Tumoresdo SistemaNervosoCentral 
Bruna MinnitiMançano 
Fev-2014
Epidemiologia 
●Segundaneoplasiamaiscomumnainfância; 
●Correspondea 20% das neoplasiasdainfância< 15anos; 
●Tumor sólidomaisfrequente; 
●70% originam-se nascélulasgliais; 
●Tendema nãometastatizaralémdo SNC; 
●Atualmente, sobrevida global em torno de 74%; 
●Maiores taxas de morbi-mortalidadeem relação aos outros tumores; 
Pizzo,PrinciplesandPracticeofPediatricOncology
Epidemiologia 
●> incidência na primeira década de vida; 
●Abaixo de 2 anos: tumores supratentoriais; 
●Infratentoriais: crianças e adultos jovens; 
●Fatores de risco : RADIAÇÃO IONIZANTE , Imunossupressão; condição familiar, sds. genéticas; 
●Crianças < 3 anos : problema !!! Particularidades . . . 
Pizzo,PrinciplesandPracticeofPediatricOncology
●1.700 a 2.200 CASOS NOVOS/ANO NOS ESTADOS UNIDOS* 
●3,3 CASOS / 100.000 CRIANÇAS COM IDADE < 15 ANOS/ANO * 
●NO BRASIL DE 13 a 21 CASOS/MILHÃO DE CRIANÇAS < 14 ANOS/ANO ** Incidência 
* SEER incidence1994 e 1999 
**InternationalAgencyfor Research onCancer, 1998
Incidência 
TIPO DE TUMOR 
PERCENTAGEM 
Gliomade baixo grau 
25-40% 
Gliomade alto grau 
5-10% 
Gliomade tronco 
8-12% 
Meduloblastoma 
6-20% 
Ependimoma 
6-11% 
Craniofaringioma 
6-15% 
Pizzo,Principlesand Practice of Pediatric Oncology 
TIPO DE TUMOR 
PERCENTAGEM 
Gliomade baixo grau 
25-40% 
Gliomade alto grau 
5-10% 
Gliomade tronco 
8-12% 
Meduloblastoma 
6-20% 
Ependimoma 
6-11% 
TCG 
3-15%
CLASSIFICAÇÃO 
Kieran,M.W Advances in Pediatric Neuro-Oncology-2000,13(6 ) :627-634
●Síndromes Genéticas 
●Menos de 10 % das cçascom Tu SNC tem Sds. genéticas; 
●Herança autossômica dominante e mutações somáticas em genes específicos: 
●Sd. Cowden–gangliocitomacerebelar ; 
●Sd. Li-Fraumeni–PNET, medulo, astrocitoma; 
●NF 1 –Gliomade via óptica, neurofibroma; 
●NF 2-Meningioma, Schwanoma, ependimoma; 
●Esclerose tuberosa –Astrocitoma, 
●Sd.Turcot–Meduloblastoma; 
●Sd.Gorlin–Meduloblastoma, Meningioma; 
●Sd. Von HippelLindau–Hemangioblastoma; 
Pizzo,PrinciplesandPracticeofPediatricOncology
ganglioglioma 
meduloblastoma 
ependimoma 
meduloblastoma 
papiloma 
astrocitoma
Por que o atraso no diagnóstico? 
