AVALIAÇÃO RESPIRATÓRIA
Enfª. Res. Hirla Vanessa Araújo
PRONTO SOCORRO CARDIOLÓGICO DE PERNAMBUCO
PROF° LUIZ TAVARES
PROGRAMA DE ESPECIALIZAÇAO EM CARDIOLOGIA
MODALIDADE RESIDÊNCIA
RECIFE – PE
2014
Objetivos
• Descrever os sinais e sintomas respiratórios durante a
avaliação respiratória;
• Descrever o processo do exame físico;
• Discriminar entre os sons respiratórios normal e
anormal;
• Descrever as avaliações laboratoriais e diagnósticas.
História do paciente
• O motivo pelo qual o paciente está procurando os
cuidados de saúde está frequentemente relacionado a um
dos seguintes:
▫ Dispnéia;
▫ Dor;
▫ Acúmulo de muco;
▫ Sibilância;
▫ Hemoptise;
▫ Edema de tornozelos e pés;
▫ Tosse;
▫ Fadiga e fraqueza generalizadas.
História do paciente
Quando começou o sintoma?
Quanto tempo ele durou?
Houve alívio em algum momento? Como foi obtido
esse alívio?
Sinais e sintomas
• Dispnéia:
▫ Deve ser determinada sua circunstância:
 Como o esforço deflagra a falta de ar?
 Há tosse associada?
 A dispnéia está associada a outros sintomas?
 O início da falta de ar foi súbito ou gradual?
 Em que momento do dia ou da noite ocorre a dispnéia?
 A falta de ar piora quando o paciente está deitado no leito?
 Ocorre em repouso? Com o exercício?
 A falta de ar piora quando caminha? Se +, qual a distancia? Com qual
velocidade?
• Platipnéia*
• Ortopnéia*
• Trepopnéia*
Sinais e sintomas
• Tosse:
▫ Caráter da tosse;
▫ Horário da tosse;
• Produção de escarro:
▫ A produção de escarro é a reação dos pulmões a
qualquer irritante que reincida de forma constante;
 Infecção bacteriana/Infecção viral/Bronquite crônica ou
bronquiectasia/Tumor pulmonar/Abscesso pulmonar.
Sinais e sintomas
• Produção de escarro:
Infecção bacteriana Espesso,amarelado,esverdeado
Bronquite viral Fino e mucóide
Tumor pulmonar Mucóide tinto de rosa
Edema pulmonar Espumoso róseo
Abscesso pulmonar
Bronquiectasia Odor fétido
Inf. Por fusoespiroquetas
Sinais e sintomas
• Dor torácica:
▫ Pode estar associada a doença pulmonar ou cardíaca
 Pulmonar: nem sempre produz dor torácica:
 Aguda, penetrante ou intermitente;
 Maciça, contusa ou persistente.
• Sibilância:
▫ É um achado importante em um paciente com
broncoconstrição ou estreitamento da via aérea.
Sinais e sintomas
• Banqueteamento dos dedos:
▫ Condições hipóxicas crônicas;
▫ Infecções pulmonares crônicas;
▫ Malignidades do pulmão.
• Hemoptise:
▫ Infecção pulmonar;
▫ Carcinoma de pulmão;
▫ Anormalidades do coração ou vasos sanguíneos;
▫ anormalidades da artéria ou veia pulmonar;
▫ Infarto e embolia pulmonar.
Sinais e sintomas
• Cianose:
▫ É um indicador muito tardio de hipóxia;
▫ A sua presença ou ausência é determinada pela
quantidade de hemoglobina não-glicada;
▫ 5g/dl de hemoglobina não-oxigenada;
▫ Cianose central e cianose periférica.
A cianose não é um sinal confiável de hipóxia!
Exame físico
• INSPEÇÃO
▫ Estruturas respiratórias superiores:
 Nariz e seios paranasais;
 Faringe e boca;
 Traquéia (PALPAÇÃO).
▫ Estruturas respiratórias inferiores:
 INSPEÇÃO ESTÁTICA:
 Tórax (configuração):
 Em barril;
 Em funil;
 Em peito de pombo (Pectus Carinatum);
 Cifoescoliose;
 Abaulamentos e depressões.
