UNIVERSIDADE FEDERAL DO PARÁ
HOSPITAL UNIVERSITÁRIO JOÃO DE BARROS
BARRETO
RESIDÊNCIA EM CLÍNICA MÉDICA
Flávia Matos
R1 de Clínica Médica
Caso Clínico
Um homem de 70 anos de idade com história
de tabagismo de longa data, com consumo de
80 maços-ano e antecedente de ICC
apresenta-se com piora da dispnéia. Ele
também queixa-se de dor no hemitórax direito
que piora com a inspiração profunda e
encontra-se afebril.
Caso Clínico
 A radiografia torácica
revelou derrame pleural
bilateral, com mais
líquido pleural à direita
do que à esquerda.
Avaliação Inicial
 Anamnese:
 Exame físico: Vários aspectos do exame físico,
devem receber atenção especial.
 O exame de tórax tipicamente revela:
• Macicez à percussão,
• Ausência de frêmito,
• Diminuição ou abolição do murmúrio vesicular.
Light, RW. N Engl J Med, Vol. 346, No. 25
Avaliação Inicial
 Turgência jugular, ritmo em galope (B3) ou
edema periférico sugerem insuficiência
cardíaca congestiva.
 A presença de linfadenopatia ou
hepatoesplenomegalia sugere doença
neoplásica.
 Ascite pode sugerir um causa hepática.
 Presença de sinais de resposta inflamatória
sistêmica (febre, taquicardia, taquipnéia)
sugerem uma causa infecciosa subjacente.
Light, RW. N Engl J Med, Vol. 346, No. 25
Avaliação Inicial
 Outras condições clínicas podem produzir
imagens radiológicas semelhantes ao
derrame pleural, de forma que estudos
alternativos são frequentemente
necessários para confirmar se um derrame
pleural está presente.
PNEUMONIA DERRAME PLEURAL TEP
Avaliação Inicial
 Estudos ultra-sonográficos
 Radiografias em decúbito lateral
(Laurel)
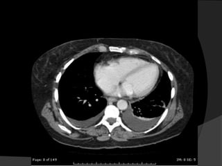
 Tomografia Computadorizada (TC) para
analisar o parênquima pulmonar
subjacente ou mediastino.
Indicações de
Toracocentese
 Presença de um derrame pleural clinicamente
significativo (maior que 10 mm de espessura à
ultrassonografia ou em radiografia em decúbito
lateral) sem causa conhecida.
Shinto, RA. Am J Med 1990;88:230-4.
Indicações de
Toracocentese
 Em pacientes com ICC e derrame pleural
bilateral de tamanho semelhante, afebril e
sem dor torácica é recomendável observar
e promover diurese antes de optar pela
toracocentese.
 Se o derrame for unilateral, indicar
toracocentese.
Light, RW. N Engl J Med, Vol. 346, No. 25
Indicações de
Toracocentese
 Cerca de 75 % dos derrames causados
por ICC resolvem-se dentro de 48 horas
após estímulo da diurese.
 Se o derrame persistir por mais de três
dias, é indicado toracocentese.
Light, RW. N Engl J Med, Vol. 346, No. 25
Indicações de
Toracocentese
 A princípio, a toracocentese é realizada
para fins diagnósticos, a menos que o
doente apresente dispnéia em repouso,
quando pode-se indicar toracocentese
de alívio, podendo ser usada para
remover até 1500 ml de fluido.
Light, RW. N Engl J Med, Vol. 346, No. 25
Toracocentese
 Pode ser realizada à beira do
leito com ou sem o auxílio de
ultrassonografia.
 A realização do procedimento
guiado por ultrassonografia é
indicada se houver dificuldade
na obtenção de líquido pleural
ou se o derrame for pequeno.
Light, RW. N Engl J Med, Vol. 346, No. 25
Indicações de
Toracocentese
 Não é necessário realizar rotineiramente
radiografia de tórax após toracocentese,
salvo se houver aspiração de ar durante a
toracocentese, evolução com tosse, dor
torácica e/ou perda do frêmito tóraco-vocal
em área superior ao local da punção.
Light, RW. N Engl J Med, Vol. 346, No. 25
Aspecto do Derrame Pleural
 A aparência do líquido pleural fornece
informações úteis.
