Bronquiolite obliterante
pós infecciosa
Introdução
 A bronquiolite obliterante (BO) é uma síndrome
clínica caracterizada por obstrução crônica das
pequenas vias aéreas.
 Processo final comum de várias injúrias pulmonares.
 Várias causas: vírus, germes atípicos ou bactérias,
aspiração de corpo estranho ou conteúdo gástrico,
inalação de toxinas, colagenoses e após transplante
de pulmão ou de medula óssea.
 Em mais de 1/3 a causa é desconhecida.
Champs NS et al. J Pediatr (Rio J). 2011;87(3):187-198
Etiologia
 Adenovírus: especialmente sorotipos 3, 7, 11 e 21.
 Vírus do sarampo
 Influenza
 Parainfluenza
 Vírus sincicial respiratório (VSR)
 Mycoplasma
 Bactérias (?)
Champs NS et al. J Pediatr (Rio J). 2011;87(3):187-198
Epidemiologia
Champs NS et al. J Pediatr (Rio J). 2011;87(3):187-198
Fatores de risco
BO
Carga viral
Resposta
imunológica
Fatores
genéticos
Fatores
ambientais
Champs NS et al. J Pediatr (Rio J). 2011;87(3):187-198
Fatores de risco (em estudos)
 BVA por Adenovírus
 Hospitalização por mais de 30 dias
 Pneumonia multifocal
 Ventilação mecânica/Hipercapnia (?)
 IgE elevada (??)
Colom AJ et al. Thorax. 2006;61:503-6.
Murtagh P et al. Pediatr Pulmonol. 2009;44:450-6.
Zhang L et al. Pediatr Pulmonol. 2000;29:341-50.
Patogenia
Lesão aguda das
células do
epitélio
respiratório
Necrose do
epitélio
bronquioliar
Infiltrado
inflamatório
peribronquial,
intraepitelial e
intesticial
Champs NS et al. J Pediatr (Rio J). 2011;87(3):187-198
CD3+T, CD8+T
IL6, IL8, TNFα
Imunocomplexos
Neutrófilos
BO
Patogenia (em estudo)
Champs NS et al. J Pediatr (Rio J). 2011;87(3):187-198
Alterações anatomo-patológicas
 Cicatrização intraluminal, ao invés do processo de reparo
normal.
 Dois tipos histológicos:
 Bronquiolite constrictiva (97% dos casos)
 Bronquiolite proliferativa.
Champs NS et al. J Pediatr (Rio J). 2011;87(3):187-198
J Pediatr (Rio J) 2000;76(3):185-92
Comparação entre BO e BOOP
Manifestações clínicas
 Criança previamente sadia
 Infecção aguda, geralmente grave
 Persistência dos sintomas por mais de 4-8 semanas.
Champs NS et al. J Pediatr (Rio J). 2011;87(3):187-198
Manifestações clínicas
 Taquipnéia persistente
 Tosse
 Diminuição do murmúrio vesicular (MV)
 Sibilância
 Crepitações
 Sinais de DPOC: baqueteamento/deformidade torácica
 Hipoxemia
 HAP
Champs NS et al. J Pediatr (Rio J). 2011;87(3):187-198
Síndrome de Swyer-James ou MacLeod
“Embora a síndrome de Swyer-
James ou MacLeod esteja dentro
do espectro da BOPI, não há
estudos que a diferenciem das
formas típicas de BOPI, porém o
quadro clínico dessa síndrome
parece ser mais brando”
(Fischer GB, comunicação pessoal).
J. bras. pneumol. vol.30 no.1
São Paulo Jan./Feb. 2004
Champs NS et al.
J Pediatr (Rio J). 2011;87(3):187-198
Exames complementares
 Radiografia de tórax (ins/exp)
 TCAR
 Provas de função respiratória
 Cintilografia perfusional e inalatória
 Broncoscopia
 Biópsia pulmonar
 Avaliação cardiovascular
Champs NS et al. J Pediatr (Rio J). 2011;87(3):187-198
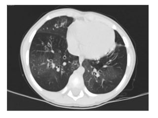
Alterações tomográficas em 250 crianças e adolescentes
Fischer GB et al. Paediatr Resp Rev. 2010;11:233-9
Champs NS et al. J Pediatr (Rio J). 2011;87(3):187-198
Champs NS et al. J Pediatr (Rio J). 2011;87(3):187-198
Critérios diagnósticos
 História de bronquiolite/pneumonia viral aguda grave em uma
criança previamente saudável antes dos 3 anos de vida;
 Evidência de obstrução persistente de via aérea após o evento
agudo, identificada por exame físico e/ou função pulmonar.
