Dor Torácica
DISCIPLINA DE PROPEDÊUTICA
Dor Torácica
• Dor é uma experiência sensitiva e emocional desagradável
associada a dano tecidual presente ou potencial e descrita como
relacionada a lesão tecidual
• Dor torácica é um dos sintomas mais comuns na sala de
emergência, ambulatório de cardiologia e de clínica médica
Dor Torácica
• Existem várias causas de dor torácica, entre elas diversas com
potencial risco à vida do paciente
• Importância da avaliação inicial, história clínica e avaliação dos
fatores de risco, além da caracterização da dor e exame físico
Causas de Dor Torácica
• Cardíacas
• Síndrome Coronariana Aguda
• Dissecção de Aorta
• Pericardite
• Valvulopatias
• Cardiomiopatia Hipertrófica
• Não Cardíacas
• Pulmonar – Pleurites, pneumotórax, pneumonia, hipertensão pulmonar,
neoplasias, traqueobronquites
• Musculoesqueléticas – Costocondrite, fraturas, herpes zoster
• TGI
Síndrome Coronariana Aguda
• Envolve largo espectro de condições clínicas que incluem desde a
isquemia silenciosa, passando pela angina aos esforços, a angina
instável e o infarto do miocárdio
• A doença cardiovascular no Brasil é responsável por cerca de 1/3 de
todas as mortes registradas
Síndrome Coronariana Aguda
• Dor resultante da diminuição da oferta de oxigênio por redução do
fluxo coronariano (insuficiência coronariana) e/ou aumento do
consumo pelo miocárdio (esforço físico, hipertrofia do miocárdio)
• Mecanismo de dor
• Metabolismo anaeróbico -> estímulo das fibras simpáticas aferentes ->
gânglios da cadeia simpática -> medula -> tronco -> tálamo e córtex cerebral
(junto com fibras sensitivas somáticas dos dermátomos C8-T4)
Dor visceral, mal definida
Síndrome Coronariana Aguda
• Angina -> Dor em aperto ou queimação na região precordial ou
retroesternal, com irradiação para pescoço e membros superiores,
que pioram com o esforço físico e melhora com repouso e nitrato
Síndrome Coronariana Aguda
• Localização – Geralmente retroesternal ou precordial
(eventualmente com localização extra-torácica)
• Irradiação - Fosse cubital do MSE, pescoço e mandíbula (dorso,
epigástrio e mesmo o braço direito)
• Caráter - Aperto, peso, queimação
• Intensidade – Variável
• Duração
• Angina estável -> geralmente 2 – 3 minutos
• Angina instável e IAM - > 20 minutos
Síndrome Coronariana Aguda
• Fatores desencadeantes
• Angina -> Após esforço físico e estresse
• IAM – Geralmente em repouso
• Fatores atenuantes
• Repouso e vasodilatadores
• Manifestações concomitantes
• Náuseas, vômitos, sudorese fria
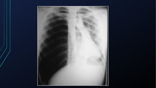
Pericardite
• Inflamação do pericárdio, com início súbito e que pode evoluir com
acúmulo de líquido no espaço pericárdico -> derrame pericárdico
• Causas
• Infecções
• IAM
• Colagenoses
• Uremia
• Trauma
Pericardite
Pericardite
• Dor torácica, retroesternal, pior à inspiração profunda e com a
tosse, podendo irradiar para os ombros, pescoço ou dorso, sem
melhora com esforço. Pode vir acompanhada de febre.
• À ausculta -> pode haver atrito pericárdico
• Em casos de derrame pericárdico o paciente pode assumir a
posição de “Prece Maometana”
Pericardite
• Tamponamento Cardíaco
• Tríade de Beck
• Estase jugular
• Hipotensão
• Abafamento de bulhas
Tamponamento Cardíaco
Dissecção de Aorta
• Laceração entre o revestimento interno e externo da parede da
aorta, com formação de falso trajeto
Dissecção de Aorta
• Dor lancinante, muitas vezes insuportável, súbita, no trajeto da
aorta e médio esternal, com irradiação para o pescoço e dorso
• Ao exame físico pode ser encontrado assimetria de pulso em MMSS
e ausência ou diminuição de pulsos em MMII
• Dissecção retrógrada pode produzir sopro de Insuficiência Aórtica
Valvulopatias
• Estenose Aórtica
• Estreitamento da valva aórtica, impedindo sua abertura total
• Causas -> Congênita, Febre reumática, Degenerativa
• Pode estar associada a dor precordial aos esforços
• Outros -> Síncope, sinais de IC, palpitação
• Tríade clássica -> Dor precordial, dispneia e síncope
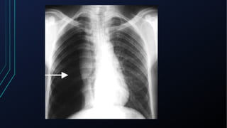
Pneumotórax
• Presença de ar livre no espaço pleural
• Espontâneo
• Primário x Secundário
• Traumático
• Devido a trauma direto ou indireto
• Iatrogênico
• Resultante de procedimento médico
Pneumotórax
• Geralmente dor súbita, aguda e intensa, podendo estar associada a
dispneia
• Ao exame:
• Redução da expansibilidade do lado acometido
• Redução do frêmito tóraco-vocal
• Percussão timpânica
• Murmúrio vesicular reduzido/ausente
Pneumotórax
• Hipertensivo
