TREINAMENTO EM
ULTRASSONOGRAFIA
VETERINÁRIA
Dra. Cibele Figueira Carvalho
DVM; CBRV diplomate; MSc in Veterinary Medicine;
PhD and Post doctorate in Veterinary Diagnostic Imaging
CURITIBA, PR - 2016
Vesícula biliar e vias biliares
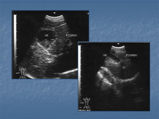
Vesícula biliar: Anatomia
 Localização: aproximadamente na altura do 7 EIC
 Formato variável: ovalada, arredondada, em
forma de pêra
 Tamanho: depende do volume de repleção
 Espessura da parede: varia de 1 a 2 mm de
espessura (atualmente é considerado normal
<1mm)
Arvore biliar: caninos
 VB entre lobos quadrado e medial direito
 Parede normal <1mm
 Volume variável (1ml/Kg)
 Formato mais importante que volume
 Ducto biliar comum raramente visível
Arvore biliar: caninos
 VB entre lobos quadrado e medial direito
 Parede <1mm
 Volume variável (1ml/Kg)
 Formato mais importante que volume
 Ducto biliar comum raramente visível
Arvore biliar: felinos
 VB entre fissura no lobo medial direito
 Parede <1mm e Volume <5ml
 Formato mais importante que volume
 Ducto biliar comum até 4mm
Vesícula biliar: técnica de varredura
 transdutor de alta resolução
 Planos de varredura: longitudinal e
transversal em janelas sub-xifoide e
intercostal no 7 EIC
Vesícula biliar: formato e localização
Vesícula biliar: lama ou barro biliar
Achado incidental?
Não nos gatos e não mais nos cães também...
 Pode sugerir presença de disfunção motora
biliar em cães
Achado em: animais idosos, sedentários,
obesos, em jejum prolongado ou
endocrinopatas
 Pode sugerir processo inflamatório em gatos
ou parasitose (Platinossomíase)
Vesícula biliar: lama ou barro biliar
Vesícula biliar: espessura da parede
 animais idosos podem apresentar pólipos
(irregularidade e espessamento) em parede
Vesícula biliar: espessura da parede
Vesícula biliar: espessura da parede
Linfoma
Vesícula biliar: espessura da parede
 Agenesia de vesícula biliar
 Duplicação do ducto ou da vesícula biliar
(septação parcial ou total)
 Cisto coledocal
 Complexo Displasia Biliar (gatos) ou
Doença de Caroli
Anomalias Congênitas Biliares
Anomalias Congênitas Biliares
Agenesia de vesícula biliar
Raríssima!
Pastor australiano de 4 meses de idade com aumento das enzimas
hepáticas e de ácidos biliares
Anomalias Congênitas Biliares
Agenesia de vesícula biliar
Duplicação de VB (gatos) – achado incidental (?)
2 regiões fúndicas e corpos separados
Um único colo, ducto cístico e ducto biliar comum
VB em formato de V ou “Valentine heart shaped”
Anomalias Congênitas Biliares
Duplicação do ducto ou da vesícula biliar
Anomalias Congênitas Biliares
Duplicação do ducto ou da vesícula biliar
gato
Anomalias Congênitas Biliares
Duplicação do ducto ou da vesícula biliar
gato
cão
Anomalias Congênitas Biliares
Duplicação do ducto ou da vesícula biliar
Anomalias Congênitas Biliares
Duplicação do ducto ou da vesícula biliar
Classificação utilizada na sp humana
Anomalias Congênitas Biliares
Cisto coledocal
Classificação na sp humana
Parede espessada e lama biliar no interior
Anomalias Congênitas Biliares
Complexo Displasia Biliar em Gatos
Anomalias Congênitas Biliares
Complexo Displasia Biliar em Gatos
Dilatação das vias biliares intra hepáticas sem obstrução
Ascite
Fibrose periportal evidente (Doença de Caroli)
Anomalias Congênitas Biliares
Complexo Displasia Biliar em Gatos
Gato SRD, 5 anos de idade; hiporexia progressiva, aumento de volume abdominal;
Icterícia discreta.
