Seminário: VESÍCULA BILIAR
       19/05/2011
  MR2 ROBERTO CORRÊA
Vesícula Biliar

 A vesícula biliar(VB) é uma bolsa em fundo cego
       encontrada na face inferior do fígado.
 A fossa da VB está no plano da fissura interlobar.
  Nas TCs axiais a VB aparece com uma estrutura
arredondada, com diâmetro máximo de 4-5 cm no
                 estado distendido.
    Quando contraída, a VB aparece com uma
       estrutura tubular de tamanho menor.
 A espessura normal da parede é de 1 a 3,5 mm.
Vesícula Biliar

 O realce da parede da VB é normal após o uso de
              contraste na TC ou RM.
   A densidade do lúmen da VB geralmente é a
      mesma da água(0 a 20 HU); depois da
administração EV do meio de contraste, observa-se
           aumento da densidade na TC.
Variantes e anomalias congênitas

      Agenesia da Vesícula Biliar;
     Duplicação da Vesícula Biliar;
           Capa de Phrygian;
     Vesícula Biliar Multisseptada;
             Divertículos;
        Vesícula Biliar Errante;
        Vesícula Biliar Ectópica;
   Colecistomegalia e microvesícula.
Agenesia da Vesícula Biliar

Resulta da falha no desenvolvimento da divisão
 caudal do divertículo hepático primitivo ou de
 falha na vacuolização depois da fase sólida do
         desenvolvimento embrionário;
  A atresia e a hipoplasia correspondem a uma
   interrupção do desenvolvimento do órgão;
         Agenesia: incidência de 0,02%;
   Quase 2/3 dos pacientes com agenesia tem
sintomas relacionados às vias biliares e 25-50%
      tem cálculos nas vias extra-hepáticas.
Agenesia da Vesícula Biliar

 A TC e a RM pode sugerir o diagnóstico, mas o
diagnóstico pré-operatório da agenesia da VB é
                     difícil.
A confirmação do distúrbio geralmente é através
        de colangiografia intraoperatória.
Rev. esp. enferm. dig. v.98 n.1 Madrid ene. 2006
Rev. esp. enferm. dig. v.98 n.12 Madrid dic. 2006
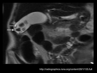
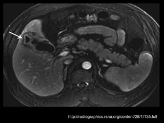
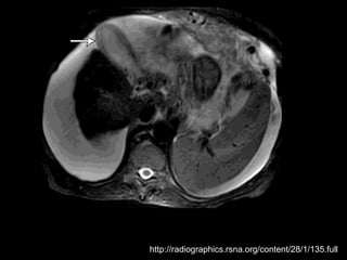
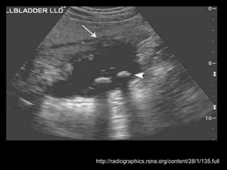
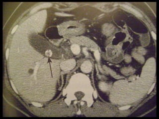
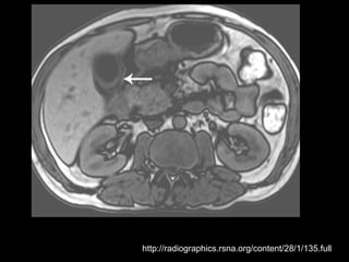
Duplicação da Vesícula Biliar

         Ocorre em 0,025% da população;
    Causada pela revacuolização incompleta da
      vesícula biliar primitiva, que resulta na
      persistência de um septo longitudinal.
A cavidade de cada vesícula precisa ter seu próprio
                    ducto cístico.
A maioria dos casos de duplicação relatados inclui
      um quadro de colecistite com cálculos.
     Várias condições podem simular vesícula
                      duplicada.
Duplicação da Vesícula Biliar

  Exemplos: VB dobrada, VB bilobada, cisto de
colédoco, líquido perivesicular, divertículo da VB,
       VB atravessada por feixe vascular e
             adenomiomatose focal;
  Complicações: torção, papiloma, carcinoma,
   obstrução do ducto comum e cirrose biliar;
Foram relatadas vesículas triplas e quádruplas!!!
http://radiographics.rsna.org/content/28/1/135.full
http://radiographics.rsna.org/content/28/1/135.full
Rev. Col. Bras. Cir. vol.30 no.6 Rio de Janeiro Nov./Dec. 2003
. Col. Bras. Cir. vol.30 no.6 Rio de Janeiro Nov./Dec. 2003
Capa de Phrygian

