Interpretando o Raio-X
Dr. Emanuel R. Dantas
Médico Radiologista
Dr. Emanuel R. Dantas
Interpretação Básica
1. Cheque o nome e a data.
2. Cheque a qualidade técnica do filme
3. Cheque o filme a fundo e liste algumas anormalidades que vc encontrou:
1. Sempre complete este estágio.
2. Tentações para parar quando vc encontra a primeira alteração é muito grande
e se fizer, vc pode ficar facinado em determinar a causa daquilo e esquecer de
olhar o resto do filme
4. Quando vc encontrou as alterações, desenvolva o local de encontro.
Decida se está localizado na parede torácica, pleura, etc.
5. Mentalmente, descreva a anormalidade. Quais das categorias a
anormalidade está:
1. Muito branco
2. Muito preto
3. Muito largo
4. No lugar errado
6. Finalmente não esqueça o paciente. É possível e bastante comum que um
paciente bastante doente possua um rx de tórax normal.
7. Procure a opinião de um radiologista.
Dr. Emanuel R. Dantas
Qualidade Técnica
►Sempre cheque a qualidade de qualquer
filme antes de interpretá-lo.
►Para fazer isto, vc precisa avaliar:
▪ A projeção
▪ Orientação
▪ Rotação
▪ Penetração
▪ Grau de inspiração.
Dr. Emanuel R. Dantas
Qualidade Técnica
► Projeção:
▪ Olhe para ver se o filme é AP ou PA.
▪ Filmes em AP são marcados com “AP” pelos
radiografistas e filmes em PA não são marcados vistos
serem a projeção padrão
▪ Se há dúvida, olha para a escápula. Se a escápula cobrir
os campos pulmonares, é pq é AP. Se elas não
cobrirem, está em PA.
► Orientação:
▪ Cheque sempre a marcas Left/Right. Não assuma que o
coração está sempre à esquerda. Dextrocardia é
possível.
Dr. Emanuel R. Dantas
Qualidade Técnica
► Rotação:
▪ Identifique o terço medial das clavículas e selecione um dos
processos espinhosos que cai entre as duas.
▪ Os terços mediais das clavículas devem ser eqüidistantes do
processo espinhoso.
▪ Se uma clavícula está mais próxima que a outra, então o paciente
está rodado e o pulmão naquele lado irá aparecer mais branco.
► Penetração:
▪ Para checar a penetração, olhe para a parte inferior da sombra
cardíaca. Os corpos vertebrais devem ser somente visíveis através
da sombra cardíaca neste ponto.
▪ Se eles estão claramente visíveis, então o filme está muito
penetrado.
▪ Se vc não vê eles todos, então o filme está pouco penetrado.
Dr. Emanuel R. Dantas
Qualidade Técnica
►Grau de Inspiração:
▪ Para julgar o grau de inspiração, conte o
número de costelas acima do diafragma.
▪ O centro do hemidiafragma direito deve estar a
5 e 7 costela anteriormente. O final da parte
anterior da 6 costela deve estar acima do
diafragma assim como porção posterior da 10
costela.
Dr. Emanuel R. Dantas
Estes filmes mostram o efeito da respiração. O primeiro foi tirado durante um
esforço respiratório fraco e o filme seguinte foi tirado durante total inspiração.
Dr. Emanuel R. Dantas
Lendo o Rx em PA
►Com a finalidade de achar áreas muito
brancas ou pretas, vc precisa olhar o Rx de
uma distância de cerca de 1,2m e depois
observar mais de perto.
►Pesquise o Check List (slide seguinte) de
uma distância de 1,2m e depois observe-os
novamente de perto.
Dr. Emanuel R. Dantas
Lendo o Rx em PA – Check List
1. Campos Pulmonares:
1. Eles devem ser de igual
transparência.
2. Tente identificar a fissura horizontal
(1) e checar a sua posição. Ela deve
correr do hilo até a linha axilar média
ao nível da 6 costela. Se ela estiver
deslocada, pode ser um sinal de
colapso do pulmão.
3. Procure por qualquer discretas ou
generalizadas opacidades
2. Olhe para o hilo:
1. O hilo esquerdo (2) deve estar
posicionado acima do direito (3) e
esta diferença não deve ser maior
que 2,5 cm.
2. Compare a forma e a densidade do
hilo. Eles devem ser côncavos e
possuir aparência similar
Dr. Emanuel R. Dantas
Lendo o Rx em PA – Check List
3. Cheque o coração:
1. Cheque se o coração está com a forma
normal e o seu diâmetro máximo deve
ser menor que a metade do diâmetro da
caixa torácica.
2. Cheque se não há áreas
hipotransparentes na sombra do coração.
4. Cheque o resto do mediastino:
1. A margem do mediastino deve estar livre,
embora alguma nebulosidade seja
aceitável no ângulo entre o coração e o
diafragma, nos ápices e no hilo direito.
2. Uma opacificação de qualquer outra
margem do mediastino sugere um
problema no pulmão adjacente (colapso
ou consolidação)
3. Verifique também o lado direito da
traquéia. A margem lateral da traquéia
deve possuir espessura menor que 2-3
mm.
Dr. Emanuel R. Dantas
Lendo o Rx em PA – Check List
5. Verifique os diafragmas:
1. O diafragma direito deve ser mais
alto que o esquerdo e pode ser
lembrando ao pensar que o
coração está empurrando o
diafragma esquerdo para baixo.
Esta diferença não deve ser maior
que 3 cm.
2. A margem do diafragma deve ser
aplainada. O ponto mais alto do
diafragma direito deve ser no
meio do campo pulmonar direito e
o ponto mais alto do esquerdo
deve ser um pouco mais lateral
em relação ao direito.
6. Verifique os ângulos
costofrênicos:
1. Eles deve ser bem definidos e
devem formar ângulos agudos.
Dr. Emanuel R. Dantas
Lendo o Rx em PA – Check List
7. Verifique a traquéia:
1. Ela deve estar centralizada, mas um
leve desvio para direita em volta do
arco aórtico é normal.
2. Se a traquéia foi deslocada, então
deve-se considerar um problema no
mediastino ou uma patologia em um
dos pulmões.
8. Verifique os ossos:
1. Aproxime-se do filme e olhe as
costelas, escápula e vértebras.
2. Siga as margens de cada osso
individual e procure por fraturas.
3. Procure por áreas de opacidade
dentro de cada osso e compare a
densidade dos ossos que devem ser
as mesmas em ambos os lados.
9. Tecidos Moles:
1. Procure por qualquer alargamento
das áreas de tecidos moles.
Dr. Emanuel R. Dantas
Lendo o Rx em PA – Check List
1. Cheque os pulmões (mesma transparência bilateralmente) ;
2. Observe o hilo (côncavos e aparência similar bilateralmente);
3. Cheque o coração (tamanho e opacificações borrando suas
bordas);
4. Cheque o resto do mediastino (margens e borda lateral
direita da traquéia);
5. Verifique os diafragmas (diferença de alturas e velamento de
suas bordas);
6. Verifique os ângulos costofrênicos (livres e afiados);
7. Verifique a traquéia (desvios);
8. Verifique os ossos (fraturas e opacidades);
9. Tecidos Moles (alargamentos e coleções de ar).
Dr. Emanuel R. Dantas
Lendo o Rx em Perfil
► O Rx em perfil pode ser tirado de qualquer lado do
paciente, não prejudicando o estudo.
► É sugerido olhar o filme sempre do mesmo jeito.
Sugerimos sempre vê-lo com a coluna vertebral do
lado direito e a parede torácica anterior do lado
esquerdo.
► A partir desse momento, cheque:
▪ O nome e a data
▪ Identifique os diafragmas.
Dr. Emanuel R. Dantas
Lendo o Rx em Perfil - Checklist
► Diafragmas:
▪ O hemidiafragma direito (1)
pode ser visto passando por todo
o tórax e identificado claramente
cruzando através da borda do
coração.
▪ O hemidiafragma esquerdo (2)
parece desaparecer quando ele
alcança a borda posterior do
coração.
▪ Um outro método para identificar
os diafragmas é olhar a bolha de
ar do estômago (3). O diafragma
que está logo acima dela é o
diafragma esquerdo (2).
Dr. Emanuel R. Dantas
Lendo o Rx em Perfil - Checklist
► Campos pulmonares:
▪ Compare a aparência dos
campos pulmonares acima e
em frente ao coração em
relação àqueles atrás dele.
Eles deve possuir densidade
igual.
▪ Verifique se não há
qualquer lesão em qualquer
campo.
Dr. Emanuel R. Dantas
Lendo o Rx em Perfil - Checklist
► Espaço retroesternal:
▪ Olhe cuidadosamente para o
espaço retroesternal (4).
▪ Uma massa anterior irá obliterar
este espaço, tornando-o branco.
► Fissura horizontal e oblíqua:
▪ Cheque a posição da fissura
horizontal (5).
▪ Ela corresponde uma linha
parcamente branca que deve
passar horizontalmente do centro
do hilo até a parede torácica
anterior.
▪ Cheque a fissura oblíqua (6) que
deve passar obliquamente e
inferiormente da vértebra T4/T5,
através do hilo, acabando no
terço anterior do diafragma.
Dr. Emanuel R. Dantas
Lendo o Rx em Perfil - Checklist
► Hilos:
▪ Cheque a densidade dos
hilos (7).
▪ Uma massa hilar pode tornar
hilo mais branco que o
usual.
► Diafragmas:
▪ Cheque a aparência dos
diafragmas.
▪ A presença de derrame
pleural irá causar uma
obliteração do ângulo
costofrênico tanto
anteriormente ou
posteriormente.
Dr. Emanuel R. Dantas
Lendo o Rx em Perfil - Checklist
► Verifique os corpos
vertebrais:
▪ Eles devem ficar mais
translucentes
(hipertransparentes)
quanto mais inferiormente.
▪ Verifique se eles possuem
a mesma forma, tamanho e
densidade.
▪ Procure por um colapso de
vértebra(s) que aparece
significativamente mais
hipo/hipertransparentes
que os outros corpos
adjacentes.
Dr. Emanuel R. Dantas
Localizando Lesões
► Para localizar acuradamente uma lesão na radiografia de
tórax vc precisa dos filmes em ambas as projeções.
► Primeiramente, observa o filme em PA:
▪ A posição da lesão pode ser descrita em termos de zonas.
▪ A zona superior posiciona-se acima da borda anterior direita da
segunda costela.
▪ A zona média localiza-se entre a borda anterior direita da segunda
e quarta costela.
▪ A zona inferior localiza-se entre a borda anterior direita da quarta
costela e do diafragma.
▪ Embora seja muito descritivo, ela não nos dá informação de
localização em termos de lobos.
Dr. Emanuel R. Dantas
Localizando Lesões
►Observa agora o filme em perfil:
▪ Identifique a fissura oblíqua. Se a lesão localiza-
se abaixo dessa fissura, então ela deve estar
localizada no lobo inferior.
▪ Se a lesão localiza-se acima à fissura oblíqua,
então ela pode localizar-se tanto no lobo
superior ou médio.
Dr. Emanuel R. Dantas
Neste filme em
PA, observa-se
que a lesão
(seta)
está localizada
acima da fissura
horizontal (1).
Dr. Emanuel R. Dantas
Neste filme em perfil, verifica-se
que a lesão (seta) localiza-se
acima da fissura oblíqua (1) e
acima da fissura horizontal (2).
Portanto, ela está localizada
no lobo superior direito.
Dr. Emanuel R. Dantas
O Coração – Composição das
Sombras
► Olhe para a borda direita
do coração e vá
percorrendo-a desde o
diafragma.
► Do diafragma ao hilo, a
borda direita do coração é
formada pela margem do
átrio direito (1).
► Partindo superiormente do
hilo, esta margem é
formada pela veia cava
superior (2).
Dr. Emanuel R. Dantas
O Coração – Composição das
Sombras
► Siga a borda esquerda do coração a
partir do diafragma.
► Do diafragma ao hilo esquerdo, este
borda consiste o ventrículo
esquerdo (3).
► A borda do ventrículo esquerda é
côncava na parte inferior do hilo
esquerdo e consiste do apêndice
atrial esquerdo (4).
► Esta concavidade é perdida quando
o átrio esquerdo é aumentado,
levando a um estreitamento da
borda esquerda do coração e,
algumas vezes, desenvolve uma
convexidade neste ponto. Ao nível
do hilo esquerdo, esta borda é
forma pela artéria pulmonar (5) e
acima está o arco aórtico (6).
Dr. Emanuel R. Dantas
O Coração – Composição das
Sombras
► O filme em projeção
lateral também é muito
útil.
► A borda posterior do
coração é feita pelo
ventrículo esquerdo(7) e
a outra borda (anterior)
pelo ventrículo direito
(8).
Dr. Emanuel R. Dantas
O Coração – Composição das
Sombras
► Para identificar se uma
lesão está na valva
mitral ou aórtica
desenhe uma linha
imaginária do ápice do
coração em direção ao
hilo. Se a valva
anormal está sobre
esse linha, então é
aórtica, se abaixo,
mitral.
Campos Pulmonares
Causas de hipotransparências
Dr. Emanuel R. Dantas
Derrame Pleural
►Se vc ver uma área hipotransparente na
base do pulmão, então as possíveis causas
são:
▪ Derrame pleural;
▪ Um hemidiafragma elevado
▪ Área de consolidação ou colapso.
Dr. Emanuel R. Dantas
Derrame Pleural – Determinação das
Causas
1. Olhe atentamente para a textura da consolidação:
1. Consolidação geralmente causa uma opacidade heterogênea
tipicamente com a presença de broncograma aéreo.
2. Olhe para a forma da borda superior do opacificação:
1. Se for líquido, será observado um menisco, dessa forma, a borda
superior de um derrame pleural será côncavo
3. Para diferenciar derrame pleural de elevação do
hemidiafragma olhe novamente na forma da borda
superior:
1. A borda superior de um derrame pleural terá um pico muito mais
lateralmente que o seria esperado que o diafragma fizesse.
Dr. Emanuel R. Dantas
Derrame Pleural – Determinação das
Causas
4. Procure por deslocamentos mediastinais, pois pode ser
difícil diferenciar derrame pleural de colapso pulmonar:
1. Colapso geralmente causa deslocamento mediastinal em
direção ipsilateral, então a falta do deslocamento sugere a
presença de um derrame pleural.
2. Lembre que um colapso pode acompanhar-se de um derrame
pleural, então,embora a falta de deslocamento do mediastino
sugira derrame, sua presença não o exclui.
5. Se vc identificar um derrame pleural, procure por suas
causas:
1. Verifique o tamanho do coração (olhe o hilo para ver se está
alargado)
2. Procure por partes visíveis dos pulmões a procura de massas
óbvias e cheque os ossos por sinais de metástases.
3. Olhe atentamente para o ápice dos pulmões a procura de
tumores e TB.
Dr. Emanuel R. Dantas
Dr. Emanuel R. Dantas
Colapso Pulmonar
►Colapso pulmonar é uma importante causa
de hipotransparência no Rx.
►Colapso pulmonar leva à perda de volume
do pulmão acometido de forma que os
pontos normais de referência estarão
distorcidos.
►Para diagnosticar colapso pulmonar, procure
por estes sinais (slide seguinte) para
certificar-se se eles estão na posição correta
ou não.
Dr. Emanuel R. Dantas
Colapso Pulmonar – Sinais no Rx em
PA
1. Olhe para os campos pulmonares:
1. O pulmão direito deve ser maior que o esquerdo – se não,
suspeite de um área do pulmão direito colapsado.
2. Observe os diafragmas:
1. O diafragma direito deve estar posicionado mais alto que o
esquerdo. Colapso no pulmão esquerdo pode distorcer isso.
