Doenças do
sistema
respiratório
Prof. Me. Aroldo
Gavioli
REVISÃO DE
ANATOMIA E
FISIOLOGIA
Sistema  respiratório
Sistema  respiratório
Cavidade Nasal
Cavidade Nasal
Faringe
Laringe
Traquéia
Brônquios e Bronquíolos
Alvéolos
Pulmonares
Pleuras
Pleura
visceral
Pleura
parietal
Ventilação
Respiração
MANUTENÇÃO DO EQUILÍBRIO ÁCIDO-BASE
Sistema Respiratório:
Hiperventilação
CO2 + H2O H⇔ 2CO3 H⇔ +
+ HCO3
-
Hipoventilação
CO2 + H2O H⇔ 2CO3 H⇔ +
+ HCO3
Aumento da [H+
]
7,4
Acidose
Alcalose
Queda do pH
Acúmulo de ácidos
Acúmulo de bases
Perda de ácidos
Perda de bases
Diminuição da [H+
]
Escala de pH
Aumento do pH
Alterações no pH
Sistema Hemoglobina
 Realiza o transporte de gases respiratórios e efeito
tampão;
• O pH do sangue venoso é ligeiramente mais baixo do que o do sangue
arterial;
 O efeito tampão evita que a concentração de H+
varie de
forma brusca, provocando variações de acidez .
Sangue arterial: 7,36 a 7,44
Sangue venoso: 7,44 a 7,46
HbH H+
+ Hb-
 O CO2 (tec.)  H2CO3  H+ e HCO3-.
 O bicarbonato é transportado aos pulmões e o H+ se liga a Hb.
Doenças do aparelho respiratório
Sinais e sintomas das 
doenças respiratórias
DISPNEIA
Tosse
escarro
Dor torácica
sibilos
Baquetamento dos dedos ou
hipocratismo digital
Hemoptise
cianose
DISTÚRBIOS DO TRATO 
RESPIRATÓRIO SUPERIOR
Infecções das Vias Aéreas 
Superiores (IVAS)
RINITES Infecções da cavidade nasal
SINUSITES 
Infecções dos seios 
paranasais
FARINGITES Infecções da faringe
 TONSILITES
Infecções das tonsilas 
palatinas
ADENOIDITES  Infecções da adenoide
LARINGITES Infecções da laringe
RINITE
SINUSITE
Inflamação dos seios paranasais, resultante
de uma infecção respiratória alta não-
resolvida.
Sinais e sintomas:
FARINGITE
Inflamação febril da garganta causada por vírus
(70% dos casos).
Faringite crônica:Faringite crônica:
Amigdalite - tonsilite
ADENOIDITE
A infecção pode evoluir para:
Otite média aguda.
Ruptura espontânea do tímpano, provocando mastoidite
aguda e num processo crônico provocar surdez
permanente.
LARINGITE
Inflamação da laringe.
Uso abusivo da voz ou por exposição à poeira,
produtos químicos, fumaça, ou como parte de uma
infecção do trato respiratório superior.
A causa é quase sempre viral.
O início da infecção pode estar associado com a
exposição súbita às alterações da temperatura, às
deficiências dietéticas, à desnutrição e a falta de
imunidade.
Comum no inverno, facilmente transmitida.
Sinais e sintomas:
Rouquidão ou afonia.
Tosse intensa.
CUIDADOS DE
ENFERMAGEM
DOENÇAS DO TRATO
RESPIRATÓRIO SUPERIOR
Cuidados de enfermagem
(Rinite)
Cuidados de enfermagem
(Sinusite)
Promover a drenagem
sinusal pelo aumento
da umidade do
ambiente (inalar vapor).
Aumentar a ingestão
hídrica.
Aplicar calor local
(compressas de água
quente).
Cuidados de enfermagem
(Faringite)
Cuidados de enfermagem
(laringite)
Cuidados de enfermagem (Tonsilite e
Adenoidite)
Cuidados de enfermagem
Cuidados de enfermagem
Exercício:
•Concurso Enfermeiro - CISMEPAR 2011
•As infecções das vias aéreas superiores (IVAS) são um dos problemas mais
comuns encontrados em serviços de saúde. Em relação a esta patologia,
informe se é (V) verdadeiro ou (F) falso o que se afirma abaixo e, em seguida,
assinale a alternativa com a sequência correta.
•( ) A rinofaringite aguda abrange quadros como o do resfriado comum e ainda
outros englobados sob a denominação de rinite viral aguda. É a doença
infecciosa de vias aéreas superiores mais comum da infância.
•( ) A pneumonia é a IVAS que apresenta o quadro que requer maiores cuidados,
sendo necessário o tratamento com antimicrobianos.
•( ) Lavagem das mãos e cuidados com secreções e fômites provenientes do
paciente constituem-se medidas preventivas no controle da transmissão das
rinofaringites.