Eutanásia/ necrópsia: ductos biliares intra e extrahepáticos dilatados; hiperplasia biliar;
Fibrose periportal; colangite e colecistite
 Alterações inflamatórias Colangiohepatite,
Colecistite, Mucocele
 Litíases
 Alterações Obstrutivas
 Alterações Neoplásicas
 Vesícula biliar atrófica
Alterações da vesícula biliar
Espessamento aparente da parede
 ascite
 hipoproteinemia
 congestão hepática/ toxemia (sinal halo
biliar)
 insuficiência cardíaca congestiva
 contração vesicular pós prandial
 bile espessa
Espessamento aparente da parede
Fonte: Nyland, 2004
 Alterações inflamatórias
 Litíases
 Alterações Obstrutivas
 Alterações Neoplásicas
 Vesícula biliar atrófica
Alterações Inflamatórias da
Vesícula Biliar
Alterações inflamatórias mais comuns:
Colangiohepatite, Colecistite, Mucocele
Colangiohepatite
 mais comum em gatos do que em cães
 Etiologia variada
- Infecciosa (via ascendente – duodeno)
- Parasitária em gatos Platynossomum sp (HI:
lacertídeo)
 diminuição generalizada da ecogenicidade hepática
(gatos) ou aumento da ecogenicidade com aspecto
grosseiro (cães) associada a espessamento da
parede vesical e presença de lama biliar
 Alterações inflamatórias
 Litíases
 Alterações Obstrutivas
 Alterações Neoplásicas
 Vesícula biliar atrófica
 Alterações inflamatórias
 Litíases
 Alterações Obstrutivas
 Alterações Neoplásicas
 Vesícula biliar atrófica
Colangiohepatite supurativa e colelitíases (setas) em um gato SRD 8a
Colangiohepatite
 Alterações inflamatórias
 Litíases
 Alterações Obstrutivas
 Alterações Neoplásicas
 Vesícula biliar atrófica
Colangiohepatite
Casos de Colangiohepatite em cães
Colecistite
 Aspecto variável:
- espessamento da parede
- presença ou não de lama
- presença ou não de cálculos
- Sensibilidade dolorosa aumentada durante
a varredura US na região - sinal de
Murphy (Ralls et al, 1982)
 Alterações inflamatórias
 Litíases
 Alterações Obstrutivas
 Alterações Neoplásicas
 Vesícula biliar atrófica
COLECISTITES
Fonte: Carvalho, 2004
 Alterações inflamatórias
 Litíases
 Alterações Obstrutivas
 Alterações Neoplásicas
 Vesícula biliar atrófica
Colecistite aguda (Mucocele)
 colecistite enfizematosa = espessamento da
parede, artefatos de reverberação, sedimento
 mucocele da vesícula biliar = aguda, necrose da
parede (espessamento da parede com conteúdo
luminal imóvel de padrão radiado ou kiwi, pode
estar associada a obstrução biliar, perfuração
eminente
 colecistite necrotizante = irregularidade
acentuada, espessamento assimétrico da
parede, coleção fluida pericolecística (secundário
a ulceração, hemorragia ou necrose), variação
da mucocele
 Alterações inflamatórias
 Litíases
 Alterações Obstrutivas
 Alterações Neoplásicas
 Vesícula biliar atrófica
 Alterações inflamatórias
 Litíases
 Alterações Obstrutivas
 Alterações Neoplásicas
 Vesícula biliar atrófica
Predisposição: cães idosos de raças porte pequeno (Cocker Spaniels?)
Vômito, anorexia, letarggia,
Dor abdominal, icterícia ocasional, hipertermia
Aumento de bilirrubinas e/ou FA, ALT, AST e GGT
Besso J et al. Vet Radiol & Ultras 2000
Pike F et al. JAVMA 2004
 Alterações inflamatórias
 Litíases
 Alterações Obstrutivas
 Alterações Neoplásicas
 Vesícula biliar atrófica
 Alterações inflamatórias
 Litíases
 Alterações Obstrutivas
 Alterações Neoplásicas
 Vesícula biliar atrófica
 Alterações inflamatórias
 Litíases
 Alterações Obstrutivas
 Alterações Neoplásicas
 Vesícula biliar atrófica
 Alterações inflamatórias
 Litíases
 Alterações Obstrutivas
 Alterações Neoplásicas
 Vesícula biliar atrófica
 Alterações inflamatórias
 Litíases
 Alterações Obstrutivas
 Alterações Neoplásicas
 Vesícula biliar atrófica
 Alterações inflamatórias
 Litíases
 Alterações Obstrutivas
 Alterações Neoplásicas
 Vesícula biliar atrófica
Padrão estrelado
Padrão de kiwi
 Alterações inflamatórias
 Litíases
 Alterações Obstrutivas
 Alterações Neoplásicas
 Vesícula biliar atrófica
Controle de evolução da mucocele
 Alterações inflamatórias
 Litíases
 Alterações Obstrutivas
 Alterações Neoplásicas
 Vesícula biliar atrófica
Sinais de ruptura de mucocele
 Gordura mesentérica hiperrefringente (brilhante)
 Líquido livre adjacente
 O padrão estriado indica o amadurecimento do processo
e possibilidade de ruptura!
