Definição
• Pneumotórax é o acúmulo de ar livre na cavidade pleural
Classificação
• De forma geral:
• Pneumotórax fechado
• Pneumotórax aberto
• Pneumotórax hipertensivo
• Quanto à origem:
• Pneumotórax Espontâneo
• Primário
• Secundário (a pneumopatias)
• Pneumotórax Adquirido
• Neonatal
• Iatrogênico
• Barotrauma
• Traumatismo
Figura 1. Atelectasia resultante da
compressão por um pneumotórax
Etiologia
• Três caminhos:
• Fluxo de ar passa dos pulmões através da perfuração da
pleura visceral
• Fluxo de ar passa do ar atmosférico através da perfuração
da parede torácica e da pleura parietal ou, raramente,
através de uma fístula esofágica ou perfuração de víscera
abdominal
• Formação de gás através de microorganismos de um
empiema na cavidade pleural (raro).
Etiologia
Figura 2. Pneumotórax fechado (hipertensivo) produzido por um ferimento na
parede torácica.
Etiologia
Figura 3. Pneumotórax produzido pela ruptura da pleura visceral que funciona
como “check valve”.
Diagnóstico
• História + Exame Físico + Radiologia
• 1. Anamnese:
• PSP – Paciente em repouso. Pneumotórax não tem relação causal
com esforço físico.
• Dor torácica + Dispneia: principais sintomas
• Clínica não tem relação proporcional com tamanho do Ptx.
• 2. Exame Físico:
•  do Murmúrio vesicular
•  da expansibilidade local
•  do volume torácico ipsilateral
• Hiper-ressonância à percussão
• Cianose, taquicardia, taquipneia e hipotensão → Ptx Hipertensivo?
Diagnóstico
• História + Exame Físico + Radiologia
• 1. Radiologia:
• Raio-X de Tórax PA: modalidade mais usada.
• Guidelines:
• Separação das linhas pleurais (faixa de ar)
• Lâmina de ar no ângulo costofrênico
• Achados que sugerem:
• Hipertransparência (sem trama vascular)
• Desvio do mediastino (Ptx. hipertensivo)
• Tomografia Computadorizada: modalidade mais sensível – “Gold
Standart”
• Métodos de imagem permitem quantificar o tamanho do Ptx.
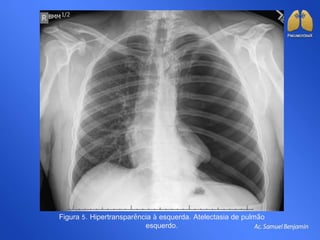
Figura 5. Hipertransparência à esquerda. Atelectasia de pulmão
esquerdo.
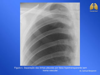
Figura 6. Separação das linhas pleurais por faixa hipertransparente sem
trama vascular.
Figura 7. Pneumotórax à esquerda. Observe a ponta do coração e o mediastino
afastando-se do pneumotórax hipertensivo.
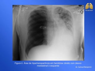
Figura 8. Área de hipertransparência em hemitórax direito com desvio
mediastinal à esquerda
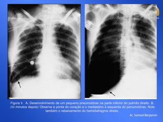
Figura 9. A, Desenvolvimento de um pequeno pneumotórax na parte inferior do pulmão direito. B,
(30 minutos depois) Observe a ponta do coração e o mediastino à esquerda do penumotórax. Note
também o rebaixamento do hemidiafragma direito.
Figura 10. Medição da magnitude do pneumotórax
Tratamento
• Na prática: a) Etiologia; b) Magnitude; c) Condições clínicas
• “A avaliação clínica provavelmente desempenha papel mais
importante na estratégia terapêutica” (British Thoracic Society, 2010)
• O tratamento a seguir é baseado pela Sociedade Brasileira
de Pneumologia e Tisiologia
Tratamento
Pneumotórax Espontâneo Primário (PSP)
Clínica
Estável Instável
Semelhante ao estável
> 3 cm (DFT)
Caráter emergencial
Oque
observo
Oquedevofazer
SSVV (N) e boa pO2 SSVV alterados e má pO2
Solicito Imagem
Tamanho < 3 cm Tamanho > 3 cm
Observação
Analgésicos e Repouso
Reavaliar em 4 – 6
horas
Melhora clínica e
radiológica é sinal de
alta
Internar por ≥ 24 horas
Considerar Punção
Aspirativa
Drenagem Fechada de
Tórax
Tratamento
Pneumotórax Espontâneo Secundário e Adquirido
Oquedevofazer
Solicito Imagem
Tamanho < 1 cm Tamanho > 1 cm
Pneumotórax laminar
Follow-up
Drenagem Fechada de
Tórax
Drenagem Pleural
• Aspectos técnicos:
• Subtipo mais usado: Drenagem Fechada Tubular Simples
• Outras: Aspiração contínua e aberta
• Dreno:
• Multifenestrado de plástico ou siliconizado
• Calibre variável
• Pig tail (9-12F): cateter maleável introduzido com auxílio de fio-guia
através de pequena incisão na pele
• Local do dreno:
• Pneumotórax espontâneo: 2º EIC x LHC
• Coleções líquidas livres: 5º EIC x LAA
• Coleções septadas? Ver alternativas de tratamento.
