FIBROSE CÍSTICAFIBROSE CÍSTICA
Quando pensar neste diagnóstico?
Como diagnosticar?
IntroduçãoIntrodução
http://www.cff.org (em 17/05/2010)
Fibrose Cística (FC) ou Mucoviscidose é uma doença
crônica, de origem genética autossômico-recessiva, que afeta
principalmente os pulmões e o sistema digestivo de cerca de
30.000 crianças e adultos nos EUA (70.000 no mundo).
É a doença genética letal mais comum na população
Caucasiana.
Incidência de 1:3.500 nascidos vivos (Brasil: 1:9.500).
Cerca de 1000 novos casos são diagnosticados a cada ano.
Doenças Respiratórias. USP, 2008
Patient Registry Education, 2007
Richard B. Moss, MD. Stanford University Medical Center
Epidemiologia mundialEpidemiologia mundial
http://www.cff.org (em 17/05/2010)
 Mais de 70% dos pacientes têm sido diagnosticados até os 2 anos de
idade.
 O diagnóstico em adultos tem crescido.
 Mais de 45% dos pacientes com FC têm mais de 18 anos de idade.
 A sobrevida vem aumentando. Média é maior do que 37 anos.
 Maior proporção de problemas médicos relacionados com a idade e com
a progressão da doença.
Patient Registry Education, 2007
Richard B. Moss, MD. Stanford University Medical Center
Patient Registry Education, 2007
Richard B. Moss, MD. Stanford University Medical Center
Patient Registry Education, 2007
Richard B. Moss, MD. Stanford University Medical Center
Patient Registry Education, 2007
Richard B. Moss, MD. Stanford University Medical Center
Patient Registry Education, 2007
Richard B. Moss, MD. Stanford University Medical Center
GenéticaGenética
 Autossômico-recessiva
 Gene no Cromossomo 7
 Mais de 1800 mutações http://www.genet.sickkids.on.ca/cftr/app
 “Clássica”: ΔF508
 CFTR: canal de cloro
Kliegman: Nelson Textbook of Pediatrics, 18th ed., 2007
Fibrose císticaFibrose cística
www.nhlbi.nih.gov/.../cysticfibrosis01.jpg
<1%
<4,5%
<5%
<10%
Relação entre a quantidade de CFTR funcionante e o fenótipoRelação entre a quantidade de CFTR funcionante e o fenótipo
Ins. Pancreática Exócrina
Infecção Pulmonar Progressiva
Anormalidade no teste do
suor
Agenesia dos ductos deferentes
STERN, NEJM, 1997
Principais Síndromes FenotípicasPrincipais Síndromes Fenotípicas
 Doença sino-pulmonar crônica.
 Anormalidades gastro-intestinais e
nutricionais.
 Síndromes de perda de sal: depleção aguda
de sal, alcalose metabólica crônica.
 Anormalidades urogenitais masculinas,
resultando em azoospermia obstrutiva.
Rosenstein. J Pediatr. 1998;132:389-95
A DOENÇA PULMONAR
Manifestações sino-pulmonaresManifestações sino-pulmonares
A) Colonização / infecção persistentes por patógenos
típicos da FC como Staphylococcus aureus, Haemophilus
influenzae, Pseudomonas aeruginosa e Burkholderia cepacia
B) Tosse crônica e produtiva
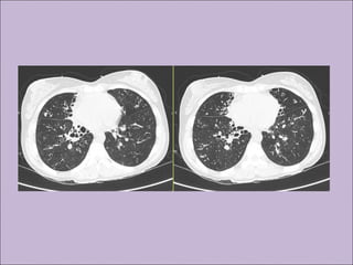
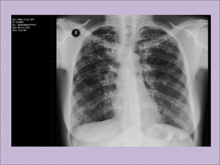
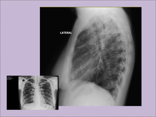
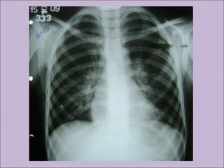
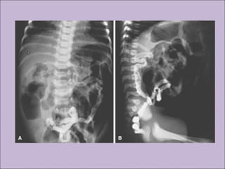
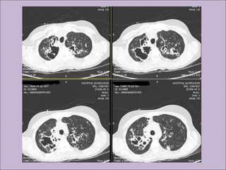
C) Anormalidades persistentes à radiografia de tórax
D) Obstrução das vias aéreas
E) Pólipos nasais, sinusite
F) Baqueteamento digital
Rosenstein. J Pediatr. 1998;132:389-95
Zitelli & Davis: Atlas of Pediatric Physical Diagnosis, 5th ed., 2007
Kumar: Robbins and Cotran Pathologic Basis of Disease, Professional Edition , 8th ed., 2009
A) Intestinal: íleo meconial, síndrome da obstrução
intestinal distal, prolapso retal.
