DOR TORÁCICA
Clínica Médica I
DOR TORÁCICA
 É um dos sintomas mais comuns nos serviços
de emergência, ambulatórios de cardiologia e
clínica geral
 Nem sempre é referido como dor, às vezes a
queixa é de sensação de pressão ou de
desconforto torácico
ETIOPATOGENIA
 Causas podem estar na própria parede do
tórax, pleuras, pulmões, pericárdio, coração,
vasos, mediastino, esôfago, diafragma e em
outros órgãos.
 Por isso a importância da pesquisa de
características semiológicas na anamnese, e
bom exame físico.
 Lembrar de pedir para o paciente localizar
com a mão a área da queixa, e fazer inspeção
e palpação do local.
DOR TORÁCICA
 CLASSIFICAÇÃO
 CAUSASTRAUMÁTICAS E NÃO
TRAUMÁTICAS
 CAUSASCARDIOLÓGICAS E NÃO
CARDIOLÓGICAS
Bassan R, Pimenta L, Leães PE,TimermanA. Sociedade Brasileira de Cardiologia; I Diretriz de Dor Torácica
na Sala de Emergência.Arq Bras Cardiol 2002; 79 (supl II ): 1.
SD CORONARIANA AGUDA
 Envolve um amplo espectro de condições clínicas
que vão desde a isquemia silenciosa, passando pela
angina instável até o IAM com ou sem SUPRA de ST
 SD com pior prognóstico:ANGINA INSTÁVEL, IAM
COM E SEM ELEVAÇÃO DE ST.
 Características similares, de difícil distinção só com
dados clínicos.
 F.R.: Hiperlipidemia, DM, história familiar.
- HAS,Tabagismo (inespecífico), cocaína (24x risco)
- >40 anos de idade
- Idosos e mulheres = é comum não ter os sintomas
clássicos.
Angina Estável
 Sinal de doença isquêmica crônica
 a dor é retroesternal, constritiva ou opressiva,
às vezes descrita como desconforto difuso;
 pode irradiar para o MSE, para ambos os
membros ou para a região cervical e
mandibular.
 É precipitada por esforços físicos
 Aliviada rapidamente pelo repouso,
 Duração não costuma exceder 5 a 10 minutos
SD CORONARIANA AGUDA
 ANGINA INSTÁVEL ou IAM
 a dor tem as mesmas características da angina
estável (dor é retroesternal, constritiva ou
opressiva, às vezes descrita como desconforto
difuso);
 Sua duração é maior (em geral superior a 20
minutos)
 virá quase sempre acompanhada de sintomas
disautonômicos como sudorese, palidez
cutânea, náuseas e vômitos.
Classificação da Dor
Torácica tipo Anginosa
 Típica – três características
 Atípica – duas características
 Não anginosa – uma ou nenhuma
Característica da dor
1. Desconforto retroesternal
2. Desencadeado por esforço ou emoção
3. Alivio com repouso ou nitrato
SD CORONARIANA AGUDA
 FISIOPATOLOGIA:
resulta da ↓ de oferta de O2 pelo fluxo
coronariano e/ou ↑ do consumo de O2 pelo
miocárdio
acúmulo de metabólitos e acidose local
estímulo de terminações nervosas
DOR OU DESCONFORTO
SD CORONARIANA AGUDA
 FISIOPATOLOGIA
 Causa + comum = ateroesclerose
 Mecanismo da dor não totalmente esclarecido
 Metabolismo anaeróbio → estimula fibras
simpáticas aferentes → que se dirigem aos gânglios
da cadeia simpática → percorrem medula espinhal
até tálamo e córtex cerebral, conjuntamente com
fibras sensitivas somáticas dos dermátomos
 Portanto, dor mal definida com percepção
relacionada aos dermátomos correspondentes
(Lembrem-se da explicação do mecanismo da aula de
dor referida....)
SD CORONARIANA AGUDA
 Q.C.:
 Aperto, opressão, pressão, queimação no tórax, ou outras
queixas relacionadas aos dermátomos.
 Tipicamente agravada ou desencadeada por atividade
física. Outras possibilidades: frio, relação sexual, stress.
 Tende a ser gradual, aumentando com o tempo.
 Não reprodutível por compressão.
 Dor por alguns semanas ou por dias/semanas,
provavelmente não é isquêmica.
 Alívio com nitrato não confirma origem cardíaca.
