Setembro 2012
 Introducao
 Epidemiologia
 Anatomia e Fisiologia
 Etio-fisiopatologia
 Clinica
 Diagnostico
 Diagnosticos diferenciais
 Manejo e Tratatmento
 Prognostico
 Bibliografia
2
 Etiologia idiopática das zonas tropicais e
subtropicais.
 Restrita ás reg tropicais pobres Este, Centro e
Oeste de África;
 Patogénese pouco entendida;
 Geografia? Dieta? Infecções?++
 Eosinofilia como factor perpetuador;
 Forma grave - mau prognóstico, sobrevida de 2
anos após o diagnóstico.
3
4
 CMP: músculo cardíaco estrutural e funcionalmente
anormal, na ausência de dça coronária, HTA, dça
valvular ou congénita, suficiente p/ explicar as
anormalidades observadas no miocárdio.
 CMP restritiva: ventrículo rígido, ñ dilatado
disfunção diastólica + restrição enchimento
ventricular pressões de enchimento elevadas e
dilatação da aurícula.
5
Miocárdica
Infiltrativa
Amiloidose
Sarcoidose
Dça
Gaucher
Dça Hurler
Infiltração
Gorda
Miocárdica ñ
infiltartiva
CM
Idiopática
CM Familiar
CM
hipertrófica
Escleroder
mia
Pseudoxant
homa
elasticum
CM
diabética
Dças
Armazena
mento
Hemocroma
tose
Dça de
Fabry
Dças
armazenamen
to Glicogénio
Endomio
cárdio
FEM
Sdm
Hipereosinofílic
Dça
Carcinóide
do coração
Ca
metastáticos
Ef. Tóx
Antraciclina
Radiação
Drogas –
Endocardite
fibrosa
C
M
R
 Descrita pela 1ª vez no Uganda em 1940 – 20% dos casos enviados p/ eco-
cardíaca.
 Vários termos usados inicialmente:
 Doença endomiocárdica
 Endocarditis parietalis fibroplástica
 Fibrose endocardial
 Endocardite constrictiva
 Fibroelastose endocardial
 Parece CMP restrictiva mais comum, apesar da falta de dados;
 >ia dos casos: Uganda, Nigéria, Costa do Marfim, Índia sul e Brasil; mas tb em zonas
subtropicais.
 ++ jovens , pico bimodal aos 10 e 30 anos observado em Moçambique e no
Uganda.
 Ambos sexos
 ++ raça negra (é mesmo racial ou maior parte dos pobre são negros???) 6
7
Julho 2008
 ~20% de 1063.;
 só 22,7% eram sintomáticos!
 ++ entre 10-19 anos
 ++ homens
 ++biventricular;+ direita;- esquerda
 Alta concordância familiar!!
8
 Processo primário causador de fibrose ainda não
completamente compreendido.
9
Fibrose
complian
ce
Restrição
enchimento
ventricular
Irregular;
++ apices
e musc.
papilares
Afecção
válv. AV Dilatação
auricular
Vel.
condução
electrica
Bloqueios/
arritmias
 No miocardio, geralmente, fibrose ligada a aumento
de TGF-β1.
 Não na FEM!!??
 Teorias:
10
Hipereosinofi
lia
Infeccções
Imunologia
Exposição
ambiental/ fact
geoquímicos
Genética
Fact.
dietétic
os
11
PRÓS CONTRAS
FEM assemelha-se ao último
estadio do sdm hipereosinofílico
(Eosinofilia sustida)
Eosinofilia sérica e miocárdica não foi consistentemente
demosntrada na FEM.
(Mocumbi AO, Carrilho C, . Sarathchandra P, Ferreira B,
Yacoub M, Burke M. Echocardiography accurately
assesses the pathological, abnormalities of chronic
endomyocardial fibrosis.Int J Cardiovasc Imaging, 2010)
Doentes com hipereosinofilia de
várias etiologias passam pelas 3
fases ( inflamação endomiocárdica
→ formação de trombo →
cicatrização)
Biópsias endomiocárdicas não demosntraram eosinofilia
na FEM mesmo nos indivíduos com suspeita de doença
inicial.
12
PRÓS CONTRAS
Ocorrência de FEM em pessoas da europa
e Norte da América após curtas estadias
em áreas endémicas
Não foi demonstrada associação consistente
com nenhum organismo.
Várias infecções tem sido implicadas na
fisiopatologia da FEM:
Toxoplasmose; Febre reumática; Malária;
Infecções helmínticas; Shistosomíase;
Microfilária; Loa-loa; Filaríase
Muitos países com a mesma carga de Malária e
Filaríase que o Uganda e Nigéria não têm FEM
Achados de lesões fibróticas
endomiocárdicas em ratos infectados com
Plasmodium berghei
Várias crianças estudadas c/ Malária por falciparum----
evidência insuficiente q ligasse as patologias.
13
PRÓS CONTRAS
“CERIUM”, elemento raro abundante no solo de
áreas endémicas.
• Induz FEM nos roedores.
• Alto nivel sérico em ptes c/ FEM comparado com
controlos.
• A incidência da FEM ↓ na Índia ( ↓ Cerium no solo
com a modernização).