●Sintomassãocomunsa umasériede doenças: 
* Cefaléia; 
*Náuseas/Vômitos; 
* Alteraçãode comportamento; 
●Médiade consultasantes do diagnóstico–4,6 
●Intervalode sintomaspré-diagnóstico-6 meses; 
ArchDisChild1996; 74:148-151
PrincipaisSintomas
Principais Sintomas
TUMORES DO SISTEMA NERVOSOABAIXO DE 2 ANOSACIMA DE 2 ANOSATÉ 10 ANOS 
TUMORES SUPRATENTORIAIS 
60% 
INFRATENTORIAIS 
3-6% TUMORES 
MEDULARES
TUMORES DO SISTEMA NERVOSOSUPRATENTORIAIS/ SINTOMAS FREQUENTES 
HEMISFÉRIOS CEREBRAIS 
CONVULSÕES 
DISTÚRBIOS DE COMPORTAMENTO 
REGIÃO SELAR 
PAN-HIPOPITUITARISMO 
(REBAIXAMENTO INTELECTUAL, ATRASO DE 
CARACTERES SEXUAIS E PSICO-MOTOR) 
DIABETES INSIPIDUS 
(POLIDIPSIA, POLIÚRIA, HIPERNATREMIA) 
REGIÃO 
QUIASMA ÓPTICO 
ALTERAÇÃO NA 
ACUIDADE VISUAL 
REGIÃO 
PUBERDADE PRECOCE 
HEMISFÉRIOS CEREBRAIS 
CONVULSÕES 
DISTÚRBIOS DE COMPORTAMENTO 
REGIÃO SELAR 
PAN-HIPOPITUITARISMO 
(REBAIXAMENTO INTELECTUAL, ATRASO DE 
CARACTERES SEXUAIS E PSICO-MOTOR) 
DIABETES INSIPIDUS 
(POLIDIPSIA, POLIÚRIA, HIPERNATREMIA) 
REGIÃO 
QUIASMA ÓPTICO 
ALTERAÇÃO NA 
ACUIDADE VISUAL 
REGIÃO 
DE PINEAL 
PUBERDADE PRECOCE 
PARALISIA DA INERVAÇÃO OLHAR
TUMORES DO SISTEMA NERVOSOINFRATENTORIAIS/ SINTOMAS FREQUENTES 
REGIÃO 
DE FOSSA POSTERIOR 
HIDROCEFALIA COM 
SINAIS DE HIPERTENSÃO 
INTRA-CRANIANA 
REGIÃO 
DE TRONCO 
ACOMETIMENTO DE PARES 
CRANIANOS BAIXOS 
ATAXIA 
REGIÃO 
DE FOSSA POSTERIOR 
HIDROCEFALIA COM 
SINAIS DE HIPERTENSÃO 
INTRA-CRANIANA 
REGIÃO 
DE TRONCO 
ACOMETIMENTO DE PARES 
CRANIANOS BAIXOS 
ATAXIA
TUMORES DO SISTEMA NERVOSOS.N PERIFÉRICO/ SINTOMAS FREQUENTES 
INTRAMEDULAR 
DISTÚRBIOS DA MOTRICIDADE 
EXTRAMEDULAR 
INTRADURAL 
DOR EM COLUNA COM 
IRRADIAÇÃO PARA MEMBROS 
PARESIAS 
EXTRAMEDULAR 
EXTRADURAL 
BLOQUEIO AGUDO COM 
PARAPLEGIA E PARESIAS 
ALTERAÇÕES ESFINCTERIANAS
Como se faz Diagnóstico? 
●Centros Especializados: Protocolos Nacionais e Internacionais (Grupos Cooperativos) : intercâmbio 
●Exames e testes 
●Análise de tecido do tumor 
●Procura dos locais com tumor 
●Avaliação dos especialistas para definir tratamento
CURATratamento 
•RESSECÇÃO COMPLETA 
•AUSÊNCIA DE MESTÁSTASES 
•ACOMPANHAMENTO EM CENTRO ESPECIALIZADO QUE REQUER NEUROCIRURGIÃO, PATOLOGISTA, GENETICISTA, RADIOLOGISTA,ONCOLOGISTA, NEUROLOGISTA, RADIOTERAPEUTA, SUPORTE PARA INTERNAÇÃO E REABILITAÇÃO ;
Tratamento Cirúrgico 
Centro Cirúrgico do IOP-GRAACC-UNIFESP 
Departamento de Pediatria 
Agradecimento: Prof. Dr. Sérgio Cavalheiro
Tratamento Radioterápico 
IMRT-Terapia de Irradiação Intensidade Modulada Meduloblastoma 
radioterapia ao crânio e neuro-eixo 
Agradecimento: Prof. Dr. Eduardo Weltman 
Dr. Fernando Ladeia
•Microcirurgia 
•RM 
•Neuronavegação 
•Monitorizaçãointra-operatória 
•Tractografia 
Neurocirurgia:BrainSuite
Casos Clínicos 
●1) L.F.F, 6ª 7 m, 
●Data da consulta: 13-08-2013 
●Procedente:Araçatuba –S.P 
●Vômitos pós alimentares há 2 meses -> pediatra ->alt.da dieta +EDA 
●40 dias -> cefaléiasúbita e intensa com melhora com analgésicos-.PS-> LCR !!!! 