 Vômitos, sudorese, dispnéia aos esforços, síncope podem
estar presentes (atenção ao DD).
SD CORONARIANA AGUDA
 E.F.:
 B3 , B4, sopro de insuficiência mitral.
 Checar estase jugular (IAM direito,
tamponamento pericárdico)
 Pulmonar: estertores secundários à congestão
pulmonar.
 Raio X tórax (pode ajudar a excluir outras causas)
 ECG normal não afasta diagnóstico
 Dosagem de marcadores de necrose miocárdica
ou teste de estresse cardíaco.
Para ajudar...
 B3: som que acontece na fase inicial da
diástole, durante enchimento ventricular
rápido; reflete complacência ventricular ↓ ou
volume diastólico ventricular ↑;
 Pode ser normal em jovens < 30 anos
 Patologias: doença coronariana,
cardiomiopatias, válvulas incompetentes,
pequeno CIV, e "DuctusArteriosus".
Para ajudar...
 B4: é um som diastólico que acontece
durante a fase final diastólica ao mesmo
tempo da contração atrial.
 Produzido por ventrículos com complacência
diminuída ou que estão recebendo um
volume diastólico aumentado,
 É de baixa frequência e ouvido antes do
primeiro som.
A forma mais adequada de avaliar estase jugular é posicionando a
cabeceira do leito a 45° e avaliar a altura da coluna formada pela veia
túrgida em relação ao ângulo de Louis. A medida normal é de 4,0 cm;
valores acima destes são descritos como presença de estase jugular.
PERICARDITE
 FISIOPATOLOGIA: geralmente de natureza
inflamatória
 Superfície visceral do pericárdio não tem
inervação sensitiva.
 Dor resultante do comprometimento do folheto
parietal da pleura = pericárdio parietal tem
poucas fibras nervosas sensitivas aferentes, que
se dirigem ao SNC pelos nervos frênicos.
 Assim, a dor seria predominantemente
relacionada com a inflamação da pleura parietal
adjacente
PERICARDITE
 FISIOPATOLOGIA:
 Origem: Infecções (especialmente virais)
podem preceder o quadro; idiopática
 F.R.: trauma torácico, doenças autoimunes,
IAM, cirurgia cardíaca recente, uso de
procaínamida, hidralazina, isoniazida.
 Jovens
PERICARDITE
 Q.C.: dor retroesternal , tipo perfurante ou em peso,
que piora com inspiração profunda e tosse (tipo
pleurítica).
 Duração: horas a dias
 Pode irradiar para ombros, dorso ou pescoço
(irritação da pleura diafragmática)
 Se derrame pericárdico, dor pode aliviar na posição
sentada e inclinado para frente (patognomônico)
 Dispnéia (25-40%), febre (17%), atrito pericárdico
(até 85%)
 Como diferenciar atrito pericárdico de pleural na
ausculta? Som presente durante apnéia
PERICARDITE
 Se tamponamento cardíaco: estase jugular,
hepatomegalia, taquicardia, hipotensão e
pulso paradoxal ou sinal de Kussmaul
(consiste no aumento da turgência jugular, ou
das pulsações venosas durante a inspiração) .
 Tríade de Beck do tamponamento:estase
jugular, hipotensão, abafamento de bulhas
Queda na pressão sistólica durante a inspiração > 10
mmHg. Quando severo, o pulso paradoxal pode ser
comprovado pela ausência do pulso radial durante a
inspiração. O pulso paradoxal pode estar ausente nas
seguintes situações: choque importante, insuficiência
aórtica, comunicação interatrial ou hipertrofia
ventricular esquerda. É importante lembrar que o
pulso paradoxal não é patognomônico de
tamponamento, podendo estar presente nos
pacientes com asma, doença pulmonar obstrutiva
crônica e choque hipovolêmico.
