ADENOCARCINOMA
DE PÂNCREAS
Igor Thé Braga
MD Candidade, Class of 2015.2
Internato – Hospital Geral de Fortaleza
O Pâncreas: Anatomia
• Glândula acessória da digestão
• Alongado
• Retroperitoneal
• Transverso na parede posterior do
abdome
• Posterior ao estômago
• Entre o duodeno à direita
• E o baço à esquerda
• O mesocolo transverso fixa-o à sua
margem anterior
O Pâncreas: Anatomia
• Cabeça e Processo Uncinado:
– “C” duodenal (partes descendente
e horizontal = 2ª e 3ª)
– Vasos mesentéricos superiores
– Veia cava inferior
– Vasos renais direitos
– Veia renal esquerda
– Ducto colédoco
• Colo, Corpo e Cauda:
– Vasos mesentéricos superiores
– Peritônio, piloro do estômago
– VMS + VE = VP
– Aorta, L2, bolsa omental, leito do
estômago
– Supra-renal E, rim E e vv. renais E
– Hilo esplênico, flexura cólica E
– Lig. esplenorrenal, vv. esplênicos
O Pâncreas: Anatomia
• Irrigação arterial
– A. esplênica
 Ramos perfurantes (corpo e
cauda)
– Aa. gastroduodenais
 Aa. PD SA e SP (cabeça)
– A. mesentérica superior
 Aa. PD IA e IP (cabeça)
• Drenagem venosa
– Vv. pancreáticas
 Tributárias das partes esplênica
(maior parte) e mesentérica
superior da VP
O Pâncreas: Anatomia
• Drenagem linfática
– Linfonodos e vasos
linfáticos pancreáticos
 Linfonodos pancreáticos e
esplênicos
 Linfonodos pilóricos
 Linfonodos mesentéricos
superiores
 Linfonodos celíacos (através
dos linfonodos hepáticos)
• Inervação
– Nervo vago e esplâncnicos
abdominopélvicos
 Fibras simpáticas e
parassimpáticas: Plexo celíaco
e mesentérico superior
• DPP (Wirsung) + DC = ampola
hepatopancreática (Vater)
– Papila maior do duodeno
– Esfíncter da ampola
hepatopancreática (Oddi)
Incidência e Epidemiologia
• No Brasil (INCA):
– 2% de todos os tipos de câncer
– responsável por 4% do total de mortes
por câncer
• Nos EUA:
– afeta 25.000 a 30.000 indivíduos/ano
– 11º mais freqüente, 4ª causa de morte relacionada com câncer em homens
(próstata, pulmão, cólon) e mulheres (mama, cólon, pulmão)
– homens (1,3:1), negros, entre 6ª e 8ª década de vida (80% dos casos)
Fatores de Risco
• Idade avançada (6ª à 8ª década de vida)
• Sexo masculino (1,3:1)
• Cor negra, etnia judaica
• Tabagismo (principal influência ambiental)
• Exposição ocupacional a carcinógenos
• História de pancreatite crônica ou hereditária
• Diabetes: fator de risco ou manifestação? ?
Síndromes de Câncer
Pancreático Hereditário
• Câncer colorretal hereditário não-polipótico (HNPCC)
• Câncer de mama familiar (associado a mutações do BRCA2)
• Síndrome de Peutz-Jeghers
• Ataxia-telangiectasia
• Síndrome do melanoma múltiplo familial (FAMMM)
• Pancreatite hereditária e História familiar de CA Pâncreas
Patologia
• Adenocarcinoma de origem nas células exócrinas ductais e suas
variantes (80%-90%) e raramente nos ácinos
• Metástases são frequentes (ganglionares ou distantes)
• Corpo e cauda: largos, mais suscetíveis à disseminação antes que
sua presença se torne conhecida
• Crescimento perineural: propensão a se estender para dentro dos
plexos neurais vizinhos, causando dor abdominal e dorsal
• Grande parte da massa tumoral (até 2/3 do volume): na verdade
devida à pancreatite adjacente
Patologia
• Compressão do ducto pancreático principal e do colédoco terminal
em seu trajeto pela substância pancreática: comum
• Veia porta, duodeno e circulação linfática: são outras estruturas
freqüentemente acometidas
• Metástases para linfonodos regionais e para o fígado estão presentes
em 90% a 80% dos pacientes, respectivamente, por ocasião do
diagnóstico
• Cólon transverso, estômago e coluna vertebral, por proximidade,
são freqüentemente comprometidos pelo processo de contiguidade
tumoral
65%-75%:
cabeça e