●35 dias -> desvio do olhar (estrabismo divergente)-> alteração do campo visual lateral bilateral ->NEURO ->RNM (19-07-2013 )-lesão em fossa posterior 
●Marcha atáxica-> Ressecção macroscópica da lesão -> 6 dias com DVE-> chegou em mutismo + andando com apoio, porém com força preservada, sem SNE 
●Diagnóstico:Meduloblastomaclássico totalmente ressecado –R0 M1-Alto Risco 
●Neuro -eixo positivo LCR : negativo 
●MO: negativa
●MEDULOBLASTOMA
MEDULOBLASTOMA E PNET 
●Tumor de SNC mais comum na criança ; 
●3-5 anos ; 
●Subtipos histológicos: clássico ,desmoplásico(nodular),grandes células (anaplásico); 
●Tendência a disseminação (1/3 ao diag) 
●2 riscos: favorável x desfavorável (resíduo macro > 1,5 cm3e/ou meta SNC ou neuro-eixoe/ou LCR +) 
●Fatores biológicos: c-myc,Trk, DNA ploidia, isocromossomo 17q 
●Ttostandard: Cirurgia + QT+RT (p/ > 3 anos) 
●< 3 anos: Cirurgia + QT , posterga –se RT
●2) N.C.S.C, 12ª 
●Data da consulta: 01-10 -2013 
●Cefaléiahá 3 meses + perda do equilibrio+ sem vômitos 
●Oftalmo–erro de refração -> alteração de campo visual 
●Neuro-> TC de crânio há 1 mês -> RNM após 15 dias 
●RNM ( 25-09) : lesão infiltrativade tronco cerebral , estendendo –se do mesencéfalo à medula cervical ao nível de C1-C2 com hidrocefalia osbtrutiva- glioma 
●Exame fisico: Glasgow15, ataxiacerebelar, pares cranianos Ok, força preservada,olhar em sol poente; 
●Manchas café-com –leite 
●Diagnóstico: Neurofibromatosetipo 1 +gliomade bxgrau óptico –hipotalâmico +gliomade tronco difuso
●Gliomade bxgrau +NF1
GLIOMA HIPOTALÂMICO-QUIASMÁTICO 
●Sub-grupomais comum de gliomade baixo-grau (60%); 
●Cças< 5 anos; 
●Apresentação clínica: sínd.diencefálica, anormalidades endócrinas e deterioração visual;
3)E.S., 4anos e 2meses, 
Data da consulta:25-06-2013 
Ataxialateralizadaà direita +alteração de comportamento =agressividade 
Sem cefaléiae sem vômitos 
RNM –formação expansiva em tronco cerebral 12 mmx15 mm 
Tratamento: Rxt
●Gliomadifuso de tronco 
•Prognóstico ruim !!! 
•Cçasentre 3 -10ª; 
•Tto: Rxt 
•Obs: Temozolamida( sem melhoras para sobrevida)
GliomaAlto Grau 
●AA e GBM (WHO 3 e 4). Sobrevida de 12 e 24 meses, respectivamente. 
●TTO standard: cirurgia + RDT c/ ou s/ QT (Temozolamida) 
Conclusão: Deve ser SEMPRE que possível ressecado COMPLETAMENTE !!!!
●4)M.J, 16 anos, 
●Data de consulta : 17-11-2013 
●Cefáleiahá 8 meses, sem náuseas e vômitos -> Neuro ->Enxaqueca 
●Hemiplegia a direita, perda da força , disfagiae dislaliahá 20 dias – 
●AP:Glioblastomamultiforme
Glioblastomamultiforme (Who 4)
GliomaAlto Grau 
●AA e GBM (WHO 3 e 4). Sobrevida de 12 e 24 meses, respectivamente. 
●TTO standard: cirurgia + RDT c/ ou s/ QT (Temozolamida) 
Conclusão: Deve ser SEMPRE que possível ressecado COMPLETAMENTE !!!!
5) J. D e G.D, 14 a e 16 a 
Data da consulta: 08-10-2013 
J –perda da visão no olho direito + ptose palbebral 
diminuição da acuidade auditiva a E 
G-proptose do olho E 
Antecedentes : pai –Neurofibromatosetipo 1 + GBM
Neurofibromatosetipo 1 
Neurinomado acústico 
Ependimomagrau Ii
Ependimoma 
●70% na FP. 
●50%incideemcçs<5anos. 