 A anomalia mais comum de toda a árvore biliar
consiste na septação da porção distal do fundo da
VB, que resulta em uma forma denominada Capa
                   de Phrygian;
         Ocorre em 1 a 6 % da população;
  Caracteriza-se pela presença de uma prega ou
       septo entre o corpo e o fundo da VB;
                Existem dois tipos:
              Retrosseroso ou oculto
                 Seroso ou visível
Vesícula Biliar Multisseptada

 Septações podem ocorrer em qualquer parte da
                  vesícula biliar;
  A VBM é uma VB única com múltiplos septos
        internos de tamanhos variados;
  O tamanho e a posição da VB são geralmente
normais e as câmaras comunicam-se por oriíficios
              do fundo até o cístico;
As septações levam a estase da bile e à formação
                   de cálculos.
Divertículos

Divertículos podem ocorrer em qualquer parte da
                  vesícula biliar;
São geralmente únicos e seu tamanho pode variar
                      muito;
Os congênitos são os verdadeiros e contém todas
             as camadas musculares;
   Em contraposição, os pseudodivertículos da
 adenomiose tem pouca quantidade(ou nada) de
                   músculo liso.
Vesícula Biliar Errante

A vesícula biliar pode ter um mesentério longo que
   lhe permite migrar até uma posição anômala,
     como a pelve é a chamada vesícula biliar
                flutuante ou errante;
 Pode migrar para a frente da coluna vertebral ou
 para a esquerda do abdômen e, em raros casos,
           herniar para a bolsa omental;
          Estão sujeitas a torção e volvo.
Vesícula Biliar Ectópica

    A VB pode ser encontrada em vários locais;
 A VB intra-hepática está totalmente rodeada por
  parênquima hepático e geralmente ocupa uma
localização subcapsular na face anteroinferior do
                   lobo direito;
Pode complicar o diagnóstico clínico de colecistite
aguda porque provoca poucos sinais peritoneais.
Colecistomegalia e Microvesícula

             Aumento da VB:
               1. Diabetes;
            2. Pós vagotomia;
               3. Gravidez;
          4. Anemia falciforme;
         5. Obesidade Mórbida.
Pacientes com fibrose cística: VB pequena,
     trabeculada, contraída e com mau
               funcionamento.
Condições Patológicas

   Em pacientes com disfunção renal, a excreção
   hepatobiliar do agente de contraste pode ser
significativa aumentando a densidade do lúmen da
          VB na TC ou radiografias simples;
    A hemobilia pode aumentar a densidade até
           próxima a do sangue(50-60 HU);
 Causa mais comum de aumento da densidade da
  bile: obstrução do cístico por cálculo ou tumor;
 A bile de leite de cálcio cria com frequência nível
   liq-liq e a densidade pode chegar a 1000 HU.
Cálculos Biliares

 Vários fatores afetam a aparência dos cálculos na
   TC, mas o mais importante é sua composição:
        pigmento biliar, colesterol ou cálcio.
   Até 60% dos cálculos imputados ao cálcio são
                    densos na TC;
Cálculos de colesterol puros são raros, mas podem
ter densidade menor que a bile (-100 HU in vitro);
   Os cálculos biliares podem ter, em sua matriz,
     fendas centrais com um gás composto de
  nitrogênio predominantemente, que produzem
Cálculos Biliares

O conhecido sinal da Mercedes-Benz, sinal do pé
          de galinha ou sinal da gaivota;
A fenda com gás pode contribuir para a flutuação
  desses cálculos, auxiliando em sua detecção.
      Sensibilidade da TC para cálculos: 78%
  prospectivamente e 94% retrospectivamente;
   Na RM, os cálculos biliares tendem a exibir
    intensidade de sinal baixa em T1 e em T2.
 T2 é superior a T1 para detecção dos cálculos.
http://radiographics.rsna.org/content/28/1/135.full
Colecistite aguda

Causada por obstrução do ducto cístico ou do colo
da vesícula biliar, que leva à inflamação da parede
   da VB e ao aumento da pressão intraluminal;
    Sinais e sintomas clínicos da colecistite são
     inespecíficos e em 60-85% dos pacientes
examinados em busca de colecistite foi constatado
  queos sintomas resultavam de outras causas.
A maioria dos casos(90%) é provocada por cálculos
                 biliares impactados.
Colecistite aguda

    US é a modalidade de imagem de escolha;
 Em geral, a TC é realizada para avaliar pacientes
   com suspeita de complicações do quadro de
colecistite aguda, como perfuração por exemplo.
Achados na TC: cálculos biliares, espessamento da
         parede, alterações inflamatórias
           perivesiculares, bile com alta
 atenuação, borramento da interface VB-fígado e
   aumento transitório da atenuação do fígado
                   perivesicular;
http://radiographics.rsna.org/content/28/1/135.full
http://radiographics.rsna.org/content/28/1/135.full
Colecistite Enfisematosa