B) Pancreática: insuficiência pancreática, pancreatite
recorrente.
C) Hepática: doença hepática crônica
D) Nutricional: hipodesenvolvimento pôndero-estatural ,
hipoproteinemia e edema, complicações secundárias à
deficiência de vitaminas lipossolúveis.
Doença gastro-intestinal e nutricionalDoença gastro-intestinal e nutricional
Rosenstein. J Pediatr. 1998;132:389-95
Zitelli & Davis: Atlas of Pediatric Physical Diagnosis, 5th ed., 2007
Zitelli & Davis: Atlas of Pediatric Physical Diagnosis, 5th ed., 2007
QUAIS SÃO ASQUAIS SÃO AS
MANIFESTAÇÕES DEMANIFESTAÇÕES DE
CADA FAIXA ETÁRIA?CADA FAIXA ETÁRIA?
LactentesLactentes
Íleo meconial
Icterícia obstrutiva (colestase).
“Failure to thrive”
Edema, hipoproteinemia e anemia
Bonquiolite ou pneumonia recorrente
Prolapso retal
Pele salgada
VOYNOW, JA & SCANLIN, TF. Cystic Fibrosis
In: BELL, LM. Pediatric Pulmonology, 2005
VOYNOW, JA & SCANLIN, TF. Cystic Fibrosis
In: BELL, LM. Pediatric Pulmonology, 2005
Pré-escolares e escolaresPré-escolares e escolares
“Failure to thrive”
Esteatorréia
Prostração / distúrbio hidro-eletrolítico
com calor
“Asma”, bronquiectasias, baqueteamento
digital
Polipose nasal.
Prolapso retal.
Pele salgada.
VOYNOW, JA & SCANLIN, TF. Cystic Fibrosis
In: BELL, LM. Pediatric Pulmonology, 2005
Adolescentes e adultosAdolescentes e adultos
Atraso no desenvolvimento sexual
Azoospermia obstrutiva
Bronquite crônica com Pseudomonas aeruginosa
 Pansinusite
Dor abdominal crônica, pancreatite idiopática, cirrose
Hemoptise, pneumotórax
COMPLICAÇÕES DA FIBROSE CÍSTICA
RESPIRATÓRIAS
Bronquiectasias
Atelectasias
Hemoptise
Pneumotórax
Pólipos nasais
Sinusite
Hiperreatividade
Cor Pulmonale
Ins. Respiratória
Impactação mucóide
ABPA
GASTROINTESTINAIS
Íleo meconial
Peritonite meconial
SOID
Prolapso retal
Intussucepção
Volvo intestinal
Colonopatia fibrosante
Apendicite
Atresia intestinal
Pancreatite(s)
Cirrose biliar
Icterícia neonatal colestática
Esteatose hepática
DRGE
Colelitíase
Failure to thrive
Def vits ADEK
In Pancreática
Diabetes
OUTRAS
Infetilidade
Atraso puberal
Edema-hipoproteinemia
Desidratação grave/choque
Osteoartropatia hipertrófica
Baqueteamento digital
Amiloidose
Diabetes mellitus
Kliegman: Nelson Textbook of Pediatrics, 18th ed., 2007
Rosenstein . J Pediatr 1998; 132:589-95
Critérios DiagnósticosCritérios Diagnósticos
Teste do PezinhoTeste do Pezinho
Tripsina imunorreativa sérica
Screening
Kliegman: Nelson Textbook of Pediatrics, 18th ed., 2007
LeGrys. J Pediatr 1996;129(6):893-7
Teste do SuorTeste do Suor
Método quantitativo descrito por Gibson e Cooke (1958).
Estimulação da sudorese com pilocarpina.
Amostras adequadas: peso acima de 50 mg;
 Mínimo de 2 amostras colhidas em datas separadas.