 Achados radiológicos de doença pulmonar obstrutiva tais
como hiperinsuflação, atelectasias, espessamento brônquico e
bronquiectasias;
 Padrão de perfusão em mosaico e aprisionamento aéreo na
tomografia computadorizada de tórax;
 Exclusão de outras doenças (diagnóstico diferencial)
Champs NS et al. J Pediatr (Rio J). 2011;87(3):187-198
Exames para diagnóstico diferencial
Dosagem de cloretos no suor
Teste tuberculínico
Imunoglobulinas séricas
Dosagem de α1 antitripsina
pHmetria
Ecocardiograma
Broncoscopia
Outros
Champs NS et al. J Pediatr (Rio J). 2011;87(3):187-198
Tratamento
Medidas gerais de suporte
Corticóides
Broncodilatadores
Antibióticos
Outros medicamentos
Cirurgia e transplante pulmonar
Prognóstico
 Geralmente curso crônico e não progressivo
 Tendência a melhora evolutiva
 Permanece intolerância a exercícios
 Episódios de sibilância
 Alterações persistentes ao exame físico
 Deformidade torácica
 Bronquiectasias
 Evolução funcional incerta: manutenção ou piora
Pontos principais
 BO é uma DPOC que ocorre em crianças após infecção viral
do trato respiratório inferior, adquirida principalmente
durante os 2 primeiros anos de vida.
 Infecção por Adenovírus e ventilação mecânica são os 2
principais fatores de risco.
 O diagnóstico deve se baser em dados clínicos,
epidemiológicos, microbiológicos e exames de imagem.
 A fução pulmonar se caracteriza por obstrução moderada a
grave e diminuição do consumo de O2 durante exercício.
 Seguimento requer equipe multidisciplinar.
Fischer GB et al. Paediatric Respiratory Reviews 11 (2010) 233–239
LEITURA SUGERIDA
1. Champs NDS, Lasmar LMLBF, Camargos PAM, Marguet C, Fischer
GB, Mocelin HT. Post-infectious bronchiolitis obliterans in
children. J Pediatr (Rio J). 2011;8793):187-198.
2. Fischer GB, Sarria EE, Mattiello R, Mocelin HT, Castro-Rodriguez
JA. Post infectious bronchiolitis obliterans in children.
Paediatric Respiratory Reviews. Elsevier; 2010;11(4):233–9.

Bronquiolite obliterante pós infecciosa

  • 1.
  • 2.
    Introdução  A bronquioliteobliterante (BO) é uma síndrome clínica caracterizada por obstrução crônica das pequenas vias aéreas.  Processo final comum de várias injúrias pulmonares.  Várias causas: vírus, germes atípicos ou bactérias, aspiração de corpo estranho ou conteúdo gástrico, inalação de toxinas, colagenoses e após transplante de pulmão ou de medula óssea.  Em mais de 1/3 a causa é desconhecida. Champs NS et al. J Pediatr (Rio J). 2011;87(3):187-198
  • 3.
    Etiologia  Adenovírus: especialmentesorotipos 3, 7, 11 e 21.  Vírus do sarampo  Influenza  Parainfluenza  Vírus sincicial respiratório (VSR)  Mycoplasma  Bactérias (?) Champs NS et al. J Pediatr (Rio J). 2011;87(3):187-198
  • 4.
    Epidemiologia Champs NS etal. J Pediatr (Rio J). 2011;87(3):187-198
  • 5.
    Fatores de risco BO Cargaviral Resposta imunológica Fatores genéticos Fatores ambientais Champs NS et al. J Pediatr (Rio J). 2011;87(3):187-198
  • 6.
    Fatores de risco(em estudos)  BVA por Adenovírus  Hospitalização por mais de 30 dias  Pneumonia multifocal  Ventilação mecânica/Hipercapnia (?)  IgE elevada (??) Colom AJ et al. Thorax. 2006;61:503-6. Murtagh P et al. Pediatr Pulmonol. 2009;44:450-6. Zhang L et al. Pediatr Pulmonol. 2000;29:341-50.
  • 7.
    Patogenia Lesão aguda das célulasdo epitélio respiratório Necrose do epitélio bronquioliar Infiltrado inflamatório peribronquial, intraepitelial e intesticial Champs NS et al. J Pediatr (Rio J). 2011;87(3):187-198
  • 8.
    CD3+T, CD8+T IL6, IL8,TNFα Imunocomplexos Neutrófilos BO Patogenia (em estudo) Champs NS et al. J Pediatr (Rio J). 2011;87(3):187-198
  • 9.
