RADIOGRAFIA DE TORÁX
PROFª FERNANDA PUMI
ABCDE DO
TÓRAX
Como avaliar um
raio-x de tórax?
4 Q’s
Que exame é esse? Raio-x de tórax em PA ou AP
Quem está fazendo esse
exame??
Paciente
Quando esse exame foi feito? Quando o raio-x foi tirado (data)
Qualidade
(como esse exame foi feito)
Rodado? Inspirado? Bem
Penetrado?
QUALIDADE
Como saber se um raio-x está “rodado?
OBSERVE:
 Clavícula e os processos espinhosos
 Preste atenção na distância entre as
bordas das clavículas e os processos
espinhosos.
 A distância entre eles deve ser igual.
 Qual é o problema do raio-x estar rodado?
 Não iremos conseguir avaliar direito a área
cardíaca, o mediastino e pode nos atrapalhar a
ver qualquer outra coisa no raio-x, por
exemplo, as costelas e o parênquima
pulmonar.
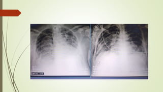
Rotação
IMAGEM 1 IMAGEM 2
QUALIDADE
Como saber se o raio-x está mal inspirado?
OBSERVE:
 Conte as costelas
 Arcos Anteriores: não vemos ele
chegando na parte mais medial da imagem,
devido a cartilagem.
 6 arcos acima do diafragma
 Arcos Posteriores: são mais retificados,
vemos o ponto em que ele se encontra
com a parte medial da imagem.
 10 arcos
 Qual o problema?
 Não conseguimos avaliar a área cardíaca (o coração vai parecer maior
do que ele é), não conseguiremos avaliar o mediastino, e não veremos
os vasos mediastinais.
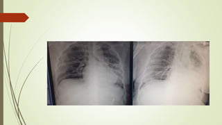
Inspiração
IMAGEM 1 IMAGEM 2
QUALIDADE
Como saber se o raio-x está bem ou mal
penetrado?
OBSERVE:
 Olhe para os processos espinhosos,
vértebras e o Arco aórtico.
 Visualize os processos espinhosos e as
vértebras até o arco aórtico.
 Qual o problema?
 Os detalhes
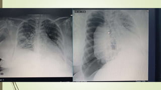
Penetração
IMAGEM 1 IMAGEM 2 IMAGEM 3
“A” traqueia
Borda dos pulmões
Coração / centro
Diafragma
Esqueleto e “esquecidas”
• Olhe para a traqueia, siga a traqueia.
• Está centralizada ou com desvio
traqueal?
• Atente para a transparência pulmonar;
• Percorra as margens;
• Verifique se os pulmões são simétricos.
• Calcule o Índice Cardiotorácico
• Olhe o centro- vasos da base, Hilos,
mediastino, cavidades
• Olhe as cúpulas, os seios costofrênicos.
• Vá em busca de derrames e “d’Hérnias”
• Procure fraturas, calos ósseos
• Ar fora do lugar (pneumo’s, enfisema)
• Corpos estranhos;
• Zonas esquecidas
Exemplo:
4Q’s:
Está é uma radiografia de tórax em PA, da D. Ana,
feita no dia 10 de março de 2021. O Exame está bem
penetrado, não está rodado e há inspiração
adequada.
ABCDE:
A: a traqueia está centralizada.
B: os campos pulmonares estão expandidos
simetricamente e claros.
C: o tamanho do coração está normal. Os contornos
mediastinais e os hilos não apresentam alterações
ao método.
D: não há evidência de derrames ou hérnias.
E: não há evidencia de fratura, pneumoperitôneo,
enfisema ou corpos estranhos.