processo
uncinado
(periampular)
20%: difuso
15%: corpo ou
cauda
30%: multicêntrico
Desenvolvimento e Biologia Molecular
• Códon 12 do oncogene K-ras (KRAS2)
• p53 (75%)
• Supressores de tumor: p16, DPC4 (SMAD-4), DPC, DCC, Rb e
APC
• Fatores de crescimento: EGFr (EGF e TGF-α), HER2r, HER3r e
HER4r
– agressividade do tumor, maior potencial metastático e pior
prognóstico
Desenvolvimento e Biologia Molecular
Progressão (Genética Molecular)
Lesões precursoras (PanIN) até adenocarcinoma ductal invasivo
Epitélio
ductal
Metaplasia
colunar
Carcinoma
in situ
Quadro Clínico (Sinais e Sintomas)
• Determinados pela
localização do tumor no
pâncreas
• Tardios, geralmente indicando
doença avançada
• Maioria dos pacientes
sintomáticos: apresenta-se em
estágios avançados à época
do diagnóstico
Quadro Clínico (Sinais e Sintomas)
Na cabeça ou no processo uncinado (periampulares):
Obstrução do ducto biliar, do duodeno ou do ducto pancreático
Episódios inexplicados de pancreatite, icterícia indolor, náusea, vômito,
esteatorreia e perda ponderal inexplicada
Posterior disseminação para todo o pâncreas:
Dor no andar superior do abdome ou no dorso(envolvimento dos plexos
nervosos peripancreáticos) e ascite (carcinomatose peritoneal ou
oclusão da veia porta)
Quadro Clínico (Sinais e Sintomas)
Quadro Clínico (Sinais e Sintomas)
• Tu originados do colo, corpo ou cauda do pâncreas
(não periampulares):
– em geral não apresentam icterícia ou obstrução pilórica
– os sintomas podem estar limitados a perda ponderal inexplicada e
dor abdominal superior vaga
– até que o tumor tenha crescido bastante e se disseminado pelo
pâncreas
Quadro Clínico (Sinais e Sintomas)
Quadro Clínico (Sinais e Sintomas)
• Dor:
– CA Pâncreas tem tendência à invasão perineural: no próprio órgão ou por invasão
do espaço retroperitoneal, que é responsável pela dor persistente presente em 72%
dos casos
– sintoma inicial nos tumores de cauda e corpo (não periampulares)
• Perda de apetite, fraqueza e sintomas dispépticos vagos: sintomas
freqüentemente associados
• Perda de peso importante: sintoma mais freqüente
– pode ser explicado pela anorexia e pela insuficiência pancreática exócrina
– geralmente está associada à dor abdominal e icterícia obstrutiva
Quadro Clínico (Sinais e Sintomas)
• Tromboflebite migratória inexplicada
(síndrome de Trousseau)
– é, provavelmente, um fenômeno
paraneoplásico que resulta de um estado de
hipercoagulabilidade induzida pelo tumor
(elaboração de fatores pró-coagulantes pelo
próprio tumor ou pelos seus produtos
necróticos)
• Nódulos hepáticos indicativos de
metástase podem ser encontrados
Quadro Clínico (Sinais e Sintomas)
• Indicam a presença de metástases à
distância:
– depósitos metastáticos subumbilicais
("linfonodo da irmã Maria José”)
– depósitos metastáticos do peritônio
pélvico ("prateleira de Blummer")
– linfadenopatia supraclavicular esquerda
(“linfonodo de Virchow")
• Ascite maligna, causada por
carcinomatose peritoneal, também
pode estar presente
Quadro Clínico (Sinais e Sintomas)
Sinais e Sintomas
Oclusão venosa porta,
esplênica ou mesentérica
superior
pressão venosa mesentérica:
pode estar aumentada
pode ocorrer circulação
colateral,
incluindo varizes gastroesofágicas
e cabeça de medusa
obstrução biliar (do colédoco) e
distensão da vesícula
vesícula
palpável e indolor em paciente
com icterícia (i. e., sinal de
Courvoisier): sugere a presença
de neoplasia periampular
Obstrução distal do ducto
biliar comum
Diagnóstico
• Idade superior a 40 anos
• Com fatores de risco positivos
• Que eventualmente desenvolverem sintomas
compatíveis com CA Pâncreas, mesmo que
discretos
• Devem ser prontamente investigados!
