PNEUMONIAS EM PEDIATRIA
Mônica de Cássia Firmida
Definição
Pneumonia é uma inflamação do
parênquima pulmonar, na maioria das
vezes de causa infecciosa.
Nelson Textbook of Pediatrics, 19th ed, 2011
Causas
NÃO INFECCIOSAS INFECCIOSAS
 Aspiração
 Corpo estranho
 Substâncias lipóides
 Reações de hipersensibilidade
 Pneumonite induzida por droga
ou radiação
 Vírus
 Bactérias
 Mycoplasma
 Fungos
 Protozoários
etc.
Nelson Textbook of Pediatrics, 19th ed, 2011
Causas infecciosas
 Um terço das pneumonias comunitárias (PACs) são causadas por infecções
mistas (virus e bactérias). – 23 a 33%.
 Vírus parecem causar 30-67% das PACs em crianças, sendo mais comuns
em menores de 1 ano e menos comuns acima dos 2 anos. --- 77 vs 59%.
 Bactérias também causam pneumonias em menores de 2 anos. Na metade
dos casos representam infecções mistas.
 Com o avançar da idade as bactérias se tornam mais comuns e as infecções
mistas menos frequentes.
BTS Guideline. Thorax, 2011;66:ii1-ii23.
Causas infecciosas
 Os principais virus causadores de pneumonia na criança sãoVSR, parainfluenza e
influenza.
 Outros: adenovirus, rinovirus, virus varicela zoster, CMV, herpes simplex,
enterovirus, etc.
 Vírus mais novos: metapneumovirus, bocavirus, coronavirus.
 Streptococcus pneumoniae é a causa bacteriana mais comum.
 Pneumonias por Streptococcus do grupo A e por Staphylococcus aureus são mais
propensas a evoluir com maior gravidade (UTI) e de causar empiema.
 Em crianças mais velhas, após o S. pneumoniae, os agentes mais comuns sãp
Mycoplasma pneumoniae e Chlamydia pneumoniae.
BTS Guideline. Thorax, 2011;66:ii1-ii23.
Epidemiologia
 A OMS estimou que, de 2000 a 2003, a pneumonia foi responsável por 2
milhões de mortes a cada ano, ou por 19% dos 10,6 milhões de mortes em
menores de 5 anos.
 A maioria destas mortes ocorreu em países em desenvolvimento, onde
uma criança menor de 5 anos morre a cada 7 segundos por infecção respiratória
aguda (IRA).
 A desnutrição é um grande fator de risco para estas mortes.
 Mesmo em países desenvolvidos, a pneumonia é importante causa de
morbidade e de hospitalização.
 No Brasil, as infecções respiratórias agudas (IRA) constituem a segunda causa
de óbito em crianças menores de cinco anos.
Taussig. Pediatric Respiratory Medicine, 2nd
ed., 2008
Pneumonia: the forgotten killer of children. WHO, 2006
http://whqlibdoc.who.int/publications/2006/9280640489_eng.pdf
Diretrizes Bras em PAC em Pediatria. J Bras Pneumol. 2007, 33 (Supl1): S31-S50
http://www.scielo.br/pdf/jbpneu/v33s1/02.pdf
Vias de infecção
 Microaspiração
 Aerossolização/inalação
 Aspiração grosseira
 Via hematogênica
 Contiguidade
Taussig. Pediatric Respiratory Medicine, 2nd
ed., 2008
Mecanismos de
defesa do indivíduo
Quantidade e/ou
virulência do agente
Outras definições importantes
 Pneumonia recorrente (ou de repetição) é definida como 2 ou mais
episódios de pneumonia em um único ano ou 3 ou mais episódios a cada
ano, com radiografias normais entre eles.
 Uma condição predisponente deve ser considerada ao se abordar uma criança
com pneumonia bacteriana recorrente.
 Pneumonia de resolução lenta refere-se à persistência de sintomas ou
de anormalidade radiológica além do tempo esperado.