DISSECÇÃO DE AORTA
 FISIOPATOLOGIA:
 Ocorre em pacientes com alterações
degenerativas da camada média (perda de fibras
elásticas e musculares lisas da camada média,
que são substituídas por colágeno, com
predisposição a formação de cistos – necrose
cística)
 Havendo fissura do endotélio ou hematoma na
camada média → forma-se coluna de sangue na
parede do vaso (falso lúmem) separando a
camada íntima da adventícia → dor torácica e
predisposição a hemorragias fatais
DISSECÇÃO DE AORTA
 75% ♂; maioria na sétima década
 FR: Arterioesclerose, idade avançada, SD de Marfan, Sd de
Turner, HAS
 CLÍNICA:
 Dor de início súbito, de forte intensidade (máxima no
momento do aparecimento) – com esse quadro, 90% de
sensibilidade na detecção; persistente
 Dor descrita como “rasgando”, em região anterior e
posterior do tórax, podendo irradiar para costas, região
interescapular e abdome
 Pode estar associado com a manifestação de AVC, síncope,
Insuf. Cardíaca, IAM, isquemia isolada em membros, dor
abdominal, IRA ou sangramentoGI. (dependendo da altura
da lesão)
DISSECÇÃO DE AORTA
 E. F.:
 Comum achado de assimetria de pulsos ou
sintomas neurológicos
 Sinais de má perfusão tecidual
 Ex. cardiológico:
- pode revelar sopro diastólico de aorta
(qdo dissecção progride até valva aórtica)
- pode ter estase jugular secundária a
tamponamento cardíaco.
PLEURITES
 FISIOPATOLOGIA
 Semelhante a da pericardite
 Acometimento do folheto parietal (folheto
visceral não tem inervação sensitiva),
geralmente de natureza inflamatória
PLEURITES
 Q.C.:
 DOR PLEURÍTICA – localizada em um HTX,
com sensação de peso, pontada ou facada.
 Piora caracteristicamente com a tosse e
respiração profunda.
 Qdo inflamação atinge a superfície
diafragmática da pleura a dor pode irradiar
para o ombro e para pescoço do mesmo lado.
PNEUMOTÓRAX
 FISIOPATOLOGIA: traumático, primário ou
secundário (DPOC, asma, fibrose cística,TB,
etc...)
 Ruptura de folheto
 Perda da pressão
negativa intrapleural
 Colapso pulmonar
 Mecanismo de
Válvula
 Processo progressivo
PNEUMOTÓRAX
 F.R.: tabagismo, pneumotórax prévio, DPOC,
mudanças barométricas agudas.
 Grupo de risco elevado: jovens e longilíneos
(para pneumotórax espontâneo)
 Q.C.: dor pleurítica e dispnéia de início súbito
(que pode ser decorrente da dor ou de
comprometimento da oxigenação em casos
mais graves.
PNEUMOTÓRAX
 E.F.:
 Dispnéia e cianose
 Taquipnéia, taquicardia, hipotensão,
sudorese
 ↓ MV eTimpanismo à percussão pulmonar
 ↓ expansibilidade e FTV
 No pneumotoráx hipertensivo pode haver
desvio de traquéia (para lado contrário da
lesão) e estase jugular
PNEUMOTÓRAX HIPERTENSIVO
TROMBOEMBOLISMO PULMONAR
 FISIOPATOLOGIA: migração de um êmbolo ou
coágulo para o pulmão, formado em alguma veia
do corpo, especialmente em MMII.
 TVP principal responsável
 Dor pode ocorrer por distensão aguda da artéria
pulmonar (embolia pulmonar maciça), ou da
reação pleural (nos casos de infarto do pulmão)
 F.R.: idade avançada, mobilidade reduzida,
cirurgia recente, neoplasias, gravidez,
tromboembolismo prévio, ICC, DPOC.
TROMBOEMBOLISMO PULMONAR
 Q.C.:
 Aparecimento súbito de dor torácica
pleurítica e dispnéia.
 Pode ocorrer síncope, hipotensão e até PCR
 E.F.: pode mostrar alterações mínimas (sibilos
transitórios - secundários à liberação de
subst. broncoconstritoras, derrame pleural,
infarto pulmonar – com propedêutica de
condensação) ou ser completamente normal.
OUTRAS CAUSAS PULMONARES
 HIPERTENSÃO PULMONAR: semelhante à
dor cardíaca, porém sem fatores de melhora
 NEOPLASIAS: comprometimento pleural ou
ósseo
 TRAQUEOBRONQUITES: principalmente
relacionada com a tosse
MUSCULOESQUELÉTICAS
 Pioram com compressão local, movimentação de
membros e tronco, postura antálgica nos espasmos
musculares.
 COSTOCONDRITE /SD DETIETZE: acomete
esterno e costelas, produz dor esternal persistente,
acompanhada de sinais inflamatórios.