• Pressão pleural ultrapassa a atmosférica, resultando em redução do retorno
venoso e do débito cardíaco -> paciente evolui com sinais de hipoxemia e de
comprometimento hemodinâmico
• Decorre de aprisionamento progressivo de ar no espaço pleural, resultado
de um mecanismo valvular que favorece a entrada de ar na inspiração, mas
dificulta sua saída na expiração
Pleurites
• Inflamação pleural, com comprometimento do folheto parietal
• Dor pleurítica, localizada em um hemitórax, em peso, pontada ou
facada, que piora com tosse ou respiração profunda. Decúbito
sobre o lado acometido pode aliviar a dor
• Pode ser acompanhada de tosse, febre e dispnéia
• Se inflamação alcançar superfície diafragmática -> irradiação para o
ombro do mesmo lado
Pleurites
• Pode evoluir com derrame pleural
• Causas -> Doenças infecciosas, neoplasias, colagenoses,
pancreatite, embolia pulmonar
Tromboembolismo Pulmonar
• Migração de um êmbolo ou coágulo para o pulmão, geralmente
formado em alguma veia do corpo, especialmente nos MMII
• TVP é a principal responsável pela ocorrência de TEP
• Fatores de risco -> Imobilização, cirurgias ortopédicas, tabagismo,
neoplasias, obesidade, uso de anticoncepcionais, distúrbios de
coagulação
Tromboembolismo Pulmonar
• Manifestações incluem dispneia, dor torácica (semelhante às
pleurites), tosse e palpitações
• Quadro clínico é variável
Outras
• Hipertensão Pulmonar – Semelhante à dor cardíaca, porém sem
fatores de melhora
• Neoplasias – Comprometimento pleural ou ósseo
• Traqueobronquites – Principalmente relacionada com a tosse
Musculoesqueléticas
• Geralmente pioram com a compressão local ou com o movimento dos
MMSS e tronco
• Costocondrite (Síndrome de Tietze)
• Dor persistente, localizada na região esternal + sinais inflamatórios
• Fratura de costela
• Dor acentuada, localizada na região correspondente
• Piora com a palpação local e respiração
• Herpes Zóster
• Dor contínua, de forte intensidade
• Confirmada com o aparecimento das lesões
Trato Gastrointestinal
• Esofagite de Refluxo
• Espasmo Esofagiano Difuso
• Ruptura esofágica
• Úlcera Péptica
• Colecistopatia calculosa
• Pancreatite
Dor torácica
Dor torácica
Dor torácica

Dor torácica

  • 1.
  • 2.
    Dor Torácica • Doré uma experiência sensitiva e emocional desagradável associada a dano tecidual presente ou potencial e descrita como relacionada a lesão tecidual • Dor torácica é um dos sintomas mais comuns na sala de emergência, ambulatório de cardiologia e de clínica médica
  • 3.
    Dor Torácica • Existemvárias causas de dor torácica, entre elas diversas com potencial risco à vida do paciente • Importância da avaliação inicial, história clínica e avaliação dos fatores de risco, além da caracterização da dor e exame físico
  • 9.
    Causas de DorTorácica • Cardíacas • Síndrome Coronariana Aguda • Dissecção de Aorta • Pericardite • Valvulopatias • Cardiomiopatia Hipertrófica • Não Cardíacas • Pulmonar – Pleurites, pneumotórax, pneumonia, hipertensão pulmonar, neoplasias, traqueobronquites • Musculoesqueléticas – Costocondrite, fraturas, herpes zoster • TGI
  • 10.
    Síndrome Coronariana Aguda •Envolve largo espectro de condições clínicas que incluem desde a isquemia silenciosa, passando pela angina aos esforços, a angina instável e o infarto do miocárdio • A doença cardiovascular no Brasil é responsável por cerca de 1/3 de todas as mortes registradas
  • 11.
    Síndrome Coronariana Aguda •Dor resultante da diminuição da oferta de oxigênio por redução do fluxo coronariano (insuficiência coronariana) e/ou aumento do consumo pelo miocárdio (esforço físico, hipertrofia do miocárdio) • Mecanismo de dor • Metabolismo anaeróbico -> estímulo das fibras simpáticas aferentes -> gânglios da cadeia simpática -> medula -> tronco -> tálamo e córtex cerebral (junto com fibras sensitivas somáticas dos dermátomos C8-T4) Dor visceral, mal definida
  • 13.
    Síndrome Coronariana Aguda •Angina -> Dor em aperto ou queimação na região precordial ou retroesternal, com irradiação para pescoço e membros superiores, que pioram com o esforço físico e melhora com repouso e nitrato
  • 15.
    Síndrome Coronariana Aguda •Localização – Geralmente retroesternal ou precordial (eventualmente com localização extra-torácica) • Irradiação - Fosse cubital do MSE, pescoço e mandíbula (dorso, epigástrio e mesmo o braço direito) • Caráter - Aperto, peso, queimação • Intensidade – Variável • Duração • Angina estável -> geralmente 2 – 3 minutos • Angina instável e IAM - > 20 minutos
  • 16.