 Este tempo depende do agente etiológico envolvido, da extensão da
doença e da presença de complicações associadas.
Nelson Textbook of Pediatrics, 19th ed, 2011
Fatores de Risco
 Desnutrição
 Baixa idade
 Comorbidades
 Baixo peso ao nascer
 Creche
 Sibilos/pneumonias prévios
 Ausência de aleitamento materno
 Vacinação incompleta
 Condições sócio-econômicas
 Condições ambientais
Diretrizes Bras em PAC em Pediatria. J Bras Pneumol. 2007, 33 (Supl1): S31-S50
Nelson Textbook of Pediatrics, 19th ed, 2011
Etiologia infecciosa
Diretrizes Bras em PAC em Pediatria. J Bras Pneumol. 2007, 33 (Supl1): S31-S50
http://www.scielo.br/pdf/jbpneu/v33s1/02.pdf
Etiologia infecciosa
IDADE
ORIGEM DA INFECÇÃO
DOENÇA DE BASE
Etiologia das PAC de acordo com a idade
Idade Patógeno (ordem de frequência)
RN
 < 3 dias Streptococcus do grupo B, Gram negativo (sobretudo E. coli),
Listeria sp. (pouco comum em nosso meio)
 > 3 dias Staphylococcus aureus, Staphylococcus epidermidis e Gram negativo
1 a 3 meses Vírus Sincicial Respiratório (VSR), Chlamydia trachomatis,
Ureaplasma urealiticum
1 mês a 2 anos Vírus, Streptococcus pneumoniae, Haemophilus influenzae tipo B,
H. influenzae não tipável, S. aureus
2 a 5 anos Vírus, S. pneumoniae, H. influenzae tipo B, H influenzae não
tipável, Mycoplasma pneumoniae, Chlamydia pneumoniae, S. aureus
6 a 18 anos Vírus, S. pneumoniae, C. pneumoniae, H. influenzae não tipável
Diretrizes Bras em PAC em Pediatria. J Bras Pneumol. 2007, 33 (Supl1): S31-S50
http://www.scielo.br/pdf/jbpneu/v33s1/02.pdf
Agentes etiológicos em doenças de base
Situação Agentes etiológicos
Imunodeficiência * Pneumocystis jiroveci
* CMV
* Fungos
* Mycobacterium tuberculosis
Anemia falciforme * S. pneumoniae
* H. influenzae
* M. pneumoniae
Fibrose cística * S. aureus
* H. influenzae
* P. aeruginosa
* Burkholderia cepacia
Encefalopatias crônicas, AVC, Demência * Anaeróbios
* K. pneumoniae
Cetoacidose diabética * Streptococcus pneumoniae
* Staphylococcus aureus
Alcoolismo * Streptococcus pneumoniae
* Klebsiella pneumoniae
* S. aureus
* Anaeóbios
Agentes etiológicos segundo a
origem da infecção
Pneumonia Comunitária Pneumonia Hospitalar
Streptococcus pneumoniae Staphylococcus aureus
Staphylococcus aureus Pseudomonas aeruginosa
Haemophilus influenzae Gram negativos
Mycoplasma, Chlamydia Fungos
Virus
 IVAS precedente é comum.
 Principais manifestações
(OMS): tosse, taquipnéia e
dificuldade respiratória.
 Febre pode estar ausente.
 Dor abdominal é queixa
freqüente em criança.
 Sinais sugestivos ao exame
do tórax.
 Clínica menos clássica
quanto menor for a criança.
Manifestações clínicas
Diretrizes Bras em PAC em Pediatria. J Bras Pneumol. 2007, 33 (Supl1): S31-S50
http://www.scielo.br/pdf/jbpneu/v33s1/02.pdf
Nelson Textbook of Pediatrics, 19th ed, 2011
Manifestações clínicas
Diagnóstico
“Para a criança com pneumonia sem gravidade, que vai ser
tratada na comunidade,
nenhum exame complementar é necessário.”
“Para a criança com pneumonia sem gravidade, que vai ser
tratada na comunidade,
nenhum exame complementar é necessário.”