 FRATURA DE COSTELA: dor acentuada nas regiões
correspondentes, com piora a palpação local,
movimentos do tórax e respiração.
 HERPES ZOSTER: dor contínua de forte
intensidade, com confirmação somente após o
aparecimento de lesões cutâneas
eritematovesiculosas na área dolorosa
HERPES ZOSTER
DIGESTIVAS
 DOR ESOFÁGICA
 FISIOPATOLOGIA:
 Alterações da motilidade do esôfago, como o
espasmo esofágico podem ser responsáveis
por dor
 Refluxo gastroesofágico é a causa mais
comum de dor torácica relacionada ao
esôfago, independente de esofagite.
DOR ESOFÁGICA
 CLÍNICA:
 Determina comumente dor retroesternal,
habitualmente descrita como queimação
 Acompanha-se de outros sintomas dispépticos
como DISFAGIA, PIROSE, ERUCTAÇÃO e gosto
ruim na boca.
 Na hérnia de hiato e refluxo gastroesofágico os
sintomas pioram a noite ou ao se deitar após as
refeições.
 E.F: podem estar presentes sibilância, tosse,
rouquidão
RUPTURA DO ESÔFAGO
 SD DE BOERHAAVE - perfuração espontânea do esôfago.
 Causa rara, mas potencialmente fatal
 Diagnóstico diferencial: SCA
 Q.C. clássico (mas nem sempre presente): vômitos
seguidos de dor torácica de forte intensidade, dispnéia,
enfisema subcutâneo e rápido colapso circulatório. Dor no
ombro e/ou epigástrica podem estar presentes.
 Após 12h do início do quadro, é comum achado de febre e
sinais de sepse (mediastinite).
 EX físico: ↓sons pulmonares, enfisema subcutâneo tórax e
pescoço.
 Alt. Radiológicas: pneumomediastino, hidropneumotórax,
derrame pleural e alargamento do mediastino
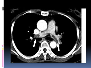
SD DE BOERHAAVE
SD DE BOERHAAVE
DIGESTIVAS
 ÚLCERA PÉPTICA , COLECISTOPATIA,
PANCREATITE
 CLÍNICA: dores no epigastro ou base do tórax (o
que pode levar a suspeita de uma dor de origem
cardíaca – 35% dos pacientes com dça
coronariana podem ter sintomas GI)
 Nos processos abdominais com acometimento
do diafragma a dor pode irradiar para ombro.
 Nem sempre é facil distinguir uma dor torácica
de origem digestiva.
 E.F.: exame cuidadoso do abdome para DD.
DISTURBIOS GASTROINTESTINAIS
SINTOMAS DIAGNÓSTICO DIFERENCIAL
Queimação em epigastro ou ½ inferior
do tórax
Refluxo X Isquemia Miocárdica
Dor durante a alimentação ou que piora
com a deglutição
Favorece doença deTGI
Dores pós-prandiais TGI X Cardíaca
Eructações, gosto ruim na boca e
indigestão
Doença esofágica X Isquemia coronariana
Dor que melhora com antiácido Não deve ser usado para confirmar
doença de refluxo ou dispéptica
Dor que melhora com nitratos Dor isquêmica x Espasmo esofágico
Ser acordado pela dor epigástrica Úlcera péptica X Sd Coronariana
PSICOGÊNICAS
 Pode estar presente na síndrome do pânico,
depressão e hipocondria.
 Os transtornos de ansiedade podem cursar com dor
torácica associada com a taquicardia, hiperven-
tilação, sudorese, e palpitação; precedidos por sen-
sação de medo e apreensão.
 As alterações de ECG secundárias à hiperventilação
dificultam o diagnóstico.
 Aventar essa hipótese em pacientes com história de
vários infartos anteriores; dissociação entre a
intensidade da queixa e a observada, além de ECG e
enzimas normais.
BIBLIOGRAFIA
 BarbosaAC et al. Diagnóstico diferencial da dor
torácica: ênfase em causas não coronarianas. Rev
Med Minas Gerais 2010; 20(2 Supl 1): S24-S29
 Bassan R, Pimenta L, Leães PE,Timerman A.
Sociedade Brasileira de Cardiologia;
I Diretriz de Dor Torácica na Sala de Emergência.Arq
Bras Cardiol 2002; 79 (supl II ): 1.
