Doença Pulmonar Obstrutiva
Crônica (DPOC)
Prof. Dr. Alcindo Cerci Neto
PUCPR – Campus Londrina
Definição
Doença comum, previnível e tratável,
caracterizada por sintomas respiratórios
persistentes e limitação ao fluxo de ar, causada
por anormalidades de vias aéreas e/ou
alveolares, geralmente causada por exposição
significativa a gases ou partículas nocivas. (
GOLD 2017)
Epidemiologia
Acomete a população mundial
Aumento da prevalência nas últimas décadas
Geralmente 5a e 6a década de vida
4a causa de morte nos EUA
Atualmente prevalência semelhante entre
homens e mulheres
Prevalência da DPOC na América Latina
A prevalência de
VEF1/CVF< 0,70
pós-broncodilatador
aumenta com a
idade em 5 cidades
Latino Americanas.
Fonte : Menezes AM et al. Lancet 2005
2006
0
5
10
15
20
25
30
35
40-49 50-59 60 ou > 60
São Paulo
Santiago Chile
Cidade do México
Montevideo
Caracas
%
Faixa de Idade
Mudança em percentual das taxas de
mortalidade ajustadas a idade – USA ,
1965-1998
0
0.5
1.0
1.5
2.0
2.5
3.0
Relacionadas as taxas de 1965
0.0
0.5
1.0
1.5
2.0
2.5
3.0
1965 - 1998 1965 - 1998 1965 - 1998 1965 - 1998 1965 - 1998
–59% –64% –35% +163% –7%
Doença
coronariana
AVC Outras
doenças
cardio-
vasculares
DPOC Outras
causas
Source: NHLBI/NIH/DHHS
Fumaça de Cigarro
Pó e gases ocupacional
Tabagismo passivo
Poluição ambiental
Nutrição
Infecções
Condição
Socioeconômica
Envelhecimento Populacional
Fatores de Risco para DPOC
Ação do Tabagismo
Estímulo à produçaão de muco e hipertrofia de
glândulas submucosas
Redução dos movimentos ciliares
Ativação de macrófagos (IL-8)
Ativação de neutrófilos
Inibição da alfa-1-antitripsina
Fisiopatologia
Resposta inflamatória exacerbada e crônica
Destruição progressiva do parênquima
pulmonar e estresse oxidativo
Intenso e repetitivo processe de lesão e
reparação das vias aéreas
Alterações estruturais
Fisiopatologia
Obstrução e perda da elasticidade pulmonar
Hiperinsuflação
Distúrbio V/Q
Retenção progressiva de CO2
Cor pulmonale
INFLAMAÇÃO NA DPOC
Doença das pequenas
vias aéreas
Inflamação das vias aéreas
Remodelamento das vias
aéreas
Destruição do parênquima
Ruptura das ligações alveolares
Redução do recolhimento elástico
LIMITAÇÃO AO FLUXO AÉREO
Professor Peter J. Barnes, MD
National Heart and Lung Institute, London UK
INFLAMAÇÃO DO PULMÃO
Fatores individuais
Amplificação dos mecanismos
Patologia da DPOC
ProteinasesStress oxidativo
Anti-proteinasesAnti-oxidantes
Mecanismos
de reparo
Fumaça de cigarro
Fumaça de Biomassa
Gases Particulados
Patogênese da DPOC
Source: Peter J. Barnes, MD
Destruição da parede alveolar
Perda da elasticidade
Destruição do leito capilar
↑ Células inflamatórias
macrófagos, CD8+ linfócito
Source: Peter J. Barnes, MD
Modificações do Parênquima Pulmonar na
DPOC
Hipóxia crônica
Vasoconstricção pulmonar
Muscularização
Hiperplasia da Intima
Fibrose
Obliteração vascular
Hipertensão pulmonar
Cor pulmonale
Morte
Edema
Hipertensão Pulmonar na DPOC
Source: Peter J. Barnes, MD
Mastócitos
CD4+ cell
(Th2)
Eosinófilos
Alérgenos
Células
epitélio
ASMA
Broncoconstrição
Hiperresponsividade
Alv macrófago Ep cells
CD8+ cell
(Tc1)
Neutrófilos
Fumaça de cigarro
Redução calibre pequenas
vias e Destruição alveolar
DPOC
Reversível IrreversívelLimitação do fluxo aéreo
Source: Peter J. Barnes, MD
Professor Peter J. Barnes, MD
National Heart and Lung Institute, London UK
Entidades Patológicas
 BRONQUITE
CRÔNICA
 ENFISEMA
PULMONAR
 ASMA
BRÔNQUICA
Tipos Histológicos
 A bronquite crônica é definida clinicamente pela
presença de tosse e expectoração na maioria
dos dias por no mínimo três meses/ano durante
dois anos consecutivos (clinico).
