropáticasDor no membro fantasma: é percebida em regiões amputadas do corpo. A maioria dos pacientes que sofrem de amputação relatam a sensação de que o membro amputado ainda esta presente no corpo embora encurtado e adotando atitudes bizarras.Essa imagem progressivamente aproxima-se do corpo e desaparece comumente após 1 ano.
  • 43.
    Distúrbio Somatoforme Pacientescom múltiplas reclamações , a qual não podem ser explicadas por conhecimento médico , efeito do álcool , drogas ou medicamentos. Prevalência de 5% na prática médica. Critério diagnóstico : 1) 4 sintomas dolorosos; 2) 2 sintomas gastrintestinais; 3) 1 sintoma sexual; 4) 1 sintoma pseudoneurológico
  • 44.
    Distúrbios visuais Ambliopia:redução da acuidade visual Amaurose: perda total da visão Hemianopsia: perda da visão na metade do campo Visual, ex: heterônima (lesão do quiasma óptico) X homônima (retroquiasmáticas) Diplopia: visão dupla(paresia ou paralisia dos músculos extra- oculares)
  • 45.
  • 46.
    Distúrbios das funçõescerebrais superiores Dísturbios da comunicação: disfonia, disartria, dislalia, disritmolalia, dilexia, disgrafia e afasias Distúrbios do estado mental Dísturbios das gnosias Distúrbios das praxias(construtiva, ideomotora, ideátoria, vestir, marcha, bucolinguofacial
  • 47.
    Distúrbios da comunicaçãoDisfonia: alteração do timbre da voz( lesão do nervo acessório ). Disartria: alteração da articulação falada por neuropatias centrais e por ex: paralisia pseudobulbar, parksonismo, síndrome cerebelar e neuropatias periférico lesão de nervos cranianos VII, IX, X e XII. Dislalia: pertubação da palavra falada sem causas localizadas no sistema nervoso(fisiol. até 4 anos), ex: sapato por papato. Disritmolalia: pertubação do ritmo da fala( taquilalia e gagueira )
  • 48.
    Distúrbios da comunicaçãoDislexia: dificuldade da leitura Disgrafia: grafia basicamente irregular Afasia: perda ou limitação adquirida para compreender ou expressar a linguagem: a)Afasia motora ou verbal ( opérculo frontal ) b)Afasia receptiva ou sensorial (parafasia, peseveração e jargonofasia) c)Afasia global d)Afasia de condução(parafasia) e)Afasia amnéstica (cortéx e parietal inferior) f)Afasia transcortical
  • 49.
    Distúrbios das gnosiasAgnosia: Distúrbio do reconhecimento de funções específicas do córtex cerebral : Ex: Agnosia auditiva, cegueira cortical, estereoagnosia, somatoagnosia, prosopoagnosia, autoprosopoagnosia. Lesões em córtex de lobos parietais, temporais e occiptal. Decorrem normalmente de AVC, TCE e neoplasia.
  • 50.
    Distúrbios das praxiasApraxias: dificuldade ou incapacidade da atividade gestual consciênte e intencional subentendida a exclusão de paralisias, ataxias e hipercinesias. Apraxia construtiva: perda de gestos normalmente organizados,ex: desenhar, copiar modelos ou modelar Apraxia ideomotora: dificuldade de execução de gestos simples por ex: segurar a sua orelha. Apraxia ideatória: reduzem a seqüência lógica e harmoniosa de atividades simples como ascender um cigarro e coloca-ló na boca. Apraxia de vestir: topografia retrorrolândica direita
  • 51.
    Distúrbios das praxiasApraxia da marcha: dificuldade da marcha principalmente no ínicio. Apraxia bucolinguofacial: o paciente não consegue mostrar a língua e os dentes,lesões frontais e do lobo direito. Admite-se que as apraxias sejam decorrentes de lesões no lobo frontal, e parietal do lobo dominante,más outras áreas também podem estar relacionadas como corpo caloso e lobos temporais.
  • 52.
    Exame do estadomental : Orientação Memória Linguagem
  • 53.
  • 54.
    Distúrbios do Sono Sono-vigília =>alternam-se a cada 24h 1/3(sono) e 2/3(vigília) Núcleo supra-quiasmático do hipotálamo que estabelece o ritmo circadiano(ciclo da luz-escuridão)=>ativa no tronco cerebral o SRAA SRAA estabelece conexões sistema límbico e córtex cerebral perturbações desse sistema leva aos distúrbios do sono
  • 55.
    Distúrbios do sonoPadrão de horas do sono =>7 a 9 horas Extremos =>4 a 11 horas Necessidades do sono diminuem com a idade Homens dormem menos que as mulheres
  • 56.
    Estágios do sonoSono NREM : 1,2,3 e 4 (de acordo com bases do EEG) Sono REM: corticalmente ativo (sonhos) movimentos oculares rápidos atonia muscular =>Alternam-se a cada 70-110minutos
  • 57.
    Classificação dos distúrbiosdo sono Dissônias =>insônia, hipersônia e síndrome da apnéia Parassômias=>sonambulismo(NREM), terror noturno(NREM) e o distúrbio do comportamento do sono REM Distúrbios secundários=>associados a desordens clínicas e psiquiátricas(ex:DPOC, demências, transtorno da ansiedade generalizada, depressão e fibromialgia)
  • 58.
    Tontura e vertigemTontura : sensação de instabilidade do equilíbrio e insegurança durante a marcha. Ex: desordens psiquiátricas, desconhecida, vestibulopatia aguda, síncope, epilepsia, pós traumática, doença cérebro-vasculares, vertigem posicional benigna e etc. Vertigem:ilusão de movimento, sensação rotatória. Podem estar associados ou não.Mecanismos fisiopatológicos : 1)lesões ou disfunções das vias labirínticas ou VIII par (periférica) acompanhado por náuseas, vômitos, tinitus e perda auditiva; 2)lesões no SNC (centrais) acompanhada por disartria, diplopia, parestesia, cefaléia, fraqueza e ataxia de membro ; 3)Fisiológica como a cinetose e alteração no sistema vestibular-proprioceptivo-visual nas altas altitudes.
  • 59.
    Referências bibliográficas :Semiologia Médica : Celmo Celeno Porto; terceira edição. Propedêutica Neurológica Básica: Wilson Luiz Sanvito; editora Ateneu 2002. Principles of Internal Medicine: Harrison`s; XV edição. Atlas Mosby em Cores e Texto de Neurologia: Parkin; I edição 1998. Cefaléias Primárias- Como diagnosticar e tratar – abordagem prática e objetiva: Abouch Valenty Krymchantowski, editorial 2002. Classificação e Critérios Diagnósticos das Cefaléias, Nevralgias Cranianas e Dor facial : Sociedade Internacional de Cefaléia (1997).