BRONQUITE
INTRODUÇÃO
 Bronquite é um componente de (quase) todas as doenças
das vias aéreas.
 Inflamação dos brônquios.
 Diferentes classificações (duração, tipo de inflamação,
fenótipo e síndromes clínicas).
 Tosse é o sintoma predominante.
 Tosse é o principal motivo de busca por atenção médica*.
* Onde há dados epidemilógicos disponíveis.
Kendig, 2012
Kendig, 2012
Kendig, 2012
AVALIANDO A CRIANÇA COM TOSSE
 Avaliação sistemática.
 Classificação quanto a duração, tipo de tosse e possível
etiologia.
 Fenótipo ou síndromes bronquíticas na criança.
 Fatores precipitantes
Kendig, 2012
II Diretrizes brasileiras no manejo da tosse crônica.
Jornal Brasileiro de Pneumologia 2006;32(Suppl. 6):s403-s446.
Bronquite aguda
 CID 20.9
 Termo impreciso
 Causa mais comum: IRA viral
 Vírus, bactéria, mycoplasma e chlamydia
 17 a 33% têm coinfecção bacteriana
 A frequência diminui com a idade
 Duração média 2 a 5 dias; até 7-14 dias
 Persistência de sintomas pode sugerir infecção bacteriana
(favorecida pelo insulto viral ou primária)
Kendig, 2012
Bronquite aguda
 Avaliar a possibilidade etiológica
 Complicações em 8-12% das IRA de VAS
 Febre e alterações radiológicas podem sugerir complicações
 Tosse aguda também pode ser sintoma de doença de base
 Taquipnéia e tiragem são preditores de pneumonia
 Radiografia de tórax não traz benefícios para a evolução de
pacientes ambulatoriais
Kendig, 2012
ABORDAGEM CLÍNICA
Kendig, 2012
Bronquite aguda
 Antibióticos
 Sintomáticos para tosse
 Inalação de vapor
 Vitamina C
 Zinco
 Echinacea
 Nimesulide
CONSIDERAÇÕES SOBRE TERAPÊUTICA
Kendig, 2012
Bronquite bacteriana protraída (PBB)
 Entidade clínica recentemente reconhecida
 Um tipo de inflamação brônquica crônica
 Antigamente chamada de “bronquite crônica” ou
outros nome semelhantes.
Kendig, 2012
 Associada com infecção bacteriana das vias aéreas.
 H. influenzae não tipável, S. pneumoniae, M. catharralis
 Fatores predisponentes
 Inflamação predominantemente neutrofílica
 Disfunção da imunidade inata?
 Bronquite bacteriana protraída (BBP)/ doença pulmonar
crônica supurativa (DPCS)/bronquiectasias
 Prognóstico
Bronquite bacteriana protraída (PBB)
PATOGENIA
Kendig, 2012
Bronquite bacteriana protraída (PBB)
 Mais comum em crianças menores de 5 anos.
 Sem sinais sistêmicos de outras doenças.
 Alguns pais referem “chiado”.
 Traqueomalacia/broncomalacia podem coexistir.
 “Murmúrio rude”.
 Muitos têm diagnóstico errôneo de “asma”.
 RX: espessamento peribrônquico ou normal.
 Morbidade elevada.
 Melhora com curso de antibiótico prolongado.
Kendig, 2012
CLÍNICA
Bronquite bacteriana protraída (PBB)
1. História de tosse produtiva crônica (>4 sem)
2. Resolução com tratamento antibiótico
3. Exclusão de outras causas específicas
CRITÉRIOS CLÍNICOS
Kendig, 2012
Bronquite bacteriana protraída (PBB)
1. História de tosse produtiva crônica
2. Cultura de LBA positiva (> 105 NFC/ml)
3. Resposta ao tratamento antibiótico, com resolução em 2
semanas.
DESCRIÇÃO -TRÊS CRITÉRIOS
Kendig, 2012
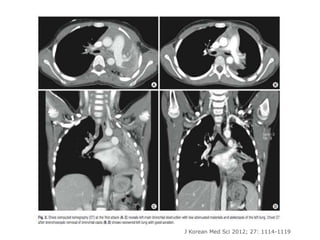
Bronquite plástica
 Rara
 Cristais brônquicos obstruem as vias aéreas
 CRISTAIS TIPO I – Inflamatórios, fibrina e infiltrados
celulares – em doenças pulmonares inflamatórias
 CRISTAIS TIPO II – Acelulares, mucina – pós cirurgia de
cardiopatias congênitas
 Patogênese da formação de cristais desconhecida
Kendig, 2012
Bronquite plástica
 Defeitos cardíacos (pp/ pós procedimento de Fontan)
 Doença falciforme (síndrome torácica aguda)
 Asma
 Aspergilose
 Pneumonia
 Fibrose cística
 Desordens linfáticas pulmonares
 Infiltrados neoplásicos
ETIOLOGIA
Kendig, 2012
Bronquite plástica
 Tosse e dificuldade respiratória
 Dor torácica (pode ocorrer)
 RX = atelectasia
 Casos graves: doença cardíaca ou asma
 Diagnóstico/tratamento: broncoscopia
MANIFESTAÇÕES CLÍNICAS
Kendig, 2012
Bronquite plástica
 Broncoscopia
 Relatos de tratamento com rhDNAse
 Outros: corticóide inalatório, ativador de plasminogênio
tecidual, macrolídeos e heparina inalatória.
 Alternativa: instilação direta de solução de bicarbonato
pela broncoscopia (?).