BTS Guideline. Thorax, 2011;66:ii1-ii23.
Diagnóstico
 Clínica
 Oximetria
 Radiografia de tórax
 Reagentes de fase aguda
 Exames específicos em busca da
etiologia
 Exames especializados em caso de
complicações.
Nelson Textbook of Pediatrics, 19th ed, 2011
Diretrizes Bras em PAC em Pediatria. J Bras Pneumol. 2007, 33 (Supl1): S31-S50
http://www.scielo.br/pdf/jbpneu/v33s1/02.pdf
BTS Guideline. Thorax, 2011;66:ii1-ii23
PCP Guidelines. CID, 2011:53:e25e76
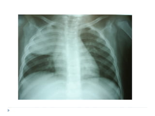
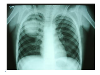
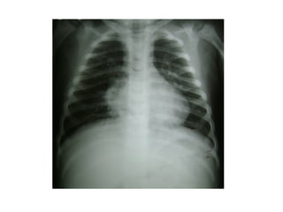
Radiografia
 Não precisa ser feita na criança tratada em casa.
 Radiografias em perfil não precisam ser feitas rotineiramente,
em todos os casos.
 A imagem radiológica não distingue etiologia viral ou
bacteriana.
 Não se recomenda radiografias de controle, exceto para
pneumonias complicadas, como com derrame pleural ou
atelectasia.
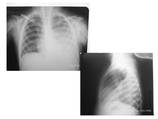
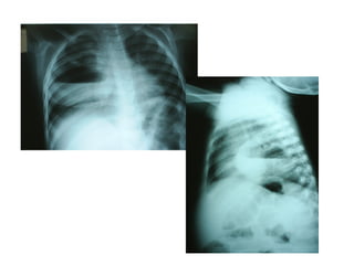
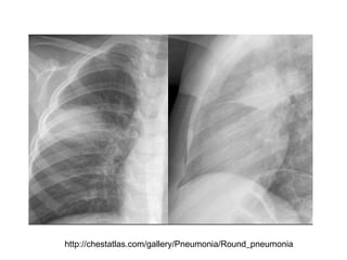
Manifestações radiográficas
Pneumonia por Mycoplasma, sorologia positiva
http://chestatlas.com/gallery/Pneumonia/Round_pneumonia
Reagentes de fase aguda
 Exemplos: hemograma, proteína C reativa (PCR),VHS,
citocinas, procalcitonina.
 Não distiguem pneumonias virais de bacterianas.
 Não devem ser realizados de rotina.
 PCR não é útil em pneumonias não complicadas.
Diagnóstico etiológico
Investigações microbiológicas não devem ser feitas para
crianças com doença leve tratadas no domicílio.
No entanto, devem ser feitas em crianças graves,
internadas em CTI, ou com complicações de pneumonia
Investigações microbiológicas não devem ser feitas para
crianças com doença leve tratadas no domicílio.
No entanto, devem ser feitas em crianças graves,
internadas em CTI, ou com complicações de pneumonia
BTS Guideline. Thorax, 2011;66:ii1-ii23.
Diagnóstico etiológico
 Hemocultura
 Secreção nasofaríngea ou swab nasal para detecção viral por PCR e/ou
imunofluorescência
 Sorologia de fase auda e de convelescença para agentes virais, Mycoplasma e
Chlamydia.
 Se tiver derrame pleural, o líquido deve ser enviado para microscopia,
cultura, pesquisa de antígenos pneumocócicos e/ou PCR,
 Pesquisa de antígenos urinários para pneumococo não é recomendada para
crianças.
Tratamento
 A escolha do antibiótico é empírica geralmente.
 A decisão por tratamento ambulatorial ou hospitalar se baseia na gravidade
do quadro e leva em consideração também a idade da criança, o local
onde adquiriu a pneumonia e a existência ou não de doença de base
e/ou fatores de risco.