▫ Estruturas respiratórias inferiores:
Exame físico
• INSPEÇÃO DINÂMICA:
▫ Tipo respiratório;
▫ Ritmo e frequência da respiração:
 Eupnéia;
 Suspirosa;
 Bradipnéia;
 Taquipnéia;
 Hiperpnéia;
 Apnéia;
 Hipoventilação;
 Hiperventilação (Respiração de kussmaul);
 Respiração de Cheyne-Stokes;
 Respiração de Biot.
FR
RN 40-45
LACTENTES 25-35
PRÉ-ESCOLAR 20-35
ESCOLAR 18-35
ADULTOS 16-20
Exame físico
• INSPEÇÃO DINÂMICA
▫ Amplitude dos movimentos;
▫ Presença ou ausência de tiragem intercostal;
▫ Expansibilidade dos pulmões
Exame físico
• PALPAÇÃO TORÁCICA:
▫ Palpa-se o tórax para a hipersensibilidade, massas, lesões,
excursão respiratória e frêmito vocal:
 Pontas dos dedos: lesões cutâneas e massas subcutâneas;
 Palma da mão: massas mais profundas ou dor na costela ou
flanco generalizada.
▫ EXCURSÃO RESPIRATÓRIA
 Consiste em uma estimativa da expansão torácica e pode
revelar informações significativas a respeito do movimento
torácico durante a respiração:
 Amplitude;
 Simetria.
Exame físico
▫ FRÊMITO TÁTIL
 É a detecção da vibração resultante na parede torácica
através do tato.
 Influenciado pelo(a):
 Espessura da parede torácica;
 Obesidade;
 Homens x Mulheres;
 Mais palpável na parte superior do tórax, anterior e
posteriormente.
As vibrações são detectadas comas superfícies das mãos , ou
com a face ulnar das mãos estendidas sobre o tórax.
Exame físico
• PERCUSSÃO TORÁCICA
▫ Utiliza-se para determinar se os tecidos subjacentes
estão cheios de ar, líquido ou material sólido;
▫ Estimar o tamanho e a localização de determinadas
estruturas dentro do tórax (diafragma, coração).
PERCUSSAO TORÁCICA
Exame físico
• AUSCULTA TORÁCICA
▫ Útil na avaliação do fluxo de ar através da árvore
brônquica e na avaliação da presença de liquido ou
obstrução sólida nas estruturas pulmonares:
 Sons respiratórios normais;
 Sons adventícios
 Sons vocais.
Sons respiratórios
DURAÇAO INTENSIDADE TONALIDADE LOCALIZAÇOES
Vesicular Inspiratórios
> Expiratórios
Macia Relativamente
baixa
Todo o campo
pulmonar, exceto
sobre a parte
posterior do
esterno e entre as
escápulas
Broncovesicular Aproximadam
ente iguais
Intermediária Intermediária Frequentemente
no 1° e 2º EI,
anteriormente, e
entre as
escápulas
Bronquico Expiratórios >
Inspiratórios
Alta Relativamente
alta
Sobre o
manúbrio,
quando ouvidos
Traqueal Aproximadam
ente iguais
Muito alta Relativamente
alta
Sobre a traqueia
do pescoço
Sons adventícios
TIPO LOCALIZAÇAO PROBLEMAS
ASSOCIADOS
CARACTERÍSTICAS
Atrito pleural Superfícies pleurais Pleurite Som de rangido,
creptante ouvido
geralmente entre a insp.
e a exp.
Creptaçoes
(Estertores)
Vias aéreas periféricas
e alveólos
Atelectasia;
Inflamaçao;
Excesso de líquido
ou muco
Sons discretos e
descontínuos que
resultam da reaberura
tardia das vias aéreas
Roncos Vias aéreas calibrosas Inflamaçao;
Excesso de líquido
ou muco
Sons grosseiros e graves
e contínuos.
Sibilos Vias aéreas grandes ou
pequenas
Broncoconstriçao
por
broncoespasmo
Som musical contínuo .
Geralmente expiratório.
Sons vocais
Broncofonia Egofonia
Pectorilóquia afônica
ou fônica
Som mais alto que o
normal quando
auscultada a parede
torácica, detectável
durante o pronunciado
“33”.
É uma modificação na
qualidade do som da
letra “i” para “e”com
uma qualidade
anasalada.