gordura
Infarto de vesícula biliar
 Necrose coagulativa segmentar transmural subaguda com fibrose serosa
 Hiperplasia cística segmentar da mucosa com secreção mucoide e proteica abundante
 Ausência de inflamação
Cálculos
 Raros e nem sempre associados a
presença de sinais clínicos
 Estruturas hiperecogênicas produtoras de
sombra acústica variável
 com ou sem mobilidade
 Obstrução por cálculos em ductos são de
difícil diagnóstico
 Composição: colesterol, bilirrubina, calcio,
magnesio e oxalato
 Alterações inflamatórias
 Litíases
 Alterações Obstrutivas
 Alterações Neoplásicas
 Vesícula biliar atrófica
 Alterações inflamatórias
 Litíases
 Alterações Obstrutivas
 Alterações Neoplásicas
 Vesícula biliar atrófica
Cálculos
 Alterações inflamatórias
 Litíases
 Alterações Obstrutivas
 Alterações Neoplásicas
 Vesícula biliar atrófica
Cálculos
Colecistolitíase incomum
 Alterações inflamatórias
 Litíases
 Alterações Obstrutivas
 Alterações Neoplásicas
 Vesícula biliar atrófica
Gatos com cálculos radiopacos sem sombra acústica
Composição dos cálculos: colesterol e pigmentos biliares!
 Alterações inflamatórias
 Litíases
 Alterações Obstrutivas
 Alterações Neoplásicas
 Vesícula biliar atrófica
Colecistolitíase incomum
 Alterações inflamatórias
 Litíases
 Alterações Obstrutivas
 Alterações Neoplásicas
 Vesícula biliar atrófica
estômagoduodeno
DBC
DBC
duo
“plugs” no ducto biliar comum em gatos
Sem presença de sombreamento acústico
Remoção cirúrgica: concreções sólidas
Análise bioquímica: bilirrubina e colesterol
 US é o meio de imagem mais utilizado
para diagnosticar obstrução biliar
extrahepática
 O fígado, trato biliar, pâncreas, intestino
delgado e linfonodos hilares – pesquisa da
etiologia
 Diagnóstico difícil em estágios iniciais
 Alterações inflamatórias
 Litíases
 Alterações Obstrutivas
 Alterações Neoplásicas
 Vesícula biliar atrófica
Alterações Obstrutivas das
Vias Biliares
Obstrução experimental em cães (Nyland et al, 1982)
 evolução do processo ocorre de forma
retrógrada depois da completa obstrução do
ducto hepático comum
 Aumentos das dimensões da vesícula biliar e do
ducto cístico ocorrem nas primeiras 24horas
dilatação do ducto biliar comum em 48h
dilatação de ductos intra-hepáticos em 5 a 7
dias
Obstrução Biliar Extrahepática
 Alterações inflamatórias
 Litíases
 Alterações Obstrutivas
 Alterações Neoplásicas
 Vesícula biliar atrófica
Sinais de Obstrução Biliar
 ducto biliar comum dilatado
- > 0,3 cm para cães
- > 0,5 cm para gatos (excelente indicador!)
 vesícula biliar dilatada (pode ou não estar
presente) – achado inconsistente 
 visibilização de ductos biliares intra-hepáticos
 Alterações inflamatórias
 Litíases
 Alterações Obstrutivas
 Alterações Neoplásicas
 Vesícula biliar atrófica
 Alterações inflamatórias
 Litíases
 Alterações Obstrutivas
 Alterações Neoplásicas
 Vesícula biliar atrófica
 Alterações inflamatórias
 Litíases
 Alterações Obstrutivas
 Alterações Neoplásicas
 Vesícula biliar atrófica
 Alterações inflamatórias
 Litíases
 Alterações Obstrutivas
 Alterações Neoplásicas
 Vesícula biliar atrófica
 Alterações inflamatórias
 Litíases
 Alterações Obstrutivas
 Alterações Neoplásicas
 Vesícula biliar atrófica
 Alterações inflamatórias
 Litíases
 Alterações Obstrutivas
 Alterações Neoplásicas
 Vesícula biliar atrófica
Obstrução Biliar Extra-Hepática (gatos)
 Taxa de Mortalidade por OBEH em gatos *
- Tumor 100%
- Inflamação 40 – 50%
- Colelitíase 22%
 US e OBEH em gatos **
- DBC >5mm sugestivo de obstrução
 Revisão de 30 gatos com OBEH *** *Mathew et al (2002)
*Bacon et al (2003)
*Eich et al (2002)