   Variante pouco comum da colecistite aguda;
 Acredita-se que o comprometimento vascular da
    artéria cística desempenhe algum papel no
desenvolvimento dessa condição, com proliferação
    de microorganismos formadores de gás em
   ambiente anaeróbico e penetração do gás na
              parede da vesícula biliar;
Os organismos isolados são geralmente Clostridium
           perfringens e Escherichia coli.
Colecistite Enfisematosa

Difere muito da colecistite aguda comum, o que
        sugere uma patogênese diferente.
 As diferenças consistem na incidência maior em
 homens(até 71%), na ocorrência frequente em
  pacientes diabéticos(até 50%), na ausência de
cálculos biliares em até um terço dos pacientes e
     em um risco maior de gangrenamento e
           perfuração da vesícula biliar.
Colecistite Enfisematosa

Na revisão da patologia dessa doença, as vesículas
biliares com colecistite enfisematosa apresentaram
 uma incidência maior de endarterite obliterante.
    A taxa de mortalidade é de 15%, enquanto a
     colecistite aguda não complicada é de 4%.
 No caso de colecistite enfisematosa, é necessária
         uma intervenção cirúrgica imediata.
 A TC é mais sensível e específica que a US e o RX
                       simples.
Complicações da colecistite aguda

  Colecistite Hemorrágica
  Colecistite Gangrenosa
Perfuração da Vesícula Biliar
Colecistite Hemorrágica
 Complicação pouco comum da colecistite aguda;
Quando há cálculos, presume-se que a hemorragia
    resulta de inflamação que causa ulceração e
                 necrose da mucosa;
Clinicamente: cólica biliar, icterícia, hematêmese e
 melena. Em raros casos, os pacientes podem ter
     sangramento gastrointestinal alto maciço,
        hemoperitôneo ou obstrução do DC.
     Nos pacientes com colecistite acalculosa, a
   hemorragia pode advir de tumor, aneurisma,
 traumatismo, anticoagulante ou tecido ectópico.
Colecistite Hemorrágica
Além dos achado relativos à colecistite aguda, a TC
pode mostrar hematoma intraluminal ou bile com
densidade aumentada e presença de nível líquido-
                       líquido;
 Hemoperitôneo ou dilatação dos DIH podem ser
  observados quando associada à perfuração da
 vesícula biliar ou à obstrução do DC causada por
                      hemobilia;
   Na RM, a hemorragia subaguda geralmente é
                  brilhante em T1.
Colecistite Gangrenosa
    Incidência: 2 a 29,6% em séries cirúrgicas;
 Mas comum em homens, em idosos e naqueles
     com doença cardiovascular coexistente;
   Mecanismos propostos: reação inflamatória
 química da mucosa provocada por sais biliares e
distensão progressiva do lúmen da VB que leva ao
            comprometimento vascular;
      Indicação de colecistite de emergência;
              Maior taxa de conversão
Colecistite Gangrenosa
      Achados na TC:
 Membranas intraluminais;
 Hemorragia para o lúmen;
Parede irregular ou ausente;
  Abscesso perivesicular;
     Gás lúmen/parede.
    Sensibilidade: 29,3%
    Especificidade: 96%
      Acurácia: 86,7%
Perfuração
  A gangrena da VB pode levar à perfuração, com
  incidência de 8,3 a 11,9%; mortalidade 6-70%;
 Outras causas de perfuração: colecistite crônica,
    colelitíase, trauma, neoplasia, esteroides e
             comprometimento vascular;
            Local mais acometido: fundo;
     1. Perfuração livre para a cavidade(40%);
    2. Perfuração subaguda com abscesso(4%);
3. Perfuração crônica com fístula colecistoentérica
Perfuração
                   Achados na TC
 1. Interrupção da parede da vesícula biliar ou a
          presença de um defeito focal;
2. Pode-se observar um cálculo fora do lúmen da
                         VB;
3. Formação de abscesso perivesicular restrita à
                        fossa.
   A TC auxilia na avaliação complementar e na
    determinação mais precisa da extensão da
                    inflamação
Colecistite acalculosa
  Condição pouco frequente, mas clinicamente
   grave, encontrada em cerca de 5% de todos
pacientes que se submetem a uma colecistectomia
  Ocorre em pacientes com doença prolongada,
     como aqueles com traumatismo ou longa
               internação em CTI;
 O aumento da viscosidade da bile decorrente de
   estase, com obstrução do cístico e isquemia
 damucosa subsequentes, pode ser um fator que
        contribui para seu aparecimento.
Colecistite acalculosa
Em muitos casos, a US é inconclusiva porque esses
pacientes tem vesículas distendidas e espessadas,
   mesmo na ausência de inflamação e o sinal de
     Murphy ultrassonográfico não é confiável;
  A TC pode ser mais específica quando o US não
              fornece o diagnóstico.
A intervenção cirúrgica é cogitada porque a taxa de
complicações e mortalidade é maior na colecistite
           acalculosa que na calculosa.
Colecistite crônica