 O enfisema pulmonar é definido
anatomicamente como aumento dos espaços
aéreos distais ao bronquíolo terminal, com
destruição das paredes alveolares (AP).
Obstrução ao
fluxo aéreo
Efeitos
cardiovasculares
Alterações
musculares
Efeitos
no metabolismo
ósseo
Anormalidades
nutricionais
Efeitos sistêmicos da DPOC
DPOC
INSUFICIÊNCIA
RESPIRATÓRIA
ALTERAÇÕES
MUSCULARES
TOLERÂNCIA AO
EXERCÍCIO
QUALIDADE DE
VIDA
• SEDENTARISMO
• DESNUTRIÇÃO
• INFLAMAÇÃO
SISTÊMICA
• HIPÓXIA
• EXTRESSE OXIDATIVO
• CORTICOTERAPIA
• HORMÔNIOS
ANABÓLICOS
Mecanismos da disfunção
muscular
Gosker, Am J Clin Nut 2000
Rabe,
N Engl J Med, 2007
Cardiovascular: 27%
DPOC e alterações ósseas
• Não há grandes estudos epidemiológicos que
investigaram esta associação em pacientes com
DPOC em diferentes estádios da doença
• Entretanto os dados disponíveis mostram que:
 35 a 72% têm osteopenia
 36 a 60% têm osteoporose
SINTOMAS
Tosse
Expectoração
Dispnéia
EXPOSIÇÃO A FATORES
DE RISCO
Tabagismo
Ocupação
Poluição extra e
intradomiciliar
ESPIROMETRIA
Diagnóstico da DPOC
e
DIAGNÓSTICO
História
Tabagismo
Tosse
Dispnéia
Sibilos
Exposição
DIAGNÓSTICO
História
Exame
físico
Normal / quase
Hiperinsuflação
Murmúrio
vesicular
diminuído
Sinais de cor
pulmonale
mMRC-CAT
Tabagismo
Tosse
Dispnéia
Sibilos
Exposição
mMRC
CAT
DIAGNÓSTICO
História
Exame
físico
Normal / quase
Hiperinsuflação
Murmúrio
vesicular
diminuído
Sinais de cor
pulmonale
mMRC-CAT
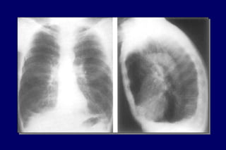
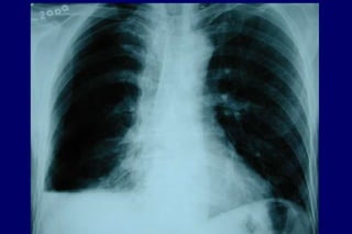
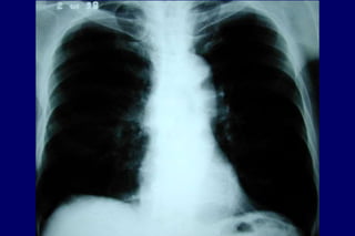
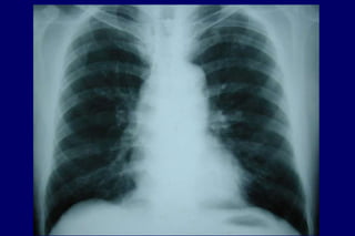
Radiografia
de tórax
Excluir outras
doenças
Bolhas
Hiperinsuflação
Tabagismo
Tosse
Dispnéia
Sibilos
Exposição
DIAGNÓSTICO
História
Exame
físico
Normal / quase
Hiperinsuflação
Murmúrio
vesicular
diminuído
Sinais de cor
pulmonale
mMRC-CAT
Radiografia
de tórax
Excluir outras
doenças
Bolhas
Hiperinsuflação
Espirometria
VEF1 / CVF <
70%
VEF1, CVF
Tabagismo
Tosse
Dispnéia
Sibilos
Exposição
Variação VEF1 no mesmo
dia e dias distintos = 140 e
170 ml
CVF = 6 segundos
Spirometry: Normal Trace Showing
FEV1 and FVC
1 2 3 4 5 6
1
2
3
4
Volume,liters
Time, sec
FVC5
1
FEV1 = 4L
FVC = 5L
FEV1/FVC = 0.8
© 2014 Global Initiative for Chronic Obstructive Lung Disease
Spirometry: Obstructive Disease
Volume,liters
Time, seconds
5
4
3
2
1
1 2 3 4 5 6
FEV1 = 1.8L
FVC = 3.2L
FEV1/FVC = 0.56
Normal
Obstructive
© 2014 Global Initiative for Chronic Obstructive Lung Disease