3. Observe a fissura horizontal:
1. A fissura horizontal à direita deve correr do centro do hilo até o
nível da 6 costela na linha axilar média.
2. Se a fissura horizontal está deslocada para cima, sugere colapso
do lobo superior e, se deslocada para baixo, colapso do lobos
inferiores.
Dr. Emanuel R. Dantas
Colapso Pulmonar
4. Observe o coração:
1. O coração deve está precisamente posicionado na linha média
com 1/3 para direita e 2/3 para esquerda.
2. O coração estará desviado para o lado colapsado.
3. As bordas do coração devem ser distingüíveis. Se o pulmão
adjacente ao coração está colapsado, então a borda direita do
coração aparecerá borrada, indicando colapso do lobo médio do
pulmão direito e se a borda esquerda está opacificada, indica
colapso do segmento lingular.
5. Observe a traquéia:
1. A traquéia deve estar centrada.
2. Colapso dos lobos superiores esquerdo ou direito irá puxar a
traquéia em direção à área colapsada.
Dr. Emanuel R. Dantas
Cheque a posição das
fissuras horizontais e
oblíquas. Qualquer
deslocamento da sua
posição normal sugere
colapso.
Existe uma área de
hipotransparência na
zona
superior do pulmão
direito (1). A fissura
horizontal está elevada.
Existe uma aparente
massa
na porção superior do
hilo direito.
A traquéia está desviada
para a direita (2) e as
costelas sobre a área de
hipotransparência estão
mais próximas que o
normal.
Dr. Emanuel R. Dantas
No mesmo paciente do caso anterior,
visualiza-se neste filmes em perfil
uma opacidade hipotransparência na
porção mais superior do tórax,
indicado colapso do lobo superior.
Dr. Emanuel R. Dantas
Colapso do lobo
médio direito.
O hemidiafragma
direito pode estar
levemente
elevado (1) e a
fissura
horizontal(2)
pode estar
inferiorizada.
A parte superior
da zona inferior
pode ter uma
região de
hipotransparência
grosseira (3) de
forma que sua
borda direita é
indistingüível. Isto
é mais fácil para
detectar no perfil
(slide seguinte).
Dr. Emanuel R. Dantas
Colapso do lobo
médio direito.
No mesmo paciente do
caso anterior, observa-
se nessa projeção em
perfil uma área
triangular de
hipotransparência com
seu ápice no hilo (4) e
sua base entre o
esterno e o
diafragma(5).
Dr. Emanuel R. Dantas
Colapso do lobo
inferior direito.
Existe uma região de
hipotransparência
acima do diafragma(1)
causando a perda do
seu contorno.
Dr. Emanuel R. Dantas
Colapso do Lobo inferior
direito.
Na projeção em perfil, existe
uma região triangular na
porção posterior-basal dos
campos pulmonares.
Dr. Emanuel R. Dantas
Colapso do
lobo
superior
esquerdo.
Relembre
que a maior
parte do lobo
superior
esquerdo
repousa por
cima do lobo
inferior.
Quando ele
colapsa, isto
causa
opacificação
grosseira que
aparece por
sobre todo o
pulmão
esquerdo.
Dr. Emanuel R. Dantas
Colapso do lobo
superior esquerdo.
Na projeção em perfil, uma
área de hipotransparência
pode às vezes ser vista na
porção mais superior do
pulmão esquerdo(1).
Dr. Emanuel R. Dantas
Colapso do lobo
inferior esquerdo.
O lobo inferior
esquerdo colapsa
por trás do coração.
O campo pulmonar
esquerdo aparece
mais
hipertransparente
que o normal e a
borda esquerda do
coração aparece
mais
hipotransparente
que o normal.
Se você olhar
cuidadosamente,
você pode observar
uma opacidade
triangular atrás do
coração (1).
Dr. Emanuel R. Dantas
Colapso do lobo inferior
esquerdo.
Na projeção lateral, você
pode ver uma opacidade
triangular no canto posterior
dos campos pulmonares (2)
e os corpos vertebrais
aparecer mais
hipotransparentes.
Dr. Emanuel R. Dantas
Pneumonectomia - Sinais
► A pneumonectomia é uma outra causa de
hipotransparência dos pulmões.
► Uma causa muito rara de aparência similar é extensiva
hipoplasia or agenesia congênita de um dos pulmões.
1. Mediastino:
1. Observe primeiro a traquéia que deve estar deslocada para o
lado da pneumonectomia. Depois, observe as bordas do
coração.
2. Com a pneumonectomia, o coração é freqüentemente tão
deslocado que sua borda não é mais visível.
2. Pulmão oposto:
1. Observe o pulmão oposto à pneumonectomia. Como o
mediastino está desviado, o pulmão contralateral está
hiperinsuflado e aparece mais hipertransparente que o normal.
Dr. Emanuel R. Dantas
Colapso Pulmonar
3. Observe as bordas da opacidade:
1. Vc não deverá ver a borda superior do diafragma no
lado da pneumectomia.
4. Observe as costelas:
1. Se o paciente tiver uma pneumectomia, as costelas
deverão ter sido removidas durante a cirurgia ou
cortadas. Então observe por qualquer deformidade
nas costelas ou verifique a ausência de qualquer
costela que ajudará a confirmar o diagnóstico.
2. A costela mais afetada é a 5º.
Dr. Emanuel R. Dantas
Pneumectomia à
esquerda.
O hemitórax
esquerdo está
velado, o
mediastino
deslocado para o
lado da operação
e parte do pulmão
direito está
“herniado” para o
lado esquerdo,
dando um
escurecimento
maior no ápice
(seta) em
comparação com
a base.
Dr. Emanuel R. Dantas
Consolidação
► A consolidação é uma outra causa de área
hipotransparente.
► Primeiro, olhe para a natureza da sua densidade e
suas bordas. Se é uniforme e com bordas bem
demarcadas, é mais provável ser uma área de
colapso ou derrame pleural.
► Se a opacificação não é uniforme e as bordas não
são bem demarcadas, as possibilidades são:
▪ Consolidação
▪ Fibrose
▪ Alguma condição infiltrativa
Dr. Emanuel R. Dantas
Consolidação – Passos para o
Diagnóstico
1. Observa atentamente a natureza da
opacidade:
1. Na consolidação, os espaços alveolares
tornam-se cheios de líquido, tornando-os
hipotransparentes assim como as vias aéreas
retém ar, fazendo elas aparecer
hipertransparentes.
2. Se você observa uma consolidação de perto,
você pode distinguir as pequenas vias aéreas
hipertransparentes contra um fundo
hipotransparente – broncograma aéreo.
Dr. Emanuel R. Dantas
Dr. Emanuel R. Dantas
Placas de Asbestose
► Placas pleurais representam áreas de espessamento
pleural causada por fibras de asbesto.
► Espessamento pleural isolado é uma causa de
hipotransparência e pode ser difícil de diferenciar de
opacidades pulmonares;
1. Observe os campos pulmonares de ambos os pulmões:
1. Espessamento pleural é fácil identificar na periferia onde ele
aparece como uma linha espessada cercando a margem do
pulmão.
2. Se vc pode identificar uma área de espessamento pleural, então
é mais provável que as outras áreas de hipotransparência sejam
placas superpostas aos campos pulmonares.
Dr. Emanuel R. Dantas
Placas de Asbestose
2. Posição das placas:
1. Olhe cuidadosamente a posição das placas. Se as placas segue
estruturas intrapulmonares (ex.: um lobo de um pulmão), então
elas podem ser originadas do próprio pulmão. Se ela cruza
estruturas, então é mais provável ser pleural.
3. Distribuição das placas:
1. Compare a posição das placas com as linhas anterior das
costelas. Placas de asbetos são mais comumente vistas ao longo
das linhas anteriores das costelas.
2. As placas pleurais são mais prevalentes no terço médio. Elas
tendem a poupar as zonas superiores e ângulos costofrênicos.
3. Olha atentamente para ambos os pulmões. As placas pleurais são
usualmente bilaterais e vc deve ter cuidado em fazer este
diagnóstico quando observá-las em apenas um pulmão.
Dr. Emanuel R. Dantas
Placas de Asbestose
4. Observe os diafragmas:
1. Placas pleurais ao longo do diafragma são
freqüentemente calcificadas. Se você observar densas
linhas hipotransparentes (cálcio) ao longo do
diafragma, isto implica que as placas pleurais estão
presentes.
5. Observe as placas:
1. As placas são irregulares por natureza.
6. Observe Rx antigos:
1. Placas pleurais crescem vagarosamente e
provavelmente estarão visíveis em Rx anteriores.
Dr. Emanuel R. Dantas
Placas pleurais.
Este filme pertence a um
homem de 63 anos
admitido por hemorragia
gastrointestinal que tinha
sido exposto ao asbesto.
Você pode observar
múltiplas placas pleurais
calcificadas no interior da
parede torácica.
Dr. Emanuel R. Dantas
Mesotelioma
► A opacificação que o mesotelioma causa terá as mesmas
características daquelas de causa pleural.
1. A origem:
1. Olhe atentamente ao crescimento da opacificação e determine se
ela segue os limites do pulmão.
2. Se não segue, então este opacificação hipotransparente deve ser
de origem pleural.
2. As margens:
1. Observe as margens da opacificação. Se elas são lobulares,
sugere malignidade.
2. Observe a margem superior da opacidade, que vai fazer o grande
diferencial de derrame pleural. Um derrame pleural seria muito
improvável se a margem superior fosse lobular e nenhum
menisco fosse visto.
Dr. Emanuel R. Dantas
Mesotelioma.
Este Rx pertence a
um homem de 72
anos que
desenvolve dor no
peito de forte
intensidade.
Ele mostra a
característica
típica de um
mesotelioma como
uma massa pleural
margens
irregulares e
lobuladas (seta)
associado a
redução do volume
do hemitórax e
comprimento das
costelas.
Dr. Emanuel R. Dantas
Lesão em moeda
► O termo “lesão em moeda” é usado para
descrever uma discreta área hipotransparente
situada dentro de um campo pulmonar. Não
necessita ser estritamente circular.
► A grande preocupação é que pode representar um
carcinoma. Outras possibilidades são:
▪ Consolidação
▪ Abscesso
▪ Anormalidade pleural
Dr. Emanuel R. Dantas
Lesão em moeda - Passos
1. As margens:
1. Uma margem irregular, espiculada ou lobulada sugere
malignidade
2. Áreas de calcificação:
1. Estas áreas seriam densas (as mesmas do osso) e, obviamente,
mais densa que a própria lesão.
2. A calcificação é rara em lesões malignas e apontaria para
diagnósticos alternativos.
3. Natureza da lesão:
1. Se a lesão está cavitando, então o centro deve ser mais escuro
que as bordas.
2. Procure por broncogramas áereos.
3. Procure por outras lesões em moeda. A presença de mais de
uma sugere extremamente doença metastática.
Dr. Emanuel R. Dantas
Lesão em moeda - Passos
4. Periferia:
1. Procure por anormalidades na periferia. Um tumor pode causar
problemas distal a lesão primária como uma infecção causando
consolidação e uma área de colapso.
5. Resto do filme:
1. Olhe atentamente para o resto do filme. Tumores malignos pode
estar associados com linfadenopatia mediastinal ou metástase
óssea.
6. Filmes antigos:
1. Compare com filmes antigos. Tumores crescem, então se uma
lesão não alterou de tamanho por pelo menos 2 anos ou mais,
pode-se dizer que não é maligno.
Dr. Emanuel R. Dantas
Lesão em moeda.
Este é um filme pré-op
de um homem de 65
anos fumante.
Existe uma massa no
lobo superior
esquerdo com uma
borda bem definida,
discretamente
lobulada. Isto é um
carcinoma.
Dr. Emanuel R. Dantas
Lesão Pulmonar Cavitada
► Algumas lesões em moeda podem cavitar.
1. Centro da lesão:
1. Observe o centro da lesão e compare com a periferia. Se o
centro é mais escuro, sugere cavitação.
2. Procure por um nível líquido, como uma linha horizontal dentro
da lesão. Existirá uma líquido hipotransparente abaixo da linha e
hipertransparente acima (ar).
2. Projeção em perfil:
1. Observe um filme em perfil. Cavidades e líquidos são
freqüentemente mais fáceis de serem vistos nessa projeção,
especialmente quando eles estão em posição posterior ou
inferior.
3. Filmes anteriores: se a lesão é bastante antiga, pode ser
possível ver a cavidade se desenvolvendo
Dr. Emanuel R. Dantas
Lesão Pulmonar Cavitada
►Se vc diagnosticou uma lesão cavitada:
▪ Observe a parede da cavidade. Alguns autores
dizem que as paredes da cavidade são
grossas (> 10 mm) quando a lesão é uma
neoplasia e finas (< 5 mm), quando um
abscesso.
▪ Observe atentamente para o interior da
cavidade. Se parece existir uma bola branca no
seu interior é característico de aspergiloma, que
é um raro achado.
Dr. Emanuel R. Dantas
Cavitação pulmonar.
Este filme pertence a um
homem de 55 anos com
longa história de abuso de
álcool que desenvolveu
febre, tosse e adinamia.
Observe uma área
hipotransparente no zona
superior do pulmão direito
com a formação de uma
cavidade com parede
espessa que contém ar e
nível líquido (seta).
Este é um abscesso
pulmonar.
Dr. Emanuel R. Dantas
Insuficiência Cardíaca Esquerda
► Se vc suspeita de insuficiência cardíaca como causa de
uma opacificação generalizada ou localizada, então:
1. Compare os vasos:
1. Compare os vasos localizados no lobo superior e nos lobos
inferiores. Escolha um vaso no lobo superior e outro no lobo
inferior com distâncias similares ao hilo e compare suas
espessuras.
2. Os superiores devem ser mais estreitos que os inferiores.
3. Se os vasos são da mesmo tamanho ou o do lobo superior é mais
largo, então existe um inversão do fluxo sangüíneo – o primeiro
sinal de insuficiência cardíaca.
4. NOTA: Observe que esta regra só vale para filme tirados em
posição ortostática, pois na posição supina, os desvio do fluxo
para os lobos superiores é normal.
5. A inversão do fluxo sangüíneo para os lobos superiores deve-se à
baixa vasoconstrição ateriolar secundária à hipóxia alveolar.
Dr. Emanuel R. Dantas
Insuficiência Cardíaca Esquerda
2. Tamanho do coração:
1. Observe o tamanho do coração. A presença de
dilatação do ventrículo esquerdo é fortemente
sugestiva de insuficiência cardíaca.
3. Linhas B de Kerley:
1. Procure pelas linhas B de Kerley. Elas são causadas
por edema dos septos interlobulares.
2. Elas são horizontais, sem bifurcação,
hipotransparentes, melhores vistas na periferia do
pulmão logo acima do ângulo costofrênico.
Dr. Emanuel R. Dantas
Insuficiência Cardíaca. Este paciente possuía previamente um bypass coronariano.
Você pode observar que o coração está aumentado, linhas B de Kerley são vistas na
periferia de ambas as bases do pulmão e os vasos dos lobos superiores estão dilatados
e proeminentes (seta). Existe ainda um pequeno derrame pleural.
Dr. Emanuel R. Dantas
Linhas B de Kerley.
Nesta imagem magnificada da
base pulmonar direita mostra
as linhas septais horizontais
mais claramente (seta).
Dr. Emanuel R. Dantas
Bronquiectasias - Sinais
1. Opacificação em anel:
1. Essas opacificações parecem como anéis e são do tamanho de
até 1cm em diâmetro.
2. Eles podem ser únicas, mas usualmente ocorrem em grupos,
dando uma aparência de faveolamento ou em “cacho-de-uvas”.