Quase sempre associada a cálculos biliares, porém
       a patogênese dessa doença é pouco
                  compreendida;
A ocorrência de resposta inflamatória exuberante e
geneticamente determinada na vesícula biliar ou a
  presença de bile com composição anormal que
 leva à lesão química da mucosa e à formação de
cálculos compõe uma hipótese possível, mas até o
              momento não provada.
Colecistite crônica
Os achados relativos à colecistite crônica vistos na
TC e na RM podem ser similiares aos da colecistite
 aguda, como cálculos biliares e espessamento e
realce da parede. Os últimos 2 achados podem ser
   confundidos com carcinoma, na ausência de
                     cálculo;
A TC pode mostrar achados mínimos necessária
         a correlação clínica é necessária.
 O diagnóstico com frequência requer técnicas de
medicina nuclear, principalmente para avaliar a FE
                      da VB.
http://radiographics.rsna.org/content/28/1/135.full
Colecistite Xantogranulomatosa
   Forma pouco comum de colecistite crônica;
   Quase sempre associada a cálculos e a graus
                variados de fibrose;
Patogênese incerta, entretanto, foi sugerido que a
 presença de úlceras na mucosa ou a ruptura dos
seios de RA, juntamente com a obstrução do fluxo
 de saída por cálculos biliares e infecção, levam a
    bile a penetrar na parede da VB e a formar
                 xantogranulomas
Colecistite Xantogranulomatosa
                       Na TC:
 Os cálculos biliares e o espessamento irregular
semelhante a uma massa da parede da VB são as
          anormalidades mais comuns.
    Vários estudos relataram que os nódulos
    hipoatenuantes intramurais vistos na TC
representam uma lesão xantogranulomatosa, um
     abscesso ou a combinação de ambos;
Realce da superfície luminal(70%) correspondia à
       presença de uma camada epitelial.
Colecistite Xantogranulomatosa
O radiologista deve distinguir entre a colecistite
 xantogranulomatosa e o carcinoma da vesícula
                     biliar
           Linha de mucosa evidente
          Realce da superfície luminal
Nódulos intramurais hipoatenuantes(TC) ou com
                sinal alto(RM T2)
http://radiographics.rsna.org/content/28/1/135.full
http://radiographics.rsna.org/content/28/1/135.full
http://radiographics.rsna.org/content/28/1/135.full
Complicações da Colecistite Crônica


         1. Síndrome de Mirizzi;
              2. Íleo Biliar;
     3. Vesícula Biliar em Porcelana.
http://radiographics.rsna.org/content/28/1/135.full
Neoplasias da Vesícula Biliar

Com exceção dos adenomas, as neoplasia benignas
 da VB são raras, embora já tenham sido relatados
      diversos tumores epiteliais e estromais;
   Os adenomas são com frequência pequenos e
 assintomáticos, geralmente descobertos ao acaso
 em uma colecistectomia, com incidência de 0,5%;
 Quando grande o suficiente, pode aparecer na TC
ou RM como uma lesão polipoide na parede da VB.
Carcinoma da Vesícula Biliar

   O adenocarcinoma é o tipo histológico mais
                 comum(85-90%);
O pico da incidência é na sexta e sétima década de
 vida e as mulheres são mais acometidas que os
           homens na proporção de 2:1;
   Fatores de risco: genéticos; cálculos biliares,
   presença de junção ductal pancreaticobiliar
anormal congênita e vesícula biliar em porcelana.
Carcinoma da Vesícula Biliar
 Os achados típicos na TC incluem três padrões:
  1. Uma massa que substitui o órgão e ocupa a
                   fossa da VB;
       2. Uma massa polipoide intraluminal;
      3. Um espessamento da parede da VB.
O carcinoma da VB normalmente se dissemina por
  propagação direta para estruturas adjacentes
      como o fígado(34 a 89%), o ligamento
      hepatoduodenal, o cólon e o duodeno.
        Obstrução biliar em 50% dos casos.
Carcinoma da Vesícula Biliar
  A TC tem um papel chave no estadiamento do
               carcinoma da VB;

Acurácia global relativa a ressecabilidade: 85-93%.