**Léveillé et al (1996)
***Gaillot et al (2007)
 Processos neoplásicos
- CA biliar 6/12
- CA pancreas 3/12
- CA duodeno 1/12
- Linfoma duodenal 1/12
- Carcinoma indiferenciado 1/12
 Processos Inflamatórios
Pancreatite crônica 3/11 Duodenite 2/11
Inflamação em coledoco 2/11 Peri coledocal 3/11
Abscesso pancreatico 1/11
 Colelitíases
- Cálculos 5/7
- Plugs 2/11
Obstrução Biliar Extra-Hepática (gatos)
Revisão de 30 gatos com OBEH ***
 Alterações inflamatórias
 Litíases
 Alterações Obstrutivas
 Alterações Neoplásicas
 Vesícula biliar atrófica
Obstrução Biliar Extra-Hepática (gatos)
 Dilatação da VB (inconsistente)
 DBC ou DH dilatado
 Origem da obstrução/ compressão:
- calculos, aumento pâncreas, linfonodos, massas
 Diferenciação da etiologia (inflamatória ou neoplásica)
difícil de afirmar 
 Alterações inflamatórias
 Litíases
 Alterações Obstrutivas
 Alterações Neoplásicas
 Vesícula biliar atrófica
Obstrução Biliar Extra-Hepática
Obstrução vias biliares extra hepáticas
sem dilatação da vesícula biliar
felino
 Alterações inflamatórias
 Litíases
 Alterações Obstrutivas
 Alterações Neoplásicas
 Vesícula biliar atrófica
 Alterações inflamatórias
 Litíases
 Alterações Obstrutivas
 Alterações Neoplásicas
 Vesícula biliar atrófica
 Alterações inflamatórias
 Litíases
 Alterações Obstrutivas
 Alterações Neoplásicas
 Vesícula biliar atrófica
Obstrução Biliar Extra-Hepática (cães)
 Sinais de obstrução
Pesquisa da etiologia da obstrução/ compressão:
- Inflamatória (fígado, pâncreas e TGI)
- Cálculos
- Tumores (fígado, pâncreas, linfonodos, duodeno)
cálculos abscesso
DBC
gordura
gordura
pancreatite
colelitíase
colangiocarcinoma
colangite e pancreatiteInflamação pielogranulomatosa com fibrose
 Na vesícula biliar:
- benignas (pólipos, cistoadenomas)
- malignas (carcinomas)
 Nas vias biliares: aspecto variável não
distinto das neoplasias hepáticas
 Alterações inflamatórias
 Litíases
 Alterações Obstrutivas
 Alterações Neoplásicas
 Vesícula biliar atrófica
Alterações Neoplásicas da
Vesícula Biliar e vias biliares
 Alterações inflamatórias
 Litíases
 Alterações Obstrutivas
 Alterações Neoplásicas
 Vesícula biliar atrófica
Alterações Neoplásicas da
Vesícula Biliar e vias biliares
Pólipos em vesícula biliar: adenomas
Cistoadenoma biliar: aparência de esponja
cão
 Alterações inflamatórias
 Litíases
 Alterações Obstrutivas
 Alterações Neoplásicas
 Vesícula biliar atrófica
Cistoadenoma biliar
 Alterações inflamatórias
 Litíases
 Alterações Obstrutivas
 Alterações Neoplásicas
 Vesícula biliar atrófica
gato
felino
 Alterações inflamatórias
 Litíases
 Alterações Obstrutivas
 Alterações Neoplásicas
 Vesícula biliar atrófica
canino
Cistoadenoma biliar
 Alterações inflamatórias
 Litíases
 Alterações Obstrutivas
 Alterações Neoplásicas
 Vesícula biliar atrófica
Carcinoma biliar
Fonte: Nyland, 2004
 Alterações inflamatórias
 Litíases
 Alterações Obstrutivas
 Alterações Neoplásicas
 Vesícula biliar atrófica
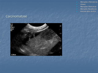
Carcinoma biliar
Carcinomatose
 Alterações inflamatórias
 Litíases
 Alterações Obstrutivas
 Alterações Neoplásicas
 Vesícula biliar atrófica
Vesicula biliar atrófica
 Alterações inflamatórias
 Litíases
 Alterações Obstrutivas
 Alterações Neoplásicas
 Vesícula biliar atrófica
 Alterações inflamatórias
 Litíases
 Alterações Obstrutivas
 Alterações Neoplásicas
 Vesícula biliar atrófica
Vesicula biliar atrófica
Conclusões
 A US modo-B é fundamental na avaliação
das alterações hepáticas e biliares,
considerado atualmente o exame de
diagnóstico por imagem de eleição para
tal finalidade.