•( ) Sinusite aguda pode ser definida como infecção bacteriana dos seios
paranasais, com duração menor de 30 dias.
•(A) V – V – V – F.
•(B) F – V – V – F.
•(C) F – F – V – V.
•(D) V – V – F – F
•(E) V – F – V – V
DISTÚRBIOS DO TRATO
RESPIRATÓRIO INFERIOR
TRAQUEOBRONQUITE Infecções da traqueia
BRONQUITE Inflamação dos brônquios
ASMA Inflamação dos bronquíolos
ENFISEMA PULMONAR Inflamação dos alvéolos
DOENÇA PULMONAR
OBSTRUTIVA CRÔNICA
Infecção crônica dos
brônquios
PNEUMONIA
Infecção nos pulmões
TUBERCULOSE PULMONAR
TRAQUEOBRONQUITE
BRONQUITE
ASMA
Transpiração excessiva
devida a hiperatividade do
SNS.
Ou dermatite. Qualquer
inflamação da pele.
Erupções cutâneas em
consequência de
doenças agudas
ENFISEMA
Enfisema Pulmonar
Fisiopatologia
Imagens do Cor Pulmonale
Hipertrofia do VD Paciente crônico
DOENÇA PULMONAR OBSTRUTIVA
CRÔNICA (DPOC)
Fisiopatologia
PNEUMONIA
Fisiopatologia
Sinais e sintomas:
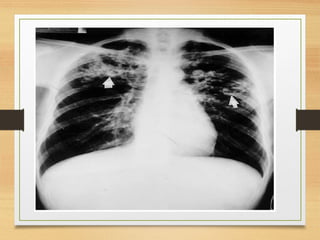
TUBERCULOSE
Baciloscopia de escarro
CUIDADOS DE
ENFERMAGEM
Trato
respiratório
Inferior
Cuidados de enfermagem
Outras
Complicações
ATELECTASIA
A atelectasia pode ocorrer:
BRONQUIECTASIA
Sinais e sintomas:
EMBOLIA PULMONAR
Sinais e sintomas:
 Dispnéia
 Taquipnéia
 Dor torácica súbita
 Febre
 Diaforese
 Taquicardia
 Síncope
 Tosse
 Hemoptise
 Morte súbita – parada cardiorrespiratória (AESP 5T)
DERRAME PLEURAL
Sinais e sintomas:
Nível líquido
Derrame
pleural
Área
Cardíaca
aproximada
EDEMA PULMONAR
Sinais e sintomas:
Angústia respiratória
crescente
Aerofagia
Cianose dos lábios e
unhas
Tosse
Confusão e letargia
INSUFICIÊNCIA RESPIRATÓRIA AGUDA (IRA)
 É a condição clínica na qual o sistema respiratório não consegue
manter os valores da pressão arterial de oxigênio (PaO2) e/ou
da pressão arterial de gás carbônico (PaCO2) dentro dos
limites da normalidade, para determinada demanda metabólica.
INSUFICIÊNCIA RESPIRATÓRIA
AGUDA (IRA)
INSUFICIÊNCIA RESPIRATÓRIA
AGUDA (IRA)
Sinais e sintomas:
SÍNDROME DA ANGÚSTIA
RESPIRATÓRIA AGUDA
Sinais e sintomas:
Dispnéia grave
Respiração laboriosa
Taquipnéia
HIPERTENSÃO PULMONAR
Sinais e sintomas:
Dispnéia
Dor torácica
Fraqueza
Fadiga
Desmaio
Sinais de insuficiência cardíaca (edema
periférico, ascite, distensão das veias do
pescoço, ingurgitamento hepático).
PNEUMOTÓRAX
PNEUMOTÓRAX
Causas
Pneumotórax traumático
É aquele que resulta de um traumatismo na região do tórax
(ferimentos por faca, tiro de arma de fogo, atropelamentos,
procedimentos torácicos invasivos).
Pneumotórax hipertensivo
Decorrente de uma laceração no pulmão ou de um
pequeno orifício na parede torácica, onde o ar que entra a
cada inspiração, fica aprisionado aumentando a tensão
(pressão positiva) no espaço pleural.
Sinais e sintomas:
NEOPLASIA PULMONAR
Causas
Sinais e sintomas: O câncer de pulmão geralmente é
insidioso, assintomático e depende da localização e
tamanho do tumor, do grau de obstrução e da existência
de metástase.
 Tosse ou alteração nas características de uma tosse
crônica
 Ronco – obstrução brônquica pelo tumor
 Dispnéia
 Hemoptise
 Febre
 Dor torácica ou no ombro
Cuidados de enfermagem
Cuidados de enfermagem
Cuidados de enfermagem
Cuidados de enfermagem
Cuidados de enfermagem
(Derrame pleural)
Cuidados de enfermagem
OxigenoterapiaOxigenoterapia
Oxigenoterapia
Cuidado em oxigenoterapia
Cateter nasal tipo óculos
Cateter nasal tipo óculos
Cateter nasal tipo óculos
Desvantagens:
Requer a respiração pelo nariz.