3. Elas representam brônquios doentes vistos no final.
2. Opacificações em linhas paralelas (“tramline shadows”):
1. Procure por elas indo para a periferia dos pulmões. Elas
consistem de duas grossas linhas em branco saparadas por
preto.
2. É comum você encontrar linhas próximas ao hilo de um rx
normal. Entretanto essas opacificações em linhas paralelas são
grossas e não necessariamente próximas ao hilo,
correspondendo a brônquios doentes vistos no seu final.
Dr. Emanuel R. Dantas
Bronquiectasias - Sinais
3. Opacificações tubulares:
1. Estas são opacificações sólidas e compactas medindo
até 8 mm de largura.
2. Elas representam brônquios preenchidos por
secreções no seu final.
3. Elas não são comuns, mas sugerem bronquiectasias.
4. Opacificações em “dedo-de-luva”:
1. Elas representam um grupo de opacificações tubulares
vistas de frente, parecendo os dedos de uma luva.
Dr. Emanuel R. Dantas
Bronquiectasias
Este filme mostra
uma área
localizada de
bronquiectasias
no lobo inferior
direito que foi
resultado de uma
infecção anterior.
No lobo inferior
direito, você pode
ver típicas
opacificações em
anel, dando uma
aparência de
“cacho-de-uvas”
(1) como também
opacificações em
linhas paralelas
(2).
Dr. Emanuel R. Dantas
Fibrose
1. Olhe para Rx anteriores, pois a fibrose é um processo
crônico, que se presente anteriormente, o achado atual é
muito mais provável de ser fibrose
2. Distribuição da opacidade:
1. Observar a distribuição pode ajudar a diferenciar fibrose de
edema, já que este é basal e bilateral.
2. Opacificações bilaterais e basais podem ser tanto edema ou
fibrose.
3. Opacificações na zona média ou apicais é mais provável de ser
fibrose.
3. Observe o tamanho dos pulmões:
1. Fibrose pode causar redução dos pulmões, o que não
corresponde ao edema ou consolidação.
2. A presença de pequenos pontos nos pulmões sugere fortemente
fibrose
Dr. Emanuel R. Dantas
Fibrose
4. Observe a posição do mediastino:
1. Já que a fibrose causa diminuição dos pulmões, ela irá puxar o
mediastino em direção ao lado da fibrose.
2. Deslocamento do mediastino em direção ao lado da fibrose é
altamente sugestivo de fibrose.
5. Observe a natureza da opacificação:
1. Fibrose pulmonar mostra opacificações reticulo-nodulares que
simplesmente significa uma rede de linhas que se combinam
para formar opacificações nodulares a anelares com cerca de 5
mm em diâmetro.
2. Algumas vezes, essa rede de linhas é bastante fina, dando uma
aparência de “vidro-fosco”, semelhante a um fino véu sobre os
pulmões.
3. Com a evolução da fibrose, observa-se uma aparência mais
grosseira, que é conhecido como faveolamento.
Dr. Emanuel R. Dantas
Fibrose
6. Observe a borda do diafragma e coração:
1. Ambos podem aparecer borrados se a fibrose
está presente.
7. Observe as marcas vasculares:
1. Elas se tornam menos distintas em áreas de
fibrose. Isto acontece devido ao
desenvolvimento de numerosas áreas de
colapso do pulmão.
Dr. Emanuel R. Dantas
Fibrose
pulmonar.
Este pct possui
alveolite fibrosante
criptogênica.
Observe finas
opacificações
reticulonodulares
que se estendem de
maneira
característica para a
linha axilar de cada
hemitórax. O volume
pulmonar diminui
com a progressão da
fibrose, afetando os
lobos inferiores. A
fibrose pode tornar-
se mais
proeminente,
evoluindo para o
faveolamento, que
consiste de
numerosas
opacificações em
anel.
Dr. Emanuel R. Dantas
Opacificação Miliar
► Na opacificação miliar, os pulmões apresentam
aspecto mosqueado. Isso pode ser devido à
opacificação miliar ou uma aparência de “vidro-
fosco”. Você precisa, primeiro, distinguir os dois.
1. Distribuição da opacificação:
1. Observe a distribuição da opacificação na periferia. Se
a opacificação está presente na periferia então está
muito provável de ser patológico, pois, algumas vezes,
os vasos podem mimetizar um infiltrado intersticial,
mas isto só ocorre no centro dos campos pulmonares.
Dr. Emanuel R. Dantas
Opacificação Miliar
2. Natureza e número de opacidades:
1. Observe de perto o Rx. Na opacificação miliar, elas
devem aparecer bastante discretas
2. Se a opacificação é miliar, elas devem possuir
densidades e tamanhos similares.
3. Se a opacificação é devido a um infiltrado em vidro-
fosco, então a densidade e tamanho irão variar.
3. Base pulmonar:
1. Observe as bases pulmonares. A anatomia normal da
base pulmonar deve ser visível na opacificação miliar,
mas pode estar borrada na opacificação em vidro-
fosco.
Dr. Emanuel R. Dantas
Opacificação Miliar
► Se você reconhece a opacificação como miliar, então procure pistas para
sua causa. As possibilidades mais prováveis são:
▪ TB
▪ Sarcoidose
▪ Metástase miliar.
1. Observe a distribuição:
1. A opacificação miliar por TB é mais proeminente nos ápices, enquanto na
sarcoidose é mais predominante na região perihilar e terços médio do pulmão.
2. Já a metástase miliar, a predominância é nos terços inferiores dos pulmões.
2. Observe a densidade:
1. Altas densidades (muito branco) indica mais ser devido a pneumoconioses ou
TB calcificada.
2. Densidades menores pode ser metástases secundárias, sarcoidose ou outra
causa de mosqueteamento miliar.
3. Olhe o resto do Rx:
1. Procure por sinais de outras doenças.
2. Observe o hilo. Alargamento unilateral do hilo sugere TB, enquanto bilateral
sugere sarcoidose.
Dr. Emanuel R. Dantas
Opacificações miliares.
Este filme pertence a um
homem de 32 anos com
imunodeficiência. Ele mostra
a típica opacificação miliar
característica de TB.
Dr. Emanuel R. Dantas
Opacificação Miliar.
Campos Pulmonares
Causas de hipertransparências
Dr. Emanuel R. Dantas
DPOC
► Quando procurar por causas de
hipertransparências bilaterais, você deve: observar
a penetração:
▪ Olhe os corpos atrás do coração. Lembre que em um
bom Rx, os corpos vertebrais tornam-se difíceis de ver
por trás da sombra cardíaca. Se eles são claramente
vistos no filme, então ele é está muito penetrado.
► DPOC está associado a aumento dos pulmões
devido ao aprisionamento de ar e ao
desenvolvimento de bolhas. Para isso, siga os
passos do slide seguinte para determinar se é
DPOC ou não.
Dr. Emanuel R. Dantas
DPOC - Sinais
1. Conte o número de costelas que você vê
anteriormente:
1. Se os pulmões estão aumentados, você deverá contar mais
que 7 costelas anteriormente.
2. Observe a forma do diafragma.
1. Na DPOC, os diafragmas estão retificados ou até mesmo
aprofundados.
2. NOTA: Este sinal é mais confiável de hiperexpansão pulmonar
que contar costelas.
3. Observe a forma do coração:
1. O tórax aumentado na DPOC parece ao Rx alongar e estreitar
o coração, elevando a borda inferior.
2. O coração, em vez de estar sobre o diafragma, parece estar
pêndulo.
3. Ele também aparecerá pequeno a menos que haja alguma
insuficiência cardíaca.
Dr. Emanuel R. Dantas
DPOC
4. Procure por bolhas:
1. Elas são áreas hipertransparentes do pulmão, usualmente
redondas, cercadas por finas opacidades lineares.
2. As bolhas comprimem o pulmão normal e distorcem a
vasculatura circunjacente. Então, para procurar por bolhas,
procure por áreas de distorção da arquitetura vascular.
5. Observe a distribuição das marcas vasculares
pulmonares:
1. Os pulmões hipertransparentes da DPOC são devidos a
diminuição das marcas pulmonares vasculares.
2. As marcas vasculares pulmonares estão reduzidas bilateralmente
e espalhadas em linhas retas partindo do hilo, começando
grossas, mas terminando a 2/3 da periferia – poda periférica.
Dr. Emanuel R. Dantas
DPOC.
Ambos os pulmões
aparecem
hipertransparentes e
aumentados de volume.
Os hemidiafragmas estão
retificados e existem
bolhas no terço médio de
ambos os hemitórax.
Poucos vasos sangüíneos
são visíveis na periferia,
especialmente no 1/3
médio e superior, mas as
artérias pulmonares estão
alargadas centralmente,
consistente com
desenvolvimento de
hipertensão arterial
pulmonar secundária.
Dr. Emanuel R. Dantas
Pneumotórax
► A ausência das mascas vasculares pulmonares
fazem o pulmão aparecer hipertransparente.
► Opacificações vasculares irão desaparecer se o
pulmão for substituído por ar, sendo as causas:
▪ Pneumotórax
▪ Bolhas
▪ Doença cística do pulmão
▪ Tromboembolismo pulmonar, quando os vasos estão
desprovidos de sangue.
Dr. Emanuel R. Dantas
Pneumotórax – Sinais
1. Observe as margens pulmonares:
1. No pneumotórax, você verá a mergem do pulmão, que não é
normalmente vista.
2. Observe cuidadosamente para o ápice onde o ar acumulará
primeiro. Procure pela margem pulmonar. Às vezes, rodar o Rx
de posição pode facilitar.
2. Observe o mediastino:
1. Deslocamentos óbvios do mediastino em direção oposta à área
de hipertransparência sugere que um pneumotórax hipertensivo
está se desenvolvimento.
3. Observe o restante do pulmão:
1. Bolhas pulmonares é menos provável caso o resto do pulmão é
normal
Dr. Emanuel R. Dantas
Pneumotórax – Sinais
4. Bolha x Pneumotórax:
1. Se você observa marcas vasculares cruzando a áreas
de hipertransparência, então é mais provável que seja
bolha.
2. Se você ver marcas vasculares perifericamente à área
de hipetransparência, então também é mais provável
que seja bolha.
5. Solicite um Rx em Expiração:
1. Na expiração, os pulmões ficam menores, então um
pneumotórax aparecerá maior.
Dr. Emanuel R. Dantas
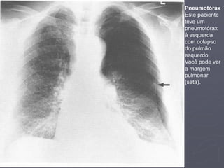
Pneumotórax
Este paciente
teve um
pneumotórax
à esquerda
com colapso
do pulmão
esquerdo.
Você pode ver
a margem
pulmonar
(seta).
Dr. Emanuel R. Dantas
Pneumotórax
hipertensivo.
Em inspiração, o pulmão
esquerdo está
completamente
colapsado, mas o
mediastino está
centralizado.
Dr. Emanuel R. Dantas
Pneumotórax
hipertensivo.
Em expiração, o ar
aprisionado no
pulmão direito sobre
pressão positiva
comprime o coração e
o pulmão esquerdo
para a esquerda.
O retorno cardíaco
está obstruído.
Dr. Emanuel R. Dantas
Embolismo Pulmonar
► Lembre-se de primeiramente checar a qualidade do
filme, pois as mudanças de densidade causadas por um
êmbolo pulmonar são bastante sutis.
1. Procure por sinais de DPOC ou pneumotórax:
1. Vc deve primeiramente excluir essas patologias, pois são causas
comuns de hipertransparências
2. Características da área de hipertransparência:
1. Determine se a área de hipertransparência está localizada ou
espalhada
2. Um êmbolo no interior de uma artéria pulmonar irá afetar
somente os segmentos supridos por aquela artéria e não será a
causa de alterações difusas.
3. NOTA: É possível que um êmbolo pulmonar massivo cause uma
hipertransparência de todo um campo pulmonar.
Dr. Emanuel R. Dantas
Êmbolismo Pulmonar
► Olhe para a artéria pulmonar e para a sombra
cardíaca:
▪ Um êmbolo pulmonar agudo irá causar dilatação da
artéria pulmonar seguido do ventrículo e átrio direito.
▪ A artéria pulmonar irá aumentar de tamanho e poderá
haver um aumento do tamanho da sombra cardíaca
▪ Êmbolo pulmonar é uma rara causa de
hipertransparência e geralmente resulta em alterações
de infarto.
Dr. Emanuel R. Dantas
Infarto Pulmonar
► Embora o êmbolo pulmonar seja uma rara causa
de hipertransparência, você geralmente verá
seguindo um êmbolo pulmonar uma área de
infarto, levando a hemorragia ou necrose do
pulmão.
► O infarto pulmonar pode resultar nas seguintes
alterações:
▪ Elevação do hemidiafragma
▪ Colapso ou atelectasias lineares
▪ Derrame pleural
▪ Opacificação em cunha (corcova de Hamptom).
Dr. Emanuel R. Dantas
Êmbolismo pulmonar.
Este Rx pertence a um
paciente que teve um
embolismo pulmonar
agudo volumoso.
Observe atentamente ao
1/3 superior do pulmão
direito.
Imediatamentemente
acima da fissura
horizontal, existe uma área
(seta) que está mais
hipertransparente que o
lado esquerdo no mesmo
nível. Este é o sinal de
Westermark de oligoemia
que indica que artéria
dessa área contém um
grande coágulo.
Observe também uma
área de consolidação
abaixo da fissura
horizontal – ela é um
pequeno foco de infarto.
Alterações Hilares
Dr. Emanuel R. Dantas
Alargamento hilar unilateral
►Suspeite de alargamento hilar unilateral se:
▪ Um hilo é maior que o outro
▪ Um hilo está mais denso que o outro
▪ Existe uma perda da concavidade normal – os
hilos são geralmente côncavos. Este
concavidade pode desaparecer e ser o primeiro
sinal de alargamento hilar.
Dr. Emanuel R. Dantas
Alargamento hilar unilateral
►Se você suspeitar de alargamento hilar
então:
▪ Cheque a qualidade do filme. Um filme rodado
fará um hilo aparecer mais largo que o outro.
▪ Olhe para o filme em projeção lateral. Um hilo
alargado pode parecer anormalmente denso na
lateral.
▪ Observe filmes anteriores.
Dr. Emanuel R. Dantas
Alargamento hilar unilateral
► Para decidir se o alargamento é devido ao
dilatação vascular ou aumento dos linfonodos
hilares ou se é devido ao um carcinoma
brônquico central superposto, observe:
1. A margem do hilo:
1. As margens vasculares são regulares por natureza.
2. Linfadenopatia dá uma aparência lobulada.
3. Espiculação irregular ou de limites imprecisos sugere
malignidade.
2. Presença de cálcio:
1. A presença de material bastante denso (cálcico)
sugere linfadenopatia
Dr. Emanuel R. Dantas
Alargamento hilar unilateral
3. Observe o resto do Rx:
1. Se vc suspeita de alargamento hilar, então olhe
cuidadosamente para a periferia procurando por
lesões (tumor, TB) infiltração pulmonar (linfangite
carcinomatosa) ou lesões ósseas (metástases).
4. Mediastino:
1. Alargamento hilar maligno pode estar associado a
linfadenopatia mediastinal superior.
Dr. Emanuel R. Dantas
Alargamento hilar
unilateral.
Observe que a borda
hilar direita está irregular,
sugerindo uma causa
maligna. O resto do filme
está normal.
Um filme em perfil é
necessário para
confirmar.
Dr. Emanuel R. Dantas
Alargamento hilar bilateral
►Alargamento hilar bilateral, assim como no
unilateral, pode ser devido a:
▪ Dilatação das artérias pulmonares
▪ Dilatação das veias pulmonares
▪ Linfonodos
►As causas comuns de alargamento hilar
bilateral são:
▪ Hipertensão pulmonar
▪ Sarcoidose
Dr. Emanuel R. Dantas
Alargamento hilar bilateral
► Se você suspeitar de hipertensão pulmonar, então:
1. Observe a periferia do Rx:
1. Hipertensão pulmonar é associada com “podamento” periférico
que significa que existe uma redução na rede vascular periférica.