 Benseñor, I.M. et al, SemiologiaClínica
 Martins, M.A. et al, Clínica Médica – HCFMUSP,Vol 1
 Porto, C.C., Exame Clínico.
OBRIGADA E BOA SEMANA!

Dor toracica 2018

  • 1.
  • 2.
    DOR TORÁCICA  Éum dos sintomas mais comuns nos serviços de emergência, ambulatórios de cardiologia e clínica geral  Nem sempre é referido como dor, às vezes a queixa é de sensação de pressão ou de desconforto torácico
  • 3.
    ETIOPATOGENIA  Causas podemestar na própria parede do tórax, pleuras, pulmões, pericárdio, coração, vasos, mediastino, esôfago, diafragma e em outros órgãos.  Por isso a importância da pesquisa de características semiológicas na anamnese, e bom exame físico.  Lembrar de pedir para o paciente localizar com a mão a área da queixa, e fazer inspeção e palpação do local.
  • 5.
    DOR TORÁCICA  CLASSIFICAÇÃO CAUSASTRAUMÁTICAS E NÃO TRAUMÁTICAS  CAUSASCARDIOLÓGICAS E NÃO CARDIOLÓGICAS
  • 6.
    Bassan R, PimentaL, Leães PE,TimermanA. Sociedade Brasileira de Cardiologia; I Diretriz de Dor Torácica na Sala de Emergência.Arq Bras Cardiol 2002; 79 (supl II ): 1.
  • 9.
    SD CORONARIANA AGUDA Envolve um amplo espectro de condições clínicas que vão desde a isquemia silenciosa, passando pela angina instável até o IAM com ou sem SUPRA de ST  SD com pior prognóstico:ANGINA INSTÁVEL, IAM COM E SEM ELEVAÇÃO DE ST.  Características similares, de difícil distinção só com dados clínicos.  F.R.: Hiperlipidemia, DM, história familiar. - HAS,Tabagismo (inespecífico), cocaína (24x risco) - >40 anos de idade - Idosos e mulheres = é comum não ter os sintomas clássicos.
  • 10.
    Angina Estável  Sinalde doença isquêmica crônica  a dor é retroesternal, constritiva ou opressiva, às vezes descrita como desconforto difuso;  pode irradiar para o MSE, para ambos os membros ou para a região cervical e mandibular.  É precipitada por esforços físicos  Aliviada rapidamente pelo repouso,  Duração não costuma exceder 5 a 10 minutos
  • 11.
    SD CORONARIANA AGUDA ANGINA INSTÁVEL ou IAM  a dor tem as mesmas características da angina estável (dor é retroesternal, constritiva ou opressiva, às vezes descrita como desconforto difuso);  Sua duração é maior (em geral superior a 20 minutos)  virá quase sempre acompanhada de sintomas disautonômicos como sudorese, palidez cutânea, náuseas e vômitos.
  • 12.
    Classificação da Dor Torácicatipo Anginosa  Típica – três características  Atípica – duas características  Não anginosa – uma ou nenhuma Característica da dor 1. Desconforto retroesternal 2. Desencadeado por esforço ou emoção 3. Alivio com repouso ou nitrato
  • 13.
    SD CORONARIANA AGUDA FISIOPATOLOGIA: resulta da ↓ de oferta de O2 pelo fluxo coronariano e/ou ↑ do consumo de O2 pelo miocárdio acúmulo de metabólitos e acidose local estímulo de terminações nervosas DOR OU DESCONFORTO
  • 14.
    SD CORONARIANA AGUDA FISIOPATOLOGIA  Causa + comum = ateroesclerose  Mecanismo da dor não totalmente esclarecido  Metabolismo anaeróbio → estimula fibras simpáticas aferentes → que se dirigem aos gânglios da cadeia simpática → percorrem medula espinhal até tálamo e córtex cerebral, conjuntamente com fibras sensitivas somáticas dos dermátomos  Portanto, dor mal definida com percepção relacionada aos dermátomos correspondentes (Lembrem-se da explicação do mecanismo da aula de dor referida....)
  • 16.
    SD CORONARIANA AGUDA Q.C.:  Aperto, opressão, pressão, queimação no tórax, ou outras queixas relacionadas aos dermátomos.  Tipicamente agravada ou desencadeada por atividade física. Outras possibilidades: frio, relação sexual, stress.  Tende a ser gradual, aumentando com o tempo.  Não reprodutível por compressão.  Dor por alguns semanas ou por dias/semanas, provavelmente não é isquêmica.  Alívio com nitrato não confirma origem cardíaca.  Vômitos, sudorese, dispnéia aos esforços, síncope podem estar presentes (atenção ao DD).
