Faculdade de Medicina de LisboaCadeira de Anatomia Patológica3.º ano de MedicinaMELANOMA MALIGNOP1Carolina CorreiaFernando AzevedoFrancisco SantosTelma CaladoVânia Caldeira
Cancro da PeleCancro mais frequente em indivíduos caucasianosExposição ao sol – 90% casosTipos de cancros da pele:Melanoma MalignoCancro da PeleCancro Pele Não-MelanomaCarcinoma de células basaisCarcinoma de células escamosas
Carcinoma de Células Basais1º mais comum decorrente da exposição solarPessoas com pele claraExposição crónica ao solRara metastizaçãoNódulos rosados com telangiectasias, crescimento lentoFig. 3 – Ninho separado do estroma por fenda Fig. 1 –  Nódulo telangiectásico rosadoFig. 2 –  Ninhos cél. basais na derme
Carcinoma de Células EscamosasMaior incidência em homensExposição solar – maior factor predisponente:Lesão DNAEfeito imunosupressor directoSequências de DNA viraisNódulos de crescimento rápido, tendência para ulcerar e sangrarFig. 4 –  Lesão nodular  ulceradaFig. 6 –  Cél.tumorais, núcleos aumentados, contornos anguladosFig. 5 –  Línguas de cél. invadem a derme
Melanoma Maligno – O Que É?Maioria surge na peleOrigina-se nos melanócitosGeralmente: lesão hiperpigmentadaMetastiza rapidamenteLuz solar - factor importante no desenvolvimentoHomens: zona superior da região dorsalMulheres: região dorsal e pernasPode surgir:formação cutânea novaa partir de nevos pré-existentes (metade dos casos) > Nevos Displásicos e Nevos MelanocíticosFig. 7 –  Melanoma Maligno.
Melanoma Maligno – Factores de RiscoRadiação UV – Exposição solarNevos DisplásicosMuitos Nevos melanocíticos (sinais comuns)Pele claraSI enfraquecidoHistória pessoal e/ou familiar de melanoma e/ou cancro de peleQueimaduras solares gravesExposição a carcinogéneos
Nevos Melanocíticos e Nevos DisplásicosNevos MelanocíticosTumor biológico da peleMáculas ou pápulas, margens bem definidas e bordas circulares, acastanhadas, uniformementepigmentadas e pequenas - < 6mm diâmetroFig. 8 –  Nevo melanocítico.Fig. 9 –  Nevo melanocítico.Nevos Displásicos
Associação com melanoma maligno
> 5 mm diâmetro
Máculas achatadas, placas levemente elevadas, com superfície granulosa
Lesões em forma de alvo com um centro elevado e escurecido, periferia plana e irregularFig. 10 –  Nevo displásico.
Nevos DisplásicosZonas expostas e não expostas ao solMaioria são lesões estáveisEstudos em famílias com propensão para melanoma – transmissão AD:> 5% desenvolveram melanoma em 8 anosNovos melanomas só em indivíduos com nevos displásicosProbabilidade de SNF -> melanoma: 56% aos 59 anosFig. 11 –  Estádios da progressão tumoral em nevos displásicos.Hiperplasia melanocítica lentiginosaNevo juncional lentiginosoNevo composto displásicoMelanoma inicial ou em fase de crescimento radialMelanoma avançado ou em fase de crescimento vertical
Melanoma Maligno – Factores Genéticos10-15% origem familiarSíndrome do Nevo Displásico ou Familiar (SNF)Outros genes:CDK4 – gene susceptibilidade ao melanomaBRAF – mutação em 60-70% dos melanomas e em igual proporção nos nevos melanocíticosPredisposição familiar:
Locus 9p21
Codifica p16INK4A ou CDNK2
Frequentemente delectado nos melanomas
92% doentes com melanoma de famílias SNF
20% melanomas de famílias não-SNFMelanoma Maligno - Epidemiologia↑ progressivo do nº casos detectados4% cancros cutâneos – triplicou desde 198073% de todas as mortes por cancro cutâneoIncidência 1,2% de todos os novos casos de cancro por ano em todo o Mundo2º mais frequente nas mulheres dos 20-39 anos20% doentes morrerão < 40 anos
Melanoma Maligno - EpidemiologiaPaíses desenvolvidos:7% novos casos cancro homem8,5% novos casos cancro mulherIncidência na Europa:
10/100 000 habitantes por ano
Aumento cerca de 6-7% por ano
Incidência em Portugal:
8/100 000 habitantes por ano
800 novos casos por anoEstatísticas: Registo Oncológico Nacional (Instituto Português Oncologia de Francisco Gentil)
Estatísticas: Registo Oncológico Nacional (Instituto Português Oncologia de Francisco Gentil)
Estatísticas: Registo Oncológico Nacional (Instituto Português Oncologia de Francisco Gentil)
Estatísticas: Registo Oncológico Nacional (Instituto Português Oncologia de Francisco Gentil)
Características Clínicas Geralmente assintomático mas pode ter prurido associado.