2. As margens dos campos pulmonares estão mais
hipertransparentes que o normal e o centro mais
hipotransparente.
2. Observe a forma do hilo:
1. É a dilatação da artéria pulmonar que leva ao alargamento hilar
bilateral na hipertensão pulmonar. Os hilos terão a forma convexa.
3. Procure pela causa da hipertensão pulmonar:
1. Procure por sinais de doença pulmonar como DPOC e observe
atentamente a forma do coração por sinais de shunts ou estenose
mitral.
Dr. Emanuel R. Dantas
Alargamento hilar bilateral
► Se você suspeita de sarcoidose, então o alargamento
hilar deve ser o único achado. Entretanto, outras
características estão freqüentemente presentes e vc
deve procurar por:
1. Pequenos nódulos:
1. Eles medem entre 1,5 a 3 mm em diâmetro, e
predominantemente achados nos terços médios e região
perihilar. Eles são não uniformes por natureza,
moderadamente bem definidos e geralmente bilaterais.
2. Grandes nódulos:
1. Estes apresentam cerca de 1 cm em diâmetro, tem uma
margem mal-definida e, algumas vezes, coalescem para dar
lugar a opacidades maiores que podem conter broncogramas
aéreos
Dr. Emanuel R. Dantas
Alargamento hilar bilateral
► Características radiográficas da sarcoidose
(cont.):
3. Linhas:
1. O Rx pode demonstrar um emaranhado de
linhas que emanam da região hilar.
4. Faveolamento:
1. Características de fibrose podem estar
aparentes. Procure nas zonas superiores onde
é geralmente comum.
Dr. Emanuel R. Dantas
Alargamento hilar bilateral.
Este filme mostra as
características típicas de
hipertensão pulmonar.
Existe um alargamento hilar
bilateral e “podamento”
periférico.
Observe que o coração está
aumentado com o ventrículo
direito e sua saída
proeminentes.
Este pct possui hipertensão
pulmonar primária.
Alterações da Sombra
Cardíaca
Dr. Emanuel R. Dantas
Causas de Alterações da Sombra
Cardíaca
►Defeito septal atrial
►Estenose mitral
►Aneurisma ventricular esquerdo
►Derrame pericárdio
Dr. Emanuel R. Dantas
Defeito do Septo Atrial
► Se o coração está aumentado ou existe hipertensão
pulmonar, então uma causa possível é o defeito do septo
atrial
► Se você suspeita de defeito do septo atrial, então observe:
1. O coração pode estar alargado:
1. Determine a razão cardiotorácica medindo o diâmetro do tórax e o
diâmetro do coração. O coração não pode ser maior que metade do
diâmetro do tórax.
2. Observe a forma do coração:
1. Observe primeiro o ápice do coração que é freqüentemente
arredondado quando da presença de alargamento do ventrículo
esquerdo e algumas vezes levantado do diafragma.
2. Depois observe a borda direita do coração. Devido ao aumento do
átrio direito, a borda direita do coração apresenta-se mais cheia
que o normal
Dr. Emanuel R. Dantas
Defeito do Septo Atrial
3. Observe o botão aórtico e o arco aórtico:
1. Eles estarão sempre menores quando na
presença de defeito do septo atrial, pois o
sangue é desviado para o átrio direito,
diminuindo o fluxo pela aorta.
4. Cheque por sinais de hipertensão
pulmonar.
Dr. Emanuel R. Dantas
Defeito do septo atrial.
Observe que o coração
está aumentado, o ápice
está arredondando, o átrio
direito está proeminente
(1) e as artérias
pulmonares estão
dilatadas (2) devido ao
aumento do fluxo
sangüíneo pulmonar.
Dr. Emanuel R. Dantas
Estenose Mitral
► Estenose mitral pode causar alterações tanto da
forma e do tamanho do coração.
► Se você suspeita de estenose mitral, então:
1. Observe a borda esquerda do coração:
1. Observe logo abaixo do hilo esquerdo onde a borda
do coração é o átrio esquerdo.
2. Esta área é usualmente côncava, mas na estenose
mitral o átrio esquerdo está aumentado, causando a
perda da sua concavidade e alinhamento da borda
esquerda do coração.
3. Algumas vezes o átrio esquerdo estão tão aumentado
que esta parte do coração destaca-se.
Dr. Emanuel R. Dantas
Estenose Mitral
2. Observe a borda direita do coração:
1. Aumento do átrio esquerdo causa algumas vezes um
deslocamento para a direita da borda direta do coração.
3. Identifique a traquéia e a siga até ela se separar nos
brônquios fontes:
1. A carina e o ângulo entre os brônquios fontes devem ser menor
que 90º. Meça essa ângulo.
2. Se o ângulo é maior que 90º, então é sugestivo de alargamento
do átrio esquerdo, uma característica comum da estenose mitral.
4. Observe a área da valva mitral por calcificações:
1. Materiais densos em volta da valva sugeriria uma doença valvar,
mas é um achado raro.
Dr. Emanuel R. Dantas
Estenose
mitral.
Este filme pertence
a um pct que teve
febre reumática
quando jovem.
Os contornos
cardíacos estão
anormais com
saliência à direita,
dando uma dupla
borda cardíaca (1),
proeminência do
apêndice atrial
esquerdo (2) e
elvação do brônquio
fonte esquerdo (3),
indicamendo
aumento do átrio
esquerdo.
A pressão atrial
esquerda está
elevada, produzindo
aumento da pressão
venosa pulmonar
com inversão do
fluxo sangüíneo e
linhas basais
septais de edema
intersticial
Dr. Emanuel R. Dantas
Aneurisma Ventricular Esquerdo
► O aneurisma ventricular pode causar aumento
generalizado do ventrículo esquerdo e ser
indistinguível da dilatação ventricular
esquerda.
► Se você suspeitar de aneurisma, então
observe:
1. Saliência no ventrículo esquerdo:
1. Siga a borda esquerda do coração. Se uma parte da
borda faz saliência sobre o resto, isso sugere
aneurisma.
2. Procure por calficiações:
1. Se o aneurisma é longa data, então ele pode
tornar-se calcificado e você verá uma margem de
calcificação ao longo da borda direita do coração
Dr. Emanuel R. Dantas
Aneurisma
ventricular
esquerdo.
Este filme
pertence a um
homem de 57
anos com dor no
peito e dispnéia.
Em adição aos
sinais de edema
pulmonar, este
filme também
mostra um
aneurisma
ventricular
esquerdo
salientando-se
para fora e para
cima do ápice
ventricular.
Calcificação
também está
presente (seta).
Dr. Emanuel R. Dantas
Derrame Pericárdico
► Derrame pericárdico é uma causa de aumento
cardíaco. Se você suspeita, então:
1. Confirme que a área cardíaca está aumentada:
1. Cheque o índice cardiotorácico.
2. Observe atentamente para forma do coração:
1. Aumento cardíaco devido à derrame pericárdio é
generalizado, então se o aumento parece ser devido a
uma câmara cardíaca específica é improvável ser
derrame pericárdico.
2. A sombra cardíaca é globular em forma se um
derrame pericárdico está presente
Dr. Emanuel R. Dantas
Derrame Pericárdico
3. Observe os campos pulmonares:
1. Se o aumento da área cardíaca é devido a insuficiência cardíaca
esquerda, então as marcas vasculares devem estar aumentadas,
fazendo o pulmão tornar-se mais hipotransparente que o normal.
2. No derrame pericárdico, as marcas vasculares estão geralmente
normais.
4. Observe filmes anteriores:
1. Um aumento abrupto do tamanho cardíaco é sugestivo de derrame
pericárdico.
5. Observe o hilo:
1. No derrame pericárdico, a sombra cardíaca pode cobrir ambos os
hilos. Isto não irá acontecer em outras causas de aumento cardíaco.
6. Observe a linha branca na margem lateral direita da
traquéia:
1. Ela deve ser menos que 2-3 mm de espessura num filme com o pct
em ortostase. Se ela está mais branca, uma causa é o alargamento
da veia cava superior. Isto seria consistente com um derrame
pericárdico.
Dr. Emanuel R. Dantas
Derrame Pericárdico.
A área cardíaca está
aumentada e com forma
globular, cobrindo ambos
os hilos.
Alterações do Mediastino
Dr. Emanuel R. Dantas
Alargamento Mediastinal
► Se você acha que existe uma alargamento
mediastinal, então correlacione com a história
clínica.
► Se você suspeita de um aneurisma aórtico
agudo, então você deve seguir a avaliação com
CT, ECO e MRI.
► Importantes causas de alargamento mediastinal
são:
▪ Aumento da tireóide
▪ Linfonodomegalia mediastinal
▪ Dilatação aórtica
▪ Dilatação do esôfago
▪ Tumores tímicos.
Dr. Emanuel R. Dantas
Alargamento Mediastinal
1. Cheque se o filme está rodado:
1. Um filme rodado pode criar opacificações mediastinais
2. Decida se o alargamento é no topo, médio ou fim do
mediastino:
1. Se está no topo, é provável ser tireóide, timo ou artéria
inominada.
2. Se está no meio ou no fim do mediastino, pode ser
linfadenopatia, alargamento aórtico, dilatação do esôfago ou
hérnia hiatal.
3. Se o alargamento é no topo, então observe a posição da
traquéia. Um aumento da tireóide irá deslocar ou estreitar a
traquéia. Isto não acontecerá com uma artéria inominada
tortuosa – um achado comum nos idosos.
3. Olhe para o lado direito da traquéia:
1. A margem hipotransparente direita da traquéia não deve ter
espessura maior que 2-3 m. Um aumento na sua espessura
sugere tanto um alargamento da veia cava superior ou massa
paratraqueal.
Dr. Emanuel R. Dantas
Alargamento Mediastinal
4. Se você suspeita de aumento da tireóide, então observe as margens
da opacificação:
1. A tireóide possui uma área de opacificação bem definida que tende a
tornar-se menos clara à medida que se observa cranialmente
5. Se você suspeita de alargamento da aorta, então tente observar e
seguir suas margens, lembrando que a raiz da aorta não é visível:
1. Você pode detectar uma margem que se alarga para formar a margem
do mediastino alargado. Isto sugeriria que o alargamento do mediastino
é devido à dilatação da aorta.
6. Observe por calcificações da parede da aorta:
1. Se você pode detectar uma linha de calcificação, então siga-a.
2. Se a calcificação leva para uma área de contorno aórtico, então isto
sugere fortemente um aneurisma aórtico.
3. Se a linha de cálcio está separada da margem da opacificação aórtica,
então isto sugere fortemente dissecção aórtica.
Dr. Emanuel R. Dantas
Alargamento do
mediastino.
Este filme pertence a
uma paciente com
aneurisma aórtico
torácico.
O mediastino está
alargado por todo seu
comprimento com
aumento da convexidade
lateral para a esquerda.
Alterações nas Costelas
Dr. Emanuel R. Dantas
Depósitos Metastáticos
►A examinação do tórax não estará completa
até que sejam analisadas as costelas.
►As costelas devem ser de densidades
uniformes com margens contínuas.
►As principais anormalidades para se
procurar são:
▪ Fraturas (novas ou velhas)
▪ Metastases
Dr. Emanuel R. Dantas
Depósitos Metastáticos
► Novas fraturas:
1. Observe ao longo das margens de cada costela:
1. Uma nova fratura será vista como um rompimento da sua margem.
2. A partir de observado a fratura, determine a posição da fratura e procure por
outras fraturas.
3. Um linha de fraturas sugere uma lesão traumática, enquanto que fraturas
dispersas por várias costelas sugere uma lesão repetitiva (ex.: pcts alcoolistas)
ou uma fraqueza óssea devido a uma doença de base (ex.: doença maligna).
2. Observe a densidade das costelas e as compare com as densidades de
costelas normais:
1. Se as costelas estão menos hipotransparentes, isso sugere uma diminuição
óssea por uma doença de base.
3. Finalmente, procure por complicações das fraturas de costelas:
1. Enfisema cirúrgico
2. Pneumotórax e/ou hemotórax.
4. Lembre sempre que a fratura das 3 últimas costelas pode resultar em
lesão renal, hepática ou esplênica.
Dr. Emanuel R. Dantas
Depósitos Metastáticos
► Fraturas velhas:
1. Novamente, observe a margem das costelas:
1. A formação do calo ósseo que segue a uma fratura irá causar um
crescimento da costela neste ponto. Observe cuidadosamente,
pois o calo ósseo pode simular uma massa pulmonar.
► Metástases
1. Metástases:
1. Elas parecem como buracos negros nas costelas.
2. Lesões secundárias começam na medula e espalham-se para o
exterior com pouca reação em sua volta, então você está
literalmente procurando um buraco negro.
3. Observe cuidadosamente para outros ossos que possam conter
metástases.
Dr. Emanuel R. Dantas
Metástases
ósseas.
Observe
cuidadosamente
este filme. Os
pulmões estão
hiperexpandidos.
Observe a
destruição da
porção posterior
do córtex e da
medula da
quinta costela à
direita associado
a uma massa de
tecido mole mal
definida (seta).
Esta é uma
metástase lítica.
Alterações de Partes
Moles
Dr. Emanuel R. Dantas
Enfisema Cirúrgico
► Ao primeiro olhar, um enfisema cirúrgico dá uma aparência
desordenada que, algumas vezes, pode estar confinado para
um tecido mole particular, mas que também pode estar por
todo o raio-x.
► Se você suspeita de enfisema, então observe:
1. Em casos moderados, procure por áreas com forma de
losango hipertransparentes que representam depósitos de ar
no interior do tecido mole. Estas áreas irão estar todas sobre
um mesmo plano que irão seguir um plano de uma estrutura
de tecido mole.
2. Em raros casos severos, a orientação pelos planos é perdida.
Em vez de procurar por depósitos de ar em um plano
específico, procure por áreas alternantes de
hipo/hipertransparentes que não irão aparecer confinadas a
uma única estrutura de tecido mole e irá cruzar parte ou todo
o filme.
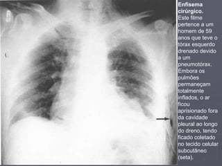
Dr. Emanuel R. Dantas
Enfisema
cirúrgico.
Este filme
pertence a um
homem de 59
anos que teve o
tórax esquerdo
drenado devido
a um
pneumotórax.
Embora os
pulmões
permaneçam
totalmente
inflados, o ar
ficou
aprisionado fora
da cavidade
pleural ao longo
do dreno, tendo
ficado coletado
no tecido celular
subcutâneo
(seta).
As Anormalidades
Escondidas
Dr. Emanuel R. Dantas
Tumor de Pancoast
► Antes de liberar um Rx como normal:
1. Observe atentamente os ápices de ambos os pulmões:
1. Este é um lugar comum para patologias pulmonares, como tumor
de Pancoast ou fibrose crônica.
2. Lesões neste localmente podem passar facilmente despercebidas
devido estarem escondidas pelas costelas e clavículas.
2. Observe atentamente a sombra cardíaca:
1. Lesões atrás do coração são freqüentemente esquecidas porque
elas estão obscurecidas pela sombra cardíaca.
2. Procure por qualquer parte da sombra cardíaca que apareça mais
hipotransparente que o normal.
3. Observe também se existe opacificação triangular do colapso do
lobo inferior.
Dr. Emanuel R. Dantas
Tumor de Pancoast
4. Observe o hilo:
1. Mudanças na forma ou densidade do hilo
podem passar facilmente despercebidas
5. Obtenha um filme em projeção lateral:
1. As mesmas anormalidades de um filme em PA
pode ser óbvias em um filme em perfil.