    Alterações anatomo-patológicas  Cicatrizaçãointraluminal, ao invés do processo de reparo normal.  Dois tipos histológicos:  Bronquiolite constrictiva (97% dos casos)  Bronquiolite proliferativa. Champs NS et al. J Pediatr (Rio J). 2011;87(3):187-198
  • 10.
    J Pediatr (RioJ) 2000;76(3):185-92 Comparação entre BO e BOOP
  • 11.
    Manifestações clínicas  Criançapreviamente sadia  Infecção aguda, geralmente grave  Persistência dos sintomas por mais de 4-8 semanas. Champs NS et al. J Pediatr (Rio J). 2011;87(3):187-198
  • 12.
    Manifestações clínicas  Taquipnéiapersistente  Tosse  Diminuição do murmúrio vesicular (MV)  Sibilância  Crepitações  Sinais de DPOC: baqueteamento/deformidade torácica  Hipoxemia  HAP Champs NS et al. J Pediatr (Rio J). 2011;87(3):187-198
  • 13.
    Síndrome de Swyer-Jamesou MacLeod “Embora a síndrome de Swyer- James ou MacLeod esteja dentro do espectro da BOPI, não há estudos que a diferenciem das formas típicas de BOPI, porém o quadro clínico dessa síndrome parece ser mais brando” (Fischer GB, comunicação pessoal). J. bras. pneumol. vol.30 no.1 São Paulo Jan./Feb. 2004 Champs NS et al. J Pediatr (Rio J). 2011;87(3):187-198
  • 14.
    Exames complementares  Radiografiade tórax (ins/exp)  TCAR  Provas de função respiratória  Cintilografia perfusional e inalatória  Broncoscopia  Biópsia pulmonar  Avaliação cardiovascular Champs NS et al. J Pediatr (Rio J). 2011;87(3):187-198
  • 15.
    Alterações tomográficas em250 crianças e adolescentes Fischer GB et al. Paediatr Resp Rev. 2010;11:233-9
  • 17.
    Champs NS etal. J Pediatr (Rio J). 2011;87(3):187-198
  • 18.
    Champs NS etal. J Pediatr (Rio J). 2011;87(3):187-198
  • 19.
    Critérios diagnósticos  Históriade bronquiolite/pneumonia viral aguda grave em uma criança previamente saudável antes dos 3 anos de vida;  Evidência de obstrução persistente de via aérea após o evento agudo, identificada por exame físico e/ou função pulmonar.  Achados radiológicos de doença pulmonar obstrutiva tais como hiperinsuflação, atelectasias, espessamento brônquico e bronquiectasias;  Padrão de perfusão em mosaico e aprisionamento aéreo na tomografia computadorizada de tórax;  Exclusão de outras doenças (diagnóstico diferencial) Champs NS et al. J Pediatr (Rio J). 2011;87(3):187-198
  • 20.
    Exames para diagnósticodiferencial Dosagem de cloretos no suor Teste tuberculínico Imunoglobulinas séricas Dosagem de α1 antitripsina pHmetria Ecocardiograma Broncoscopia Outros Champs NS et al. J Pediatr (Rio J). 2011;87(3):187-198
  • 21.
    Tratamento Medidas gerais desuporte Corticóides Broncodilatadores Antibióticos Outros medicamentos Cirurgia e transplante pulmonar
  • 22.
    Prognóstico  Geralmente cursocrônico e não progressivo  Tendência a melhora evolutiva  Permanece intolerância a exercícios  Episódios de sibilância  Alterações persistentes ao exame físico  Deformidade torácica  Bronquiectasias  Evolução funcional incerta: manutenção ou piora
  • 23.
    Pontos principais  BOé uma DPOC que ocorre em crianças após infecção viral do trato respiratório inferior, adquirida principalmente durante os 2 primeiros anos de vida.  Infecção por Adenovírus e ventilação mecânica são os 2 principais fatores de risco.  O diagnóstico deve se baser em dados clínicos, epidemiológicos, microbiológicos e exames de imagem.  A fução pulmonar se caracteriza por obstrução moderada a grave e diminuição do consumo de O2 durante exercício.  Seguimento requer equipe multidisciplinar. Fischer GB et al. Paediatric Respiratory Reviews 11 (2010) 233–239
  • 24.
    LEITURA SUGERIDA 1. ChampsNDS, Lasmar LMLBF, Camargos PAM, Marguet C, Fischer GB, Mocelin HT. Post-infectious bronchiolitis obliterans in children. J Pediatr (Rio J). 2011;8793):187-198. 2. Fischer GB, Sarria EE, Mattiello R, Mocelin HT, Castro-Rodriguez JA. Post infectious bronchiolitis obliterans in children. Paediatric Respiratory Reviews. Elsevier; 2010;11(4):233–9.