 Sanguinolento: cancro, embolia
pulmonar, neoplasia, trauma e
pneumonia.
 Turbidez do líquido pleural pode ser
causada tanto por hiperelularidade
quanto por detritos ou ainda por um
elevado nível lipídico
Light, RW. Arch Intern Med 1973;132:854-60.
Aspecto do Derrame Pleural
 O odor do líquido pleural também
fornece informações úteis.
 Um cheiro pútrido indica que
provavelmente há infecção por
anaeróbios.
 Um odor de urina indica provável
urinotórax.
Light, RW. Arch Intern Med 1973;132:854-60.
Diferenciação entre Exsudato e
Transudato
 Transudato: ocorre quando se acumula
líquido pleural devido a um desequilíbrio
entre as pressões hidrostáticas e
oncótica.
 Principais causas- ICC, cirrose, e
embolia pulmonar.
Light, RW. Arch Intern Med 1973;132:854-60.
Diferenciação entre Exsudato e
Transudato
 Exsudatos: Ocorrem quando os fatores
locais que influenciam o acúmulo de
líquido pleural são alterados.
 As principais causas são: pneumonia,
câncer, e embolia pulmonar.
Light, RW. Arch Intern Med 1973;132:854-60.
Diferenciação entre Exsudato e
Transudato
 Nas últimas décadas essa diferenciação
tem sido feita através da utilização dos
Critérios de Light.
 Proteínas
 DHL
 Alta sensibilidade para exsudatos.
 Baixa especificidade.
Light, RW. Arch Intern Med 1973;132:854-60.
Critérios de Light
Diferenciação entre Exsudato e
Transudato
 Se o aspecto clínico sugere transudato,
mas pelos critérios da Light fechou
como exsudato, o gradiente de
albumina do soro e do líquido pleural
deve ser medido.
 Quase todos os pacientes com
gradiente maior que 1,2 g por decilitro
tem um derrame transudativo.
Light, RW. Arch Intern Med 1973;132:854-60.
Avaliação do Derrame
Exsudativo
 Testes adicionais são necessários:
• contagem total e diferencial de células
• Bacterioscopia
• Culturas
• Glicose
• DHL
• Análise citológica
• ADA.
Light, RW. Arch Intern Med 1973;132:854-60.
Avaliação do Derrame
Exsudativo
 A predominância de neutrófilos no
líquido pleural (> 50% das células),
indica que um processo agudo está
afetando a pleura.
• Derrame parapneumônico
• Embolia pulmonar
• Efusões secundárias à pancreatite
Light, RW. Arch Intern Med 1973;132:854-60.
Avaliação do Derrame
Exsudativo
 A predominância de células
mononucleares (> 50% de linfócitos)
indica um processo crônico.
 Pleurite tuberculosa
 Pós-operatório de revascularização
miocárdica.
Light, RW. Arch Intern Med 1973;132:854-60.
Avaliação do Derrame
Exsudativo
 Derrame pleural eosinofílico (> 10% de
eosinófilos):
• Presença de ar ou sangue no espaço pleural
• Reações a drogas (dantroleno, bromocriptina,
ou nitrofurantoína).
• Exposição ao amianto.
• Síndrome de Churg-Strauss.
• Incomum em pacientes com câncer ou
tuberculose, a menos que o paciente tenha
sido submetido a repetidas toracocenteses.
Light, RW. Arch Intern Med 1973;132:854-60.
Esfregaço e Culturas
 O aproveitamento da cultura é aumentado se
realizar-se a inoculação dos frascos de cultivo à
beira do leito com o líquido pleural.
 Se existe uma probabilidade razoável de que o
paciente tenha alguma micobactéria ou infecção
fúngica , deve-se solicitar culturas específicas.
 Esfregaço do líquido pleural pode revelar fungos,
mas esfregaços para micobactérias raramente são
positivos, a menos que o paciente tenha um
empiema tuberculoso ou SIDA.
Light, RW. Arch Intern Med 1973;132:854-60.
Níveis de Glicose no Liquido
pleural
 A presença de baixos níveis de glicose no
fluido pleural (< 60 mg/dL), indica que o
paciente provavelmente tem um derrame
parapneumônico ou um derrame neoplásico.