É um achado muito
sutil ouvido apenas na
presença de
consolidação muito
densa do pulmão.
Volumes pulmonares Capacidades pulmonares
Volume corrente
(VC)
500 ml ou 5-10
ml/kg
Capacidade vital CV=VC+VRI+VRE
Volume de reserva
inspiratório (VRI)
3.000 ml Capacidade
inspiratória
CI=VC+VRI
Volume de reserva
expiratório (VRE)
1.100 ml Capacidade
residual
funcional
CRF=VRE+VR
Volume residual
(VR)
1.200 ml Capacidade
pulmonar total
CPT=VC+VRI+VRE
+VR
Exame físico da capacidade respiratória no
paciente
Avaliação diagnóstica
• Provas de função pulmonar (PFPs):
▫ Volumes pulmonares;
▫ Difusão;
▫ Troca gasosa.
Em geral, são realizadas por um técnico que emprega um
espirômetro. Inúmeros testes são feitos, porque nenhuma
medição isolada fornece um quadro completo da função
pulmonar.
Exames laboratoriais
• Gasometria;
• Culturas;
• Exames de escarro.
Avaliação diagnóstica
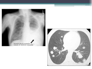
• Exames de imageamento
▫ Radiografia de tórax;
▫ Tomografia computadorizada;
▫ Imageamento por ressonância magnética;
Avaliação diagnóstica
• Exames fluoroscópicos;
▫ Angiografia pulmonar;
▫ Cintilografias pulmonares.
Avaliação diagnóstica
• Procedimentos endoscópicos
▫ Broncoscopia;
▫ Toracoscopia
Avaliação diagnóstica
• Toracocentese
• Biópsia.
Referências bibliográficas
• Brunner & Suddarth, Tratado de enfermagem médico
cirúrgica/ [editores] Suzanne C. Smeltzer...[et al.]; [revisão técnica
Isabel Cristina Fonseca da Cruz, Ivone Evangelista Cabral; tradução
Fernando Diniz Mundim, José Eduardo Ferreira de Figueiredo]. –
Rio de Janeiro: Guanabara Koogan, 2009. 4v: 11th ed.
• PORTO, Celmo Celeno. Semiologia Médica. 6.ed. Guanabara
Koogan, 2009.

Avaliação respiratória

  • 1.
    AVALIAÇÃO RESPIRATÓRIA Enfª. Res.Hirla Vanessa Araújo PRONTO SOCORRO CARDIOLÓGICO DE PERNAMBUCO PROF° LUIZ TAVARES PROGRAMA DE ESPECIALIZAÇAO EM CARDIOLOGIA MODALIDADE RESIDÊNCIA RECIFE – PE 2014
  • 2.
    Objetivos • Descrever ossinais e sintomas respiratórios durante a avaliação respiratória; • Descrever o processo do exame físico; • Discriminar entre os sons respiratórios normal e anormal; • Descrever as avaliações laboratoriais e diagnósticas.
  • 3.
    História do paciente •O motivo pelo qual o paciente está procurando os cuidados de saúde está frequentemente relacionado a um dos seguintes: ▫ Dispnéia; ▫ Dor; ▫ Acúmulo de muco; ▫ Sibilância; ▫ Hemoptise; ▫ Edema de tornozelos e pés; ▫ Tosse; ▫ Fadiga e fraqueza generalizadas.
  • 4.
    História do paciente Quandocomeçou o sintoma? Quanto tempo ele durou? Houve alívio em algum momento? Como foi obtido esse alívio?
  • 5.
    Sinais e sintomas •Dispnéia: ▫ Deve ser determinada sua circunstância:  Como o esforço deflagra a falta de ar?  Há tosse associada?  A dispnéia está associada a outros sintomas?  O início da falta de ar foi súbito ou gradual?  Em que momento do dia ou da noite ocorre a dispnéia?  A falta de ar piora quando o paciente está deitado no leito?  Ocorre em repouso? Com o exercício?  A falta de ar piora quando caminha? Se +, qual a distancia? Com qual velocidade? • Platipnéia* • Ortopnéia* • Trepopnéia*
  • 6.
