A Interpretação de Raio-X
em Patologias
Respiratórias
Dra. Juliana Neves
Fisioterapeuta
O exame radiológico em especial a
radiografia de tórax, é um método de
diagnóstico por imagem muito utilizado,
principalmente em terapia intensiva.
• Por ser um exame complementar, os
resultados obtidos dependem intimamente de
uma anamnese prévia.
Incidências utilizadas na
radiografia de tórax
• Póstero-anterior (PA);
• Ântero-posterior (AP);
• Perfil;
• Decúbito lateral com raios horizontais
(Laurell).
Parâmetros Técnicos
• Inspiração Correta: O ideal é que o exame seja
realizado em apneia inspiratória máxima, na
visualização devemos ter 10 costelas
posteriores sobrepostas aos campos
pulmonares.
• Alinhamento/Centralização: Clavículas
equidistantes do centro da coluna e escapulas
fora do campo.
Regras Práticas
Avaliação da Parede Torácica:
• Simetria;
• Fraturas e outras alterações ósseas;
Avaliação da pleura:
• Derrame pleural;
• Pneumotórax;
Avaliação do parênquima:
• Infiltrados alveolares;
• Atelectasias.
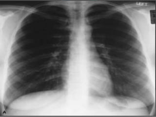
Radiografia de Tórax Normal
• Partes moles;
• Escápulas;
• Costelas;
• Coluna Vertebral;
• Campos Pulmonares;
• Hilos;
• Silhueta Mediastinal;
• Coração;
• Seios Costofrênicos;
• Seios Cardiofrênicos;
• Diafragma;
• Traqueia e Brônquios Fontes.
Patologias Respiratórias
Pneumotórax
• Hipertransparência
(presença de ar no
espaço pleural);
• A pleura visceral
delimita o pneumotórax;
• Não haverá trama
vascular na área;
• Mediastino direcionado
para o lado oposto.
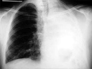
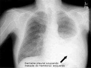
Derrame Pleural
• Hipotransparência;
• Denso e homogêneo;
• Em PA quando possuir
mais de 300ml;
• Em Laurell em
quantidades <300ml;
• Desvio do mediastino
para o lado oposto;
• Velamento do seio
costofrênico.
Atelectasia
• Hipertransparência (um
hemitórax; toda área
pulmonar; pequenas
áreas);
• Colapso Alveolar;
• Diminuição dos espaços
intercostais;
• Desvio do mediastino
ipsilateral;
• Elevação da hemicúpula
diafragmática (se for em
base).
Pneumonia
• Infiltrados pulmonares;
• Opacificação
homogênea dos lobos ou
segmentos envolvidos;
• Broncograma aéreo;
• Múltiplas opacidades;
• Processo inflamatório e
infeccioso.
DPOC
• Hipertransparência;
• Aumento dos espaços
intercostais;
• Hemicúpula
diafragmáticas
retificadas;
• Diminuição do calibre
dos vasos sanguíneos.
Edema Agudo de Pulmão
• Infiltrados bilaterais;
• Divisão em 4 quadrantes;
• Aumento da área
cardíaca;
• Velamento dos seios
costofrênico e
cardiofrênico;
• Semelhante à SDRA.
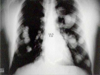
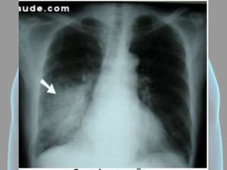
Tumores
• Hipotransparência;
• Macronódulos;
• Bordas regulares
(benigno);
• Bordas irregulares
(maligno);
Obrigada!

Raio x pós graduação

  • 1.
    A Interpretação deRaio-X em Patologias Respiratórias Dra. Juliana Neves Fisioterapeuta
  • 2.
    O exame radiológicoem especial a radiografia de tórax, é um método de diagnóstico por imagem muito utilizado, principalmente em terapia intensiva. • Por ser um exame complementar, os resultados obtidos dependem intimamente de uma anamnese prévia.
  • 3.
    Incidências utilizadas na radiografiade tórax • Póstero-anterior (PA); • Ântero-posterior (AP); • Perfil; • Decúbito lateral com raios horizontais (Laurell).
  • 4.
    Parâmetros Técnicos • InspiraçãoCorreta: O ideal é que o exame seja realizado em apneia inspiratória máxima, na visualização devemos ter 10 costelas posteriores sobrepostas aos campos pulmonares. • Alinhamento/Centralização: Clavículas equidistantes do centro da coluna e escapulas fora do campo.
  • 5.
    Regras Práticas Avaliação daParede Torácica: • Simetria; • Fraturas e outras alterações ósseas; Avaliação da pleura: • Derrame pleural; • Pneumotórax; Avaliação do parênquima: • Infiltrados alveolares; • Atelectasias.
  • 6.
    Radiografia de TóraxNormal • Partes moles; • Escápulas; • Costelas; • Coluna Vertebral; • Campos Pulmonares; • Hilos; • Silhueta Mediastinal; • Coração; • Seios Costofrênicos; • Seios Cardiofrênicos; • Diafragma; • Traqueia e Brônquios Fontes.
  • 8.
  • 9.
    Pneumotórax • Hipertransparência (presença dear no espaço pleural); • A pleura visceral delimita o pneumotórax; • Não haverá trama vascular na área; • Mediastino direcionado para o lado oposto.
  • 11.
    Derrame Pleural • Hipotransparência; •Denso e homogêneo; • Em PA quando possuir mais de 300ml; • Em Laurell em quantidades <300ml; • Desvio do mediastino para o lado oposto; • Velamento do seio costofrênico.
  • 13.
    Atelectasia • Hipertransparência (um hemitórax;toda área pulmonar; pequenas áreas); • Colapso Alveolar; • Diminuição dos espaços intercostais; • Desvio do mediastino ipsilateral; • Elevação da hemicúpula diafragmática (se for em base).
  • 15.
    Pneumonia • Infiltrados pulmonares; •Opacificação homogênea dos lobos ou segmentos envolvidos; • Broncograma aéreo; • Múltiplas opacidades; • Processo inflamatório e infeccioso.
  • 17.
    DPOC • Hipertransparência; • Aumentodos espaços intercostais; • Hemicúpula diafragmáticas retificadas; • Diminuição do calibre dos vasos sanguíneos.
  • 19.
    Edema Agudo dePulmão • Infiltrados bilaterais; • Divisão em 4 quadrantes; • Aumento da área cardíaca; • Velamento dos seios costofrênico e cardiofrênico; • Semelhante à SDRA.
  • 21.
    Tumores • Hipotransparência; • Macronódulos; •Bordas regulares (benigno); • Bordas irregulares (maligno);
  • 24.