Drenagem Pleural
• Técnica Cirúrgica para DFT com dreno tubular:
• Antissepsia e bloqueio anestésico
• Incisão 1,5 – 2,0 cm e hemostasia
• Divulsão romba com Kelly e exploração digital
• Introduzir dreno para cima e posteriormente
• Conectar dreno ao sistema e fixá-lo, na pele, com ponto em
“U”
• Curativo oclusivo
• Verificar oscilação de coluna líquida
Drenagem Pleural
Drenagem Pleural
• Selo D’água
Figura 11. Sistema de drenagem por selo d’água
• Manutenção e retirada:
• Veriificar débito do frasco
• Verificar se coluna líquida oscila
• Manter frasco ao nível inferior ao do
tórax
• Retirar dreno se débito for < 75
ml/d com total expansibilidade
pulmonar
Considerações Finais
• O pneumotórax é condição clínica frequente em
emergências clínicas e cirúrgicas
• O aspecto clínico ainda desempenha essencial importância
no estabelecimento da estratégia terapêutica
• Constitui sinal clássico a separação das pleuras visceral e
parietal, evidenciado, não raramente, por um Raio-X simples
• O manejo adequado do pneumotórax depende de três
fatores: a) etiologia; b) magnitude; c) condições clínicas
• O limite de 3 cm da cúpula pleural à caixa torácica é fator
radiológico determinante à conduta, no ptx. Espontâneo
• Drenagem fechada tubular de tórax ainda constitui o
processo terapêutico mais eficaz e seguro
Referências Bibliográficas
• ANDRADE FILHO, Laert Oliveira; CAMPOS, José Ribas Milanez de; HADDAD,
Rui. Pneumotórax. Jornal brasileiro de pneumologia, São Paulo , v. 32, supl. 4,
Aug. 2006 . Disponível em: <http://dx.doi.org/10.1590/S1806-
37132006000900008>.
• BAUMANN, Michael H. et. al. Management of spontaneous pneumothorax: na
American Coleege pf Chest Physicians Delphi Consensus Statement. Chest,
february 2001, Vol 119, No. 2. Disponível
em:<http://journal.publications.chestnet.org/article.aspx?articleid=1079496>.
• MACDUFF, Andrew; ARNOLD, Anthony; HARVEY, John. Management of
spontaneous pneumothorax: British Thoracic Society pleural disease guideline
2010. Disponível em: Thorax 2010; 56(Suppl 2): ii18-ii31. Disponível em:
<doi:10.1136/thx.2010.136986>.
• PFLEGER, René. GORROCHATEGUI, Martin. Pneumothorax. Disponível em: <
http://radiopaedia.org/articles/pneumothorax>.

Pneumotórax

  • 2.
    Definição • Pneumotórax éo acúmulo de ar livre na cavidade pleural
  • 3.
    Classificação • De formageral: • Pneumotórax fechado • Pneumotórax aberto • Pneumotórax hipertensivo • Quanto à origem: • Pneumotórax Espontâneo • Primário • Secundário (a pneumopatias) • Pneumotórax Adquirido • Neonatal • Iatrogênico • Barotrauma • Traumatismo Figura 1. Atelectasia resultante da compressão por um pneumotórax
  • 4.
    Etiologia • Três caminhos: •Fluxo de ar passa dos pulmões através da perfuração da pleura visceral • Fluxo de ar passa do ar atmosférico através da perfuração da parede torácica e da pleura parietal ou, raramente, através de uma fístula esofágica ou perfuração de víscera abdominal • Formação de gás através de microorganismos de um empiema na cavidade pleural (raro).
  • 5.
    Etiologia Figura 2. Pneumotóraxfechado (hipertensivo) produzido por um ferimento na parede torácica.
  • 6.
    Etiologia Figura 3. Pneumotóraxproduzido pela ruptura da pleura visceral que funciona como “check valve”.
  • 7.
    Diagnóstico • História +Exame Físico + Radiologia • 1. Anamnese: • PSP – Paciente em repouso. Pneumotórax não tem relação causal com esforço físico. • Dor torácica + Dispneia: principais sintomas • Clínica não tem relação proporcional com tamanho do Ptx. • 2. Exame Físico: •  do Murmúrio vesicular •  da expansibilidade local •  do volume torácico ipsilateral • Hiper-ressonância à percussão • Cianose, taquicardia, taquipneia e hipotensão → Ptx Hipertensivo?
  • 8.
    Diagnóstico • História +Exame Físico + Radiologia • 1. Radiologia: • Raio-X de Tórax PA: modalidade mais usada. • Guidelines: • Separação das linhas pleurais (faixa de ar) • Lâmina de ar no ângulo costofrênico • Achados que sugerem: • Hipertransparência (sem trama vascular) • Desvio do mediastino (Ptx. hipertensivo) • Tomografia Computadorizada: modalidade mais sensível – “Gold Standart” • Métodos de imagem permitem quantificar o tamanho do Ptx.
  • 9.
    Figura 5. Hipertransparênciaà esquerda. Atelectasia de pulmão esquerdo.