Dr. Emanuel R. Dantas
Tumor de
Pancoast.
Uma avaliação
superficial desse
filme pode sugerir
que existe pouco de
errado neste filme.
Entretanto, observe
o aumento de
densidade no ápice
direito (seta) e uma
opacificação sem
limites definidos na
porção superior do
hilo direito.
Inspeção mais
cuidadosa revela
que a massa apical
está destruindo as
1º e 2º costelas.

Interpretando o Raio-X

  • 1.
    Interpretando o Raio-X Dr.Emanuel R. Dantas Médico Radiologista
  • 2.
    Dr. Emanuel R.Dantas Interpretação Básica 1. Cheque o nome e a data. 2. Cheque a qualidade técnica do filme 3. Cheque o filme a fundo e liste algumas anormalidades que vc encontrou: 1. Sempre complete este estágio. 2. Tentações para parar quando vc encontra a primeira alteração é muito grande e se fizer, vc pode ficar facinado em determinar a causa daquilo e esquecer de olhar o resto do filme 4. Quando vc encontrou as alterações, desenvolva o local de encontro. Decida se está localizado na parede torácica, pleura, etc. 5. Mentalmente, descreva a anormalidade. Quais das categorias a anormalidade está: 1. Muito branco 2. Muito preto 3. Muito largo 4. No lugar errado 6. Finalmente não esqueça o paciente. É possível e bastante comum que um paciente bastante doente possua um rx de tórax normal. 7. Procure a opinião de um radiologista.
  • 3.
    Dr. Emanuel R.Dantas Qualidade Técnica ►Sempre cheque a qualidade de qualquer filme antes de interpretá-lo. ►Para fazer isto, vc precisa avaliar: ▪ A projeção ▪ Orientação ▪ Rotação ▪ Penetração ▪ Grau de inspiração.
  • 4.
    Dr. Emanuel R.Dantas Qualidade Técnica ► Projeção: ▪ Olhe para ver se o filme é AP ou PA. ▪ Filmes em AP são marcados com “AP” pelos radiografistas e filmes em PA não são marcados vistos serem a projeção padrão ▪ Se há dúvida, olha para a escápula. Se a escápula cobrir os campos pulmonares, é pq é AP. Se elas não cobrirem, está em PA. ► Orientação: ▪ Cheque sempre a marcas Left/Right. Não assuma que o coração está sempre à esquerda. Dextrocardia é possível.
  • 5.
    Dr. Emanuel R.Dantas Qualidade Técnica ► Rotação: ▪ Identifique o terço medial das clavículas e selecione um dos processos espinhosos que cai entre as duas. ▪ Os terços mediais das clavículas devem ser eqüidistantes do processo espinhoso. ▪ Se uma clavícula está mais próxima que a outra, então o paciente está rodado e o pulmão naquele lado irá aparecer mais branco. ► Penetração: ▪ Para checar a penetração, olhe para a parte inferior da sombra cardíaca. Os corpos vertebrais devem ser somente visíveis através da sombra cardíaca neste ponto. ▪ Se eles estão claramente visíveis, então o filme está muito penetrado. ▪ Se vc não vê eles todos, então o filme está pouco penetrado.
  • 6.
    Dr. Emanuel R.Dantas Qualidade Técnica ►Grau de Inspiração: ▪ Para julgar o grau de inspiração, conte o número de costelas acima do diafragma. ▪ O centro do hemidiafragma direito deve estar a 5 e 7 costela anteriormente. O final da parte anterior da 6 costela deve estar acima do diafragma assim como porção posterior da 10 costela.
  • 7.
    Dr. Emanuel R.Dantas Estes filmes mostram o efeito da respiração. O primeiro foi tirado durante um esforço respiratório fraco e o filme seguinte foi tirado durante total inspiração.
  • 8.
    Dr. Emanuel R.Dantas Lendo o Rx em PA ►Com a finalidade de achar áreas muito brancas ou pretas, vc precisa olhar o Rx de uma distância de cerca de 1,2m e depois observar mais de perto. ►Pesquise o Check List (slide seguinte) de uma distância de 1,2m e depois observe-os novamente de perto.
  • 9.
    Dr. Emanuel R.Dantas Lendo o Rx em PA – Check List 1. Campos Pulmonares: 1. Eles devem ser de igual transparência. 2. Tente identificar a fissura horizontal (1) e checar a sua posição. Ela deve correr do hilo até a linha axilar média ao nível da 6 costela. Se ela estiver deslocada, pode ser um sinal de colapso do pulmão. 3. Procure por qualquer discretas ou generalizadas opacidades 2. Olhe para o hilo: 1. O hilo esquerdo (2) deve estar posicionado acima do direito (3) e esta diferença não deve ser maior que 2,5 cm. 2. Compare a forma e a densidade do hilo. Eles devem ser côncavos e possuir aparência similar
  • 10.
    Dr. Emanuel R.Dantas Lendo o Rx em PA – Check List 3. Cheque o coração: 1. Cheque se o coração está com a forma normal e o seu diâmetro máximo deve ser menor que a metade do diâmetro da caixa torácica. 2. Cheque se não há áreas hipotransparentes na sombra do coração. 4. Cheque o resto do mediastino: 1. A margem do mediastino deve estar livre, embora alguma nebulosidade seja aceitável no ângulo entre o coração e o diafragma, nos ápices e no hilo direito. 2. Uma opacificação de qualquer outra margem do mediastino sugere um problema no pulmão adjacente (colapso ou consolidação) 3. Verifique também o lado direito da traquéia. A margem lateral da traquéia deve possuir espessura menor que 2-3 mm.
  • 11.
    Dr. Emanuel R.Dantas Lendo o Rx em PA – Check List 5. Verifique os diafragmas: 1. O diafragma direito deve ser mais alto que o esquerdo e pode ser lembrando ao pensar que o coração está empurrando o diafragma esquerdo para baixo. Esta diferença não deve ser maior que 3 cm. 2. A margem do diafragma deve ser aplainada. O ponto mais alto do diafragma direito deve ser no meio do campo pulmonar direito e o ponto mais alto do esquerdo deve ser um pouco mais lateral em relação ao direito. 6. Verifique os ângulos costofrênicos: 1. Eles deve ser bem definidos e devem formar ângulos agudos.
  • 12.
    Dr. Emanuel R.Dantas Lendo o Rx em PA – Check List 7. Verifique a traquéia: 1. Ela deve estar centralizada, mas um leve desvio para direita em volta do arco aórtico é normal. 2. Se a traquéia foi deslocada, então deve-se considerar um problema no mediastino ou uma patologia em um dos pulmões. 8. Verifique os ossos: 1. Aproxime-se do filme e olhe as costelas, escápula e vértebras. 2. Siga as margens de cada osso individual e procure por fraturas. 3. Procure por áreas de opacidade dentro de cada osso e compare a densidade dos ossos que devem ser as mesmas em ambos os lados. 9. Tecidos Moles: 1. Procure por qualquer alargamento das áreas de tecidos moles.
  • 13.
    Dr. Emanuel R.Dantas Lendo o Rx em PA – Check List 1. Cheque os pulmões (mesma transparência bilateralmente) ; 2. Observe o hilo (côncavos e aparência similar bilateralmente); 3. Cheque o coração (tamanho e opacificações borrando suas bordas); 4. Cheque o resto do mediastino (margens e borda lateral direita da traquéia); 5. Verifique os diafragmas (diferença de alturas e velamento de suas bordas); 6. Verifique os ângulos costofrênicos (livres e afiados); 7. Verifique a traquéia (desvios); 8. Verifique os ossos (fraturas e opacidades); 9. Tecidos Moles (alargamentos e coleções de ar).
  • 14.
    Dr. Emanuel R.Dantas Lendo o Rx em Perfil ► O Rx em perfil pode ser tirado de qualquer lado do paciente, não prejudicando o estudo. ► É sugerido olhar o filme sempre do mesmo jeito. Sugerimos sempre vê-lo com a coluna vertebral do lado direito e a parede torácica anterior do lado esquerdo. ► A partir desse momento, cheque: ▪ O nome e a data ▪ Identifique os diafragmas.
  • 15.
    Dr. Emanuel R.Dantas Lendo o Rx em Perfil - Checklist ► Diafragmas: ▪ O hemidiafragma direito (1) pode ser visto passando por todo o tórax e identificado claramente cruzando através da borda do coração. ▪ O hemidiafragma esquerdo (2) parece desaparecer quando ele alcança a borda posterior do coração. ▪ Um outro método para identificar os diafragmas é olhar a bolha de ar do estômago (3). O diafragma que está logo acima dela é o diafragma esquerdo (2).
  • 16.
    Dr. Emanuel R.Dantas Lendo o Rx em Perfil - Checklist ► Campos pulmonares: ▪ Compare a aparência dos campos pulmonares acima e em frente ao coração em relação àqueles atrás dele. Eles deve possuir densidade igual. ▪ Verifique se não há qualquer lesão em qualquer campo.
  • 17.
    Dr. Emanuel R.Dantas Lendo o Rx em Perfil - Checklist ► Espaço retroesternal: ▪ Olhe cuidadosamente para o espaço retroesternal (4). ▪ Uma massa anterior irá obliterar este espaço, tornando-o branco. ► Fissura horizontal e oblíqua: ▪ Cheque a posição da fissura horizontal (5). ▪ Ela corresponde uma linha parcamente branca que deve passar horizontalmente do centro do hilo até a parede torácica anterior. ▪ Cheque a fissura oblíqua (6) que deve passar obliquamente e inferiormente da vértebra T4/T5, através do hilo, acabando no terço anterior do diafragma.
  • 18.
    Dr. Emanuel R.Dantas Lendo o Rx em Perfil - Checklist ► Hilos: ▪ Cheque a densidade dos hilos (7). ▪ Uma massa hilar pode tornar hilo mais branco que o usual. ► Diafragmas: ▪ Cheque a aparência dos diafragmas. ▪ A presença de derrame pleural irá causar uma obliteração do ângulo costofrênico tanto anteriormente ou posteriormente.
  • 19.
    Dr. Emanuel R.Dantas Lendo o Rx em Perfil - Checklist ► Verifique os corpos vertebrais: ▪ Eles devem ficar mais translucentes (hipertransparentes) quanto mais inferiormente. ▪ Verifique se eles possuem a mesma forma, tamanho e densidade. ▪ Procure por um colapso de vértebra(s) que aparece significativamente mais hipo/hipertransparentes que os outros corpos adjacentes.
  • 20.
    Dr. Emanuel R.Dantas Localizando Lesões ► Para localizar acuradamente uma lesão na radiografia de tórax vc precisa dos filmes em ambas as projeções. ► Primeiramente, observa o filme em PA: ▪ A posição da lesão pode ser descrita em termos de zonas. ▪ A zona superior posiciona-se acima da borda anterior direita da segunda costela. ▪ A zona média localiza-se entre a borda anterior direita da segunda e quarta costela. ▪ A zona inferior localiza-se entre a borda anterior direita da quarta costela e do diafragma. ▪ Embora seja muito descritivo, ela não nos dá informação de localização em termos de lobos.
  • 21.
    Dr. Emanuel R.Dantas Localizando Lesões ►Observa agora o filme em perfil: ▪ Identifique a fissura oblíqua. Se a lesão localiza- se abaixo dessa fissura, então ela deve estar localizada no lobo inferior. ▪ Se a lesão localiza-se acima à fissura oblíqua, então ela pode localizar-se tanto no lobo superior ou médio.
  • 22.
    Dr. Emanuel R.Dantas Neste filme em PA, observa-se que a lesão (seta) está localizada acima da fissura horizontal (1).
  • 23.
    Dr. Emanuel R.Dantas Neste filme em perfil, verifica-se que a lesão (seta) localiza-se acima da fissura oblíqua (1) e acima da fissura horizontal (2). Portanto, ela está localizada no lobo superior direito.
  • 24.
    Dr. Emanuel R.Dantas O Coração – Composição das Sombras ► Olhe para a borda direita do coração e vá percorrendo-a desde o diafragma. ► Do diafragma ao hilo, a borda direita do coração é formada pela margem do átrio direito (1). ► Partindo superiormente do hilo, esta margem é formada pela veia cava superior (2).
  • 25.
    Dr. Emanuel R.Dantas O Coração – Composição das Sombras ► Siga a borda esquerda do coração a partir do diafragma. ► Do diafragma ao hilo esquerdo, este borda consiste o ventrículo esquerdo (3). ► A borda do ventrículo esquerda é côncava na parte inferior do hilo esquerdo e consiste do apêndice atrial esquerdo (4). ► Esta concavidade é perdida quando o átrio esquerdo é aumentado, levando a um estreitamento da borda esquerda do coração e, algumas vezes, desenvolve uma convexidade neste ponto. Ao nível do hilo esquerdo, esta borda é forma pela artéria pulmonar (5) e acima está o arco aórtico (6).
  • 26.
    Dr. Emanuel R.Dantas O Coração – Composição das Sombras ► O filme em projeção lateral também é muito útil. ► A borda posterior do coração é feita pelo ventrículo esquerdo(7) e a outra borda (anterior) pelo ventrículo direito (8).
  • 27.
    Dr. Emanuel R.Dantas O Coração – Composição das Sombras ► Para identificar se uma lesão está na valva mitral ou aórtica desenhe uma linha imaginária do ápice do coração em direção ao hilo. Se a valva anormal está sobre esse linha, então é aórtica, se abaixo, mitral.
  • 28.
    Campos Pulmonares Causas dehipotransparências
  • 29.
    Dr. Emanuel R.Dantas Derrame Pleural ►Se vc ver uma área hipotransparente na base do pulmão, então as possíveis causas são: ▪ Derrame pleural; ▪ Um hemidiafragma elevado ▪ Área de consolidação ou colapso.
  • 30.
    Dr. Emanuel R.Dantas Derrame Pleural – Determinação das Causas 1. Olhe atentamente para a textura da consolidação: 1. Consolidação geralmente causa uma opacidade heterogênea tipicamente com a presença de broncograma aéreo. 2. Olhe para a forma da borda superior do opacificação: 1. Se for líquido, será observado um menisco, dessa forma, a borda superior de um derrame pleural será côncavo 3. Para diferenciar derrame pleural de elevação do hemidiafragma olhe novamente na forma da borda superior: 1. A borda superior de um derrame pleural terá um pico muito mais lateralmente que o seria esperado que o diafragma fizesse.
  • 31.
    Dr. Emanuel R.Dantas Derrame Pleural – Determinação das Causas 4. Procure por deslocamentos mediastinais, pois pode ser difícil diferenciar derrame pleural de colapso pulmonar: 1. Colapso geralmente causa deslocamento mediastinal em direção ipsilateral, então a falta do deslocamento sugere a presença de um derrame pleural. 2. Lembre que um colapso pode acompanhar-se de um derrame pleural, então,embora a falta de deslocamento do mediastino sugira derrame, sua presença não o exclui. 5. Se vc identificar um derrame pleural, procure por suas causas: 1. Verifique o tamanho do coração (olhe o hilo para ver se está alargado) 2. Procure por partes visíveis dos pulmões a procura de massas óbvias e cheque os ossos por sinais de metástases. 3. Olhe atentamente para o ápice dos pulmões a procura de tumores e TB.
  • 32.
  • 33.
    Dr. Emanuel R.Dantas Colapso Pulmonar ►Colapso pulmonar é uma importante causa de hipotransparência no Rx. ►Colapso pulmonar leva à perda de volume do pulmão acometido de forma que os pontos normais de referência estarão distorcidos. ►Para diagnosticar colapso pulmonar, procure por estes sinais (slide seguinte) para certificar-se se eles estão na posição correta ou não.
