Coma e Morte Encefálica
UNESA
Pedro Thiago Alves - Neurologista
Campus Cittá
Introdução
o Do grego: “sono profundo”.
oManifestação clínica grave, indicando falência dos mecanismos de
manutenção da consciência.
o Necessidade de atuação médica rápida e decisiva.
o Iminência de lesão irreversível.
Consciência
• Conhecimento de si e do meio.
• Capacidade de captar a realidade em um dado momento
• Duas dimensões:
- Ativação (Nível de Consciência): Sistema Reticular Ativador Ascendente 🡪 Alerta
- Conteúdo: funções corticais superiores
Funções psíquicas
Conteúdo da Consciência: Funções cognitivas
o Atenção: É a direção da consciência
o Orientação: É a capacidade de situar-se quanto a si mesmo e ao ambiente
o Memória: é a capacidade de reviver situações do passado
o Inteligência: É a capacidade de adaptar, de modo consciente, o pensamento as situações novas
da vida
o Pensamento: Tem por finalidade dar juízo crítico da realidade (falso X verdadeiro)
o Sensopercepção: É a ponte entre o ambiente e o indivíduo
🡪 Demência: estado de declínio global das funções cognitivas. Possui evolução crônica e
irreversibilidade
Neuroanatomia
Nível da Consciencia
❑ Vigília: SRAA (Sistema Ativador Reticular Ascendente), localizado no tegumento do
Tronco Cerebral 🡪 Formaçao Reticular
❑ Projeções talamicas ou difusas diretamente para o cortex cerebral > modulação da
atividade cortical
❑ SRAA modula/ interfere no efeito dos estímulos sensitivos ascendentes e a
influência cortical descendente.
❑ Sistema Reticular, via SRAA, controlam, a atividade elétrica cortical 🡪 sono e vigília
(atividade tônica).
Neuroanatomia
• Formação Reticular:
- Aglomerado de neurônios que se
extende do bulbo à região rostral do
mesencéfalo, sendo contínuo com
Zona Incerta e núcleos talâmicos
(medianos, reticular – atenção seletiva
- e intralaminares);
- Sistema com múltiplos influxos /
multissináptico; organizada em grupos
nucleares e sistemas químicos bem
definidos.
Níveis de Consciência
• Sonolência – pcte dorme, desperta e interage bem – volta a dormir; lentificação do
pensamento
• Obnubilação – sonolência + confusão mental; pcte confuso, desorientado, difícil de
interagir/ reconhecer pessoas
• Delírio – confuso, desorientado, irritado, percepção prejudicada, alucinações, falta de
pensamento lógico
• Torpor- precede coma;dificuldade de despertar, comprometimento de fala; só mantem
vigília com estímulos vigorosos
Coma
❑ Ausência de percepção de si e do meio;
❑ Não responsivo aos estímulos;
❑ Ausência da capacidade de despertar;
❑ Olhos FECHADOS;
❑ Ausência de ciclo sono/vigília;
❑ Estado transitório (recuperação ou morte encefálica)
❑ Duração maior que 1 hora
❑ Expressão clínica de uma doença de base!
Para que haja Coma:
- Lesão do Sistema Reticular Ativador Ascendente (SRAA).
- Lesão de grande parte de AMBOS hemisférios cerebrais.
- Supressão do eixo SRAA/Cortex global (drogas, toxinas,
desequilíbrios metabólicos, etc).
🡪 Causas: - A) Estruturais (1/3)
- B) Não estruturais
A) Causas Estruturais
1) Lesão direta no TE (AVC, dça desmielinizante):
2) Lesões focais, com grande efeito de massa HIC
Hérnias Compressão TE
3) Condições que comprometam encéfalo globalmente
(geralmente causas metabólicas)
1) Lesão direta no Tronco Encefálico
❑ Início abrupto
❑ Anormalidades pupilares / movimentos oculares
❑ Posturas anormais / reflexos patológicos
2) Lesões focais com efeito de massa
❑ Início: processo localizado / assimetrias ao exame
❑ Com aumento de PIC 🡪 Herniação
❑ Quadro com piora progressiva
❑ Obs: respostas motoras assimétricas e movimentos oculares anormais persistem
até estágios terminais
❑ Grau de alteração de consciência é relacionado a grosso modo com volume de
tecido cerebral afetado
Hérnias
• Passagem de tecido encefálico para compartimentos que
normalmente não ocupariam.
• Principais causas: AVCs, tumores, TCE, Lesões expansivas, etc
• Tipos:
- Subfalcina (giro cíngulo por baixo da foice do cérebro)
- Uncal (úncus através do tentório, para fossa
posterior) 🡪 Acometimeno NC III
- Tonsilar (amigdala cerebelar pelo forame magno) 🡪
compressão bulbar
- Central (diencéfalo para baixo) 🡪 compressão
mesencefálica
3) Condições que comprometem encéfalo globalmente
(Estruturais)
Algumas causas muito raras:
- Infartos talâmicos bilaterais
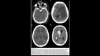
- Hematomas Subdurais bilaterais
- Hemorragia subaracnóidea
- Meningite / Encefalite Infarto talâmico Bilateral – Artéria de Pecheron
B) Causas Não Estruturais
❑ Metabólicas – privação de substratos energéticos; desequilíbrio EHE/alterações
osmolares; Distúrbios vitamínicos; quadros infecciosos; etc.