Classificação de GOLD
DIAGNÓSTICO
História
Exame
físico
Normal / quase
Hiperinsuflação
Murmúrio
vesicular
diminuído
Sinais de cor
pulmonale
mMRC-CAT
Radiografia
de tórax
Excluir outras
doenças
Bolhas
Hiperinsuflação
Espirometria
Gasometria
arterial (se
SpO2  90%)
VEF1 / CVF <
70%
VEF1, CVF
Hipoxemia
Hipercapnia
Tabagismo
Tosse
Dispnéia
Sibilos
Exposição
Risco de Exacerbações
 Exacerbações: evento agudo que ocasiona a piora dos
sintomas respiratórios do paciente e leva a ajuste de
terapêutica.
 Para avaliar o risco de exacerbação, utilizar a história
de exacerbações prévias e espirometria
 Baixo risco: no máximo uma exacerbação ao ano sem
hospitalização.
 Alto risco: qualquer hospitalização por exacerbação ou dois
episódios ou mais de exacerbação por ano.
Estudo WISDOM (análise post-hoc):
Distribuição de eosinófilos no sangue
Distribuição de eosinófilos (células/μL) na triagem (conjunto tratado)16
15
14
13
12
11
10
9
8
7
6
5
4
3
2
1
0
Eosinófilos na triagem (células/µL)
Pacientes(%)
Watz H, et al. Lancet Respir Med. 2016 May;4(5):390-8.
Estratégia Global para o Diagnóstico,
Tratamento e Prevenção da DPOC,
Iniciativa Global para a Doença Pulmonar
Obstrutiva Crônica (GOLD), 2016.
Disponível em: http://www.goldcopd.org/.
Consequências das
exacerbações da DPOC
Impacto negativo
na qualidade de
vida
Impacto nos
sintomas e na
função
pulmonar
Declínio
acelerado da
função pulmonar
Aumento da
mortalidade
Aumento dos
custos
econômicos
EXACERBAÇÕES
Global Strategy for Diagnosis, Management and Prevention of COPD
Combined Assessment of COPD
© 2014 Global Initiative for Chronic Obstructive Lung Disease
Risk
(GOLDClassificationofAirflowLimitation))
Risk
(Exacerbationhistory)
≥ 2
or
> 1 leading
to hospital
admission
1 (not leading
to hospital
admission)
0
Symptoms
(C) (D)
(A) (B)
CAT < 10
4
3
2
1
CAT > 10
Breathlessness
mMRC 0–1 mMRC > 2
Patient Characteristic Spirometric
Classification
Exacerbations
per year
CAT mMRC
A
Low Risk
Less Symptoms
GOLD 1-2 ≤ 1 < 10 0-1
B
Low Risk
More Symptoms
GOLD 1-2 ≤ 1 > 10 > 2
C
High Risk
Less Symptoms
GOLD 3-4 > 2 < 10 0-1
D
High Risk
More Symptoms
GOLD 3-4 > 2 > 10
> 2
Global Strategy for Diagnosis, Management and
Prevention of COPD
Combined Assessment
of COPD
When assessing risk, choose the highest risk
according to GOLD grade or exacerbation
history. One or more hospitalizations for COPD
exacerbations should be considered high risk.)
