Abordagem da Criança com Pneumonias de Repetição Mônica de  Cássia  Firmida Pneumologista Pediátrica HFB Professora UERJ e UNIGRANRIO
Introdução A incidência de pneumonia adquirida na comunidade (PAC) em crianças varia de 15 a 40/1000 em países desenvolvidos. Uma definição para  pneumonias recorrentes :  2 ou mais episódios em um ano ou 3 ou mais episódios em qualquer intervalo, com radiografias normais nos intervalos.  Encaixam-se nesta definição 7,7 a 9% de todas as crianças com pneumonia. As pneumonias são importante causa de mortalidade. Pediatr Infect Dis J 2005; 24:265-266
É  mesmo de “pneumonia de repetição”? Anamnese retrospectiva de cada episódio e intervalo Detalhamento de toda a anamnese, em busca de doenças sistêmicas ou de órgãos correlatos História familiar Pesquisar fatores sócio-ambientais de risco para infecções Análise de radiografias (RX) Análise de receitas, relatórios, resumos de alta Exame físico completo
 
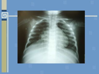
RX: A imagem é “pneumonia”?
HEAPN, 2006
As imagens são no mesmo local do pulmão?
 
As imagens são em locais diferentes  dos pulmões?  Taussig,2008
Há outras  infecções  de repetição?
Os 10 Sinais de Alerta para  Imunodeficiência Primária na Criança 1. Duas ou mais Pneumonias no último ano 2. Quatro ou mais novas Otites no último ano. 3. Estomatites de repetição ou Monilíase por mais de dois meses. 4. Abcessos de repetição ou ectima. 5. Um episódio de infecção sistêmica grave (meningite, osteoartrite, septicemia) 6. Infecções intestinais de repetição / diarréia crônica / giardíase 7. Asma grave, doença do colágeno ou doença auto-imune 8. Efeito adverso ao BCG e/ou infecção por Micobactéria 9. Fenótipo clínico sugestivo de síndrome associada a Imunodeficiência 10. História familiar de imunodeficiência . Fundação Jeffrey Modell (EUA), 1996
Há sinais de doenças de base? ASMA / ATOPIA IMUNODEFICIÊNCIA DISCINESIA CILIAR FIBROSE CÍSTICA CARDIOPATIA SÍNDROMES GENÉTICAS ANEMIA FALCIFORME
Jornal BRAGID, ano III, n.6, 2008 http://www.imunopediatria.org.br/download/jornal_bragid_06.pdf

Pneumonias de repetição

  • 1.
    Abordagem da Criançacom Pneumonias de Repetição Mônica de Cássia Firmida Pneumologista Pediátrica HFB Professora UERJ e UNIGRANRIO
  • 2.
    Introdução A incidênciade pneumonia adquirida na comunidade (PAC) em crianças varia de 15 a 40/1000 em países desenvolvidos. Uma definição para pneumonias recorrentes : 2 ou mais episódios em um ano ou 3 ou mais episódios em qualquer intervalo, com radiografias normais nos intervalos. Encaixam-se nesta definição 7,7 a 9% de todas as crianças com pneumonia. As pneumonias são importante causa de mortalidade. Pediatr Infect Dis J 2005; 24:265-266
  • 3.
    É mesmode “pneumonia de repetição”? Anamnese retrospectiva de cada episódio e intervalo Detalhamento de toda a anamnese, em busca de doenças sistêmicas ou de órgãos correlatos História familiar Pesquisar fatores sócio-ambientais de risco para infecções Análise de radiografias (RX) Análise de receitas, relatórios, resumos de alta Exame físico completo
  • 4.
  • 5.
    RX: A imagemé “pneumonia”?
  • 6.
  • 7.
    As imagens sãono mesmo local do pulmão?
  • 8.
  • 9.
    As imagens sãoem locais diferentes dos pulmões? Taussig,2008
  • 10.
    Há outras infecções de repetição?
  • 11.
    Os 10 Sinaisde Alerta para Imunodeficiência Primária na Criança 1. Duas ou mais Pneumonias no último ano 2. Quatro ou mais novas Otites no último ano. 3. Estomatites de repetição ou Monilíase por mais de dois meses. 4. Abcessos de repetição ou ectima. 5. Um episódio de infecção sistêmica grave (meningite, osteoartrite, septicemia) 6. Infecções intestinais de repetição / diarréia crônica / giardíase 7. Asma grave, doença do colágeno ou doença auto-imune 8. Efeito adverso ao BCG e/ou infecção por Micobactéria 9. Fenótipo clínico sugestivo de síndrome associada a Imunodeficiência 10. História familiar de imunodeficiência . Fundação Jeffrey Modell (EUA), 1996
  • 12.
    Há sinais dedoenças de base? ASMA / ATOPIA IMUNODEFICIÊNCIA DISCINESIA CILIAR FIBROSE CÍSTICA CARDIOPATIA SÍNDROMES GENÉTICAS ANEMIA FALCIFORME
  • 13.
    Jornal BRAGID, anoIII, n.6, 2008 http://www.imunopediatria.org.br/download/jornal_bragid_06.pdf