Taussig. Pediatric Respiratory Medicine, 2nd
ed., 2008
Classificação de gravidade
em crianças de 2 meses a 5 anos
(OMS, 2005)
Sinal ou sintoma Classificação
Cianose central Pneumonia muito grave
Dificuldade respiratória grave Pneumonia muito grave
Incapacidade de beber Pneumonia muito grave
Tiragem subcostal Pneumonia grave
Respiração rápida Pneumonia
Estertores finos à ausculta pulmonar Pneumonia
Nenhum dos sinais NÃO é pneumonia
CRITÉRIOS MODIFICADOS
Diretrizes Bras em PAC em Pediatria. J Bras Pneumol. 2007, 33 (Supl1): S31-S50
http://www.scielo.br/pdf/jbpneu/v33s1/02.pdf
Fatores indicativos de internação
 Idade < 6 meses (principalmente < 2 meses)
 Prematuridade ou baixo peso ao nascer
 Recusa em ingerir líquidos ou desidratação
 Dificuldade respiratória (ex. tiragem subcostal), gemido, apnéias
 Sinais de hipoxemia; saturação <92%
 Comorbidades: anemia, cardiopatia, desnutrição grave, doenças respiratórias
que causam infecções, como fibrose cística e bronquiectasias, imunodeficiências, etc.
 Convulsões
 Sinais radiológicos de gravidade: derrame pleural, pneumatoceles, abscesso
 Falha da terapêutica ambulatorial
 Problema social
J Pneumol, 24 (2), 1998
Diretrizes Bras em PAC em Pediatria. J Bras Pneumol. 2007, 33 (Supl1): S31-S50
BTS Guideline. Thorax, 2011;66:ii1-ii23.
Tratamento domiciliar
 Manter o estado nutricional
 Manter o estado de hidratação
 Antibiótico
 Anti-térmico
 Manter as vias aéreas pérvias
Os pais/responsáveis devem ser alertados sobre quais sinais
observar na reavaliação da criança no domicílio.
Os pais/responsáveis devem ser alertados sobre quais sinais
observar na reavaliação da criança no domicílio.
Diretrizes Bras em PAC em Pediatria. J Bras Pneumol. 2007, 33 (Supl1): S31-S50
BTS Guideline. Thorax, 2011;66:ii1-ii23.
 Manter as vias aéreas limpas e livres de secreções.
 Hidratar a criança. Monitorizar eletrólitos e escórias.
 Tratar a febre e a dor.
 Tratar a sibilância, quando presente.
 Escolher adequadamente o agente antimicrobiano.
 Garantir a oxigenioterapia adequada, quando for necessária.
 Avaliar a evolução cuidadosamente.
 Fisioterapia de rotina NÃO está indicada.
Tratamento hospitalar
Diretrizes Bras em PAC em Pediatria. J Bras Pneumol. 2007, 33 (Supl1): S31-S50
BTS Guideline. Thorax, 2011;66:ii1-ii23.
Oxigenioterapia
Agitação pode ser um sinal de que a criança está hipoxêmica.
Antibióticos iniciais de escolha
Diretrizes Bras em PAC em Pediatria. J Bras Pneumol. 2007, 33 (Supl1): S31-S50; Pulmão RJ 2009; Supl 1:S50-S53
Idade / Condição Ambulatorial Hospitalar
< 2 meses -- Ampicilina +
Aminoglicosídio
> 2 meses Amoxicilina ou
Penicilina Procaína
Penicilina cristalina
Pn. Atípica
em < 2meses
-- Macrolídeo
Pn Atípica
em > 2 meses
Macrolídeo Macrolídeo
Tratamento de crianças internadas
Diretrizes Bras em PAC em Pediatria. J Bras Pneumol. 2007, 33 (Supl1): S31-S50; Pulmão RJ 2009; Supl 1:S50-S53
 Derrame pleural
 Pneumatoceles
 Pneumotórax /piopneumotórax
 Pneumonia necrotizante/Abscesso pulmonar
outras.
Complicações
BTS Guideline. Thorax, 2011;66:ii1-ii23.