Quantidade de oxigênio oferecida é incerta.
Pouco oxigênio é suprido se o paciente respira
pela boca.
Irritação e ressecamento da mucosa nasal e
faríngea.
Fluxos muito altos podem causar dor nos seios
frontais.
Uso prolongado causa incômodo para o paciente.
Máscara de venturi
Máscara de venturi
Máscaras de alta concentração de
Oxigênio
Máscara Hudson
Válvula unidirecional sem
reinalação
Impede a reinalação através de válvulas unidirecionais
 Concentração de O2: 80 a 95 %
 Fluxo de O2: 10 a 15 L.
 Indicada no pac. grave IRA
Bolsa de reanimação manual
(AMBÚ)
Bolsa de reanimação manual
(AMBÚ)
 Fornece alta concentração de O2 ao paciente com
esforço inspiratório insuficiente. Geralmente utilizado na
parada cardiorespiratória, hiperinsuflação durante a
aspiração ou transporte de paciente dependentes de
respirador.
 Com máscara, utiliza a via aérea superior, fornecendo
oxigênio pela boca e nariz do paciente.
 Sem a máscara, o adaptador encaixa-se no tubo
endotraqueal ou de traqueostomia.
Ventilador mecânico
Cânula de traqueostomia
Cânula de traqueostomia
Cânula de traqueostomia
Cuidados de enfermagem
 Manter a permeabilidade da cânula através de aspiração
frequente e umidificarão adequada do ar inspirado;
 Manter a cânula fixa;
 Manter o curativo da traqueostomia e cadarço sempre limpos;
 Observar as condições da traqueostomia, qualquer
anormalidade comunicar ao médico;
 Controlar e observar o padrão respiratório do paciente;
 Lavar a cânula do traqueostomia sempre que suspeitar de
obstrução;
 Educar o paciente para o autocuidado.
Cuidados de enfermagem
Cuidados com a Fixação da Cânula
 Ao colocar o cadarço, certifique-se que a cânula não se
desloque, solicitar a ajuda de outra pessoa para firmar
a cânula enquanto o cadarço estiver sendo posto.
 Realizar a troca do cadarço sempre que tiver sujo ou
úmido.
 Uso de avental, máscara e óculos se suspeita de
processo infeccioso pulmonar ou HIV+.
 Atenda o portador de traqueostomia colocando-se ao
seu lado, evite deixar seu rosto à frente do estoma, o
cliente pode apresentar episódio de tosse inesperado.
Cuidados de enfermagem
Traqueostomia
Dreno de tórax
Dreno de tórax
Cuidados de enfermagem
 Lavar as mãos, secar e fazer antissepsia com álcool 70%.
 Preencher o selo d´água com 500 ml de soro fisiológico
0,9%.
 Após-instalação do dreno, a mensuração dos débitos dos
drenos deverá ser feita a cada 6 hora ou intervalos
menores caso haja registros de débitos superiores a 100
ml/hora.
 A mensuração deverá ser feita colocando uma fita adesiva
ao lado da graduação do frasco, onde o técnico de
enfermagem deverá marcar com uma caneta o volume
drenado marcando também a hora da conferência.
Cuidados de enfermagem
 A troca do selo d´água deverá ser feita a cada 12h
 Clampear o dreno para que não haja entrada de ar para a
cavidade torácica e após a troca, lembrar sempre que o
dreno deve ser desclampado.
 Os curativos na inserção dos drenos devem ser trocados
diariamente utilizando os produtos preconizados pelo
Serviço de Infecção Hospitalar de cada instituição
 Colocar frasco de drenagem no piso, dentro de
suporte,próximo ao leito do paciente ou dependurá-lo na
parte inferior do leito, evitando-se desconexões acidentais
ou tombamento do frasco.
Cuidados de enfermagem
"Ordenhar" ou massagear a tubulação na direção
do frasco coletor de drenagem de 2 em 2horas ou
conforme protocolo da instituição.
Nunca elevar frasco de drenagem acima do tórax
sem ser clampeado.
Lavar as mãos após procedimento e sempre que
houver necessidade de "ordenhar" tubulação.
Referências:
SMELTEZER Suzanne C; BARE Brenda G.
BRUNER e SUDDARTH. Tratado de
Enfermagem Médico Cirúrgica. 9. ed. Rio de
Janeiro: Guanabara Koogan, 2002.
BRASIL. Ministério da Saúde. Instituto Nacional
do Câncer. Estimativa 2010: incidência de
câncer no Brasil/ Instituto Nacional do Câncer.
Rio de Janeiro: INCA, 2009.
OBRIGADO !

Doenças do sistema respiratório