© 2014 Global Initiative for Chronic Obstructive Lung Disease
• Alívio dos sintomas
• Prevenir a progressão da doença
• Melhorar tolerância ao exercício
• Melhorar estado de saúde
• Prevenir e tratar complicações
• Prevenir e tratar exacerbações
• Reduzir mortalidade
Objetivos do Tratamento da DPOC
ENFÂSE VARIA DE ACORDO COM A GRAVIDADE
GOLD: Tratamento Subsequente
Recomendado de DPOC Estável
Estratégia Global para o Diagnóstico, Tratamento e Prevenção da DPOC, Iniciativa Global para a Doença Pulmonar
Obstrutiva Crônica (GOLD), 2016. Disponível em: http://www.goldcopd.org/.
Exacerbações/ano
>2
1
0
mMRC 0-1
CAT <10
GOLD 4
mMRC >2
CAT >10
GOLD 3
GOLD 2
GOLD 1
A B
DC
LAMA
ou
LABA
ou
SABA e SAMA
LAMA e LABA
ou
LAMA e PDE-4
ou
LABA e PDE-4
ICS + LABA
e LAMA
ou
ICS + LABA e PDE-4
ou
LAMA e LABA
ou
LAMA e PDE-4
LABA ou
LAMA ou
LAMA e LABA
DPOC
A escolha do dispositivo é fundamental para o bom
resultado
Orientar e checar a técnica de uso nas consultas
IV: Muito GraveIII: GraveII: ModeradaI: Leve
Tratamento em cada estágio da DPOC
 VEF1/CVF < 70%
 VEF1 > 80% predito
 VEF1/CVF < 70%
 50% < VEF1 < 80%
predito
 VEF1/CVF < 70%
 30% < VEF1 < 50%
predito
 VEF1/CVF < 70%
 VEF1 < 30% predito
ou VEF1 < 50% predito
+falência respiratória
crônica
Adicione tratamento regular com um ou mais broncodilatadores de
longa ação(quando necessário); reabilitação
Adicione corticóides inalados se ocorrer
repetidas exacerbações - Terapia Combinada
Redução dos fatores de risco; vacinação anti-influenza
Adicione broncodilatador de curta ação (quando necessário)
Adicione oxigenoterapia
se falência respiratoria
crônica. Considerar
tratamento cirúrgico
Considerar
Roflumilast
Oxigenoterapia Domiciliar
 A decisão da
oxigenoterapia deve
ser avaliada com
base em valores de
pO2 na gasometria
repetidos duas vezes
no intervalo de três
semanas no paciente
estável.
