Semiologia Ortopédica para Médico Assistente e Perito Médico
Prof. Dr. José Heitor Machado Fernandes
2ª
V
E
R
S
Ã
O
DO
H
I
P
E
R
T
E
X
T
O
Módulos
• Módulo 1 - Semiologia Ortopédica Pericial
• Módulo 2 – Termos Ortopédicos Comuns
• Módulo 3 – Doença Musculoesquelética
• Módulo 4 – Distúrbios Ortopédicos Gerais
• Módulo 5 – Exame Clínico
• Módulo 6- Marcha Humana (resumo)
• Módulo 7- Exame Físico Ortopédico
• Módulo 8 - Articulação Temporomandibular
• Módulo 9 – Coluna Cervical
• Módulo 10 – Testes Físicos Especiais
• Módulo 11 – Coluna Torácica e Lombar
• Módulo 12 – Articulações Sacroilíacas
• Módulo 13 – Ombros
• Módulo 14 – Cotovelos
• Módulo 15 – Antebraços
• Módulo 16 - Punhos e Mãos
• Módulo 17 - Quadril
• Módulo 18 – Joelhos e Pernas
• Módulo 19 – Pés e Tornozelos
• Módulo 20 - Trauma Ortopédico
• Módulo 21 – Radiologia do Aparelho Locomotor
• Módulo 22 – Dificuldades do Exame Físico Pericial
• Módulo 23- Principais DORTs da nossa comunidade
• Módulo 24 – Crédito de Imagens &
Referências Bibliográficas
• Módulo 25 – Relação de Vídeos, na Internet, sobre
Exame Físico do Aparelho Locomotor
• Epílogo
Módulos
RADIOLOGIA DO APARELHO LOCOMOTOR
Assuntos do Módulo 21
RADIOLOGIA DO APARELHO LOCOMOTOR
1- Introdução à radiologia do musculoesqueléticos (pates 1 e 2)
2- Radiologia do Trauma Esquelético (Radiografias)
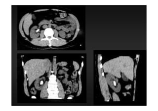
3- Tomografia Computadorizada (TC)
4- Imagem Infravermelha (IR)
5- Sites de Imagem Musculoesquelética na Internet
6- Densitometria óssea
7- Cintilografia óssea
8- Ultrassom musculoesquelético (at the University of Michigan)
9- MRI Atlas Orthopedics and Neurosurgery The Spine – Springer
10- Introduction to Neuroimaging - SPINE
Acesse
• Introdução à radiologia do musculoesquelético - Parte 1
• Introdução à radiologia do musculoesquelético - Parte 2
• Prof. Rogério Aguiar – Ufpr - Brasil
RADIOLOGIA DO
TRAUMA DO ESQUELETO
Referência: http://www.accessexcellence.org/RC/VL/
figura
figura
figura
figura
figura
figura
figura
figura
figura
figura
figura
figura
figura
figura
figura
figura
figura
figura
figura
figura
figura
figura
figura
figura
figura
figura
figura
figura
figura
figura
figura
figura
figura
figura
figura
figura
figura
figura
figura
figura
figura
figura
figura
figura
figura
figura
figura
figura
figura
figura
figura
figura
figura
figura
figura
figura
TOMOGRAFIA
COMPUTADORIZADA
Definição
É um método diagnóstico, no qual
são utilizados feixes colimadores,
muito finos, de Raios X, acoplados a
computadores que favoreçam
imagens detalhadas de seguimentos
corporais.
Além de método diagnóstico a
TC também vem sendo utilizada
com freqüência como método
localizador para:
• Biópsia
• Punção
• Marcador(esterotacxia)
• Radiofreqüência
Histórico
Roentgen 1895
1a observação do R X (observou
sem conseguir explicar).
Aparelho que causava emissão de R X
Papelão revestido por produtos
químicos
Papelão fluorescente
Forma de energia radiante e invisível no
qual podiam causar florescência e
atravessar materiais opacos a luz
Raio X
SALA ESCURA
Aparelho que emite raio X
Mão
Papelão florescente
Imagem da mão em positivo
Papel fica mais branco onde
chega mais raio X
Mais branco = mais
fluorescente
Mais negro = pouca reação
do papelão
figura
1901 1o premio
nobel em física foi dado a
Roentgen
1972 Após 72 anos da
descoberta do RX o físico
Golldfrey Hounsfield e o médico
Cormack, inventaram um novo
método de formação da imagem
a partir da aplicação do RX,
denominaram de TOMOGRAFIA
COMPUTADORIZADA.
figura
figura
Evolução
Aparelhos :
• 1a geração 1 detector
cortes de vários minutos
• 2a geração 5 a 50 detectores
cortes de 6 a 20 segundos
• 3a geração 200 a 600 detectores
cortes de 3 a 8 segundos
• 4a geração 300 a 1000 detectores
cortes de 1 a 4 segundos
Os aparelhos de última geração
chamados de multi-slice. Estes são
compostos por mais de 1000
detectores, com tempos de cortes
baixíssimos, e resoluções de imagem
aumentadas, reduzindo os artefatos
causados pelos movimentos
respiratórios, peristaltismo e até
batimentos cardíacos.
Princípios básicos na
formação de imagem por TC
Tubo com feixe de raio X;
Movimento continuamente em círculo ao redor do
paciente;
RX atravessam a superfície corpórea da região
examinada;
Parte do RX é absorvida (sendo que tecidos
corporais apresentam diferentes níveis de absorção
e atenuação desses raios) , e parte restante incide
sobre os detectores de radiação que se encontram
localizadas do lado oposto ao momento do tubo de
raio X;
GANTRY
Originam-se nestes detectores , sinais
elétricos diretamente proporcional ao
numero de feixes do raio X;
Estes sinais são quantificados e gravados
nos computadores;
Produção de imagens formadas por
múltiplos pontos (pixels) em diferentes
tons de cinzas (escala de Hounsfield).
• 1000 = branco tecido ósseo (radiopaco)
• 0 = agua
• -1000 = negro ar (radiotranparente)
Tubo de
Raio X
Detectores
Radiodensidade como
Função de Composição
chumbo
Sulfato
De bário
osso
músculo
sangue
fígado
água
lipidios
gordura
ar
radiopaco radiotransparente
TC axial
TC helicoidal ou espiral
AXIAL
• Imagens em um plano transversal ao objeto a
partir de um giro de 360 graus do feixe de raio
X em torno de si (mesa estática).
HELICOIDAL OU ESPIRAL
• Rotação contínua da ampola de raio X
acoplada em movimento continuo e regular em
torno do paciente em cima da mesa (aquisição
volumétrica) cortes de 1,0 a 10,0 mm de
espessura.
Reconstrução em planos diversos do
transversal são também mais fidedignos.
“ PITCH ”
O termo pitch é definido na
TC helicoidal como distância
percorrida pela mesa durante
um giro de 360o dividido
pela colimação do feixe de
raio X.