Sinais clínicos de malignidade: Bordos irregulares; Variação de padrão de pigmentação e cor; Variação de tamanho; Variação forma Sangramento; ulceração e dor.Características ClínicasLentigo maligno-melanomaMelanoma de disseminação superficialMelanoma nodularMelanoma lentiginoso acral
Diagnóstico História clínica completa
Exame físico:
 Inspecção completa da pele e mucosas
Dermoscopia (microscopia de epiluminescência)
 Palpação de gânglios linfáticos
 Raio-X, TC ou RM (em caso de suspeita de metástases)
 Determinação de níveis sanguineos de LDH
 Biópsia excisional ou incisionalEstadiamentoClassificação AJCC: Sistema TMN
Estadiamento - MetastizaçãoMetastizaçãoImageamento de possiveis locais
Tratamento
Prevenção Baseia-se na protecção solar:	Protector solar com FPS ≥15	Uso de roupas protectoras	Evitar exposição ultravioleta intensa entre 	10-16H	Evitar exposição por horas excessivas Informação sobre risco hereditário e conhecimentos básicos de sinais de perigo.
 Consultas de rotina para pacientes com história de melanoma e nevos atípicos.
 Cuidado com fármacos que aumentam sensibilidade aos efeitos do sol.Prevenção – Detecção Precoce“ABCD Rules”AssimetriaBordosCorDiâmetro
Histologia da PeleSistema TegumentarPeleAnexos cutâneosFunções da PeleProtecçãoBarreira hídricaRegulação temperatura corporalDefesa não-específicaExcreção saisSíntese vitamina DÓrgão sensorial
Pele – exame objectivoFig. 12 – Icterícia.Fig. 13 – Cianose.Fig. 14 – Anemia.Fig. 15 – Albinismo.
Pele – estrutura histológicaEpidermeDermeHipodermeFig. 17 – Corte histológico da pele.Fig. 16 – Estrutura da pele.
Epiderme - estruturaQueratinócitosCélulas de LangerhansCélulas de MerkelMelanócitosFig. 18 – Estratos da epiderme.Fig. 19 – Pele branca.Fig. 20 – Pele escura.
Epiderme - MelanócitosFig. 22 – Melanócitos na epiderme.Fig. 21 – Estrutura de um melanócito.
Derme - estruturaFig. 23 – Estrutura da pele e seus constituintes.Fig. 24 – Imagens histológicas da derme.
Hipoderme - estruturaFig. 25 – Hipoderme.
Anexos CutâneosPêlosGlândulas SebáceasGlândulas SudoríparasUnhasFig. 26 – Glândulas sudoríparas.Fig. 27 – Unha.Fig. 28 – Folículos pilosos.
Nevo MelanocíticoRegiões sólidasPlanas – máculasElevadas – pápulasMargens bem definidas e bordos circularesPigmentação uniformePequenos (<6mm)Núcleos – uniformes e arredondadosNucléolos evidentesFig. 29 – Nevo tipo juncionalFig. 30 - Nevo tipo juncional
Nevo MelanocíticoNevo juncional – estágio precoce de desenvolvimentoMATURAÇÃONevo compostoNevo intradérmico ↑ elevadosFig. 31 e 32– Nevo tipo composto
MaturaçãoDistinção entre nevos benignos e melanomas.↓ maduros e superficiais↑ maduros e profundos São maiores

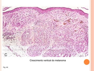
Melanoma Maligno

  • 1.
    Faculdade de Medicinade LisboaCadeira de Anatomia Patológica3.º ano de MedicinaMELANOMA MALIGNOP1Carolina CorreiaFernando AzevedoFrancisco SantosTelma CaladoVânia Caldeira
  • 2.
    Cancro da PeleCancromais frequente em indivíduos caucasianosExposição ao sol – 90% casosTipos de cancros da pele:Melanoma MalignoCancro da PeleCancro Pele Não-MelanomaCarcinoma de células basaisCarcinoma de células escamosas
  • 3.
    Carcinoma de CélulasBasais1º mais comum decorrente da exposição solarPessoas com pele claraExposição crónica ao solRara metastizaçãoNódulos rosados com telangiectasias, crescimento lentoFig. 3 – Ninho separado do estroma por fenda Fig. 1 – Nódulo telangiectásico rosadoFig. 2 – Ninhos cél. basais na derme
  • 4.