Quando usar CI+LABA+LAMA
 Paciente exacerbador frequente
 ACOS
 Provavelmente com eosinofilia
O presente e o futuro
LAMAs
• Tiotrópio
• Glicopirrônio (NVA237)
• Brometo de umeclidínio
• Brometo de aclidínio
LABAs
• Olodaterol
• Indacaterol
• Vilanterol
• Carmoterol
• Formoterol
• Salmeterol
Combinações Fixas
- Indacaterol/ glicopirrônio (QVA149)
- Olodaterol/ tiotrópio
-Umeclidínio/ vilanterol
Formoterol/aclidínio
-Formoterol/glicopirrolato
Exacerbações
 Evento agudo caracterizado pela piora do padrão dos sintomas
respiratórios do paciente
 Desencadeadas principalmente por infecções respiratórias
 Outros fatores desencadeantes: elevados níveis de poluição
ambiental, mudanças de temperatura, hiper-reatividade
brônquica, drogas depressoras do centro respiratório, IC, TEP e
pneumotórax
 O diagnóstico deve ser feito exclusivamente pela clínica
Exacerbações
 Tratar fatores associados (Infecção, TEP, pneumotórax, ICC)
 Melhorar oxigenação do paciente (manter entre 88-92%)
 Diminuir a resistência das vias aéreas (broncodilatadores,
corticoides e fisioterapia respiratória)
 Melhorar a função da musculatura respiratória (suporte
ventilatório não invasivo, nutrição adequada, ventilação
mecânica)

Aula 10 doenças obstrutivas dpoc

  • 1.
    Doença Pulmonar Obstrutiva Crônica(DPOC) Prof. Dr. Alcindo Cerci Neto PUCPR – Campus Londrina
  • 2.
    Definição Doença comum, previnívele tratável, caracterizada por sintomas respiratórios persistentes e limitação ao fluxo de ar, causada por anormalidades de vias aéreas e/ou alveolares, geralmente causada por exposição significativa a gases ou partículas nocivas. ( GOLD 2017)
  • 3.
    Epidemiologia Acomete a populaçãomundial Aumento da prevalência nas últimas décadas Geralmente 5a e 6a década de vida 4a causa de morte nos EUA Atualmente prevalência semelhante entre homens e mulheres
  • 4.
    Prevalência da DPOCna América Latina A prevalência de VEF1/CVF< 0,70 pós-broncodilatador aumenta com a idade em 5 cidades Latino Americanas. Fonte : Menezes AM et al. Lancet 2005 2006 0 5 10 15 20 25 30 35 40-49 50-59 60 ou > 60 São Paulo Santiago Chile Cidade do México Montevideo Caracas % Faixa de Idade
  • 5.
    Mudança em percentualdas taxas de mortalidade ajustadas a idade – USA , 1965-1998 0 0.5 1.0 1.5 2.0 2.5 3.0 Relacionadas as taxas de 1965 0.0 0.5 1.0 1.5 2.0 2.5 3.0 1965 - 1998 1965 - 1998 1965 - 1998 1965 - 1998 1965 - 1998 –59% –64% –35% +163% –7% Doença coronariana AVC Outras doenças cardio- vasculares DPOC Outras causas Source: NHLBI/NIH/DHHS
  • 6.
    Fumaça de Cigarro Póe gases ocupacional Tabagismo passivo Poluição ambiental Nutrição Infecções Condição Socioeconômica Envelhecimento Populacional Fatores de Risco para DPOC
  • 7.
    Ação do Tabagismo Estímuloà produçaão de muco e hipertrofia de glândulas submucosas Redução dos movimentos ciliares Ativação de macrófagos (IL-8) Ativação de neutrófilos Inibição da alfa-1-antitripsina
  • 8.
    Fisiopatologia Resposta inflamatória exacerbadae crônica Destruição progressiva do parênquima pulmonar e estresse oxidativo Intenso e repetitivo processe de lesão e reparação das vias aéreas Alterações estruturais
  • 9.
    Fisiopatologia Obstrução e perdada elasticidade pulmonar Hiperinsuflação Distúrbio V/Q Retenção progressiva de CO2 Cor pulmonale
  • 10.
    INFLAMAÇÃO NA DPOC Doençadas pequenas vias aéreas Inflamação das vias aéreas Remodelamento das vias aéreas Destruição do parênquima Ruptura das ligações alveolares Redução do recolhimento elástico LIMITAÇÃO AO FLUXO AÉREO
  • 11.
    Professor Peter J.Barnes, MD National Heart and Lung Institute, London UK
  • 12.