Achados Laboratoriais
• Seguem a regra geral das neoplasias periampulares:
– Anemia
– Tempo (TAP) e atividade de protrombina (TTPA) alargados
– Bilirrubinas totais (BD, BI, BT) aumentadas, geralmente acima de 15 mg/dl
às custas da fração direta
– ALT (TGP) e AST (TGO) podem se elevar para cifras próximas a 300U ainda
nos estágios iniciais
– Fosfatase alcalina (FA) e gama-GT (GGT, γ-GT) podem estar aumentadas,
indicando lesão de vias biliares
Marcadores Tumorais
• Antígeno carboidrato 19-9 (CA 19-9)
– auxiliar o diagnóstico
– acompanhar a evolução e repercussão do tratamento
– acompanhar o surgimento de recidivas
 Níveis superiores a 35 U/ml: expressos por cerca de 80% dos pacientes portadores de CA
Pâncreas
 Concentrações superiores a 200 U/ml: indicam lesões irressecáveis
 Concentrações inferiores a 135 U/ml: falam a favor de lesões ressecáveis
 Após ressecção completa de um tumor, os níveis de CA-19-9 caem para o normal, elevando-
se com recidivas
 Níveis elevados persistentes pós-operatórios acima de 40 U/ml: identificam sobrevida inferior
a sete meses
Estudos de Imagem
• Exame inicial: US
transcutâneo
– sensibilidade de 75%-85% e
especificidade de 90%-95%
– pode revelar massa pancreática
e indicar quando essa massa é
sólida ou cística
– pode ajudar no diagnóstico de
pacientes ictéricos: revela a
presença de dilatação ductal
extra-hepáica, na ausência de
cálculos biliares demonstráveis
Estudos de Imagem
• Em seguida: TC helicoidal com contraste (realizada com a
conjunção de infusão IV de material de contraste)
– câncer de pâncreas: aparece na maioria das vezes como uma massa
pancreática hipodensa na fase venosa do contraste, com limites pouco
demarcados, dilatação da via biliar principal e vesícula biliar e
invasão/trombose de vasos adjacentes
– A TC também informa sobre as condições de linfonodos
peripancreáticos, estruturas adjacentes e do próprio fígado
– radiologistas experientes: especificidade para diagnóstico de tumores
pancreáticos de 95% ou mais
– sensibilidade: depende do tamanho do tumor, excedendo 95% para
tumores maiores que 2 cm de diâmetro
Estudos de Imagem
• Achados de RM: massa com hipossinal em T1 (contrastado com o
hipersinal do tecido normal), dilatação ductal e metástases
hepáticas
• Realização de angioressonância (arteriografia e venografia): pode
ser importante em alguns casos para avaliar a ressecabilidade do
tumor
• Tomografia por emissão de pósitrons (PET):
– valiosa no diagnóstico de tumores pancreáticos pequenos que escapam da
detecção da TC ou RM
– a sensibilidade e a especificidade do rastreamento PET ainda estão por ser
estabelecidas
Estudos de Imagem
• CPRE:
– pode ser particularmente útil na avaliação de pacientes com
icterícia obstrutiva, na ausência de uma massa detectável à TC ou
RM
– dilatação do ducto pancreático, sinais de compressão ou mesmo
invasão do colédoco terminal e o extravasamento do tumor através
de rupturas de um ducto pancreático necrótico
– “sinal do duplo ducto” (obstrução de ambos os ductos, biliar e
pancreático ): altamente sugestivo de um câncer de cabeça de
pâncreas
– a ressecção será indicada, independendo dos achados na CPRE
Estadiamento
• Sistema de estadiamento do American Joint Committee on Cancer (AJCC)
Estadiamento
• Sistema de estadiamento do American Joint Committee on
Cancer (AJCC)
– Tumores T1 e T2 são confinados ao pâncreas, com menos de 2 cm ou maiores que 2 cm no
diâmetro
– Tumores T3 e T4 se estendem além do pâncreas
– Lesões T3 são consideradas potencialmente ressecáveis, por não envolverem o tronco celíaco ou
a artéria mesentérica superior
– Lesões T4 são consideradas irressecáveis, porque comprometem artérias peripancreáticas críticas
– Lesões N1 apresentam linfonodos regionais positivos, e lesões M1 apresentam metástases a
distância, enquanto lesões N0 e M0 carecem destes achados.