• ↑ nos dentes de leite das crianças do Uganda nas
regiões com alta prevalência de FEM comparando
com crianças da Inglatera.
• Níveis aumentados de cerium foram encontrados
nos corações de pessoas de regiões costeiras dos
trópicos
• Cerium inicia a cura das feridas nos tecidos
cardíacos dos ratos levando a fibrose cardíaca
que pode ser um estímulo directo para os
fibroblastos do endocárdio.
• FEM não pode ser
explicada por uma só
causa em todas as áreas
reportadas
• Pensa-se que sejam
vários factores
ambientais actuando em
indivíduos com
predisposição genética.
14
PRÓS CONTRAS
Foi demosntrado a presença de auto-Ac anti-
miosina na FEM.
(Mocumbi AO, Latif N, Yacoub MH. Presence
of circulating anti-myosin antibodies in
endomyocardial fibrosis. PLoS Negl Trop Dis
2010; 4:e661.)
• O papel da auto-imunidade é sugerido
pelos achados de altos títulos de AC
contra Malária (anti-streptolisina,
esplenomegália malárica hiperimune)
Esses Ac podem também ser
detectados em outras formas de
doença cardíaca como Síndrome de
Dresser, doença cardíaca reumática
e em pacientes com rejeição pós-
transplante.
15
PRÓS CONTRAS
Foi identificado uma ligação
familiar em muitos estudos.
Não se sabe se a ligação familiar é devida a
factores ambientais, genéticos ou ambos.
(Mocumbi AO, Ferreira MB, Sidi D, Yacoub MH. A
population study of endomyocardial fibrosis in a
rural area of Mozambique. N Engl J Med 2008;
359:43.)
16
Prolongada ingestão de Tuber cassava (mandioca) em associação com
privação de proteínas (++ Triptofano) tem sido considerado factor de risco
para FEM.
17
MACRO HISTOLOGIA
• Espessamento fibroso do
endocárdio ventricular D
e/ou E ++ no ápice e
espessamento dos
músculos papilares c/
regurgitação valvular;
• Geralmente trombo
subjacente;
• Auricula dilatada ++;
• Ventriculo pequeno;
• 50% ambos ventriculos,
40% apenas o esq e 10%
apenas o dir.
• Espessamento pronunciado do endocárdio
formado por deposição de colágeno TI cobrindo
o endocárdio normal;
• Enfarte subendocárdio;
• Degeneração da média, depósitos de fibrina e
fibrose nas artérias coronárias;
• Infiltrado crónico inflamatório na interface entre
o miocárdio e endocárdio e á volta dos vasos
intersticiais;
• Em mtas necrópsias há falta de celularidade
inflamatória no último estadio não há
inflamação.
18
Dça febril +
Pancardite
Hipereosinofilia
•Edema facial e
periorbital
•Prurido corporal
•Urticária
•Neurological features
Trombose ventricular (++ Ápices e aparelho
subvalvular)
Obliteração da cavidade ventricular
Interferência com o mecanismo valvular
19
Organização do
Trombo
+
Fibrose endocárdica
(mural e endocárdio
valvular)
Dificulta o
enchimento
ventricular
Distorção das
válvulas
Fisiologia restritiva
•Regurgitação A-V
•Ventrículos pequenos
• Átrios muito dilatados
IC com:
•Congestão venosa
•DC persistentemente baixo
20
Depende:
Actividade da doença
Câmara afectada
Gravidade das lesões
Doença activa é sugerida por:
Episódio febril recente
IC + urticária e edema facial
21
Proptose, edema facial
Cianose, distensão da veia
jugulare hipocratismo digital
Atraso de crescimento
Caracteres sexuais
subdesenvolvidos
Icterícia
FA
Pulsação paraesternal
Sopro de regurgitação tricúspide, S3
Ascite
HEM
22
Bom estado geral
„RDispneia e ortopneia
pronunciada
„RPequeno deslocamento do
apice
„RSopro sistolico leve precoce
Estalido de abertura
P2 aumentado
Sinais de embolismo sistémico
23
++ Achados do FEM do VD + sopro de IM
HTP (quando envolvimento extenso do VE)
Embolização sistémica (15%)
Endocardite infecciosa (2%)
24
25
 The clinical manifestations of EMF are largely related to the
presence of right and/or left heart failure. Patients may report
dyspnea on exertion, paroxysmal nocturnal dyspnea, orthopnea,
lower extremity, and abdominal swelling. A history of a febrile
illness with or without urticaria is occasionally obtained [31].
 In Africans with EMF in particular, there is often dramatic ascites
(figure 3). Ascites may or may not be accompanied by other signs of
right-sided heart failure, such as elevated jugular venous pressure
and/or lower extremity edema [32-35]. The high prevalence of
malnutrition and hypoalbuminemia may explain the predilection for
ascites in this population. In one series, the ascitic fluid protein
content was described as exudative in 35 of 47 patients with EMF,
and the authors concluded that an inflammatory process might also
be contributing [33]. The serum albumin to ascites gradient (which
is a more accurate indicator of portal hypertension such as my result
from heart failure) was not reported
 Patients with EMF often also have large pleural and
pericardial effusions (picture 1). Severe atrial
enlargement leads to the appearance of cardiomegaly on
chest radiography. Atrial fibrillation is common in end-
stage disease and predicts a poor prognosis [36].