●Subtipos: mixopapilar( subependimoma), ependimomagrau II e anaplásico 
●Tto: cirurgia 
●RT se ressecção incompleta 
●Qtse progressão ( pouco responsíveis)
Só existem dois dias do ano em que você não pode fazer nada: ontem e amanhã. (DalaiLama)
Tu snc  bruna

Tu snc bruna

  • 1.
    Tumoresdo SistemaNervosoCentral BrunaMinnitiMançano Fev-2014
  • 2.
    Epidemiologia ●Segundaneoplasiamaiscomumnainfância; ●Correspondea20% das neoplasiasdainfância< 15anos; ●Tumor sólidomaisfrequente; ●70% originam-se nascélulasgliais; ●Tendema nãometastatizaralémdo SNC; ●Atualmente, sobrevida global em torno de 74%; ●Maiores taxas de morbi-mortalidadeem relação aos outros tumores; Pizzo,PrinciplesandPracticeofPediatricOncology
  • 3.
    Epidemiologia ●> incidênciana primeira década de vida; ●Abaixo de 2 anos: tumores supratentoriais; ●Infratentoriais: crianças e adultos jovens; ●Fatores de risco : RADIAÇÃO IONIZANTE , Imunossupressão; condição familiar, sds. genéticas; ●Crianças < 3 anos : problema !!! Particularidades . . . Pizzo,PrinciplesandPracticeofPediatricOncology
  • 4.
    ●1.700 a 2.200CASOS NOVOS/ANO NOS ESTADOS UNIDOS* ●3,3 CASOS / 100.000 CRIANÇAS COM IDADE < 15 ANOS/ANO * ●NO BRASIL DE 13 a 21 CASOS/MILHÃO DE CRIANÇAS < 14 ANOS/ANO ** Incidência * SEER incidence1994 e 1999 **InternationalAgencyfor Research onCancer, 1998
  • 6.
    Incidência TIPO DETUMOR PERCENTAGEM Gliomade baixo grau 25-40% Gliomade alto grau 5-10% Gliomade tronco 8-12% Meduloblastoma 6-20% Ependimoma 6-11% Craniofaringioma 6-15% Pizzo,Principlesand Practice of Pediatric Oncology TIPO DE TUMOR PERCENTAGEM Gliomade baixo grau 25-40% Gliomade alto grau 5-10% Gliomade tronco 8-12% Meduloblastoma 6-20% Ependimoma 6-11% TCG 3-15%
  • 7.
    CLASSIFICAÇÃO Kieran,M.W Advancesin Pediatric Neuro-Oncology-2000,13(6 ) :627-634
  • 8.
    ●Síndromes Genéticas ●Menosde 10 % das cçascom Tu SNC tem Sds. genéticas; ●Herança autossômica dominante e mutações somáticas em genes específicos: ●Sd. Cowden–gangliocitomacerebelar ; ●Sd. Li-Fraumeni–PNET, medulo, astrocitoma; ●NF 1 –Gliomade via óptica, neurofibroma; ●NF 2-Meningioma, Schwanoma, ependimoma; ●Esclerose tuberosa –Astrocitoma, ●Sd.Turcot–Meduloblastoma; ●Sd.Gorlin–Meduloblastoma, Meningioma; ●Sd. Von HippelLindau–Hemangioblastoma; Pizzo,PrinciplesandPracticeofPediatricOncology
  • 9.
    ganglioglioma meduloblastoma ependimoma meduloblastoma papiloma astrocitoma
  • 10.
    Por que oatraso no diagnóstico? ●Sintomassãocomunsa umasériede doenças: * Cefaléia; *Náuseas/Vômitos; * Alteraçãode comportamento; ●Médiade consultasantes do diagnóstico–4,6 ●Intervalode sintomaspré-diagnóstico-6 meses; ArchDisChild1996; 74:148-151
  • 11.
  • 12.
  • 13.
    TUMORES DO SISTEMANERVOSOABAIXO DE 2 ANOSACIMA DE 2 ANOSATÉ 10 ANOS TUMORES SUPRATENTORIAIS 60% INFRATENTORIAIS 3-6% TUMORES MEDULARES
  • 14.