Interpretação:
-Normal: valores de cloro < 40 mEq/L
-Limítrofe: entre 40 - 60 mEq/L
- FC: igual ou > 60 mEq/L
Kliegman: Nelson Textbook of Pediatrics, 18th ed., 2007
Kumar: Robbins and Cotran Pathologic Basis of Disease, Professional Edition , 8th ed., 2009
Pesquisa de mutações genéticasPesquisa de mutações genéticas
 Muitos laboratórios pesquisam as 30-80 mutações mais
comuns.
Estes testes identificam >= 90% dos pacientes com 2
mutações.
 Alguns pacientes tem apenas 1 ou nenhuma das mutações
identificadas por este método.
 Outros testes tentam detectar se há ou não mutações para
FC, considerando todas, sem identificá-las.
Kliegman: Nelson Textbook of Pediatrics, 18th ed., 2007
Potencial Diferencial NasalPotencial Diferencial Nasal
 Auxilia especialmente do diagnóstico de casos
atípicos.
 FC: PDN aumentado
 Exame ainda pouco disponível
Kliegman: Nelson Textbook of Pediatrics, 18th ed., 2007
 Melhorar o clearance pulmonar;
 Tratar a inflamação pulmonar crônica;
 Repor enzimas pancreáticas e
 Otimizar o estado nutricional
 Etc
Princípios do TratamentoPrincípios do Tratamento
UM PACIENTE NUNCA DEVE
TER O SEU DIAGNÓSTICO
EXCLUÍDO POR ESTAR
MUITO BEM PARA TER
FIBROSE CÍSTICA
mfirmida@gmail.com
Fibrose císticaFibrose cística
Guidelines for Diagnosis of Cystic Fibrosis in Newborns through Older Adults:
Cystic Fibrosis Foundation Consensus Report (J Pediatr. 2008;153:S4-S14)
 BEHRMAN, RE; KLIEGMAN, RM; JENSON, HB. Nelson Textbook of Pediatrics,
18th
ed, Elservier, 2007.
RODRIGUES, JC;ADEE, FV; DA SILVA FILHO, LVR (coord). Doenças respiratórias.
Barueri, SP: Manole, 2008 – (Coleção pediatria. Instituto da Criança HC-USP.
Editores da coleção Benita G. Soares Schvartzman, PauloTaufi Maluf Jr.)
 Tratado de Clínica Médica, do Prof.Antonio Carlos Lopes, da Unicamp:
http://www.fibrocis.com.br/informativo/Fibrose%20%20%20%20%20%20c%EDstica
%20Livro.pdf
SUGESTÕES DE LEITURA

Fibrose cistica

  • 1.
    FIBROSE CÍSTICAFIBROSE CÍSTICA Quandopensar neste diagnóstico? Como diagnosticar?
  • 2.
    IntroduçãoIntrodução http://www.cff.org (em 17/05/2010) FibroseCística (FC) ou Mucoviscidose é uma doença crônica, de origem genética autossômico-recessiva, que afeta principalmente os pulmões e o sistema digestivo de cerca de 30.000 crianças e adultos nos EUA (70.000 no mundo). É a doença genética letal mais comum na população Caucasiana. Incidência de 1:3.500 nascidos vivos (Brasil: 1:9.500). Cerca de 1000 novos casos são diagnosticados a cada ano. Doenças Respiratórias. USP, 2008
  • 3.
    Patient Registry Education,2007 Richard B. Moss, MD. Stanford University Medical Center
  • 4.
    Epidemiologia mundialEpidemiologia mundial http://www.cff.org(em 17/05/2010)  Mais de 70% dos pacientes têm sido diagnosticados até os 2 anos de idade.  O diagnóstico em adultos tem crescido.  Mais de 45% dos pacientes com FC têm mais de 18 anos de idade.  A sobrevida vem aumentando. Média é maior do que 37 anos.  Maior proporção de problemas médicos relacionados com a idade e com a progressão da doença.
  • 5.
    Patient Registry Education,2007 Richard B. Moss, MD. Stanford University Medical Center
  • 6.
    Patient Registry Education,2007 Richard B. Moss, MD. Stanford University Medical Center
  • 7.
    Patient Registry Education,2007 Richard B. Moss, MD. Stanford University Medical Center
  • 8.