Mesa deslocando 10 mm por segundo
Espessura corte 10 mm
Mesa deslocando 20 mm por segundo
Espessura corte 10 mm
Pitch 1:1
Pitch 2:1
Sendo assim :
Pitch menor tempo de exame ou
maior a área a ser estudada, porém uma
redução na qualidade da imagem.
Protocolos
Na maioria dos serviços
radiológicos, protocolos de TC
são redigidos e seguidos,
detalhando a técnica mais
adequada para examinar
varias regiões do corpo.
PROTOCOLO
Espessura/Incremento
Extensão do estudo
(Primeiro ao último
corte)
Ângulo da mesa
Contraste necessário
(Oral/ev/retal)
Janelas
(osso/fígado/pulmão
Cerebro,etc)
Dose de RX
Documentação
Limitação da TC
Mulheres grávidas;
Pessoas muito obesas (superior a 180 kg);
Pessoas alérgicas ao contraste (só se submete a
fase sem contraste);
Pessoas que se submeteram a exames
contrastados recentemente com a utilização de
sulfato de bário;
Distúrbios neurológicos (Parkinson ou outras
afecções que causam movimentos involuntários);
Distúrbios psiquiátricos;
Crianças ou adultos senil (dificuldade de
compreensão quanto a necessidade de
imobilização prolongada).
Tomógrafo
Composto por um conjunto de sistemas :
• Sistema de emissão de raio X;
• Sistema de detectores de radiação;
• Sistema de reconstrução de imagem;
• Sistema de armazenamento e
apresentação de imagens (HD/teclado
/monitor);
• Mesa de exame;
• Sistema de documentação (impressora
multi-formato ou laser comum ou seca).
(Gantry)
figura
figura
Imagem na tela ou no filme
Convencionou-se examinar a TC
produzida como se estivesse
olhando para ela de baixo para
cima (a partir dos pés do
paciente), assim é importante
lembrar que as estruturas vistas
a sua direita são aquelas do lado
esquerdo do corpo do paciente.
Voltagem
• Maior voltagem produz uma maior
penetração em corpos grandes e reduz o
ruído da imagem;
• Menor voltagem produz uma melhora o
resolução de contraste em corpos médios e
pequenos.
mAs
• Configura a exposição durante a varredura;
• Um fator de mAs maior diminui o ruído da
imagem,melhora o contraste, mas aumenta
a dosagem de radiação que o paciente
recebe e sobrecarrega o tubo de raio X.
Ângulo de varredura (cortes axiais)
• Ex: 223o , 360o ou 403o graus
• 223o – varredura parcial que permite
cortes de 0,6 segundos
• 360o – volta completa (recomendado)
• 403o – 1 volta + 43o graus, onde permite
uma sobrevarredura e ajuda a atenuar
movimentos inconcientes do paciente
(peristaltismo)
Espessura
• Fatia de 1,0 mm é usado em alta
resolução (ex: ouvido);
• Fatia de 2,5 mm é usada como exemplo
para base do crânio e varredura de
fossa posterior (para minimizar o
volume parcial de listras ,devido a
estruturas óssea pequena e de alto
contraste);
Incremento
• Distância entre duas varreduras
consecutivas.
Scan time
• Tempo de varredura (corte) da aquisição
de uma fatia ,tempos de 1,0 a 1,3 seg é
adaptado à maioria dos casos padrões
atualmente. Tempos maiores que 1,0
segundo são usados para alta exposição
especiais (fatia fina com 500 mAs).
Filtros
• Adequado para cada tipo de estudo
(filtros moles a filtros duros).
Matrix
• Numero de pontos (pixels) que a
reconstrução da imagem conterá (3402,
5122,7682,10242) quanto menor a
matriz,menos espaço em arquivo ao
armazenar,mais rápida a reconstrução,
porém menos número de pixels ,menor a
qualidade de imagem.
Pixel
Contraste na TC
Via oral (v.o)
Endovenosa (e.v)
Via retal (v.r)
Via oral ou via retal – contraste
hidrossolúvel (a base de iodo) ou
baritado diluído
• Serve para aumentar a atenuação entre
duas estruturas (analise de vísceras
ocas).
Via oral – administrado 1 hora antes
do exame em sala
Via retal – fazer direto em sala (para
doenças pélvicas)
Contraste endovenoso –
administrado para o realce das estruturas
vasculares e para aumentar o contraste
entre as estruturas parenquimatosas:
vascularizadas, hipovascularizadas
avascularizadas.
O contraste iodado não-iônico vem
progressivamente aumentando, devido à
diminuição de numero de reações
alérgicas adversas comparado ao iônico.
Procedimentos Especiais
3 D
MIP (angio)
MPR (2 D)
4 D
Todas as aquisições devem ter espessura
finas e incremento de 50 a 70 % da
espessura (quanto mais informação, mais
fidedigna será a reconstrução multiplanar)
figura
figura
figura
figura
figura
figura
IMAGEM
INFRAVERMELHA IR EM
MEDICINA
PONTOS-GATILHO & SDM
figura
figura
Os sistemas de imagem infravermelha captam essa radiação
e convertem-na numa imagem que representa a distribuição
da temperatura superficial do objecto observado.
Todos os corpos, pelo facto de estarem a uma temperatura
superior ao zero absoluto emitem radiação térmica.
Imagem infravermelha. Definição:
figura
o Transmissão de energia na forma de onda electromagnética,
caracterizada por um comprimento de onda [ l ];
o Espectro electromagnético dividido em bandas, delimitadas
em função do comprimento de onda, traduzindo as
características físicas das fontes emissoras
Radiação Térmica - Conceitos Gerais
Raios X U. V. Visível I.V. Microondas Ondas de rádio
1,E-06 1,E-04 1,E-02 1 100 1,E+04 1,E+06 λ, µm
0.75 mm0.4 mm
Radiação Térmica
100 mm
figura
figura
figura
Imagem IR no daiagnóstico da
SDM
A aplicação da imagem infravermelha
(IR) no diagnóstico de Síndrome
Miofascial vem da hipótese de que há
vasodilatação mediada pelo sistema
autonômico nos pontos gatilhos , a
captação da emissividade de calor pela
pele por termógrafo de infravermelho
computadorizado mostraria, então,
segundo trabalhos prévios, hot spots
(vermelho, na escala de cores deste
estudo) em locais de pontos gatilhos
ativos, que poderiam ser confirmados
com algometria de pressão.
Conclusão: Imgem Infravermelha x
SDM
A termografia,como recurso tecnológico
nos dias de hoje mostra-se como
promissor meio auxiliar diagnóstico de
patologias músculo-tendíneas agudas,
onde há exacerbação da atividade
simpática e possivelmente processo
inflamatório associado.
Podemos também pensar em seu uso
como triagem em casos de doenças
ocupacionais (LER/DORT), visto que a
Síndrome Miofascial está associada de
maneira freqüente nestes casos, como
fator agravante.
