RADIOLOGIARADIOLOGIA
TORÁCICATORÁCICA
RADIOLOGIA TORÁCICA:RADIOLOGIA TORÁCICA:
IMPORTÂNCIA:IMPORTÂNCIA:
BOA HISTÓRIA CLÍNICA + BOM EXAME FÍSICO
+
RADIOGRAFIA DE TÓRAX EM PÓSTERO-
ANTERIOR E PERFIL, DE BOA QUALIDADE
Fraser and Paré - Diagnosis of Diseases of Chest - 1999
UM DOS EXAMES MAIS UTILIZADOS NA PRÁTICA
MÉDICA
+
BAIXO CUSTO / FACILIDADE REALIZAÇÃO
GRANDE DISPONIBILIDADE
+
FORNECE INFORMAÇÕES SOBRE DIVERSOS
SISTEMAS
(Principalmente cardiorrespiratório e esqueleto)
RADIOLOGIA
TORÁCICA:
ANATOMIA RADIOLÓGICA
1 – TRAQUÉIA
2 – CARINA
3 – 1a. COSTELA
4 – ARCO POST
5 – OMOPLATA
6,7 – DIAFRAGMA
8 – ARCO ANT
11,17 - HILOS
12 – ART PULMONAR
14 – BORDO CARD D
15 – SEIO CARDIO FREN
16 – BOTÃO AÓRTICO
17- ARCO MÉDIO
18 – BORDO CARD E
19 – AORTA DESCEND
ANATOMIA RADIOLÓGICA
Incidência póstero-anterior (PA)
Transparencia igual entre os
dois lados
1 – Traquéia
2 – Clavícula
3 – Arco costal posterior
4– Aorta ascendente
5- Seio direito
6 – Bolha gástrica
7 – Diafragma E
8 – Ventrículo E
9 – Aorta descendente
10 – Hilo Esquerdo
11-Lobo superior esquerdo
INCIDÊNCIA EM PERFIL:
1- HEMIDIAFRAGMA DIREITO
2- HEMIDIAFRAGMA ESQUERDO
3- ÁREA CARDÍACA – Projeção de
lobo médio e língula
4- AR NO ESTÔMAGO
5- GRANDE CISURA/OBLÍQUA
6- ESPAÇO RETROESTERNAL
7- HILOS SUPERPOSTOS
ANATOMIA RADIOLÓGICA –
Incidência de perfil
Transparencia igual entre os
dois lados
8 – Ventrículo E
9 – Aorta
12 – Aurícula E
13– Ventrículo direito
14- Hilos
15 – Corpo vertebral
16 – Seio costofrênico posterior
CRITÉRIOS DE QUALIDADE
Totalidade do tórax (sempre incluir os
seios costodiafragmáticos)
Inspiração máxima (diafragma abaixo
do bordo inferior 9ª. costela)
Mesmo espaço clavículas – apófise
espinhosa.
Exposição correta: Vasculatura visível
– coração “transparente”
MÁ TÉCNICA RADIOLÓGICA
A RADIOGRAFIA
DEVE SER FEITA
EM INSPIRAÇÃO
MÁXIMA
EXPIRADA
Diafragma acima da 8a costela
posterior
MÁ TÉCNICA RADIOLÓGICA
•Campos
pulmonares muito
escuros por excesso
de exposição
•Desenho vertebral
visível através da
imagem cardíaca
•Não se visualizam
as marcas
broncovasculares
PENETRAÇÃO EXCESSIVA
MÁ TÉCNICA RADIOLÓGICA
•Campos
pulmonares brancos
•Visualização
excessiva das
sombras bronco-
vasculares
•Diminuição das
diferenças de
densidade
POUCA PENETRAÇÃO = EXPOSIÇÃO INSUFICIENTE
AVALIAÇÃO SETORIAL
Partes moles
AVALIAÇÃO SETORIAL
Partes
ósseas
AVALIAÇÃO SETORIAL
Partes ósseas
NORMAL
Abaixo da
10ª.costela
POR QUE CONTAR
AS COSTELAS?
SINAL DE
HIPERINSUFLAÇÃO
10ª. costela
TÉCNICA RADIOLÓGICA:
RX NO LEITO – LADO DIREITO OU ESQUERDO?