Aula Vesícula Biliar

  • 1.
    TREINAMENTO EM ULTRASSONOGRAFIA VETERINÁRIA Dra. CibeleFigueira Carvalho DVM; CBRV diplomate; MSc in Veterinary Medicine; PhD and Post doctorate in Veterinary Diagnostic Imaging CURITIBA, PR - 2016
  • 2.
    Vesícula biliar evias biliares
  • 3.
    Vesícula biliar: Anatomia Localização: aproximadamente na altura do 7 EIC  Formato variável: ovalada, arredondada, em forma de pêra  Tamanho: depende do volume de repleção  Espessura da parede: varia de 1 a 2 mm de espessura (atualmente é considerado normal <1mm)
  • 6.
    Arvore biliar: caninos VB entre lobos quadrado e medial direito  Parede normal <1mm  Volume variável (1ml/Kg)  Formato mais importante que volume  Ducto biliar comum raramente visível
  • 7.
    Arvore biliar: caninos VB entre lobos quadrado e medial direito  Parede <1mm  Volume variável (1ml/Kg)  Formato mais importante que volume  Ducto biliar comum raramente visível
  • 8.
    Arvore biliar: felinos VB entre fissura no lobo medial direito  Parede <1mm e Volume <5ml  Formato mais importante que volume  Ducto biliar comum até 4mm
  • 9.
    Vesícula biliar: técnicade varredura  transdutor de alta resolução  Planos de varredura: longitudinal e transversal em janelas sub-xifoide e intercostal no 7 EIC
  • 13.
  • 16.
    Vesícula biliar: lamaou barro biliar Achado incidental? Não nos gatos e não mais nos cães também...
  • 17.
     Pode sugerirpresença de disfunção motora biliar em cães Achado em: animais idosos, sedentários, obesos, em jejum prolongado ou endocrinopatas  Pode sugerir processo inflamatório em gatos ou parasitose (Platinossomíase) Vesícula biliar: lama ou barro biliar
  • 19.
    Vesícula biliar: espessurada parede  animais idosos podem apresentar pólipos (irregularidade e espessamento) em parede
  • 20.
  • 21.
    Vesícula biliar: espessurada parede Linfoma
  • 22.
  • 23.
     Agenesia devesícula biliar  Duplicação do ducto ou da vesícula biliar (septação parcial ou total)  Cisto coledocal  Complexo Displasia Biliar (gatos) ou Doença de Caroli Anomalias Congênitas Biliares
  • 24.
    Anomalias Congênitas Biliares Agenesiade vesícula biliar Raríssima! Pastor australiano de 4 meses de idade com aumento das enzimas hepáticas e de ácidos biliares
  • 25.
  • 26.
    Duplicação de VB(gatos) – achado incidental (?) 2 regiões fúndicas e corpos separados Um único colo, ducto cístico e ducto biliar comum VB em formato de V ou “Valentine heart shaped” Anomalias Congênitas Biliares Duplicação do ducto ou da vesícula biliar
  • 27.
    Anomalias Congênitas Biliares Duplicaçãodo ducto ou da vesícula biliar gato
  • 28.
    Anomalias Congênitas Biliares Duplicaçãodo ducto ou da vesícula biliar gato cão
  • 29.
    Anomalias Congênitas Biliares Duplicaçãodo ducto ou da vesícula biliar
  • 30.
    Anomalias Congênitas Biliares Duplicaçãodo ducto ou da vesícula biliar Classificação utilizada na sp humana
  • 31.
    Anomalias Congênitas Biliares Cistocoledocal Classificação na sp humana Parede espessada e lama biliar no interior
  • 32.
    Anomalias Congênitas Biliares ComplexoDisplasia Biliar em Gatos
  • 33.
    Anomalias Congênitas Biliares ComplexoDisplasia Biliar em Gatos Dilatação das vias biliares intra hepáticas sem obstrução Ascite Fibrose periportal evidente (Doença de Caroli)
  • 34.
    Anomalias Congênitas Biliares ComplexoDisplasia Biliar em Gatos Gato SRD, 5 anos de idade; hiporexia progressiva, aumento de volume abdominal; Icterícia discreta. Eutanásia/ necrópsia: ductos biliares intra e extrahepáticos dilatados; hiperplasia biliar; Fibrose periportal; colangite e colecistite
  • 35.
     Alterações inflamatóriasColangiohepatite, Colecistite, Mucocele  Litíases  Alterações Obstrutivas  Alterações Neoplásicas  Vesícula biliar atrófica Alterações da vesícula biliar
  • 36.
    Espessamento aparente daparede  ascite  hipoproteinemia  congestão hepática/ toxemia (sinal halo biliar)  insuficiência cardíaca congestiva  contração vesicular pós prandial  bile espessa
  • 37.