26
 Echo — Although clinically similar to Loffler’s endocarditis,
the diagnosis of EMF should be reserved for patients from
endemic regions without a clearly identified cause for
sustained eosinophilia with the classic echo features listed
below [37,38]:
 Apical fibrosis of the RV, LV, or both ventricles (figure 4 and
figure 1 and figure 5)
 Tethering the AV valve papillary muscles, leading to mitral
and/or tricuspid regurgitation (figure 1)
 Giant atrial enlargement (figure 4 and figure 1)
 A restrictive filling pattern on Doppler recordings of mitral
valve inflow (figure 6)
27
Endomyocardial fibrosis echo
A) Surface echocardiogram with fibrosis and thrombus in the left ventricular apex. B)
Transesophageal echocardiogram with biventricular apical fibrosis with involvement of
the posterior mitral papillary muscle and a small pericardial effusion.
Schematic of the two-dimensional, four-
chamber apical view findings in 10 patients
with endmyocardial disease. Numbers on the
right and left indicate the number of patients
with each finding.
IVC: inferior vena cava; MOT: preserved or
increased inward motion of the obliterative
process; OBL: obliteration; RFL: increased
reflectance of the obliterative surface;
THICK: increased thickening of the basal
inflow tract papillary muscle and/or
posterior atrioventricular valve.
28
Doppler in restrictive cardiomyopathy
The pulse wave Doppler in a patient with an idiopathic restrictive cardiomyopathy
demonstrates an increased E/A ratio (2.4), with shortened deceleration time (DT = 128
milliseconds).
In addition, apical thrombi are often present (figure 7). In
EMF, the apex maintains inward systolic contractile motion
which may help to differentiate EMF from other causes of
apical thrombi associated with an akinetic or dyskinetic apex
such as myocardial infarction or Chagas disease [39]. 29
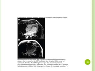
Cardiovascular magnetic resonance imaging of eosinophilic endomyocardial fibrosis
(A) Steady state free precession MRI transverse view through both ventricles two
minutes after 0.2-mmol/kg Gd-DTPA infusion. Note the apical filling of the left
ventricle by thrombus (*) exhibiting lower signal than adjacent myocardium.
(B) Delayed enhanced sequence in the same axis 10 minutes after Gd-DTPA infusion.
Subendocardium exhibited high signal (arrows) close to the ventricular thrombus (*).
30
 Echo staging of disease — An echocardiographic screening study in
Mozambique included echocardiographic criteria for the diagnosis and staging
of EMF. As the natural history of EMF is not well defined, these criteria will
likely aid in defining the stages of this disease and in determining the clinical
significance of the early EMF.
 Cardiac catheterization — Cardiac catheterization is not required for the
diagnosis of EMF. However on hemodynamic studies a restrictive pattern is
observed with diastolic dip and plateau pressure tracings. Depending on the
ventricle involved, mitral and tricuspid regurgitation may be demonstrated.
Ventricular angiography reveals apical obliteration of the affected ventricle
(figure 4) [40].
 Cardiovascular magnetic resonance imaging — Cardiovascular magnetic
resonance (CMR) imaging with contrast demonstrates myocardial fibrosis
(figure 7) [41,42]. However, the utility of this information in addition to
echocardiography is unclear, and this modality is generally unavailable in areas
with the highest burden of disease. In early disease where there is suspicion for
active inflammation, CMR may be useful in identifying patients who may
benefit from steroid therapy 31
 Endomyocardial fibrosis was diagnosed
 in the presence of two major criteria or one major
 criterion associated with two minor criteria
 was classified as biventricular,
 right-sided, or left-sided according to
 whether the structural lesions involved both ventricles
 without predominance of one side, only or
 predominantly the right ventricle, or only or predominantly
 the left ventricle, respectively.
 Possible scores ranged from
 0 to 35; cases with scores of 8 or less were classified
 as mild, those with scores of 8 to 15 as moderate,
 and those with scores of 15 or more as severe. 32
TESTES LABORATORIAIS
 Não há testes especícos
 Hipereosinofilia é variável e mais frequente nos
estadios iniciais da doença ou nas doenças
parasitárias.
 Hipoalbuminémia mais comum nos estadios
avançados da doença
 Alterações bioquímicas da disfunçao hepática
e/ou renal
 Hypoalbuminaemia is
 Presença de procoagulantes esta em
investigação cá. 33
34
 The natural history of EMF is not fully defined, and there are few data available to guide therapeutic decisions. Most present
to medical care with end-stage disease and suffer an annual mortality as high as 25 percent despite medical treatment [36,43].
Surgical management has led to long-term survival in some patients with EMF [6]; however, this option is unavailable in
regions with a high disease burden.
 Medical therapy — Available literature is limited to case series that do not fully define treatment regimens [36,43]. A general
approach can be extrapolated from the treatment of patients with heart failure due to restrictive diastolic dysfunction from
other causes. (See "Treatment and prognosis of diastolic heart failure" and "Definition and classification of the
cardiomyopathies", section on 'Restrictive cardiomyopathy'.)