Conclusão: Imgem Infravermelha x SDM
Mais estudos devam ser realizados, com
amostragem que permita cálculos estatísticos de
sensibilidade e especificidade do método para
diagnóstico de Síndrome Miofascial e das
patologias diversas bem como com
individualização das técnicas de tratamento para
comparar sua eficácia.
A coleta das imagens em ambiente com maior
controle de temperatura, umidade e fluxo de ar
como sugerido em 1996, no IEEE EMBS
Conference , em Amsterdã também deve ser
realizada com fins comparativos aos testes em
ambientes simplesmente climatizados, como é
usual em clínicas médicas.
Exame de imagem infravermelha IR
É um método diagnóstico que, por meio de uma
câmera especial, capta radiação infravermelha
longa na faixa de 6 a 15 milimicrons, emitida
pelo corpo humano, proporcionando uma imagem
da distribuição térmica da superfície cutânea.
Exame de imagem infravermelha IR
A temperatura da pele é influenciada pela
atividade microcirculatória, controlada pelo
sistema neurovegetativo simpático, e pela
produção de calor conduzida para a superfície
gerada em tecidos mais profundos.
Deste modo, é um método diagnóstico
totalmente seguro, indolor, sem radiação
ionizante, contato ou contraste, que determina,
tanto a atividade circulatória cutânea, pela sua
perfusão, quanto à do sistema neurovegetativo
simpático.
Exame de imagem infravermelha IR
As mudanças de temperatura correspondem a
alterações na circulação da camada dérmica e
não muito abaixo dela, com profundidade
geralmente até 6 milímetros.
Os equipamentos atuais, diferentemente dos de
cinco anos atrás, permitem uma imagem de alta
resolução.
Com mais de 64.000 pontos precisos de
temperatura a uma distância de 50 cm entre a
câmera e paciente, cada ponto corresponde a
uma área menor que 1 mm2.
.
Exame de imagem infravermelha IR
Os equipamentos são capazes de distinguir
diferenças de temperatura menor que 0,1º C em
menos de 0,01 segundo.
Os sensores IR são capazes de captar e mensurar
as alterações de radiação cutânea que os PG
miofasciais produzem.
figura
figura
figura
figura
figura
figura
figura
figura
Conclusão: Imgem Infravermelha x
SDM
A termografia,como recurso tecnológico
nos dias de hoje mostra-se como
promissor meio auxiliar diagnóstico de
patologias músculo-tendíneas agudas,
onde há exacerbação da atividade
simpática e possivelmente processo
inflamatório associado.
Podemos também pensar em seu uso
como triagem em casos de doenças
ocupacionais (LER/DORT), visto que a
Síndrome Miofascial está associada de
maneira freqüente nestes casos, como
fator agravante.
figura
figura
figura
Detecção da Luz
figura
Imagem Fantasma
figura
figura
Exame de imagem infravermelha IR
Programas sofisticados permitem avaliações
funcionais com subtração de imagens, fusão com
imagens de ressonância magnética e até mesmo
reconstrução tridimensional.
Por esse motivo, não se utilizam mais os termos
empregados no passado, referentes à temperatura
como, termografia, teletermografia, termometria,
hipertermia ou hipotermia. Hoje, se substituíram as
antigas expressões por imagem infravermelha,
hiper ou hiporradiação, área hiper ou
hiporradiogênica.
A expressão inglesa “hot spot” para indicar pontos
hiperaquecidos ainda é consagrada.
Fonte: - Brioschi ML,Colman D, Mello Neto H. Fusing IR and magnetic
resonance (MR) Image J Korean Med Thermol. 2002;2(1): 57-8.
Electrophysics’ PV320T is a calibrated thermal
camera incorporating a high resolution (320x240)
Medical Imaging
The human body burns a lot of
energy (approximately 100 watts).
Many physiological conditions
produce variations in body
temperature and temperature
distribution across the human body.
Thermography has also been used
as a screening tool for applications
such as breast cancer and pain
management.
figura
Aplicações. Medicina
•Determinação de problemas circulatórios
•Localização de infecções ocultas
•Análise de danos musculares
•Estudo de problemas de locomoção
•Medicina veterinária
A tendinite no braço (em vermelho)
é identificada pelo método
termografia
A base das imagens vistas na Guerra do Iraque é a
mesma usada para diagnóstico por infravermelho.
Termógrafo Electrophisycs PV 320
O Poder da velocidade - funcionalidade e
performace para imagens térmicas
Imagem térmica Infravermelha do
Ponto-Gatilho Miofascial
Termografia Infravermelha (IRT) tem sido
bem documentada na literatura médica e
quiroprática como uma ferramenta útil
para a detecção da síndrome dolorosa
miofascial e dos pontos-gatilho.
A dor miofascial pode ser local para
ponto-gatilho bem como produz fenômeno
de dor referida na extremidade que pode
mimetisar sintomas radiculares de origem
neurogênica
Imagem térmica Infravermelha do
Ponto-Gatilho Miofascial
Os pontos-gatilho miofasciais afetam o
tônus simpático nervoso e podem causar
sintomas autonômicos;
Isto é percebido pelo achado termográfico
da hipertermia focal do ponto-gatilho
cobrindo uma vasodilatação, resposta
reflexa somatocutânea aos impulsos
nociceptivos.
O equipamento de termografia
infravermelha deve ser bem localizado
para detectar e medir a hipertermia
cutânea que os pontos-gatilho miofasciais
produzem.
Imagem térmica Infravermelha do
Ponto-Gatilho Miofascial
Fischer tem utilizado a termografia
infravermelha para diagnóstico e
tratamento dos pontos-gatilho.
Fischer também correlacionou o uso
da algometria de pressão com a TIV
e encontrou uma alta correlação que
foi estatisticamente significante.
Conclusão: Termografia X SDM
A termografia,como recurso tecnológico
nos dias de hoje mostra-se como
promissor meio auxiliar diagnóstico de
patologias músculo-tendíneas agudas,
onde há exacerbação da atividade
simpática e possivelmente processo
inflamatório associado.
Podemos também pensar em seu uso
como triagem em casos de doenças
ocupacionais (LER/DORT), visto que a
Síndrome Miofascial está associada de
maneira freqüente nestes casos, como
fator agravante.
La termografía se emplea para
diagnosticar, evaluar y
controlar los cuadros de dolor
lumbar crónico, con o sin
irradiación a extremidades
inferiores, alteraciones
circulatorias, síndromes de
dolor miofascial, síndromes de
atrapamiento nervioso,
cicatrizaciones, síndromes
dolorosos psicógenos, y
especialmente síndrome de
dolor regional complejo de tipo
I y tipo II (Distrofia Simpático-
Refleja y Causalgia
respectivamente).
La termografía tiene una
especial utilidad en aquellos
síndromes dolorosos en que se
sospeche una implicación del
sistema nervioso simpático.
IMAGEM INFRAVERMELHA (IR)
Uma das indicações básicas e de uso clínico
corrente da imagem IR é a documentação de
doenças do tecido mole (músculos e fáscias),
particularmente que não podem ser
demonstradas por exames laboratorias, nem
radiológicos ou eletroneuromiografias.