❑ Alteração da excitabilidade neuronal – status epilepticus
❑ Tóxicas/ Medicamentosas / Hipóxia
❑ Inflamatórias – meningites, encefalites, processos paraneoplásicos
🡪 Geralmente: Dano neuronal por distúrbio sistêmico
Causas não estruturais (processo difuso)
- Geralmente não produzem sinais focais
Exceção: hipoglicemia, encefalopatia Urêmica e Hepática
- Reatividade pupilar presente / M.O. preservados
- Disfunção tardia de TE
- Geralmente quadro progressivo (confusão/ delírio/ torpor/ coma)
Processos sistêmicos /metabólicos / tóxicos
• Encefalopatia anóxica–isquêmica
• Encefalopatia hipertensiva
• Encefalopatia séptica
• Vasculites do sistema nervoso central
• Intoxicação exógena
• Coma mixedematoso
• Encefalopatia urêmica/ hepática
• Insuficiência adrenal / Hipotireoidismo
• Hipoglicemia/ Coma hiperosmolar
• Hipotermia/ Hipertermia maligna
• Síndrome serotoninérgica
•C
•cCLASSIFICAÇÃO QUANTO A LOCALIZAÇÃO DA CAUSA DO
COMA
Quanto a localização do processo que desencadeia o Coma:
-Marco anatômico: Tenda do Cerebelo
I-Lesão Supratentorial: Neoplasias, AVC, lesoes extensas 🡪 Herniação
II-Lesão Infratentorial: afetam diretamente TE (ou compressão do mesmo)
III-Processo difuso (metabólico)
CAUSA: I - Estrutural Supratentorial
• Neoplasia:
– primária/metastática
• Trauma:
– lesão axonal difusa
– Sangramentos intracranianos:
. Hematomas subdurais ou extradurais
. HIP
. HSA traumática
• Vascular:
– AVCs 🡪 hemorragias/ isquemia cerebral extensa / vasoespasmo
por HSA aneurismática
– Isquemia talâmica bilateral
– Trombose de seio cerebral
CAUSA: I- Estrutural Supratentorial
• Infecção:
– Meningites
– Empiemas/ Abscessos
– Neurocisticercose
– Infeccções oportunistas (HIV) – Neurotoxoplasmose, LEMP,
Neurocriptococose
• Metabólico
– encefalopatia de Wernicke
• Desmielinizante
– encefalomielite disseminada aguda
– leucoencefalopatia aguda secundária ao uso de drogas
imunossupressoras e antineoplásicas
CAUSA: II - Estrutural Infratentorial
• Neoplasias do Tronco Encefálico e Cerebelo
• AVC Isquemico de TE/ Cerebelo
• AVC hemorrágico do TE/ Cerebelo
• Encefalites/ processos paraneoplásicos
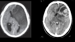
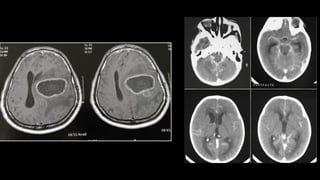
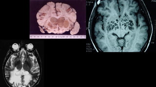
• Neurocisticercose
AVC hemorrágico pontino
Neurocisticercose
v
Copyrights apply
1 - Anamnese e Exame físico
• Essencial para direcionar raciocínio clínico
• Não se ater somente ao exame neurológico
• História: transtornos psiquiátricos, HAS, DM, uso de drogas, início do quadro e
sua evolução, sinais e sintomas iniciais, hábitos sociais, comorbidades, uso prévio
de medicamentos, etc.
Roteiro de Exame neuroloógico... normal?
• Marcha
• Estado Mental
• Nervos Cranianos
• Força/ Tônus/ Reflexos superficiais e profundos
• Coordenação (Cerebelo) e estática
• Sensibilidade superficial e profunda
• Funções esfincterianas/ Sinais meníngeos
O exame no paciente em Coma...
-Parâmetro para seguimento evolutivo
-Ajuda na determinação do prognóstico do paciente.
-Identificação de processo fisiopatológico
Roteiro do exame no paciente em Coma
1) Anamnese e Exame Físico
2) Nível de Consciência
3) Nervos cranianos/Reflexos de Tronco Encefálico
4) Respostas motoras anormais (Exame Motor)
5) Padrão Respiratório
6) Sinais Meníngeos
1 - Anamnese e Exame Físico
• Exame Físico:
- Procurar hematomas, contusões, marcas de agulha, ectoscopia de pele;
- Exame do sistema Respiratório e cardiovascular, temperatura, etc.
- Sinais de incontinência, sinais meningeos, etc.
• Em caso de trauma, suponha sempre que houve lesão cervical (até que se prove o
contrário).