Contudo, a capacidade de detectar doença inicial
está aquém da expectativas sensibilidade para
            detectar tumor T1: 33%.
http://www.pres2.com/gallbladder-cancer/
http://www.medicalecho.net/IMAGES/1JHvesneo.htm
http://www.hpblondon.com/gall-bladder-cancer/
http://www.ajronline.org/cgi/content/full/191/3/765/FIG6
Metástases para a vesícula biliar
         Mestástases para a VB são raras;
      Pode ser originadas de qualquer local;
    O melanoma é a causa mais frequente de
           metástase para a VB(50%);
  Embora a maioria das lesão seja localizada na
superfície serosa, também podem se apresentar
           como lesões endoluminais.
Foi relatada que o PET com FDG pode melhorar a
   detecção na vesícula biliar de metástases de
                    melanoma.
http://www.ispub.com/journal/the_internet_journal_of_urology/volume_6_number_1_3
7/article/unsual-gallbladder-metastasis-of-renal-cell-carcinoma-a-case-report.html
http://www.misodor.com/calculosebiliar.php

Tc vesícula biliar

  • 1.
    Seminário: VESÍCULA BILIAR 19/05/2011 MR2 ROBERTO CORRÊA
  • 2.
    Vesícula Biliar Avesícula biliar(VB) é uma bolsa em fundo cego encontrada na face inferior do fígado. A fossa da VB está no plano da fissura interlobar. Nas TCs axiais a VB aparece com uma estrutura arredondada, com diâmetro máximo de 4-5 cm no estado distendido. Quando contraída, a VB aparece com uma estrutura tubular de tamanho menor. A espessura normal da parede é de 1 a 3,5 mm.
  • 4.
    Vesícula Biliar Orealce da parede da VB é normal após o uso de contraste na TC ou RM. A densidade do lúmen da VB geralmente é a mesma da água(0 a 20 HU); depois da administração EV do meio de contraste, observa-se aumento da densidade na TC.
  • 5.
    Variantes e anomaliascongênitas Agenesia da Vesícula Biliar; Duplicação da Vesícula Biliar; Capa de Phrygian; Vesícula Biliar Multisseptada; Divertículos; Vesícula Biliar Errante; Vesícula Biliar Ectópica; Colecistomegalia e microvesícula.
  • 6.
    Agenesia da VesículaBiliar Resulta da falha no desenvolvimento da divisão caudal do divertículo hepático primitivo ou de falha na vacuolização depois da fase sólida do desenvolvimento embrionário; A atresia e a hipoplasia correspondem a uma interrupção do desenvolvimento do órgão; Agenesia: incidência de 0,02%; Quase 2/3 dos pacientes com agenesia tem sintomas relacionados às vias biliares e 25-50% tem cálculos nas vias extra-hepáticas.
  • 7.
    Agenesia da VesículaBiliar A TC e a RM pode sugerir o diagnóstico, mas o diagnóstico pré-operatório da agenesia da VB é difícil. A confirmação do distúrbio geralmente é através de colangiografia intraoperatória.
  • 8.
    Rev. esp. enferm.dig. v.98 n.1 Madrid ene. 2006
  • 9.
    Rev. esp. enferm.dig. v.98 n.12 Madrid dic. 2006
  • 10.
    Duplicação da VesículaBiliar Ocorre em 0,025% da população; Causada pela revacuolização incompleta da vesícula biliar primitiva, que resulta na persistência de um septo longitudinal. A cavidade de cada vesícula precisa ter seu próprio ducto cístico. A maioria dos casos de duplicação relatados inclui um quadro de colecistite com cálculos. Várias condições podem simular vesícula duplicada.
  • 11.
    Duplicação da VesículaBiliar Exemplos: VB dobrada, VB bilobada, cisto de colédoco, líquido perivesicular, divertículo da VB, VB atravessada por feixe vascular e adenomiomatose focal; Complicações: torção, papiloma, carcinoma, obstrução do ducto comum e cirrose biliar; Foram relatadas vesículas triplas e quádruplas!!!
  • 12.
  • 13.
  • 14.
    Rev. Col. Bras.Cir. vol.30 no.6 Rio de Janeiro Nov./Dec. 2003
  • 15.
    . Col. Bras.Cir. vol.30 no.6 Rio de Janeiro Nov./Dec. 2003
  • 16.
    Capa de Phrygian A anomalia mais comum de toda a árvore biliar consiste na septação da porção distal do fundo da VB, que resulta em uma forma denominada Capa de Phrygian; Ocorre em 1 a 6 % da população; Caracteriza-se pela presença de uma prega ou septo entre o corpo e o fundo da VB; Existem dois tipos: Retrosseroso ou oculto Seroso ou visível
  • 18.