Uma condição freqüente é os pontos-gatilhos
miofasciais. A imagem IR é o primeiro teste
diagnóstico que objetivamente documenta os
pontos-gatilhos na forma de pontos
hiperradiantes (hot spots) (FISCHER, 1984). O
hot spot representa o ponto-gatilho ativo, áreas
dolorosas ao exame clínico. Estes podem ser
corroborados pela sensibilidade local e
confirmação da queixa dos pacientes.
IMAGEM INFRAVERMELHA (IR)
As áreas distantes a origem do problema,
chamadas de áreas de dor referida,
apresentam-se hiporradiantes em comparação
ao lado correspondente. Os achados de
imagem IR representam um meio objetivo de
documentar os pontos-gatilhos miofasciais,
corroborando assim com as queixas
subjetivas do paciente. O reconhecimento dos
pontos-gatilhos pela imagem IR é importante
para introduzir o tratamento mais adequado
direcionado à causa da dor assim como
avaliar a resposta ao mesmo.
IMAGEM INFRAVERMELHA
A evolução chegou ao Brasil e
está funcionando em São
Paulo e Curitiba.
Trata-se da TERMOMETRIA
CUTÂNEA (AMB 39.01.007-4),
conhecida internacionalmente
por IMAGEM
INFRAVERMELHA, é um dos
métodos mais modernos no
diagnóstico complementar da
LER/DORT da atualidade.
É capaz de detectar
inúmeras lesões, muitas
vezes não detectadas por
outros métodos, e de
forma ainda mais precoce
!!!
Termometria Cutânea
É um método avançado, que
avalia o sistema nervoso
autônomo simpático,
estreitamente relacionado à
microcirculação da pele.
O exame funciona por meio da
mensuração das variações de
temperatura, causadas pela
maior ou menor irrigação de
um território microvascular.
Assim é possível distinguir
décimos de grau centígrado por
milímetros quadrados de área
de tecido.
Os territórios microvasculares
por sua vez são constituídos de
feixes vásculo-nervosos. Pelo
exame, fica mais fácil avaliar as
alterações fisiológicas
neurovasculares.
Conclusão: Termografia X SDM
Mais estudos devam ser realizados, com
amostragem que permita cálculos estatísticos de
sensibilidade e especificidade do método para
diagnóstico de Síndrome Miofascial e das
patologias diversas bem como com
individualização das técnicas de tratamento para
comparar sua eficácia.
A coleta das imagens em ambiente com maior
controle de temperatura, umidade e fluxo de ar
como sugerido em 1996, no IEEE EMBS
Conference , em Amsterdã também deve ser
realizada com fins comparativos aos testes em
ambientes simplesmente climatizados, como é
usual em clínicas médicas.
Conclusão: Termografia X SDM
Contudo, a imagem infravermelha é
exame totalmente seguro dos pontos-
gatilho, útil no diagnóstico e
acompanhamento mais objetivo dos
pontos-gatilho miofasciais.
Uma vez que as síndromes dolorosas
miofasciais fazem parte da prática
neuromúsculo-esquelética diária, a
imagem infravermelha é de grande valia
na clínica podendo auxiliar na reabilitação
mais rápida e efetiva do paciente com
síndrome dolorosa miofascial.
Quando indicar a realização da imagem IR
nos casos de dor miofascial ?
Se quer documentar objetivamente todos os PG para
diagnóstico e acompanhamento terapêutico.
Quando a hipótese diagnóstica inicial é de condição
não-específica, isto é, que não tem um substrato
objetivo demonstrável por exames anatômicos.
O objetivo é descartar condição não-específica
(simulação, neuróticos, anormalidades
psicossomáticas ou transtornos psíquicos).
Os resultados descritos nos exames tradicionais não
são compatíveis com os encontrados na história clínica
e no exame físico.
Quando indicar a realização da imagem IR
nos casos de dor miofascial ?
As alterações encontradas não explicam
todo o quadro clínico do paciente.
No caso de outros exames
complementares não terem detectado
alterações.
Ausência de anormalidades ao exame
físico.
Atender perícias com demonstração
objetiva em lides forenses.
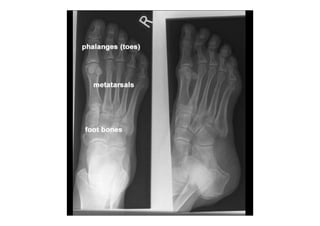
Radiologia Convencional ou Radiografia Simples ou
Raio X Simples Musculoesqauelético
• Radiografia da coluna cervical
• Radiografia da coluna torácica
• Radiografia da coluna lombar
• Radiografia de tórax
• Radiografia do ombro
• Radiografia do cotovelo
• Radiografia do antebraço
• Radiografia do punho
• Radiografia da mão
• Radiografia do abdômen
• Radiografia da bacia (pelve)
• Radiografia do quadril
Fonte: info-radiologie.ch
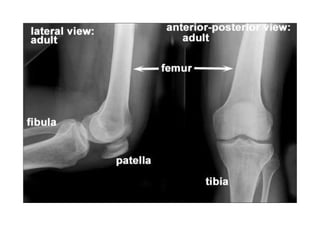
• Radiografia do joelho
• Radiografia do tornozelo
• Radiografia do pé
RM Musculoesquelética
• Ressonância Magnética de ombro
• Ressonância Magnética do cotovelo
• Ressonância Magnética do quadril
• Ressonância Magnética da coxa
• Ressonância Magnética do joelho
• Ressonância Magnética do tornozelo
• TC Musculoesquelética
• Tomografia Computadorizada do Tornozelo e do Pé
Fonte: info-radiologie.ch
• Musculoskeletal Radiology of Fractures
• American Society of Spine Radiology
• Musculoskeletl ultrasound at the University of Michigan
• MRI Atlas Orthopedics and Neurosurgery The Spine –
Springer
• Radiographic Anatomy of the Skeleton Table of Contents
(University of Washington)
• Densitometria Óssea
Para acessar o texto de interesse clique no link respectivo.
Radiologia Ortopédica e Densitometria
Imagem Musculoesquelética com Ultrasom
European Society of MusculoSkeletal Radiology:
• Musculoskeletal Ultrasound Technical Guidelines - I. Shoulder - Ian Beggs
• Ultra-sonografia na avaliação das afeccões agudas do sistema musculoesquelético: parte I:
afecções não-traumáticas.
• Ultrassonografia na avaliação das afecções agudas do sistema musculoesquelético: parte II:
afecções traumáticas e procedimentos guiados por ultrassom
• Ultrasound of the Shoulder
Introdução a NeuroImagem:
• Introduction to Neuroimaging - SPINE
Aaron S. Field, MD, PhD – Neuroradiology University of Wisconsin–Madison
• Introduction to Neuroimaging
Aaron S. Field, MD, PhD -Assistant Professor of Radiology - Neuroradiology Section University
of Wisconsin–Madison
Para acessar o texto de interesse clique no link respectivo.