2 – Nível de Consciência
❑ Início: observação passiva
❑ Aumentar estímulo sensitivo: sonoro > tátil > tátil vigoroso > doloroso
❑ Paciente que procura posição no leito: consciência próxima do normal.
❑ Escala de Coma de Glasgow (ECG- 1974) – mais amplamente utilizada
- obs: cuidado com situações que comprometam resposta motora
Copyrights apply
CUIDADO: Afasia/ Síndrome
demencial prévia /
Acometimento motor!
Adendo:
Four scale
Nível de Sedação
Escala de Ramsay
• Grau 1: paciente ansioso, agitado
• Grau 2: cooperativo, orientado, tranqüilo
• Grau 3: sonolento, atendendo aos
comandos
• Grau 4: dormindo, responde rapidamente ao
estímulo glabelar ou ao estímulo sonoro
vigoroso
• Grau 5: dormindo, responde lentamente ao
estímulo glabelar ou ao estímulo sonoro
vigoroso
• Grau 6: dormindo, sem resposta
O Exame Neurológico no Paciente Crítico
Nível de Sedação
• RASS (Escala de Richmond de Agitação-Sedação)
+4 Agressivo Violento, perigoso
+3 Muito agitado Conduta agressiva, remoção de tubos ou cateteres
+2 Agitado Movimentos sem coordenação freqüentes
+1 Inquieto Ansioso, mas sem movimentos vigorosos ou agressivos
0 Alerta, calmo
-1 Sonolento Não se encontra totalmente alerta mas tem o despertar sustentado ao som
da voz ( >10seg)
-2 Sedação leve Acorda rapidamente e faz contato visual com o som da voz (<10seg)
-3 Sedação moderada Movimento ou abertura dos olhos ao som da voz mas sem
contato visual
-4 Sedação Profunda Não responde ao som da voz, mas movimenta ou abre os olhos
com estimulação física
-5 Incapaz de ser despertado Não responde ao som da voz ou ao estímulo
O Exame Neurológico no Paciente Crítico
3) Nervos Cranianos/Reflexos TE
a) Reatividade Pupilar e Pupilas:
- Reflexos fotomotor e consensual
- Normal: 2,5 – 5,5 mm
- Midríase: acima de 5,5 mm
Via - aferente: Nervo óptico
- eferente: Parassimpático, NC3
(Integração no mesencéfalo)
3) Nervos Cranianos/Reflexos
- Reflexo fotomotor: muito resistente a insultos metabólicos e difusos do SNC (pode precisar de lupa
para avaliar)
. Geralmente preservado em coma induzido por drogas
- Observar simetria/ tamanho/ posição das pupilas
- Nas encefalopatias difusas ou multifocais, pupilas geralmente normais, exceto:
- intoxicação por atropina (dilatadas sem RF)
- opiáceos (mióticas, com RF)
- barbitúricos (midriáticas e fixas)
- hipotermia (fixas)
- anóxia (midriáticas e fixas)
Assimetria: lesão estrutural
Pupilas não reativas: mau prognóstico (anóxia)
3) Nervos Cranianos/Reflexos
• Pupilas:
- puntiformes bilateralmente: lesões pontinas; opiáceos
- Midríase unilateral: lesão do NC 3
- Midríase bilateral sem RF: lesão mesencefálica
- Pupilas mióticas, com RF presente: lesão pontina, encefalopatia metabólica
2) 3) Nervos Cranianos/Reflexos TEs
b) Movimentos Oculares:
- Observação passiva; sedação: geralmente interrompe.
- Avaliar desvio conjugado do olhar:
. Horizontal:- lesão destrutiva frontal (olha para lado)
- lesão irritativa frontal (olha p/ lado oposto)
- lesão TE (olha ipsilat ao lado plégico)
- nistagmo: foco irritativo
. Vertical: - para cima: lesão diencefálica/mesencefálica
- p/ baixo: lesão TE
- oblíquo: lesão Fasciculo longitudinal Medial
Possíveis movimentos oculares
em pacientes em Coma
Possíveis movimentos oculares em pacientes em Coma
233) Nervos Cranianos/Reflexos TE
c) Reflexos de Tronco Encefálico:
- Fotomotor - mesencéfalo
- Córneo palpebral - ponte
- Óculocefálico - ponte
- Óculovestibular - ponte
- Tosse/ Apnéia - bulbo
Fundamentais para exame de Morte Encefálica!
- Se normais: causa do coma estrutural é por acometimento cortical
- Reflexos podem ser prejudicados por drogas depressoras do SNC, sendo os primeiros a serem perdidos os
da mobilidade ocular – CP – RF.
4) Exame Motor
• Provocar estímulo álgico
• Afastar abalos motores sutis, movimentos involuntários
• Sinais motores focais: doença estrutural (exceção: hiponatremia; hipoglicemia / encefalop.
hepática/urêmica)
• Posturas anormais:
- Decorticação: nível supratentorial (acima mesencéfalo)
- Descerebração: nível infratentorial (entre nc. rubro e vestibulares)
- Lado lesado: pode haver menor resposta diante dor.
- Coma não profundo: pode haver alguma resposta mediante dor.