– Metástases à distância são comuns, e muitas vezes são localizadas no fígado, pulmão ou em
superfície peritoneais do abdome
Estadiamento
ESTÁGIO TUMOR
LN
REGIONAIS
META À
DISTÂNCIA
Estágio 0 Tis N0 M0
Estágio IA T1 N0 M0
Estágio IB T2 N0 M0
Estágio IIA T3 N0 M0
Estágio IIB
T1
T2
T3
N1
N1
N1
M0
Estágio III T4 Qualquer N M0
ESTÁGIO TUMOR
LN
REGIONAIS
META À
DISTÂNCIA
Estágio IV Qualquer T
Qualquer
N
M1
Estadiamento
T1 = tumor limitado ao pâncreas, ≤ 2cm no seu maior
diâmetro
Estadiamento
T2 = tumor limitado ao pâncreas, > 2cm no seu maior
diâmetro
Estadiamento
T3 = tumor se estende além do pâncreas, mas sem o envolvimento do
eixo celíaco ou da artéria mesentérica superior
Estadiamento
T4 = tumor envolve o eixo celíaco ou a artéria mesentérica
superior (tumor primário não ressecável)
Estadiamento
N0 = sem metástases em linfonodos regionais
NX = os
linfonodos
regionais não
podem ser
avaliados
Estadiamento
N1 = metástases em linfonodos regionais
Estadiamento
Estadiamento
• Sistema de estadiamento do American Joint Committee on
Cancer (AJCC)
– Estágios 1 e 2: passíveis de ressecção
– Estágios 3 e 4: irressecáveis
 comprometimento arterial importante (estágio 3)
 presença de metástases a distância(estágio 4)
– Sobrevida média para pacientes em estágio 3 = 8 a 12 meses
– Sobrevida média para pacientes em estágio 4 = 3 a 6 meses
Estadiamento
• Sinais de irressecabilidade (TC):
– formação de cápsula circunferencial
– invasão ou oclusão da veia porta/mesentérica superior e/ou artéria
mesentérica superior
– extensão além da cápsula pancreática e para o retroperitônio
– comprometimento de estruturas linfonodais ou neurais localizadas ao
redor da origem do tronco celíacoou da artéria mesentérica superior
– extensão do tumor ao longo do ligamento hepatoduodenal
Tratamento Cirúrgico (Periampulares)
• Duodenopancreatectomia (técnica de
Whipple), com ou sem preservação do
piloro ou duodeno proximal
• Prognóstico após a ressecção de Whipple:
em média, de 18 meses (o da terapia
paliativa é de apenas 7 meses)
Resultados
• Taxas de sobrevida de cinco anos: 10% a 15%
• Muitos desses pacientes que sobrevivem por cinco anos
sucumbem nos cinco anos subseqüentes
• Margens negativas: sobrevida de 26% (cinco anos)
• Margens positivas: sobrevida de 8% (cinco anos)
• Linfonodos positivos: sobrevida de 14% (cinco anos)
• Linfonodos negativos: sobrevida de 36% (cinco anos)
Complicações
• Deiscências anastomóticas (c/ fístula pancreática: 15% a 20% dos
pacientes)
• Abscessos intra-abdominais
• Esvaziamento gástrico retardado (15% a 40% dos pacientes)
• Fístulas biliares (menos comuns que as pancreáticas)
• Má absorção pancreática e esteatorréia (comuns a longo prazo):
insuficiência secretória exócrina, obstrução da anastomose
pancreaticojejunal, mistura pós-operatória pobre das enzimas
secretadas com o alimento
Tratamento Cirúrgico (Não Periampulares)
• Muitos cânceres de corpo e cauda já causaram
metástases em locais distantes ou se estenderam
localmente para envolver linfonodos, nervos e
vasos importantes no momento do diagnóstico
• Ressecáveis à época do diagnóstico: apenas 10%
• Pancreatectomia distal, com ou sem
esplenectomia
• Sobrevida de cinco anos (ressecáveis): um pouco
menor do que aquela de pacientes com cânceres
ressecáveis da cabeça do pâncreas
• Complicações:
– abscesso subfrênico: pode ocorrer em 5% a 10% dos pacientes
– deiscência do ducto pancreático: foi relatada ocorrer em mais
de 20% dos pacientes
Resultados e Complicações
Tratamento Paliativo Não-cirúrgico
• Estabeler o diagnóstico e aliviar os sintomas de icterícia,
obstrução ao esvaziamento gástrico e a dor
• Descompressão do trato biliar obstruído: endoscópio ou
abordagem transepática percutânea
• Esvaziamento gástrico obstruído: gastrojejunostomia
• Analgesia: via oral, transdérmica, narcóticos, bloqueio do
plexo celíaco (percutâneo), ablação cirúrgica alcoólica
do plexo celíaco
Terapia Quimiorradioterápica
(Adjuvante)
• Radioterapia (40Gy) + 5-fluorouracil
(5-FU) ou gencitabida
– Radiossensibilização pelos QTs
– Aumento de sobrevida: QRT Adj (20
meses) x Tto cirúrgico isolado (11 meses)
Prognóstico
• Neo periampulares: CA pâncreas é o de pior prognóstico (detecção
em estágios avançados)
• Somente 20% desses pacientes têm sobrevida acima de um ano
• Somente 4% se mostram com sobrevida acima de 5 anos após o
diagnóstico
• Cerca de 10-20% dos pacientes: expectativa de cura pela cirurgia
• Tto cirúrgico (ca pâncreas periampular): sobrevida média é de 16 a
22 meses e a de 5 anos é de 15%-21%

Câncer de Pâncreas

  • 1.