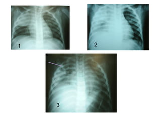
1 2
3
 Manutenção do bom estado nutricional
 Vacinação
 Combate ao tabagismo passivo
Medidas de prevenção
BTS Guideline. Thorax, 2011;66:ii1-ii23.

1. pneumonias (06 jan2015)

  • 1.
  • 2.
    Definição Pneumonia é umainflamação do parênquima pulmonar, na maioria das vezes de causa infecciosa. Nelson Textbook of Pediatrics, 19th ed, 2011
  • 3.
    Causas NÃO INFECCIOSAS INFECCIOSAS Aspiração  Corpo estranho  Substâncias lipóides  Reações de hipersensibilidade  Pneumonite induzida por droga ou radiação  Vírus  Bactérias  Mycoplasma  Fungos  Protozoários etc. Nelson Textbook of Pediatrics, 19th ed, 2011
  • 4.
    Causas infecciosas  Umterço das pneumonias comunitárias (PACs) são causadas por infecções mistas (virus e bactérias). – 23 a 33%.  Vírus parecem causar 30-67% das PACs em crianças, sendo mais comuns em menores de 1 ano e menos comuns acima dos 2 anos. --- 77 vs 59%.  Bactérias também causam pneumonias em menores de 2 anos. Na metade dos casos representam infecções mistas.  Com o avançar da idade as bactérias se tornam mais comuns e as infecções mistas menos frequentes. BTS Guideline. Thorax, 2011;66:ii1-ii23.
  • 5.
    Causas infecciosas  Osprincipais virus causadores de pneumonia na criança sãoVSR, parainfluenza e influenza.  Outros: adenovirus, rinovirus, virus varicela zoster, CMV, herpes simplex, enterovirus, etc.  Vírus mais novos: metapneumovirus, bocavirus, coronavirus.  Streptococcus pneumoniae é a causa bacteriana mais comum.  Pneumonias por Streptococcus do grupo A e por Staphylococcus aureus são mais propensas a evoluir com maior gravidade (UTI) e de causar empiema.  Em crianças mais velhas, após o S. pneumoniae, os agentes mais comuns sãp Mycoplasma pneumoniae e Chlamydia pneumoniae. BTS Guideline. Thorax, 2011;66:ii1-ii23.
  • 6.
    Epidemiologia  A OMSestimou que, de 2000 a 2003, a pneumonia foi responsável por 2 milhões de mortes a cada ano, ou por 19% dos 10,6 milhões de mortes em menores de 5 anos.  A maioria destas mortes ocorreu em países em desenvolvimento, onde uma criança menor de 5 anos morre a cada 7 segundos por infecção respiratória aguda (IRA).  A desnutrição é um grande fator de risco para estas mortes.  Mesmo em países desenvolvidos, a pneumonia é importante causa de morbidade e de hospitalização.  No Brasil, as infecções respiratórias agudas (IRA) constituem a segunda causa de óbito em crianças menores de cinco anos. Taussig. Pediatric Respiratory Medicine, 2nd ed., 2008 Pneumonia: the forgotten killer of children. WHO, 2006 http://whqlibdoc.who.int/publications/2006/9280640489_eng.pdf Diretrizes Bras em PAC em Pediatria. J Bras Pneumol. 2007, 33 (Supl1): S31-S50 http://www.scielo.br/pdf/jbpneu/v33s1/02.pdf
  • 8.
    Vias de infecção Microaspiração  Aerossolização/inalação  Aspiração grosseira  Via hematogênica  Contiguidade
  • 9.
    Taussig. Pediatric RespiratoryMedicine, 2nd ed., 2008
  • 10.
    Mecanismos de defesa doindivíduo Quantidade e/ou virulência do agente
  • 11.