    Sinais e sintomas •Tosse: ▫ Caráter da tosse; ▫ Horário da tosse; • Produção de escarro: ▫ A produção de escarro é a reação dos pulmões a qualquer irritante que reincida de forma constante;  Infecção bacteriana/Infecção viral/Bronquite crônica ou bronquiectasia/Tumor pulmonar/Abscesso pulmonar.
  • 7.
    Sinais e sintomas •Produção de escarro: Infecção bacteriana Espesso,amarelado,esverdeado Bronquite viral Fino e mucóide Tumor pulmonar Mucóide tinto de rosa Edema pulmonar Espumoso róseo Abscesso pulmonar Bronquiectasia Odor fétido Inf. Por fusoespiroquetas
  • 8.
    Sinais e sintomas •Dor torácica: ▫ Pode estar associada a doença pulmonar ou cardíaca  Pulmonar: nem sempre produz dor torácica:  Aguda, penetrante ou intermitente;  Maciça, contusa ou persistente. • Sibilância: ▫ É um achado importante em um paciente com broncoconstrição ou estreitamento da via aérea.
  • 9.
    Sinais e sintomas •Banqueteamento dos dedos: ▫ Condições hipóxicas crônicas; ▫ Infecções pulmonares crônicas; ▫ Malignidades do pulmão. • Hemoptise: ▫ Infecção pulmonar; ▫ Carcinoma de pulmão; ▫ Anormalidades do coração ou vasos sanguíneos; ▫ anormalidades da artéria ou veia pulmonar; ▫ Infarto e embolia pulmonar.
  • 10.
    Sinais e sintomas •Cianose: ▫ É um indicador muito tardio de hipóxia; ▫ A sua presença ou ausência é determinada pela quantidade de hemoglobina não-glicada; ▫ 5g/dl de hemoglobina não-oxigenada; ▫ Cianose central e cianose periférica. A cianose não é um sinal confiável de hipóxia!
  • 11.
    Exame físico • INSPEÇÃO ▫Estruturas respiratórias superiores:  Nariz e seios paranasais;  Faringe e boca;  Traquéia (PALPAÇÃO). ▫ Estruturas respiratórias inferiores:  INSPEÇÃO ESTÁTICA:  Tórax (configuração):  Em barril;  Em funil;  Em peito de pombo (Pectus Carinatum);  Cifoescoliose;  Abaulamentos e depressões.
  • 12.
  • 13.
    Exame físico • INSPEÇÃODINÂMICA: ▫ Tipo respiratório; ▫ Ritmo e frequência da respiração:  Eupnéia;  Suspirosa;  Bradipnéia;  Taquipnéia;  Hiperpnéia;  Apnéia;  Hipoventilação;  Hiperventilação (Respiração de kussmaul);  Respiração de Cheyne-Stokes;  Respiração de Biot. FR RN 40-45 LACTENTES 25-35 PRÉ-ESCOLAR 20-35 ESCOLAR 18-35 ADULTOS 16-20
  • 14.
    Exame físico • INSPEÇÃODINÂMICA ▫ Amplitude dos movimentos; ▫ Presença ou ausência de tiragem intercostal; ▫ Expansibilidade dos pulmões
  • 15.
    Exame físico • PALPAÇÃOTORÁCICA: ▫ Palpa-se o tórax para a hipersensibilidade, massas, lesões, excursão respiratória e frêmito vocal:  Pontas dos dedos: lesões cutâneas e massas subcutâneas;  Palma da mão: massas mais profundas ou dor na costela ou flanco generalizada. ▫ EXCURSÃO RESPIRATÓRIA  Consiste em uma estimativa da expansão torácica e pode revelar informações significativas a respeito do movimento torácico durante a respiração:  Amplitude;  Simetria.
  • 16.
    Exame físico ▫ FRÊMITOTÁTIL  É a detecção da vibração resultante na parede torácica através do tato.  Influenciado pelo(a):  Espessura da parede torácica;  Obesidade;  Homens x Mulheres;  Mais palpável na parte superior do tórax, anterior e posteriormente. As vibrações são detectadas comas superfícies das mãos , ou com a face ulnar das mãos estendidas sobre o tórax.
  • 17.
    Exame físico • PERCUSSÃOTORÁCICA ▫ Utiliza-se para determinar se os tecidos subjacentes estão cheios de ar, líquido ou material sólido; ▫ Estimar o tamanho e a localização de determinadas estruturas dentro do tórax (diafragma, coração).