    ADENOCARCINOMA DE PÂNCREAS Igor ThéBraga MD Candidade, Class of 2015.2 Internato – Hospital Geral de Fortaleza
  • 2.
    O Pâncreas: Anatomia •Glândula acessória da digestão • Alongado • Retroperitoneal • Transverso na parede posterior do abdome • Posterior ao estômago • Entre o duodeno à direita • E o baço à esquerda • O mesocolo transverso fixa-o à sua margem anterior
  • 3.
    O Pâncreas: Anatomia •Cabeça e Processo Uncinado: – “C” duodenal (partes descendente e horizontal = 2ª e 3ª) – Vasos mesentéricos superiores – Veia cava inferior – Vasos renais direitos – Veia renal esquerda – Ducto colédoco • Colo, Corpo e Cauda: – Vasos mesentéricos superiores – Peritônio, piloro do estômago – VMS + VE = VP – Aorta, L2, bolsa omental, leito do estômago – Supra-renal E, rim E e vv. renais E – Hilo esplênico, flexura cólica E – Lig. esplenorrenal, vv. esplênicos
  • 4.
    O Pâncreas: Anatomia •Irrigação arterial – A. esplênica  Ramos perfurantes (corpo e cauda) – Aa. gastroduodenais  Aa. PD SA e SP (cabeça) – A. mesentérica superior  Aa. PD IA e IP (cabeça) • Drenagem venosa – Vv. pancreáticas  Tributárias das partes esplênica (maior parte) e mesentérica superior da VP
  • 5.
    O Pâncreas: Anatomia •Drenagem linfática – Linfonodos e vasos linfáticos pancreáticos  Linfonodos pancreáticos e esplênicos  Linfonodos pilóricos  Linfonodos mesentéricos superiores  Linfonodos celíacos (através dos linfonodos hepáticos) • Inervação – Nervo vago e esplâncnicos abdominopélvicos  Fibras simpáticas e parassimpáticas: Plexo celíaco e mesentérico superior • DPP (Wirsung) + DC = ampola hepatopancreática (Vater) – Papila maior do duodeno – Esfíncter da ampola hepatopancreática (Oddi)
  • 6.
    Incidência e Epidemiologia •No Brasil (INCA): – 2% de todos os tipos de câncer – responsável por 4% do total de mortes por câncer • Nos EUA: – afeta 25.000 a 30.000 indivíduos/ano – 11º mais freqüente, 4ª causa de morte relacionada com câncer em homens (próstata, pulmão, cólon) e mulheres (mama, cólon, pulmão) – homens (1,3:1), negros, entre 6ª e 8ª década de vida (80% dos casos)
  • 7.
    Fatores de Risco •Idade avançada (6ª à 8ª década de vida) • Sexo masculino (1,3:1) • Cor negra, etnia judaica • Tabagismo (principal influência ambiental) • Exposição ocupacional a carcinógenos • História de pancreatite crônica ou hereditária • Diabetes: fator de risco ou manifestação? ?
  • 8.
    Síndromes de Câncer PancreáticoHereditário • Câncer colorretal hereditário não-polipótico (HNPCC) • Câncer de mama familiar (associado a mutações do BRCA2) • Síndrome de Peutz-Jeghers • Ataxia-telangiectasia • Síndrome do melanoma múltiplo familial (FAMMM) • Pancreatite hereditária e História familiar de CA Pâncreas
  • 9.
    Patologia • Adenocarcinoma deorigem nas células exócrinas ductais e suas variantes (80%-90%) e raramente nos ácinos • Metástases são frequentes (ganglionares ou distantes) • Corpo e cauda: largos, mais suscetíveis à disseminação antes que sua presença se torne conhecida • Crescimento perineural: propensão a se estender para dentro dos plexos neurais vizinhos, causando dor abdominal e dorsal • Grande parte da massa tumoral (até 2/3 do volume): na verdade devida à pancreatite adjacente
  • 10.
    Patologia • Compressão doducto pancreático principal e do colédoco terminal em seu trajeto pela substância pancreática: comum • Veia porta, duodeno e circulação linfática: são outras estruturas freqüentemente acometidas • Metástases para linfonodos regionais e para o fígado estão presentes em 90% a 80% dos pacientes, respectivamente, por ocasião do diagnóstico • Cólon transverso, estômago e coluna vertebral, por proximidade, são freqüentemente comprometidos pelo processo de contiguidade tumoral
  • 11.
  • 13.