PONTOS DE
REFERÊNCIA:
.IDENTIFICAÇÃO
.Perfil do coração
.Bolha gástrica
.Botão aórtico
.Diafragma
Mediastino
Diâmetro mediastino normal – cabe
entre as clavículas
ALARGAMENTO HILAR
1. Bocelado = gânglio
2. Formato de vaso =
artéria pulmonar
3. Alargamento
irregular = tumor
brônquico
4. Veias pulmonares –
raramente
alteradas
5. O DIÂMETRO
NORMAL DO HILO É
MENOR QUE O
DIÂMETRO DA
TRAQUÉIA
PERFIL DO CORAÇÃO
ÍNDICE CÁRDIO-TORÁCICO
AUMENTO EVIDENTE DA ÁREA CARDÍACA
AUMENTO DA ÁREA CARDÍACA (?)
ROTINA PARA INTERPRETAÇÃO
DE RADIOGRAFIA DE TÓRAX:
• Sempre solicitar incidência de frente e perfil
• Avaliar a técnica e a penetração
• Observar partes moles
• Observar partes ósseas – contar espaços IC
• Posição do diafragma; SCardioF e SCostoF
• Observar mediastino e área cardíaca
• Observar hilos
• Observar parênquima pulmonar por último
PADRÕES RADIOLÓGICOS
ANORMAIS:
OPACIDADES= AUMENTO DA DENSIDADE DO
CONTEÚDO DO TÓRAX = COR CLARA
HIPERTRANSPARÊNCIAS = DIINUIÇÃO DA DENSIDADE
DO CONTEÚDO DO TÓRAX = COR ESCURA
NODULO MASSA NODULOS MULTIPLOS DERRAME PLEURAL
CAVIDADES
ALARGAMENTO HILAR
ALARGAMENTO MEDIASTINO
HIPERTRANSPARENCIA
BILATERAL
CONDENSAÇÃO
ATELECTASIA
DOENÇA DIFUSA
PADRÕES
RADIOLÓGICOS
ANORMAIS
PADRÃO ACINAR:
Condensação ou Consolidação
•Opacidade de cor
irregular
•Pode ser bilateral
•Bordos mal
delimitados
•Bordos delimitados
apenas nas cisuras,
às vezes
•Presença de
broncograma aéreo
•Sinal da silhueta
freqüente
•Etiologias variadas:
pneumonia causa mais
comum
CONDENSAÇÃO COM
BRONCOGRAMA AÉREO
OS BRÔNQUIOS ESTÃO
CHEIOS DE AR,
ENVOLVIDOS PELA
CONDENSAÇÃO,
TORNANDO-SE VISÍVEL
O DESENHO DOS
MESMOS,
DENTRO DA
CONDENSAÇÃO
PADRÃO ACINAR:
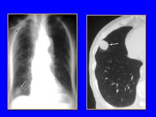
Padrões Radiológicos
Nódulo Pulmonar
• < 3cm diâmetro
• Redondo ou oval
• Homogênea
• Limites bem
definidos
• Único ou múltiplo
• Presença de
calcificações
• Presença de
cavitações
• Várias opacidades
nodulares
• Menores de 3 cm
• Homogêneas e/ou
heterogêneas (côr)
• Tamanhos semelhantes ou
variados
• Podem calcificar
• Podem cavitar
• Podem coalescer
Padrões Radiológicos
Nódulos Pulmonares Múltiplos
• Várias opacidades
nodulares
• Menores de 3 cm
• Homogêneas e/ou
heterogêneas (côr)
• Tamanhos semelhantes ou
variados
• Podem calcificar
• Podem cavitar
• Podem coalescer
Padrões Radiológicos
Nódulos Pulmonares Múltiplos
MASSAS
•Hipotransparência
regular
•Diâmetro maior
que 3 cm
•Cercada por
parênquima
pulmonar normal
•Pode calcificar
•Pode cavitar
Meta colon
Paracoccidioidomicose
Carcinoma broncogênico
Abscesso pulmonar
PADRÕES RADIOLÓGICOS
ATELECTASIA
1. Opacidade c /
diminuição de volume
2. Desvio do mediastino
para o lado da
atelectasia
3. Desvio da traquéia p/ a
atelectasia
4. Desvio dos hilos idem
5. Desvio das cisuras
idem
6. Elevação do diafragma
PADRÕES RADIOLÓGICOS:
TIPOS DE ATELECTASIA
1 – OBSTRUTIVA:
Tumor
Corpo estranho
Rolha de secreção
2 – POR DESTRUIÇÃO:
Tuberculose, etc.