Cintilografia Musculoesquelética
• Scintigraphy of the Musculoskeletal System
NAYER NIKPOOR, MD
• Cintilografia Óssea
Prof. Osvaldo Sampaio
Para acessar o texto de interesse clique no link respectivo.

Modulo 21

  • 1.
    Semiologia Ortopédica paraMédico Assistente e Perito Médico Prof. Dr. José Heitor Machado Fernandes 2ª V E R S Ã O DO H I P E R T E X T O
  • 2.
    Módulos • Módulo 1- Semiologia Ortopédica Pericial • Módulo 2 – Termos Ortopédicos Comuns • Módulo 3 – Doença Musculoesquelética • Módulo 4 – Distúrbios Ortopédicos Gerais • Módulo 5 – Exame Clínico • Módulo 6- Marcha Humana (resumo) • Módulo 7- Exame Físico Ortopédico • Módulo 8 - Articulação Temporomandibular • Módulo 9 – Coluna Cervical • Módulo 10 – Testes Físicos Especiais • Módulo 11 – Coluna Torácica e Lombar • Módulo 12 – Articulações Sacroilíacas • Módulo 13 – Ombros • Módulo 14 – Cotovelos • Módulo 15 – Antebraços
  • 3.
    • Módulo 16- Punhos e Mãos • Módulo 17 - Quadril • Módulo 18 – Joelhos e Pernas • Módulo 19 – Pés e Tornozelos • Módulo 20 - Trauma Ortopédico • Módulo 21 – Radiologia do Aparelho Locomotor • Módulo 22 – Dificuldades do Exame Físico Pericial • Módulo 23- Principais DORTs da nossa comunidade • Módulo 24 – Crédito de Imagens & Referências Bibliográficas • Módulo 25 – Relação de Vídeos, na Internet, sobre Exame Físico do Aparelho Locomotor • Epílogo Módulos
  • 4.
  • 5.
    Assuntos do Módulo21 RADIOLOGIA DO APARELHO LOCOMOTOR 1- Introdução à radiologia do musculoesqueléticos (pates 1 e 2) 2- Radiologia do Trauma Esquelético (Radiografias) 3- Tomografia Computadorizada (TC) 4- Imagem Infravermelha (IR) 5- Sites de Imagem Musculoesquelética na Internet 6- Densitometria óssea 7- Cintilografia óssea 8- Ultrassom musculoesquelético (at the University of Michigan) 9- MRI Atlas Orthopedics and Neurosurgery The Spine – Springer 10- Introduction to Neuroimaging - SPINE
  • 6.
    Acesse • Introdução àradiologia do musculoesquelético - Parte 1 • Introdução à radiologia do musculoesquelético - Parte 2 • Prof. Rogério Aguiar – Ufpr - Brasil
  • 7.
    RADIOLOGIA DO TRAUMA DOESQUELETO Referência: http://www.accessexcellence.org/RC/VL/
  • 8.
  • 9.
  • 10.
  • 11.
  • 12.
  • 13.
  • 14.
  • 15.
  • 16.
  • 17.
  • 18.
  • 19.
  • 20.
  • 21.
  • 22.
  • 23.
  • 24.
  • 25.
  • 26.
  • 27.
  • 28.
  • 29.
  • 30.
  • 31.
  • 32.
  • 33.
  • 34.
  • 35.
  • 36.
  • 37.
  • 38.
  • 39.
  • 40.
  • 41.
  • 42.
  • 43.
  • 44.
  • 45.
  • 46.
  • 47.
  • 48.
  • 49.
  • 50.
  • 51.
  • 52.
  • 53.
  • 54.
  • 55.
  • 56.
  • 57.
  • 58.
  • 59.
  • 60.
  • 61.
  • 62.
  • 63.
  • 64.
    Definição É um métododiagnóstico, no qual são utilizados feixes colimadores, muito finos, de Raios X, acoplados a computadores que favoreçam imagens detalhadas de seguimentos corporais.
  • 65.
    Além de métododiagnóstico a TC também vem sendo utilizada com freqüência como método localizador para: • Biópsia • Punção • Marcador(esterotacxia) • Radiofreqüência
  • 66.
    Histórico Roentgen 1895 1a observaçãodo R X (observou sem conseguir explicar).
  • 67.
    Aparelho que causavaemissão de R X Papelão revestido por produtos químicos Papelão fluorescente Forma de energia radiante e invisível no qual podiam causar florescência e atravessar materiais opacos a luz Raio X SALA ESCURA
  • 68.
    Aparelho que emiteraio X Mão Papelão florescente Imagem da mão em positivo
  • 69.
    Papel fica maisbranco onde chega mais raio X Mais branco = mais fluorescente Mais negro = pouca reação do papelão
  • 70.
  • 71.
    1901 1o premio nobelem física foi dado a Roentgen
  • 72.
    1972 Após 72anos da descoberta do RX o físico Golldfrey Hounsfield e o médico Cormack, inventaram um novo método de formação da imagem a partir da aplicação do RX, denominaram de TOMOGRAFIA COMPUTADORIZADA.
  • 73.
  • 74.
  • 75.
    Evolução Aparelhos : • 1ageração 1 detector cortes de vários minutos • 2a geração 5 a 50 detectores cortes de 6 a 20 segundos • 3a geração 200 a 600 detectores cortes de 3 a 8 segundos • 4a geração 300 a 1000 detectores cortes de 1 a 4 segundos
  • 76.
    Os aparelhos deúltima geração chamados de multi-slice. Estes são compostos por mais de 1000 detectores, com tempos de cortes baixíssimos, e resoluções de imagem aumentadas, reduzindo os artefatos causados pelos movimentos respiratórios, peristaltismo e até batimentos cardíacos.
  • 77.
    Princípios básicos na formaçãode imagem por TC Tubo com feixe de raio X; Movimento continuamente em círculo ao redor do paciente; RX atravessam a superfície corpórea da região examinada; Parte do RX é absorvida (sendo que tecidos corporais apresentam diferentes níveis de absorção e atenuação desses raios) , e parte restante incide sobre os detectores de radiação que se encontram localizadas do lado oposto ao momento do tubo de raio X; GANTRY
  • 78.
    Originam-se nestes detectores, sinais elétricos diretamente proporcional ao numero de feixes do raio X; Estes sinais são quantificados e gravados nos computadores; Produção de imagens formadas por múltiplos pontos (pixels) em diferentes tons de cinzas (escala de Hounsfield). • 1000 = branco tecido ósseo (radiopaco) • 0 = agua • -1000 = negro ar (radiotranparente)
  • 79.
  • 80.
    Radiodensidade como Função deComposição chumbo Sulfato De bário osso músculo sangue fígado água lipidios gordura ar radiopaco radiotransparente
  • 81.