    Desenvolvimento e BiologiaMolecular • Códon 12 do oncogene K-ras (KRAS2) • p53 (75%) • Supressores de tumor: p16, DPC4 (SMAD-4), DPC, DCC, Rb e APC • Fatores de crescimento: EGFr (EGF e TGF-α), HER2r, HER3r e HER4r – agressividade do tumor, maior potencial metastático e pior prognóstico
  • 14.
    Desenvolvimento e BiologiaMolecular Progressão (Genética Molecular) Lesões precursoras (PanIN) até adenocarcinoma ductal invasivo Epitélio ductal Metaplasia colunar Carcinoma in situ
  • 15.
    Quadro Clínico (Sinaise Sintomas) • Determinados pela localização do tumor no pâncreas • Tardios, geralmente indicando doença avançada • Maioria dos pacientes sintomáticos: apresenta-se em estágios avançados à época do diagnóstico
  • 16.
  • 17.
    Na cabeça ouno processo uncinado (periampulares): Obstrução do ducto biliar, do duodeno ou do ducto pancreático Episódios inexplicados de pancreatite, icterícia indolor, náusea, vômito, esteatorreia e perda ponderal inexplicada Posterior disseminação para todo o pâncreas: Dor no andar superior do abdome ou no dorso(envolvimento dos plexos nervosos peripancreáticos) e ascite (carcinomatose peritoneal ou oclusão da veia porta) Quadro Clínico (Sinais e Sintomas)
  • 18.
  • 19.
    • Tu originadosdo colo, corpo ou cauda do pâncreas (não periampulares): – em geral não apresentam icterícia ou obstrução pilórica – os sintomas podem estar limitados a perda ponderal inexplicada e dor abdominal superior vaga – até que o tumor tenha crescido bastante e se disseminado pelo pâncreas Quadro Clínico (Sinais e Sintomas)
  • 20.
  • 21.
    • Dor: – CAPâncreas tem tendência à invasão perineural: no próprio órgão ou por invasão do espaço retroperitoneal, que é responsável pela dor persistente presente em 72% dos casos – sintoma inicial nos tumores de cauda e corpo (não periampulares) • Perda de apetite, fraqueza e sintomas dispépticos vagos: sintomas freqüentemente associados • Perda de peso importante: sintoma mais freqüente – pode ser explicado pela anorexia e pela insuficiência pancreática exócrina – geralmente está associada à dor abdominal e icterícia obstrutiva Quadro Clínico (Sinais e Sintomas)
  • 22.
    • Tromboflebite migratóriainexplicada (síndrome de Trousseau) – é, provavelmente, um fenômeno paraneoplásico que resulta de um estado de hipercoagulabilidade induzida pelo tumor (elaboração de fatores pró-coagulantes pelo próprio tumor ou pelos seus produtos necróticos) • Nódulos hepáticos indicativos de metástase podem ser encontrados Quadro Clínico (Sinais e Sintomas)
  • 23.
    • Indicam apresença de metástases à distância: – depósitos metastáticos subumbilicais ("linfonodo da irmã Maria José”) – depósitos metastáticos do peritônio pélvico ("prateleira de Blummer") – linfadenopatia supraclavicular esquerda (“linfonodo de Virchow") • Ascite maligna, causada por carcinomatose peritoneal, também pode estar presente Quadro Clínico (Sinais e Sintomas)
  • 24.
    Sinais e Sintomas Oclusãovenosa porta, esplênica ou mesentérica superior pressão venosa mesentérica: pode estar aumentada pode ocorrer circulação colateral, incluindo varizes gastroesofágicas e cabeça de medusa obstrução biliar (do colédoco) e distensão da vesícula vesícula palpável e indolor em paciente com icterícia (i. e., sinal de Courvoisier): sugere a presença de neoplasia periampular Obstrução distal do ducto biliar comum
  • 25.
    Diagnóstico • Idade superiora 40 anos • Com fatores de risco positivos • Que eventualmente desenvolverem sintomas compatíveis com CA Pâncreas, mesmo que discretos • Devem ser prontamente investigados!
  • 26.
    Achados Laboratoriais • Seguema regra geral das neoplasias periampulares: – Anemia – Tempo (TAP) e atividade de protrombina (TTPA) alargados – Bilirrubinas totais (BD, BI, BT) aumentadas, geralmente acima de 15 mg/dl às custas da fração direta – ALT (TGP) e AST (TGO) podem se elevar para cifras próximas a 300U ainda nos estágios iniciais – Fosfatase alcalina (FA) e gama-GT (GGT, γ-GT) podem estar aumentadas, indicando lesão de vias biliares
  • 27.