 Causas menos comuns são:
• Hemotórax,
• Tuberculose,
• Pleurite reumatóide
• Síndrome de Churg-Strauss,
• Pleurite lúpica.
Light, RW. Arch Intern Med 1973;132:854-60.
Níveis de Desidrogenase Lática
(DHL) no Líquido Pleural
 O nível de DHL no líquido pleural correlaciona-se
com o grau de inflamação pleural e deve ser
medido toda vez que uma nova amostra for
colhida.
 Aumento progressivo de DHL sugere piora
inflamatória, devendo um diagnóstico definitivo
ser agressivamente pesquisado.
 Inversamente, se o nível de DHL diminui, uma
abordagem menos agressiva diagnóstico pode
ser considerada.
Light, RW. Arch Intern Med 1973;132:854-60.
Testes oncológicos no Líquido
Pleural
 Forma rápido, eficiente e minimamente
invasiva para auxiliar no diagnóstico de
câncer.
 A análise citológica em bloco e em
esfregaço aumenta a sensibilidade.
 A análise citológica pode estabelecer
diagnóstico em até 70% dos casos de
adenocarcinoma metastático.
Light, RW. Arch Intern Med 1973;132:854-60.
Testes oncológicos no Líquido
Pleural
 Baixa sensibilidade e especificidade
para:
• Mesotelioma
• Carcinoma de células
• Linfomas
• Sarcomas que envolvem a pleura
Light, RW. Arch Intern Med 1973;132:854-60.
Marcadores de Tuberculose no
Líquido Pleural
 Uma vez que < 40% dos pacientes com
pleurite tuberculosa tem cultura positiva,
meios alternativos são utilizados para
estabelecer o diagnóstico.
 Adenosina desaminase (ADA > 40 U/L)
 Interferon-g (>140 pg/L.)
 Reação em cadeia da polimerase (PCR)
para DNA de micobactérias.
Light, RW. Arch Intern Med 1973;132:854-60.
pH do Líquido Pleural
 Justificado na suspeita de derrame
parapneumônico ou neoplásico.
 pH < 7,20 em um paciente com derrame
pleural parapneumônico indica a
necessidade de drenagem do fluido.
 Um pH <7,20 em um paciente com
derrame pleural neoplásico indica
péssimo prognóstico.
Light, RW. Arch Intern Med 1973;132:854-60.
Amilase
 Níveis elevados são vistos em pacientes
com doença pancreática e ruptura
esofágica.
 Deve ser medida se houver sintomas
clínicos ou se a história sugestiva
 Não solicita-se rotineiramente.
Light, RW. Arch Intern Med 1973;132:854-60.
Recomendações
 Se após essa avaliação não houver
diagnóstico evidente é necessário
avaliar a possibilidade de embolia
pulmonar .
• Se o diagnóstico permanece incerto,
considerar testes invasivos:
• Toracoscopia,
• biópsia da pleura por agulha
• biópsia pleural aberta.
Avaliação de Embolia Pulmonar
 A possibilidade de embolia pulmonar
deve ser considerada quando um
paciente tem dor pleurítica, hemoptise,
dispnéia ou desproporcionadas em
relação à dimensão do derrame.
 O melhor teste é medição do nível de
dímero-D no sangue periférico.
Light, RW. Arch Intern Med 1973;132:854-60.
Avaliação de Embolia Pulmonar
 Se negativo, o diagnóstico de embolia
pulmonar é essencialmente excluída.
 Se o D-dímero é positivo, testes
diagnósticos específicos adicionais
devem ser realizados:
• Ultra-sonografia dúplex das pernas
• TC helicoidal
• Arteriografia
Solucionando o Caso
Clínico
 No caso clínico inicial, o derrame pleural por insuficiência
cardíaca congestiva é uma possibilidade, uma vez que o
paciente tem história desta condição.
 No entanto, pelo fato de o derrame não ser simétrico e da
presença da dor, seria indicada a toracocentese.
 Um derrame exsudativo indicaria análise citológica, uma
vez que o câncer é uma preocupação em particular tendo
em conta a idade do paciente e a história de tabagismo
pesado.
 Se o exame citológico não for conclusivo, toracoscopia ou
outra avaliação invasiva deve ser considerada.