    Patient Registry Education,2007 Richard B. Moss, MD. Stanford University Medical Center
  • 9.
    Patient Registry Education,2007 Richard B. Moss, MD. Stanford University Medical Center
  • 10.
    GenéticaGenética  Autossômico-recessiva  Geneno Cromossomo 7  Mais de 1800 mutações http://www.genet.sickkids.on.ca/cftr/app  “Clássica”: ΔF508  CFTR: canal de cloro Kliegman: Nelson Textbook of Pediatrics, 18th ed., 2007
  • 15.
  • 16.
    <1% <4,5% <5% <10% Relação entre aquantidade de CFTR funcionante e o fenótipoRelação entre a quantidade de CFTR funcionante e o fenótipo Ins. Pancreática Exócrina Infecção Pulmonar Progressiva Anormalidade no teste do suor Agenesia dos ductos deferentes STERN, NEJM, 1997
  • 17.
    Principais Síndromes FenotípicasPrincipaisSíndromes Fenotípicas  Doença sino-pulmonar crônica.  Anormalidades gastro-intestinais e nutricionais.  Síndromes de perda de sal: depleção aguda de sal, alcalose metabólica crônica.  Anormalidades urogenitais masculinas, resultando em azoospermia obstrutiva. Rosenstein. J Pediatr. 1998;132:389-95
  • 18.
  • 20.
    Manifestações sino-pulmonaresManifestações sino-pulmonares A)Colonização / infecção persistentes por patógenos típicos da FC como Staphylococcus aureus, Haemophilus influenzae, Pseudomonas aeruginosa e Burkholderia cepacia B) Tosse crônica e produtiva C) Anormalidades persistentes à radiografia de tórax D) Obstrução das vias aéreas E) Pólipos nasais, sinusite F) Baqueteamento digital Rosenstein. J Pediatr. 1998;132:389-95
  • 22.
    Zitelli & Davis:Atlas of Pediatric Physical Diagnosis, 5th ed., 2007
  • 33.
    Kumar: Robbins andCotran Pathologic Basis of Disease, Professional Edition , 8th ed., 2009
  • 34.
    A) Intestinal: íleomeconial, síndrome da obstrução intestinal distal, prolapso retal. B) Pancreática: insuficiência pancreática, pancreatite recorrente. C) Hepática: doença hepática crônica D) Nutricional: hipodesenvolvimento pôndero-estatural , hipoproteinemia e edema, complicações secundárias à deficiência de vitaminas lipossolúveis. Doença gastro-intestinal e nutricionalDoença gastro-intestinal e nutricional Rosenstein. J Pediatr. 1998;132:389-95
  • 37.
    Zitelli & Davis:Atlas of Pediatric Physical Diagnosis, 5th ed., 2007
  • 38.
    Zitelli & Davis:Atlas of Pediatric Physical Diagnosis, 5th ed., 2007
  • 39.
    QUAIS SÃO ASQUAISSÃO AS MANIFESTAÇÕES DEMANIFESTAÇÕES DE CADA FAIXA ETÁRIA?CADA FAIXA ETÁRIA?
  • 40.
    LactentesLactentes Íleo meconial Icterícia obstrutiva(colestase). “Failure to thrive” Edema, hipoproteinemia e anemia Bonquiolite ou pneumonia recorrente Prolapso retal Pele salgada VOYNOW, JA & SCANLIN, TF. Cystic Fibrosis In: BELL, LM. Pediatric Pulmonology, 2005
  • 41.
    VOYNOW, JA &SCANLIN, TF. Cystic Fibrosis In: BELL, LM. Pediatric Pulmonology, 2005 Pré-escolares e escolaresPré-escolares e escolares “Failure to thrive” Esteatorréia Prostração / distúrbio hidro-eletrolítico com calor “Asma”, bronquiectasias, baqueteamento digital Polipose nasal. Prolapso retal. Pele salgada.
  • 42.
    VOYNOW, JA &SCANLIN, TF. Cystic Fibrosis In: BELL, LM. Pediatric Pulmonology, 2005 Adolescentes e adultosAdolescentes e adultos Atraso no desenvolvimento sexual Azoospermia obstrutiva Bronquite crônica com Pseudomonas aeruginosa  Pansinusite Dor abdominal crônica, pancreatite idiopática, cirrose Hemoptise, pneumotórax
  • 43.