    Outras definições importantes Pneumonia recorrente (ou de repetição) é definida como 2 ou mais episódios de pneumonia em um único ano ou 3 ou mais episódios a cada ano, com radiografias normais entre eles.  Uma condição predisponente deve ser considerada ao se abordar uma criança com pneumonia bacteriana recorrente.  Pneumonia de resolução lenta refere-se à persistência de sintomas ou de anormalidade radiológica além do tempo esperado.  Este tempo depende do agente etiológico envolvido, da extensão da doença e da presença de complicações associadas. Nelson Textbook of Pediatrics, 19th ed, 2011
  • 12.
    Fatores de Risco Desnutrição  Baixa idade  Comorbidades  Baixo peso ao nascer  Creche  Sibilos/pneumonias prévios  Ausência de aleitamento materno  Vacinação incompleta  Condições sócio-econômicas  Condições ambientais Diretrizes Bras em PAC em Pediatria. J Bras Pneumol. 2007, 33 (Supl1): S31-S50 Nelson Textbook of Pediatrics, 19th ed, 2011
  • 13.
    Etiologia infecciosa Diretrizes Brasem PAC em Pediatria. J Bras Pneumol. 2007, 33 (Supl1): S31-S50 http://www.scielo.br/pdf/jbpneu/v33s1/02.pdf
  • 14.
    Etiologia infecciosa IDADE ORIGEM DAINFECÇÃO DOENÇA DE BASE
  • 15.
    Etiologia das PACde acordo com a idade Idade Patógeno (ordem de frequência) RN  < 3 dias Streptococcus do grupo B, Gram negativo (sobretudo E. coli), Listeria sp. (pouco comum em nosso meio)  > 3 dias Staphylococcus aureus, Staphylococcus epidermidis e Gram negativo 1 a 3 meses Vírus Sincicial Respiratório (VSR), Chlamydia trachomatis, Ureaplasma urealiticum 1 mês a 2 anos Vírus, Streptococcus pneumoniae, Haemophilus influenzae tipo B, H. influenzae não tipável, S. aureus 2 a 5 anos Vírus, S. pneumoniae, H. influenzae tipo B, H influenzae não tipável, Mycoplasma pneumoniae, Chlamydia pneumoniae, S. aureus 6 a 18 anos Vírus, S. pneumoniae, C. pneumoniae, H. influenzae não tipável Diretrizes Bras em PAC em Pediatria. J Bras Pneumol. 2007, 33 (Supl1): S31-S50 http://www.scielo.br/pdf/jbpneu/v33s1/02.pdf
  • 16.
    Agentes etiológicos emdoenças de base Situação Agentes etiológicos Imunodeficiência * Pneumocystis jiroveci * CMV * Fungos * Mycobacterium tuberculosis Anemia falciforme * S. pneumoniae * H. influenzae * M. pneumoniae Fibrose cística * S. aureus * H. influenzae * P. aeruginosa * Burkholderia cepacia Encefalopatias crônicas, AVC, Demência * Anaeróbios * K. pneumoniae Cetoacidose diabética * Streptococcus pneumoniae * Staphylococcus aureus Alcoolismo * Streptococcus pneumoniae * Klebsiella pneumoniae * S. aureus * Anaeóbios
  • 17.
    Agentes etiológicos segundoa origem da infecção Pneumonia Comunitária Pneumonia Hospitalar Streptococcus pneumoniae Staphylococcus aureus Staphylococcus aureus Pseudomonas aeruginosa Haemophilus influenzae Gram negativos Mycoplasma, Chlamydia Fungos Virus
  • 18.
     IVAS precedenteé comum.  Principais manifestações (OMS): tosse, taquipnéia e dificuldade respiratória.  Febre pode estar ausente.  Dor abdominal é queixa freqüente em criança.  Sinais sugestivos ao exame do tórax.  Clínica menos clássica quanto menor for a criança. Manifestações clínicas Diretrizes Bras em PAC em Pediatria. J Bras Pneumol. 2007, 33 (Supl1): S31-S50 http://www.scielo.br/pdf/jbpneu/v33s1/02.pdf Nelson Textbook of Pediatrics, 19th ed, 2011
  • 19.