    TUMORES DO SISTEMANERVOSOSUPRATENTORIAIS/ SINTOMAS FREQUENTES HEMISFÉRIOS CEREBRAIS CONVULSÕES DISTÚRBIOS DE COMPORTAMENTO REGIÃO SELAR PAN-HIPOPITUITARISMO (REBAIXAMENTO INTELECTUAL, ATRASO DE CARACTERES SEXUAIS E PSICO-MOTOR) DIABETES INSIPIDUS (POLIDIPSIA, POLIÚRIA, HIPERNATREMIA) REGIÃO QUIASMA ÓPTICO ALTERAÇÃO NA ACUIDADE VISUAL REGIÃO PUBERDADE PRECOCE HEMISFÉRIOS CEREBRAIS CONVULSÕES DISTÚRBIOS DE COMPORTAMENTO REGIÃO SELAR PAN-HIPOPITUITARISMO (REBAIXAMENTO INTELECTUAL, ATRASO DE CARACTERES SEXUAIS E PSICO-MOTOR) DIABETES INSIPIDUS (POLIDIPSIA, POLIÚRIA, HIPERNATREMIA) REGIÃO QUIASMA ÓPTICO ALTERAÇÃO NA ACUIDADE VISUAL REGIÃO DE PINEAL PUBERDADE PRECOCE PARALISIA DA INERVAÇÃO OLHAR
  • 15.
    TUMORES DO SISTEMANERVOSOINFRATENTORIAIS/ SINTOMAS FREQUENTES REGIÃO DE FOSSA POSTERIOR HIDROCEFALIA COM SINAIS DE HIPERTENSÃO INTRA-CRANIANA REGIÃO DE TRONCO ACOMETIMENTO DE PARES CRANIANOS BAIXOS ATAXIA REGIÃO DE FOSSA POSTERIOR HIDROCEFALIA COM SINAIS DE HIPERTENSÃO INTRA-CRANIANA REGIÃO DE TRONCO ACOMETIMENTO DE PARES CRANIANOS BAIXOS ATAXIA
  • 16.
    TUMORES DO SISTEMANERVOSOS.N PERIFÉRICO/ SINTOMAS FREQUENTES INTRAMEDULAR DISTÚRBIOS DA MOTRICIDADE EXTRAMEDULAR INTRADURAL DOR EM COLUNA COM IRRADIAÇÃO PARA MEMBROS PARESIAS EXTRAMEDULAR EXTRADURAL BLOQUEIO AGUDO COM PARAPLEGIA E PARESIAS ALTERAÇÕES ESFINCTERIANAS
  • 17.
    Como se fazDiagnóstico? ●Centros Especializados: Protocolos Nacionais e Internacionais (Grupos Cooperativos) : intercâmbio ●Exames e testes ●Análise de tecido do tumor ●Procura dos locais com tumor ●Avaliação dos especialistas para definir tratamento
  • 18.
    CURATratamento •RESSECÇÃO COMPLETA •AUSÊNCIA DE MESTÁSTASES •ACOMPANHAMENTO EM CENTRO ESPECIALIZADO QUE REQUER NEUROCIRURGIÃO, PATOLOGISTA, GENETICISTA, RADIOLOGISTA,ONCOLOGISTA, NEUROLOGISTA, RADIOTERAPEUTA, SUPORTE PARA INTERNAÇÃO E REABILITAÇÃO ;
  • 19.
    Tratamento Cirúrgico CentroCirúrgico do IOP-GRAACC-UNIFESP Departamento de Pediatria Agradecimento: Prof. Dr. Sérgio Cavalheiro
  • 20.
    Tratamento Radioterápico IMRT-Terapiade Irradiação Intensidade Modulada Meduloblastoma radioterapia ao crânio e neuro-eixo Agradecimento: Prof. Dr. Eduardo Weltman Dr. Fernando Ladeia
  • 21.
    •Microcirurgia •RM •Neuronavegação •Monitorizaçãointra-operatória •Tractografia Neurocirurgia:BrainSuite
  • 22.
    Casos Clínicos ●1)L.F.F, 6ª 7 m, ●Data da consulta: 13-08-2013 ●Procedente:Araçatuba –S.P ●Vômitos pós alimentares há 2 meses -> pediatra ->alt.da dieta +EDA ●40 dias -> cefaléiasúbita e intensa com melhora com analgésicos-.PS-> LCR !!!! ●35 dias -> desvio do olhar (estrabismo divergente)-> alteração do campo visual lateral bilateral ->NEURO ->RNM (19-07-2013 )-lesão em fossa posterior ●Marcha atáxica-> Ressecção macroscópica da lesão -> 6 dias com DVE-> chegou em mutismo + andando com apoio, porém com força preservada, sem SNE ●Diagnóstico:Meduloblastomaclássico totalmente ressecado –R0 M1-Alto Risco ●Neuro -eixo positivo LCR : negativo ●MO: negativa
  • 23.