    Síndrome Coronariana Aguda •Fatores desencadeantes • Angina -> Após esforço físico e estresse • IAM – Geralmente em repouso • Fatores atenuantes • Repouso e vasodilatadores • Manifestações concomitantes • Náuseas, vômitos, sudorese fria
  • 17.
    Pericardite • Inflamação dopericárdio, com início súbito e que pode evoluir com acúmulo de líquido no espaço pericárdico -> derrame pericárdico • Causas • Infecções • IAM • Colagenoses • Uremia • Trauma
  • 18.
  • 19.
    Pericardite • Dor torácica,retroesternal, pior à inspiração profunda e com a tosse, podendo irradiar para os ombros, pescoço ou dorso, sem melhora com esforço. Pode vir acompanhada de febre. • À ausculta -> pode haver atrito pericárdico • Em casos de derrame pericárdico o paciente pode assumir a posição de “Prece Maometana”
  • 21.
    Pericardite • Tamponamento Cardíaco •Tríade de Beck • Estase jugular • Hipotensão • Abafamento de bulhas
  • 22.
  • 23.
    Dissecção de Aorta •Laceração entre o revestimento interno e externo da parede da aorta, com formação de falso trajeto
  • 25.
    Dissecção de Aorta •Dor lancinante, muitas vezes insuportável, súbita, no trajeto da aorta e médio esternal, com irradiação para o pescoço e dorso • Ao exame físico pode ser encontrado assimetria de pulso em MMSS e ausência ou diminuição de pulsos em MMII • Dissecção retrógrada pode produzir sopro de Insuficiência Aórtica
  • 27.
    Valvulopatias • Estenose Aórtica •Estreitamento da valva aórtica, impedindo sua abertura total • Causas -> Congênita, Febre reumática, Degenerativa • Pode estar associada a dor precordial aos esforços • Outros -> Síncope, sinais de IC, palpitação • Tríade clássica -> Dor precordial, dispneia e síncope
  • 29.
    Pneumotórax • Presença dear livre no espaço pleural • Espontâneo • Primário x Secundário • Traumático • Devido a trauma direto ou indireto • Iatrogênico • Resultante de procedimento médico
  • 30.
    Pneumotórax • Geralmente dorsúbita, aguda e intensa, podendo estar associada a dispneia • Ao exame: • Redução da expansibilidade do lado acometido • Redução do frêmito tóraco-vocal • Percussão timpânica • Murmúrio vesicular reduzido/ausente
  • 33.
    Pneumotórax • Hipertensivo • Pressãopleural ultrapassa a atmosférica, resultando em redução do retorno venoso e do débito cardíaco -> paciente evolui com sinais de hipoxemia e de comprometimento hemodinâmico • Decorre de aprisionamento progressivo de ar no espaço pleural, resultado de um mecanismo valvular que favorece a entrada de ar na inspiração, mas dificulta sua saída na expiração
  • 35.
    Pleurites • Inflamação pleural,com comprometimento do folheto parietal • Dor pleurítica, localizada em um hemitórax, em peso, pontada ou facada, que piora com tosse ou respiração profunda. Decúbito sobre o lado acometido pode aliviar a dor • Pode ser acompanhada de tosse, febre e dispnéia • Se inflamação alcançar superfície diafragmática -> irradiação para o ombro do mesmo lado
  • 36.
    Pleurites • Pode evoluircom derrame pleural • Causas -> Doenças infecciosas, neoplasias, colagenoses, pancreatite, embolia pulmonar
  • 38.
    Tromboembolismo Pulmonar • Migraçãode um êmbolo ou coágulo para o pulmão, geralmente formado em alguma veia do corpo, especialmente nos MMII • TVP é a principal responsável pela ocorrência de TEP • Fatores de risco -> Imobilização, cirurgias ortopédicas, tabagismo, neoplasias, obesidade, uso de anticoncepcionais, distúrbios de coagulação
  • 39.
    Tromboembolismo Pulmonar • Manifestaçõesincluem dispneia, dor torácica (semelhante às pleurites), tosse e palpitações • Quadro clínico é variável
  • 41.
    Outras • Hipertensão Pulmonar– Semelhante à dor cardíaca, porém sem fatores de melhora • Neoplasias – Comprometimento pleural ou ósseo • Traqueobronquites – Principalmente relacionada com a tosse
  • 42.
    Musculoesqueléticas • Geralmente pioramcom a compressão local ou com o movimento dos MMSS e tronco • Costocondrite (Síndrome de Tietze) • Dor persistente, localizada na região esternal + sinais inflamatórios • Fratura de costela • Dor acentuada, localizada na região correspondente • Piora com a palpação local e respiração • Herpes Zóster • Dor contínua, de forte intensidade • Confirmada com o aparecimento das lesões
  • 47.
    Trato Gastrointestinal • Esofagitede Refluxo • Espasmo Esofagiano Difuso • Ruptura esofágica • Úlcera Péptica • Colecistopatia calculosa • Pancreatite