  • 19.
    SD CORONARIANA AGUDA E.F.:  B3 , B4, sopro de insuficiência mitral.  Checar estase jugular (IAM direito, tamponamento pericárdico)  Pulmonar: estertores secundários à congestão pulmonar.  Raio X tórax (pode ajudar a excluir outras causas)  ECG normal não afasta diagnóstico  Dosagem de marcadores de necrose miocárdica ou teste de estresse cardíaco.
  • 20.
    Para ajudar...  B3:som que acontece na fase inicial da diástole, durante enchimento ventricular rápido; reflete complacência ventricular ↓ ou volume diastólico ventricular ↑;  Pode ser normal em jovens < 30 anos  Patologias: doença coronariana, cardiomiopatias, válvulas incompetentes, pequeno CIV, e "DuctusArteriosus".
  • 21.
    Para ajudar...  B4:é um som diastólico que acontece durante a fase final diastólica ao mesmo tempo da contração atrial.  Produzido por ventrículos com complacência diminuída ou que estão recebendo um volume diastólico aumentado,  É de baixa frequência e ouvido antes do primeiro som.
  • 22.
    A forma maisadequada de avaliar estase jugular é posicionando a cabeceira do leito a 45° e avaliar a altura da coluna formada pela veia túrgida em relação ao ângulo de Louis. A medida normal é de 4,0 cm; valores acima destes são descritos como presença de estase jugular.
  • 23.
    PERICARDITE  FISIOPATOLOGIA: geralmentede natureza inflamatória  Superfície visceral do pericárdio não tem inervação sensitiva.  Dor resultante do comprometimento do folheto parietal da pleura = pericárdio parietal tem poucas fibras nervosas sensitivas aferentes, que se dirigem ao SNC pelos nervos frênicos.  Assim, a dor seria predominantemente relacionada com a inflamação da pleura parietal adjacente
  • 24.
    PERICARDITE  FISIOPATOLOGIA:  Origem:Infecções (especialmente virais) podem preceder o quadro; idiopática  F.R.: trauma torácico, doenças autoimunes, IAM, cirurgia cardíaca recente, uso de procaínamida, hidralazina, isoniazida.  Jovens
  • 26.
    PERICARDITE  Q.C.: dorretroesternal , tipo perfurante ou em peso, que piora com inspiração profunda e tosse (tipo pleurítica).  Duração: horas a dias  Pode irradiar para ombros, dorso ou pescoço (irritação da pleura diafragmática)  Se derrame pericárdico, dor pode aliviar na posição sentada e inclinado para frente (patognomônico)  Dispnéia (25-40%), febre (17%), atrito pericárdico (até 85%)  Como diferenciar atrito pericárdico de pleural na ausculta? Som presente durante apnéia
  • 27.
    PERICARDITE  Se tamponamentocardíaco: estase jugular, hepatomegalia, taquicardia, hipotensão e pulso paradoxal ou sinal de Kussmaul (consiste no aumento da turgência jugular, ou das pulsações venosas durante a inspiração) .  Tríade de Beck do tamponamento:estase jugular, hipotensão, abafamento de bulhas
  • 28.
    Queda na pressãosistólica durante a inspiração > 10 mmHg. Quando severo, o pulso paradoxal pode ser comprovado pela ausência do pulso radial durante a inspiração. O pulso paradoxal pode estar ausente nas seguintes situações: choque importante, insuficiência aórtica, comunicação interatrial ou hipertrofia ventricular esquerda. É importante lembrar que o pulso paradoxal não é patognomônico de tamponamento, podendo estar presente nos pacientes com asma, doença pulmonar obstrutiva crônica e choque hipovolêmico.
  • 32.
    DISSECÇÃO DE AORTA FISIOPATOLOGIA:  Ocorre em pacientes com alterações degenerativas da camada média (perda de fibras elásticas e musculares lisas da camada média, que são substituídas por colágeno, com predisposição a formação de cistos – necrose cística)  Havendo fissura do endotélio ou hematoma na camada média → forma-se coluna de sangue na parede do vaso (falso lúmem) separando a camada íntima da adventícia → dor torácica e predisposição a hemorragias fatais
  • 34.