    TC axial TC helicoidalou espiral AXIAL • Imagens em um plano transversal ao objeto a partir de um giro de 360 graus do feixe de raio X em torno de si (mesa estática). HELICOIDAL OU ESPIRAL • Rotação contínua da ampola de raio X acoplada em movimento continuo e regular em torno do paciente em cima da mesa (aquisição volumétrica) cortes de 1,0 a 10,0 mm de espessura. Reconstrução em planos diversos do transversal são também mais fidedignos.
  • 82.
    “ PITCH ” Otermo pitch é definido na TC helicoidal como distância percorrida pela mesa durante um giro de 360o dividido pela colimação do feixe de raio X.
  • 83.
    Mesa deslocando 10mm por segundo Espessura corte 10 mm Mesa deslocando 20 mm por segundo Espessura corte 10 mm Pitch 1:1 Pitch 2:1 Sendo assim : Pitch menor tempo de exame ou maior a área a ser estudada, porém uma redução na qualidade da imagem.
  • 84.
    Protocolos Na maioria dosserviços radiológicos, protocolos de TC são redigidos e seguidos, detalhando a técnica mais adequada para examinar varias regiões do corpo.
  • 85.
    PROTOCOLO Espessura/Incremento Extensão do estudo (Primeiroao último corte) Ângulo da mesa Contraste necessário (Oral/ev/retal) Janelas (osso/fígado/pulmão Cerebro,etc) Dose de RX Documentação
  • 86.
    Limitação da TC Mulheresgrávidas; Pessoas muito obesas (superior a 180 kg); Pessoas alérgicas ao contraste (só se submete a fase sem contraste); Pessoas que se submeteram a exames contrastados recentemente com a utilização de sulfato de bário; Distúrbios neurológicos (Parkinson ou outras afecções que causam movimentos involuntários); Distúrbios psiquiátricos; Crianças ou adultos senil (dificuldade de compreensão quanto a necessidade de imobilização prolongada).
  • 87.
    Tomógrafo Composto por umconjunto de sistemas : • Sistema de emissão de raio X; • Sistema de detectores de radiação; • Sistema de reconstrução de imagem; • Sistema de armazenamento e apresentação de imagens (HD/teclado /monitor); • Mesa de exame; • Sistema de documentação (impressora multi-formato ou laser comum ou seca). (Gantry)
  • 88.
  • 89.
  • 90.
    Imagem na telaou no filme Convencionou-se examinar a TC produzida como se estivesse olhando para ela de baixo para cima (a partir dos pés do paciente), assim é importante lembrar que as estruturas vistas a sua direita são aquelas do lado esquerdo do corpo do paciente.
  • 91.
    Voltagem • Maior voltagemproduz uma maior penetração em corpos grandes e reduz o ruído da imagem; • Menor voltagem produz uma melhora o resolução de contraste em corpos médios e pequenos. mAs • Configura a exposição durante a varredura; • Um fator de mAs maior diminui o ruído da imagem,melhora o contraste, mas aumenta a dosagem de radiação que o paciente recebe e sobrecarrega o tubo de raio X.
  • 92.
    Ângulo de varredura(cortes axiais) • Ex: 223o , 360o ou 403o graus • 223o – varredura parcial que permite cortes de 0,6 segundos • 360o – volta completa (recomendado) • 403o – 1 volta + 43o graus, onde permite uma sobrevarredura e ajuda a atenuar movimentos inconcientes do paciente (peristaltismo)
  • 93.
    Espessura • Fatia de1,0 mm é usado em alta resolução (ex: ouvido); • Fatia de 2,5 mm é usada como exemplo para base do crânio e varredura de fossa posterior (para minimizar o volume parcial de listras ,devido a estruturas óssea pequena e de alto contraste); Incremento • Distância entre duas varreduras consecutivas.
  • 94.
    Scan time • Tempode varredura (corte) da aquisição de uma fatia ,tempos de 1,0 a 1,3 seg é adaptado à maioria dos casos padrões atualmente. Tempos maiores que 1,0 segundo são usados para alta exposição especiais (fatia fina com 500 mAs). Filtros • Adequado para cada tipo de estudo (filtros moles a filtros duros).
  • 95.
    Matrix • Numero depontos (pixels) que a reconstrução da imagem conterá (3402, 5122,7682,10242) quanto menor a matriz,menos espaço em arquivo ao armazenar,mais rápida a reconstrução, porém menos número de pixels ,menor a qualidade de imagem.
  • 96.
  • 97.
    Contraste na TC Viaoral (v.o) Endovenosa (e.v) Via retal (v.r)
  • 98.
    Via oral ouvia retal – contraste hidrossolúvel (a base de iodo) ou baritado diluído • Serve para aumentar a atenuação entre duas estruturas (analise de vísceras ocas). Via oral – administrado 1 hora antes do exame em sala Via retal – fazer direto em sala (para doenças pélvicas)
  • 99.
    Contraste endovenoso – administradopara o realce das estruturas vasculares e para aumentar o contraste entre as estruturas parenquimatosas: vascularizadas, hipovascularizadas avascularizadas. O contraste iodado não-iônico vem progressivamente aumentando, devido à diminuição de numero de reações alérgicas adversas comparado ao iônico.
  • 100.
    Procedimentos Especiais 3 D MIP(angio) MPR (2 D) 4 D Todas as aquisições devem ter espessura finas e incremento de 50 a 70 % da espessura (quanto mais informação, mais fidedigna será a reconstrução multiplanar)
  • 101.
  • 102.
  • 103.
  • 104.
  • 105.
  • 106.
  • 107.
  • 108.
  • 109.
  • 110.
    Os sistemas deimagem infravermelha captam essa radiação e convertem-na numa imagem que representa a distribuição da temperatura superficial do objecto observado. Todos os corpos, pelo facto de estarem a uma temperatura superior ao zero absoluto emitem radiação térmica. Imagem infravermelha. Definição:
  • 111.
  • 112.
    o Transmissão deenergia na forma de onda electromagnética, caracterizada por um comprimento de onda [ l ]; o Espectro electromagnético dividido em bandas, delimitadas em função do comprimento de onda, traduzindo as características físicas das fontes emissoras Radiação Térmica - Conceitos Gerais Raios X U. V. Visível I.V. Microondas Ondas de rádio 1,E-06 1,E-04 1,E-02 1 100 1,E+04 1,E+06 λ, µm 0.75 mm0.4 mm Radiação Térmica 100 mm
  • 113.
  • 114.
  • 115.
  • 116.
    Imagem IR nodaiagnóstico da SDM A aplicação da imagem infravermelha (IR) no diagnóstico de Síndrome Miofascial vem da hipótese de que há vasodilatação mediada pelo sistema autonômico nos pontos gatilhos , a captação da emissividade de calor pela pele por termógrafo de infravermelho computadorizado mostraria, então, segundo trabalhos prévios, hot spots (vermelho, na escala de cores deste estudo) em locais de pontos gatilhos ativos, que poderiam ser confirmados com algometria de pressão.
  • 117.