3 – POR COMPRESSÃO
(laminar)
Bolhas, tumores
Diafragma elevado
4 – FALTA DE SURFACTANTE
Embolia pulmonar, SARA
DERRAME PLEURAL
•Opacidade de cor
uniforme
•Não se vê angulo
costofrênico e/ou
cardiofrênico
•Não se vê o contorno do
diafragma
•Linha superior côncava
ou parabólica
•Desvio do mediastino p/ o
lado oposto
•Elevação do diafragma
PADRÕES RADIOLÓGICOS
DERRAME PLEURAL
DECÚBITO LATERAL COM RAIOS HORIZONTAIS:
Incidência de Laurell
DERRAME SUBPULMONAR
HIPERTRANSPARÊNCIAS:
•CAVIDADES COM LÍQUIDO EM SEU INTERIOR
•CAVIDADES SEM LÍQUIDO EM SEU INTERIOR
•PNEUMOTÓRAX
•Presença de linha
horizontal que
delimita opacidade
inferior de
hipertransparência
superior
•nível hidroaéreo ou
nível líquido)
•Imagem
arredondada com
halo de
hipotransparência
LESÕES
CAVITÁRIAS
COM LÍQUIDO
EM SEU
INTERIOR
LESÕES CAVITÁRIAS SEM
LÍQUIDO EM SEU INTERIOR
Neoplasia
Tuberculose
Bolha
enfisema
HIPERTRANSPARÊNCIA UNILATERAL- PNEUMOTÓRAX
•Hipertransparência
unilateral, rara bilateral
•Aumento do volume do
hemitórax c/ rebaixamento
do diafragma
•Linha tênue delimitando o
colabamento pulmonar
•Opacidade sobre o hilo
(colabamento pulmonar)
HIPERTRANSPARÊNCIA BIILATERAL
•Os campos pulmonares
ficam escuros
•Rebaixamento do
diafragma
•Horizontalização das
costelas posteriores
•Contorno do diafragma
ondeado
•Coração em gôta
•Causas:
Doenças obstrutivas:
DPOC, asma, bronquiolite
HIPERTRANSPARÊNCIA BILATERAL
•Aumento do espaço
antecardíaco ou
retroesternal
•Aumento do diâmetro
antero-posterior do
tórax
•Retificação e
inversão do diafragma
ALARGAMENTO HILAR UNILATERAL
Tuberculose
Linfoma
Padrões Radiológicos
Alargamento hilar bilateral
• Linfoma
• Tuberculose
• ICC
• Sarcoidose
• Hipertensão
Pulmonar
• Neoplasias
O diâmetro do hilo é maior
que o diâmetro da traquéia.
Padrões Radiológicos
Alargamento mediastinal anterior
• Tireóide
torácica
• Timoma
• Teratoma
• Linfoma
• ICC
• Sarcoidose
• Neoplasias O mediastino não cabe entre as clavículas
Mediastino Anterior
Massa mediastinal anterior esquerda, apontada pelas setas, obliterando o
espaço retroesternal. Este aspecto pode ser encontrado em teratomas ou
linfomas. O diagnóstico neste caso foi de doença de Hodgkin.
Mediastino Médio
Massa mediastino médio a direita, confirmada como cisto
pericárdico.
Mediastino Posterior
Massa mediastinal posterior direita (setas) em criança de cinco
anos: ganglioneuroma.
Mediastino e Hilos
Massa mediastinal média. Linfoma não-Hodgkin.
Padrão alvéolo-intersticial c/ predomínio alveolar
1. Opacidades
bilaterais
2. Limites imprecisos
3. Hipotransparência
não-homogênea
4. Presença de
broncograma aéreo
5. Marcas bronco-
vasculares menos
evidentes que a
hipotransparência
Opacidades Difusas
PADRÃO INTERSTICIAL PREDOMINANTE
OPACIDADES DIFUSAS
1. Bilateral
2. Sem broncograma
aéreo
3. Evidencia bem as
marcas
broncovasculares
PADRÃO INTERSTICIAL PREDOMINANTE - ICC
OPACIDADES DIFUSAS
1. Bilateral
2. Sem broncograma
aéreo
3. Evidencia bem as
marcas
broncovasculares
PADRÃO INTERSTICIAL PREDOMINANTE – FIBROSE
PULMONAR IDIOPÁTICA
OPACIDADES DIFUSAS
1. Bilateral
2. Sem broncograma
aéreo
3. Evidencia bem as
marcas
broncovasculares
NODULO MASSA NODULOS MULTIPLOS DERRAME PLEURAL
CAVIDADES
ALARGAMENTO HILAR
ALARGAMENTO MEDIASTINO
HIPERTRANSPARENCIA
BILATERAL
CONDENSAÇÃO
ATELECTASIA
DOENÇA DIFUSA
PADRÕES
RADIOLÓGICOS
ANORMAIS

Radiologia Propedeutica