  • 34.
    Dr. Emanuel R.Dantas Colapso Pulmonar – Sinais no Rx em PA 1. Olhe para os campos pulmonares: 1. O pulmão direito deve ser maior que o esquerdo – se não, suspeite de um área do pulmão direito colapsado. 2. Observe os diafragmas: 1. O diafragma direito deve estar posicionado mais alto que o esquerdo. Colapso no pulmão esquerdo pode distorcer isso. 3. Observe a fissura horizontal: 1. A fissura horizontal à direita deve correr do centro do hilo até o nível da 6 costela na linha axilar média. 2. Se a fissura horizontal está deslocada para cima, sugere colapso do lobo superior e, se deslocada para baixo, colapso do lobos inferiores.
  • 35.
    Dr. Emanuel R.Dantas Colapso Pulmonar 4. Observe o coração: 1. O coração deve está precisamente posicionado na linha média com 1/3 para direita e 2/3 para esquerda. 2. O coração estará desviado para o lado colapsado. 3. As bordas do coração devem ser distingüíveis. Se o pulmão adjacente ao coração está colapsado, então a borda direita do coração aparecerá borrada, indicando colapso do lobo médio do pulmão direito e se a borda esquerda está opacificada, indica colapso do segmento lingular. 5. Observe a traquéia: 1. A traquéia deve estar centrada. 2. Colapso dos lobos superiores esquerdo ou direito irá puxar a traquéia em direção à área colapsada.
  • 36.
    Dr. Emanuel R.Dantas Cheque a posição das fissuras horizontais e oblíquas. Qualquer deslocamento da sua posição normal sugere colapso. Existe uma área de hipotransparência na zona superior do pulmão direito (1). A fissura horizontal está elevada. Existe uma aparente massa na porção superior do hilo direito. A traquéia está desviada para a direita (2) e as costelas sobre a área de hipotransparência estão mais próximas que o normal.
  • 37.
    Dr. Emanuel R.Dantas No mesmo paciente do caso anterior, visualiza-se neste filmes em perfil uma opacidade hipotransparência na porção mais superior do tórax, indicado colapso do lobo superior.
  • 38.
    Dr. Emanuel R.Dantas Colapso do lobo médio direito. O hemidiafragma direito pode estar levemente elevado (1) e a fissura horizontal(2) pode estar inferiorizada. A parte superior da zona inferior pode ter uma região de hipotransparência grosseira (3) de forma que sua borda direita é indistingüível. Isto é mais fácil para detectar no perfil (slide seguinte).
  • 39.
    Dr. Emanuel R.Dantas Colapso do lobo médio direito. No mesmo paciente do caso anterior, observa- se nessa projeção em perfil uma área triangular de hipotransparência com seu ápice no hilo (4) e sua base entre o esterno e o diafragma(5).
  • 40.
    Dr. Emanuel R.Dantas Colapso do lobo inferior direito. Existe uma região de hipotransparência acima do diafragma(1) causando a perda do seu contorno.
  • 41.
    Dr. Emanuel R.Dantas Colapso do Lobo inferior direito. Na projeção em perfil, existe uma região triangular na porção posterior-basal dos campos pulmonares.
  • 42.
    Dr. Emanuel R.Dantas Colapso do lobo superior esquerdo. Relembre que a maior parte do lobo superior esquerdo repousa por cima do lobo inferior. Quando ele colapsa, isto causa opacificação grosseira que aparece por sobre todo o pulmão esquerdo.
  • 43.
    Dr. Emanuel R.Dantas Colapso do lobo superior esquerdo. Na projeção em perfil, uma área de hipotransparência pode às vezes ser vista na porção mais superior do pulmão esquerdo(1).
  • 44.
    Dr. Emanuel R.Dantas Colapso do lobo inferior esquerdo. O lobo inferior esquerdo colapsa por trás do coração. O campo pulmonar esquerdo aparece mais hipertransparente que o normal e a borda esquerda do coração aparece mais hipotransparente que o normal. Se você olhar cuidadosamente, você pode observar uma opacidade triangular atrás do coração (1).
  • 45.
    Dr. Emanuel R.Dantas Colapso do lobo inferior esquerdo. Na projeção lateral, você pode ver uma opacidade triangular no canto posterior dos campos pulmonares (2) e os corpos vertebrais aparecer mais hipotransparentes.
  • 46.
    Dr. Emanuel R.Dantas Pneumonectomia - Sinais ► A pneumonectomia é uma outra causa de hipotransparência dos pulmões. ► Uma causa muito rara de aparência similar é extensiva hipoplasia or agenesia congênita de um dos pulmões. 1. Mediastino: 1. Observe primeiro a traquéia que deve estar deslocada para o lado da pneumonectomia. Depois, observe as bordas do coração. 2. Com a pneumonectomia, o coração é freqüentemente tão deslocado que sua borda não é mais visível. 2. Pulmão oposto: 1. Observe o pulmão oposto à pneumonectomia. Como o mediastino está desviado, o pulmão contralateral está hiperinsuflado e aparece mais hipertransparente que o normal.
  • 47.
    Dr. Emanuel R.Dantas Colapso Pulmonar 3. Observe as bordas da opacidade: 1. Vc não deverá ver a borda superior do diafragma no lado da pneumectomia. 4. Observe as costelas: 1. Se o paciente tiver uma pneumectomia, as costelas deverão ter sido removidas durante a cirurgia ou cortadas. Então observe por qualquer deformidade nas costelas ou verifique a ausência de qualquer costela que ajudará a confirmar o diagnóstico. 2. A costela mais afetada é a 5º.
  • 48.
    Dr. Emanuel R.Dantas Pneumectomia à esquerda. O hemitórax esquerdo está velado, o mediastino deslocado para o lado da operação e parte do pulmão direito está “herniado” para o lado esquerdo, dando um escurecimento maior no ápice (seta) em comparação com a base.
  • 49.
    Dr. Emanuel R.Dantas Consolidação ► A consolidação é uma outra causa de área hipotransparente. ► Primeiro, olhe para a natureza da sua densidade e suas bordas. Se é uniforme e com bordas bem demarcadas, é mais provável ser uma área de colapso ou derrame pleural. ► Se a opacificação não é uniforme e as bordas não são bem demarcadas, as possibilidades são: ▪ Consolidação ▪ Fibrose ▪ Alguma condição infiltrativa
  • 50.
    Dr. Emanuel R.Dantas Consolidação – Passos para o Diagnóstico 1. Observa atentamente a natureza da opacidade: 1. Na consolidação, os espaços alveolares tornam-se cheios de líquido, tornando-os hipotransparentes assim como as vias aéreas retém ar, fazendo elas aparecer hipertransparentes. 2. Se você observa uma consolidação de perto, você pode distinguir as pequenas vias aéreas hipertransparentes contra um fundo hipotransparente – broncograma aéreo.
  • 51.
  • 52.
    Dr. Emanuel R.Dantas Placas de Asbestose ► Placas pleurais representam áreas de espessamento pleural causada por fibras de asbesto. ► Espessamento pleural isolado é uma causa de hipotransparência e pode ser difícil de diferenciar de opacidades pulmonares; 1. Observe os campos pulmonares de ambos os pulmões: 1. Espessamento pleural é fácil identificar na periferia onde ele aparece como uma linha espessada cercando a margem do pulmão. 2. Se vc pode identificar uma área de espessamento pleural, então é mais provável que as outras áreas de hipotransparência sejam placas superpostas aos campos pulmonares.
  • 53.
    Dr. Emanuel R.Dantas Placas de Asbestose 2. Posição das placas: 1. Olhe cuidadosamente a posição das placas. Se as placas segue estruturas intrapulmonares (ex.: um lobo de um pulmão), então elas podem ser originadas do próprio pulmão. Se ela cruza estruturas, então é mais provável ser pleural. 3. Distribuição das placas: 1. Compare a posição das placas com as linhas anterior das costelas. Placas de asbetos são mais comumente vistas ao longo das linhas anteriores das costelas. 2. As placas pleurais são mais prevalentes no terço médio. Elas tendem a poupar as zonas superiores e ângulos costofrênicos. 3. Olha atentamente para ambos os pulmões. As placas pleurais são usualmente bilaterais e vc deve ter cuidado em fazer este diagnóstico quando observá-las em apenas um pulmão.
  • 54.
    Dr. Emanuel R.Dantas Placas de Asbestose 4. Observe os diafragmas: 1. Placas pleurais ao longo do diafragma são freqüentemente calcificadas. Se você observar densas linhas hipotransparentes (cálcio) ao longo do diafragma, isto implica que as placas pleurais estão presentes. 5. Observe as placas: 1. As placas são irregulares por natureza. 6. Observe Rx antigos: 1. Placas pleurais crescem vagarosamente e provavelmente estarão visíveis em Rx anteriores.
  • 55.
    Dr. Emanuel R.Dantas Placas pleurais. Este filme pertence a um homem de 63 anos admitido por hemorragia gastrointestinal que tinha sido exposto ao asbesto. Você pode observar múltiplas placas pleurais calcificadas no interior da parede torácica.
  • 56.
    Dr. Emanuel R.Dantas Mesotelioma ► A opacificação que o mesotelioma causa terá as mesmas características daquelas de causa pleural. 1. A origem: 1. Olhe atentamente ao crescimento da opacificação e determine se ela segue os limites do pulmão. 2. Se não segue, então este opacificação hipotransparente deve ser de origem pleural. 2. As margens: 1. Observe as margens da opacificação. Se elas são lobulares, sugere malignidade. 2. Observe a margem superior da opacidade, que vai fazer o grande diferencial de derrame pleural. Um derrame pleural seria muito improvável se a margem superior fosse lobular e nenhum menisco fosse visto.
  • 57.
    Dr. Emanuel R.Dantas Mesotelioma. Este Rx pertence a um homem de 72 anos que desenvolve dor no peito de forte intensidade. Ele mostra a característica típica de um mesotelioma como uma massa pleural margens irregulares e lobuladas (seta) associado a redução do volume do hemitórax e comprimento das costelas.
  • 58.
    Dr. Emanuel R.Dantas Lesão em moeda ► O termo “lesão em moeda” é usado para descrever uma discreta área hipotransparente situada dentro de um campo pulmonar. Não necessita ser estritamente circular. ► A grande preocupação é que pode representar um carcinoma. Outras possibilidades são: ▪ Consolidação ▪ Abscesso ▪ Anormalidade pleural
  • 59.
    Dr. Emanuel R.Dantas Lesão em moeda - Passos 1. As margens: 1. Uma margem irregular, espiculada ou lobulada sugere malignidade 2. Áreas de calcificação: 1. Estas áreas seriam densas (as mesmas do osso) e, obviamente, mais densa que a própria lesão. 2. A calcificação é rara em lesões malignas e apontaria para diagnósticos alternativos. 3. Natureza da lesão: 1. Se a lesão está cavitando, então o centro deve ser mais escuro que as bordas. 2. Procure por broncogramas áereos. 3. Procure por outras lesões em moeda. A presença de mais de uma sugere extremamente doença metastática.
  • 60.
    Dr. Emanuel R.Dantas Lesão em moeda - Passos 4. Periferia: 1. Procure por anormalidades na periferia. Um tumor pode causar problemas distal a lesão primária como uma infecção causando consolidação e uma área de colapso. 5. Resto do filme: 1. Olhe atentamente para o resto do filme. Tumores malignos pode estar associados com linfadenopatia mediastinal ou metástase óssea. 6. Filmes antigos: 1. Compare com filmes antigos. Tumores crescem, então se uma lesão não alterou de tamanho por pelo menos 2 anos ou mais, pode-se dizer que não é maligno.
  • 61.
    Dr. Emanuel R.Dantas Lesão em moeda. Este é um filme pré-op de um homem de 65 anos fumante. Existe uma massa no lobo superior esquerdo com uma borda bem definida, discretamente lobulada. Isto é um carcinoma.
  • 62.
    Dr. Emanuel R.Dantas Lesão Pulmonar Cavitada ► Algumas lesões em moeda podem cavitar. 1. Centro da lesão: 1. Observe o centro da lesão e compare com a periferia. Se o centro é mais escuro, sugere cavitação. 2. Procure por um nível líquido, como uma linha horizontal dentro da lesão. Existirá uma líquido hipotransparente abaixo da linha e hipertransparente acima (ar). 2. Projeção em perfil: 1. Observe um filme em perfil. Cavidades e líquidos são freqüentemente mais fáceis de serem vistos nessa projeção, especialmente quando eles estão em posição posterior ou inferior. 3. Filmes anteriores: se a lesão é bastante antiga, pode ser possível ver a cavidade se desenvolvendo
  • 63.
    Dr. Emanuel R.Dantas Lesão Pulmonar Cavitada ►Se vc diagnosticou uma lesão cavitada: ▪ Observe a parede da cavidade. Alguns autores dizem que as paredes da cavidade são grossas (> 10 mm) quando a lesão é uma neoplasia e finas (< 5 mm), quando um abscesso. ▪ Observe atentamente para o interior da cavidade. Se parece existir uma bola branca no seu interior é característico de aspergiloma, que é um raro achado.
  • 64.
    Dr. Emanuel R.Dantas Cavitação pulmonar. Este filme pertence a um homem de 55 anos com longa história de abuso de álcool que desenvolveu febre, tosse e adinamia. Observe uma área hipotransparente no zona superior do pulmão direito com a formação de uma cavidade com parede espessa que contém ar e nível líquido (seta). Este é um abscesso pulmonar.
  • 65.
    Dr. Emanuel R.Dantas Insuficiência Cardíaca Esquerda ► Se vc suspeita de insuficiência cardíaca como causa de uma opacificação generalizada ou localizada, então: 1. Compare os vasos: 1. Compare os vasos localizados no lobo superior e nos lobos inferiores. Escolha um vaso no lobo superior e outro no lobo inferior com distâncias similares ao hilo e compare suas espessuras. 2. Os superiores devem ser mais estreitos que os inferiores. 3. Se os vasos são da mesmo tamanho ou o do lobo superior é mais largo, então existe um inversão do fluxo sangüíneo – o primeiro sinal de insuficiência cardíaca. 4. NOTA: Observe que esta regra só vale para filme tirados em posição ortostática, pois na posição supina, os desvio do fluxo para os lobos superiores é normal. 5. A inversão do fluxo sangüíneo para os lobos superiores deve-se à baixa vasoconstrição ateriolar secundária à hipóxia alveolar.
  • 66.
    Dr. Emanuel R.Dantas Insuficiência Cardíaca Esquerda 2. Tamanho do coração: 1. Observe o tamanho do coração. A presença de dilatação do ventrículo esquerdo é fortemente sugestiva de insuficiência cardíaca. 3. Linhas B de Kerley: 1. Procure pelas linhas B de Kerley. Elas são causadas por edema dos septos interlobulares. 2. Elas são horizontais, sem bifurcação, hipotransparentes, melhores vistas na periferia do pulmão logo acima do ângulo costofrênico.
  • 67.
    Dr. Emanuel R.Dantas Insuficiência Cardíaca. Este paciente possuía previamente um bypass coronariano. Você pode observar que o coração está aumentado, linhas B de Kerley são vistas na periferia de ambas as bases do pulmão e os vasos dos lobos superiores estão dilatados e proeminentes (seta). Existe ainda um pequeno derrame pleural.
  • 68.
    Dr. Emanuel R.Dantas Linhas B de Kerley. Nesta imagem magnificada da base pulmonar direita mostra as linhas septais horizontais mais claramente (seta).
  • 69.