    COMPLICAÇÕES DA FIBROSECÍSTICA RESPIRATÓRIAS Bronquiectasias Atelectasias Hemoptise Pneumotórax Pólipos nasais Sinusite Hiperreatividade Cor Pulmonale Ins. Respiratória Impactação mucóide ABPA GASTROINTESTINAIS Íleo meconial Peritonite meconial SOID Prolapso retal Intussucepção Volvo intestinal Colonopatia fibrosante Apendicite Atresia intestinal Pancreatite(s) Cirrose biliar Icterícia neonatal colestática Esteatose hepática DRGE Colelitíase Failure to thrive Def vits ADEK In Pancreática Diabetes OUTRAS Infetilidade Atraso puberal Edema-hipoproteinemia Desidratação grave/choque Osteoartropatia hipertrófica Baqueteamento digital Amiloidose Diabetes mellitus Kliegman: Nelson Textbook of Pediatrics, 18th ed., 2007
  • 44.
    Rosenstein . JPediatr 1998; 132:589-95 Critérios DiagnósticosCritérios Diagnósticos
  • 45.
    Teste do PezinhoTestedo Pezinho Tripsina imunorreativa sérica Screening Kliegman: Nelson Textbook of Pediatrics, 18th ed., 2007
  • 46.
    LeGrys. J Pediatr1996;129(6):893-7 Teste do SuorTeste do Suor Método quantitativo descrito por Gibson e Cooke (1958). Estimulação da sudorese com pilocarpina. Amostras adequadas: peso acima de 50 mg;  Mínimo de 2 amostras colhidas em datas separadas. Interpretação: -Normal: valores de cloro < 40 mEq/L -Limítrofe: entre 40 - 60 mEq/L - FC: igual ou > 60 mEq/L Kliegman: Nelson Textbook of Pediatrics, 18th ed., 2007
  • 47.
    Kumar: Robbins andCotran Pathologic Basis of Disease, Professional Edition , 8th ed., 2009
  • 48.
    Pesquisa de mutaçõesgenéticasPesquisa de mutações genéticas  Muitos laboratórios pesquisam as 30-80 mutações mais comuns. Estes testes identificam >= 90% dos pacientes com 2 mutações.  Alguns pacientes tem apenas 1 ou nenhuma das mutações identificadas por este método.  Outros testes tentam detectar se há ou não mutações para FC, considerando todas, sem identificá-las. Kliegman: Nelson Textbook of Pediatrics, 18th ed., 2007
  • 49.
    Potencial Diferencial NasalPotencialDiferencial Nasal  Auxilia especialmente do diagnóstico de casos atípicos.  FC: PDN aumentado  Exame ainda pouco disponível Kliegman: Nelson Textbook of Pediatrics, 18th ed., 2007
  • 50.
     Melhorar oclearance pulmonar;  Tratar a inflamação pulmonar crônica;  Repor enzimas pancreáticas e  Otimizar o estado nutricional  Etc Princípios do TratamentoPrincípios do Tratamento
  • 51.
    UM PACIENTE NUNCADEVE TER O SEU DIAGNÓSTICO EXCLUÍDO POR ESTAR MUITO BEM PARA TER FIBROSE CÍSTICA mfirmida@gmail.com Fibrose císticaFibrose cística
  • 52.
    Guidelines for Diagnosisof Cystic Fibrosis in Newborns through Older Adults: Cystic Fibrosis Foundation Consensus Report (J Pediatr. 2008;153:S4-S14)  BEHRMAN, RE; KLIEGMAN, RM; JENSON, HB. Nelson Textbook of Pediatrics, 18th ed, Elservier, 2007. RODRIGUES, JC;ADEE, FV; DA SILVA FILHO, LVR (coord). Doenças respiratórias. Barueri, SP: Manole, 2008 – (Coleção pediatria. Instituto da Criança HC-USP. Editores da coleção Benita G. Soares Schvartzman, PauloTaufi Maluf Jr.)  Tratado de Clínica Médica, do Prof.Antonio Carlos Lopes, da Unicamp: http://www.fibrocis.com.br/informativo/Fibrose%20%20%20%20%20%20c%EDstica %20Livro.pdf SUGESTÕES DE LEITURA