    Conclusão: Imgem Infravermelhax SDM A termografia,como recurso tecnológico nos dias de hoje mostra-se como promissor meio auxiliar diagnóstico de patologias músculo-tendíneas agudas, onde há exacerbação da atividade simpática e possivelmente processo inflamatório associado. Podemos também pensar em seu uso como triagem em casos de doenças ocupacionais (LER/DORT), visto que a Síndrome Miofascial está associada de maneira freqüente nestes casos, como fator agravante.
  • 118.
    Conclusão: Imgem Infravermelhax SDM Mais estudos devam ser realizados, com amostragem que permita cálculos estatísticos de sensibilidade e especificidade do método para diagnóstico de Síndrome Miofascial e das patologias diversas bem como com individualização das técnicas de tratamento para comparar sua eficácia. A coleta das imagens em ambiente com maior controle de temperatura, umidade e fluxo de ar como sugerido em 1996, no IEEE EMBS Conference , em Amsterdã também deve ser realizada com fins comparativos aos testes em ambientes simplesmente climatizados, como é usual em clínicas médicas.
  • 119.
    Exame de imageminfravermelha IR É um método diagnóstico que, por meio de uma câmera especial, capta radiação infravermelha longa na faixa de 6 a 15 milimicrons, emitida pelo corpo humano, proporcionando uma imagem da distribuição térmica da superfície cutânea.
  • 120.
    Exame de imageminfravermelha IR A temperatura da pele é influenciada pela atividade microcirculatória, controlada pelo sistema neurovegetativo simpático, e pela produção de calor conduzida para a superfície gerada em tecidos mais profundos. Deste modo, é um método diagnóstico totalmente seguro, indolor, sem radiação ionizante, contato ou contraste, que determina, tanto a atividade circulatória cutânea, pela sua perfusão, quanto à do sistema neurovegetativo simpático.
  • 121.
    Exame de imageminfravermelha IR As mudanças de temperatura correspondem a alterações na circulação da camada dérmica e não muito abaixo dela, com profundidade geralmente até 6 milímetros. Os equipamentos atuais, diferentemente dos de cinco anos atrás, permitem uma imagem de alta resolução. Com mais de 64.000 pontos precisos de temperatura a uma distância de 50 cm entre a câmera e paciente, cada ponto corresponde a uma área menor que 1 mm2. .
  • 122.
    Exame de imageminfravermelha IR Os equipamentos são capazes de distinguir diferenças de temperatura menor que 0,1º C em menos de 0,01 segundo. Os sensores IR são capazes de captar e mensurar as alterações de radiação cutânea que os PG miofasciais produzem.
  • 123.
  • 124.
  • 125.
  • 126.
  • 127.
  • 128.
  • 129.
  • 130.
  • 131.
    Conclusão: Imgem Infravermelhax SDM A termografia,como recurso tecnológico nos dias de hoje mostra-se como promissor meio auxiliar diagnóstico de patologias músculo-tendíneas agudas, onde há exacerbação da atividade simpática e possivelmente processo inflamatório associado. Podemos também pensar em seu uso como triagem em casos de doenças ocupacionais (LER/DORT), visto que a Síndrome Miofascial está associada de maneira freqüente nestes casos, como fator agravante.
  • 132.
  • 133.
  • 134.
  • 135.
  • 136.
  • 137.
  • 138.
    Exame de imageminfravermelha IR Programas sofisticados permitem avaliações funcionais com subtração de imagens, fusão com imagens de ressonância magnética e até mesmo reconstrução tridimensional. Por esse motivo, não se utilizam mais os termos empregados no passado, referentes à temperatura como, termografia, teletermografia, termometria, hipertermia ou hipotermia. Hoje, se substituíram as antigas expressões por imagem infravermelha, hiper ou hiporradiação, área hiper ou hiporradiogênica. A expressão inglesa “hot spot” para indicar pontos hiperaquecidos ainda é consagrada. Fonte: - Brioschi ML,Colman D, Mello Neto H. Fusing IR and magnetic resonance (MR) Image J Korean Med Thermol. 2002;2(1): 57-8.
  • 139.
    Electrophysics’ PV320T isa calibrated thermal camera incorporating a high resolution (320x240) Medical Imaging The human body burns a lot of energy (approximately 100 watts). Many physiological conditions produce variations in body temperature and temperature distribution across the human body. Thermography has also been used as a screening tool for applications such as breast cancer and pain management.
  • 140.
  • 141.
    Aplicações. Medicina •Determinação deproblemas circulatórios •Localização de infecções ocultas •Análise de danos musculares •Estudo de problemas de locomoção •Medicina veterinária
  • 142.
    A tendinite nobraço (em vermelho) é identificada pelo método termografia A base das imagens vistas na Guerra do Iraque é a mesma usada para diagnóstico por infravermelho.
  • 143.
  • 144.
    O Poder davelocidade - funcionalidade e performace para imagens térmicas
  • 145.
    Imagem térmica Infravermelhado Ponto-Gatilho Miofascial Termografia Infravermelha (IRT) tem sido bem documentada na literatura médica e quiroprática como uma ferramenta útil para a detecção da síndrome dolorosa miofascial e dos pontos-gatilho. A dor miofascial pode ser local para ponto-gatilho bem como produz fenômeno de dor referida na extremidade que pode mimetisar sintomas radiculares de origem neurogênica
  • 146.
    Imagem térmica Infravermelhado Ponto-Gatilho Miofascial Os pontos-gatilho miofasciais afetam o tônus simpático nervoso e podem causar sintomas autonômicos; Isto é percebido pelo achado termográfico da hipertermia focal do ponto-gatilho cobrindo uma vasodilatação, resposta reflexa somatocutânea aos impulsos nociceptivos. O equipamento de termografia infravermelha deve ser bem localizado para detectar e medir a hipertermia cutânea que os pontos-gatilho miofasciais produzem.
  • 147.
    Imagem térmica Infravermelhado Ponto-Gatilho Miofascial Fischer tem utilizado a termografia infravermelha para diagnóstico e tratamento dos pontos-gatilho. Fischer também correlacionou o uso da algometria de pressão com a TIV e encontrou uma alta correlação que foi estatisticamente significante.
  • 148.
    Conclusão: Termografia XSDM A termografia,como recurso tecnológico nos dias de hoje mostra-se como promissor meio auxiliar diagnóstico de patologias músculo-tendíneas agudas, onde há exacerbação da atividade simpática e possivelmente processo inflamatório associado. Podemos também pensar em seu uso como triagem em casos de doenças ocupacionais (LER/DORT), visto que a Síndrome Miofascial está associada de maneira freqüente nestes casos, como fator agravante.
  • 149.
    La termografía seemplea para diagnosticar, evaluar y controlar los cuadros de dolor lumbar crónico, con o sin irradiación a extremidades inferiores, alteraciones circulatorias, síndromes de dolor miofascial, síndromes de atrapamiento nervioso, cicatrizaciones, síndromes dolorosos psicógenos, y especialmente síndrome de dolor regional complejo de tipo I y tipo II (Distrofia Simpático- Refleja y Causalgia respectivamente). La termografía tiene una especial utilidad en aquellos síndromes dolorosos en que se sospeche una implicación del sistema nervioso simpático.