 Diuretics and rate control for atrial fibrillation are currently the mainstays of therapy.
 Pleural, pericardial or ascitic fluid removal may alleviate symptoms, but these often reaccumulate. In patients with suspected
acute carditis, prednisone may be of benefit. (See "Natural history and therapy of myocarditis in adults", section on
'Eosinophilic myocarditis'.)
 Surgery — Endomyocardial resection with valve replacement or repair has gained prominence at many centers, especially in
subjects in advanced heart failure [6,44,45]. Immediate postoperative mortality is high, ranging from 15 to 30 percent, but
surgery offers the possibility of long-term survival [45]. A surgical series of 83 patients from Brazil all in NYHA functional
class grade III-IV, and with a mean follow-up of 7.6 years had a survival probability at 17 years of 55 percent [6]. Published
series have been small, overall experience is limited, and questions remain about the appropriate timing, peri-operative
mortality, and long-term prognosis (figure 2 and figure 8). Cardiac surgery is not routinely available in areas with high EMF
prevalence.
35
TTO MEDICO
 Baseado em série de casos
 Abordagem geral extrapolada do tratamento dos
pacientes com IC devido a disfunção diastólica restritiva
por outras causas
 O tratamento é baseado no uso de diuréticos
(Espirinolactona) e controle da FC nos doentes com FA
(Digoxina e β-bloqueadores), IECAS
 Toracocentese, Pericardiocentese, paracentese
 Prednisolona (7 – 10 dias) em doentes com suspeita
de Cardite aguda
 AAS 36
TTO CIRURGICO
 Ressecção endomiocárdica + substituição ou
reparação valvular
 Recomendado a todos pacientes em classe
funcional III-IV (NYHA)
 Mortalidade pós-operatória imediata alta (15 –
30%)
 ▪< se não for necessário substituição valvular
 Sobrevivência a longo termo alta
 Fibrose pode re-ocorrer
37
Endomyocardial fibrosis surgery
A) Surface echocardiogram with left ventricular apical fibrosis and severe left and right
atrial enlargement. B) Postoperative.
38
 1/3 – ½ dos doentes com doença avançada
morrem em 2 anos. Pouco sintomáticos teem maior
sobrevida.
 FA e Ascite são sinais de mau prognóstico.
 Doentes morrem por IC progressiva, morte súbita
cardíaca (TE e Arritmias) e complicações
cirúrgicas.
39
 Libby: Braunwald's Heart Disease: A Textbook of
Cardiovascular Medicine, 8th ed., volume 1, 2007
 Mocumbi AO, Yacoub S, Yacoub M. Myocardial
disease. Neglected tropical cardiomyopathies II –
Endomyocardial fibrosis. Heart 2008;000:1–8.
doi:10.1136/hrt.2007.136101
 Rebecca Cogswell, MD, Gene Bukhman, MD, PhD,
Nelson B Schiller, MD Harry Acquatella, MD, FACC,
FAHA: Endomyocardial fibrosis.
 www.uptodate.com
 Mocumbi AO, Ferreira MB, Sidi D, yacoub MH. A
population study of endomyocardial fibrosis in rural
area of Mozambique. N Engl J Med 2008; 359:43
40
 Leslie T Cooper, Jr, MD: Definition and
classification of the cardiomyopathies
 www.uptodate.com
 Mocumbi AO, Carrilho C, . Sarathchandra P,
Ferreira B, Yacoub M, Burke M.
Echocardiography accurately assesses the
pathological,abnormalities of chronic
endomyocardial fibrosis.Int J Cardiovasc
Imaging, 2010; DOI 10.1007/s10554-010-9753-6,
 Mocumbi AO, Latif N, Yacoub MH. Presence of
circulating anti-myosin antibodies in
endomyocardial fibrosis. PLoS Negl Trop Dis 2010;
4:e661 41

Fibrose endomiocárdica apresent

  • 1.
  • 2.
     Introducao  Epidemiologia Anatomia e Fisiologia  Etio-fisiopatologia  Clinica  Diagnostico  Diagnosticos diferenciais  Manejo e Tratatmento  Prognostico  Bibliografia 2
  • 3.
     Etiologia idiopáticadas zonas tropicais e subtropicais.  Restrita ás reg tropicais pobres Este, Centro e Oeste de África;  Patogénese pouco entendida;  Geografia? Dieta? Infecções?++  Eosinofilia como factor perpetuador;  Forma grave - mau prognóstico, sobrevida de 2 anos após o diagnóstico. 3
  • 4.
    4  CMP: músculocardíaco estrutural e funcionalmente anormal, na ausência de dça coronária, HTA, dça valvular ou congénita, suficiente p/ explicar as anormalidades observadas no miocárdio.  CMP restritiva: ventrículo rígido, ñ dilatado disfunção diastólica + restrição enchimento ventricular pressões de enchimento elevadas e dilatação da aurícula.
  • 5.
    5 Miocárdica Infiltrativa Amiloidose Sarcoidose Dça Gaucher Dça Hurler Infiltração Gorda Miocárdica ñ infiltartiva CM Idiopática CMFamiliar CM hipertrófica Escleroder mia Pseudoxant homa elasticum CM diabética Dças Armazena mento Hemocroma tose Dça de Fabry Dças armazenamen to Glicogénio Endomio cárdio FEM Sdm Hipereosinofílic Dça Carcinóide do coração Ca metastáticos Ef. Tóx Antraciclina Radiação Drogas – Endocardite fibrosa C M R
  • 6.