    Marcadores Tumorais • Antígenocarboidrato 19-9 (CA 19-9) – auxiliar o diagnóstico – acompanhar a evolução e repercussão do tratamento – acompanhar o surgimento de recidivas  Níveis superiores a 35 U/ml: expressos por cerca de 80% dos pacientes portadores de CA Pâncreas  Concentrações superiores a 200 U/ml: indicam lesões irressecáveis  Concentrações inferiores a 135 U/ml: falam a favor de lesões ressecáveis  Após ressecção completa de um tumor, os níveis de CA-19-9 caem para o normal, elevando- se com recidivas  Níveis elevados persistentes pós-operatórios acima de 40 U/ml: identificam sobrevida inferior a sete meses
  • 28.
    Estudos de Imagem •Exame inicial: US transcutâneo – sensibilidade de 75%-85% e especificidade de 90%-95% – pode revelar massa pancreática e indicar quando essa massa é sólida ou cística – pode ajudar no diagnóstico de pacientes ictéricos: revela a presença de dilatação ductal extra-hepáica, na ausência de cálculos biliares demonstráveis
  • 29.
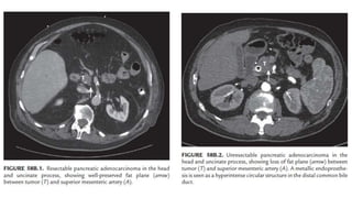
    Estudos de Imagem •Em seguida: TC helicoidal com contraste (realizada com a conjunção de infusão IV de material de contraste) – câncer de pâncreas: aparece na maioria das vezes como uma massa pancreática hipodensa na fase venosa do contraste, com limites pouco demarcados, dilatação da via biliar principal e vesícula biliar e invasão/trombose de vasos adjacentes – A TC também informa sobre as condições de linfonodos peripancreáticos, estruturas adjacentes e do próprio fígado – radiologistas experientes: especificidade para diagnóstico de tumores pancreáticos de 95% ou mais – sensibilidade: depende do tamanho do tumor, excedendo 95% para tumores maiores que 2 cm de diâmetro
  • 31.
    Estudos de Imagem •Achados de RM: massa com hipossinal em T1 (contrastado com o hipersinal do tecido normal), dilatação ductal e metástases hepáticas • Realização de angioressonância (arteriografia e venografia): pode ser importante em alguns casos para avaliar a ressecabilidade do tumor • Tomografia por emissão de pósitrons (PET): – valiosa no diagnóstico de tumores pancreáticos pequenos que escapam da detecção da TC ou RM – a sensibilidade e a especificidade do rastreamento PET ainda estão por ser estabelecidas
  • 33.
    Estudos de Imagem •CPRE: – pode ser particularmente útil na avaliação de pacientes com icterícia obstrutiva, na ausência de uma massa detectável à TC ou RM – dilatação do ducto pancreático, sinais de compressão ou mesmo invasão do colédoco terminal e o extravasamento do tumor através de rupturas de um ducto pancreático necrótico – “sinal do duplo ducto” (obstrução de ambos os ductos, biliar e pancreático ): altamente sugestivo de um câncer de cabeça de pâncreas – a ressecção será indicada, independendo dos achados na CPRE
  • 35.
    Estadiamento • Sistema deestadiamento do American Joint Committee on Cancer (AJCC)
  • 36.
    Estadiamento • Sistema deestadiamento do American Joint Committee on Cancer (AJCC) – Tumores T1 e T2 são confinados ao pâncreas, com menos de 2 cm ou maiores que 2 cm no diâmetro – Tumores T3 e T4 se estendem além do pâncreas – Lesões T3 são consideradas potencialmente ressecáveis, por não envolverem o tronco celíaco ou a artéria mesentérica superior – Lesões T4 são consideradas irressecáveis, porque comprometem artérias peripancreáticas críticas – Lesões N1 apresentam linfonodos regionais positivos, e lesões M1 apresentam metástases a distância, enquanto lesões N0 e M0 carecem destes achados. – Metástases à distância são comuns, e muitas vezes são localizadas no fígado, pulmão ou em superfície peritoneais do abdome
  • 37.
    Estadiamento ESTÁGIO TUMOR LN REGIONAIS META À DISTÂNCIA Estágio0 Tis N0 M0 Estágio IA T1 N0 M0 Estágio IB T2 N0 M0 Estágio IIA T3 N0 M0 Estágio IIB T1 T2 T3 N1 N1 N1 M0 Estágio III T4 Qualquer N M0
  • 38.
    ESTÁGIO TUMOR LN REGIONAIS META À DISTÂNCIA EstágioIV Qualquer T Qualquer N M1 Estadiamento
  • 39.
    T1 = tumorlimitado ao pâncreas, ≤ 2cm no seu maior diâmetro Estadiamento
  • 40.
    T2 = tumorlimitado ao pâncreas, > 2cm no seu maior diâmetro Estadiamento
  • 41.