    INFLAMAÇÃO DO PULMÃO Fatoresindividuais Amplificação dos mecanismos Patologia da DPOC ProteinasesStress oxidativo Anti-proteinasesAnti-oxidantes Mecanismos de reparo Fumaça de cigarro Fumaça de Biomassa Gases Particulados Patogênese da DPOC Source: Peter J. Barnes, MD
  • 13.
    Destruição da paredealveolar Perda da elasticidade Destruição do leito capilar ↑ Células inflamatórias macrófagos, CD8+ linfócito Source: Peter J. Barnes, MD Modificações do Parênquima Pulmonar na DPOC
  • 15.
    Hipóxia crônica Vasoconstricção pulmonar Muscularização Hiperplasiada Intima Fibrose Obliteração vascular Hipertensão pulmonar Cor pulmonale Morte Edema Hipertensão Pulmonar na DPOC Source: Peter J. Barnes, MD
  • 17.
    Mastócitos CD4+ cell (Th2) Eosinófilos Alérgenos Células epitélio ASMA Broncoconstrição Hiperresponsividade Alv macrófagoEp cells CD8+ cell (Tc1) Neutrófilos Fumaça de cigarro Redução calibre pequenas vias e Destruição alveolar DPOC Reversível IrreversívelLimitação do fluxo aéreo Source: Peter J. Barnes, MD
  • 18.
    Professor Peter J.Barnes, MD National Heart and Lung Institute, London UK
  • 19.
    Entidades Patológicas  BRONQUITE CRÔNICA ENFISEMA PULMONAR  ASMA BRÔNQUICA
  • 20.
    Tipos Histológicos  Abronquite crônica é definida clinicamente pela presença de tosse e expectoração na maioria dos dias por no mínimo três meses/ano durante dois anos consecutivos (clinico).  O enfisema pulmonar é definido anatomicamente como aumento dos espaços aéreos distais ao bronquíolo terminal, com destruição das paredes alveolares (AP).
  • 22.
    Obstrução ao fluxo aéreo Efeitos cardiovasculares Alterações musculares Efeitos nometabolismo ósseo Anormalidades nutricionais Efeitos sistêmicos da DPOC
  • 23.
    DPOC INSUFICIÊNCIA RESPIRATÓRIA ALTERAÇÕES MUSCULARES TOLERÂNCIA AO EXERCÍCIO QUALIDADE DE VIDA •SEDENTARISMO • DESNUTRIÇÃO • INFLAMAÇÃO SISTÊMICA • HIPÓXIA • EXTRESSE OXIDATIVO • CORTICOTERAPIA • HORMÔNIOS ANABÓLICOS Mecanismos da disfunção muscular Gosker, Am J Clin Nut 2000
  • 24.
    Rabe, N Engl JMed, 2007 Cardiovascular: 27%
  • 25.
    DPOC e alteraçõesósseas • Não há grandes estudos epidemiológicos que investigaram esta associação em pacientes com DPOC em diferentes estádios da doença • Entretanto os dados disponíveis mostram que:  35 a 72% têm osteopenia  36 a 60% têm osteoporose
  • 26.
    SINTOMAS Tosse Expectoração Dispnéia EXPOSIÇÃO A FATORES DERISCO Tabagismo Ocupação Poluição extra e intradomiciliar ESPIROMETRIA Diagnóstico da DPOC e
  • 27.
  • 28.
    DIAGNÓSTICO História Exame físico Normal / quase Hiperinsuflação Murmúrio vesicular diminuído Sinaisde cor pulmonale mMRC-CAT Tabagismo Tosse Dispnéia Sibilos Exposição
  • 29.
  • 30.
  • 31.
    DIAGNÓSTICO História Exame físico Normal / quase Hiperinsuflação Murmúrio vesicular diminuído Sinaisde cor pulmonale mMRC-CAT Radiografia de tórax Excluir outras doenças Bolhas Hiperinsuflação Tabagismo Tosse Dispnéia Sibilos Exposição
  • 38.