     Descrita pela1ª vez no Uganda em 1940 – 20% dos casos enviados p/ eco- cardíaca.  Vários termos usados inicialmente:  Doença endomiocárdica  Endocarditis parietalis fibroplástica  Fibrose endocardial  Endocardite constrictiva  Fibroelastose endocardial  Parece CMP restrictiva mais comum, apesar da falta de dados;  >ia dos casos: Uganda, Nigéria, Costa do Marfim, Índia sul e Brasil; mas tb em zonas subtropicais.  ++ jovens , pico bimodal aos 10 e 30 anos observado em Moçambique e no Uganda.  Ambos sexos  ++ raça negra (é mesmo racial ou maior parte dos pobre são negros???) 6
  • 7.
    7 Julho 2008  ~20%de 1063.;  só 22,7% eram sintomáticos!  ++ entre 10-19 anos  ++ homens  ++biventricular;+ direita;- esquerda  Alta concordância familiar!!
  • 8.
  • 9.
     Processo primáriocausador de fibrose ainda não completamente compreendido. 9 Fibrose complian ce Restrição enchimento ventricular Irregular; ++ apices e musc. papilares Afecção válv. AV Dilatação auricular Vel. condução electrica Bloqueios/ arritmias
  • 10.
     No miocardio,geralmente, fibrose ligada a aumento de TGF-β1.  Não na FEM!!??  Teorias: 10 Hipereosinofi lia Infeccções Imunologia Exposição ambiental/ fact geoquímicos Genética Fact. dietétic os
  • 11.
    11 PRÓS CONTRAS FEM assemelha-seao último estadio do sdm hipereosinofílico (Eosinofilia sustida) Eosinofilia sérica e miocárdica não foi consistentemente demosntrada na FEM. (Mocumbi AO, Carrilho C, . Sarathchandra P, Ferreira B, Yacoub M, Burke M. Echocardiography accurately assesses the pathological, abnormalities of chronic endomyocardial fibrosis.Int J Cardiovasc Imaging, 2010) Doentes com hipereosinofilia de várias etiologias passam pelas 3 fases ( inflamação endomiocárdica → formação de trombo → cicatrização) Biópsias endomiocárdicas não demosntraram eosinofilia na FEM mesmo nos indivíduos com suspeita de doença inicial.
  • 12.
    12 PRÓS CONTRAS Ocorrência deFEM em pessoas da europa e Norte da América após curtas estadias em áreas endémicas Não foi demonstrada associação consistente com nenhum organismo. Várias infecções tem sido implicadas na fisiopatologia da FEM: Toxoplasmose; Febre reumática; Malária; Infecções helmínticas; Shistosomíase; Microfilária; Loa-loa; Filaríase Muitos países com a mesma carga de Malária e Filaríase que o Uganda e Nigéria não têm FEM Achados de lesões fibróticas endomiocárdicas em ratos infectados com Plasmodium berghei Várias crianças estudadas c/ Malária por falciparum---- evidência insuficiente q ligasse as patologias.
  • 13.
    13 PRÓS CONTRAS “CERIUM”, elementoraro abundante no solo de áreas endémicas. • Induz FEM nos roedores. • Alto nivel sérico em ptes c/ FEM comparado com controlos. • A incidência da FEM ↓ na Índia ( ↓ Cerium no solo com a modernização). • ↑ nos dentes de leite das crianças do Uganda nas regiões com alta prevalência de FEM comparando com crianças da Inglatera. • Níveis aumentados de cerium foram encontrados nos corações de pessoas de regiões costeiras dos trópicos • Cerium inicia a cura das feridas nos tecidos cardíacos dos ratos levando a fibrose cardíaca que pode ser um estímulo directo para os fibroblastos do endocárdio. • FEM não pode ser explicada por uma só causa em todas as áreas reportadas • Pensa-se que sejam vários factores ambientais actuando em indivíduos com predisposição genética.
  • 14.
    14 PRÓS CONTRAS Foi demosntradoa presença de auto-Ac anti- miosina na FEM. (Mocumbi AO, Latif N, Yacoub MH. Presence of circulating anti-myosin antibodies in endomyocardial fibrosis. PLoS Negl Trop Dis 2010; 4:e661.) • O papel da auto-imunidade é sugerido pelos achados de altos títulos de AC contra Malária (anti-streptolisina, esplenomegália malárica hiperimune) Esses Ac podem também ser detectados em outras formas de doença cardíaca como Síndrome de Dresser, doença cardíaca reumática e em pacientes com rejeição pós- transplante.
  • 15.
    15 PRÓS CONTRAS Foi identificadouma ligação familiar em muitos estudos. Não se sabe se a ligação familiar é devida a factores ambientais, genéticos ou ambos. (Mocumbi AO, Ferreira MB, Sidi D, Yacoub MH. A population study of endomyocardial fibrosis in a rural area of Mozambique. N Engl J Med 2008; 359:43.)
  • 16.