    Vesícula Biliar Multisseptada Septações podem ocorrer em qualquer parte da vesícula biliar; A VBM é uma VB única com múltiplos septos internos de tamanhos variados; O tamanho e a posição da VB são geralmente normais e as câmaras comunicam-se por oriíficios do fundo até o cístico; As septações levam a estase da bile e à formação de cálculos.
  • 19.
    Divertículos Divertículos podem ocorrerem qualquer parte da vesícula biliar; São geralmente únicos e seu tamanho pode variar muito; Os congênitos são os verdadeiros e contém todas as camadas musculares; Em contraposição, os pseudodivertículos da adenomiose tem pouca quantidade(ou nada) de músculo liso.
  • 20.
    Vesícula Biliar Errante Avesícula biliar pode ter um mesentério longo que lhe permite migrar até uma posição anômala, como a pelve é a chamada vesícula biliar flutuante ou errante; Pode migrar para a frente da coluna vertebral ou para a esquerda do abdômen e, em raros casos, herniar para a bolsa omental; Estão sujeitas a torção e volvo.
  • 21.
    Vesícula Biliar Ectópica A VB pode ser encontrada em vários locais; A VB intra-hepática está totalmente rodeada por parênquima hepático e geralmente ocupa uma localização subcapsular na face anteroinferior do lobo direito; Pode complicar o diagnóstico clínico de colecistite aguda porque provoca poucos sinais peritoneais.
  • 23.
    Colecistomegalia e Microvesícula Aumento da VB: 1. Diabetes; 2. Pós vagotomia; 3. Gravidez; 4. Anemia falciforme; 5. Obesidade Mórbida. Pacientes com fibrose cística: VB pequena, trabeculada, contraída e com mau funcionamento.
  • 24.
    Condições Patológicas Em pacientes com disfunção renal, a excreção hepatobiliar do agente de contraste pode ser significativa aumentando a densidade do lúmen da VB na TC ou radiografias simples; A hemobilia pode aumentar a densidade até próxima a do sangue(50-60 HU); Causa mais comum de aumento da densidade da bile: obstrução do cístico por cálculo ou tumor; A bile de leite de cálcio cria com frequência nível liq-liq e a densidade pode chegar a 1000 HU.
  • 25.
    Cálculos Biliares Váriosfatores afetam a aparência dos cálculos na TC, mas o mais importante é sua composição: pigmento biliar, colesterol ou cálcio. Até 60% dos cálculos imputados ao cálcio são densos na TC; Cálculos de colesterol puros são raros, mas podem ter densidade menor que a bile (-100 HU in vitro); Os cálculos biliares podem ter, em sua matriz, fendas centrais com um gás composto de nitrogênio predominantemente, que produzem
  • 26.
    Cálculos Biliares O conhecidosinal da Mercedes-Benz, sinal do pé de galinha ou sinal da gaivota; A fenda com gás pode contribuir para a flutuação desses cálculos, auxiliando em sua detecção. Sensibilidade da TC para cálculos: 78% prospectivamente e 94% retrospectivamente; Na RM, os cálculos biliares tendem a exibir intensidade de sinal baixa em T1 e em T2. T2 é superior a T1 para detecção dos cálculos.
  • 31.
  • 32.
    Colecistite aguda Causada porobstrução do ducto cístico ou do colo da vesícula biliar, que leva à inflamação da parede da VB e ao aumento da pressão intraluminal; Sinais e sintomas clínicos da colecistite são inespecíficos e em 60-85% dos pacientes examinados em busca de colecistite foi constatado queos sintomas resultavam de outras causas. A maioria dos casos(90%) é provocada por cálculos biliares impactados.
  • 33.
    Colecistite aguda US é a modalidade de imagem de escolha; Em geral, a TC é realizada para avaliar pacientes com suspeita de complicações do quadro de colecistite aguda, como perfuração por exemplo. Achados na TC: cálculos biliares, espessamento da parede, alterações inflamatórias perivesiculares, bile com alta atenuação, borramento da interface VB-fígado e aumento transitório da atenuação do fígado perivesicular;
  • 36.
  • 37.
  • 38.
    Colecistite Enfisematosa Variante pouco comum da colecistite aguda; Acredita-se que o comprometimento vascular da artéria cística desempenhe algum papel no desenvolvimento dessa condição, com proliferação de microorganismos formadores de gás em ambiente anaeróbico e penetração do gás na parede da vesícula biliar; Os organismos isolados são geralmente Clostridium perfringens e Escherichia coli.