    Dr. Emanuel R.Dantas Bronquiectasias - Sinais 1. Opacificação em anel: 1. Essas opacificações parecem como anéis e são do tamanho de até 1cm em diâmetro. 2. Eles podem ser únicas, mas usualmente ocorrem em grupos, dando uma aparência de faveolamento ou em “cacho-de-uvas”. 3. Elas representam brônquios doentes vistos no final. 2. Opacificações em linhas paralelas (“tramline shadows”): 1. Procure por elas indo para a periferia dos pulmões. Elas consistem de duas grossas linhas em branco saparadas por preto. 2. É comum você encontrar linhas próximas ao hilo de um rx normal. Entretanto essas opacificações em linhas paralelas são grossas e não necessariamente próximas ao hilo, correspondendo a brônquios doentes vistos no seu final.
  • 70.
    Dr. Emanuel R.Dantas Bronquiectasias - Sinais 3. Opacificações tubulares: 1. Estas são opacificações sólidas e compactas medindo até 8 mm de largura. 2. Elas representam brônquios preenchidos por secreções no seu final. 3. Elas não são comuns, mas sugerem bronquiectasias. 4. Opacificações em “dedo-de-luva”: 1. Elas representam um grupo de opacificações tubulares vistas de frente, parecendo os dedos de uma luva.
  • 71.
    Dr. Emanuel R.Dantas Bronquiectasias Este filme mostra uma área localizada de bronquiectasias no lobo inferior direito que foi resultado de uma infecção anterior. No lobo inferior direito, você pode ver típicas opacificações em anel, dando uma aparência de “cacho-de-uvas” (1) como também opacificações em linhas paralelas (2).
  • 72.
    Dr. Emanuel R.Dantas Fibrose 1. Olhe para Rx anteriores, pois a fibrose é um processo crônico, que se presente anteriormente, o achado atual é muito mais provável de ser fibrose 2. Distribuição da opacidade: 1. Observar a distribuição pode ajudar a diferenciar fibrose de edema, já que este é basal e bilateral. 2. Opacificações bilaterais e basais podem ser tanto edema ou fibrose. 3. Opacificações na zona média ou apicais é mais provável de ser fibrose. 3. Observe o tamanho dos pulmões: 1. Fibrose pode causar redução dos pulmões, o que não corresponde ao edema ou consolidação. 2. A presença de pequenos pontos nos pulmões sugere fortemente fibrose
  • 73.
    Dr. Emanuel R.Dantas Fibrose 4. Observe a posição do mediastino: 1. Já que a fibrose causa diminuição dos pulmões, ela irá puxar o mediastino em direção ao lado da fibrose. 2. Deslocamento do mediastino em direção ao lado da fibrose é altamente sugestivo de fibrose. 5. Observe a natureza da opacificação: 1. Fibrose pulmonar mostra opacificações reticulo-nodulares que simplesmente significa uma rede de linhas que se combinam para formar opacificações nodulares a anelares com cerca de 5 mm em diâmetro. 2. Algumas vezes, essa rede de linhas é bastante fina, dando uma aparência de “vidro-fosco”, semelhante a um fino véu sobre os pulmões. 3. Com a evolução da fibrose, observa-se uma aparência mais grosseira, que é conhecido como faveolamento.
  • 74.
    Dr. Emanuel R.Dantas Fibrose 6. Observe a borda do diafragma e coração: 1. Ambos podem aparecer borrados se a fibrose está presente. 7. Observe as marcas vasculares: 1. Elas se tornam menos distintas em áreas de fibrose. Isto acontece devido ao desenvolvimento de numerosas áreas de colapso do pulmão.
  • 75.
    Dr. Emanuel R.Dantas Fibrose pulmonar. Este pct possui alveolite fibrosante criptogênica. Observe finas opacificações reticulonodulares que se estendem de maneira característica para a linha axilar de cada hemitórax. O volume pulmonar diminui com a progressão da fibrose, afetando os lobos inferiores. A fibrose pode tornar- se mais proeminente, evoluindo para o faveolamento, que consiste de numerosas opacificações em anel.
  • 76.
    Dr. Emanuel R.Dantas Opacificação Miliar ► Na opacificação miliar, os pulmões apresentam aspecto mosqueado. Isso pode ser devido à opacificação miliar ou uma aparência de “vidro- fosco”. Você precisa, primeiro, distinguir os dois. 1. Distribuição da opacificação: 1. Observe a distribuição da opacificação na periferia. Se a opacificação está presente na periferia então está muito provável de ser patológico, pois, algumas vezes, os vasos podem mimetizar um infiltrado intersticial, mas isto só ocorre no centro dos campos pulmonares.
  • 77.
    Dr. Emanuel R.Dantas Opacificação Miliar 2. Natureza e número de opacidades: 1. Observe de perto o Rx. Na opacificação miliar, elas devem aparecer bastante discretas 2. Se a opacificação é miliar, elas devem possuir densidades e tamanhos similares. 3. Se a opacificação é devido a um infiltrado em vidro- fosco, então a densidade e tamanho irão variar. 3. Base pulmonar: 1. Observe as bases pulmonares. A anatomia normal da base pulmonar deve ser visível na opacificação miliar, mas pode estar borrada na opacificação em vidro- fosco.
  • 78.
    Dr. Emanuel R.Dantas Opacificação Miliar ► Se você reconhece a opacificação como miliar, então procure pistas para sua causa. As possibilidades mais prováveis são: ▪ TB ▪ Sarcoidose ▪ Metástase miliar. 1. Observe a distribuição: 1. A opacificação miliar por TB é mais proeminente nos ápices, enquanto na sarcoidose é mais predominante na região perihilar e terços médio do pulmão. 2. Já a metástase miliar, a predominância é nos terços inferiores dos pulmões. 2. Observe a densidade: 1. Altas densidades (muito branco) indica mais ser devido a pneumoconioses ou TB calcificada. 2. Densidades menores pode ser metástases secundárias, sarcoidose ou outra causa de mosqueteamento miliar. 3. Olhe o resto do Rx: 1. Procure por sinais de outras doenças. 2. Observe o hilo. Alargamento unilateral do hilo sugere TB, enquanto bilateral sugere sarcoidose.
  • 79.
    Dr. Emanuel R.Dantas Opacificações miliares. Este filme pertence a um homem de 32 anos com imunodeficiência. Ele mostra a típica opacificação miliar característica de TB.
  • 80.
    Dr. Emanuel R.Dantas Opacificação Miliar.
  • 81.
    Campos Pulmonares Causas dehipertransparências
  • 82.
    Dr. Emanuel R.Dantas DPOC ► Quando procurar por causas de hipertransparências bilaterais, você deve: observar a penetração: ▪ Olhe os corpos atrás do coração. Lembre que em um bom Rx, os corpos vertebrais tornam-se difíceis de ver por trás da sombra cardíaca. Se eles são claramente vistos no filme, então ele é está muito penetrado. ► DPOC está associado a aumento dos pulmões devido ao aprisionamento de ar e ao desenvolvimento de bolhas. Para isso, siga os passos do slide seguinte para determinar se é DPOC ou não.
  • 83.
    Dr. Emanuel R.Dantas DPOC - Sinais 1. Conte o número de costelas que você vê anteriormente: 1. Se os pulmões estão aumentados, você deverá contar mais que 7 costelas anteriormente. 2. Observe a forma do diafragma. 1. Na DPOC, os diafragmas estão retificados ou até mesmo aprofundados. 2. NOTA: Este sinal é mais confiável de hiperexpansão pulmonar que contar costelas. 3. Observe a forma do coração: 1. O tórax aumentado na DPOC parece ao Rx alongar e estreitar o coração, elevando a borda inferior. 2. O coração, em vez de estar sobre o diafragma, parece estar pêndulo. 3. Ele também aparecerá pequeno a menos que haja alguma insuficiência cardíaca.
  • 84.
    Dr. Emanuel R.Dantas DPOC 4. Procure por bolhas: 1. Elas são áreas hipertransparentes do pulmão, usualmente redondas, cercadas por finas opacidades lineares. 2. As bolhas comprimem o pulmão normal e distorcem a vasculatura circunjacente. Então, para procurar por bolhas, procure por áreas de distorção da arquitetura vascular. 5. Observe a distribuição das marcas vasculares pulmonares: 1. Os pulmões hipertransparentes da DPOC são devidos a diminuição das marcas pulmonares vasculares. 2. As marcas vasculares pulmonares estão reduzidas bilateralmente e espalhadas em linhas retas partindo do hilo, começando grossas, mas terminando a 2/3 da periferia – poda periférica.
  • 85.
    Dr. Emanuel R.Dantas DPOC. Ambos os pulmões aparecem hipertransparentes e aumentados de volume. Os hemidiafragmas estão retificados e existem bolhas no terço médio de ambos os hemitórax. Poucos vasos sangüíneos são visíveis na periferia, especialmente no 1/3 médio e superior, mas as artérias pulmonares estão alargadas centralmente, consistente com desenvolvimento de hipertensão arterial pulmonar secundária.
  • 86.
    Dr. Emanuel R.Dantas Pneumotórax ► A ausência das mascas vasculares pulmonares fazem o pulmão aparecer hipertransparente. ► Opacificações vasculares irão desaparecer se o pulmão for substituído por ar, sendo as causas: ▪ Pneumotórax ▪ Bolhas ▪ Doença cística do pulmão ▪ Tromboembolismo pulmonar, quando os vasos estão desprovidos de sangue.
  • 87.
    Dr. Emanuel R.Dantas Pneumotórax – Sinais 1. Observe as margens pulmonares: 1. No pneumotórax, você verá a mergem do pulmão, que não é normalmente vista. 2. Observe cuidadosamente para o ápice onde o ar acumulará primeiro. Procure pela margem pulmonar. Às vezes, rodar o Rx de posição pode facilitar. 2. Observe o mediastino: 1. Deslocamentos óbvios do mediastino em direção oposta à área de hipertransparência sugere que um pneumotórax hipertensivo está se desenvolvimento. 3. Observe o restante do pulmão: 1. Bolhas pulmonares é menos provável caso o resto do pulmão é normal
  • 88.
    Dr. Emanuel R.Dantas Pneumotórax – Sinais 4. Bolha x Pneumotórax: 1. Se você observa marcas vasculares cruzando a áreas de hipertransparência, então é mais provável que seja bolha. 2. Se você ver marcas vasculares perifericamente à área de hipetransparência, então também é mais provável que seja bolha. 5. Solicite um Rx em Expiração: 1. Na expiração, os pulmões ficam menores, então um pneumotórax aparecerá maior.
  • 89.
    Dr. Emanuel R.Dantas Pneumotórax Este paciente teve um pneumotórax à esquerda com colapso do pulmão esquerdo. Você pode ver a margem pulmonar (seta).
  • 90.
    Dr. Emanuel R.Dantas Pneumotórax hipertensivo. Em inspiração, o pulmão esquerdo está completamente colapsado, mas o mediastino está centralizado.
  • 91.
    Dr. Emanuel R.Dantas Pneumotórax hipertensivo. Em expiração, o ar aprisionado no pulmão direito sobre pressão positiva comprime o coração e o pulmão esquerdo para a esquerda. O retorno cardíaco está obstruído.
  • 92.
    Dr. Emanuel R.Dantas Embolismo Pulmonar ► Lembre-se de primeiramente checar a qualidade do filme, pois as mudanças de densidade causadas por um êmbolo pulmonar são bastante sutis. 1. Procure por sinais de DPOC ou pneumotórax: 1. Vc deve primeiramente excluir essas patologias, pois são causas comuns de hipertransparências 2. Características da área de hipertransparência: 1. Determine se a área de hipertransparência está localizada ou espalhada 2. Um êmbolo no interior de uma artéria pulmonar irá afetar somente os segmentos supridos por aquela artéria e não será a causa de alterações difusas. 3. NOTA: É possível que um êmbolo pulmonar massivo cause uma hipertransparência de todo um campo pulmonar.
  • 93.
    Dr. Emanuel R.Dantas Êmbolismo Pulmonar ► Olhe para a artéria pulmonar e para a sombra cardíaca: ▪ Um êmbolo pulmonar agudo irá causar dilatação da artéria pulmonar seguido do ventrículo e átrio direito. ▪ A artéria pulmonar irá aumentar de tamanho e poderá haver um aumento do tamanho da sombra cardíaca ▪ Êmbolo pulmonar é uma rara causa de hipertransparência e geralmente resulta em alterações de infarto.
  • 94.
    Dr. Emanuel R.Dantas Infarto Pulmonar ► Embora o êmbolo pulmonar seja uma rara causa de hipertransparência, você geralmente verá seguindo um êmbolo pulmonar uma área de infarto, levando a hemorragia ou necrose do pulmão. ► O infarto pulmonar pode resultar nas seguintes alterações: ▪ Elevação do hemidiafragma ▪ Colapso ou atelectasias lineares ▪ Derrame pleural ▪ Opacificação em cunha (corcova de Hamptom).
  • 95.
    Dr. Emanuel R.Dantas Êmbolismo pulmonar. Este Rx pertence a um paciente que teve um embolismo pulmonar agudo volumoso. Observe atentamente ao 1/3 superior do pulmão direito. Imediatamentemente acima da fissura horizontal, existe uma área (seta) que está mais hipertransparente que o lado esquerdo no mesmo nível. Este é o sinal de Westermark de oligoemia que indica que artéria dessa área contém um grande coágulo. Observe também uma área de consolidação abaixo da fissura horizontal – ela é um pequeno foco de infarto.
  • 96.
  • 97.
    Dr. Emanuel R.Dantas Alargamento hilar unilateral ►Suspeite de alargamento hilar unilateral se: ▪ Um hilo é maior que o outro ▪ Um hilo está mais denso que o outro ▪ Existe uma perda da concavidade normal – os hilos são geralmente côncavos. Este concavidade pode desaparecer e ser o primeiro sinal de alargamento hilar.
  • 98.
    Dr. Emanuel R.Dantas Alargamento hilar unilateral ►Se você suspeitar de alargamento hilar então: ▪ Cheque a qualidade do filme. Um filme rodado fará um hilo aparecer mais largo que o outro. ▪ Olhe para o filme em projeção lateral. Um hilo alargado pode parecer anormalmente denso na lateral. ▪ Observe filmes anteriores.
  • 99.
    Dr. Emanuel R.Dantas Alargamento hilar unilateral ► Para decidir se o alargamento é devido ao dilatação vascular ou aumento dos linfonodos hilares ou se é devido ao um carcinoma brônquico central superposto, observe: 1. A margem do hilo: 1. As margens vasculares são regulares por natureza. 2. Linfadenopatia dá uma aparência lobulada. 3. Espiculação irregular ou de limites imprecisos sugere malignidade. 2. Presença de cálcio: 1. A presença de material bastante denso (cálcico) sugere linfadenopatia
  • 100.
    Dr. Emanuel R.Dantas Alargamento hilar unilateral 3. Observe o resto do Rx: 1. Se vc suspeita de alargamento hilar, então olhe cuidadosamente para a periferia procurando por lesões (tumor, TB) infiltração pulmonar (linfangite carcinomatosa) ou lesões ósseas (metástases). 4. Mediastino: 1. Alargamento hilar maligno pode estar associado a linfadenopatia mediastinal superior.
  • 101.
    Dr. Emanuel R.Dantas Alargamento hilar unilateral. Observe que a borda hilar direita está irregular, sugerindo uma causa maligna. O resto do filme está normal. Um filme em perfil é necessário para confirmar.
  • 102.
    Dr. Emanuel R.Dantas Alargamento hilar bilateral ►Alargamento hilar bilateral, assim como no unilateral, pode ser devido a: ▪ Dilatação das artérias pulmonares ▪ Dilatação das veias pulmonares ▪ Linfonodos ►As causas comuns de alargamento hilar bilateral são: ▪ Hipertensão pulmonar ▪ Sarcoidose
  • 103.
