Prof. Daniel Xavier
   A radiografia simples do tórax é um dos
    exames radiológicos mais utilizados na
    prática médica.
   Propriedades:

    interagem com a matéria
    propagam-se no vácuo a velocidade da luz
    propagam-se em linha reta
    impressionam filmes radiográficos
   Efeitos biológicos (quanto maior o metabolismo,
    maior a sensibilidade).
    Pele: nocivos em pacientes que fazem uso
    prolongado.
    Olho: muito sensível o cristalino, podendo
    desenvolver uma catarata.
    Neoplasias malignas: por causa da ionização,
    as células ficam sensíveis e a alteração celular
    facilitada.
efeitos agudos: praticamente impossível, durante
um diagnóstico, só em casos de acidentes com
radiação.
imunodepressão: quem trabalha com a radiação
fica mais vulnerável.
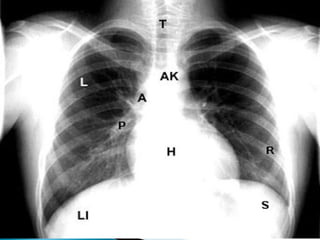
 As estruturas que aparecem na radiografia
  sempre são maiores que o normal.
 A distância da ampola de raio x também modifica

  o tamanho da imagem.
 Sobreposição de imagens.
2.1 – Póstero-anterior (PA)

2.2 – Ântero-posterior (AP)
2.3 – Perfil

2.5 – Decúbito lateral com raios
 horizontais (Laurell)
Dose de radiação/ Penetração
 Não é raro encontrarmos exames muito ou pouco

  penetrados. Idealmente, devemos ser capazes de
  visualizar a sombra da coluna vertebral apenas nas
  suas porções mais superiores.

Densidade      Absorção          Imagem

Metal           Total            Branco brilhante
Cálcio          Grande           Branco
Água            Média            Cinza-branco
Gordura         Pequena          Quase preto
Ar                    Nenhuma           Preto
Inspiração correta
 O ideal é que o exame seja realizado em apnéia
  inspiratória máxima. Para sabermos se o exame está
  bem inspirado, devemos ter de 10 costelas posteriores
  projetando-se sobre os campos pulmonares e deverá
  demonstrar as hemicúpulas frênicas do diafragma ao
  nível do 10º espaço intercostal superior nos adultos, e
  nas crianças ao nível do 6º espaço intercostal superior.

Alinhamento / Centralização
 Para que o exame esteja bem centrado, as bordas
  mediais das clavículas devem estar eqüidistantes do
  centro da coluna, ou seja, os processos espinhosos
  devem ser vistos no meio destas extremidades e as
  escápulas devem estar fora do campo.
Avaliação da parede torácica:
- Simetria;
- Fraturas e outras alterações ósseas ;

Avaliação da pleura
- Derrame pleural
- Pneumotórax

Avaliação do parênquima
- Infiltrado alveolar
- atelectasias
Derrame Pleural
Pleura parietal X pleura visceral.
Definição: Acúmulo de líquido no interior do espaço pleural.
Valores normais: 1-5 ou 3-15 cc ou ml
Valores patológicos : 175 a 200 ml
Incidência radiográfica adequada → Laurell

Pneumotórax
Definição: Acúmulo de ar nos espaço pleural tornando a pleura
visceral visível.
Possíveis causas: espontaneamente por ruptura de uma bolha,
biópsias, acessos profundos, VM.
Incidência radiográfica adequada → Posição ortostática
   Infiltrados:
    . Opacificação homogênea dos lobos ou
    segmentos envolvidos (pnm Lobar).
    . Broncograma aéreo (broncopneumonia).
    . Múltiplas opacidades (hipodensa).
    . Hipodensidades lineares (pnm Intersticial).
   Colapso alveolar:
    . Diminuição dos espaços intercostais.
    . Insuflação do lado contralateral.
    . Desvio do mediastino ipsilateral.
   Pneumotórax:
    . Ausência da trama pulmonar.
    . Desvio do mediastino contralateral a lesão.
   Derrame pleural:
    . Opacificação homogênea do ângulo
    costofrênico.
    . Contorno diafragmático obscurecido.
    . Desvio ipsilateral do mediastino ou contralateral
    (quantidade).
   Pequeno: menor que 500 ml