    Carcinoma de CélulasEscamosasMaior incidência em homensExposição solar – maior factor predisponente:Lesão DNAEfeito imunosupressor directoSequências de DNA viraisNódulos de crescimento rápido, tendência para ulcerar e sangrarFig. 4 – Lesão nodular ulceradaFig. 6 – Cél.tumorais, núcleos aumentados, contornos anguladosFig. 5 – Línguas de cél. invadem a derme
  • 5.
    Melanoma Maligno –O Que É?Maioria surge na peleOrigina-se nos melanócitosGeralmente: lesão hiperpigmentadaMetastiza rapidamenteLuz solar - factor importante no desenvolvimentoHomens: zona superior da região dorsalMulheres: região dorsal e pernasPode surgir:formação cutânea novaa partir de nevos pré-existentes (metade dos casos) > Nevos Displásicos e Nevos MelanocíticosFig. 7 – Melanoma Maligno.
  • 6.
    Melanoma Maligno –Factores de RiscoRadiação UV – Exposição solarNevos DisplásicosMuitos Nevos melanocíticos (sinais comuns)Pele claraSI enfraquecidoHistória pessoal e/ou familiar de melanoma e/ou cancro de peleQueimaduras solares gravesExposição a carcinogéneos
  • 7.
    Nevos Melanocíticos eNevos DisplásicosNevos MelanocíticosTumor biológico da peleMáculas ou pápulas, margens bem definidas e bordas circulares, acastanhadas, uniformementepigmentadas e pequenas - < 6mm diâmetroFig. 8 – Nevo melanocítico.Fig. 9 – Nevo melanocítico.Nevos Displásicos
  • 8.
  • 9.
    > 5 mmdiâmetro
  • 10.
    Máculas achatadas, placaslevemente elevadas, com superfície granulosa
  • 11.
    Lesões em formade alvo com um centro elevado e escurecido, periferia plana e irregularFig. 10 – Nevo displásico.
  • 12.
    Nevos DisplásicosZonas expostase não expostas ao solMaioria são lesões estáveisEstudos em famílias com propensão para melanoma – transmissão AD:> 5% desenvolveram melanoma em 8 anosNovos melanomas só em indivíduos com nevos displásicosProbabilidade de SNF -> melanoma: 56% aos 59 anosFig. 11 – Estádios da progressão tumoral em nevos displásicos.Hiperplasia melanocítica lentiginosaNevo juncional lentiginosoNevo composto displásicoMelanoma inicial ou em fase de crescimento radialMelanoma avançado ou em fase de crescimento vertical
  • 13.
    Melanoma Maligno –Factores Genéticos10-15% origem familiarSíndrome do Nevo Displásico ou Familiar (SNF)Outros genes:CDK4 – gene susceptibilidade ao melanomaBRAF – mutação em 60-70% dos melanomas e em igual proporção nos nevos melanocíticosPredisposição familiar:
  • 14.
  • 15.
  • 16.
  • 17.
    92% doentes commelanoma de famílias SNF
  • 18.
    20% melanomas defamílias não-SNFMelanoma Maligno - Epidemiologia↑ progressivo do nº casos detectados4% cancros cutâneos – triplicou desde 198073% de todas as mortes por cancro cutâneoIncidência 1,2% de todos os novos casos de cancro por ano em todo o Mundo2º mais frequente nas mulheres dos 20-39 anos20% doentes morrerão < 40 anos
  • 19.
    Melanoma Maligno -EpidemiologiaPaíses desenvolvidos:7% novos casos cancro homem8,5% novos casos cancro mulherIncidência na Europa:
  • 20.
  • 21.
    Aumento cerca de6-7% por ano
  • 22.
  • 23.
  • 24.
    800 novos casospor anoEstatísticas: Registo Oncológico Nacional (Instituto Português Oncologia de Francisco Gentil)
  • 25.
    Estatísticas: Registo OncológicoNacional (Instituto Português Oncologia de Francisco Gentil)
  • 26.
    Estatísticas: Registo OncológicoNacional (Instituto Português Oncologia de Francisco Gentil)
  • 27.
    Estatísticas: Registo OncológicoNacional (Instituto Português Oncologia de Francisco Gentil)
  • 28.
    Características Clínicas Geralmenteassintomático mas pode ter prurido associado.
  • 29.