5) Padrão Respiratório
• Interferência de acidose / ansiedade
• Nenhum padrão anormal garante ventilação adequada
• Tipos:
- Apnéia
- Cheyne-Stokes (lesões suprat bilat. ou metabólicas)
- Hiperventilação central (lesões mesencéfalo)
- Apnêustica
- Biot (anárquica, bulbo)
- Padrão lento, superficial, regular – depressão por drogas, alt. metabólicas
6) Sinais Meníngeos
Resumindo...
• Coma: alteração grave do nível de consciência resultado de um processo
destrutivo/ patológico/ doença de base
• Mais rápido o tratamento: melhor prognóstico
Nível de Consciência Transitório:
- Recuperação (Total ou parcial)
- Estado Minimamente Consciente
- Estado Vegetativo (falta prolongada de reação e alerta por disfunção intensa dos hemisférios
cerebrais, mas preservação suficiente do diencéfalo/ T.E. 🡪reflexos autônomos e motores e os ciclos
de sono-vigília conservados)
- Morte Encefálica
Obs: Síndrome do Encarceramento: Lesão isquêmica na Ponte 🡪 tetraplegia, mas
preservação do nível de consciência, além de certa movimentação ocular
Quadros “Coma Like”
Algoritmo – Investigação
etiologia do Coma
MORTE ENCEFÁLICA- Parâmetros clínicos
para o início do diagnóstico
❑ Coma não perceptivo,
❑ Ausência de reatividade supraespinhal,
❑ Apneia persistente.
- Lesão encefálica de causa conhecida, irreversível e capaz de causar a morte
encefálica
- Ausência de fatores tratáveis que possam confundir o diagnóstico de morte
encefálica.
- Temperatura corporal superior a 35º, saturação arterial de oxigênio acima
de 94% e pressão arterial sistólica maior ou igual a 100 mmHg para adultos.
MORTE ENCEFÁLICA
❑ Tempo de mínimo de observação para que seja iniciado o: 6 horas
- Encefalopatia hipóxico-isquêmica: 24 horas.
❑Intervalo mínimo entre as duas avaliações clínicas:
De 7 dias a 2 meses incompletos – 24 horas
De 2 meses a 24 meses incompletos – 12 horas
Acima de 2 anos – 1 hora
🡪 Basicamente, exame de viabilidade das dunções do Tronco
Encefálico
A perda completa e irreversível das funções encefálicas, definida pela
cessação das atividades corticais e de tronco encefálico, caracteriza a
morte encefálica e, portanto, a morte da pessoa. (Resol. CFM
2173/2017)
Teste da Apneia
MORTE ENCEFÁLICA
❑ Confirmação da morte encefálica
a) Dois exames clínicos, por médicos diferentes, especificamente
capacitados para confirmar o coma não perceptivo e a ausência de
função do Tronco Encefálico;
b) Um teste de apneia positivo;
c) EXAME COMPLEMENTAR que comprove a ausência de atividade encefálica
🡪 ausência de perfusão sanguínea/ atividade metabólica / atividade elétrica
encefálica.
Fatores de Confusão para ME
Podem abolir reflexos do TE:
1) Metabólicos
-Manter Sódio próximo do normal
2) Hipotermia grave (perda de reflexos com Temperatura < 28 graus)
-Temp > 35 graus
3) Afastar drogas depressoras do SNC
- Aguardar 4 a 5 meias-vidas após a suspensão, se utilizada infusão
contínua nas doses terapêuticas usuais
Fatores de Confusão para ME
4) Hemodinâmicos
- Hipotensão grave (manter PAM >60 ou PAS > 100mmHg)
Morte Encefálica
• Protocolo concluído confirmatório para M.E.: juridicamente, paciente =
cadáver.
• A hora do óbito é determinada pelo horário do último exame conclusivo
de ME.
- Notificação do PET (Programa Estadual de Transplantes) desde a suspeita de
ME, com acompanhamento ao longo de todo o processo
- Família deve ser acolhida e informada de todos os passos, desde a suspeita
de ME e abertura do protocolo, sendo idealmente a abordagem para
transplante a cargo da equipe do PET;
Morte Encefálica
• Até definição familiar e do PET: MANUTENÇÃO DO POTENCIAL DOADOR
(Levotiroxina, Corticoide, Dieta enteral Trofica, Estabilidade circulatória,
Ventilação mecânica protetora...)
Neoplasias malignas contraindicam doação, exceto:
Carcinoma in situ de pele
Carcinoma in situ de colo uterino
Alguns tumores primários do SNC
🡪 Infecções não impedem a doação de órgãos, quando em tratamento e com
boa resposta.Tratar sempre que suspeitar de infecção.
Brasil.Conselho Federal de Medicina. Resolução CFM nº 2173, de 23 de novembro de 2017. Brasília: CFM; 2017. Disponível em
https://sistemas.cfm.org.br/normas/visualizar/resolucoes/BR/2017/2173
Brasil. Presidência da República. Casa Civil. Subchefia para Assuntos jurídicos. DECRETO Nº 9175 de 18 de outubro de 2017. Disponível em
http://www.planalto.gov.br/ccivil_03/_ato2015-2018/2017/decreto/D9175.htm

1_-_Coma_e_morte_encefalica.pdfhsueududududududud

  • 1.