    16 Prolongada ingestão deTuber cassava (mandioca) em associação com privação de proteínas (++ Triptofano) tem sido considerado factor de risco para FEM.
  • 17.
    17 MACRO HISTOLOGIA • Espessamentofibroso do endocárdio ventricular D e/ou E ++ no ápice e espessamento dos músculos papilares c/ regurgitação valvular; • Geralmente trombo subjacente; • Auricula dilatada ++; • Ventriculo pequeno; • 50% ambos ventriculos, 40% apenas o esq e 10% apenas o dir. • Espessamento pronunciado do endocárdio formado por deposição de colágeno TI cobrindo o endocárdio normal; • Enfarte subendocárdio; • Degeneração da média, depósitos de fibrina e fibrose nas artérias coronárias; • Infiltrado crónico inflamatório na interface entre o miocárdio e endocárdio e á volta dos vasos intersticiais; • Em mtas necrópsias há falta de celularidade inflamatória no último estadio não há inflamação.
  • 18.
    18 Dça febril + Pancardite Hipereosinofilia •Edemafacial e periorbital •Prurido corporal •Urticária •Neurological features Trombose ventricular (++ Ápices e aparelho subvalvular) Obliteração da cavidade ventricular Interferência com o mecanismo valvular
  • 19.
    19 Organização do Trombo + Fibrose endocárdica (murale endocárdio valvular) Dificulta o enchimento ventricular Distorção das válvulas Fisiologia restritiva •Regurgitação A-V •Ventrículos pequenos • Átrios muito dilatados IC com: •Congestão venosa •DC persistentemente baixo
  • 20.
    20 Depende: Actividade da doença Câmaraafectada Gravidade das lesões Doença activa é sugerida por: Episódio febril recente IC + urticária e edema facial
  • 21.
    21 Proptose, edema facial Cianose,distensão da veia jugulare hipocratismo digital Atraso de crescimento Caracteres sexuais subdesenvolvidos Icterícia FA Pulsação paraesternal Sopro de regurgitação tricúspide, S3 Ascite HEM
  • 22.
    22 Bom estado geral „RDispneiae ortopneia pronunciada „RPequeno deslocamento do apice „RSopro sistolico leve precoce Estalido de abertura P2 aumentado Sinais de embolismo sistémico
  • 23.
    23 ++ Achados doFEM do VD + sopro de IM HTP (quando envolvimento extenso do VE) Embolização sistémica (15%) Endocardite infecciosa (2%)
  • 24.
  • 25.
    25  The clinicalmanifestations of EMF are largely related to the presence of right and/or left heart failure. Patients may report dyspnea on exertion, paroxysmal nocturnal dyspnea, orthopnea, lower extremity, and abdominal swelling. A history of a febrile illness with or without urticaria is occasionally obtained [31].  In Africans with EMF in particular, there is often dramatic ascites (figure 3). Ascites may or may not be accompanied by other signs of right-sided heart failure, such as elevated jugular venous pressure and/or lower extremity edema [32-35]. The high prevalence of malnutrition and hypoalbuminemia may explain the predilection for ascites in this population. In one series, the ascitic fluid protein content was described as exudative in 35 of 47 patients with EMF, and the authors concluded that an inflammatory process might also be contributing [33]. The serum albumin to ascites gradient (which is a more accurate indicator of portal hypertension such as my result from heart failure) was not reported
  • 26.
     Patients withEMF often also have large pleural and pericardial effusions (picture 1). Severe atrial enlargement leads to the appearance of cardiomegaly on chest radiography. Atrial fibrillation is common in end- stage disease and predicts a poor prognosis [36]. 26
  • 27.
     Echo —Although clinically similar to Loffler’s endocarditis, the diagnosis of EMF should be reserved for patients from endemic regions without a clearly identified cause for sustained eosinophilia with the classic echo features listed below [37,38]:  Apical fibrosis of the RV, LV, or both ventricles (figure 4 and figure 1 and figure 5)  Tethering the AV valve papillary muscles, leading to mitral and/or tricuspid regurgitation (figure 1)  Giant atrial enlargement (figure 4 and figure 1)  A restrictive filling pattern on Doppler recordings of mitral valve inflow (figure 6) 27
  • 28.
    Endomyocardial fibrosis echo A)Surface echocardiogram with fibrosis and thrombus in the left ventricular apex. B) Transesophageal echocardiogram with biventricular apical fibrosis with involvement of the posterior mitral papillary muscle and a small pericardial effusion. Schematic of the two-dimensional, four- chamber apical view findings in 10 patients with endmyocardial disease. Numbers on the right and left indicate the number of patients with each finding. IVC: inferior vena cava; MOT: preserved or increased inward motion of the obliterative process; OBL: obliteration; RFL: increased reflectance of the obliterative surface; THICK: increased thickening of the basal inflow tract papillary muscle and/or posterior atrioventricular valve. 28
  • 29.
    Doppler in restrictivecardiomyopathy The pulse wave Doppler in a patient with an idiopathic restrictive cardiomyopathy demonstrates an increased E/A ratio (2.4), with shortened deceleration time (DT = 128 milliseconds). In addition, apical thrombi are often present (figure 7). In EMF, the apex maintains inward systolic contractile motion which may help to differentiate EMF from other causes of apical thrombi associated with an akinetic or dyskinetic apex such as myocardial infarction or Chagas disease [39]. 29
  • 30.