Estruturas anatômicas e
esqueleto torácico
ESTRUTURAS ANATÔMICAS
1- TRAQUEIA
2- CARINA
3-4 – BRÔNQUIOS DIREITO E ESQUERDO
5-6 ESTURAS HILARES DIREITA E ESQUERDA
7- FISSURA HORIZONTAL DIREITA (separa o
lobo superior do lobo médio do pulmão)
8-9 - BORDA CARDÍACA DIREITA E
ESQUERDA
10- BOTÃO AÓRTICO E A AORTA TORÁCICA
DESCENDENTE
11 – ÁREA CARDÍACA
12- LINHA PARATRAQUEAL DIREITA
13-14 - HEMIDIAFRAGMAS DIREITO E
ESQUERDO
15-16 SEIOS COSTOFRÊNICOS DIREITO E
ESQUERDO
17-18 BOLHA DE AR GASTRICA E GÁS NO
COLO
ESQUELETO TORÁCICO
1-2- CLAVÍCULAS DIREITA E
ESQUERDA
3-4 – ARTICULAÇÃO
ESTERNOCLAVICULARES DIREITA E
ESQUERDA
5-6- ESCÁPULAS DIREITA E
ESQUERDA
7-8- CABEÇAS DOS ÚMEROS DIREITA
E ESQUERDA
9- PROCESSO ESPINHOSO DE “T-1”
10-11- OS PROCESSOS
TRANSVERSOS DIREITO E
ESQUERDO DE “T-1”
CA – COSTELAS ANTERIORES
CP – COSTELAS POSTERIORES
Raio-x: pulmão normal
• Os pulmões devem ser pretos
(radiotransparente).
• Parte óssea é geralmente branca.
• Os tecidos moles são representados
pela parte acinzentada.
 seio costofrênico: é o ângulo
que se forma entre o diafragma
e as costelas inferiores.
Radiotransparente: numa radiografia o que aparece branco é onde os
raios-x não passaram ou passaram pouco (como ossos, metal, partes
mais densas do corpo). O que aparece escuro é porque muitos raios-x
passaram (como ar e gordura). Essas partes escuras são quase
transparentes aos raios-x, por isso o nome “radiotransparente”.
Derrame pleural à direita.
Pulmão esquerdo: observe o seio
costofrênico.
Pulmão direito: NÃO conseguimos
visualizar o seio costofrênico, pois o
líquido tende a se acumular nas
partes mais inferiores da cavidade
pleural.
• Compressão do tecido pulmonar do
parênquima gerando uma dispneia
(falta de ar).
SINAL DE
MENISCO
Derrame Pleural – bilateral
• Ambos os pulmões estão
colapsados.
• Observe a perda dos seios
costofrênicos bilaterais.
• O líquido tende a se
acumular nas partes mais
inferiores
Empiema Pleural
 Empiema pleural é uma coleção de pus no
interior da cavidade pleural, entre os
pulmões e a parede do tórax.
 Os empiemas pleurais habitualmente
passam por três fases evolutivas:
 Um simples exsudato fluido, geralmente
estéril.
 Segue-se a formação de uma secreção
purulenta, rica em fibrina.
 Finalmente, ocorre a formação de uma
membrana envoltória espessa, contendo
pus, que restringe a expansão do pulmão.
Forma: lentiforme
“barriguinha”
Sinal de parábola
ou menisco
HEMOTÓRAX
1) Imagem
• Opacificação
• Não conseguimos visualizar o diafragma e a borda
cardíaca
• Observe a margem com o sinal de menisco.
• Derrame pleural no contexto agudo do trauma um
hemotórax.
2) Imagem
• Volumoso derrame pleural
• Opacificação completa do hemitórax esquerdo
• Desvio da traqueia, do coração e todas as
estruturas mediastinais para o outro lado
• Trata-se de um maciço hemotórax.
PNEUMOTÓRAX ESPONTÂNEO
OBSERVE:
• Radiotransparência
• Ausência de vasos pulmonares
• Área mais escuras sem a
presença de vasos pulmonares.
• Linha da pleura visceral
PNEUMOTÓRAX HIPERTENSIVO
• Pneumotórax à direita
OBSERVE:
• Radiotransparência
• Não há vasos
• O pulmão está colapsado
• Desvio da traqueia, coração e de
todas as estruturas mediastinais
para o outro lado.
HEMOPNEUMOTÓRAX
• Projétil
• Borda do pulmão (líquido e
gás no espaço pleural)
• Hemotórax
• Enfisema subcutâneo
VAMOS
TREINAR?????