  • 18.
  • 19.
    Exame físico • AUSCULTATORÁCICA ▫ Útil na avaliação do fluxo de ar através da árvore brônquica e na avaliação da presença de liquido ou obstrução sólida nas estruturas pulmonares:  Sons respiratórios normais;  Sons adventícios  Sons vocais.
  • 20.
    Sons respiratórios DURAÇAO INTENSIDADETONALIDADE LOCALIZAÇOES Vesicular Inspiratórios > Expiratórios Macia Relativamente baixa Todo o campo pulmonar, exceto sobre a parte posterior do esterno e entre as escápulas Broncovesicular Aproximadam ente iguais Intermediária Intermediária Frequentemente no 1° e 2º EI, anteriormente, e entre as escápulas Bronquico Expiratórios > Inspiratórios Alta Relativamente alta Sobre o manúbrio, quando ouvidos Traqueal Aproximadam ente iguais Muito alta Relativamente alta Sobre a traqueia do pescoço
  • 21.
    Sons adventícios TIPO LOCALIZAÇAOPROBLEMAS ASSOCIADOS CARACTERÍSTICAS Atrito pleural Superfícies pleurais Pleurite Som de rangido, creptante ouvido geralmente entre a insp. e a exp. Creptaçoes (Estertores) Vias aéreas periféricas e alveólos Atelectasia; Inflamaçao; Excesso de líquido ou muco Sons discretos e descontínuos que resultam da reaberura tardia das vias aéreas Roncos Vias aéreas calibrosas Inflamaçao; Excesso de líquido ou muco Sons grosseiros e graves e contínuos. Sibilos Vias aéreas grandes ou pequenas Broncoconstriçao por broncoespasmo Som musical contínuo . Geralmente expiratório.
  • 22.
    Sons vocais Broncofonia Egofonia Pectorilóquiaafônica ou fônica Som mais alto que o normal quando auscultada a parede torácica, detectável durante o pronunciado “33”. É uma modificação na qualidade do som da letra “i” para “e”com uma qualidade anasalada. É um achado muito sutil ouvido apenas na presença de consolidação muito densa do pulmão.
  • 23.
    Volumes pulmonares Capacidadespulmonares Volume corrente (VC) 500 ml ou 5-10 ml/kg Capacidade vital CV=VC+VRI+VRE Volume de reserva inspiratório (VRI) 3.000 ml Capacidade inspiratória CI=VC+VRI Volume de reserva expiratório (VRE) 1.100 ml Capacidade residual funcional CRF=VRE+VR Volume residual (VR) 1.200 ml Capacidade pulmonar total CPT=VC+VRI+VRE +VR Exame físico da capacidade respiratória no paciente
  • 24.
    Avaliação diagnóstica • Provasde função pulmonar (PFPs): ▫ Volumes pulmonares; ▫ Difusão; ▫ Troca gasosa. Em geral, são realizadas por um técnico que emprega um espirômetro. Inúmeros testes são feitos, porque nenhuma medição isolada fornece um quadro completo da função pulmonar.
  • 25.
    Exames laboratoriais • Gasometria; •Culturas; • Exames de escarro.
  • 26.
    Avaliação diagnóstica • Examesde imageamento ▫ Radiografia de tórax; ▫ Tomografia computadorizada; ▫ Imageamento por ressonância magnética;
  • 30.
    Avaliação diagnóstica • Examesfluoroscópicos; ▫ Angiografia pulmonar; ▫ Cintilografias pulmonares.
  • 31.
    Avaliação diagnóstica • Procedimentosendoscópicos ▫ Broncoscopia; ▫ Toracoscopia
  • 32.
  • 33.
    Referências bibliográficas • Brunner& Suddarth, Tratado de enfermagem médico cirúrgica/ [editores] Suzanne C. Smeltzer...[et al.]; [revisão técnica Isabel Cristina Fonseca da Cruz, Ivone Evangelista Cabral; tradução Fernando Diniz Mundim, José Eduardo Ferreira de Figueiredo]. – Rio de Janeiro: Guanabara Koogan, 2009. 4v: 11th ed. • PORTO, Celmo Celeno. Semiologia Médica. 6.ed. Guanabara Koogan, 2009.