Light, RW. Arch Intern Med 1973;132:854-60.
Derramepleural 100508113220-phpapp02

Derramepleural 100508113220-phpapp02

  • 1.
    UNIVERSIDADE FEDERAL DOPARÁ HOSPITAL UNIVERSITÁRIO JOÃO DE BARROS BARRETO RESIDÊNCIA EM CLÍNICA MÉDICA Flávia Matos R1 de Clínica Médica
  • 2.
    Caso Clínico Um homemde 70 anos de idade com história de tabagismo de longa data, com consumo de 80 maços-ano e antecedente de ICC apresenta-se com piora da dispnéia. Ele também queixa-se de dor no hemitórax direito que piora com a inspiração profunda e encontra-se afebril.
  • 3.
    Caso Clínico  Aradiografia torácica revelou derrame pleural bilateral, com mais líquido pleural à direita do que à esquerda.
  • 5.
    Avaliação Inicial  Anamnese: Exame físico: Vários aspectos do exame físico, devem receber atenção especial.  O exame de tórax tipicamente revela: • Macicez à percussão, • Ausência de frêmito, • Diminuição ou abolição do murmúrio vesicular. Light, RW. N Engl J Med, Vol. 346, No. 25
  • 6.
    Avaliação Inicial  Turgênciajugular, ritmo em galope (B3) ou edema periférico sugerem insuficiência cardíaca congestiva.  A presença de linfadenopatia ou hepatoesplenomegalia sugere doença neoplásica.  Ascite pode sugerir um causa hepática.  Presença de sinais de resposta inflamatória sistêmica (febre, taquicardia, taquipnéia) sugerem uma causa infecciosa subjacente. Light, RW. N Engl J Med, Vol. 346, No. 25
  • 7.
    Avaliação Inicial  Outrascondições clínicas podem produzir imagens radiológicas semelhantes ao derrame pleural, de forma que estudos alternativos são frequentemente necessários para confirmar se um derrame pleural está presente.
  • 8.
  • 9.
    Avaliação Inicial  Estudosultra-sonográficos  Radiografias em decúbito lateral (Laurel)  Tomografia Computadorizada (TC) para analisar o parênquima pulmonar subjacente ou mediastino.
  • 13.
    Indicações de Toracocentese  Presençade um derrame pleural clinicamente significativo (maior que 10 mm de espessura à ultrassonografia ou em radiografia em decúbito lateral) sem causa conhecida. Shinto, RA. Am J Med 1990;88:230-4.
  • 14.
    Indicações de Toracocentese  Empacientes com ICC e derrame pleural bilateral de tamanho semelhante, afebril e sem dor torácica é recomendável observar e promover diurese antes de optar pela toracocentese.  Se o derrame for unilateral, indicar toracocentese. Light, RW. N Engl J Med, Vol. 346, No. 25
  • 15.
    Indicações de Toracocentese  Cercade 75 % dos derrames causados por ICC resolvem-se dentro de 48 horas após estímulo da diurese.  Se o derrame persistir por mais de três dias, é indicado toracocentese. Light, RW. N Engl J Med, Vol. 346, No. 25
  • 16.
    Indicações de Toracocentese  Aprincípio, a toracocentese é realizada para fins diagnósticos, a menos que o doente apresente dispnéia em repouso, quando pode-se indicar toracocentese de alívio, podendo ser usada para remover até 1500 ml de fluido. Light, RW. N Engl J Med, Vol. 346, No. 25
  • 17.
    Toracocentese  Pode serrealizada à beira do leito com ou sem o auxílio de ultrassonografia.  A realização do procedimento guiado por ultrassonografia é indicada se houver dificuldade na obtenção de líquido pleural ou se o derrame for pequeno. Light, RW. N Engl J Med, Vol. 346, No. 25
  • 18.
    Indicações de Toracocentese  Nãoé necessário realizar rotineiramente radiografia de tórax após toracocentese, salvo se houver aspiração de ar durante a toracocentese, evolução com tosse, dor torácica e/ou perda do frêmito tóraco-vocal em área superior ao local da punção. Light, RW. N Engl J Med, Vol. 346, No. 25
  • 19.
