UNIVERSIDADE FEDERAL DO PARÁHOSPITAL UNIVERSITÁRIO JOÃO DE BARROS BARRETORESIDÊNCIA EM CLÍNICA MÉDICADERRAME PLEURALFlávia MatosR1 de Clínica Médica
Caso ClínicoUm homem de 70 anos de idade com história de tabagismo de longa data, com consumo de 80 maços-ano e antecedente de ICC apresenta-se com piora da dispnéia. Ele também queixa-se de dor no hemitórax direito que piora com a inspiração profunda e encontra-se afebril.
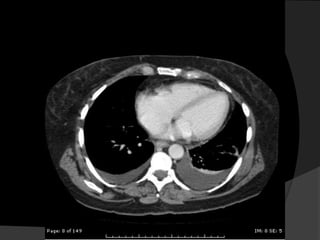
Caso ClínicoA radiografia torácica revelou derrame pleural bilateral, com mais líquido pleural à direita do que à esquerda.
Como este paciente deverá ser avaliado?
Avaliação InicialAnamnese:Exame físico: Vários aspectos do exame físico, devem receber atenção especial. O exame de tórax tipicamente revela:Macicez à percussão,
Ausência de frêmito,
Diminuição ou abolição do murmúrio vesicular.  Light, RW. N Engl J Med, Vol. 346, No. 25
Avaliação InicialTurgência jugular, ritmo em galope (B3) ou edema periférico sugerem insuficiência cardíaca congestiva.A presença de linfadenopatia ou hepatoesplenomegalia sugere doença neoplásica.Ascite pode sugerir um causa hepática.Presença de sinais de resposta inflamatória sistêmica (febre, taquicardia, taquipnéia) sugerem uma causa infecciosa subjacente.Light, RW. N Engl J Med, Vol. 346, No. 25
Avaliação InicialOutras condições clínicas podem produzir imagens radiológicas semelhantes ao derrame pleural, de forma que estudos alternativos são frequentemente necessários para confirmar se um derrame pleural está presente.
DERRAME PLEURALTEPPNEUMONIA
Avaliação InicialEstudos ultra-sonográficosRadiografias em decúbito lateral (Laurel)Tomografia Computadorizada (TC) para analisar o parênquima pulmonar subjacente ou mediastino.
Indicações de ToracocentesePresença de um derrame pleural clinicamente significativo (maior que 10 mm de espessura à ultrassonografia ou em radiografia em decúbito lateral) sem causa conhecida.Shinto, RA. AmJ Med 1990;88:230-4.
Indicações de ToracocenteseEm pacientes com ICC e derrame pleural bilateral de tamanho semelhante, afebril e sem dor torácica é recomendável observar e promover diurese antes de optar pela toracocentese. Se o derrame for unilateral, indicar toracocentese.Light, RW. N Engl J Med, Vol. 346, No. 25
Indicações de ToracocenteseCerca de 75 % dos derrames causados por ICC resolvem-se dentro de 48 horas após estímulo da diurese. Se o derrame  persistir por mais de três dias, é indicado toracocentese. Light, RW. N Engl J Med, Vol. 346, No. 25
Indicações de ToracocenteseA princípio, a toracocentese é realizada para fins diagnósticos, a menos que o doente apresente dispnéia em repouso, quando pode-se indicar toracocentese de alívio, podendo ser usada para remover até 1500 ml de fluido.Light, RW. N Engl J Med, Vol. 346, No. 25
ToracocentesePode ser realizada à beira do leito com ou sem o auxílio de ultrassonografia.A realização do procedimento guiado por ultrassonografia é indicada se houver dificuldade na obtenção de líquido pleural ou se o derrame for pequeno.Light, RW. N Engl J Med, Vol. 346, No. 25
Indicações de ToracocenteseNão é necessário realizar rotineiramente radiografia de tórax após toracocentese, salvo se houver aspiração de ar durante a toracocentese, evolução com tosse, dor torácica e/ouperda do frêmito tóraco-vocal em área superior ao local da punção.Light, RW. N Engl J Med, Vol. 346, No. 25
Aspecto do Derrame PleuralA aparência do líquido pleural fornece informações úteis. Sanguinolento: cancro, embolia pulmonar, neoplasia, trauma e pneumonia. Turbidezdo líquido pleural pode ser causada tanto por hiperelularidade quanto por detritos ou ainda por um elevado nível lipídicoLight, RW. ArchInternMed 1973;132:854-60.
Aspecto do Derrame PleuralO odor do líquido pleural também fornece informações úteis. Um cheiro pútrido indica que provavelmente há infecção por anaeróbios.Um odor de urina indica provável urinotórax.Light, RW. ArchInternMed 1973;132:854-60.
Diferenciação entre Exsudato e TransudatoTransudato: ocorre quando se acumula líquido pleural devido a um desequilíbrio entre as pressões hidrostáticas e oncótica. Principais causas-  ICC, cirrose, e embolia pulmonar. Light, RW. ArchInternMed 1973;132:854-60.