  • 150.
    IMAGEM INFRAVERMELHA (IR) Umadas indicações básicas e de uso clínico corrente da imagem IR é a documentação de doenças do tecido mole (músculos e fáscias), particularmente que não podem ser demonstradas por exames laboratorias, nem radiológicos ou eletroneuromiografias. Uma condição freqüente é os pontos-gatilhos miofasciais. A imagem IR é o primeiro teste diagnóstico que objetivamente documenta os pontos-gatilhos na forma de pontos hiperradiantes (hot spots) (FISCHER, 1984). O hot spot representa o ponto-gatilho ativo, áreas dolorosas ao exame clínico. Estes podem ser corroborados pela sensibilidade local e confirmação da queixa dos pacientes.
  • 151.
    IMAGEM INFRAVERMELHA (IR) Asáreas distantes a origem do problema, chamadas de áreas de dor referida, apresentam-se hiporradiantes em comparação ao lado correspondente. Os achados de imagem IR representam um meio objetivo de documentar os pontos-gatilhos miofasciais, corroborando assim com as queixas subjetivas do paciente. O reconhecimento dos pontos-gatilhos pela imagem IR é importante para introduzir o tratamento mais adequado direcionado à causa da dor assim como avaliar a resposta ao mesmo.
  • 152.
    IMAGEM INFRAVERMELHA A evoluçãochegou ao Brasil e está funcionando em São Paulo e Curitiba. Trata-se da TERMOMETRIA CUTÂNEA (AMB 39.01.007-4), conhecida internacionalmente por IMAGEM INFRAVERMELHA, é um dos métodos mais modernos no diagnóstico complementar da LER/DORT da atualidade. É capaz de detectar inúmeras lesões, muitas vezes não detectadas por outros métodos, e de forma ainda mais precoce !!!
  • 153.
    Termometria Cutânea É ummétodo avançado, que avalia o sistema nervoso autônomo simpático, estreitamente relacionado à microcirculação da pele. O exame funciona por meio da mensuração das variações de temperatura, causadas pela maior ou menor irrigação de um território microvascular. Assim é possível distinguir décimos de grau centígrado por milímetros quadrados de área de tecido. Os territórios microvasculares por sua vez são constituídos de feixes vásculo-nervosos. Pelo exame, fica mais fácil avaliar as alterações fisiológicas neurovasculares.
  • 154.
    Conclusão: Termografia XSDM Mais estudos devam ser realizados, com amostragem que permita cálculos estatísticos de sensibilidade e especificidade do método para diagnóstico de Síndrome Miofascial e das patologias diversas bem como com individualização das técnicas de tratamento para comparar sua eficácia. A coleta das imagens em ambiente com maior controle de temperatura, umidade e fluxo de ar como sugerido em 1996, no IEEE EMBS Conference , em Amsterdã também deve ser realizada com fins comparativos aos testes em ambientes simplesmente climatizados, como é usual em clínicas médicas.
  • 155.
    Conclusão: Termografia XSDM Contudo, a imagem infravermelha é exame totalmente seguro dos pontos- gatilho, útil no diagnóstico e acompanhamento mais objetivo dos pontos-gatilho miofasciais. Uma vez que as síndromes dolorosas miofasciais fazem parte da prática neuromúsculo-esquelética diária, a imagem infravermelha é de grande valia na clínica podendo auxiliar na reabilitação mais rápida e efetiva do paciente com síndrome dolorosa miofascial.
  • 156.
    Quando indicar arealização da imagem IR nos casos de dor miofascial ? Se quer documentar objetivamente todos os PG para diagnóstico e acompanhamento terapêutico. Quando a hipótese diagnóstica inicial é de condição não-específica, isto é, que não tem um substrato objetivo demonstrável por exames anatômicos. O objetivo é descartar condição não-específica (simulação, neuróticos, anormalidades psicossomáticas ou transtornos psíquicos). Os resultados descritos nos exames tradicionais não são compatíveis com os encontrados na história clínica e no exame físico.
  • 157.
    Quando indicar arealização da imagem IR nos casos de dor miofascial ? As alterações encontradas não explicam todo o quadro clínico do paciente. No caso de outros exames complementares não terem detectado alterações. Ausência de anormalidades ao exame físico. Atender perícias com demonstração objetiva em lides forenses.
  • 158.
    Radiologia Convencional ouRadiografia Simples ou Raio X Simples Musculoesqauelético • Radiografia da coluna cervical • Radiografia da coluna torácica • Radiografia da coluna lombar • Radiografia de tórax • Radiografia do ombro • Radiografia do cotovelo • Radiografia do antebraço • Radiografia do punho • Radiografia da mão • Radiografia do abdômen • Radiografia da bacia (pelve) • Radiografia do quadril Fonte: info-radiologie.ch • Radiografia do joelho • Radiografia do tornozelo • Radiografia do pé
  • 159.
    RM Musculoesquelética • RessonânciaMagnética de ombro • Ressonância Magnética do cotovelo • Ressonância Magnética do quadril • Ressonância Magnética da coxa • Ressonância Magnética do joelho • Ressonância Magnética do tornozelo • TC Musculoesquelética • Tomografia Computadorizada do Tornozelo e do Pé Fonte: info-radiologie.ch
  • 160.
    • Musculoskeletal Radiologyof Fractures • American Society of Spine Radiology • Musculoskeletl ultrasound at the University of Michigan • MRI Atlas Orthopedics and Neurosurgery The Spine – Springer • Radiographic Anatomy of the Skeleton Table of Contents (University of Washington) • Densitometria Óssea Para acessar o texto de interesse clique no link respectivo. Radiologia Ortopédica e Densitometria
  • 161.
    Imagem Musculoesquelética comUltrasom European Society of MusculoSkeletal Radiology: • Musculoskeletal Ultrasound Technical Guidelines - I. Shoulder - Ian Beggs • Ultra-sonografia na avaliação das afeccões agudas do sistema musculoesquelético: parte I: afecções não-traumáticas. • Ultrassonografia na avaliação das afecções agudas do sistema musculoesquelético: parte II: afecções traumáticas e procedimentos guiados por ultrassom • Ultrasound of the Shoulder Introdução a NeuroImagem: • Introduction to Neuroimaging - SPINE Aaron S. Field, MD, PhD – Neuroradiology University of Wisconsin–Madison • Introduction to Neuroimaging Aaron S. Field, MD, PhD -Assistant Professor of Radiology - Neuroradiology Section University of Wisconsin–Madison Para acessar o texto de interesse clique no link respectivo.
  • 162.
    Cintilografia Musculoesquelética • Scintigraphyof the Musculoskeletal System NAYER NIKPOOR, MD • Cintilografia Óssea Prof. Osvaldo Sampaio Para acessar o texto de interesse clique no link respectivo.