   Médio: entre 500 e 1000 ml

   Grande: acima de 1000 ml
   Congestão:
    . Dilatação dos vasos.
    . Redistribuição do fluxo sanguíneo para as
    zonas superiores.
    . Edema intersticial e alveolar.
Aula de Radiologia
Aula de Radiologia
Aula de Radiologia
Aula de Radiologia
Aula de Radiologia
Aula de Radiologia
Aula de Radiologia
Aula de Radiologia
Aula de Radiologia
Aula de Radiologia
Aula de Radiologia
Aula de Radiologia

Aula de Radiologia

  • 1.
  • 2.
    A radiografia simples do tórax é um dos exames radiológicos mais utilizados na prática médica.
  • 9.
    Propriedades: interagem com a matéria propagam-se no vácuo a velocidade da luz propagam-se em linha reta impressionam filmes radiográficos
  • 10.
    Efeitos biológicos (quanto maior o metabolismo, maior a sensibilidade). Pele: nocivos em pacientes que fazem uso prolongado. Olho: muito sensível o cristalino, podendo desenvolver uma catarata. Neoplasias malignas: por causa da ionização, as células ficam sensíveis e a alteração celular facilitada.
  • 11.
    efeitos agudos: praticamenteimpossível, durante um diagnóstico, só em casos de acidentes com radiação. imunodepressão: quem trabalha com a radiação fica mais vulnerável.
  • 12.
     As estruturasque aparecem na radiografia sempre são maiores que o normal.  A distância da ampola de raio x também modifica o tamanho da imagem.  Sobreposição de imagens.
  • 13.
    2.1 – Póstero-anterior(PA) 2.2 – Ântero-posterior (AP)
  • 14.
    2.3 – Perfil 2.5– Decúbito lateral com raios horizontais (Laurell)
  • 15.
    Dose de radiação/Penetração  Não é raro encontrarmos exames muito ou pouco penetrados. Idealmente, devemos ser capazes de visualizar a sombra da coluna vertebral apenas nas suas porções mais superiores. Densidade Absorção Imagem Metal Total Branco brilhante Cálcio Grande Branco Água Média Cinza-branco Gordura Pequena Quase preto Ar Nenhuma Preto
  • 16.
    Inspiração correta  Oideal é que o exame seja realizado em apnéia inspiratória máxima. Para sabermos se o exame está bem inspirado, devemos ter de 10 costelas posteriores projetando-se sobre os campos pulmonares e deverá demonstrar as hemicúpulas frênicas do diafragma ao nível do 10º espaço intercostal superior nos adultos, e nas crianças ao nível do 6º espaço intercostal superior. Alinhamento / Centralização  Para que o exame esteja bem centrado, as bordas mediais das clavículas devem estar eqüidistantes do centro da coluna, ou seja, os processos espinhosos devem ser vistos no meio destas extremidades e as escápulas devem estar fora do campo.
  • 18.
    Avaliação da paredetorácica: - Simetria; - Fraturas e outras alterações ósseas ; Avaliação da pleura - Derrame pleural - Pneumotórax Avaliação do parênquima - Infiltrado alveolar - atelectasias
  • 19.
    Derrame Pleural Pleura parietalX pleura visceral. Definição: Acúmulo de líquido no interior do espaço pleural. Valores normais: 1-5 ou 3-15 cc ou ml Valores patológicos : 175 a 200 ml Incidência radiográfica adequada → Laurell Pneumotórax Definição: Acúmulo de ar nos espaço pleural tornando a pleura visceral visível. Possíveis causas: espontaneamente por ruptura de uma bolha, biópsias, acessos profundos, VM. Incidência radiográfica adequada → Posição ortostática
  • 20.
    Infiltrados: . Opacificação homogênea dos lobos ou segmentos envolvidos (pnm Lobar). . Broncograma aéreo (broncopneumonia). . Múltiplas opacidades (hipodensa). . Hipodensidades lineares (pnm Intersticial).
  • 22.
    Colapso alveolar: . Diminuição dos espaços intercostais. . Insuflação do lado contralateral. . Desvio do mediastino ipsilateral.
  • 24.
    Pneumotórax: . Ausência da trama pulmonar. . Desvio do mediastino contralateral a lesão.
  • 26.
    Derrame pleural: . Opacificação homogênea do ângulo costofrênico. . Contorno diafragmático obscurecido. . Desvio ipsilateral do mediastino ou contralateral (quantidade).
  • 28.
    Pequeno: menor que 500 ml  Médio: entre 500 e 1000 ml  Grande: acima de 1000 ml
  • 29.
    Congestão: . Dilatação dos vasos. . Redistribuição do fluxo sanguíneo para as zonas superiores. . Edema intersticial e alveolar.