    Aspecto do DerramePleural  A aparência do líquido pleural fornece informações úteis.  Sanguinolento: cancro, embolia pulmonar, neoplasia, trauma e pneumonia.  Turbidez do líquido pleural pode ser causada tanto por hiperelularidade quanto por detritos ou ainda por um elevado nível lipídico Light, RW. Arch Intern Med 1973;132:854-60.
  • 20.
    Aspecto do DerramePleural  O odor do líquido pleural também fornece informações úteis.  Um cheiro pútrido indica que provavelmente há infecção por anaeróbios.  Um odor de urina indica provável urinotórax. Light, RW. Arch Intern Med 1973;132:854-60.
  • 22.
    Diferenciação entre Exsudatoe Transudato  Transudato: ocorre quando se acumula líquido pleural devido a um desequilíbrio entre as pressões hidrostáticas e oncótica.  Principais causas- ICC, cirrose, e embolia pulmonar. Light, RW. Arch Intern Med 1973;132:854-60.
  • 23.
    Diferenciação entre Exsudatoe Transudato  Exsudatos: Ocorrem quando os fatores locais que influenciam o acúmulo de líquido pleural são alterados.  As principais causas são: pneumonia, câncer, e embolia pulmonar. Light, RW. Arch Intern Med 1973;132:854-60.
  • 24.
    Diferenciação entre Exsudatoe Transudato  Nas últimas décadas essa diferenciação tem sido feita através da utilização dos Critérios de Light.  Proteínas  DHL  Alta sensibilidade para exsudatos.  Baixa especificidade. Light, RW. Arch Intern Med 1973;132:854-60.
  • 25.
  • 26.
    Diferenciação entre Exsudatoe Transudato  Se o aspecto clínico sugere transudato, mas pelos critérios da Light fechou como exsudato, o gradiente de albumina do soro e do líquido pleural deve ser medido.  Quase todos os pacientes com gradiente maior que 1,2 g por decilitro tem um derrame transudativo. Light, RW. Arch Intern Med 1973;132:854-60.
  • 28.
    Avaliação do Derrame Exsudativo Testes adicionais são necessários: • contagem total e diferencial de células • Bacterioscopia • Culturas • Glicose • DHL • Análise citológica • ADA. Light, RW. Arch Intern Med 1973;132:854-60.
  • 29.
    Avaliação do Derrame Exsudativo A predominância de neutrófilos no líquido pleural (> 50% das células), indica que um processo agudo está afetando a pleura. • Derrame parapneumônico • Embolia pulmonar • Efusões secundárias à pancreatite Light, RW. Arch Intern Med 1973;132:854-60.
  • 30.
    Avaliação do Derrame Exsudativo A predominância de células mononucleares (> 50% de linfócitos) indica um processo crônico.  Pleurite tuberculosa  Pós-operatório de revascularização miocárdica. Light, RW. Arch Intern Med 1973;132:854-60.
  • 31.
    Avaliação do Derrame Exsudativo Derrame pleural eosinofílico (> 10% de eosinófilos): • Presença de ar ou sangue no espaço pleural • Reações a drogas (dantroleno, bromocriptina, ou nitrofurantoína). • Exposição ao amianto. • Síndrome de Churg-Strauss. • Incomum em pacientes com câncer ou tuberculose, a menos que o paciente tenha sido submetido a repetidas toracocenteses. Light, RW. Arch Intern Med 1973;132:854-60.
  • 32.
    Esfregaço e Culturas O aproveitamento da cultura é aumentado se realizar-se a inoculação dos frascos de cultivo à beira do leito com o líquido pleural.  Se existe uma probabilidade razoável de que o paciente tenha alguma micobactéria ou infecção fúngica , deve-se solicitar culturas específicas.  Esfregaço do líquido pleural pode revelar fungos, mas esfregaços para micobactérias raramente são positivos, a menos que o paciente tenha um empiema tuberculoso ou SIDA. Light, RW. Arch Intern Med 1973;132:854-60.
  • 33.
    Níveis de Glicoseno Liquido pleural  A presença de baixos níveis de glicose no fluido pleural (< 60 mg/dL), indica que o paciente provavelmente tem um derrame parapneumônico ou um derrame neoplásico.  Causas menos comuns são: • Hemotórax, • Tuberculose, • Pleurite reumatóide • Síndrome de Churg-Strauss, • Pleurite lúpica. Light, RW. Arch Intern Med 1973;132:854-60.