  • 20.
    Diagnóstico “Para a criançacom pneumonia sem gravidade, que vai ser tratada na comunidade, nenhum exame complementar é necessário.” “Para a criança com pneumonia sem gravidade, que vai ser tratada na comunidade, nenhum exame complementar é necessário.” BTS Guideline. Thorax, 2011;66:ii1-ii23.
  • 21.
    Diagnóstico  Clínica  Oximetria Radiografia de tórax  Reagentes de fase aguda  Exames específicos em busca da etiologia  Exames especializados em caso de complicações. Nelson Textbook of Pediatrics, 19th ed, 2011 Diretrizes Bras em PAC em Pediatria. J Bras Pneumol. 2007, 33 (Supl1): S31-S50 http://www.scielo.br/pdf/jbpneu/v33s1/02.pdf BTS Guideline. Thorax, 2011;66:ii1-ii23 PCP Guidelines. CID, 2011:53:e25e76
  • 22.
    Radiografia  Não precisaser feita na criança tratada em casa.  Radiografias em perfil não precisam ser feitas rotineiramente, em todos os casos.  A imagem radiológica não distingue etiologia viral ou bacteriana.  Não se recomenda radiografias de controle, exceto para pneumonias complicadas, como com derrame pleural ou atelectasia.
  • 23.
  • 27.
    Pneumonia por Mycoplasma,sorologia positiva
  • 30.
  • 31.
    Reagentes de faseaguda  Exemplos: hemograma, proteína C reativa (PCR),VHS, citocinas, procalcitonina.  Não distiguem pneumonias virais de bacterianas.  Não devem ser realizados de rotina.  PCR não é útil em pneumonias não complicadas.
  • 32.
    Diagnóstico etiológico Investigações microbiológicasnão devem ser feitas para crianças com doença leve tratadas no domicílio. No entanto, devem ser feitas em crianças graves, internadas em CTI, ou com complicações de pneumonia Investigações microbiológicas não devem ser feitas para crianças com doença leve tratadas no domicílio. No entanto, devem ser feitas em crianças graves, internadas em CTI, ou com complicações de pneumonia BTS Guideline. Thorax, 2011;66:ii1-ii23.
  • 33.
    Diagnóstico etiológico  Hemocultura Secreção nasofaríngea ou swab nasal para detecção viral por PCR e/ou imunofluorescência  Sorologia de fase auda e de convelescença para agentes virais, Mycoplasma e Chlamydia.  Se tiver derrame pleural, o líquido deve ser enviado para microscopia, cultura, pesquisa de antígenos pneumocócicos e/ou PCR,  Pesquisa de antígenos urinários para pneumococo não é recomendada para crianças.
  • 34.
    Tratamento  A escolhado antibiótico é empírica geralmente.  A decisão por tratamento ambulatorial ou hospitalar se baseia na gravidade do quadro e leva em consideração também a idade da criança, o local onde adquiriu a pneumonia e a existência ou não de doença de base e/ou fatores de risco. Taussig. Pediatric Respiratory Medicine, 2nd ed., 2008
  • 35.
    Classificação de gravidade emcrianças de 2 meses a 5 anos (OMS, 2005) Sinal ou sintoma Classificação Cianose central Pneumonia muito grave Dificuldade respiratória grave Pneumonia muito grave Incapacidade de beber Pneumonia muito grave Tiragem subcostal Pneumonia grave Respiração rápida Pneumonia Estertores finos à ausculta pulmonar Pneumonia Nenhum dos sinais NÃO é pneumonia CRITÉRIOS MODIFICADOS Diretrizes Bras em PAC em Pediatria. J Bras Pneumol. 2007, 33 (Supl1): S31-S50 http://www.scielo.br/pdf/jbpneu/v33s1/02.pdf
  • 36.