  • 39.
    Colecistite Enfisematosa Difere muitoda colecistite aguda comum, o que sugere uma patogênese diferente. As diferenças consistem na incidência maior em homens(até 71%), na ocorrência frequente em pacientes diabéticos(até 50%), na ausência de cálculos biliares em até um terço dos pacientes e em um risco maior de gangrenamento e perfuração da vesícula biliar.
  • 40.
    Colecistite Enfisematosa Na revisãoda patologia dessa doença, as vesículas biliares com colecistite enfisematosa apresentaram uma incidência maior de endarterite obliterante. A taxa de mortalidade é de 15%, enquanto a colecistite aguda não complicada é de 4%. No caso de colecistite enfisematosa, é necessária uma intervenção cirúrgica imediata. A TC é mais sensível e específica que a US e o RX simples.
  • 43.
    Complicações da colecistiteaguda Colecistite Hemorrágica Colecistite Gangrenosa Perfuração da Vesícula Biliar
  • 44.
    Colecistite Hemorrágica Complicaçãopouco comum da colecistite aguda; Quando há cálculos, presume-se que a hemorragia resulta de inflamação que causa ulceração e necrose da mucosa; Clinicamente: cólica biliar, icterícia, hematêmese e melena. Em raros casos, os pacientes podem ter sangramento gastrointestinal alto maciço, hemoperitôneo ou obstrução do DC. Nos pacientes com colecistite acalculosa, a hemorragia pode advir de tumor, aneurisma, traumatismo, anticoagulante ou tecido ectópico.
  • 45.
    Colecistite Hemorrágica Além dosachado relativos à colecistite aguda, a TC pode mostrar hematoma intraluminal ou bile com densidade aumentada e presença de nível líquido- líquido; Hemoperitôneo ou dilatação dos DIH podem ser observados quando associada à perfuração da vesícula biliar ou à obstrução do DC causada por hemobilia; Na RM, a hemorragia subaguda geralmente é brilhante em T1.
  • 48.
    Colecistite Gangrenosa Incidência: 2 a 29,6% em séries cirúrgicas; Mas comum em homens, em idosos e naqueles com doença cardiovascular coexistente; Mecanismos propostos: reação inflamatória química da mucosa provocada por sais biliares e distensão progressiva do lúmen da VB que leva ao comprometimento vascular; Indicação de colecistite de emergência; Maior taxa de conversão
  • 49.
    Colecistite Gangrenosa Achados na TC: Membranas intraluminais; Hemorragia para o lúmen; Parede irregular ou ausente; Abscesso perivesicular; Gás lúmen/parede. Sensibilidade: 29,3% Especificidade: 96% Acurácia: 86,7%
  • 52.
    Perfuração Agangrena da VB pode levar à perfuração, com incidência de 8,3 a 11,9%; mortalidade 6-70%; Outras causas de perfuração: colecistite crônica, colelitíase, trauma, neoplasia, esteroides e comprometimento vascular; Local mais acometido: fundo; 1. Perfuração livre para a cavidade(40%); 2. Perfuração subaguda com abscesso(4%); 3. Perfuração crônica com fístula colecistoentérica
  • 53.
    Perfuração Achados na TC 1. Interrupção da parede da vesícula biliar ou a presença de um defeito focal; 2. Pode-se observar um cálculo fora do lúmen da VB; 3. Formação de abscesso perivesicular restrita à fossa. A TC auxilia na avaliação complementar e na determinação mais precisa da extensão da inflamação
  • 56.
    Colecistite acalculosa Condição pouco frequente, mas clinicamente grave, encontrada em cerca de 5% de todos pacientes que se submetem a uma colecistectomia Ocorre em pacientes com doença prolongada, como aqueles com traumatismo ou longa internação em CTI; O aumento da viscosidade da bile decorrente de estase, com obstrução do cístico e isquemia damucosa subsequentes, pode ser um fator que contribui para seu aparecimento.
  • 57.
    Colecistite acalculosa Em muitoscasos, a US é inconclusiva porque esses pacientes tem vesículas distendidas e espessadas, mesmo na ausência de inflamação e o sinal de Murphy ultrassonográfico não é confiável; A TC pode ser mais específica quando o US não fornece o diagnóstico. A intervenção cirúrgica é cogitada porque a taxa de complicações e mortalidade é maior na colecistite acalculosa que na calculosa.