  • 11.
    Figura 6. Separaçãodas linhas pleurais por faixa hipertransparente sem trama vascular.
  • 12.
    Figura 7. Pneumotóraxà esquerda. Observe a ponta do coração e o mediastino afastando-se do pneumotórax hipertensivo.
  • 13.
    Figura 8. Áreade hipertransparência em hemitórax direito com desvio mediastinal à esquerda
  • 14.
    Figura 9. A,Desenvolvimento de um pequeno pneumotórax na parte inferior do pulmão direito. B, (30 minutos depois) Observe a ponta do coração e o mediastino à esquerda do penumotórax. Note também o rebaixamento do hemidiafragma direito.
  • 15.
    Figura 10. Mediçãoda magnitude do pneumotórax
  • 16.
    Tratamento • Na prática:a) Etiologia; b) Magnitude; c) Condições clínicas • “A avaliação clínica provavelmente desempenha papel mais importante na estratégia terapêutica” (British Thoracic Society, 2010) • O tratamento a seguir é baseado pela Sociedade Brasileira de Pneumologia e Tisiologia
  • 17.
    Tratamento Pneumotórax Espontâneo Primário(PSP) Clínica Estável Instável Semelhante ao estável > 3 cm (DFT) Caráter emergencial Oque observo Oquedevofazer SSVV (N) e boa pO2 SSVV alterados e má pO2 Solicito Imagem Tamanho < 3 cm Tamanho > 3 cm Observação Analgésicos e Repouso Reavaliar em 4 – 6 horas Melhora clínica e radiológica é sinal de alta Internar por ≥ 24 horas Considerar Punção Aspirativa Drenagem Fechada de Tórax
  • 18.
    Tratamento Pneumotórax Espontâneo Secundárioe Adquirido Oquedevofazer Solicito Imagem Tamanho < 1 cm Tamanho > 1 cm Pneumotórax laminar Follow-up Drenagem Fechada de Tórax
  • 19.
    Drenagem Pleural • Aspectostécnicos: • Subtipo mais usado: Drenagem Fechada Tubular Simples • Outras: Aspiração contínua e aberta • Dreno: • Multifenestrado de plástico ou siliconizado • Calibre variável • Pig tail (9-12F): cateter maleável introduzido com auxílio de fio-guia através de pequena incisão na pele • Local do dreno: • Pneumotórax espontâneo: 2º EIC x LHC • Coleções líquidas livres: 5º EIC x LAA • Coleções septadas? Ver alternativas de tratamento.
  • 20.
    Drenagem Pleural • TécnicaCirúrgica para DFT com dreno tubular: • Antissepsia e bloqueio anestésico • Incisão 1,5 – 2,0 cm e hemostasia • Divulsão romba com Kelly e exploração digital • Introduzir dreno para cima e posteriormente • Conectar dreno ao sistema e fixá-lo, na pele, com ponto em “U” • Curativo oclusivo • Verificar oscilação de coluna líquida
  • 21.
  • 22.
    Drenagem Pleural • SeloD’água Figura 11. Sistema de drenagem por selo d’água • Manutenção e retirada: • Veriificar débito do frasco • Verificar se coluna líquida oscila • Manter frasco ao nível inferior ao do tórax • Retirar dreno se débito for < 75 ml/d com total expansibilidade pulmonar
  • 23.
    Considerações Finais • Opneumotórax é condição clínica frequente em emergências clínicas e cirúrgicas • O aspecto clínico ainda desempenha essencial importância no estabelecimento da estratégia terapêutica • Constitui sinal clássico a separação das pleuras visceral e parietal, evidenciado, não raramente, por um Raio-X simples • O manejo adequado do pneumotórax depende de três fatores: a) etiologia; b) magnitude; c) condições clínicas • O limite de 3 cm da cúpula pleural à caixa torácica é fator radiológico determinante à conduta, no ptx. Espontâneo • Drenagem fechada tubular de tórax ainda constitui o processo terapêutico mais eficaz e seguro
  • 24.
    Referências Bibliográficas • ANDRADEFILHO, Laert Oliveira; CAMPOS, José Ribas Milanez de; HADDAD, Rui. Pneumotórax. Jornal brasileiro de pneumologia, São Paulo , v. 32, supl. 4, Aug. 2006 . Disponível em: <http://dx.doi.org/10.1590/S1806- 37132006000900008>. • BAUMANN, Michael H. et. al. Management of spontaneous pneumothorax: na American Coleege pf Chest Physicians Delphi Consensus Statement. Chest, february 2001, Vol 119, No. 2. Disponível em:<http://journal.publications.chestnet.org/article.aspx?articleid=1079496>. • MACDUFF, Andrew; ARNOLD, Anthony; HARVEY, John. Management of spontaneous pneumothorax: British Thoracic Society pleural disease guideline 2010. Disponível em: Thorax 2010; 56(Suppl 2): ii18-ii31. Disponível em: <doi:10.1136/thx.2010.136986>. • PFLEGER, René. GORROCHATEGUI, Martin. Pneumothorax. Disponível em: < http://radiopaedia.org/articles/pneumothorax>.