    T3 = tumorse estende além do pâncreas, mas sem o envolvimento do eixo celíaco ou da artéria mesentérica superior Estadiamento
  • 42.
    T4 = tumorenvolve o eixo celíaco ou a artéria mesentérica superior (tumor primário não ressecável) Estadiamento
  • 43.
    N0 = semmetástases em linfonodos regionais NX = os linfonodos regionais não podem ser avaliados Estadiamento
  • 44.
    N1 = metástasesem linfonodos regionais Estadiamento
  • 45.
    Estadiamento • Sistema deestadiamento do American Joint Committee on Cancer (AJCC) – Estágios 1 e 2: passíveis de ressecção – Estágios 3 e 4: irressecáveis  comprometimento arterial importante (estágio 3)  presença de metástases a distância(estágio 4) – Sobrevida média para pacientes em estágio 3 = 8 a 12 meses – Sobrevida média para pacientes em estágio 4 = 3 a 6 meses
  • 46.
    Estadiamento • Sinais deirressecabilidade (TC): – formação de cápsula circunferencial – invasão ou oclusão da veia porta/mesentérica superior e/ou artéria mesentérica superior – extensão além da cápsula pancreática e para o retroperitônio – comprometimento de estruturas linfonodais ou neurais localizadas ao redor da origem do tronco celíacoou da artéria mesentérica superior – extensão do tumor ao longo do ligamento hepatoduodenal
  • 47.
    Tratamento Cirúrgico (Periampulares) •Duodenopancreatectomia (técnica de Whipple), com ou sem preservação do piloro ou duodeno proximal • Prognóstico após a ressecção de Whipple: em média, de 18 meses (o da terapia paliativa é de apenas 7 meses)
  • 50.
    Resultados • Taxas desobrevida de cinco anos: 10% a 15% • Muitos desses pacientes que sobrevivem por cinco anos sucumbem nos cinco anos subseqüentes • Margens negativas: sobrevida de 26% (cinco anos) • Margens positivas: sobrevida de 8% (cinco anos) • Linfonodos positivos: sobrevida de 14% (cinco anos) • Linfonodos negativos: sobrevida de 36% (cinco anos)
  • 51.
    Complicações • Deiscências anastomóticas(c/ fístula pancreática: 15% a 20% dos pacientes) • Abscessos intra-abdominais • Esvaziamento gástrico retardado (15% a 40% dos pacientes) • Fístulas biliares (menos comuns que as pancreáticas) • Má absorção pancreática e esteatorréia (comuns a longo prazo): insuficiência secretória exócrina, obstrução da anastomose pancreaticojejunal, mistura pós-operatória pobre das enzimas secretadas com o alimento
  • 52.
    Tratamento Cirúrgico (NãoPeriampulares) • Muitos cânceres de corpo e cauda já causaram metástases em locais distantes ou se estenderam localmente para envolver linfonodos, nervos e vasos importantes no momento do diagnóstico • Ressecáveis à época do diagnóstico: apenas 10% • Pancreatectomia distal, com ou sem esplenectomia
  • 54.
    • Sobrevida decinco anos (ressecáveis): um pouco menor do que aquela de pacientes com cânceres ressecáveis da cabeça do pâncreas • Complicações: – abscesso subfrênico: pode ocorrer em 5% a 10% dos pacientes – deiscência do ducto pancreático: foi relatada ocorrer em mais de 20% dos pacientes Resultados e Complicações
  • 55.
    Tratamento Paliativo Não-cirúrgico •Estabeler o diagnóstico e aliviar os sintomas de icterícia, obstrução ao esvaziamento gástrico e a dor • Descompressão do trato biliar obstruído: endoscópio ou abordagem transepática percutânea • Esvaziamento gástrico obstruído: gastrojejunostomia • Analgesia: via oral, transdérmica, narcóticos, bloqueio do plexo celíaco (percutâneo), ablação cirúrgica alcoólica do plexo celíaco
  • 57.
    Terapia Quimiorradioterápica (Adjuvante) • Radioterapia(40Gy) + 5-fluorouracil (5-FU) ou gencitabida – Radiossensibilização pelos QTs – Aumento de sobrevida: QRT Adj (20 meses) x Tto cirúrgico isolado (11 meses)
  • 58.
    Prognóstico • Neo periampulares:CA pâncreas é o de pior prognóstico (detecção em estágios avançados) • Somente 20% desses pacientes têm sobrevida acima de um ano • Somente 4% se mostram com sobrevida acima de 5 anos após o diagnóstico • Cerca de 10-20% dos pacientes: expectativa de cura pela cirurgia • Tto cirúrgico (ca pâncreas periampular): sobrevida média é de 16 a 22 meses e a de 5 anos é de 15%-21%