    Coma e MorteEncefálica UNESA Pedro Thiago Alves - Neurologista Campus Cittá
  • 2.
    Introdução o Do grego:“sono profundo”. oManifestação clínica grave, indicando falência dos mecanismos de manutenção da consciência. o Necessidade de atuação médica rápida e decisiva. o Iminência de lesão irreversível.
  • 3.
    Consciência • Conhecimento desi e do meio. • Capacidade de captar a realidade em um dado momento • Duas dimensões: - Ativação (Nível de Consciência): Sistema Reticular Ativador Ascendente 🡪 Alerta - Conteúdo: funções corticais superiores
  • 4.
    Funções psíquicas Conteúdo daConsciência: Funções cognitivas o Atenção: É a direção da consciência o Orientação: É a capacidade de situar-se quanto a si mesmo e ao ambiente o Memória: é a capacidade de reviver situações do passado o Inteligência: É a capacidade de adaptar, de modo consciente, o pensamento as situações novas da vida o Pensamento: Tem por finalidade dar juízo crítico da realidade (falso X verdadeiro) o Sensopercepção: É a ponte entre o ambiente e o indivíduo 🡪 Demência: estado de declínio global das funções cognitivas. Possui evolução crônica e irreversibilidade
  • 5.
    Neuroanatomia Nível da Consciencia ❑Vigília: SRAA (Sistema Ativador Reticular Ascendente), localizado no tegumento do Tronco Cerebral 🡪 Formaçao Reticular ❑ Projeções talamicas ou difusas diretamente para o cortex cerebral > modulação da atividade cortical ❑ SRAA modula/ interfere no efeito dos estímulos sensitivos ascendentes e a influência cortical descendente. ❑ Sistema Reticular, via SRAA, controlam, a atividade elétrica cortical 🡪 sono e vigília (atividade tônica).
  • 6.
    Neuroanatomia • Formação Reticular: -Aglomerado de neurônios que se extende do bulbo à região rostral do mesencéfalo, sendo contínuo com Zona Incerta e núcleos talâmicos (medianos, reticular – atenção seletiva - e intralaminares); - Sistema com múltiplos influxos / multissináptico; organizada em grupos nucleares e sistemas químicos bem definidos.
  • 8.
    Níveis de Consciência •Sonolência – pcte dorme, desperta e interage bem – volta a dormir; lentificação do pensamento • Obnubilação – sonolência + confusão mental; pcte confuso, desorientado, difícil de interagir/ reconhecer pessoas • Delírio – confuso, desorientado, irritado, percepção prejudicada, alucinações, falta de pensamento lógico • Torpor- precede coma;dificuldade de despertar, comprometimento de fala; só mantem vigília com estímulos vigorosos
  • 9.
    Coma ❑ Ausência depercepção de si e do meio; ❑ Não responsivo aos estímulos; ❑ Ausência da capacidade de despertar; ❑ Olhos FECHADOS; ❑ Ausência de ciclo sono/vigília; ❑ Estado transitório (recuperação ou morte encefálica) ❑ Duração maior que 1 hora ❑ Expressão clínica de uma doença de base!
  • 10.
    Para que hajaComa: - Lesão do Sistema Reticular Ativador Ascendente (SRAA). - Lesão de grande parte de AMBOS hemisférios cerebrais. - Supressão do eixo SRAA/Cortex global (drogas, toxinas, desequilíbrios metabólicos, etc). 🡪 Causas: - A) Estruturais (1/3) - B) Não estruturais
  • 11.
    A) Causas Estruturais 1)Lesão direta no TE (AVC, dça desmielinizante): 2) Lesões focais, com grande efeito de massa HIC Hérnias Compressão TE 3) Condições que comprometam encéfalo globalmente (geralmente causas metabólicas)
  • 12.
    1) Lesão diretano Tronco Encefálico ❑ Início abrupto ❑ Anormalidades pupilares / movimentos oculares ❑ Posturas anormais / reflexos patológicos
  • 13.
    2) Lesões focaiscom efeito de massa ❑ Início: processo localizado / assimetrias ao exame ❑ Com aumento de PIC 🡪 Herniação ❑ Quadro com piora progressiva ❑ Obs: respostas motoras assimétricas e movimentos oculares anormais persistem até estágios terminais ❑ Grau de alteração de consciência é relacionado a grosso modo com volume de tecido cerebral afetado
  • 14.
    Hérnias • Passagem detecido encefálico para compartimentos que normalmente não ocupariam. • Principais causas: AVCs, tumores, TCE, Lesões expansivas, etc • Tipos: - Subfalcina (giro cíngulo por baixo da foice do cérebro) - Uncal (úncus através do tentório, para fossa posterior) 🡪 Acometimeno NC III - Tonsilar (amigdala cerebelar pelo forame magno) 🡪 compressão bulbar - Central (diencéfalo para baixo) 🡪 compressão mesencefálica
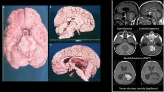
  • 17.
