RAIO X DE TÓRAX
Fisioterapeuta R1: Juliane Morais
Pronto Socorro Cardiológico de Pernambuco Profº
Luis Tavares da Silva – PROCAPE
Programa de Especialização em Cardiologia
Modalidade Residência
Julho, 2016
Objetivos
• Apresentar o exame de raio X e as suas etapas;
• Demonstrar as incidências da radiografia de
tórax;
• Abordar imagens patológicas no Raio x.
Introdução
• É um dos exames mais utilizados na prática
médica, além de ser de baixo custo, rápida
disponibilidade e fácil realização.
• Quando associado a Anamnese e ao exame físico
facilita na elaboração do diagnóstico.
Santos, et al, 2013.
Interpretação
1. Verificar a Incidência do raio x
2. A qualidade técnica
3. Raio x fora do tórax
4. Região óssea
5. Diafragma
6. Padrão circulatório Pulmonar
7. O coração.
Incidências utilizadas
• 1. Posteroanterior- Também chamado de PA,
antes chamada de frontal.
• 2. Perfil- antes chamada de lateral
• 3.Anteroposterior- Também conhecida como AP,
antes chamada de oblíqua.
Santos, 2013
Radiografia em PA
Fonte: Google imagem
Radiografia de Perfil
Fonte: Google imagem
Radiografia em AP
Incidências radiológicas em AP e PA
Fonte : Google imagem
Interpretação
1. Verificar a Incidência do raio x
2. A qualidade técnica
3. Raio x fora do tórax
4. Região óssea
5. Diafragma
6. Padrão circulatório Pulmonar
7. O coração.
Aspectos técnicos da Radiografia de
Tórax
• Qualidade técnica.
Projeção
Orientação
RotaçãoPenetração
Grau de
Inspiração
Gambaroto, 2006.
Orientação
Fonte: Google imagem
Rotação
Fonte: Google imagem
Penetração
Raio x de tórax em PA pouco penetrada Raio X de tórax em PA muito
penetrada
Fonte: Google imagem
Radiografia simples
Partes Moles Mamas, região cervical, tecido subcutâneo,
Abdômen superior.
Arcabouço ósseo Coluna, clavículas, costelas, ombros, esterno.
Diafragma Altura, morfologia, estudo comparativo.
Seios costofrênicos Verificar se estão livres
Pleura Espessamentos, Pneumatórax, derrame pleural,
calcificação.
Parênquima pulmonar Nódulos,cavidades, infiltrados.
Hilos Comparar a morfologia e dimensões
Mediastino Alagamentos, pneumomediastino, massas.
Coração Avaliar a silhueta cardíaca, morfologia, posição.
Dimensões.
Aorta Abaulamentos, dilatações, aneurismas,
calcificações.
SANTOS, 2013
Diafragma
Fonte: Google imagem
Levemente
convexo para
o pulmão e
forma o
limite
inferior do
tórax.
Seio
costofrênico
Seio cardiofrênico
O coração
Raio X em PA
Raio x em perfil
Fonte: Google imagem
Incidência: PA
Orientação: Direita e esquerda
Rotação:extremidade das clavículas e sem um processo
espinhoso
Penetração: Muito penetrada
Diafragma: Seio Costofrênico
Coração : área Cardíaca aumentada e duplo contorno
cardíaco.
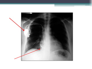
Fonte: Google imagem
Derrame
Pleural
Sinal de
congestão
Botão aór
Fonte : Google imagem
Pneumotórax
Tamanho do
Chassi (
cortado)
Fonte: Google
Imagem
Fonte: Google imagem
Congestão
Pulmonar
Orientação
Fonte: Google imagem
Raio X Em
AP.
Referências
• GAMBAROTO, G. Fisioterapia Respiratória em unidade de terapia
intensiva. São Paulo: Atheneu Rio,2006.
• SANTOS, ECL; FIGUINHA, FRC; LIMA, AGS. Manual de
cardiologia cardiopapers. São Paulo:Editora atheneu,2013.