  • 24.
    MEDULOBLASTOMA E PNET ●Tumor de SNC mais comum na criança ; ●3-5 anos ; ●Subtipos histológicos: clássico ,desmoplásico(nodular),grandes células (anaplásico); ●Tendência a disseminação (1/3 ao diag) ●2 riscos: favorável x desfavorável (resíduo macro > 1,5 cm3e/ou meta SNC ou neuro-eixoe/ou LCR +) ●Fatores biológicos: c-myc,Trk, DNA ploidia, isocromossomo 17q ●Ttostandard: Cirurgia + QT+RT (p/ > 3 anos) ●< 3 anos: Cirurgia + QT , posterga –se RT
  • 25.
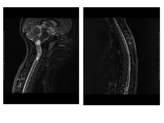
    ●2) N.C.S.C, 12ª ●Data da consulta: 01-10 -2013 ●Cefaléiahá 3 meses + perda do equilibrio+ sem vômitos ●Oftalmo–erro de refração -> alteração de campo visual ●Neuro-> TC de crânio há 1 mês -> RNM após 15 dias ●RNM ( 25-09) : lesão infiltrativade tronco cerebral , estendendo –se do mesencéfalo à medula cervical ao nível de C1-C2 com hidrocefalia osbtrutiva- glioma ●Exame fisico: Glasgow15, ataxiacerebelar, pares cranianos Ok, força preservada,olhar em sol poente; ●Manchas café-com –leite ●Diagnóstico: Neurofibromatosetipo 1 +gliomade bxgrau óptico –hipotalâmico +gliomade tronco difuso
  • 26.
  • 27.
    GLIOMA HIPOTALÂMICO-QUIASMÁTICO ●Sub-grupomaiscomum de gliomade baixo-grau (60%); ●Cças< 5 anos; ●Apresentação clínica: sínd.diencefálica, anormalidades endócrinas e deterioração visual;
  • 28.
    3)E.S., 4anos e2meses, Data da consulta:25-06-2013 Ataxialateralizadaà direita +alteração de comportamento =agressividade Sem cefaléiae sem vômitos RNM –formação expansiva em tronco cerebral 12 mmx15 mm Tratamento: Rxt
  • 29.
    ●Gliomadifuso de tronco •Prognóstico ruim !!! •Cçasentre 3 -10ª; •Tto: Rxt •Obs: Temozolamida( sem melhoras para sobrevida)
  • 30.
    GliomaAlto Grau ●AAe GBM (WHO 3 e 4). Sobrevida de 12 e 24 meses, respectivamente. ●TTO standard: cirurgia + RDT c/ ou s/ QT (Temozolamida) Conclusão: Deve ser SEMPRE que possível ressecado COMPLETAMENTE !!!!
  • 31.
    ●4)M.J, 16 anos, ●Data de consulta : 17-11-2013 ●Cefáleiahá 8 meses, sem náuseas e vômitos -> Neuro ->Enxaqueca ●Hemiplegia a direita, perda da força , disfagiae dislaliahá 20 dias – ●AP:Glioblastomamultiforme
  • 32.
  • 33.
    GliomaAlto Grau ●AAe GBM (WHO 3 e 4). Sobrevida de 12 e 24 meses, respectivamente. ●TTO standard: cirurgia + RDT c/ ou s/ QT (Temozolamida) Conclusão: Deve ser SEMPRE que possível ressecado COMPLETAMENTE !!!!
  • 34.
    5) J. De G.D, 14 a e 16 a Data da consulta: 08-10-2013 J –perda da visão no olho direito + ptose palbebral diminuição da acuidade auditiva a E G-proptose do olho E Antecedentes : pai –Neurofibromatosetipo 1 + GBM
  • 35.
    Neurofibromatosetipo 1 Neurinomadoacústico Ependimomagrau Ii
  • 38.
    Ependimoma ●70% naFP. ●50%incideemcçs<5anos. ●Subtipos: mixopapilar( subependimoma), ependimomagrau II e anaplásico ●Tto: cirurgia ●RT se ressecção incompleta ●Qtse progressão ( pouco responsíveis)
  • 40.
    Só existem doisdias do ano em que você não pode fazer nada: ontem e amanhã. (DalaiLama)