    DISSECÇÃO DE AORTA 75% ♂; maioria na sétima década  FR: Arterioesclerose, idade avançada, SD de Marfan, Sd de Turner, HAS  CLÍNICA:  Dor de início súbito, de forte intensidade (máxima no momento do aparecimento) – com esse quadro, 90% de sensibilidade na detecção; persistente  Dor descrita como “rasgando”, em região anterior e posterior do tórax, podendo irradiar para costas, região interescapular e abdome  Pode estar associado com a manifestação de AVC, síncope, Insuf. Cardíaca, IAM, isquemia isolada em membros, dor abdominal, IRA ou sangramentoGI. (dependendo da altura da lesão)
  • 35.
    DISSECÇÃO DE AORTA E. F.:  Comum achado de assimetria de pulsos ou sintomas neurológicos  Sinais de má perfusão tecidual  Ex. cardiológico: - pode revelar sopro diastólico de aorta (qdo dissecção progride até valva aórtica) - pode ter estase jugular secundária a tamponamento cardíaco.
  • 36.
    PLEURITES  FISIOPATOLOGIA  Semelhantea da pericardite  Acometimento do folheto parietal (folheto visceral não tem inervação sensitiva), geralmente de natureza inflamatória
  • 37.
    PLEURITES  Q.C.:  DORPLEURÍTICA – localizada em um HTX, com sensação de peso, pontada ou facada.  Piora caracteristicamente com a tosse e respiração profunda.  Qdo inflamação atinge a superfície diafragmática da pleura a dor pode irradiar para o ombro e para pescoço do mesmo lado.
  • 38.
    PNEUMOTÓRAX  FISIOPATOLOGIA: traumático,primário ou secundário (DPOC, asma, fibrose cística,TB, etc...)  Ruptura de folheto  Perda da pressão negativa intrapleural  Colapso pulmonar  Mecanismo de Válvula  Processo progressivo
  • 39.
    PNEUMOTÓRAX  F.R.: tabagismo,pneumotórax prévio, DPOC, mudanças barométricas agudas.  Grupo de risco elevado: jovens e longilíneos (para pneumotórax espontâneo)  Q.C.: dor pleurítica e dispnéia de início súbito (que pode ser decorrente da dor ou de comprometimento da oxigenação em casos mais graves.
  • 40.
    PNEUMOTÓRAX  E.F.:  Dispnéiae cianose  Taquipnéia, taquicardia, hipotensão, sudorese  ↓ MV eTimpanismo à percussão pulmonar  ↓ expansibilidade e FTV  No pneumotoráx hipertensivo pode haver desvio de traquéia (para lado contrário da lesão) e estase jugular
  • 42.
  • 43.
    TROMBOEMBOLISMO PULMONAR  FISIOPATOLOGIA:migração de um êmbolo ou coágulo para o pulmão, formado em alguma veia do corpo, especialmente em MMII.  TVP principal responsável  Dor pode ocorrer por distensão aguda da artéria pulmonar (embolia pulmonar maciça), ou da reação pleural (nos casos de infarto do pulmão)  F.R.: idade avançada, mobilidade reduzida, cirurgia recente, neoplasias, gravidez, tromboembolismo prévio, ICC, DPOC.
  • 46.
    TROMBOEMBOLISMO PULMONAR  Q.C.: Aparecimento súbito de dor torácica pleurítica e dispnéia.  Pode ocorrer síncope, hipotensão e até PCR  E.F.: pode mostrar alterações mínimas (sibilos transitórios - secundários à liberação de subst. broncoconstritoras, derrame pleural, infarto pulmonar – com propedêutica de condensação) ou ser completamente normal.
  • 48.
    OUTRAS CAUSAS PULMONARES HIPERTENSÃO PULMONAR: semelhante à dor cardíaca, porém sem fatores de melhora  NEOPLASIAS: comprometimento pleural ou ósseo  TRAQUEOBRONQUITES: principalmente relacionada com a tosse
  • 49.