17/10/2023
17/10/2023
Title Lorem Ipsum Dolor Sit Amet
2017
Lorem ipsum dolor sit amet
2018
Lorem ipsum dolor sit amet
2019
Lorem ipsum dolor sit amet
MUITO OBRIGADA!!!!

RADIOGRAFIA DE TORÁX.pptx

  • 1.
  • 2.
    ABCDE DO TÓRAX Como avaliarum raio-x de tórax?
  • 3.
    4 Q’s Que exameé esse? Raio-x de tórax em PA ou AP Quem está fazendo esse exame?? Paciente Quando esse exame foi feito? Quando o raio-x foi tirado (data) Qualidade (como esse exame foi feito) Rodado? Inspirado? Bem Penetrado?
  • 4.
    QUALIDADE Como saber seum raio-x está “rodado? OBSERVE:  Clavícula e os processos espinhosos  Preste atenção na distância entre as bordas das clavículas e os processos espinhosos.  A distância entre eles deve ser igual.  Qual é o problema do raio-x estar rodado?  Não iremos conseguir avaliar direito a área cardíaca, o mediastino e pode nos atrapalhar a ver qualquer outra coisa no raio-x, por exemplo, as costelas e o parênquima pulmonar. Rotação IMAGEM 1 IMAGEM 2
  • 5.
    QUALIDADE Como saber seo raio-x está mal inspirado? OBSERVE:  Conte as costelas  Arcos Anteriores: não vemos ele chegando na parte mais medial da imagem, devido a cartilagem.  6 arcos acima do diafragma  Arcos Posteriores: são mais retificados, vemos o ponto em que ele se encontra com a parte medial da imagem.  10 arcos  Qual o problema?  Não conseguimos avaliar a área cardíaca (o coração vai parecer maior do que ele é), não conseguiremos avaliar o mediastino, e não veremos os vasos mediastinais. Inspiração IMAGEM 1 IMAGEM 2
  • 6.
    QUALIDADE Como saber seo raio-x está bem ou mal penetrado? OBSERVE:  Olhe para os processos espinhosos, vértebras e o Arco aórtico.  Visualize os processos espinhosos e as vértebras até o arco aórtico.  Qual o problema?  Os detalhes Penetração IMAGEM 1 IMAGEM 2 IMAGEM 3
  • 7.
    “A” traqueia Borda dospulmões Coração / centro Diafragma Esqueleto e “esquecidas” • Olhe para a traqueia, siga a traqueia. • Está centralizada ou com desvio traqueal? • Atente para a transparência pulmonar; • Percorra as margens; • Verifique se os pulmões são simétricos. • Calcule o Índice Cardiotorácico • Olhe o centro- vasos da base, Hilos, mediastino, cavidades • Olhe as cúpulas, os seios costofrênicos. • Vá em busca de derrames e “d’Hérnias” • Procure fraturas, calos ósseos • Ar fora do lugar (pneumo’s, enfisema) • Corpos estranhos; • Zonas esquecidas
  • 8.
    Exemplo: 4Q’s: Está é umaradiografia de tórax em PA, da D. Ana, feita no dia 10 de março de 2021. O Exame está bem penetrado, não está rodado e há inspiração adequada. ABCDE: A: a traqueia está centralizada. B: os campos pulmonares estão expandidos simetricamente e claros. C: o tamanho do coração está normal. Os contornos mediastinais e os hilos não apresentam alterações ao método. D: não há evidência de derrames ou hérnias. E: não há evidencia de fratura, pneumoperitôneo, enfisema ou corpos estranhos.
  • 9.
  • 10.
    ESTRUTURAS ANATÔMICAS 1- TRAQUEIA 2-CARINA 3-4 – BRÔNQUIOS DIREITO E ESQUERDO 5-6 ESTURAS HILARES DIREITA E ESQUERDA 7- FISSURA HORIZONTAL DIREITA (separa o lobo superior do lobo médio do pulmão) 8-9 - BORDA CARDÍACA DIREITA E ESQUERDA 10- BOTÃO AÓRTICO E A AORTA TORÁCICA DESCENDENTE 11 – ÁREA CARDÍACA 12- LINHA PARATRAQUEAL DIREITA 13-14 - HEMIDIAFRAGMAS DIREITO E ESQUERDO 15-16 SEIOS COSTOFRÊNICOS DIREITO E ESQUERDO 17-18 BOLHA DE AR GASTRICA E GÁS NO COLO
  • 11.