    Sinais clínicos demalignidade: Bordos irregulares; Variação de padrão de pigmentação e cor; Variação de tamanho; Variação forma Sangramento; ulceração e dor.Características ClínicasLentigo maligno-melanomaMelanoma de disseminação superficialMelanoma nodularMelanoma lentiginoso acral
  • 30.
  • 31.
  • 32.
    Inspecção completada pele e mucosas
  • 33.
    Dermoscopia (microscopia deepiluminescência)
  • 34.
    Palpação degânglios linfáticos
  • 35.
    Raio-X, TCou RM (em caso de suspeita de metástases)
  • 36.
    Determinação deníveis sanguineos de LDH
  • 37.
    Biópsia excisionalou incisionalEstadiamentoClassificação AJCC: Sistema TMN
  • 38.
  • 39.
  • 40.
    Prevenção Baseia-se naprotecção solar: Protector solar com FPS ≥15 Uso de roupas protectoras Evitar exposição ultravioleta intensa entre 10-16H Evitar exposição por horas excessivas Informação sobre risco hereditário e conhecimentos básicos de sinais de perigo.
  • 41.
    Consultas derotina para pacientes com história de melanoma e nevos atípicos.
  • 42.
    Cuidado comfármacos que aumentam sensibilidade aos efeitos do sol.Prevenção – Detecção Precoce“ABCD Rules”AssimetriaBordosCorDiâmetro
  • 43.
    Histologia da PeleSistemaTegumentarPeleAnexos cutâneosFunções da PeleProtecçãoBarreira hídricaRegulação temperatura corporalDefesa não-específicaExcreção saisSíntese vitamina DÓrgão sensorial
  • 44.
    Pele – exameobjectivoFig. 12 – Icterícia.Fig. 13 – Cianose.Fig. 14 – Anemia.Fig. 15 – Albinismo.
  • 45.
    Pele – estruturahistológicaEpidermeDermeHipodermeFig. 17 – Corte histológico da pele.Fig. 16 – Estrutura da pele.
  • 46.
    Epiderme - estruturaQueratinócitosCélulasde LangerhansCélulas de MerkelMelanócitosFig. 18 – Estratos da epiderme.Fig. 19 – Pele branca.Fig. 20 – Pele escura.
  • 47.
    Epiderme - MelanócitosFig.22 – Melanócitos na epiderme.Fig. 21 – Estrutura de um melanócito.
  • 48.
    Derme - estruturaFig.23 – Estrutura da pele e seus constituintes.Fig. 24 – Imagens histológicas da derme.
  • 49.
    Hipoderme - estruturaFig.25 – Hipoderme.
  • 50.
    Anexos CutâneosPêlosGlândulas SebáceasGlândulasSudoríparasUnhasFig. 26 – Glândulas sudoríparas.Fig. 27 – Unha.Fig. 28 – Folículos pilosos.
  • 51.
    Nevo MelanocíticoRegiões sólidasPlanas– máculasElevadas – pápulasMargens bem definidas e bordos circularesPigmentação uniformePequenos (<6mm)Núcleos – uniformes e arredondadosNucléolos evidentesFig. 29 – Nevo tipo juncionalFig. 30 - Nevo tipo juncional
  • 52.
    Nevo MelanocíticoNevo juncional– estágio precoce de desenvolvimentoMATURAÇÃONevo compostoNevo intradérmico ↑ elevadosFig. 31 e 32– Nevo tipo composto
  • 53.
    MaturaçãoDistinção entre nevosbenignos e melanomas.↓ maduros e superficiais↑ maduros e profundos São maiores

Notas do Editor

  • #17 1os sinais em fase de crescimento radial (alem destes localizacao e numero tb podem dar distincao entre nevos benignos)2os sinais tardios sem valor para diagnostico normalmente
  • #20 Sistema tem como fundamento k a probabilidade de metastase deve ser proporcional ao volume tumoral, sendo a espessura o melhor indicador do volumeThe TNM System (tumor-node-metastasis) is the most widely used system for cancer staging in the world. Created by the American Joint Committee on Cancer (AJCC), a distinguished group of experts from national healthcare organizations and major cancer centers around the country, the system defines cancer stage by describing: T: the features of the primary tumor. The two distinguishing features are tumor thickness and ulceration. Tumor thickness (also known as Breslow depth) is measured in millimeters (mm).1 mm = .04 inch, or less than 1/16 inch (about equal to the edge of a penny)2 mm = between 1/16 and 1/8 inch (about equal to the edge of a nickel)4 mm = between 1/8 and 1/4 inch (about equal to the edges of two nickels)N: the presence or absence of tumor spread to nearby lymph nodes M: the presence or absence of metastasis to distant sites