    MUSCULOESQUELÉTICAS  Pioram comcompressão local, movimentação de membros e tronco, postura antálgica nos espasmos musculares.  COSTOCONDRITE /SD DETIETZE: acomete esterno e costelas, produz dor esternal persistente, acompanhada de sinais inflamatórios.  FRATURA DE COSTELA: dor acentuada nas regiões correspondentes, com piora a palpação local, movimentos do tórax e respiração.  HERPES ZOSTER: dor contínua de forte intensidade, com confirmação somente após o aparecimento de lesões cutâneas eritematovesiculosas na área dolorosa
  • 51.
  • 52.
    DIGESTIVAS  DOR ESOFÁGICA FISIOPATOLOGIA:  Alterações da motilidade do esôfago, como o espasmo esofágico podem ser responsáveis por dor  Refluxo gastroesofágico é a causa mais comum de dor torácica relacionada ao esôfago, independente de esofagite.
  • 53.
    DOR ESOFÁGICA  CLÍNICA: Determina comumente dor retroesternal, habitualmente descrita como queimação  Acompanha-se de outros sintomas dispépticos como DISFAGIA, PIROSE, ERUCTAÇÃO e gosto ruim na boca.  Na hérnia de hiato e refluxo gastroesofágico os sintomas pioram a noite ou ao se deitar após as refeições.  E.F: podem estar presentes sibilância, tosse, rouquidão
  • 54.
    RUPTURA DO ESÔFAGO SD DE BOERHAAVE - perfuração espontânea do esôfago.  Causa rara, mas potencialmente fatal  Diagnóstico diferencial: SCA  Q.C. clássico (mas nem sempre presente): vômitos seguidos de dor torácica de forte intensidade, dispnéia, enfisema subcutâneo e rápido colapso circulatório. Dor no ombro e/ou epigástrica podem estar presentes.  Após 12h do início do quadro, é comum achado de febre e sinais de sepse (mediastinite).  EX físico: ↓sons pulmonares, enfisema subcutâneo tórax e pescoço.  Alt. Radiológicas: pneumomediastino, hidropneumotórax, derrame pleural e alargamento do mediastino
  • 56.
  • 57.
  • 58.
    DIGESTIVAS  ÚLCERA PÉPTICA, COLECISTOPATIA, PANCREATITE  CLÍNICA: dores no epigastro ou base do tórax (o que pode levar a suspeita de uma dor de origem cardíaca – 35% dos pacientes com dça coronariana podem ter sintomas GI)  Nos processos abdominais com acometimento do diafragma a dor pode irradiar para ombro.  Nem sempre é facil distinguir uma dor torácica de origem digestiva.  E.F.: exame cuidadoso do abdome para DD.
  • 59.
    DISTURBIOS GASTROINTESTINAIS SINTOMAS DIAGNÓSTICODIFERENCIAL Queimação em epigastro ou ½ inferior do tórax Refluxo X Isquemia Miocárdica Dor durante a alimentação ou que piora com a deglutição Favorece doença deTGI Dores pós-prandiais TGI X Cardíaca Eructações, gosto ruim na boca e indigestão Doença esofágica X Isquemia coronariana Dor que melhora com antiácido Não deve ser usado para confirmar doença de refluxo ou dispéptica Dor que melhora com nitratos Dor isquêmica x Espasmo esofágico Ser acordado pela dor epigástrica Úlcera péptica X Sd Coronariana
  • 60.
    PSICOGÊNICAS  Pode estarpresente na síndrome do pânico, depressão e hipocondria.  Os transtornos de ansiedade podem cursar com dor torácica associada com a taquicardia, hiperven- tilação, sudorese, e palpitação; precedidos por sen- sação de medo e apreensão.  As alterações de ECG secundárias à hiperventilação dificultam o diagnóstico.  Aventar essa hipótese em pacientes com história de vários infartos anteriores; dissociação entre a intensidade da queixa e a observada, além de ECG e enzimas normais.
  • 61.
    BIBLIOGRAFIA  BarbosaAC etal. Diagnóstico diferencial da dor torácica: ênfase em causas não coronarianas. Rev Med Minas Gerais 2010; 20(2 Supl 1): S24-S29  Bassan R, Pimenta L, Leães PE,Timerman A. Sociedade Brasileira de Cardiologia; I Diretriz de Dor Torácica na Sala de Emergência.Arq Bras Cardiol 2002; 79 (supl II ): 1.  Benseñor, I.M. et al, SemiologiaClínica  Martins, M.A. et al, Clínica Médica – HCFMUSP,Vol 1  Porto, C.C., Exame Clínico.
  • 62.