    DIAGNÓSTICO História Exame físico Normal / quase Hiperinsuflação Murmúrio vesicular diminuído Sinaisde cor pulmonale mMRC-CAT Radiografia de tórax Excluir outras doenças Bolhas Hiperinsuflação Espirometria VEF1 / CVF < 70% VEF1, CVF Tabagismo Tosse Dispnéia Sibilos Exposição Variação VEF1 no mesmo dia e dias distintos = 140 e 170 ml CVF = 6 segundos
  • 39.
    Spirometry: Normal TraceShowing FEV1 and FVC 1 2 3 4 5 6 1 2 3 4 Volume,liters Time, sec FVC5 1 FEV1 = 4L FVC = 5L FEV1/FVC = 0.8 © 2014 Global Initiative for Chronic Obstructive Lung Disease
  • 40.
    Spirometry: Obstructive Disease Volume,liters Time,seconds 5 4 3 2 1 1 2 3 4 5 6 FEV1 = 1.8L FVC = 3.2L FEV1/FVC = 0.56 Normal Obstructive © 2014 Global Initiative for Chronic Obstructive Lung Disease
  • 41.
  • 42.
    DIAGNÓSTICO História Exame físico Normal / quase Hiperinsuflação Murmúrio vesicular diminuído Sinaisde cor pulmonale mMRC-CAT Radiografia de tórax Excluir outras doenças Bolhas Hiperinsuflação Espirometria Gasometria arterial (se SpO2  90%) VEF1 / CVF < 70% VEF1, CVF Hipoxemia Hipercapnia Tabagismo Tosse Dispnéia Sibilos Exposição
  • 43.
    Risco de Exacerbações Exacerbações: evento agudo que ocasiona a piora dos sintomas respiratórios do paciente e leva a ajuste de terapêutica.  Para avaliar o risco de exacerbação, utilizar a história de exacerbações prévias e espirometria  Baixo risco: no máximo uma exacerbação ao ano sem hospitalização.  Alto risco: qualquer hospitalização por exacerbação ou dois episódios ou mais de exacerbação por ano.
  • 44.
    Estudo WISDOM (análisepost-hoc): Distribuição de eosinófilos no sangue Distribuição de eosinófilos (células/μL) na triagem (conjunto tratado)16 15 14 13 12 11 10 9 8 7 6 5 4 3 2 1 0 Eosinófilos na triagem (células/µL) Pacientes(%) Watz H, et al. Lancet Respir Med. 2016 May;4(5):390-8.
  • 45.
    Estratégia Global parao Diagnóstico, Tratamento e Prevenção da DPOC, Iniciativa Global para a Doença Pulmonar Obstrutiva Crônica (GOLD), 2016. Disponível em: http://www.goldcopd.org/. Consequências das exacerbações da DPOC Impacto negativo na qualidade de vida Impacto nos sintomas e na função pulmonar Declínio acelerado da função pulmonar Aumento da mortalidade Aumento dos custos econômicos EXACERBAÇÕES
  • 46.
    Global Strategy forDiagnosis, Management and Prevention of COPD Combined Assessment of COPD © 2014 Global Initiative for Chronic Obstructive Lung Disease Risk (GOLDClassificationofAirflowLimitation)) Risk (Exacerbationhistory) ≥ 2 or > 1 leading to hospital admission 1 (not leading to hospital admission) 0 Symptoms (C) (D) (A) (B) CAT < 10 4 3 2 1 CAT > 10 Breathlessness mMRC 0–1 mMRC > 2
  • 47.
    Patient Characteristic Spirometric Classification Exacerbations peryear CAT mMRC A Low Risk Less Symptoms GOLD 1-2 ≤ 1 < 10 0-1 B Low Risk More Symptoms GOLD 1-2 ≤ 1 > 10 > 2 C High Risk Less Symptoms GOLD 3-4 > 2 < 10 0-1 D High Risk More Symptoms GOLD 3-4 > 2 > 10 > 2 Global Strategy for Diagnosis, Management and Prevention of COPD Combined Assessment of COPD When assessing risk, choose the highest risk according to GOLD grade or exacerbation history. One or more hospitalizations for COPD exacerbations should be considered high risk.) © 2014 Global Initiative for Chronic Obstructive Lung Disease
  • 48.