  • 34.
    Níveis de DesidrogenaseLática (DHL) no Líquido Pleural  O nível de DHL no líquido pleural correlaciona-se com o grau de inflamação pleural e deve ser medido toda vez que uma nova amostra for colhida.  Aumento progressivo de DHL sugere piora inflamatória, devendo um diagnóstico definitivo ser agressivamente pesquisado.  Inversamente, se o nível de DHL diminui, uma abordagem menos agressiva diagnóstico pode ser considerada. Light, RW. Arch Intern Med 1973;132:854-60.
  • 35.
    Testes oncológicos noLíquido Pleural  Forma rápido, eficiente e minimamente invasiva para auxiliar no diagnóstico de câncer.  A análise citológica em bloco e em esfregaço aumenta a sensibilidade.  A análise citológica pode estabelecer diagnóstico em até 70% dos casos de adenocarcinoma metastático. Light, RW. Arch Intern Med 1973;132:854-60.
  • 36.
    Testes oncológicos noLíquido Pleural  Baixa sensibilidade e especificidade para: • Mesotelioma • Carcinoma de células • Linfomas • Sarcomas que envolvem a pleura Light, RW. Arch Intern Med 1973;132:854-60.
  • 37.
    Marcadores de Tuberculoseno Líquido Pleural  Uma vez que < 40% dos pacientes com pleurite tuberculosa tem cultura positiva, meios alternativos são utilizados para estabelecer o diagnóstico.  Adenosina desaminase (ADA > 40 U/L)  Interferon-g (>140 pg/L.)  Reação em cadeia da polimerase (PCR) para DNA de micobactérias. Light, RW. Arch Intern Med 1973;132:854-60.
  • 38.
    pH do LíquidoPleural  Justificado na suspeita de derrame parapneumônico ou neoplásico.  pH < 7,20 em um paciente com derrame pleural parapneumônico indica a necessidade de drenagem do fluido.  Um pH <7,20 em um paciente com derrame pleural neoplásico indica péssimo prognóstico. Light, RW. Arch Intern Med 1973;132:854-60.
  • 39.
    Amilase  Níveis elevadossão vistos em pacientes com doença pancreática e ruptura esofágica.  Deve ser medida se houver sintomas clínicos ou se a história sugestiva  Não solicita-se rotineiramente. Light, RW. Arch Intern Med 1973;132:854-60.
  • 40.
    Recomendações  Se apósessa avaliação não houver diagnóstico evidente é necessário avaliar a possibilidade de embolia pulmonar . • Se o diagnóstico permanece incerto, considerar testes invasivos: • Toracoscopia, • biópsia da pleura por agulha • biópsia pleural aberta.
  • 41.
    Avaliação de EmboliaPulmonar  A possibilidade de embolia pulmonar deve ser considerada quando um paciente tem dor pleurítica, hemoptise, dispnéia ou desproporcionadas em relação à dimensão do derrame.  O melhor teste é medição do nível de dímero-D no sangue periférico. Light, RW. Arch Intern Med 1973;132:854-60.
  • 42.
    Avaliação de EmboliaPulmonar  Se negativo, o diagnóstico de embolia pulmonar é essencialmente excluída.  Se o D-dímero é positivo, testes diagnósticos específicos adicionais devem ser realizados: • Ultra-sonografia dúplex das pernas • TC helicoidal • Arteriografia
  • 44.
    Solucionando o Caso Clínico No caso clínico inicial, o derrame pleural por insuficiência cardíaca congestiva é uma possibilidade, uma vez que o paciente tem história desta condição.  No entanto, pelo fato de o derrame não ser simétrico e da presença da dor, seria indicada a toracocentese.  Um derrame exsudativo indicaria análise citológica, uma vez que o câncer é uma preocupação em particular tendo em conta a idade do paciente e a história de tabagismo pesado.  Se o exame citológico não for conclusivo, toracoscopia ou outra avaliação invasiva deve ser considerada. Light, RW. Arch Intern Med 1973;132:854-60.