SISTEMA PÚBLICO FEDERALUNIVERSIDADE FEDERAL DO PARÁHOSPITAL UNIVERSITÁRIO JOÃO DE BARROS BARRETORESIDÊNCIA MÉDICA EM CLÍNICA MÉDICAInfectologiaEdienny Viana LobatoR1 – Clínica MédicaBELÉM – PA2009
Caso Clínico
CASO CLÍNICOPlantão tranqüilo numa unidade de UE em Belém, até que chega uma ambulância...
Jorge, 25 anos, história de febre elevada com evolução há 5 dias.
Ao exame físico:
Confusão mental
Temperatura: 38,9oC
Taquicárdico (110 bpm), taquipnéico (27 ipm)
PA: 90x65 mmHgQual o diagnóstico?
Sepse, Sepse Grave e Choque Séptico
O que é sepse?InfecçãoSIRSSepseSepse GraveDMOSInfecçãoSIRSSepseSepse GraveDMOSResposta inflamatória reacional à presença de microorganismo em tecidos normalmente estéreisUma resposta clínica não específica incluindo dois dos seguintes: Leucocitose (>12.000) ou leucopenia (<4000) ou >10% de bastões
FC > 90 bpm
Temperatura >38 ou <36oC
FR > 20 ipm ou PaCO2<32mmHgSIRS também pode ser causada por trauma, queimaduras, pancreatite...SIRS com  processo infeccioso confirmado ou presumidoSepse com pelo menos uma disfunção orgânica aguda: Hipotensão
 Confusão Mental
Oligúria
Hipóxia*
 Acidose metabólica (láctica)
 Coagulação intravascular disseminada (CIVD)
 Disfunção hepática*Choque Séptico:Sepse grave refratária a reposição de volumeFunção orgânica alterada em pacientes agudamente enfermos, nos quais a homeostase não pode ser mantida sem intervenção
SepseSepse: um dos maiores desafios da medicina
1970: 170.000 casos/ano
2000: 660.000 casos/ano
Mortalidade: 46% (sepse grave) 52% (choque séptico)
2ª maior causa de óbito em UTI’s não cardiológicasProdutos bacterianos envolvidosProdutos Extracelulares: ExotoxinasEfeitos pró inflamatórios à distânciaInfecçãoBactériasProdutos da parede celularEndotoxinasBactérias gram negativas: LPS Resposta pró-inflamatória: Citocinas (TNF-alfa, IL1 e IL6)
Resposta inflamatória EXCESSIVA à infecçãoQuais são os mediadores?
EndotoxinasLiberação de citocinas pró inflamatórias: TNF-alfa e IL1Ativação LeucocitáriaDisfunção EndotelialConsumo local de oxigênio e Liberação da ElastaseNeutrofílicaAtivação do sistema complementoLiberação de Óxido NítricoVasodilatação Periférica Lesão TissularDisfunção HematológicaDisfunção RespiratóriaDisfunção RenalDisfunção Cardiovascular
Mediadores Anti-inflamatórios
Disfunção CardiovascularVasodilatação Periférica↑ Débito Cardiáco insuficientePerda da homeostase na regulação do fluxo sanguíneoDisfunção MiocárdicaShunt de parte do volume circulante para leitos capilaresPiora da perfusão periférica e exacerbação da hipóxia tecidualACIDOSE METABÓLICA
Disfunção CardiovascularPAS < 90 mmHg ou PAM < 70 mmHg (por pelo menos 1h
Apesar de:
ressuscitaçãovolêmica adequada (500mL em 30´)
Parâmetros adequados de volemia (PVC > 8mmHg ou PCP >12 mmHg)
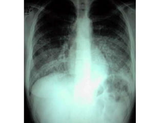
Necessidade de uso de vasopressoresDisfunção RespiratóriaDegranulação de Neutrófilos no interstício pulmonarAcúmulo de líquido e células inflamatórias nos espaços alveolaresPREJUÍZO NAS TROCAS GASOSASHipóxia + Tromboxano↑ Resistência Vascular Pulmonar↓ Resistência Vascular SistêmicaEDEMA INTERSTICIAL E HIPERTENSÃO PULMONAR
SDRALPA (Lesão Pulmonar Aguda):
Início agudo
PaO2/FiO2: 200-300 (apesar do uso de PEEP)
Rx Tórax: Infiltrados alvéolo-intersticiais, micro ou macronodulares, bilaterais e assimétricos

Sepse, sepse grave, choque séptico