    Dr. Emanuel R.Dantas Alargamento hilar bilateral ► Se você suspeitar de hipertensão pulmonar, então: 1. Observe a periferia do Rx: 1. Hipertensão pulmonar é associada com “podamento” periférico que significa que existe uma redução na rede vascular periférica. 2. As margens dos campos pulmonares estão mais hipertransparentes que o normal e o centro mais hipotransparente. 2. Observe a forma do hilo: 1. É a dilatação da artéria pulmonar que leva ao alargamento hilar bilateral na hipertensão pulmonar. Os hilos terão a forma convexa. 3. Procure pela causa da hipertensão pulmonar: 1. Procure por sinais de doença pulmonar como DPOC e observe atentamente a forma do coração por sinais de shunts ou estenose mitral.
  • 104.
    Dr. Emanuel R.Dantas Alargamento hilar bilateral ► Se você suspeita de sarcoidose, então o alargamento hilar deve ser o único achado. Entretanto, outras características estão freqüentemente presentes e vc deve procurar por: 1. Pequenos nódulos: 1. Eles medem entre 1,5 a 3 mm em diâmetro, e predominantemente achados nos terços médios e região perihilar. Eles são não uniformes por natureza, moderadamente bem definidos e geralmente bilaterais. 2. Grandes nódulos: 1. Estes apresentam cerca de 1 cm em diâmetro, tem uma margem mal-definida e, algumas vezes, coalescem para dar lugar a opacidades maiores que podem conter broncogramas aéreos
  • 105.
    Dr. Emanuel R.Dantas Alargamento hilar bilateral ► Características radiográficas da sarcoidose (cont.): 3. Linhas: 1. O Rx pode demonstrar um emaranhado de linhas que emanam da região hilar. 4. Faveolamento: 1. Características de fibrose podem estar aparentes. Procure nas zonas superiores onde é geralmente comum.
  • 106.
    Dr. Emanuel R.Dantas Alargamento hilar bilateral. Este filme mostra as características típicas de hipertensão pulmonar. Existe um alargamento hilar bilateral e “podamento” periférico. Observe que o coração está aumentado com o ventrículo direito e sua saída proeminentes. Este pct possui hipertensão pulmonar primária.
  • 107.
  • 108.
    Dr. Emanuel R.Dantas Causas de Alterações da Sombra Cardíaca ►Defeito septal atrial ►Estenose mitral ►Aneurisma ventricular esquerdo ►Derrame pericárdio
  • 109.
    Dr. Emanuel R.Dantas Defeito do Septo Atrial ► Se o coração está aumentado ou existe hipertensão pulmonar, então uma causa possível é o defeito do septo atrial ► Se você suspeita de defeito do septo atrial, então observe: 1. O coração pode estar alargado: 1. Determine a razão cardiotorácica medindo o diâmetro do tórax e o diâmetro do coração. O coração não pode ser maior que metade do diâmetro do tórax. 2. Observe a forma do coração: 1. Observe primeiro o ápice do coração que é freqüentemente arredondado quando da presença de alargamento do ventrículo esquerdo e algumas vezes levantado do diafragma. 2. Depois observe a borda direita do coração. Devido ao aumento do átrio direito, a borda direita do coração apresenta-se mais cheia que o normal
  • 110.
    Dr. Emanuel R.Dantas Defeito do Septo Atrial 3. Observe o botão aórtico e o arco aórtico: 1. Eles estarão sempre menores quando na presença de defeito do septo atrial, pois o sangue é desviado para o átrio direito, diminuindo o fluxo pela aorta. 4. Cheque por sinais de hipertensão pulmonar.
  • 111.
    Dr. Emanuel R.Dantas Defeito do septo atrial. Observe que o coração está aumentado, o ápice está arredondando, o átrio direito está proeminente (1) e as artérias pulmonares estão dilatadas (2) devido ao aumento do fluxo sangüíneo pulmonar.
  • 112.
    Dr. Emanuel R.Dantas Estenose Mitral ► Estenose mitral pode causar alterações tanto da forma e do tamanho do coração. ► Se você suspeita de estenose mitral, então: 1. Observe a borda esquerda do coração: 1. Observe logo abaixo do hilo esquerdo onde a borda do coração é o átrio esquerdo. 2. Esta área é usualmente côncava, mas na estenose mitral o átrio esquerdo está aumentado, causando a perda da sua concavidade e alinhamento da borda esquerda do coração. 3. Algumas vezes o átrio esquerdo estão tão aumentado que esta parte do coração destaca-se.
  • 113.
    Dr. Emanuel R.Dantas Estenose Mitral 2. Observe a borda direita do coração: 1. Aumento do átrio esquerdo causa algumas vezes um deslocamento para a direita da borda direta do coração. 3. Identifique a traquéia e a siga até ela se separar nos brônquios fontes: 1. A carina e o ângulo entre os brônquios fontes devem ser menor que 90º. Meça essa ângulo. 2. Se o ângulo é maior que 90º, então é sugestivo de alargamento do átrio esquerdo, uma característica comum da estenose mitral. 4. Observe a área da valva mitral por calcificações: 1. Materiais densos em volta da valva sugeriria uma doença valvar, mas é um achado raro.
  • 114.
    Dr. Emanuel R.Dantas Estenose mitral. Este filme pertence a um pct que teve febre reumática quando jovem. Os contornos cardíacos estão anormais com saliência à direita, dando uma dupla borda cardíaca (1), proeminência do apêndice atrial esquerdo (2) e elvação do brônquio fonte esquerdo (3), indicamendo aumento do átrio esquerdo. A pressão atrial esquerda está elevada, produzindo aumento da pressão venosa pulmonar com inversão do fluxo sangüíneo e linhas basais septais de edema intersticial
  • 115.
    Dr. Emanuel R.Dantas Aneurisma Ventricular Esquerdo ► O aneurisma ventricular pode causar aumento generalizado do ventrículo esquerdo e ser indistinguível da dilatação ventricular esquerda. ► Se você suspeitar de aneurisma, então observe: 1. Saliência no ventrículo esquerdo: 1. Siga a borda esquerda do coração. Se uma parte da borda faz saliência sobre o resto, isso sugere aneurisma. 2. Procure por calficiações: 1. Se o aneurisma é longa data, então ele pode tornar-se calcificado e você verá uma margem de calcificação ao longo da borda direita do coração
  • 116.
    Dr. Emanuel R.Dantas Aneurisma ventricular esquerdo. Este filme pertence a um homem de 57 anos com dor no peito e dispnéia. Em adição aos sinais de edema pulmonar, este filme também mostra um aneurisma ventricular esquerdo salientando-se para fora e para cima do ápice ventricular. Calcificação também está presente (seta).
  • 117.
    Dr. Emanuel R.Dantas Derrame Pericárdico ► Derrame pericárdico é uma causa de aumento cardíaco. Se você suspeita, então: 1. Confirme que a área cardíaca está aumentada: 1. Cheque o índice cardiotorácico. 2. Observe atentamente para forma do coração: 1. Aumento cardíaco devido à derrame pericárdio é generalizado, então se o aumento parece ser devido a uma câmara cardíaca específica é improvável ser derrame pericárdico. 2. A sombra cardíaca é globular em forma se um derrame pericárdico está presente
  • 118.
    Dr. Emanuel R.Dantas Derrame Pericárdico 3. Observe os campos pulmonares: 1. Se o aumento da área cardíaca é devido a insuficiência cardíaca esquerda, então as marcas vasculares devem estar aumentadas, fazendo o pulmão tornar-se mais hipotransparente que o normal. 2. No derrame pericárdico, as marcas vasculares estão geralmente normais. 4. Observe filmes anteriores: 1. Um aumento abrupto do tamanho cardíaco é sugestivo de derrame pericárdico. 5. Observe o hilo: 1. No derrame pericárdico, a sombra cardíaca pode cobrir ambos os hilos. Isto não irá acontecer em outras causas de aumento cardíaco. 6. Observe a linha branca na margem lateral direita da traquéia: 1. Ela deve ser menos que 2-3 mm de espessura num filme com o pct em ortostase. Se ela está mais branca, uma causa é o alargamento da veia cava superior. Isto seria consistente com um derrame pericárdico.
  • 119.
    Dr. Emanuel R.Dantas Derrame Pericárdico. A área cardíaca está aumentada e com forma globular, cobrindo ambos os hilos.
  • 120.
  • 121.
    Dr. Emanuel R.Dantas Alargamento Mediastinal ► Se você acha que existe uma alargamento mediastinal, então correlacione com a história clínica. ► Se você suspeita de um aneurisma aórtico agudo, então você deve seguir a avaliação com CT, ECO e MRI. ► Importantes causas de alargamento mediastinal são: ▪ Aumento da tireóide ▪ Linfonodomegalia mediastinal ▪ Dilatação aórtica ▪ Dilatação do esôfago ▪ Tumores tímicos.
  • 122.
    Dr. Emanuel R.Dantas Alargamento Mediastinal 1. Cheque se o filme está rodado: 1. Um filme rodado pode criar opacificações mediastinais 2. Decida se o alargamento é no topo, médio ou fim do mediastino: 1. Se está no topo, é provável ser tireóide, timo ou artéria inominada. 2. Se está no meio ou no fim do mediastino, pode ser linfadenopatia, alargamento aórtico, dilatação do esôfago ou hérnia hiatal. 3. Se o alargamento é no topo, então observe a posição da traquéia. Um aumento da tireóide irá deslocar ou estreitar a traquéia. Isto não acontecerá com uma artéria inominada tortuosa – um achado comum nos idosos. 3. Olhe para o lado direito da traquéia: 1. A margem hipotransparente direita da traquéia não deve ter espessura maior que 2-3 m. Um aumento na sua espessura sugere tanto um alargamento da veia cava superior ou massa paratraqueal.
  • 123.
    Dr. Emanuel R.Dantas Alargamento Mediastinal 4. Se você suspeita de aumento da tireóide, então observe as margens da opacificação: 1. A tireóide possui uma área de opacificação bem definida que tende a tornar-se menos clara à medida que se observa cranialmente 5. Se você suspeita de alargamento da aorta, então tente observar e seguir suas margens, lembrando que a raiz da aorta não é visível: 1. Você pode detectar uma margem que se alarga para formar a margem do mediastino alargado. Isto sugeriria que o alargamento do mediastino é devido à dilatação da aorta. 6. Observe por calcificações da parede da aorta: 1. Se você pode detectar uma linha de calcificação, então siga-a. 2. Se a calcificação leva para uma área de contorno aórtico, então isto sugere fortemente um aneurisma aórtico. 3. Se a linha de cálcio está separada da margem da opacificação aórtica, então isto sugere fortemente dissecção aórtica.
  • 124.
    Dr. Emanuel R.Dantas Alargamento do mediastino. Este filme pertence a uma paciente com aneurisma aórtico torácico. O mediastino está alargado por todo seu comprimento com aumento da convexidade lateral para a esquerda.
  • 125.
  • 126.
    Dr. Emanuel R.Dantas Depósitos Metastáticos ►A examinação do tórax não estará completa até que sejam analisadas as costelas. ►As costelas devem ser de densidades uniformes com margens contínuas. ►As principais anormalidades para se procurar são: ▪ Fraturas (novas ou velhas) ▪ Metastases
  • 127.
    Dr. Emanuel R.Dantas Depósitos Metastáticos ► Novas fraturas: 1. Observe ao longo das margens de cada costela: 1. Uma nova fratura será vista como um rompimento da sua margem. 2. A partir de observado a fratura, determine a posição da fratura e procure por outras fraturas. 3. Um linha de fraturas sugere uma lesão traumática, enquanto que fraturas dispersas por várias costelas sugere uma lesão repetitiva (ex.: pcts alcoolistas) ou uma fraqueza óssea devido a uma doença de base (ex.: doença maligna). 2. Observe a densidade das costelas e as compare com as densidades de costelas normais: 1. Se as costelas estão menos hipotransparentes, isso sugere uma diminuição óssea por uma doença de base. 3. Finalmente, procure por complicações das fraturas de costelas: 1. Enfisema cirúrgico 2. Pneumotórax e/ou hemotórax. 4. Lembre sempre que a fratura das 3 últimas costelas pode resultar em lesão renal, hepática ou esplênica.
  • 128.
    Dr. Emanuel R.Dantas Depósitos Metastáticos ► Fraturas velhas: 1. Novamente, observe a margem das costelas: 1. A formação do calo ósseo que segue a uma fratura irá causar um crescimento da costela neste ponto. Observe cuidadosamente, pois o calo ósseo pode simular uma massa pulmonar. ► Metástases 1. Metástases: 1. Elas parecem como buracos negros nas costelas. 2. Lesões secundárias começam na medula e espalham-se para o exterior com pouca reação em sua volta, então você está literalmente procurando um buraco negro. 3. Observe cuidadosamente para outros ossos que possam conter metástases.
  • 129.
    Dr. Emanuel R.Dantas Metástases ósseas. Observe cuidadosamente este filme. Os pulmões estão hiperexpandidos. Observe a destruição da porção posterior do córtex e da medula da quinta costela à direita associado a uma massa de tecido mole mal definida (seta). Esta é uma metástase lítica.
  • 130.
  • 131.
    Dr. Emanuel R.Dantas Enfisema Cirúrgico ► Ao primeiro olhar, um enfisema cirúrgico dá uma aparência desordenada que, algumas vezes, pode estar confinado para um tecido mole particular, mas que também pode estar por todo o raio-x. ► Se você suspeita de enfisema, então observe: 1. Em casos moderados, procure por áreas com forma de losango hipertransparentes que representam depósitos de ar no interior do tecido mole. Estas áreas irão estar todas sobre um mesmo plano que irão seguir um plano de uma estrutura de tecido mole. 2. Em raros casos severos, a orientação pelos planos é perdida. Em vez de procurar por depósitos de ar em um plano específico, procure por áreas alternantes de hipo/hipertransparentes que não irão aparecer confinadas a uma única estrutura de tecido mole e irá cruzar parte ou todo o filme.
  • 132.
    Dr. Emanuel R.Dantas Enfisema cirúrgico. Este filme pertence a um homem de 59 anos que teve o tórax esquerdo drenado devido a um pneumotórax. Embora os pulmões permaneçam totalmente inflados, o ar ficou aprisionado fora da cavidade pleural ao longo do dreno, tendo ficado coletado no tecido celular subcutâneo (seta).
  • 133.
  • 134.
    Dr. Emanuel R.Dantas Tumor de Pancoast ► Antes de liberar um Rx como normal: 1. Observe atentamente os ápices de ambos os pulmões: 1. Este é um lugar comum para patologias pulmonares, como tumor de Pancoast ou fibrose crônica. 2. Lesões neste localmente podem passar facilmente despercebidas devido estarem escondidas pelas costelas e clavículas. 2. Observe atentamente a sombra cardíaca: 1. Lesões atrás do coração são freqüentemente esquecidas porque elas estão obscurecidas pela sombra cardíaca. 2. Procure por qualquer parte da sombra cardíaca que apareça mais hipotransparente que o normal. 3. Observe também se existe opacificação triangular do colapso do lobo inferior.
  • 135.
    Dr. Emanuel R.Dantas Tumor de Pancoast 4. Observe o hilo: 1. Mudanças na forma ou densidade do hilo podem passar facilmente despercebidas 5. Obtenha um filme em projeção lateral: 1. As mesmas anormalidades de um filme em PA pode ser óbvias em um filme em perfil.
  • 136.
    Dr. Emanuel R.Dantas Tumor de Pancoast. Uma avaliação superficial desse filme pode sugerir que existe pouco de errado neste filme. Entretanto, observe o aumento de densidade no ápice direito (seta) e uma opacificação sem limites definidos na porção superior do hilo direito. Inspeção mais cuidadosa revela que a massa apical está destruindo as 1º e 2º costelas.