    Espessamento aparente daparede Fonte: Nyland, 2004
  • 38.
     Alterações inflamatórias Litíases  Alterações Obstrutivas  Alterações Neoplásicas  Vesícula biliar atrófica Alterações Inflamatórias da Vesícula Biliar Alterações inflamatórias mais comuns: Colangiohepatite, Colecistite, Mucocele
  • 39.
    Colangiohepatite  mais comumem gatos do que em cães  Etiologia variada - Infecciosa (via ascendente – duodeno) - Parasitária em gatos Platynossomum sp (HI: lacertídeo)  diminuição generalizada da ecogenicidade hepática (gatos) ou aumento da ecogenicidade com aspecto grosseiro (cães) associada a espessamento da parede vesical e presença de lama biliar  Alterações inflamatórias  Litíases  Alterações Obstrutivas  Alterações Neoplásicas  Vesícula biliar atrófica
  • 40.
     Alterações inflamatórias Litíases  Alterações Obstrutivas  Alterações Neoplásicas  Vesícula biliar atrófica Colangiohepatite supurativa e colelitíases (setas) em um gato SRD 8a Colangiohepatite
  • 41.
     Alterações inflamatórias Litíases  Alterações Obstrutivas  Alterações Neoplásicas  Vesícula biliar atrófica Colangiohepatite Casos de Colangiohepatite em cães
  • 42.
    Colecistite  Aspecto variável: -espessamento da parede - presença ou não de lama - presença ou não de cálculos - Sensibilidade dolorosa aumentada durante a varredura US na região - sinal de Murphy (Ralls et al, 1982)  Alterações inflamatórias  Litíases  Alterações Obstrutivas  Alterações Neoplásicas  Vesícula biliar atrófica
  • 43.
    COLECISTITES Fonte: Carvalho, 2004 Alterações inflamatórias  Litíases  Alterações Obstrutivas  Alterações Neoplásicas  Vesícula biliar atrófica
  • 44.
    Colecistite aguda (Mucocele) colecistite enfizematosa = espessamento da parede, artefatos de reverberação, sedimento  mucocele da vesícula biliar = aguda, necrose da parede (espessamento da parede com conteúdo luminal imóvel de padrão radiado ou kiwi, pode estar associada a obstrução biliar, perfuração eminente  colecistite necrotizante = irregularidade acentuada, espessamento assimétrico da parede, coleção fluida pericolecística (secundário a ulceração, hemorragia ou necrose), variação da mucocele  Alterações inflamatórias  Litíases  Alterações Obstrutivas  Alterações Neoplásicas  Vesícula biliar atrófica
  • 45.
     Alterações inflamatórias Litíases  Alterações Obstrutivas  Alterações Neoplásicas  Vesícula biliar atrófica Predisposição: cães idosos de raças porte pequeno (Cocker Spaniels?) Vômito, anorexia, letarggia, Dor abdominal, icterícia ocasional, hipertermia Aumento de bilirrubinas e/ou FA, ALT, AST e GGT Besso J et al. Vet Radiol & Ultras 2000 Pike F et al. JAVMA 2004
  • 46.
     Alterações inflamatórias Litíases  Alterações Obstrutivas  Alterações Neoplásicas  Vesícula biliar atrófica
  • 47.
     Alterações inflamatórias Litíases  Alterações Obstrutivas  Alterações Neoplásicas  Vesícula biliar atrófica
  • 48.
     Alterações inflamatórias Litíases  Alterações Obstrutivas  Alterações Neoplásicas  Vesícula biliar atrófica
  • 49.
     Alterações inflamatórias Litíases  Alterações Obstrutivas  Alterações Neoplásicas  Vesícula biliar atrófica
  • 50.
     Alterações inflamatórias Litíases  Alterações Obstrutivas  Alterações Neoplásicas  Vesícula biliar atrófica
  • 51.
     Alterações inflamatórias Litíases  Alterações Obstrutivas  Alterações Neoplásicas  Vesícula biliar atrófica Padrão estrelado Padrão de kiwi
  • 52.
     Alterações inflamatórias Litíases  Alterações Obstrutivas  Alterações Neoplásicas  Vesícula biliar atrófica Controle de evolução da mucocele
  • 53.
     Alterações inflamatórias Litíases  Alterações Obstrutivas  Alterações Neoplásicas  Vesícula biliar atrófica Sinais de ruptura de mucocele  Gordura mesentérica hiperrefringente (brilhante)  Líquido livre adjacente  O padrão estriado indica o amadurecimento do processo e possibilidade de ruptura! gordura
  • 54.