    ESQUELETO TORÁCICO 1-2- CLAVÍCULASDIREITA E ESQUERDA 3-4 – ARTICULAÇÃO ESTERNOCLAVICULARES DIREITA E ESQUERDA 5-6- ESCÁPULAS DIREITA E ESQUERDA 7-8- CABEÇAS DOS ÚMEROS DIREITA E ESQUERDA 9- PROCESSO ESPINHOSO DE “T-1” 10-11- OS PROCESSOS TRANSVERSOS DIREITO E ESQUERDO DE “T-1” CA – COSTELAS ANTERIORES CP – COSTELAS POSTERIORES
  • 12.
    Raio-x: pulmão normal •Os pulmões devem ser pretos (radiotransparente). • Parte óssea é geralmente branca. • Os tecidos moles são representados pela parte acinzentada.  seio costofrênico: é o ângulo que se forma entre o diafragma e as costelas inferiores. Radiotransparente: numa radiografia o que aparece branco é onde os raios-x não passaram ou passaram pouco (como ossos, metal, partes mais densas do corpo). O que aparece escuro é porque muitos raios-x passaram (como ar e gordura). Essas partes escuras são quase transparentes aos raios-x, por isso o nome “radiotransparente”.
  • 13.
    Derrame pleural àdireita. Pulmão esquerdo: observe o seio costofrênico. Pulmão direito: NÃO conseguimos visualizar o seio costofrênico, pois o líquido tende a se acumular nas partes mais inferiores da cavidade pleural. • Compressão do tecido pulmonar do parênquima gerando uma dispneia (falta de ar). SINAL DE MENISCO
  • 14.
    Derrame Pleural –bilateral • Ambos os pulmões estão colapsados. • Observe a perda dos seios costofrênicos bilaterais. • O líquido tende a se acumular nas partes mais inferiores
  • 15.
    Empiema Pleural  Empiemapleural é uma coleção de pus no interior da cavidade pleural, entre os pulmões e a parede do tórax.  Os empiemas pleurais habitualmente passam por três fases evolutivas:  Um simples exsudato fluido, geralmente estéril.  Segue-se a formação de uma secreção purulenta, rica em fibrina.  Finalmente, ocorre a formação de uma membrana envoltória espessa, contendo pus, que restringe a expansão do pulmão. Forma: lentiforme “barriguinha” Sinal de parábola ou menisco
  • 16.
    HEMOTÓRAX 1) Imagem • Opacificação •Não conseguimos visualizar o diafragma e a borda cardíaca • Observe a margem com o sinal de menisco. • Derrame pleural no contexto agudo do trauma um hemotórax. 2) Imagem • Volumoso derrame pleural • Opacificação completa do hemitórax esquerdo • Desvio da traqueia, do coração e todas as estruturas mediastinais para o outro lado • Trata-se de um maciço hemotórax.
  • 17.
    PNEUMOTÓRAX ESPONTÂNEO OBSERVE: • Radiotransparência •Ausência de vasos pulmonares • Área mais escuras sem a presença de vasos pulmonares. • Linha da pleura visceral
  • 18.
    PNEUMOTÓRAX HIPERTENSIVO • Pneumotóraxà direita OBSERVE: • Radiotransparência • Não há vasos • O pulmão está colapsado • Desvio da traqueia, coração e de todas as estruturas mediastinais para o outro lado.
  • 19.
    HEMOPNEUMOTÓRAX • Projétil • Bordado pulmão (líquido e gás no espaço pleural) • Hemotórax • Enfisema subcutâneo
  • 20.
  • 22.
  • 23.
  • 24.
    Title Lorem IpsumDolor Sit Amet 2017 Lorem ipsum dolor sit amet 2018 Lorem ipsum dolor sit amet 2019 Lorem ipsum dolor sit amet
  • 30.