Diferenciação entre Exsudato e TransudatoExsudatos: Ocorrem quando os fatores locais que influenciam o acúmulo de líquido pleural são alterados. As principais causas são: pneumonia, câncer, e embolia pulmonar.Light, RW. ArchInternMed 1973;132:854-60.
Diferenciação entre Exsudato e TransudatoNas últimas décadas essa diferenciação tem sido feita através da utilização dos Critérios de Light.ProteínasDHLAlta sensibilidade para exsudatos.Baixa especificidade. Light, RW. ArchInternMed 1973;132:854-60.
Critérios de Light
Diferenciação entre Exsudato e TransudatoSe o aspecto clínico sugere transudato, mas pelos critérios da Light fechou como exsudato, o gradiente de albumina do soro e do líquido pleural deve ser medido.Quase todos os pacientes com gradiente maior que  1,2 g por decilitro tem um derrame transudativo. Light, RW. ArchInternMed 1973;132:854-60.
Avaliação do Derrame ExsudativoTestes adicionais são necessários:contagem total e diferencial de células
Bacterioscopia
Culturas
Glicose
DHL
Análise citológica
 ADA.Light, RW. ArchInternMed 1973;132:854-60.
Avaliação do Derrame ExsudativoA predominância de neutrófilos no líquido pleural (> 50% das células), indica que um processo agudo está afetando a pleura. Derrame parapneumônico
Embolia pulmonar
Efusões secundárias à pancreatiteLight, RW. ArchInternMed 1973;132:854-60.
Avaliação do Derrame ExsudativoA predominância de células mononucleares (> 50% de linfócitos) indica um processo crônico. Pleurite tuberculosaPós-operatório de revascularização miocárdica. Light, RW. ArchInternMed 1973;132:854-60.
Avaliação do Derrame ExsudativoDerrame pleural eosinofílico (> 10% de eosinófilos):Presença de ar ou sangue no espaço pleural
Reações a drogas (dantroleno, bromocriptina, ou nitrofurantoína).
Exposição ao amianto.
Síndrome de Churg-Strauss.
Incomum em pacientes com câncer ou tuberculose, a menos que o paciente tenha sido submetido a repetidas toracocenteses. Light, RW. ArchInternMed 1973;132:854-60.

Derrame pleural

  • 1.
    UNIVERSIDADE FEDERAL DOPARÁHOSPITAL UNIVERSITÁRIO JOÃO DE BARROS BARRETORESIDÊNCIA EM CLÍNICA MÉDICADERRAME PLEURALFlávia MatosR1 de Clínica Médica
  • 2.
    Caso ClínicoUm homemde 70 anos de idade com história de tabagismo de longa data, com consumo de 80 maços-ano e antecedente de ICC apresenta-se com piora da dispnéia. Ele também queixa-se de dor no hemitórax direito que piora com a inspiração profunda e encontra-se afebril.
  • 3.
    Caso ClínicoA radiografiatorácica revelou derrame pleural bilateral, com mais líquido pleural à direita do que à esquerda.
  • 4.
    Como este pacientedeverá ser avaliado?
  • 5.
    Avaliação InicialAnamnese:Exame físico:Vários aspectos do exame físico, devem receber atenção especial. O exame de tórax tipicamente revela:Macicez à percussão,
  • 6.
  • 7.
    Diminuição ou aboliçãodo murmúrio vesicular. Light, RW. N Engl J Med, Vol. 346, No. 25
  • 8.
    Avaliação InicialTurgência jugular,ritmo em galope (B3) ou edema periférico sugerem insuficiência cardíaca congestiva.A presença de linfadenopatia ou hepatoesplenomegalia sugere doença neoplásica.Ascite pode sugerir um causa hepática.Presença de sinais de resposta inflamatória sistêmica (febre, taquicardia, taquipnéia) sugerem uma causa infecciosa subjacente.Light, RW. N Engl J Med, Vol. 346, No. 25
  • 9.
    Avaliação InicialOutras condiçõesclínicas podem produzir imagens radiológicas semelhantes ao derrame pleural, de forma que estudos alternativos são frequentemente necessários para confirmar se um derrame pleural está presente.
  • 10.
  • 11.
    Avaliação InicialEstudos ultra-sonográficosRadiografiasem decúbito lateral (Laurel)Tomografia Computadorizada (TC) para analisar o parênquima pulmonar subjacente ou mediastino.
  • 15.
    Indicações de ToracocentesePresençade um derrame pleural clinicamente significativo (maior que 10 mm de espessura à ultrassonografia ou em radiografia em decúbito lateral) sem causa conhecida.Shinto, RA. AmJ Med 1990;88:230-4.
  • 16.