TRATAMENTO
Kendig, 2012
J Korean Med Sci 2012; 27: 1114-1119
J Korean Med Sci 2012; 27: 1114-1119
J Korean Med Sci 2012; 27: 1114-1119
OBRIGADA

Bronquite

  • 1.
  • 3.
    INTRODUÇÃO  Bronquite éum componente de (quase) todas as doenças das vias aéreas.  Inflamação dos brônquios.  Diferentes classificações (duração, tipo de inflamação, fenótipo e síndromes clínicas).  Tosse é o sintoma predominante.  Tosse é o principal motivo de busca por atenção médica*. * Onde há dados epidemilógicos disponíveis. Kendig, 2012
  • 4.
  • 5.
  • 6.
    AVALIANDO A CRIANÇACOM TOSSE  Avaliação sistemática.  Classificação quanto a duração, tipo de tosse e possível etiologia.  Fenótipo ou síndromes bronquíticas na criança.  Fatores precipitantes Kendig, 2012
  • 7.
    II Diretrizes brasileirasno manejo da tosse crônica. Jornal Brasileiro de Pneumologia 2006;32(Suppl. 6):s403-s446.
  • 8.
    Bronquite aguda  CID20.9  Termo impreciso  Causa mais comum: IRA viral  Vírus, bactéria, mycoplasma e chlamydia  17 a 33% têm coinfecção bacteriana  A frequência diminui com a idade  Duração média 2 a 5 dias; até 7-14 dias  Persistência de sintomas pode sugerir infecção bacteriana (favorecida pelo insulto viral ou primária) Kendig, 2012
  • 9.
    Bronquite aguda  Avaliara possibilidade etiológica  Complicações em 8-12% das IRA de VAS  Febre e alterações radiológicas podem sugerir complicações  Tosse aguda também pode ser sintoma de doença de base  Taquipnéia e tiragem são preditores de pneumonia  Radiografia de tórax não traz benefícios para a evolução de pacientes ambulatoriais Kendig, 2012 ABORDAGEM CLÍNICA
  • 10.
  • 11.
    Bronquite aguda  Antibióticos Sintomáticos para tosse  Inalação de vapor  Vitamina C  Zinco  Echinacea  Nimesulide CONSIDERAÇÕES SOBRE TERAPÊUTICA Kendig, 2012
  • 12.
    Bronquite bacteriana protraída(PBB)  Entidade clínica recentemente reconhecida  Um tipo de inflamação brônquica crônica  Antigamente chamada de “bronquite crônica” ou outros nome semelhantes. Kendig, 2012
  • 13.
     Associada cominfecção bacteriana das vias aéreas.  H. influenzae não tipável, S. pneumoniae, M. catharralis  Fatores predisponentes  Inflamação predominantemente neutrofílica  Disfunção da imunidade inata?  Bronquite bacteriana protraída (BBP)/ doença pulmonar crônica supurativa (DPCS)/bronquiectasias  Prognóstico Bronquite bacteriana protraída (PBB) PATOGENIA Kendig, 2012
  • 14.
    Bronquite bacteriana protraída(PBB)  Mais comum em crianças menores de 5 anos.  Sem sinais sistêmicos de outras doenças.  Alguns pais referem “chiado”.  Traqueomalacia/broncomalacia podem coexistir.  “Murmúrio rude”.  Muitos têm diagnóstico errôneo de “asma”.  RX: espessamento peribrônquico ou normal.  Morbidade elevada.  Melhora com curso de antibiótico prolongado. Kendig, 2012 CLÍNICA
  • 15.
    Bronquite bacteriana protraída(PBB) 1. História de tosse produtiva crônica (>4 sem) 2. Resolução com tratamento antibiótico 3. Exclusão de outras causas específicas CRITÉRIOS CLÍNICOS Kendig, 2012
  • 16.
    Bronquite bacteriana protraída(PBB) 1. História de tosse produtiva crônica 2. Cultura de LBA positiva (> 105 NFC/ml) 3. Resposta ao tratamento antibiótico, com resolução em 2 semanas. DESCRIÇÃO -TRÊS CRITÉRIOS Kendig, 2012
  • 17.
    Bronquite plástica  Rara Cristais brônquicos obstruem as vias aéreas  CRISTAIS TIPO I – Inflamatórios, fibrina e infiltrados celulares – em doenças pulmonares inflamatórias  CRISTAIS TIPO II – Acelulares, mucina – pós cirurgia de cardiopatias congênitas  Patogênese da formação de cristais desconhecida Kendig, 2012
  • 18.
    Bronquite plástica  Defeitoscardíacos (pp/ pós procedimento de Fontan)  Doença falciforme (síndrome torácica aguda)  Asma  Aspergilose  Pneumonia  Fibrose cística  Desordens linfáticas pulmonares  Infiltrados neoplásicos ETIOLOGIA Kendig, 2012
  • 19.
    Bronquite plástica  Tossee dificuldade respiratória  Dor torácica (pode ocorrer)  RX = atelectasia  Casos graves: doença cardíaca ou asma  Diagnóstico/tratamento: broncoscopia MANIFESTAÇÕES CLÍNICAS Kendig, 2012
  • 20.
    Bronquite plástica  Broncoscopia Relatos de tratamento com rhDNAse  Outros: corticóide inalatório, ativador de plasminogênio tecidual, macrolídeos e heparina inalatória.  Alternativa: instilação direta de solução de bicarbonato pela broncoscopia (?). TRATAMENTO Kendig, 2012
  • 21.
    J Korean MedSci 2012; 27: 1114-1119
  • 23.
    J Korean MedSci 2012; 27: 1114-1119
  • 24.
    J Korean MedSci 2012; 27: 1114-1119
  • 25.