    Infarto de vesículabiliar  Necrose coagulativa segmentar transmural subaguda com fibrose serosa  Hiperplasia cística segmentar da mucosa com secreção mucoide e proteica abundante  Ausência de inflamação
  • 55.
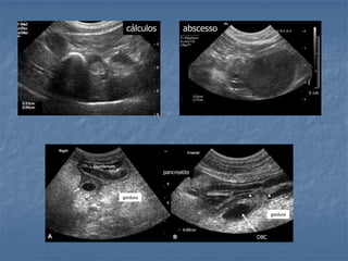
    Cálculos  Raros enem sempre associados a presença de sinais clínicos  Estruturas hiperecogênicas produtoras de sombra acústica variável  com ou sem mobilidade  Obstrução por cálculos em ductos são de difícil diagnóstico  Composição: colesterol, bilirrubina, calcio, magnesio e oxalato  Alterações inflamatórias  Litíases  Alterações Obstrutivas  Alterações Neoplásicas  Vesícula biliar atrófica
  • 56.
     Alterações inflamatórias Litíases  Alterações Obstrutivas  Alterações Neoplásicas  Vesícula biliar atrófica Cálculos
  • 57.
     Alterações inflamatórias Litíases  Alterações Obstrutivas  Alterações Neoplásicas  Vesícula biliar atrófica Cálculos
  • 58.
    Colecistolitíase incomum  Alteraçõesinflamatórias  Litíases  Alterações Obstrutivas  Alterações Neoplásicas  Vesícula biliar atrófica
  • 59.
    Gatos com cálculosradiopacos sem sombra acústica Composição dos cálculos: colesterol e pigmentos biliares!  Alterações inflamatórias  Litíases  Alterações Obstrutivas  Alterações Neoplásicas  Vesícula biliar atrófica
  • 60.
    Colecistolitíase incomum  Alteraçõesinflamatórias  Litíases  Alterações Obstrutivas  Alterações Neoplásicas  Vesícula biliar atrófica estômagoduodeno DBC DBC duo “plugs” no ducto biliar comum em gatos Sem presença de sombreamento acústico Remoção cirúrgica: concreções sólidas Análise bioquímica: bilirrubina e colesterol
  • 61.
     US éo meio de imagem mais utilizado para diagnosticar obstrução biliar extrahepática  O fígado, trato biliar, pâncreas, intestino delgado e linfonodos hilares – pesquisa da etiologia  Diagnóstico difícil em estágios iniciais  Alterações inflamatórias  Litíases  Alterações Obstrutivas  Alterações Neoplásicas  Vesícula biliar atrófica Alterações Obstrutivas das Vias Biliares
  • 62.
    Obstrução experimental emcães (Nyland et al, 1982)  evolução do processo ocorre de forma retrógrada depois da completa obstrução do ducto hepático comum  Aumentos das dimensões da vesícula biliar e do ducto cístico ocorrem nas primeiras 24horas dilatação do ducto biliar comum em 48h dilatação de ductos intra-hepáticos em 5 a 7 dias Obstrução Biliar Extrahepática  Alterações inflamatórias  Litíases  Alterações Obstrutivas  Alterações Neoplásicas  Vesícula biliar atrófica
  • 63.
    Sinais de ObstruçãoBiliar  ducto biliar comum dilatado - > 0,3 cm para cães - > 0,5 cm para gatos (excelente indicador!)  vesícula biliar dilatada (pode ou não estar presente) – achado inconsistente   visibilização de ductos biliares intra-hepáticos  Alterações inflamatórias  Litíases  Alterações Obstrutivas  Alterações Neoplásicas  Vesícula biliar atrófica
  • 64.
     Alterações inflamatórias Litíases  Alterações Obstrutivas  Alterações Neoplásicas  Vesícula biliar atrófica
  • 65.
     Alterações inflamatórias Litíases  Alterações Obstrutivas  Alterações Neoplásicas  Vesícula biliar atrófica
  • 66.
     Alterações inflamatórias Litíases  Alterações Obstrutivas  Alterações Neoplásicas  Vesícula biliar atrófica
  • 67.
     Alterações inflamatórias Litíases  Alterações Obstrutivas  Alterações Neoplásicas  Vesícula biliar atrófica
  • 68.
     Alterações inflamatórias Litíases  Alterações Obstrutivas  Alterações Neoplásicas  Vesícula biliar atrófica Obstrução Biliar Extra-Hepática (gatos)  Taxa de Mortalidade por OBEH em gatos * - Tumor 100% - Inflamação 40 – 50% - Colelitíase 22%  US e OBEH em gatos ** - DBC >5mm sugestivo de obstrução  Revisão de 30 gatos com OBEH *** *Mathew et al (2002) *Bacon et al (2003) *Eich et al (2002) **Léveillé et al (1996) ***Gaillot et al (2007)
  • 69.