    Fatores indicativos deinternação  Idade < 6 meses (principalmente < 2 meses)  Prematuridade ou baixo peso ao nascer  Recusa em ingerir líquidos ou desidratação  Dificuldade respiratória (ex. tiragem subcostal), gemido, apnéias  Sinais de hipoxemia; saturação <92%  Comorbidades: anemia, cardiopatia, desnutrição grave, doenças respiratórias que causam infecções, como fibrose cística e bronquiectasias, imunodeficiências, etc.  Convulsões  Sinais radiológicos de gravidade: derrame pleural, pneumatoceles, abscesso  Falha da terapêutica ambulatorial  Problema social J Pneumol, 24 (2), 1998 Diretrizes Bras em PAC em Pediatria. J Bras Pneumol. 2007, 33 (Supl1): S31-S50 BTS Guideline. Thorax, 2011;66:ii1-ii23.
  • 37.
    Tratamento domiciliar  Mantero estado nutricional  Manter o estado de hidratação  Antibiótico  Anti-térmico  Manter as vias aéreas pérvias Os pais/responsáveis devem ser alertados sobre quais sinais observar na reavaliação da criança no domicílio. Os pais/responsáveis devem ser alertados sobre quais sinais observar na reavaliação da criança no domicílio. Diretrizes Bras em PAC em Pediatria. J Bras Pneumol. 2007, 33 (Supl1): S31-S50 BTS Guideline. Thorax, 2011;66:ii1-ii23.
  • 38.
     Manter asvias aéreas limpas e livres de secreções.  Hidratar a criança. Monitorizar eletrólitos e escórias.  Tratar a febre e a dor.  Tratar a sibilância, quando presente.  Escolher adequadamente o agente antimicrobiano.  Garantir a oxigenioterapia adequada, quando for necessária.  Avaliar a evolução cuidadosamente.  Fisioterapia de rotina NÃO está indicada. Tratamento hospitalar Diretrizes Bras em PAC em Pediatria. J Bras Pneumol. 2007, 33 (Supl1): S31-S50 BTS Guideline. Thorax, 2011;66:ii1-ii23.
  • 39.
    Oxigenioterapia Agitação pode serum sinal de que a criança está hipoxêmica.
  • 40.
    Antibióticos iniciais deescolha Diretrizes Bras em PAC em Pediatria. J Bras Pneumol. 2007, 33 (Supl1): S31-S50; Pulmão RJ 2009; Supl 1:S50-S53 Idade / Condição Ambulatorial Hospitalar < 2 meses -- Ampicilina + Aminoglicosídio > 2 meses Amoxicilina ou Penicilina Procaína Penicilina cristalina Pn. Atípica em < 2meses -- Macrolídeo Pn Atípica em > 2 meses Macrolídeo Macrolídeo
  • 41.
    Tratamento de criançasinternadas Diretrizes Bras em PAC em Pediatria. J Bras Pneumol. 2007, 33 (Supl1): S31-S50; Pulmão RJ 2009; Supl 1:S50-S53
  • 42.
     Derrame pleural Pneumatoceles  Pneumotórax /piopneumotórax  Pneumonia necrotizante/Abscesso pulmonar outras. Complicações BTS Guideline. Thorax, 2011;66:ii1-ii23.
  • 46.
  • 49.
     Manutenção dobom estado nutricional  Vacinação  Combate ao tabagismo passivo Medidas de prevenção BTS Guideline. Thorax, 2011;66:ii1-ii23.

Notas do Editor

  • #2 Nosso enfoque principal será em PAC. Def. É aquela que acomete o paciente for a do ambiente hospitalar ou que surge nas primeiras 48 horas da admissão.
  • #7 A maioria das crianças tem 4 a 6 IRA por ano. Destas, 2 a 3% evoluem para pneumonia. Entretanto 80% das mortes por IRA é devido a pneumonia. Sete a 13% necessitam de internação hospitalar devido à gravidade.
  • #12 A maioria das crianças tem 4 a 6 IRA por ano. Destas, 2 a 3% evoluem para pneumonia. Entretanto 80% das mortes por IRA é devido a pneumonia. Sete a 13% necessitam de internação hospitalar devido à gravidade.