    Indicações de ToracocenteseEmpacientes com ICC e derrame pleural bilateral de tamanho semelhante, afebril e sem dor torácica é recomendável observar e promover diurese antes de optar pela toracocentese. Se o derrame for unilateral, indicar toracocentese.Light, RW. N Engl J Med, Vol. 346, No. 25
  • 17.
    Indicações de ToracocenteseCercade 75 % dos derrames causados por ICC resolvem-se dentro de 48 horas após estímulo da diurese. Se o derrame persistir por mais de três dias, é indicado toracocentese. Light, RW. N Engl J Med, Vol. 346, No. 25
  • 18.
    Indicações de ToracocenteseAprincípio, a toracocentese é realizada para fins diagnósticos, a menos que o doente apresente dispnéia em repouso, quando pode-se indicar toracocentese de alívio, podendo ser usada para remover até 1500 ml de fluido.Light, RW. N Engl J Med, Vol. 346, No. 25
  • 19.
    ToracocentesePode ser realizadaà beira do leito com ou sem o auxílio de ultrassonografia.A realização do procedimento guiado por ultrassonografia é indicada se houver dificuldade na obtenção de líquido pleural ou se o derrame for pequeno.Light, RW. N Engl J Med, Vol. 346, No. 25
  • 20.
    Indicações de ToracocenteseNãoé necessário realizar rotineiramente radiografia de tórax após toracocentese, salvo se houver aspiração de ar durante a toracocentese, evolução com tosse, dor torácica e/ouperda do frêmito tóraco-vocal em área superior ao local da punção.Light, RW. N Engl J Med, Vol. 346, No. 25
  • 21.
    Aspecto do DerramePleuralA aparência do líquido pleural fornece informações úteis. Sanguinolento: cancro, embolia pulmonar, neoplasia, trauma e pneumonia. Turbidezdo líquido pleural pode ser causada tanto por hiperelularidade quanto por detritos ou ainda por um elevado nível lipídicoLight, RW. ArchInternMed 1973;132:854-60.
  • 22.
    Aspecto do DerramePleuralO odor do líquido pleural também fornece informações úteis. Um cheiro pútrido indica que provavelmente há infecção por anaeróbios.Um odor de urina indica provável urinotórax.Light, RW. ArchInternMed 1973;132:854-60.
  • 24.
    Diferenciação entre Exsudatoe TransudatoTransudato: ocorre quando se acumula líquido pleural devido a um desequilíbrio entre as pressões hidrostáticas e oncótica. Principais causas- ICC, cirrose, e embolia pulmonar. Light, RW. ArchInternMed 1973;132:854-60.
  • 25.
    Diferenciação entre Exsudatoe TransudatoExsudatos: Ocorrem quando os fatores locais que influenciam o acúmulo de líquido pleural são alterados. As principais causas são: pneumonia, câncer, e embolia pulmonar.Light, RW. ArchInternMed 1973;132:854-60.
  • 26.
    Diferenciação entre Exsudatoe TransudatoNas últimas décadas essa diferenciação tem sido feita através da utilização dos Critérios de Light.ProteínasDHLAlta sensibilidade para exsudatos.Baixa especificidade. Light, RW. ArchInternMed 1973;132:854-60.
  • 27.
  • 28.
    Diferenciação entre Exsudatoe TransudatoSe o aspecto clínico sugere transudato, mas pelos critérios da Light fechou como exsudato, o gradiente de albumina do soro e do líquido pleural deve ser medido.Quase todos os pacientes com gradiente maior que 1,2 g por decilitro tem um derrame transudativo. Light, RW. ArchInternMed 1973;132:854-60.
  • 30.
    Avaliação do DerrameExsudativoTestes adicionais são necessários:contagem total e diferencial de células
  • 31.
  • 32.
  • 33.
  • 34.
  • 35.
  • 36.
    ADA.Light, RW.ArchInternMed 1973;132:854-60.
  • 37.
    Avaliação do DerrameExsudativoA predominância de neutrófilos no líquido pleural (> 50% das células), indica que um processo agudo está afetando a pleura. Derrame parapneumônico
  • 38.
  • 39.
    Efusões secundárias àpancreatiteLight, RW. ArchInternMed 1973;132:854-60.
  • 40.
    Avaliação do DerrameExsudativoA predominância de células mononucleares (> 50% de linfócitos) indica um processo crônico. Pleurite tuberculosaPós-operatório de revascularização miocárdica. Light, RW. ArchInternMed 1973;132:854-60.
  • 41.
    Avaliação do DerrameExsudativoDerrame pleural eosinofílico (> 10% de eosinófilos):Presença de ar ou sangue no espaço pleural
  • 42.
    Reações a drogas(dantroleno, bromocriptina, ou nitrofurantoína).
  • 43.
  • 44.
  • 45.
    Incomum em pacientescom câncer ou tuberculose, a menos que o paciente tenha sido submetido a repetidas toracocenteses. Light, RW. ArchInternMed 1973;132:854-60.