D R . N A R E N D R A V A L O B D Á S
2 0 1 8
RX Torax
Radiografia do Tórax
• Permite avaliar:
– Sistema respiratório
– Sistema cardiovascular
– Sistema digestivo
• Geralmente é o primeiro e único exame
• Exame radiológico mais pedido
ANATOMIA RADIÓLOGICA
ANATOMIA RADIÓLOGICA
 Diâmetros do torax
Tipo de tecido (densidade, espessura)
Técnica
 Termos
- Radio-Opaco
- Radio-Transparente
- Homogeneo
- Heterogeneo
Antes do Rx sempre considerar:
 ID
 Sexo/I.G/DUM
 Quadro Clínico
A Considerar na Tecnica :
- De quem é a Chapa de RX?
- Tipo de RX
- Posição tirada
 Incidência / vista
 parte do corpo visível na radiografia
 revelação:
 Penetração
 rotação
 inspiração / expiração
 em pé ou deitado
 Partes Moles
- Enfisema?
- Obeso/Desnutrido?
 Partes Osseas
- Fratura
- Densidade ossea
 Posição do diafragma
Avaliação Do Mediastino
 Mediastino
Superior
 Mediastino
Inferior
 Traqueia
 Bronquios
 Angulos
Costofrenicos/
cardio
 Pulmões
Costelas
POST ANT
Diafragma
pneumoperitoneo
20
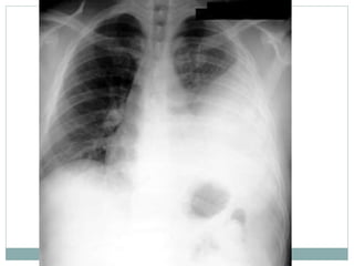
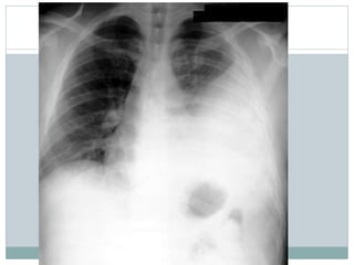
Avalie o raio x , descreve bem a
patologia cardiaca,
Conclusão?
21
Tecnica:
rotada, pouco penetrado,
revelação boa, tirado deitado e inclinado
Patologia:
• Cardiomegalia grave,
• com atrio esquerdo muito prominente
• Ventriculo esquerdo e atrio direito também
dilatados
• Trama vascular aumentada
Conclusão:
(11 anos, clinicamente IC que agravou ha uma semana)
Raio X tipico de insuficiencia mitral (provavelmente devido FR) com IC
descompensada
• NB como a penetracao é muito diminuida corremos risco de “ ver” lesões
pulmonares amais, neste caso não ha infiltrado pulmonar, apenas congestão
pulmonar!
22
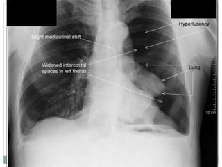
Descreva os 2 raio x’s - O que é que aconteceu ?
1
2
23
Ambos raio x’s muito rotados e descentralizados, tirado em pé
O que é e o que aconteceu ?
No 1° raio x ve se uma opacidade muito denso de quase todo pulmão direito com
desvio do mediastino para esquerdo, nao se ve linha de Alis/ Damoissau, o
limite é concav, provavelmente devido ha uma aderencia da pleura.
No 2° raio X ve-se um dreno, e agora ve-se infiltrado heterogenico nos 2 terços
inferiores do lado direito, um engrossamento da pleura direita (inferior) e falta
de tecido pulmonar que corresponde a um pneumotorax.
1
2
 Discussão de Caso
25
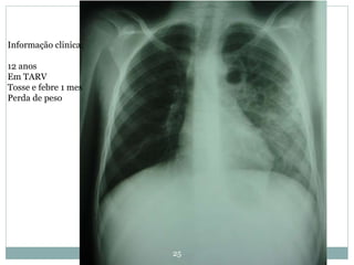
Informação clinica:
12 anos
Em TARV
Tosse e febre 1 mes
Perda de peso
Pneumotórax
Obrigado

Passos para interpretar uma radiografia do torax

  • 1.
    D R .N A R E N D R A V A L O B D Á S 2 0 1 8 RX Torax
  • 2.
    Radiografia do Tórax •Permite avaliar: – Sistema respiratório – Sistema cardiovascular – Sistema digestivo • Geralmente é o primeiro e único exame • Exame radiológico mais pedido
  • 3.
  • 4.
  • 6.
  • 7.
    Tipo de tecido(densidade, espessura)
  • 8.
  • 9.
     Termos - Radio-Opaco -Radio-Transparente - Homogeneo - Heterogeneo
  • 10.
    Antes do Rxsempre considerar:  ID  Sexo/I.G/DUM  Quadro Clínico
  • 11.
    A Considerar naTecnica : - De quem é a Chapa de RX? - Tipo de RX - Posição tirada  Incidência / vista  parte do corpo visível na radiografia  revelação:  Penetração  rotação  inspiração / expiração  em pé ou deitado
  • 14.
     Partes Moles -Enfisema? - Obeso/Desnutrido?  Partes Osseas - Fratura - Densidade ossea  Posição do diafragma
  • 15.
    Avaliação Do Mediastino Mediastino Superior  Mediastino Inferior  Traqueia  Bronquios  Angulos Costofrenicos/ cardio  Pulmões
  • 16.
  • 18.
  • 20.
    20 Avalie o raiox , descreve bem a patologia cardiaca, Conclusão?
  • 21.
    21 Tecnica: rotada, pouco penetrado, revelaçãoboa, tirado deitado e inclinado Patologia: • Cardiomegalia grave, • com atrio esquerdo muito prominente • Ventriculo esquerdo e atrio direito também dilatados • Trama vascular aumentada Conclusão: (11 anos, clinicamente IC que agravou ha uma semana) Raio X tipico de insuficiencia mitral (provavelmente devido FR) com IC descompensada • NB como a penetracao é muito diminuida corremos risco de “ ver” lesões pulmonares amais, neste caso não ha infiltrado pulmonar, apenas congestão pulmonar!
  • 22.
    22 Descreva os 2raio x’s - O que é que aconteceu ? 1 2
  • 23.
    23 Ambos raio x’smuito rotados e descentralizados, tirado em pé O que é e o que aconteceu ? No 1° raio x ve se uma opacidade muito denso de quase todo pulmão direito com desvio do mediastino para esquerdo, nao se ve linha de Alis/ Damoissau, o limite é concav, provavelmente devido ha uma aderencia da pleura. No 2° raio X ve-se um dreno, e agora ve-se infiltrado heterogenico nos 2 terços inferiores do lado direito, um engrossamento da pleura direita (inferior) e falta de tecido pulmonar que corresponde a um pneumotorax. 1 2
  • 24.
  • 25.
    25 Informação clinica: 12 anos EmTARV Tosse e febre 1 mes Perda de peso
  • 29.
  • 31.