    3) Condições quecomprometem encéfalo globalmente (Estruturais) Algumas causas muito raras: - Infartos talâmicos bilaterais - Hematomas Subdurais bilaterais - Hemorragia subaracnóidea - Meningite / Encefalite Infarto talâmico Bilateral – Artéria de Pecheron
  • 18.
    B) Causas NãoEstruturais ❑ Metabólicas – privação de substratos energéticos; desequilíbrio EHE/alterações osmolares; Distúrbios vitamínicos; quadros infecciosos; etc. ❑ Alteração da excitabilidade neuronal – status epilepticus ❑ Tóxicas/ Medicamentosas / Hipóxia ❑ Inflamatórias – meningites, encefalites, processos paraneoplásicos 🡪 Geralmente: Dano neuronal por distúrbio sistêmico
  • 19.
    Causas não estruturais(processo difuso) - Geralmente não produzem sinais focais Exceção: hipoglicemia, encefalopatia Urêmica e Hepática - Reatividade pupilar presente / M.O. preservados - Disfunção tardia de TE - Geralmente quadro progressivo (confusão/ delírio/ torpor/ coma)
  • 20.
    Processos sistêmicos /metabólicos/ tóxicos • Encefalopatia anóxica–isquêmica • Encefalopatia hipertensiva • Encefalopatia séptica • Vasculites do sistema nervoso central • Intoxicação exógena • Coma mixedematoso • Encefalopatia urêmica/ hepática • Insuficiência adrenal / Hipotireoidismo • Hipoglicemia/ Coma hiperosmolar • Hipotermia/ Hipertermia maligna • Síndrome serotoninérgica
  • 21.
    •C •cCLASSIFICAÇÃO QUANTO ALOCALIZAÇÃO DA CAUSA DO COMA
  • 22.
    Quanto a localizaçãodo processo que desencadeia o Coma: -Marco anatômico: Tenda do Cerebelo I-Lesão Supratentorial: Neoplasias, AVC, lesoes extensas 🡪 Herniação II-Lesão Infratentorial: afetam diretamente TE (ou compressão do mesmo) III-Processo difuso (metabólico)
  • 24.
    CAUSA: I -Estrutural Supratentorial • Neoplasia: – primária/metastática • Trauma: – lesão axonal difusa – Sangramentos intracranianos: . Hematomas subdurais ou extradurais . HIP . HSA traumática • Vascular: – AVCs 🡪 hemorragias/ isquemia cerebral extensa / vasoespasmo por HSA aneurismática – Isquemia talâmica bilateral – Trombose de seio cerebral
  • 25.
    CAUSA: I- EstruturalSupratentorial • Infecção: – Meningites – Empiemas/ Abscessos – Neurocisticercose – Infeccções oportunistas (HIV) – Neurotoxoplasmose, LEMP, Neurocriptococose • Metabólico – encefalopatia de Wernicke • Desmielinizante – encefalomielite disseminada aguda – leucoencefalopatia aguda secundária ao uso de drogas imunossupressoras e antineoplásicas
  • 30.
    CAUSA: II -Estrutural Infratentorial • Neoplasias do Tronco Encefálico e Cerebelo • AVC Isquemico de TE/ Cerebelo • AVC hemorrágico do TE/ Cerebelo • Encefalites/ processos paraneoplásicos • Neurocisticercose AVC hemorrágico pontino
  • 32.
  • 33.
  • 34.
  • 35.
    1 - Anamnesee Exame físico • Essencial para direcionar raciocínio clínico • Não se ater somente ao exame neurológico • História: transtornos psiquiátricos, HAS, DM, uso de drogas, início do quadro e sua evolução, sinais e sintomas iniciais, hábitos sociais, comorbidades, uso prévio de medicamentos, etc.
  • 36.
    Roteiro de Exameneuroloógico... normal? • Marcha • Estado Mental • Nervos Cranianos • Força/ Tônus/ Reflexos superficiais e profundos • Coordenação (Cerebelo) e estática • Sensibilidade superficial e profunda • Funções esfincterianas/ Sinais meníngeos
  • 39.
    O exame nopaciente em Coma... -Parâmetro para seguimento evolutivo -Ajuda na determinação do prognóstico do paciente. -Identificação de processo fisiopatológico
  • 40.
    Roteiro do exameno paciente em Coma 1) Anamnese e Exame Físico 2) Nível de Consciência 3) Nervos cranianos/Reflexos de Tronco Encefálico 4) Respostas motoras anormais (Exame Motor) 5) Padrão Respiratório 6) Sinais Meníngeos
  • 41.
    1 - Anamnesee Exame Físico • Exame Físico: - Procurar hematomas, contusões, marcas de agulha, ectoscopia de pele; - Exame do sistema Respiratório e cardiovascular, temperatura, etc. - Sinais de incontinência, sinais meningeos, etc. • Em caso de trauma, suponha sempre que houve lesão cervical (até que se prove o contrário).
  • 42.