  • 60.
    Colecistite crônica Quase sempreassociada a cálculos biliares, porém a patogênese dessa doença é pouco compreendida; A ocorrência de resposta inflamatória exuberante e geneticamente determinada na vesícula biliar ou a presença de bile com composição anormal que leva à lesão química da mucosa e à formação de cálculos compõe uma hipótese possível, mas até o momento não provada.
  • 61.
    Colecistite crônica Os achadosrelativos à colecistite crônica vistos na TC e na RM podem ser similiares aos da colecistite aguda, como cálculos biliares e espessamento e realce da parede. Os últimos 2 achados podem ser confundidos com carcinoma, na ausência de cálculo; A TC pode mostrar achados mínimos necessária a correlação clínica é necessária. O diagnóstico com frequência requer técnicas de medicina nuclear, principalmente para avaliar a FE da VB.
  • 65.
  • 66.
    Colecistite Xantogranulomatosa Forma pouco comum de colecistite crônica; Quase sempre associada a cálculos e a graus variados de fibrose; Patogênese incerta, entretanto, foi sugerido que a presença de úlceras na mucosa ou a ruptura dos seios de RA, juntamente com a obstrução do fluxo de saída por cálculos biliares e infecção, levam a bile a penetrar na parede da VB e a formar xantogranulomas
  • 67.
    Colecistite Xantogranulomatosa Na TC: Os cálculos biliares e o espessamento irregular semelhante a uma massa da parede da VB são as anormalidades mais comuns. Vários estudos relataram que os nódulos hipoatenuantes intramurais vistos na TC representam uma lesão xantogranulomatosa, um abscesso ou a combinação de ambos; Realce da superfície luminal(70%) correspondia à presença de uma camada epitelial.
  • 68.
    Colecistite Xantogranulomatosa O radiologistadeve distinguir entre a colecistite xantogranulomatosa e o carcinoma da vesícula biliar Linha de mucosa evidente Realce da superfície luminal Nódulos intramurais hipoatenuantes(TC) ou com sinal alto(RM T2)
  • 69.
  • 75.
  • 76.
  • 77.
    Complicações da ColecistiteCrônica 1. Síndrome de Mirizzi; 2. Íleo Biliar; 3. Vesícula Biliar em Porcelana.
  • 80.
  • 88.
    Neoplasias da VesículaBiliar Com exceção dos adenomas, as neoplasia benignas da VB são raras, embora já tenham sido relatados diversos tumores epiteliais e estromais; Os adenomas são com frequência pequenos e assintomáticos, geralmente descobertos ao acaso em uma colecistectomia, com incidência de 0,5%; Quando grande o suficiente, pode aparecer na TC ou RM como uma lesão polipoide na parede da VB.
  • 91.
    Carcinoma da VesículaBiliar O adenocarcinoma é o tipo histológico mais comum(85-90%); O pico da incidência é na sexta e sétima década de vida e as mulheres são mais acometidas que os homens na proporção de 2:1; Fatores de risco: genéticos; cálculos biliares, presença de junção ductal pancreaticobiliar anormal congênita e vesícula biliar em porcelana.
  • 92.
    Carcinoma da VesículaBiliar Os achados típicos na TC incluem três padrões: 1. Uma massa que substitui o órgão e ocupa a fossa da VB; 2. Uma massa polipoide intraluminal; 3. Um espessamento da parede da VB. O carcinoma da VB normalmente se dissemina por propagação direta para estruturas adjacentes como o fígado(34 a 89%), o ligamento hepatoduodenal, o cólon e o duodeno. Obstrução biliar em 50% dos casos.
  • 93.
    Carcinoma da VesículaBiliar A TC tem um papel chave no estadiamento do carcinoma da VB; Acurácia global relativa a ressecabilidade: 85-93%. Contudo, a capacidade de detectar doença inicial está aquém da expectativas sensibilidade para detectar tumor T1: 33%.
  • 94.
  • 95.
  • 96.
  • 97.
  • 104.
    Metástases para avesícula biliar Mestástases para a VB são raras; Pode ser originadas de qualquer local; O melanoma é a causa mais frequente de metástase para a VB(50%); Embora a maioria das lesão seja localizada na superfície serosa, também podem se apresentar como lesões endoluminais. Foi relatada que o PET com FDG pode melhorar a detecção na vesícula biliar de metástases de melanoma.
  • 108.
  • 114.