• PRYOR, JA; WEBBER, BA. Fisioterapia para problemas
respiratórios e cardíacos.Rio de janeiro; guanabara koogan, 2010.
Raio x de tórax

Raio x de tórax

  • 1.
    RAIO X DETÓRAX Fisioterapeuta R1: Juliane Morais Pronto Socorro Cardiológico de Pernambuco Profº Luis Tavares da Silva – PROCAPE Programa de Especialização em Cardiologia Modalidade Residência Julho, 2016
  • 2.
    Objetivos • Apresentar oexame de raio X e as suas etapas; • Demonstrar as incidências da radiografia de tórax; • Abordar imagens patológicas no Raio x.
  • 3.
    Introdução • É umdos exames mais utilizados na prática médica, além de ser de baixo custo, rápida disponibilidade e fácil realização. • Quando associado a Anamnese e ao exame físico facilita na elaboração do diagnóstico. Santos, et al, 2013.
  • 4.
    Interpretação 1. Verificar aIncidência do raio x 2. A qualidade técnica 3. Raio x fora do tórax 4. Região óssea 5. Diafragma 6. Padrão circulatório Pulmonar 7. O coração.
  • 5.
    Incidências utilizadas • 1.Posteroanterior- Também chamado de PA, antes chamada de frontal. • 2. Perfil- antes chamada de lateral • 3.Anteroposterior- Também conhecida como AP, antes chamada de oblíqua. Santos, 2013
  • 6.
  • 7.
  • 8.
    Radiografia em AP Incidênciasradiológicas em AP e PA Fonte : Google imagem
  • 9.
    Interpretação 1. Verificar aIncidência do raio x 2. A qualidade técnica 3. Raio x fora do tórax 4. Região óssea 5. Diafragma 6. Padrão circulatório Pulmonar 7. O coração.
  • 10.
    Aspectos técnicos daRadiografia de Tórax • Qualidade técnica. Projeção Orientação RotaçãoPenetração Grau de Inspiração Gambaroto, 2006.
  • 11.
  • 12.
  • 13.
    Penetração Raio x detórax em PA pouco penetrada Raio X de tórax em PA muito penetrada Fonte: Google imagem
  • 14.
    Radiografia simples Partes MolesMamas, região cervical, tecido subcutâneo, Abdômen superior. Arcabouço ósseo Coluna, clavículas, costelas, ombros, esterno. Diafragma Altura, morfologia, estudo comparativo. Seios costofrênicos Verificar se estão livres Pleura Espessamentos, Pneumatórax, derrame pleural, calcificação. Parênquima pulmonar Nódulos,cavidades, infiltrados. Hilos Comparar a morfologia e dimensões Mediastino Alagamentos, pneumomediastino, massas. Coração Avaliar a silhueta cardíaca, morfologia, posição. Dimensões. Aorta Abaulamentos, dilatações, aneurismas, calcificações. SANTOS, 2013
  • 15.
    Diafragma Fonte: Google imagem Levemente convexopara o pulmão e forma o limite inferior do tórax. Seio costofrênico Seio cardiofrênico
  • 16.
    O coração Raio Xem PA Raio x em perfil Fonte: Google imagem
  • 17.
    Incidência: PA Orientação: Direitae esquerda Rotação:extremidade das clavículas e sem um processo espinhoso Penetração: Muito penetrada Diafragma: Seio Costofrênico Coração : área Cardíaca aumentada e duplo contorno cardíaco. Fonte: Google imagem
  • 18.
  • 19.
  • 20.
  • 21.
  • 23.
    Referências • GAMBAROTO, G.Fisioterapia Respiratória em unidade de terapia intensiva. São Paulo: Atheneu Rio,2006. • SANTOS, ECL; FIGUINHA, FRC; LIMA, AGS. Manual de cardiologia cardiopapers. São Paulo:Editora atheneu,2013. • PRYOR, JA; WEBBER, BA. Fisioterapia para problemas respiratórios e cardíacos.Rio de janeiro; guanabara koogan, 2010.