    2 – Nívelde Consciência ❑ Início: observação passiva ❑ Aumentar estímulo sensitivo: sonoro > tátil > tátil vigoroso > doloroso ❑ Paciente que procura posição no leito: consciência próxima do normal. ❑ Escala de Coma de Glasgow (ECG- 1974) – mais amplamente utilizada - obs: cuidado com situações que comprometam resposta motora
  • 43.
    Copyrights apply CUIDADO: Afasia/Síndrome demencial prévia / Acometimento motor!
  • 44.
  • 45.
    Nível de Sedação Escalade Ramsay • Grau 1: paciente ansioso, agitado • Grau 2: cooperativo, orientado, tranqüilo • Grau 3: sonolento, atendendo aos comandos • Grau 4: dormindo, responde rapidamente ao estímulo glabelar ou ao estímulo sonoro vigoroso • Grau 5: dormindo, responde lentamente ao estímulo glabelar ou ao estímulo sonoro vigoroso • Grau 6: dormindo, sem resposta O Exame Neurológico no Paciente Crítico
  • 46.
    Nível de Sedação •RASS (Escala de Richmond de Agitação-Sedação) +4 Agressivo Violento, perigoso +3 Muito agitado Conduta agressiva, remoção de tubos ou cateteres +2 Agitado Movimentos sem coordenação freqüentes +1 Inquieto Ansioso, mas sem movimentos vigorosos ou agressivos 0 Alerta, calmo -1 Sonolento Não se encontra totalmente alerta mas tem o despertar sustentado ao som da voz ( >10seg) -2 Sedação leve Acorda rapidamente e faz contato visual com o som da voz (<10seg) -3 Sedação moderada Movimento ou abertura dos olhos ao som da voz mas sem contato visual -4 Sedação Profunda Não responde ao som da voz, mas movimenta ou abre os olhos com estimulação física -5 Incapaz de ser despertado Não responde ao som da voz ou ao estímulo O Exame Neurológico no Paciente Crítico
  • 47.
    3) Nervos Cranianos/ReflexosTE a) Reatividade Pupilar e Pupilas: - Reflexos fotomotor e consensual - Normal: 2,5 – 5,5 mm - Midríase: acima de 5,5 mm Via - aferente: Nervo óptico - eferente: Parassimpático, NC3 (Integração no mesencéfalo)
  • 49.
    3) Nervos Cranianos/Reflexos -Reflexo fotomotor: muito resistente a insultos metabólicos e difusos do SNC (pode precisar de lupa para avaliar) . Geralmente preservado em coma induzido por drogas - Observar simetria/ tamanho/ posição das pupilas - Nas encefalopatias difusas ou multifocais, pupilas geralmente normais, exceto: - intoxicação por atropina (dilatadas sem RF) - opiáceos (mióticas, com RF) - barbitúricos (midriáticas e fixas) - hipotermia (fixas) - anóxia (midriáticas e fixas) Assimetria: lesão estrutural Pupilas não reativas: mau prognóstico (anóxia)
  • 50.
    3) Nervos Cranianos/Reflexos •Pupilas: - puntiformes bilateralmente: lesões pontinas; opiáceos - Midríase unilateral: lesão do NC 3 - Midríase bilateral sem RF: lesão mesencefálica - Pupilas mióticas, com RF presente: lesão pontina, encefalopatia metabólica
  • 52.
    2) 3) NervosCranianos/Reflexos TEs b) Movimentos Oculares: - Observação passiva; sedação: geralmente interrompe. - Avaliar desvio conjugado do olhar: . Horizontal:- lesão destrutiva frontal (olha para lado) - lesão irritativa frontal (olha p/ lado oposto) - lesão TE (olha ipsilat ao lado plégico) - nistagmo: foco irritativo . Vertical: - para cima: lesão diencefálica/mesencefálica - p/ baixo: lesão TE - oblíquo: lesão Fasciculo longitudinal Medial
  • 53.
  • 54.
    Possíveis movimentos ocularesem pacientes em Coma
  • 55.
    233) Nervos Cranianos/ReflexosTE c) Reflexos de Tronco Encefálico: - Fotomotor - mesencéfalo - Córneo palpebral - ponte - Óculocefálico - ponte - Óculovestibular - ponte - Tosse/ Apnéia - bulbo Fundamentais para exame de Morte Encefálica! - Se normais: causa do coma estrutural é por acometimento cortical - Reflexos podem ser prejudicados por drogas depressoras do SNC, sendo os primeiros a serem perdidos os da mobilidade ocular – CP – RF.
  • 57.
    4) Exame Motor •Provocar estímulo álgico • Afastar abalos motores sutis, movimentos involuntários • Sinais motores focais: doença estrutural (exceção: hiponatremia; hipoglicemia / encefalop. hepática/urêmica) • Posturas anormais: - Decorticação: nível supratentorial (acima mesencéfalo) - Descerebração: nível infratentorial (entre nc. rubro e vestibulares) - Lado lesado: pode haver menor resposta diante dor. - Coma não profundo: pode haver alguma resposta mediante dor.
  • 59.