    Cardiovascular magnetic resonanceimaging of eosinophilic endomyocardial fibrosis (A) Steady state free precession MRI transverse view through both ventricles two minutes after 0.2-mmol/kg Gd-DTPA infusion. Note the apical filling of the left ventricle by thrombus (*) exhibiting lower signal than adjacent myocardium. (B) Delayed enhanced sequence in the same axis 10 minutes after Gd-DTPA infusion. Subendocardium exhibited high signal (arrows) close to the ventricular thrombus (*). 30
  • 31.
     Echo stagingof disease — An echocardiographic screening study in Mozambique included echocardiographic criteria for the diagnosis and staging of EMF. As the natural history of EMF is not well defined, these criteria will likely aid in defining the stages of this disease and in determining the clinical significance of the early EMF.  Cardiac catheterization — Cardiac catheterization is not required for the diagnosis of EMF. However on hemodynamic studies a restrictive pattern is observed with diastolic dip and plateau pressure tracings. Depending on the ventricle involved, mitral and tricuspid regurgitation may be demonstrated. Ventricular angiography reveals apical obliteration of the affected ventricle (figure 4) [40].  Cardiovascular magnetic resonance imaging — Cardiovascular magnetic resonance (CMR) imaging with contrast demonstrates myocardial fibrosis (figure 7) [41,42]. However, the utility of this information in addition to echocardiography is unclear, and this modality is generally unavailable in areas with the highest burden of disease. In early disease where there is suspicion for active inflammation, CMR may be useful in identifying patients who may benefit from steroid therapy 31
  • 32.
     Endomyocardial fibrosiswas diagnosed  in the presence of two major criteria or one major  criterion associated with two minor criteria  was classified as biventricular,  right-sided, or left-sided according to  whether the structural lesions involved both ventricles  without predominance of one side, only or  predominantly the right ventricle, or only or predominantly  the left ventricle, respectively.  Possible scores ranged from  0 to 35; cases with scores of 8 or less were classified  as mild, those with scores of 8 to 15 as moderate,  and those with scores of 15 or more as severe. 32
  • 33.
    TESTES LABORATORIAIS  Nãohá testes especícos  Hipereosinofilia é variável e mais frequente nos estadios iniciais da doença ou nas doenças parasitárias.  Hipoalbuminémia mais comum nos estadios avançados da doença  Alterações bioquímicas da disfunçao hepática e/ou renal  Hypoalbuminaemia is  Presença de procoagulantes esta em investigação cá. 33
  • 34.
  • 35.
     The naturalhistory of EMF is not fully defined, and there are few data available to guide therapeutic decisions. Most present to medical care with end-stage disease and suffer an annual mortality as high as 25 percent despite medical treatment [36,43]. Surgical management has led to long-term survival in some patients with EMF [6]; however, this option is unavailable in regions with a high disease burden.  Medical therapy — Available literature is limited to case series that do not fully define treatment regimens [36,43]. A general approach can be extrapolated from the treatment of patients with heart failure due to restrictive diastolic dysfunction from other causes. (See "Treatment and prognosis of diastolic heart failure" and "Definition and classification of the cardiomyopathies", section on 'Restrictive cardiomyopathy'.)  Diuretics and rate control for atrial fibrillation are currently the mainstays of therapy.  Pleural, pericardial or ascitic fluid removal may alleviate symptoms, but these often reaccumulate. In patients with suspected acute carditis, prednisone may be of benefit. (See "Natural history and therapy of myocarditis in adults", section on 'Eosinophilic myocarditis'.)  Surgery — Endomyocardial resection with valve replacement or repair has gained prominence at many centers, especially in subjects in advanced heart failure [6,44,45]. Immediate postoperative mortality is high, ranging from 15 to 30 percent, but surgery offers the possibility of long-term survival [45]. A surgical series of 83 patients from Brazil all in NYHA functional class grade III-IV, and with a mean follow-up of 7.6 years had a survival probability at 17 years of 55 percent [6]. Published series have been small, overall experience is limited, and questions remain about the appropriate timing, peri-operative mortality, and long-term prognosis (figure 2 and figure 8). Cardiac surgery is not routinely available in areas with high EMF prevalence. 35
  • 36.
    TTO MEDICO  Baseadoem série de casos  Abordagem geral extrapolada do tratamento dos pacientes com IC devido a disfunção diastólica restritiva por outras causas  O tratamento é baseado no uso de diuréticos (Espirinolactona) e controle da FC nos doentes com FA (Digoxina e β-bloqueadores), IECAS  Toracocentese, Pericardiocentese, paracentese  Prednisolona (7 – 10 dias) em doentes com suspeita de Cardite aguda  AAS 36
  • 37.
    TTO CIRURGICO  Ressecçãoendomiocárdica + substituição ou reparação valvular  Recomendado a todos pacientes em classe funcional III-IV (NYHA)  Mortalidade pós-operatória imediata alta (15 – 30%)  ▪< se não for necessário substituição valvular  Sobrevivência a longo termo alta  Fibrose pode re-ocorrer 37
  • 38.