     Processos neoplásicos -CA biliar 6/12 - CA pancreas 3/12 - CA duodeno 1/12 - Linfoma duodenal 1/12 - Carcinoma indiferenciado 1/12  Processos Inflamatórios Pancreatite crônica 3/11 Duodenite 2/11 Inflamação em coledoco 2/11 Peri coledocal 3/11 Abscesso pancreatico 1/11  Colelitíases - Cálculos 5/7 - Plugs 2/11 Obstrução Biliar Extra-Hepática (gatos) Revisão de 30 gatos com OBEH ***
  • 70.
     Alterações inflamatórias Litíases  Alterações Obstrutivas  Alterações Neoplásicas  Vesícula biliar atrófica Obstrução Biliar Extra-Hepática (gatos)  Dilatação da VB (inconsistente)  DBC ou DH dilatado  Origem da obstrução/ compressão: - calculos, aumento pâncreas, linfonodos, massas  Diferenciação da etiologia (inflamatória ou neoplásica) difícil de afirmar 
  • 71.
     Alterações inflamatórias Litíases  Alterações Obstrutivas  Alterações Neoplásicas  Vesícula biliar atrófica Obstrução Biliar Extra-Hepática
  • 72.
    Obstrução vias biliaresextra hepáticas sem dilatação da vesícula biliar felino  Alterações inflamatórias  Litíases  Alterações Obstrutivas  Alterações Neoplásicas  Vesícula biliar atrófica
  • 73.
     Alterações inflamatórias Litíases  Alterações Obstrutivas  Alterações Neoplásicas  Vesícula biliar atrófica
  • 74.
     Alterações inflamatórias Litíases  Alterações Obstrutivas  Alterações Neoplásicas  Vesícula biliar atrófica Obstrução Biliar Extra-Hepática (cães)  Sinais de obstrução Pesquisa da etiologia da obstrução/ compressão: - Inflamatória (fígado, pâncreas e TGI) - Cálculos - Tumores (fígado, pâncreas, linfonodos, duodeno)
  • 75.
  • 76.
  • 77.
     Na vesículabiliar: - benignas (pólipos, cistoadenomas) - malignas (carcinomas)  Nas vias biliares: aspecto variável não distinto das neoplasias hepáticas  Alterações inflamatórias  Litíases  Alterações Obstrutivas  Alterações Neoplásicas  Vesícula biliar atrófica Alterações Neoplásicas da Vesícula Biliar e vias biliares
  • 78.
     Alterações inflamatórias Litíases  Alterações Obstrutivas  Alterações Neoplásicas  Vesícula biliar atrófica Alterações Neoplásicas da Vesícula Biliar e vias biliares Pólipos em vesícula biliar: adenomas
  • 79.
    Cistoadenoma biliar: aparênciade esponja cão  Alterações inflamatórias  Litíases  Alterações Obstrutivas  Alterações Neoplásicas  Vesícula biliar atrófica
  • 80.
    Cistoadenoma biliar  Alteraçõesinflamatórias  Litíases  Alterações Obstrutivas  Alterações Neoplásicas  Vesícula biliar atrófica gato
  • 81.
    felino  Alterações inflamatórias Litíases  Alterações Obstrutivas  Alterações Neoplásicas  Vesícula biliar atrófica canino Cistoadenoma biliar
  • 82.
     Alterações inflamatórias Litíases  Alterações Obstrutivas  Alterações Neoplásicas  Vesícula biliar atrófica Carcinoma biliar
  • 83.
    Fonte: Nyland, 2004 Alterações inflamatórias  Litíases  Alterações Obstrutivas  Alterações Neoplásicas  Vesícula biliar atrófica Carcinoma biliar
  • 84.
    Carcinomatose  Alterações inflamatórias Litíases  Alterações Obstrutivas  Alterações Neoplásicas  Vesícula biliar atrófica
  • 85.
    Vesicula biliar atrófica Alterações inflamatórias  Litíases  Alterações Obstrutivas  Alterações Neoplásicas  Vesícula biliar atrófica
  • 86.
     Alterações inflamatórias Litíases  Alterações Obstrutivas  Alterações Neoplásicas  Vesícula biliar atrófica Vesicula biliar atrófica
  • 87.
    Conclusões  A USmodo-B é fundamental na avaliação das alterações hepáticas e biliares, considerado atualmente o exame de diagnóstico por imagem de eleição para tal finalidade.