    • Alívio dossintomas • Prevenir a progressão da doença • Melhorar tolerância ao exercício • Melhorar estado de saúde • Prevenir e tratar complicações • Prevenir e tratar exacerbações • Reduzir mortalidade Objetivos do Tratamento da DPOC ENFÂSE VARIA DE ACORDO COM A GRAVIDADE
  • 49.
    GOLD: Tratamento Subsequente Recomendadode DPOC Estável Estratégia Global para o Diagnóstico, Tratamento e Prevenção da DPOC, Iniciativa Global para a Doença Pulmonar Obstrutiva Crônica (GOLD), 2016. Disponível em: http://www.goldcopd.org/. Exacerbações/ano >2 1 0 mMRC 0-1 CAT <10 GOLD 4 mMRC >2 CAT >10 GOLD 3 GOLD 2 GOLD 1 A B DC LAMA ou LABA ou SABA e SAMA LAMA e LABA ou LAMA e PDE-4 ou LABA e PDE-4 ICS + LABA e LAMA ou ICS + LABA e PDE-4 ou LAMA e LABA ou LAMA e PDE-4 LABA ou LAMA ou LAMA e LABA
  • 50.
    DPOC A escolha dodispositivo é fundamental para o bom resultado Orientar e checar a técnica de uso nas consultas
  • 51.
    IV: Muito GraveIII:GraveII: ModeradaI: Leve Tratamento em cada estágio da DPOC  VEF1/CVF < 70%  VEF1 > 80% predito  VEF1/CVF < 70%  50% < VEF1 < 80% predito  VEF1/CVF < 70%  30% < VEF1 < 50% predito  VEF1/CVF < 70%  VEF1 < 30% predito ou VEF1 < 50% predito +falência respiratória crônica Adicione tratamento regular com um ou mais broncodilatadores de longa ação(quando necessário); reabilitação Adicione corticóides inalados se ocorrer repetidas exacerbações - Terapia Combinada Redução dos fatores de risco; vacinação anti-influenza Adicione broncodilatador de curta ação (quando necessário) Adicione oxigenoterapia se falência respiratoria crônica. Considerar tratamento cirúrgico Considerar Roflumilast
  • 52.
    Oxigenoterapia Domiciliar  Adecisão da oxigenoterapia deve ser avaliada com base em valores de pO2 na gasometria repetidos duas vezes no intervalo de três semanas no paciente estável.
  • 53.
    Quando usar CI+LABA+LAMA Paciente exacerbador frequente  ACOS  Provavelmente com eosinofilia
  • 54.
    O presente eo futuro LAMAs • Tiotrópio • Glicopirrônio (NVA237) • Brometo de umeclidínio • Brometo de aclidínio LABAs • Olodaterol • Indacaterol • Vilanterol • Carmoterol • Formoterol • Salmeterol Combinações Fixas - Indacaterol/ glicopirrônio (QVA149) - Olodaterol/ tiotrópio -Umeclidínio/ vilanterol Formoterol/aclidínio -Formoterol/glicopirrolato
  • 55.
    Exacerbações  Evento agudocaracterizado pela piora do padrão dos sintomas respiratórios do paciente  Desencadeadas principalmente por infecções respiratórias  Outros fatores desencadeantes: elevados níveis de poluição ambiental, mudanças de temperatura, hiper-reatividade brônquica, drogas depressoras do centro respiratório, IC, TEP e pneumotórax  O diagnóstico deve ser feito exclusivamente pela clínica
  • 56.
    Exacerbações  Tratar fatoresassociados (Infecção, TEP, pneumotórax, ICC)  Melhorar oxigenação do paciente (manter entre 88-92%)  Diminuir a resistência das vias aéreas (broncodilatadores, corticoides e fisioterapia respiratória)  Melhorar a função da musculatura respiratória (suporte ventilatório não invasivo, nutrição adequada, ventilação mecânica)