    5) Padrão Respiratório •Interferência de acidose / ansiedade • Nenhum padrão anormal garante ventilação adequada • Tipos: - Apnéia - Cheyne-Stokes (lesões suprat bilat. ou metabólicas) - Hiperventilação central (lesões mesencéfalo) - Apnêustica - Biot (anárquica, bulbo) - Padrão lento, superficial, regular – depressão por drogas, alt. metabólicas
  • 61.
  • 63.
    Resumindo... • Coma: alteraçãograve do nível de consciência resultado de um processo destrutivo/ patológico/ doença de base • Mais rápido o tratamento: melhor prognóstico Nível de Consciência Transitório: - Recuperação (Total ou parcial) - Estado Minimamente Consciente - Estado Vegetativo (falta prolongada de reação e alerta por disfunção intensa dos hemisférios cerebrais, mas preservação suficiente do diencéfalo/ T.E. 🡪reflexos autônomos e motores e os ciclos de sono-vigília conservados) - Morte Encefálica Obs: Síndrome do Encarceramento: Lesão isquêmica na Ponte 🡪 tetraplegia, mas preservação do nível de consciência, além de certa movimentação ocular
  • 64.
  • 65.
  • 68.
    MORTE ENCEFÁLICA- Parâmetrosclínicos para o início do diagnóstico ❑ Coma não perceptivo, ❑ Ausência de reatividade supraespinhal, ❑ Apneia persistente. - Lesão encefálica de causa conhecida, irreversível e capaz de causar a morte encefálica - Ausência de fatores tratáveis que possam confundir o diagnóstico de morte encefálica. - Temperatura corporal superior a 35º, saturação arterial de oxigênio acima de 94% e pressão arterial sistólica maior ou igual a 100 mmHg para adultos.
  • 69.
    MORTE ENCEFÁLICA ❑ Tempode mínimo de observação para que seja iniciado o: 6 horas - Encefalopatia hipóxico-isquêmica: 24 horas. ❑Intervalo mínimo entre as duas avaliações clínicas: De 7 dias a 2 meses incompletos – 24 horas De 2 meses a 24 meses incompletos – 12 horas Acima de 2 anos – 1 hora 🡪 Basicamente, exame de viabilidade das dunções do Tronco Encefálico
  • 70.
    A perda completae irreversível das funções encefálicas, definida pela cessação das atividades corticais e de tronco encefálico, caracteriza a morte encefálica e, portanto, a morte da pessoa. (Resol. CFM 2173/2017)
  • 72.
  • 73.
    MORTE ENCEFÁLICA ❑ Confirmaçãoda morte encefálica a) Dois exames clínicos, por médicos diferentes, especificamente capacitados para confirmar o coma não perceptivo e a ausência de função do Tronco Encefálico; b) Um teste de apneia positivo; c) EXAME COMPLEMENTAR que comprove a ausência de atividade encefálica 🡪 ausência de perfusão sanguínea/ atividade metabólica / atividade elétrica encefálica.
  • 76.
    Fatores de Confusãopara ME Podem abolir reflexos do TE: 1) Metabólicos -Manter Sódio próximo do normal 2) Hipotermia grave (perda de reflexos com Temperatura < 28 graus) -Temp > 35 graus 3) Afastar drogas depressoras do SNC - Aguardar 4 a 5 meias-vidas após a suspensão, se utilizada infusão contínua nas doses terapêuticas usuais
  • 78.
    Fatores de Confusãopara ME 4) Hemodinâmicos - Hipotensão grave (manter PAM >60 ou PAS > 100mmHg)
  • 79.
    Morte Encefálica • Protocoloconcluído confirmatório para M.E.: juridicamente, paciente = cadáver. • A hora do óbito é determinada pelo horário do último exame conclusivo de ME. - Notificação do PET (Programa Estadual de Transplantes) desde a suspeita de ME, com acompanhamento ao longo de todo o processo - Família deve ser acolhida e informada de todos os passos, desde a suspeita de ME e abertura do protocolo, sendo idealmente a abordagem para transplante a cargo da equipe do PET;
  • 80.
    Morte Encefálica • Atédefinição familiar e do PET: MANUTENÇÃO DO POTENCIAL DOADOR (Levotiroxina, Corticoide, Dieta enteral Trofica, Estabilidade circulatória, Ventilação mecânica protetora...) Neoplasias malignas contraindicam doação, exceto: Carcinoma in situ de pele Carcinoma in situ de colo uterino Alguns tumores primários do SNC 🡪 Infecções não impedem a doação de órgãos, quando em tratamento e com boa resposta.Tratar sempre que suspeitar de infecção.
  • 82.
    Brasil.Conselho Federal deMedicina. Resolução CFM nº 2173, de 23 de novembro de 2017. Brasília: CFM; 2017. Disponível em https://sistemas.cfm.org.br/normas/visualizar/resolucoes/BR/2017/2173 Brasil. Presidência da República. Casa Civil. Subchefia para Assuntos jurídicos. DECRETO Nº 9175 de 18 de outubro de 2017. Disponível em http://www.planalto.gov.br/ccivil_03/_ato2015-2018/2017/decreto/D9175.htm