    Endomyocardial fibrosis surgery A)Surface echocardiogram with left ventricular apical fibrosis and severe left and right atrial enlargement. B) Postoperative. 38
  • 39.
     1/3 –½ dos doentes com doença avançada morrem em 2 anos. Pouco sintomáticos teem maior sobrevida.  FA e Ascite são sinais de mau prognóstico.  Doentes morrem por IC progressiva, morte súbita cardíaca (TE e Arritmias) e complicações cirúrgicas. 39
  • 40.
     Libby: Braunwald'sHeart Disease: A Textbook of Cardiovascular Medicine, 8th ed., volume 1, 2007  Mocumbi AO, Yacoub S, Yacoub M. Myocardial disease. Neglected tropical cardiomyopathies II – Endomyocardial fibrosis. Heart 2008;000:1–8. doi:10.1136/hrt.2007.136101  Rebecca Cogswell, MD, Gene Bukhman, MD, PhD, Nelson B Schiller, MD Harry Acquatella, MD, FACC, FAHA: Endomyocardial fibrosis.  www.uptodate.com  Mocumbi AO, Ferreira MB, Sidi D, yacoub MH. A population study of endomyocardial fibrosis in rural area of Mozambique. N Engl J Med 2008; 359:43 40
  • 41.
     Leslie TCooper, Jr, MD: Definition and classification of the cardiomyopathies  www.uptodate.com  Mocumbi AO, Carrilho C, . Sarathchandra P, Ferreira B, Yacoub M, Burke M. Echocardiography accurately assesses the pathological,abnormalities of chronic endomyocardial fibrosis.Int J Cardiovasc Imaging, 2010; DOI 10.1007/s10554-010-9753-6,  Mocumbi AO, Latif N, Yacoub MH. Presence of circulating anti-myosin antibodies in endomyocardial fibrosis. PLoS Negl Trop Dis 2010; 4:e661 41

Notas do Editor

  • #4 É restrita a áreas pobres, ainda não se sabe porquê: é nos paises pobres onde há mais parasitoses/outras infecções? Sabe-se que a eosinofilia é um factor perpetuador, pelo efeito tóxico dos eosinófilos sobre o endocárdio e miocárdio.
  • #6 Amiloidose- ++na 1ºária. Sarcoidose- 3º órgão + afectado; geralmente silencioso Dça Gaucher- doenças de depósito lisossômico; glicoesfingolipidoses; hereditária autossômica Recessiva; deficiência da beta-glicosidase ácida (digestão lipidos dentro da celula) ou beta-glicocerebrosidase ---- acúmulo de glicolipídios nos macrófagos ++ baço, fígado, medula óssea e pulmão. Dça Hurler- é uma Mucopolissacaridose tipo I; doença de depósito lisossómico multissistémica; deficiência da enzima a-L-iduronidase (degradação gradual dos glicosaminoglicanos) acúmulo no lisossoma resulta na disfunção de células, tecidos e órgãos por meio de mecanismos fisiopatológicos em grande parte desconhecidos. síndromes de Hurler e Scheie representam fenótipos na extremidade grave e na extremidade leve do espectro clínico, respectivamente, e a síndrome de Hurler-Scheie representa um fenótipo de gravidade clínica intermediária – hepatoesplenomegália, deformidades óssseas (incluindo facies anormal) e artropatia grave. Infiltração gorda- “coração tigrado”- aparecem estrias amarelas de gordura entre as fibras musculares das papilas Esclerodermia- Pseudoxanthoma elasticum- Grönblad–Strandberg syndrome- genetic disease that causes fragmentation and mineralization of elastic fibers in some tissues. The most common problems arise in the skin and eyes, and later in blood vessels in the form of premature atherosclerosis CM diabética-disf diastólica c/ hipertrofia e fibrose muscular, s/ HTA, vavlvulopatia ou coronariopatia q a explique. Hemocromatose- anormalidade genética, desordem do armazenamento de ferro. Three principal missense mutations have been identified in HFE: one results in a change of cysteine at position 282 to tyrosine (Cys282 → Tyr, C282Y), the second results in a change of histidine at position 63 to aspartate (His63 → Asp, H63D), and the third results in a change of serine at position 65 to cysteine (Ser65 → Cys, S65C). Desregulação da hepcidina (principal hormona controle status do ferro sistemico) Dça Fabry- Dças armazenamento glicog.-
  • #9 Endocardio – tecido epitelial camada localizada mais internamente é composta por endotélio escamoso em camada única, recobrindo as camadas subendoteliais interna e externa. A camada subendotelial externa, também chamada de camada subendocárdica, é composta por tecido conjuntivo frouxo, vasos sanguíneos de pequeno calibre, fibras nervosas e, em certas regiões, células condutoras de impulsos (fibras de Purkinje). Esta camada, por sua vez, encontra-se conectada à camada subendotelial interna, que contém tecido conjuntivo elástico, denso e irregular, entremeando às células musculares lisas. As válvulas cardíacas podem ser consideradas uma extensão do endocárdio, que possuem formato de aba, e apresentam quantidade abundante de colágeno que se funde ao triângulo e aos anéis fibrosos.